Proof of Concept of a Novel Multiepitope Recombinant Protein for the Serodiagnosis of Patients with Chagas Disease
Abstract
1. Introduction
2. Materials and Methods
2.1. Strains, Reagents, and Samples
2.2. Serum Samples
2.3. Design of the Synthetic Gene, Cloning, and Expression
2.4. Purification of the rTC
2.5. Electrophoresis and Western Blotting
2.6. ELISA Assay
2.7. Statistical Analyses
3. Results
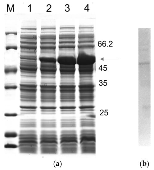
3.1. Design, Expression, and Purification of the rTC
3.2. ELISA—Human Anti-IgG Chagas Recognized rTC
4. Discussion
5. Conclusions
6. Patents
Author Contributions
Funding
Institutional Review Board Statement
Informed Consent Statement
Data Availability Statement
Acknowledgments
Conflicts of Interest
References
- de Fuentes-Vicente, J.A.; Vidal-López, D.G.; Flores-Villegas, A.L.; Moreno-Rodríguez, A.; de Alba-Alvarado, M.C.; Salazar-Schettino, P.M.; Rodríguez-López, M.H.; Gutiérrez-Cabrera, A.E. Trypanosoma Cruzi: A Review of Biological and Methodological Factors in Mexican Strains. Acta Trop. 2019, 195, 51–57. [Google Scholar] [CrossRef]
- Chagas, C. Nova Tripanozomiaze Humana: Estudos Sobre a Morfolojia e o Ciclo Evolutivo Do Schizotrypanum cruzi n. Gen., n. Sp., Ajente Etiolojico de Nova Entidade Morbida Do Homem. Mem. Inst. Oswaldo Cruz. 1909, 1, 159–218. [Google Scholar] [CrossRef]
- Nunes, M.C.P.; Dones, W.; Morillo, C.A.; Encina, J.J.; Ribeiro, A.L. Chagas Disease: An Overview of Clinical and Epidemiological Aspects. J. Am. Coll. Cardiol. 2013, 62, 767–776. [Google Scholar] [CrossRef]
- Acosta-Herrera, M.; Strauss, M.; Casares-Marfil, D.; Martín, J. Genomic Medicine in Chagas Disease. Acta Trop. 2019, 197, 105062. [Google Scholar] [CrossRef] [PubMed]
- PAHO Chagas Disease. Available online: https://www.paho.org/en/topics/chagas-disease (accessed on 12 October 2022).
- Antinori, S.; Galimberti, L.; Bianco, R.; Grande, R.; Galli, M.; Corbellino, M. Chagas Disease in Europe: A Review for the Internist in the Globalized World. Eur. J. Intern. Med. 2017, 43, 6–15. [Google Scholar] [CrossRef] [PubMed]
- Dos Santos, F.A.C.; Braga, A.P.C.; Ferreira, I.S.; Arêde, M.D.P.S.P.; Baetas, A.L.F.D.; Silva, M.V.A.; Lima, L.S.A. Avaliação Da Prevalência e Do Perfil Epidemiológico da Doença de Chagas Aguda Entre 2014 e 2017 No Estado Do Pará, Brasil. Braz. J. Health Rev. 2020, 3, 8974–8982. [Google Scholar] [CrossRef]
- Echavarría, N.G.; Echeverría, L.E.; Stewart, M.; Gallego, C.; Saldarriaga, C. Chagas Disease: Chronic Chagas Cardiomyopathy. Curr. Probl. Cardiol. 2021, 46, 100507. [Google Scholar] [CrossRef] [PubMed]
- Bern, C. Chagas’ Disease. N. Engl. J. Med. 2015, 373, 456–466. [Google Scholar] [CrossRef]
- Hughes, J.M.; Wilson, M.E.; Shikanai-Yasuda, M.A.; Carvalho, N.B. Oral Transmission of Chagas Disease. Clin. Infect. Dis. 2012, 54, 845–852. [Google Scholar] [CrossRef]
