Revealing a Novel Antigen Repressor of Differentiation Kinase 2 for Diagnosis of Human Visceral Leishmaniasis in India
Abstract
:1. Introduction
2. Materials and Methods
2.1. Bioinformatics Analysis of RDK2 Gene
2.2. Biological Samples
2.3. Ethics Statement
2.4. Cloning, Overexpression and Purification of L. donovani RDK2
2.5. Enzyme-Linked Immunosorbent Assay (ELISA)
2.6. Immunoblot Assay
2.7. Data Analysis
3. Results
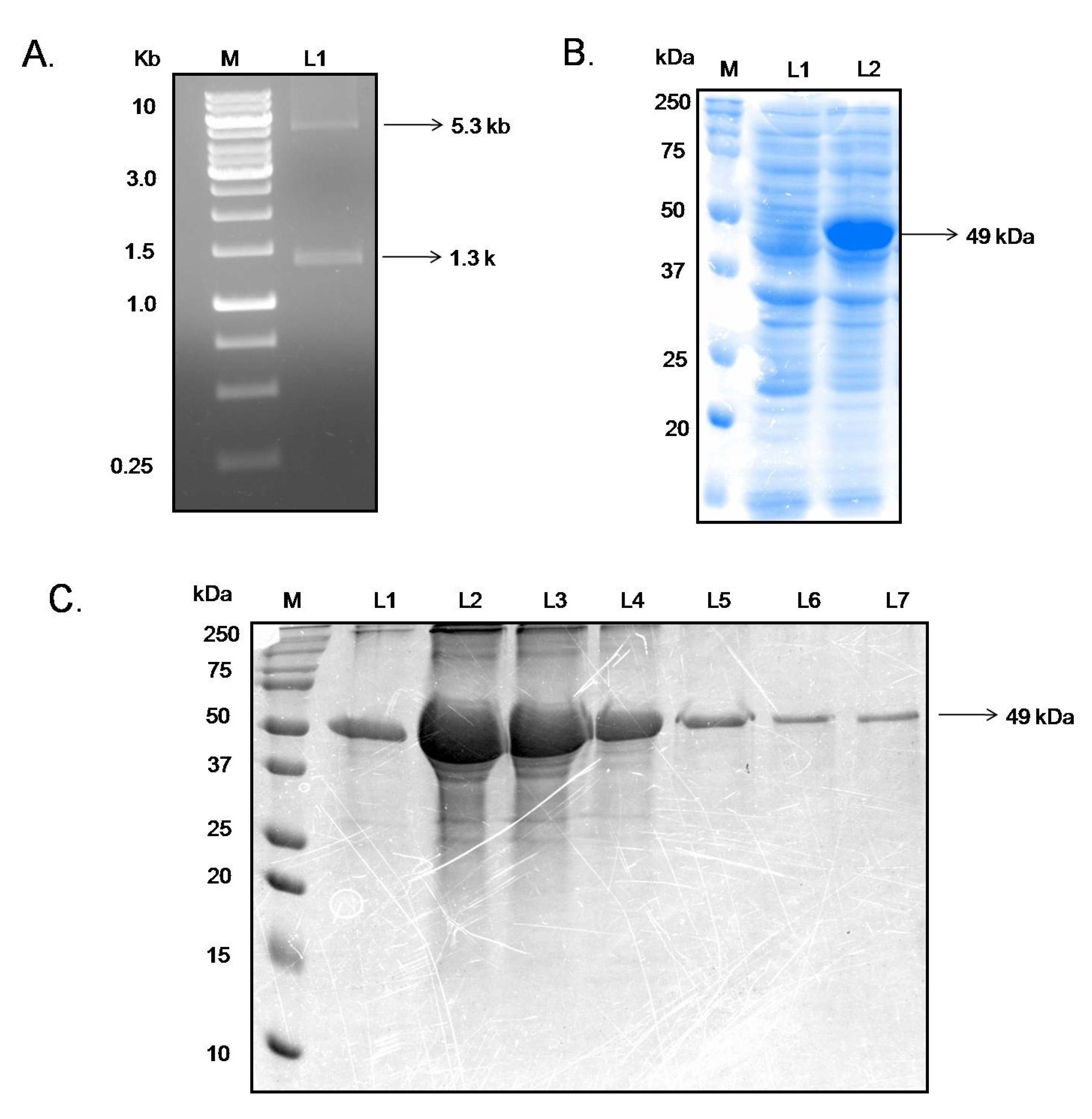
3.1. Identification, Sequence Analysis, Cloning and Purification of RDK2
3.2. ELISA Test with RDK2 for Detection of Serum IgG Antibodies
3.3. ELISA Test with RDK2 for Detection of Urine IgG Antibodies
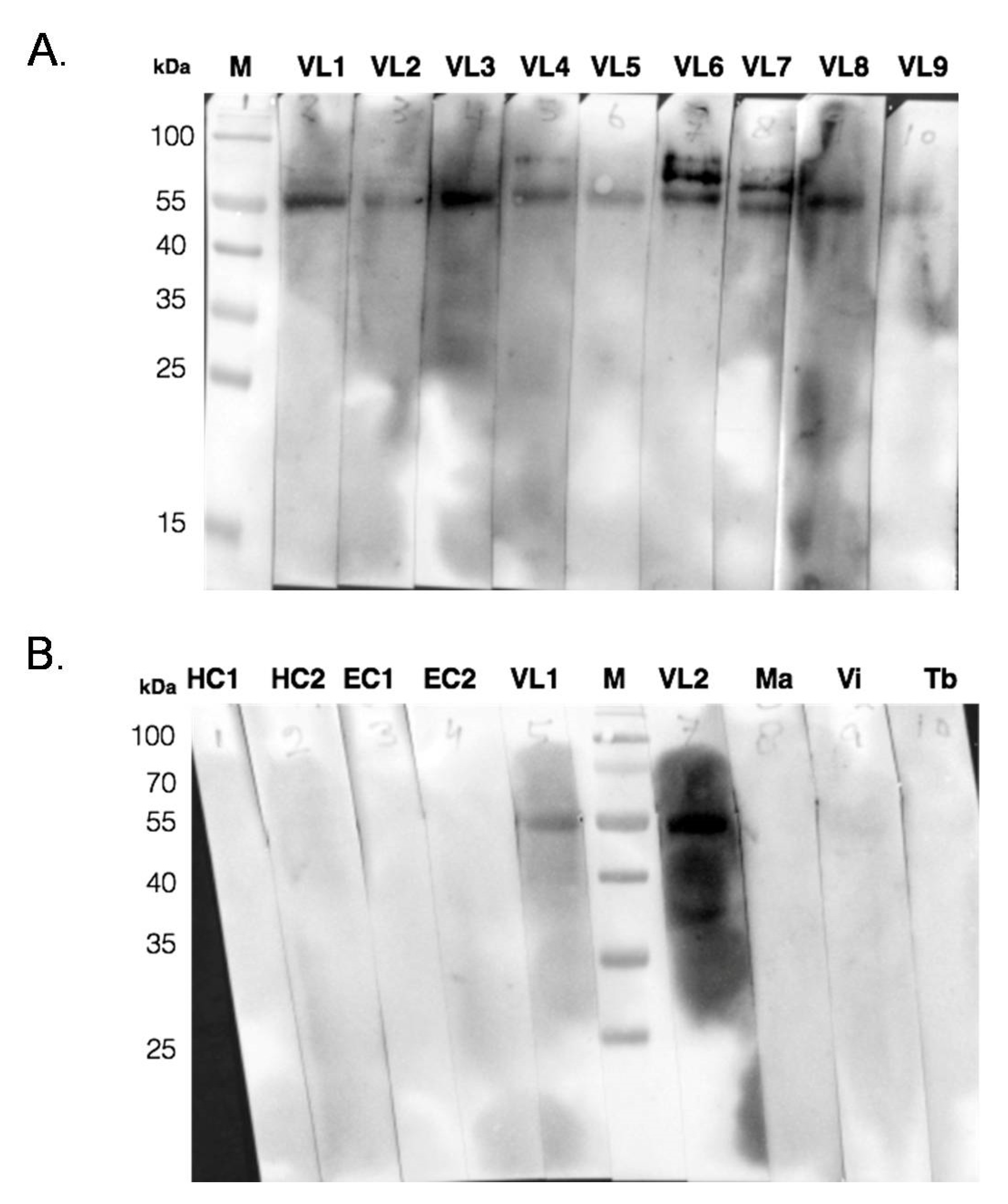
3.4. Immunoblot Assay of RDK2 with Serum Samples
4. Discussion
Author Contributions
Funding
Institutional Review Board Statement
Informed Consent Statement
Data Availability Statement
Acknowledgments
Conflicts of Interest
References
- Malvolti, S.; Malhame, M.; Mantel, C.F.; Le Rutte, E.A.; Kaye, P.M. Human leishmaniasis vaccines: Use cases, target population and potential global demand. PLoS Negl. Trop. Dis. 2021, 15, e0009742. [Google Scholar] [CrossRef] [PubMed]
- Ejazi, S.A.; Choudhury, S.T.; Bhattacharyya, A.; Kamran, M.; Pandey, K.; Das, V.N.R.; Das, P.; da Silva, F.O.; Costa, D.L.; Costa, C.H.N.; et al. Development and Clinical Evaluation of Serum and Urine-Based Lateral Flow Tests for Diagnosis of Human Visceral Leishmaniasis. Microorganisms 2021, 9, 1369. [Google Scholar] [CrossRef]
- Crupi, R.; Gugliandolo, E.; Siracusa, R.; Impellizzeri, D.; Cordaro, M.; Di Paola, R.; Britti, D.; Cuzzocrea, S. N-acetyl-L-cysteine reduces Leishmania amazonensis-induced inflammation in BALB/c mice. BMC Vet. Res. 2020, 16, 13. [Google Scholar] [CrossRef] [PubMed] [Green Version]
