Aeromonas veronii Is a Lethal Pathogen Isolated from Gut of Infected Labeo rohita: Molecular Insight to Understand the Bacterial Virulence and Its Induced Host Immunity
Abstract
1. Introduction
2. Materials and Methods
2.1. Sample Collection
2.2. Bacterial Screening from the Infected Fish
2.3. Biochemical Characterization
2.4. SEM Analysis
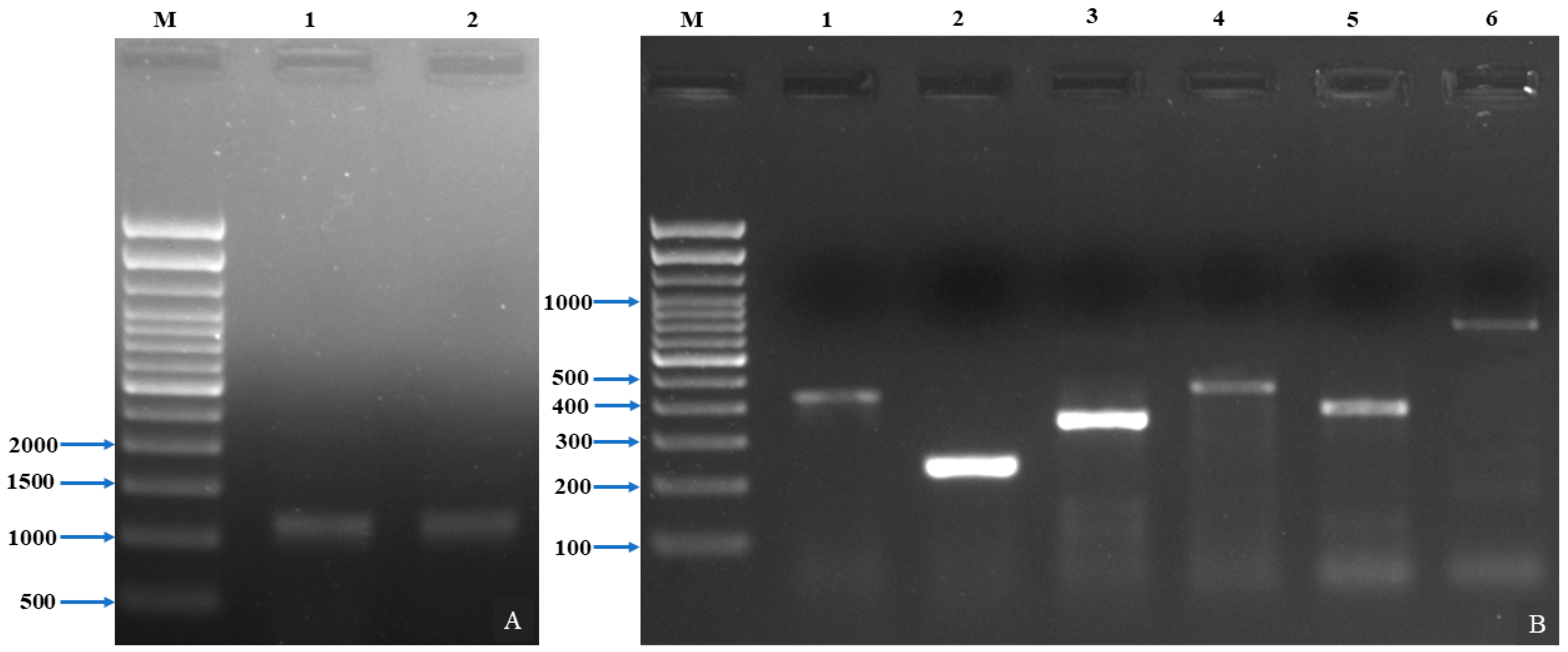
2.5. Molecular Characterization by 16S rRNA Gene and Phylogeny Analysis
2.6. Hemolytic Property
2.7. Antibiogram Assay
2.8. Identification of Virulence Genes
| S. No. | Primers | Gene | Size | Tm (°C) | Reference |
|---|---|---|---|---|---|
| 1 | UFF2:—GTTGATCATGGCTCAG | 16S rRNA | 1450 | 52 | [36] |
| URF2:—GGTTCACTTGTTACGACTT | |||||
| 2 | aerA-F CCTATGGCCTGAGCGAGAAG | Aerolysin | 431 | 63 | [23] |
| aerA-R CCAGTTCCAGTCCCACCACT | |||||
| 3 | act-F AGAAGGTGACCACCACCAAGAACA | Cytotoxic enterotoxin | 232 | 65 | [23] |
| act-R AACTGACATCGGCCTTGAACTC | |||||
| 4 | Ser-F CACCGAAGTATTGGGTCAGG | serine protease | 350 | 57 | [23] |
| Ser-R GGCTCATGCGTAACTCTGGT | |||||
| 5 | gcaT-F CTCCTGGAATCCCAAGTATCAG | Glycerophospholipid: cholesterol | 237 | 65 | [17] |
| gcaT-R GGCAGGTTGAACAGCAGTATCT | acyltransferase | ||||
| 6 | Lip-F ATCTTCTCCGACTGGTTCGG | lipase | 382 | 64 | [17] |
| Lip-R CCGTGCCAGGACTGGGTCTT | |||||
| 7 | ast-F TCTCCATGCTTCCCTTCCACT | Cytotonic enterotoxin | 331 | 63 | [17] |
| ast-R GTGTAGGGATTGAAGAAGCCG | |||||
| 8 | alt-F TGACCCAGTCCTGGCACGGC | Heat-labile cytotonic enterotoxin | 442 | 64 | [23] |
| alt-R GGTGATCGATCACCACCAGC | |||||
| 9 | ahyB-F ACACGGTCAAGGAGATCAAC | Elastase | 513 | 59 | [23] |
| ahyB-R CGCTGGTGTTGGCCAGCAGG | |||||
| 10 | exu-F AGACATGCACAACCTCTTCC | Dnase | 323 | 60 | [17] |
| exu-R GATTGGTATTGCCTTGCAAG | |||||
| 11 | hlyA F GGCCGGTGGCCCGAAGATACGGG | Hemolysins | 597 | 62 | [46] |
| hlyA R GGCGGCGCCGGACGAGACGGG | |||||
| 12 | ascV-F AGCAGATGAGTATCGACGG | Type III Secretion System | 891 | 58 | [46] |
| ascV-R AGGCATTCTCCTGTACCAG |
2.9. Pathogenicity Study and LD50 Determination
2.10. Collection of Serum Sample
2.11. Immune-Stress Responses
2.12. Statistical Analysis
3. Results
3.1. Biochemical Characterization
3.2. Morphological Characteristics by SEM Analysis
3.3. Molecular Identification of Bacteria
3.4. Hemolysis Assay
3.5. Antibiogram Study of A. veronii
3.6. Occurrence of Virulence Genes
3.7. Determination of LD50
3.8. Serum Biochemical Assay
4. Discussion
5. Conclusions
Supplementary Materials
Author Contributions
Funding
Institutional Review Board Statement
Informed Consent Statement
Data Availability Statement
Acknowledgments
Conflicts of Interest
References
- Ghosh, S. Moyna Model of Major Carp Farming in Purba Medinipur District, West Bengal, India. Aquac. Asia Mag. 2020, 24, 18–25. [Google Scholar]
- Nissa, M.U.; Reddy, P.J.; Pinto, N.; Sun, Z.; Ghosh, B.; Moritz, R.L.; Goswami, M.; Srivastava, S. The PeptideAtlas of a Widely Cultivated Fish Labeo Rohita: A Resource for the Aquaculture Community. Sci. Data 2022, 9, 171. [Google Scholar] [CrossRef] [PubMed]