- Bern, C.; Messenger, L.A.; Whitman, J.D.; Maguire, J.H. Chagas Disease in the United States: A Public Health Approach. Clin. Microbiol. Rev. 2020, 33, e00023-19. [Google Scholar] [CrossRef] [PubMed]
- Tanowitz, H.B.; Kirchhoff, L.v.; Simon, D.; Morris, S.A.; Weiss, L.M.; Wittner, M. Chagas’ Disease. Clin. Microbiol. Rev. 1992, 5, 400. [Google Scholar] [CrossRef] [PubMed]
- Candia-Puma, M.A.; Machaca-Luque, L.Y.; Roque-Pumahuanca, B.M.; Galdino, A.S.; Giunchetti, R.C.; Coelho, E.A.F.; Chávez-Fumagalli, M.A. Accuracy of Diagnostic Tests for the Detection of Chagas Disease: A Systematic Review and Meta-Analysis. Diagnostics 2022, 12, 2752. [Google Scholar] [CrossRef]
- Machado, F.S.; Dutra, W.O.; Esper, L.; Gollob, K.J.; Teixeira, M.M.; Factor, S.M.; Weiss, L.M.; Nagajyothi, F.; Tanowitz, H.B.; Garg, N.J. Current Understanding of Immunity to Trypanosoma cruzi Infection and Pathogenesis of Chagas Disease. Semin. Immunopathol. 2012, 34, 753–770. [Google Scholar] [CrossRef] [PubMed]
- Abras, A.; Ballart, C.; Fernández-Arévalo, A.; Llovet, T.; Gállego, M.; Muñoz, C. ARCHITECT Chagas® as a Single Test Candidate for Chagas Disease Diagnosis: Evaluation of Two Algorithms Implemented in a Non-Endemic Setting. Clin. Microbiol. Infect. 2021, 27, 782.e1–782.e6. [Google Scholar] [CrossRef]
- Flores-Chávez, M.; Cruz, I.; Rodríguez, M.; Nieto, J.; Franco, E.; Gárate, T.; Cañavate, C. Comparación de Técnicas Serológicas Convencionales y No Convencionales Para El Diagnóstico de La Enfermedad de Chagas Importada En España. Enferm. Infecc. Microbiol. Clin. 2010, 28, 284–293. [Google Scholar] [CrossRef] [PubMed]
- Alonso-Padilla, J.; Cortés-Serra, N.; Pinazo, M.J.; Bottazzi, M.E.; Abril, M.; Barreira, F.; Sosa-Estani, S.; Hotez, P.J.; Gascón, J. Strategies to Enhance Access to Diagnosis and Treatment for Chagas Disease Patients in Latin America. Expert Rev. Anti-Infect. Ther. 2019, 17, 145–157. [Google Scholar] [CrossRef]
- Alonso-Padilla, J.; Gallego, M.; Schijman, A.G.; Gascon, J. Molecular Diagnostics for Chagas Disease: Up to Date and Novel Methodologies. Expert Rev. Mol. Diagn. 2017, 17, 699–710. [Google Scholar] [CrossRef]
- Suárez, C.; Nolder, D.; García-Mingo, A.; Moore, D.A.J.; Chiodini, P.L. Diagnosis and Clinical Management of Chagas Disease: An Increasing Challenge in Non-Endemic Areas. Res. Rep. Trop. Med. 2022, 13, 25. [Google Scholar] [CrossRef] [PubMed]
- Cisneros, J.S.; Chain, C.Y.; Daza Millone, M.A.; Labriola, C.A.; Scollo, K.; Ruiz, A.M.; Estrela, P.; Vela, M.E. Electrochemical Impedance Biosensor for Chagas Disease Diagnosis in Clinical Samples. Biosens. Bioelectron. X 2022, 12, 100261. [Google Scholar] [CrossRef]
- Guzmán-Gómez, D.; López-Monteon, A.; de La Soledad Lagunes-Castro, M.; Álvarez-Martínez, C.; Hernández-Lutzon, M.J.; Dumonteil, E.; Ramos-Ligonio, A. Highly Discordant Serology against Trypanosoma cruzi in Central Veracruz, Mexico: Role of the Antigen Used for Diagnostic. Parasit. Vectors 2015, 8, 1–8. [Google Scholar] [CrossRef]