- Ter Horst, R.; Tefera, T.; Assefa, G.; Ebrahim, A.Z.; Davidson, R.N.; Ritmeijer, K. Field evaluation of rK39 test and direct ag-glutination test for diagnosis of visceral leishmaniasis in a population with high prevalence of human immunodeficiency virus in Ethiopia. Am. J. Trop. Med. Hyg. 2009, 80, 929–934. [Google Scholar] [CrossRef] [PubMed] [Green Version]
- Oliveira, E.; Saliba, S.W.; De Andrade, C.F.; Rabello, A. Direct agglutination test (DAT): Improvement of biosafety for laboratory diagnosis of visceral leishmaniasis. Trans. R. Soc. Trop. Med. Hyg. 2011, 105, 414–416. [Google Scholar] [CrossRef] [PubMed]
- Ejazi, S.A.; Ghosh, S.; Saha, S.; Choudhury, S.T.; Bhattacharyya, A.; Chatterjee, M.; Pandey, K.; Das, V.N.R.; Das, P.; Rahaman, M.; et al. A multicentric evaluation of dipstick test for serodiagnosis of visceral leishmaniasis in India, Nepal, Sri Lanka, Brazil, Ethiopia and Spain. Sci. Rep. 2019, 9, 9932. [Google Scholar] [CrossRef] [PubMed]
- Gugliandolo, E.; Palma, E.; Peritore, A.F.; Siracusa, R.; D’Amico, R.; Fusco, R.; Licata, P.; Crupi, R. Effect of Artesunate on Leishmania Amazonesis Induced Neuroinflammation and Nociceptive Behavior in Male Balb/C Mice. Animals 2020, 10, 557. [Google Scholar] [CrossRef] [Green Version]
- Di Pietro, S.; Crinò, C.; Falcone, A.; Crupi, R.; Francaviglia, F.; Vitale, F.; Giudice, E. Parasitemia and its daily variation in canine leishmaniasis. Parasitol. Res. 2020, 119, 3541–3548. [Google Scholar] [CrossRef] [PubMed]