- Malick, R.C.; Bera, A.K.; Chowdhury, H.; Bhattacharya, M.; Abdulla, T.; Swain, H.S.; Baitha, R.; Kumar, V.; Das, B.K. Identification and Pathogenicity Study of Emerging Fish Pathogens Acinetobacter Junii and Acinetobacter Pittii Recovered from a Disease Outbreak in Labeo Catla (Hamilton, 1822) and Hypophthalmichthys Molitrix (Valenciennes, 1844) of Freshwater Wetland in West Bengal, India. Aquac. Res. 2020, 51, 2410–2420. [Google Scholar] [CrossRef]
- Kumar, V.; Das, B.K.; Swain, H.S.; Chowdhury, H.; Roy, S.; Bera, A.K.; Das, R.; Parida, S.N.; Dhar, S.; Jana, A.K.; et al. Outbreak of Ichthyophthirius Multifiliis Associated with Aeromonas Hydrophila in Pangasianodon Hypophthalmus: The Role of Turmeric Oil in Enhancing Immunity and Inducing Resistance against Co-Infection. Front. Immunol. 2022, 13, 4811. [Google Scholar] [CrossRef] [PubMed]
- Swain, H.S.; Das, B.K.; Upadhyay, A.; Ramteke, M.H.; Kumar, V.; Meena, D.K.; Sarkar, U.K.; Chadha, N.K.; Rawat, K.D. Stocking Density Mediated Stress Modulates Growth Attributes in Cage Reared Labeo Rohita (Hamilton) Using Multifarious Biomarker Approach. Sci. Rep. 2022, 12, 9869. [Google Scholar] [CrossRef] [PubMed]
- Jena, J.; Das, P.C.; Mitra, G.; Patro, B.; Mohanta, D.; Mishra, B. Evaluation of Growth Performance of Labeo Fimbriatus (Bloch), Labeo Gonius (Hamilton) and Puntius Gonionotus (Bleeker) in Polyculture with Labeo Rohita (Hamilton) during Fingerlings Rearing at Varied Densities. Aquaculture 2011, 319, 493–496. [Google Scholar] [CrossRef]
- Kumar, V.; Das, B.K.; Swain, H.S.; Chowdhury, H.; Roy, S.; Bera, A.K.; Malick, R.C.; Behera, B.K. Immunomodulatory Potency of Eclipta Alba (Bhringaraj) Leaf Extract in Heteropneustes Fossilis against Oomycete Pathogen, Aphanomyces Invadans. J. Fungi 2023, 9, 142. [Google Scholar] [CrossRef]
- Elgendy, M.Y.; Soliman, W.S.; Abbas, W.T.; Ibrahim, T.B.; Younes, A.M.; Omara, S.T. Investigation of Some Virulence Determents in Aeromonas Hydrophila Strains Obtained from Different Polluted Aquatic Environments. Jordan J. Biol. Sci. 2017, 10, 265–272. [Google Scholar]
- Das, A.; Acharya, S.; Behera, B.K.; Paria, P.; Bhowmick, S.; Parida, P.K.; Das, B.K. Isolation, Identification and Characterization of Klebsiella Pneumoniae from Infected Farmed Indian Major Carp Labeo Rohita (Hamilton 1822) in West Bengal, India. Aquaculture 2018, 482, 111–116. [Google Scholar] [CrossRef]
- Behera, B.K.; Paria, P.; Das, A.; Bhowmick, S.; Sahoo, A.K.; Das, B.K. Molecular Characterization and Pathogenicity of a Virulent Acinetobacter Baumannii Associated with Mortality of Farmed Indian Major Carp Labeo Rohita (Hamilton 1822). Aquaculture 2017, 471, 157–162. [Google Scholar] [CrossRef]
- Ghenghesh, K.S.; Rahouma, A.; Zorgani, A.; Tawil, K.; Al Tomi, A.; Franka, E. Aeromonas in Arab Countries: 1995–2014. Comp. Immunol. Microbiol. Infect. Dis. 2015, 42, 8–14. [Google Scholar] [CrossRef] [PubMed]
- Liu, G.; Li, J.; Jiang, Z.; Zhu, X.; Gao, X.; Jiang, Q.; Wang, J.; Wei, W.; Zhang, X. Pathogenicity of Aeromonas Veronii Causing Mass Mortalities of Odontobutis Potamophila and Its Induced Host Immune Response. Fish Shellfish Immunol. 2022, 125, 180–189. [Google Scholar] [CrossRef] [PubMed]