- Pérez-Molina, J.A.; Molina, I. Chagas Disease. Lancet 2018, 391, 82–94. [Google Scholar] [CrossRef]
- Ferreira-Silva, M.M.; de Araújo Pereira, G.; Rodrigues-Júnior, V.; Meira, W.S.; Basques, F.v.; Langhi-Júnior, D.M.; Romanelli, M.; Umezawa, E.S.; Késper-Júnior, N.; Louzada-Neto, F.; et al. Chagas Disease: Performance Analysis of Immunodiagnostic Tests Anti-Trypanosoma cruzi in Blood Donors with Inconclusive Screening Results. Hematol. Transfus. Cell. Ther. 2021, 43, 410–416. [Google Scholar] [CrossRef] [PubMed]
- Imai, K.; Murakami, T.; Misawa, K.; Fujikura, Y.; Kawana, A.; Tarumoto, N.; Maesaki, S.; Maeda, T. Optimization and Evaluation of the ARCHITECT Chagas Assay and In-House ELISA for Chagas Disease in Clinical Settings in Japan. Parasitol. Int. 2021, 80, 102221. [Google Scholar] [CrossRef]
- Angheben, A. Air in the Tires: Towards an Achievable, Efficacious and Timely Diagnosis for Chagas Disease. Mem. Inst. Oswaldo Cruz. 2022, 117. [Google Scholar] [CrossRef] [PubMed]
- Pan American Health Organization (PAHO). Guidelines for the Diagnosis and Treatment of Chagas Disease; PAHO: Washington, DC, USA, 2019. [Google Scholar]
- Echeverria, L.E.; Morillo, C.A. American Trypanosomiasis (Chagas Disease). Infect. Dis. Clin. N. Am. 2019, 33, 119–134. [Google Scholar] [CrossRef]
- Chadalawada, S.; Sillau, S.; Archuleta, S.; Mundo, W.; Bandali, M.; Parra-Henao, G.; Rodriguez-Morales, A.J.; Villamil-Gomez, W.E.; Suárez, J.A.; Shapiro, L.; et al. Risk of Chronic Cardiomyopathy Among Patients with the Acute Phase or Indeterminate Form of Chagas Disease. JAMA Netw. Open 2020, 3, e2015072. [Google Scholar] [CrossRef]
- World Health Organization. Control of Chagas Disease: Second Report of the WHO Expert Committee; WHO Technical Report Series 905; World Health Organization: Geneva, Switzerland, 2002. [Google Scholar]
- Rocha, M.O.; Teixeira, M.M.; Ribeiro, A.L. An Update on the Management of Chagas Cardiomyopathy. Expert Rev. Anti-Infect Ther. 2007, 5, 727–743. [Google Scholar] [CrossRef]
- Longhi, S.A.; Brandariz, S.B.; Lafon, S.O.; Niborski, L.L.; Luquetti, A.O.; Schijman, A.G.; Levin, M.J.; Gómez, K.A. Evaluation of In-house ELISA using Trypanosoma cruzi Lysate and Recombinant Antigens for Diagnosis of Chagas Disease and Discrimination of Its Clinical Forms. Am. J. Trop. Med. Hyg. 2012, 87, 267–271. [Google Scholar] [CrossRef]
- Abras, A.; Gállego, M.; Llovet, T.; Tebar, S.; Herrero, M.; Berenguer, P.; Ballart, C.; Martí, C.; Muñoz, C. Serological Diagnosis of Chronic Chagas Disease: Is It Time for a Change? J. Clin. Microbiol. 2016, 54, 1566–1572. [Google Scholar] [CrossRef]
- Balouz, V.; Agüero, F.; Buscaglia, C.A. Chagas Disease Diagnostic Applications. In Advances in Parasitology; Elsevier: Amsterdam, The Netherlands, 2017; pp. 1–45. [Google Scholar]
