Systemic Infection by Angiostrongylus vasorum in a Fennec (Vulpes zerda) in an Italian Zoological Garden
Abstract
:1. Introduction
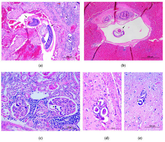
2. Case Presentation
3. Discussion
Author Contributions
Funding
Institutional Review Board Statement
Informed Consent Statement
Data Availability Statement
Conflicts of Interest
References
- Morgan, E.R.; Modry, D.; Paredes-Esquivel, C.; Foronda, P.; Traversa, D. Angiostrongylosis in Animals and Humans in Europe. Pathogens 2021, 10, 1236. [Google Scholar] [CrossRef] [PubMed]
- Elsheikha, H.M.; Holmes, S.A.; Wright, I.; Morgan, E.R.; Lacher, D.W. Recent advances in the epidemiology, clinical and diagnostic features, and control of canine cardio-pulmonary angiostrongylosis. Vet. Res. 2014, 45, 92. [Google Scholar] [CrossRef] [PubMed]
- Koch, J.; Willesen, J.L. Canine pulmonary angiostrongylosis: An update. Vet. J. 2009, 179, 348–359. [Google Scholar] [CrossRef] [PubMed]
- De Liberato, C.; Grifoni, G.; Lorenzetti, R.; Meoli, R.; Cocumelli, C.; Mastromattei, A.; Scholl, F.; Rombolà, P.; Calderini, P.; Bruni, G.; et al. Angiostrongylus vasorum in wolves in Italy: Prevalence and pathological findings. Parasites Vectors 2017, 10, 386. [Google Scholar] [CrossRef] [PubMed]
- Lemming, L.; Jørgensen, A.C.; Nielsen, L.B.; Nielsen, S.T.; Mejer, H.; Chriél, M.; Petersen, H.H. Cardiopulmonary nematodes of wild carnivores from Denmark: Do they serve as reservoir hosts for infections in domestic animals? Int. J. Parasitol. Parasites Wildl. 2020, 13, 90–97. [Google Scholar] [CrossRef]
- Bolt, G.; Monrad, J.; Koch, J.; Jensen, A.L. Canine angiostrongylosis: A review. Vet. Rec. 1994, 135, 447–452. [Google Scholar] [CrossRef] [PubMed]
- Bourque, A.; Whitney, H.; Conboy, G. Angiostrongylus vasorum infection in a coyote (Canis latrans) from Newfoundland and Labrador, Canada. J. Wildl. Dis. 2005, 41, 816–819. [Google Scholar] [CrossRef]
- Chapman, P.S.; Boag, A.K.; Guitian, J.; Boswood, A. Angiostrongylus vasorum infection in 23 dogs (1999–2002). J. Small Anim. Pract. 2004, 45, 435–440. [Google Scholar] [CrossRef]
- Morgan, E.R.; Tomlinson, A.; Hunter, S.; Nichols, T.; Roberts, E.; Fox, M.T.; Taylor, M.A. Angiostrongylus vasorum and Eucoleus aerophilus in foxes (Vulpes vulpes) in Great Britain. Vet. Parasitol. 2008, 154, 48–57. [Google Scholar] [CrossRef]
- Patterson-Kane, J.C.; Gibbons, L.M.; Jefferies, R.; Morgan, E.R.; Wenzlow, N.; Redrobe, S.P. Pneumonia from Angiostrongylus vasorum infection in a red panda (Ailurus fulgens fulgens). J. Veter. Diagn. Investig. 2009, 21, 270–273. [Google Scholar] [CrossRef] [Green Version]
- Eleni, C.; Grifoni, G.; di Egidio, A.; Meoli, R.; de Liberato, C. Pathological findings of Angiostrongylus vasorum infection in red foxes (Vulpes vulpes) from Central Italy, with the first report of a disseminated infection in this host species. Parasitol. Res. 2014, 113, 1247–1250. [Google Scholar] [CrossRef] [PubMed]