- Wu, C.J.; Ko, W.C.; Lee, N.Y.; Su, S.L.; Li, C.W.; Li, M.C.; Chen, Y.W.; Su, Y.C.; Shu, C.Y.; Lin, Y.T.; et al. Aeromonas Isolates from Fish and Patients in Tainan City, Taiwan: Genotypic and Phenotypic Characteristics. Appl. Environ. Microbiol. 2019, 85, e01360-19. [Google Scholar] [CrossRef] [PubMed]
- Fernández-Bravo, A.; Figueras, M.J. An Update on the Genus Aeromonas: Taxonomy, Epidemiology, and Pathogenicity. Microorganisms 2020, 8, 129. [Google Scholar] [CrossRef] [PubMed]
- Janda, J.M.; Abbott, S.L. The Genus Aeromonas: Taxonomy, Pathogenicity, and Infection. Clin. Microbiol. Rev. 2010, 23, 35–73. [Google Scholar] [CrossRef]
- Elgendy, M.Y.; Shaalan, M.; Abdelsalam, M.; Eissa, A.E.; El-Adawy, M.M.; Seida, A.A. Antibacterial Activity of Silver Nanoparticles against Antibiotic-Resistant Aeromonas Veronii Infections in Nile Tilapia, Oreochromis Niloticus (L.), in Vitro and in Vivo Assay. Aquac. Res. 2022, 53, 901–920. [Google Scholar] [CrossRef]
- Pei, C.; Song, H.; Zhu, L.; Qiao, D.; Yan, Y.; Li, L.; Zhao, X.; Zhang, J.; Jiang, X.; Kong, X. Identification of Aeromonas Veronii Isolated from Largemouth Bass Micropterus Salmoides and Histopathological Analysis. Aquaculture 2021, 540, 736707. [Google Scholar] [CrossRef]
- Chen, F.; Sun, J.; Han, Z.; Yang, X.; Xian, J.A.A.; Lv, A.; Hu, X.; Shi, H. Isolation, Identification and Characteristics of Aeromonas Veronii From Diseased Crucian Carp (Carassius Auratus Gibelio). Front. Microbiol. 2019, 10, 2742. [Google Scholar] [CrossRef]
- Ehsan, R.; Rahman, A.; Paul, S.I.; Ador, M.A.A.; Haque, M.S.; Akter, T.; Rahman, M.M. Aeromonas Veronii Isolated from Climbing Perch (Anabas Testudineus) Suffering from Epizootic Ulcerative Syndrome (EUS). Aquac. Fish 2021, 8, 288–295. [Google Scholar] [CrossRef]
- Cai, S.H.; Wu, Z.H.; Jian, J.C.; Lu, Y.S.; Tang, J.F. Characterization of Pathogenic Aeromonas Veronii Bv. Veronii Associated with Ulcerative Syndrome from Chinese Longsnout Catfish (Leiocassis Longirostris Günther). Braz. J. Microbiol. 2012, 43, 382–388. [Google Scholar] [CrossRef]
- Li, T.; Raza, S.H.A.; Yang, B.; Sun, Y.; Wang, G.; Sun, W.; Qian, A.; Wang, C.; Kang, Y.; Shan, X. Aeromonas Veronii Infection in Commercial Freshwater Fish: A Potential Threat to Public Health. Animals 2020, 10, 608. [Google Scholar] [CrossRef]
- Zhang, D.X.; Kang, Y.H.; Song, M.F.; Shu, H.P.; Guo, S.N.; Jia, J.P.; Tao, L.T.; Zhao, Z.L.; Zhang, L.; Wang, C.F.; et al. Identity and Virulence Properties of Aeromonas Isolates from Healthy Northern Snakehead (Channa Argus) in China. Lett. Appl. Microbiol. 2019, 69, 100–109. [Google Scholar] [CrossRef] [PubMed]
- Nawaz, M.; Khan, S.A.; Khan, A.A.; Sung, K.; Tran, Q.; Kerdahi, K.; Steele, R. Detection and Characterization of Virulence Genes and Integrons in Aeromonas Veronii Isolated from Catfish. Food Microbiol. 2010, 27, 327–331. [Google Scholar] [CrossRef] [PubMed]