- Rocha, M.O.C.; Ribeiro, A.L.P.; Teixeira, M.M. Clinical Management of Chronic Chagas Cardiomyopathy. Front. Biosci. 2003, 8, 926. [Google Scholar] [CrossRef]
- Kelly, E.A.; Bulman, C.A.; Gunderson, E.L.; Irish, A.M.; Townsend, R.L.; Sakanari, J.A.; Stramer, S.L.; Bern, C.; Whitman, J.D. Comparative Performance of Latest-Generation and FDA-Cleared Serology Tests for the Diagnosis of Chagas Disease. J. Clin. Microbiol. 2021, 59, e00158-21. [Google Scholar] [CrossRef]
- Whitman, J.D.; Bulman, C.A.; Gunderson, E.L.; Irish, A.M.; Townsend, R.L.; Stramer, S.L.; Sakanari, J.A.; Bern, C. Chagas Disease Serological Test Performance in U.S. Blood Donor Specimens. J. Clin. Microbiol. 2019, 57. [Google Scholar] [CrossRef]
- Truyens, C.; Dumonteil, E.; Alger, J.; Cafferata, M.L.; Ciganda, A.; Gibbons, L.; Herrera, C.; Sosa-Estani, S.; Buekens, P. Geographic Variations in Test Reactivity for the Serological Diagnosis of Trypanosoma Cruzi Infection. J. Clin. Microbiol. 2021, 59, e01062-21. [Google Scholar] [CrossRef]
- Duthie, M.S.; Guderian, J.A.; Vallur, A.C.; Misquith, A.; Liang, H.; Mohamath, R.; Luquetti, A.O.; Carter, D.; Tavares, S.N.B.; Reed, S.G. Multi-Epitope Proteins for Improved Serological Detection of Trypanosoma cruzi Infection and Chagas Disease. Diagn. Microbiol. Infect. Dis. 2016, 84, 191–196. [Google Scholar] [CrossRef]
- Freitas, N.E.M.; Santos, E.F.; Leony, L.M.; Silva, Â.A.O.; Daltro, R.T.; Vasconcelos, L.D.C.M.; Duarte, G.A.; Oliveira da Mota, C.; Silva, E.D.; Celedon, P.A.F.; et al. Double-Antigen Sandwich ELISA Based on Chimeric Antigens for Detection of Antibodies to Trypanosoma cruzi in Human Sera. PLoS Negl. Trop. Dis. 2022, 16, e0010290. [Google Scholar] [CrossRef]
- Dipti, C.A.; Jain, S.K.; Navin, K. A Novel Recombinant Multiepitope Protein as a Hepatitis C Diagnostic Intermediate of High Sensitivity and Specificity. Protein Expr. Purif. 2006, 47, 319–328. [Google Scholar] [CrossRef]
- Ribeiro, P.A.F.; Souza, M.Q.; Dias, D.S.; Álvares, A.C.M.; Nogueira, L.M.; Machado, J.M.; dos Santos, J.C.; Godoi, R.R.; Nobrega, Y.K.M.; Campos-da-Paz, M.; et al. A Custom-Designed Recombinant Multiepitope Protein for Human Cytomegalovirus Diagnosis. Recent Pat. Biotechnol. 2019, 13, 316–328. [Google Scholar] [CrossRef]
- de Souza, M.Q.; Galdino, A.S.; dos Santos, J.C.; Soares, M.V.; de Nóbrega, Y.C.; da Cunha Morales Álvares, A.; de Freitas, S.M.; Torres, F.A.G.; Felipe, M.S.S. A Recombinant Multiepitope Protein for Hepatitis B Diagnosis. Biomed. Res. Int. 2013, 2013, 1–7. [Google Scholar] [CrossRef]
- Galdino, A.S.; Santos, J.C.; Souza, M.Q.; Nóbrega, Y.K.M.; Xavier, M.-A.E.; Felipe, M.S.S.; Freitas, S.M.; Torres, F.A.G. A Novel Structurally Stable Multiepitope Protein for Detection of HCV. Hepat. Res. Treat 2016, 2016, 6592143. [Google Scholar] [CrossRef]
- Anandarao, R.; Swaminathan, S.; Fernando, S.; Jana, A.M.; Khanna, N. Recombinant Multiepitope Protein for Early Detection of Dengue Infections Recombinant Multiepitope Protein for Early Detection of Dengue Infections. Clin. Vaccine Immunol. 2006, 13, 59–67. [Google Scholar] [CrossRef]