- Traversa, D.; Torbidone, A.; Malatesta, D.; Guglielmini, C. Occurrence of fatal canine Angiostrongylus vasrorum infection in Italy. Vet. Parasitol. 2008, 152, 162–166. [Google Scholar] [CrossRef] [PubMed]
- Nicolle, A.P.; Chetboul, V.; Tessier-Vetzel, D.; Carlos Sampedrano, C.; Aletti, E.; Pouchelon, J.L. Severe pulmonary arterial hypertension due to Angiostrongylosus vasorum in a dog. Can. Vet. J. 2006, 47, 792–795. [Google Scholar] [PubMed]
- Szatmári, V. Spontaneous tricuspid valve chordal rupture in a dog with severe, irreversible pulmonary hypertension caused by Angiostrongylus vasorum infection. BMC Vet. Res. 2020, 16, 311. [Google Scholar] [CrossRef]
- Gredal, H.; Willesen, J.L.; Jensen, H.E.; Nielsen, O.L.; Kristensen, A.T.; Koch, J.; Kirk, R.K.; Pors, S.E.; Skerritt, G.C.; Berendt, M. Acute neurological signs as the predominant clinical manifestation in four dogs with Angiostrongylus vasorum infections in Denmark. Acta Vet. Scand. 2011, 53, 43. [Google Scholar] [CrossRef] [PubMed]
- Garosi, L.S.; Platt, S.R.; McConnell, J.F.; Wrayt, J.D.; Smith, K.C. Intracranial haemorrhage associated with Angiostrongylus vasorum infection in three dogs. J. Small Anim. Pract. 2005, 46, 93–99. [Google Scholar] [CrossRef]
- Perry, A.W.; Hertling, R.; Kennedy, M.J. Angiostrongylosis with disseminated larval infection associated with signs of ocular and nervous disease in an imported dog. Can. Vet. J. 1991, 32, 430–431. [Google Scholar]
- Jolly, S.; Poncelet, L.; Lempereur, L.; Caron, Y.; Bayrou, C.; Cassart, D.; Grimm, F.; Losson, B. First report of a fatal autochthonous canine Angiostrongylus vasorum infection in Belgium. Parasitol. Int. 2015, 64, 97–99. [Google Scholar] [CrossRef]
- Benda, T.; Csivincsik, Á.; Nemes, C.; Turbók, J.; Zsolnai, A.; Simonyai, E.; Majoros, G.; Nagy, G. Lethal Angiostrongylus vasorum infection in a Hungarian dog. Acta Parasitol. 2017, 62, 221–224. [Google Scholar] [CrossRef]
- Yamakawa, Y.; McGarry, J.W.; Denk, D.; Dukes-McEwan, J.; Macdonald, N.; Mas, A.; McConnell, F.; Tatton, B.; Valentine, E.G.; Wayne, J.; et al. Emerging canine angiostrongylosis in northern England: Five fatal cases. Vet. Rec. 2009, 164, 149–152. [Google Scholar] [CrossRef]
- Bourque, A.C.; Conboy, G.; Miller, L.M.; Whitney, H. Pathological findings in dogs naturally infected with Angiostrongylus vasorum in Newfoundland and Labrador, Canada. J. Vet. Diagn. Investig. 2008, 20, 11–20. [Google Scholar] [CrossRef] [PubMed] [Green Version]
- Caswell, J.L.; Williams, K.J. Respiratory system. In Jubb, Kennedy and Palmer’s Pathology of Domestic Animals, 5th ed.; Maxie, M.G., Jubb, K.V.F., Kennedy, P.C., Palmer, N., Eds.; Saunders Elsevier: Philadelphia, PA, USA, 2007; Volume 2, p. 648. [Google Scholar]
- Colella, V.; Lia, R.P.; Premont, J.; Gilmore, P.; Cervone, M.; Latrofa, M.S.; D’Anna, N.; Williams, D.; Otranto, D. Angiostrongylus vasorum in the eye: New case reports and a review of the literature. Parasites Vectors 2016, 9, 161. [Google Scholar] [CrossRef] [PubMed]