- Nhinh, D.T.; Le, D.V.; Van, K.V.; Giang, N.T.H.; Dang, L.T.; Hoai, T.D. Prevalence, Virulence Gene Distribution and Alarming the Multidrug Resistance of Aeromonas Hydrophila Associated with Disease Outbreaks in Freshwater Aquaculture. Antibiotics 2021, 10, 532. [Google Scholar] [CrossRef] [PubMed]
- Sreedharan, K.; Philip, R.; Singh, I.S.B. Isolation and Characterization of Virulent Aeromonas Veronii from Ascitic Fluid of Oscar Astronotus Ocellatus Showing Signs of Infectious Dropsy. Dis. Aquat. Organ. 2011, 94, 29–39. [Google Scholar] [CrossRef] [PubMed]
- Lazado, C.C.; Zilberg, D. Pathogenic Characteristics of Aeromonas Veronii Isolated from the Liver of a Diseased Guppy (Poecilia Reticulata). Lett. Appl. Microbiol. 2018, 67, 476–483. [Google Scholar] [CrossRef] [PubMed]
- Zhu, M.; Wang, X.R.; Li, J.; Li, G.Y.; Liu, Z.P.; Mo, Z.L. Identification and Virulence Properties of Aeromonas Veronii Bv. Sobria Isolates Causing an Ulcerative Syndrome of Loach Misgurnus Anguillicaudatus. J. Fish Dis. 2016, 39, 777–781. [Google Scholar] [CrossRef]
- González-Serrano, C.J.; Santos, J.A.; García-López, M.L.; Otero, A. Virulence Markers in Aeromonas Hydrophila and Aeromonas Veronii Biovar Sobria Isolates from Freshwater Fish and from a Diarrhoea Case. J. Appl. Microbiol. 2002, 93, 414–419. [Google Scholar] [CrossRef]
- Albert, M.J.; Ansaruzzaman, M.; Talukder, K.A.; Chopra, A.K.; Kuhn, I.; Rahman, M.; Faruque, A.S.G.; Islam, M.S.; Sack, R.B.; Mollby, R. Prevalence of Enterotoxin Genes in Aeromonas Spp. Isolated from Children with Diarrhea, Healthy Controls, and the Environment. J. Clin. Microbiol. 2000, 38, 3785–3790. [Google Scholar] [CrossRef]
- Mahalik, S.; Sharma, A.K.; Mukherjee, K.J. Genome Engineering for Improved Recombinant Protein Expression in Escherichia Coli. Microb. Cell Factories 2014, 13, 177. [Google Scholar] [CrossRef]
- Tyagi, A.; Sharma, C.; Srivastava, A.; Naveen Kumar, B.T.; Pathak, D.; Rai, S. Isolation, Characterization and Complete Genome Sequencing of Fish Pathogenic Aeromonas Veronii from Diseased Labeo Rohita. Aquaculture 2022, 553, 738085. [Google Scholar] [CrossRef]
- Noga, E. Fish Disease: Diagnosis and Treatment, 2nd ed.; Wiley-Blackwell: Ames, IA, USA, 2010. [Google Scholar]
- Devi, M.S.; Paria, P.; Kumar, V.; Parida, P.K.; Maurye, P.; Behera, B.K.; Das, B.K. Molecular Identification and Pathogenicity Study of Virulent Vibrio Cholerae Non O1/O139 Serotype Associated with Mortality of Farmed Labeo Rohita (Hamilton, 1822), in India. Aquaculture 2022, 547, 737529. [Google Scholar] [CrossRef]
- Karcz, J.; Bernas, T.; Nowak, A.; Talik, E.; Woznica, A. Application of Lyophilization to Prepare the Nitrifying Bacterial Biofilm for Imaging with Scanning Electron Microscopy. Scanning 2012, 34, 26–36. [Google Scholar] [CrossRef] [PubMed]
- Sambrook, J.; Russell, D.W. Molecular Cloning A Laboratory Manual, 3rd ed.; Cold Spring Harbor Laboratory Press: New York, NY, USA; References-Scientific Research Publishing: Wuhan, China, 2001; Volume 1, Available online: https://www.scirp.org/(S(351jmbntvnsjt1aadkposzje))/reference/ReferencesPapers.aspx?ReferenceID=1765722 (accessed on 17 May 2022).