- Taherkhani, R.; Farshadpour, F.; Makvandi, M. Design and Production of a Multiepitope Construct Derived from Hepatitis E Virus Capsid Protein. J. Med. Virol. 2015, 87, 1225–1234. [Google Scholar] [CrossRef]
- Thomasini, R.L.; Souza, H.G.A.; Bruna-Romero, O.; Totola, A.H.; Gonçales, N.S.L.; Lima, C.X.; Teixeira, M.M. Evaluation of a Recombinant Multiepitope Antigen for Diagnosis of Hepatitis C Virus: A Lower Cost Alternative for Antigen Production. J. Clin. Lab. Anal. 2018, 32, e22410. [Google Scholar] [CrossRef] [PubMed]
- Yengo, B.N.; Shintouo, C.M.; Hotterbeekx, A.; Yaah, N.E.; Shey, R.A.; Quanico, J.; Baggerman, G.; Ayong, L.; Vanhamme, L.; Njemini, R.; et al. Immunoinformatics Design and Assessment of a Multiepitope Antigen (OvMCBL02) for Onchocerciasis Diagnosis and Monitoring. Diagnostics 2022, 12, 1440. [Google Scholar] [CrossRef]
- Faria, A.R.; de Castro Veloso, L.; Coura-Vital, W.; Reis, A.B.; Damasceno, L.M.; Gazzinelli, R.T.; Andrade, H.M. Novel Recombinant Multiepitope Proteins for the Diagnosis of Asymptomatic Leishmania infantum-Infected Dogs. PLoS Negl. Trop. Dis. 2015, 9, e3429. [Google Scholar] [CrossRef]
- Jameie, F.; Dalimi, A.; Pirestani, M.; Mohebali, M. Detection of Leishmania infantum Infection in Reservoir Dogs Using a Multiepitope Recombinant Protein (PQ10). Arch. Razi. Inst. 2020, 75, 327–338. [Google Scholar] [CrossRef]
- Houghton, R.L.; Benson, D.R.; Reynolds, L.; McNeill, P.; Sleath, P.; Lodes, M.; Skeiky, Y.A.W.; Badaro, R.; Krettli, A.U.; Reed, S.G. Multiepitope Synthetic Peptide and Recombinant Protein for the Detection of Antibodies to Trypanosoma cruzi in Patients with Treated or Untreated Chagas’ Disease. J. Infect. Dis. 2000, 181, 325–330. [Google Scholar] [CrossRef] [PubMed][Green Version]
- Camussone, C.; Gonzalez, V.; Belluzo, M.S.; Pujato, N.; Ribone, M.E.; Lagier, C.M.; Marcipar, I.S. Comparison of Recombinant Trypanosoma cruzi Peptide Mixtures versus Multiepitope Chimeric Proteins as Sensitizing Antigens for Immunodiagnosis. Clin. Vaccine Immunol. 2009, 16, 899–905. [Google Scholar] [CrossRef] [PubMed]
- Peverengo, L.M.; Garcia, V.; Rodeles, L.M.; Mendicino, D.; Vicco, M.; Lagier, C.; Gonzalez, V.; Gugliotta, L.; Marcipar, I. Development and Assessment of an Improved Recombinant Multiepitope Antigen-Based Immunoassay to Diagnose Chronic Chagas Disease. Parasitology 2018, 145, 1594–1599. [Google Scholar] [CrossRef]
- Jackson, Y.; Chatelain, E.; Mauris, A.; Holst, M.; Miao, Q.; Chappuis, F.; Ndao, M. Serological and Parasitological Response in Chronic Chagas Patients 3 Years after Nifurtimox Treatment. BMC Infect. Dis. 2013, 13, 85. [Google Scholar] [CrossRef]