- Lepri, E.; Veronesi, F.; Traversa, D.; Conti, M.B.; Marchesi, M.C.; Miglio, A.; Mandara, M.T. Disseminated angiostrongylosis with massive cardiac and cerebral involvement in a dog from Italy. Parasitol. Res. 2011, 109, 505–508. [Google Scholar] [CrossRef]
- Morgan, E.; Shaw, S. Angiostrongylus vasorum infection in dogs: Continuing spread and developments in diagnosis and treatment. J. Small Anim. Pract. 2010, 51, 616–621. [Google Scholar] [CrossRef] [PubMed]
- Fuehrer, H.P.; Morelli, S.; Unterköfler, M.S.; Bajer, A.; Bakran-Lebl, K.; Dwużnik-Szarek, D.; Farkas, R.; Grandi, G.; Heddergott, M.; Jokelainen, P.; et al. Dirofilaria spp. and Angiostrongylus vasorum: Current Risk of Spreading in Central and Northern Europe. Pathogens 2021, 10, 1268. [Google Scholar] [CrossRef]
- Jefferies, R.; Shaw, S.E.; Willesen, J.; Viney, M.E.; Morgan, E.R. Elucidating the spread of the emerging canid nematode Angiostrongylus vasorum between Palaearctic and Nearctic ecozones. Infect. Genet. Evol. 2010, 10, 561–568. [Google Scholar] [CrossRef] [PubMed]
- Traversa, D.; Di Cesare, A.; Conboy, G. Canine and feline cardiopulmonary parasitic nematodes in Europe: Emerging and underestimated. Parasites Vectors 2010, 3, 62. [Google Scholar] [CrossRef]
- Conboy, G.A. Canine angiostrongylosis: The French heartworm: An emerging threat in North America. Vet. Parasitol. 2011, 176, 382–389. [Google Scholar] [CrossRef]
- Traversa, D.; Di Cesare, A.; Meloni, S.; Frangipane di Regalbono, A.; Milillo, P.; Pampurini, F.; Venco, L. Canine angiostrongylosis in Italy: Occurrence of Angiostrongylus vasorum in dogs with compatible clinical pictures. Parasitol. Res. 2013, 112, 2473–2480. [Google Scholar] [CrossRef]
- Traversa, D.; Morelli, S.; Cassini, R.; Crisi, P.E.; Russi, I.; Grillotti, E.; Manzocchi, S.; Simonato, G.; Beraldo, P.; Viglietti, A.; et al. Occurrence of canine and feline extra-intestinal nematodes in key endemic regions of Italy. Acta Trop. 2019, 193, 227–235. [Google Scholar] [CrossRef]
- Tieri, E.E.; Saletti, M.A.; D’Angelo, A.R.; Parisciani, G.; Pelini, S.; Cocco, A.; Di Teodoro, G.; Di Censo, E.; D’Alterio, N.; Latrofa, M.S.; et al. Angiostrongylus vasorum in foxes (Vulpes vulpes) and wolves (Canis lupus italicus) from Abruzzo region, Italy. Int. J. Parasitol. Parasites Wildl. 2021, 15, 184–194. [Google Scholar] [CrossRef] [PubMed]
- Bertelsen, M.F.; Meyland-Smith, F.; Willesen, J.L.; Jefferies, R.; Morgan, E.R.; Monrad, J. Diversity and prevalence of metastrongyloid nematodes infecting the red panda (Ailurus fulgens) in European zoos. Vet. Parasitol. 2010, 172, 299–304. [Google Scholar] [CrossRef] [PubMed]
- Eleni, C.; di Cesare, A.; Cavicchio, P.; Tonnicchia, M.C.; Meoli, R.; di Regalbono, A.F.; Paoletti, B.; Pietrobelli, M.; de Liberato, C. Fatal Angiostrongylus dujardini infection in callitrichid monkeys and suricates in an Italian zoological garden. Parasitol. Int. 2016, 65, 333–335. [Google Scholar] [CrossRef] [PubMed]