- Behera, B.K.; Bera, A.K.; Paria, P.; Das, A.; Parida, P.K.; Kumari, S.; Bhowmick, S.; Das, B.K. Identification and Pathogenicity of Plesiomonas Shigelloides in Silver Carp. Aquaculture 2018, 493, 314–318. [Google Scholar] [CrossRef]
- Tamura, K.; Stecher, G.; Kumar, S. MEGA11: Molecular Evolutionary Genetics Analysis Version 11. Mol. Biol. Evol. 2021, 38, 3022–3027. [Google Scholar] [CrossRef]
- Kumar, S.; Stecher, G.; Li, M.; Knyaz, C.; Tamura, K. MEGA X: Molecular Evolutionary Genetics Analysis across Computing Platforms. Mol. Biol. Evol. 2018, 35, 1547–1549. [Google Scholar] [CrossRef]
- Letunic, I.; Bork, P. Interactive Tree of Life (ITOL) v4: Recent Updates and New Developments. Nucleic Acids Res. 2019, 47, W256–W259. [Google Scholar] [CrossRef]
- Lai, X.H.; Wang, S.Y.; Edebro, H.; Sjöstedt, A. Francisella Strains Express Hemolysins of Distinct Characteristics. FEMS Microbiol. Lett. 2003, 224, 91–95. [Google Scholar] [CrossRef]
- Evans, B.C.; Nelson, C.E.; Yu, S.S.; Beavers, K.R.; Kim, A.J.; Li, H.; Nelson, H.M.; Giorgio, T.D.; Duvall, C.L. Ex Vivo Red Blood Cell Hemolysis Assay for the Evaluation of PH-Responsive Endosomolytic Agents for Cytosolic Delivery of Biomacromolecular Drugs. J. Vis. Exp. 2013, 73, e50166. [Google Scholar] [CrossRef]
- Zidour, M.; Chevalier, M.; Belguesmia, Y.; Cudennec, B.; Grard, T.; Drider, D.; Souissi, S.; Flahaut, C. Isolation and Characterization of Bacteria Colonizing Acartia Tonsa Copepod Eggs and Displaying Antagonist Effects against Vibrio Anguillarum, Vibrio Alginolyticus and Other Pathogenic Strains. Front. Microbiol. 2017, 8, 1919. [Google Scholar] [CrossRef]
- Balouiri, M.; Sadiki, M.; Ibnsouda, S.K. Methods for in Vitro Evaluating Antimicrobial Activity: A Review. J. Pharm. Anal. 2016, 6, 71–79. [Google Scholar] [CrossRef] [PubMed]
- Mcfarland, J. The nephelometer:an instrument for estimating the number of bacteria in suspensions used for calculating the opsonic index and for vaccines. J. Am. Med. Assoc. 1907, XLIX, 1176–1178. [Google Scholar] [CrossRef]
- National Committee of Clinical Laboratory Standards (NCCLS). Reference Method for Broth Dilution Antifungal Susceptibility Testing of Conidial-Forming Filamentous Fungi; Approved Standard NCCLS M38-A; National Committee of Clinical Laboratory Standards: Wayne, IL, USA, 2002. [Google Scholar]
- de Silva, B.C.J.; Hossain, S.; Dahanayake, P.S.; Heo, G.J. Aeromonas Spp. from Marketed Yesso Scallop (Patinopecten Yessoensis): Molecular Characterization, Phylogenetic Analysis, Virulence Properties and Antimicrobial Susceptibility. J. Appl. Microbiol. 2019, 126, 288–299. [Google Scholar] [CrossRef] [PubMed]
- Reed, L.J.; Muench, H. A Simple Method of Estimating Fifty per Cent Endpoints. Am. J. Epidemiol. 1938, 27, 493–497. [Google Scholar] [CrossRef]
- Dong, H.T.; Techatanakitarnan, C.; Jindakittikul, P.; Thaiprayoon, A.; Taengphu, S.; Charoensapsri, W.; Khunrae, P.; Rattanarojpong, T.; Senapin, S. Aeromonas Jandaei and Aeromonas Veronii Caused Disease and Mortality in Nile Tilapia, Oreochromis Niloticus (L.). J. Fish Dis. 2017, 40, 1395–1403. [Google Scholar] [CrossRef] [PubMed]
- Abbott, S.L.; Cheung, W.K.W.; Janda, J.M. The Genus Aeromonas: Biochemical Characteristics, Atypical Reactions, and Phenotypic Identification Schemes. J. Clin. Microbiol. 2003, 41, 2348–2357. [Google Scholar] [CrossRef]