- Bartsch, S.M.; Avelis, C.M.; Asti, L.; Hertenstein, D.L.; Ndeffo-Mbah, M.; Galvani, A.; Lee, B.Y. The Economic Value of Identifying and Treating Chagas Disease Patients Earlier and the Impact on Trypanosoma cruzi Transmission. PLoS Negl. Trop. Dis. 2018, 12, e0006809. [Google Scholar] [CrossRef]
- Daltro, R.T.; Leony, L.M.; Freitas, N.E.M.; Silva, Â.A.O.; Santos, E.F.; Del-Rei, R.P.; Brito, M.E.F.; Brandão-Filho, S.P.; Gomes, Y.M.; Silva, M.S.; et al. Cross-Reactivity Using Chimeric Trypanosoma cruzi Antigens: Diagnostic Performance in Settings Where Chagas Disease and American Cutaneous or Visceral Leishmaniasis Are Coendemic. J. Clin. Microbiol. 2019, 57, e00762-19. [Google Scholar] [CrossRef]




Disclaimer/Publisher’s Note: The statements, opinions and data contained in all publications are solely those of the individual author(s) and contributor(s) and not of MDPI and/or the editor(s). MDPI and/or the editor(s) disclaim responsibility for any injury to people or property resulting from any ideas, methods, instructions or products referred to in the content. |
© 2023 by the authors. Licensee MDPI, Basel, Switzerland. This article is an open access article distributed under the terms and conditions of the Creative Commons Attribution (CC BY) license (https://creativecommons.org/licenses/by/4.0/).
Share and Cite
Machado, J.M.; Pereira, I.A.G.; Maia, A.C.G.; Francisco, M.F.C.; Nogueira, L.M.; Gandra, I.B.; Ribeiro, A.J.; Silva, K.A.; Resende, C.A.A.; da Silva, J.O.; et al. Proof of Concept of a Novel Multiepitope Recombinant Protein for the Serodiagnosis of Patients with Chagas Disease. Pathogens 2023, 12, 312. https://doi.org/10.3390/pathogens12020312
Machado JM, Pereira IAG, Maia ACG, Francisco MFC, Nogueira LM, Gandra IB, Ribeiro AJ, Silva KA, Resende CAA, da Silva JO, et al. Proof of Concept of a Novel Multiepitope Recombinant Protein for the Serodiagnosis of Patients with Chagas Disease. Pathogens. 2023; 12(2):312. https://doi.org/10.3390/pathogens12020312
Chicago/Turabian StyleMachado, Juliana Martins, Isabela Amorim Gonçalves Pereira, Ana Clara Gontijo Maia, Mariana Ferraz Chaves Francisco, Lais Moreira Nogueira, Isadora Braga Gandra, Anna Julia Ribeiro, Kamila Alves Silva, Carlos Ananias Aparecido Resende, Jonatas Oliveira da Silva, and et al. 2023. "Proof of Concept of a Novel Multiepitope Recombinant Protein for the Serodiagnosis of Patients with Chagas Disease" Pathogens 12, no. 2: 312. https://doi.org/10.3390/pathogens12020312
APA StyleMachado, J. M., Pereira, I. A. G., Maia, A. C. G., Francisco, M. F. C., Nogueira, L. M., Gandra, I. B., Ribeiro, A. J., Silva, K. A., Resende, C. A. A., da Silva, J. O., dos Santos, M., Gonçalves, A. A. M., Tavares, G. d. S. V., Chávez-Fumagalli, M. A., Campos-da-Paz, M., Giunchetti, R. C., Rocha, M. O. d. C., Chaves, A. T., Coelho, E. A. F., & Galdino, A. S. (2023). Proof of Concept of a Novel Multiepitope Recombinant Protein for the Serodiagnosis of Patients with Chagas Disease. Pathogens, 12(2), 312. https://doi.org/10.3390/pathogens12020312