- Kühne, V.; Rezaei, Z.; Pitzinger, P.; Büscher, P. Systematic review on antigens for serodiagnosis of visceral leishmaniasis, with a focus on East Africa. PLoS Negl. Trop. Dis. 2019, 13, e0007658. [Google Scholar] [CrossRef] [PubMed]
- Cunningham, J.; Hasker, E.; Das, M.; El Safi, S.; Goto, H.; Mondal, D.; Mbuchi, M.; Mukhtar, M.; Rabello, A.; Rijal, S.; et al. A Global Comparative Evaluation of Commercial Immunochromatographic Rapid Diagnostic Tests for Visceral Leishmaniasis. Clin. Infect. Dis. 2012, 55, 1312–1319. [Google Scholar] [CrossRef] [PubMed]
- Motazedian, M.; Fakhar, M.; Motazedian, M.H.; Hatam, G.; Mikaeili, F. A urine-based polymerase chain reaction method for the diagnosis of visceral leishmaniasis in immunocompetent patients. Diagn. Microbiol. Infect. Dis. 2008, 60, 151–154. [Google Scholar] [CrossRef]
- Gidwani, K.; Picado, A.; Ostyn, B.; Singh, S.P.; Kumar, R.; Khanal, B.; Lejon, V.; Chappuis, F.; Boelaert, M.; Sundar, S. Persistence of Leishmania donovani Antibodies in Past Visceral Leishmaniasis Cases in India. Clin. Vaccine Immunol. 2011, 18, 346–348. [Google Scholar] [CrossRef] [Green Version]
- Burza, S.; Croft, S.L.; Boelaert, M. Leishmaniasis. Lancet 2018, 392, 951–970. [Google Scholar] [CrossRef]
- Mabey, D.; Peeling, R.W.; Ustianowski, A.; Perkins, M.D. Diagnostics for the developing world. Nat. Rev. Microbiol. 2004, 2, 231–240. [Google Scholar] [CrossRef] [PubMed]
- Sundar, S.; Singh, O.P.; Chakravarty, J. Visceral leishmaniasis elimination targets in India, strategies for preventing resurgence. Expert Rev. Anti-Infect. Ther. 2018, 16, 805–812. [Google Scholar] [CrossRef]