- Kumar, V.; Bera, T.; Roy, S.; Vuong, P.; Jana, C.; Sarkar, D.J.; Devi, M.S.; Jana, A.K.; Rout, A.K.; Kaur, P.; et al. Investigating Bio-Remediation Capabilities of a Constructed Wetland through Spatial Successional Study of the Sediment Microbiome. NPJ Clean Water 2023, 6, 8. [Google Scholar] [CrossRef]
- Zhao, J.; Ma, M.; Zeng, Z.; Yu, P.; Gong, D.; Deng, S. Production, Purification and Biochemical Characterisation of a Novel Lipase from a Newly Identified Lipolytic Bacterium Staphylococcus Caprae NCU S6. J. Enzym. Inhib. Med. Chem. 2020, 36, 248–256. [Google Scholar] [CrossRef]
- Ahmed, B.; Shahid, M.; Syed, A.; Rajput, V.D.; Elgorban, A.M.; Minkina, T.; Bahkali, A.H.; Lee, J. Drought Tolerant Enterobacter Sp./Leclercia Adecarboxylata Secretes Indole-3-Acetic Acid and Other Biomolecules and Enhances the Biological Attributes of Vigna Radiata (l.) r. Wilczek in Water Deficit Conditions. Biology 2021, 10, 1149. [Google Scholar] [CrossRef]
- Jiang, N.; Luo, L.; Xing, W.; Li, T.; Yuan, D.; Xu, G.; Li, W.; Ma, Z.; Jin, L.; Ji, M. Generation and Immunity Effect Evaluation of Biotechnology-Derived Aeromonas Veronii Ghost by PhiX174 Gene E-Mediated Inactivation in Koi (Cyprinus Carprio Koi). Fish Shellfish Immunol. 2019, 86, 327–334. [Google Scholar] [CrossRef]
- Bhattacherjee, R.; Mandal, S.; Banerjee, S.; Saha, K.K.; Sarkar, J.; Banerjee, D.; Mandal, N.C. Structural-Genetic Insight and Optimization of Protease Production from a Novel Strain of Aeromonas Veronii CMF, a Gut Isolate of Chrysomya Megacephala. Arch. Microbiol. 2021, 203, 2961–2977. [Google Scholar] [CrossRef] [PubMed]
- Askari, P.; Namaei, M.H.; Ghazvini, K.; Hosseini, M. In Vitro and in Vivo Toxicity and Antibacterial Efficacy of Melittin against Clinical Extensively Drug-Resistant Bacteria. BMC Pharmacol. Toxicol. 2021, 22, 42. [Google Scholar] [CrossRef] [PubMed]
- Andersson, D.I.; Balaban, N.Q.; Baquero, F.; Courvalin, P.; Glaser, P.; Gophna, U.; Kishony, R.; Molin, S.; Tønjum, T. Antibiotic Resistance: Turning Evolutionary Principles into Clinical Reality. FEMS Microbiol. Rev. 2020, 44, 171–188. [Google Scholar] [CrossRef]
- Ran, C.; Qin, C.; Xie, M.; Zhang, J.; Li, J.; Xie, Y.; Wang, Y.; Li, S.; Liu, L.; Fu, X.; et al. Aeromonas Veronii and Aerolysin Are Important for the Pathogenesis of Motile Aeromonad Septicemia in Cyprinid Fish. Environ. Microbiol. 2018, 20, 3442–3456. [Google Scholar] [CrossRef]
- Eid, H.; Soliman, Z.; Hanafy, A.-S. Molecular Detection of Some Virulence Genes in Aeromonas Species Isolated from Fishes and Water of Manzala Lake. Suez. Canal Vet. Med. J. SCVMJ 2019, 24, 231–243. [Google Scholar] [CrossRef]
- Chandrarathna, H.P.S.U.; Nikapitiya, C.; Dananjaya, S.H.S.; Wijerathne, C.U.B.; Wimalasena, S.H.M.P.; Kwun, H.J.; Heo, G.J.; Lee, J.; de Zoysa, M. Outcome of Co-Infection with Opportunistic and Multidrug Resistant Aeromonas Hydrophila and A. Veronii in Zebrafish: Identification, Characterization, Pathogenicity and Immune Responses. Fish Shellfish Immunol. 2018, 80, 573–581. [Google Scholar] [CrossRef]
- Li, J.; Ni, X.D.; Liu, Y.J.; Lu, C.P. Detection of Three Virulence Genes Alt, Ahp and AerA in Aeromonas Hydrophila and Their Relationship with Actual Virulence to Zebrafish. J. Appl. Microbiol. 2011, 110, 823–830. [Google Scholar] [CrossRef]