- Avramenko, R.W.; Redman, E.M.; Lewis, R.; Yazwinski, T.A.; Wasmuth, J.D.; Gilleard, J.S. Exploring the Gastrointestinal “Nemabiome”: Deep Amplicon Sequencing to Quantify the Species Composition of Parasitic Nematode Communities. PLoS ONE 2015, 10, e0143559. [Google Scholar] [CrossRef]
- Martin, M. Cutadapt removes adapter sequences from high-throughput sequencing reads. EMBnet J. 2011, 17, 10. [Google Scholar] [CrossRef]
- Callahan, B.J.; McMurdie, P.J.; Rosen, M.J.; Han, A.W.; Johnson, A.J.; Holmes, S.P. DADA2: High-resolution sample inference from Illumina amplicon data. Nat. Methods 2016, 13, 581–583. [Google Scholar] [CrossRef]
- Helm, J.R.; Morgan, E.R.; Jackson, M.W.; Wotton, P.; Bell, R. Canine angiostrongylosis: An emerging disease in Europe. J. Vet. Emerg. Crit. Care 2010, 20, 98–109. [Google Scholar] [CrossRef]
- Graille, M.; Ferté, H.; Petit, T.; Ollivet Courtois, F.; Gauchot, J.Y.; Nougaillon, J.L.; Vitaud, C.; Wardzynski, C.; Lemberger, K. Fatal Parastrongylus dujardini infection in captive callitrichids. Vet. Pathol. 2015, 52, 364–368. [Google Scholar] [CrossRef]
- Carlisle, M.S.; Prociv, P.; Grennan, J.; Pass, M.A.; Campbell, G.L.; Mudie, A. Cerebrospinal angiostrongyliasis in five captive tamarins (Sanguinus spp.). Aust. Vet. J. 1998, 76, 167–170. [Google Scholar] [CrossRef]




Publisher’s Note: MDPI stays neutral with regard to jurisdictional claims in published maps and institutional affiliations. |
© 2022 by the authors. Licensee MDPI, Basel, Switzerland. This article is an open access article distributed under the terms and conditions of the Creative Commons Attribution (CC BY) license (https://creativecommons.org/licenses/by/4.0/).
Share and Cite
Galietta, V.; Eleni, C.; Raso, C.; Cocumelli, C.; Friedrich, K.G.; Di Cerbo, P.; Iurescia, M.; Diaconu, E.L.; Alba, P.; De Liberato, C. Systemic Infection by Angiostrongylus vasorum in a Fennec (Vulpes zerda) in an Italian Zoological Garden. Pathogens 2022, 11, 965. https://doi.org/10.3390/pathogens11090965
Galietta V, Eleni C, Raso C, Cocumelli C, Friedrich KG, Di Cerbo P, Iurescia M, Diaconu EL, Alba P, De Liberato C. Systemic Infection by Angiostrongylus vasorum in a Fennec (Vulpes zerda) in an Italian Zoological Garden. Pathogens. 2022; 11(9):965. https://doi.org/10.3390/pathogens11090965
Chicago/Turabian StyleGalietta, Valentina, Claudia Eleni, Caterina Raso, Cristiano Cocumelli, Klaus G. Friedrich, Pilar Di Cerbo, Manuela Iurescia, Elena L. Diaconu, Patricia Alba, and Claudio De Liberato. 2022. "Systemic Infection by Angiostrongylus vasorum in a Fennec (Vulpes zerda) in an Italian Zoological Garden" Pathogens 11, no. 9: 965. https://doi.org/10.3390/pathogens11090965
APA StyleGalietta, V., Eleni, C., Raso, C., Cocumelli, C., Friedrich, K. G., Di Cerbo, P., Iurescia, M., Diaconu, E. L., Alba, P., & De Liberato, C. (2022). Systemic Infection by Angiostrongylus vasorum in a Fennec (Vulpes zerda) in an Italian Zoological Garden. Pathogens, 11(9), 965. https://doi.org/10.3390/pathogens11090965