- Mangar, P.; Barman, P.; Kumar, A.; Saha, A.; Saha, D. Detection of Virulence-Associated Genes and in Vitro Gene Transfer From Aeromonas Sp. Isolated From Aquatic Environments of Sub-Himalayan West Bengal. Front. Vet. Sci. 2022, 9, 887174. [Google Scholar] [CrossRef]
- Cascón, A.; Yugueros, J.; Temprano, A.; Sánchez, M.; Hernanz, C.; Luengo, J.M.; Naharro, G. A Major Secreted Elastase Is Essential for Pathogenicity of Aeromonas Hydrophila. Infect. Immun. 2000, 68, 3233. [Google Scholar] [CrossRef]
- Chacón, M.R.; Soler, L.; Groisman, E.A.; Guarro, J.; Figueras, M.J. Type III Secretion System Genes in Clinical Aeromonas Isolates. J. Clin. Microbiol. 2004, 42, 1285. [Google Scholar] [CrossRef]
- Hueck, C.J. Type III Protein Secretion Systems in Bacterial Pathogens of Animals and Plants. Microbiol. Mol. Biol. Rev. 1998, 62, 379–433. [Google Scholar] [CrossRef]
- Burr, S.E.; Stuber, K.; Frey, J. The ADP-Ribosylating Toxin, AexT, from Aeromonas Salmonicida Subsp. Salmonicida Is Translocated via a Type III Secretion Pathway. J. Bacteriol. 2003, 185, 6583–6591. [Google Scholar] [CrossRef]
- Patnaik, B.B.; Wang, T.H.; Kang, S.W.; Hwang, H.J.; Park, S.Y.; Park, E.B.; Chung, J.M.; Song, D.K.; Kim, C.; Kim, S.; et al. Sequencing, De Novo Assembly, and Annotation of the Transcriptome of the Endangered Freshwater Pearl Bivalve, Cristaria Plicata, Provides Novel Insights into Functional Genes and Marker Discovery. PLoS ONE 2016, 11, e0148622. [Google Scholar] [CrossRef] [PubMed]
- Zhou, A.; Xie, S.; Sun, D.; Liu, S.; Zhang, C.; Sun, Z.; Zhang, Y.; Chen, Y.; Zou, J. Expression of HSP70 Family MRNAs in Albino Northern Snakehead, Channa Argus: Response to Extreme Temperature Stress and Bacterial Infection. Fish Shellfish Immunol. 2020, 104, 457–469. [Google Scholar] [CrossRef] [PubMed]
- Wu, T.; Tanguay, R.M. Antibodies against Heat Shock Proteins in Environmental Stresses and Diseases: Friend or Foe? Cell Stress Chaperones 2006, 11, 1. [Google Scholar] [CrossRef] [PubMed]
- Barton, B.A. Stress in Fishes: A Diversity of Responses with Particular Reference to Changes in Circulating Corticosteroids. Integr. Comp. Biol. 2002, 42, 517–525. [Google Scholar] [CrossRef] [PubMed]
- Barton, B.A.; Iwama, G.K. Physiological Changes in Fish from Stress in Aquaculture with Emphasis on the Response and Effects of Corticosteroids. Annu. Rev. Fish Dis. 1991, 1, 3–26. [Google Scholar] [CrossRef]
- Declercq, A.M.; Aerts, J.; Ampe, B.; Haesebrouck, F.; de Saeger, S.; Decostere, A. Cortisol Directly Impacts Flavobacterium Columnare in Vitro Growth Characteristics. Vet. Res. 2016, 47, 84. [Google Scholar] [CrossRef]
- Gupta, S.K.; Sarkar, B.; Priyam, M.; Kumar, N.; Naskar, S.; Foysal, M.J.; Saurabh, S.; Sharma, T.R. Inflammatory and Stress Biomarker Response of Aeromonas Hydrophila Infected Rohu, Labeo Rohita Fingerlings to Dietary Microbial Levan. Aquaculture 2020, 521, 735020. [Google Scholar] [CrossRef]







| Sl. No | Test | ON346527 | Pei. et al., 2021 [17] | Dong et al., 2017 [48] | Abott et al., 2003 [49] |
|---|---|---|---|---|---|
| 1 | ONPG | + | ND | + | + |
| 2 | Urease | + | ND | − | − |
| 3 | Nitrate reduction | + | ND | ND | ND |
| 4 | Citrate utilization | + | + | ND | + |
| 5 | Methyl red | + | ND | + | ND |
| 6 | Indole | + | + | + | + |
| 7 | Malonate utilization | + | ND | ND | − |
| 8 | Saccharose | + | ND | + | ND |
| 9 | Trehalose | + | + | ND | ND |
| 10 | Glucose | + | + | + | + |
| 11 | Lysine utilization | + | ND | + | ND |
| 12 | Ornithine utilization | − | N.D. | − | ND |
| 13 | Phenylalanine deamination | − | ND | ND | ND |
| 14 | H2S production | − | ND | ND | ND |
| 15 | Voges Proskauer’s | − | + | − | ND |
| 16 | Esculin hydrolysis | − | − | ND | − |
| 17 | Arabinose | − | N.D. | − | ND |
| 18 | Xylose | − | − | ND | ND |
| 19 | Adonitol | − | ND | ND | − |
| 20 | Rhamnose | − | N.D. | − | − |
| 21 | Cellobiose | − | − | ND | + |
| 22 | Melibiose | − | − | − | − |
| 23 | Raffinose | − | − | ND | − |
| 24 | lactose | − | − | ND | − |
| 25 | Oxidase | + | + | ND | ND |
| 26 | Caseinase | + | + | + | + |
| 27 | Esterase | + | + | + | + |
| 28 | Amylase | + | + | + | + |
| 29 | Lecithinase | + | + | + | + |
| Protein Product | Target Gene | Amplicon Size | Detection |
|---|---|---|---|
| Aerolysin | aerA | 431 | + |
| Cytotoxic enterotoxin | ac | 232 | + |
| serine protease | ser | 350 | + |
| Glycerophospholipid: cholesterol acyltransferase | gcaT | 237 | − |
| Lipase | Lip | 382 | − |
| Cytotonic enterotoxin | ast | 331 | − |
| Heat-labile cytotonic enterotoxin | alt | 442 | + |
| Elastase | ahyB | 513 | − |
| DNase | exu | 323 | + |
| Hemolysins | hlyA | 597 | − |
| Type III Secretion System | ascV | 891 | + |
Disclaimer/Publisher’s Note: The statements, opinions and data contained in all publications are solely those of the individual author(s) and contributor(s) and not of MDPI and/or the editor(s). MDPI and/or the editor(s) disclaim responsibility for any injury to people or property resulting from any ideas, methods, instructions or products referred to in the content. |
© 2023 by the authors. Licensee MDPI, Basel, Switzerland. This article is an open access article distributed under the terms and conditions of the Creative Commons Attribution (CC BY) license (https://creativecommons.org/licenses/by/4.0/).
Share and Cite
Behera, B.K.; Parida, S.N.; Kumar, V.; Swain, H.S.; Parida, P.K.; Bisai, K.; Dhar, S.; Das, B.K. Aeromonas veronii Is a Lethal Pathogen Isolated from Gut of Infected Labeo rohita: Molecular Insight to Understand the Bacterial Virulence and Its Induced Host Immunity. Pathogens 2023, 12, 598. https://doi.org/10.3390/pathogens12040598
Behera BK, Parida SN, Kumar V, Swain HS, Parida PK, Bisai K, Dhar S, Das BK. Aeromonas veronii Is a Lethal Pathogen Isolated from Gut of Infected Labeo rohita: Molecular Insight to Understand the Bacterial Virulence and Its Induced Host Immunity. Pathogens. 2023; 12(4):598. https://doi.org/10.3390/pathogens12040598
Chicago/Turabian StyleBehera, Bijay Kumar, Satya Narayan Parida, Vikash Kumar, Himanshu Sekhar Swain, Pranaya Kumar Parida, Kampan Bisai, Souvik Dhar, and Basanta Kumar Das. 2023. "Aeromonas veronii Is a Lethal Pathogen Isolated from Gut of Infected Labeo rohita: Molecular Insight to Understand the Bacterial Virulence and Its Induced Host Immunity" Pathogens 12, no. 4: 598. https://doi.org/10.3390/pathogens12040598
APA StyleBehera, B. K., Parida, S. N., Kumar, V., Swain, H. S., Parida, P. K., Bisai, K., Dhar, S., & Das, B. K. (2023). Aeromonas veronii Is a Lethal Pathogen Isolated from Gut of Infected Labeo rohita: Molecular Insight to Understand the Bacterial Virulence and Its Induced Host Immunity. Pathogens, 12(4), 598. https://doi.org/10.3390/pathogens12040598