- Ejazi, S.A.; Bhattacharya, P.; Bakhteyar, A.K.; Mumtaz, A.A.; Pandey, K.; Das, V.N.R.; Das, P.; Rahaman, M.; Goswami, R.P.; Ali, N. Noninvasive Diagnosis of Visceral Leishmaniasis: Development and Evaluation of Two Urine-Based Immunoassays for Detection of Leishmania donovani Infection in India. PLoS Negl. Trop. Dis. 2016, 10, e0005035. [Google Scholar] [CrossRef] [Green Version]
- Afrin, F.; Rajesh, R.; Anam, K.; Gopinath, M.; Pal, S.; Ali, N. Characterization of Leishmania donovani Antigens Encapsulated in Liposomes That Induce Protective Immunity in BALB/c Mice. Infect. Immun. 2002, 70, 6697–6706. [Google Scholar] [CrossRef] [Green Version]
- Bhowmick, S.; Ravindran, R.; Ali, N. Leishmanial antigens in liposomes promote protective immunity and provide immunotherapy against visceral leishmaniasis via polarized Th1 response. Vaccine 2007, 25, 6544–6556. [Google Scholar] [CrossRef]
- Saha, S.; Goswami, R.; Pramanik, N.; Guha, S.K.; Saha, B.; Rahman, M.; Mallick, S.; Modak, D.; Silva, F.O.; Mendonca, I.L.; et al. Easy Test for Visceral Leishmaniasis and Post-Kala-azar Dermal Leishmaniasis. Emerg. Infect. Dis. 2011, 17, 1304–1306. [Google Scholar] [CrossRef]
- Kamran, M.; Ejazi, S.A.; Bhattacharyya, A.; Didwania, N.; Ali, N. A Native 51 kDa Leishmania Membrane Protein Revealed as a Novel Antigenic Candidate for Immuno-Diagnosis of Human VL and PKDL diseases. J. Cell. Immunol. 2020, 2, 301–307. [Google Scholar] [CrossRef]
- Kamran, M.; Ejazi, S.A.; Choudhury, S.T.; Bhattacharyya, A.; Tanishka, K.; Pandey, K.; Das, V.N.R.; Das, P.; da Silva, F.O.; Costa, D.L.; et al. A novel antigen, otubain cysteine peptidase of Leishmania donovani improves serodiagnosis of visceral leishmaniasis and monitors treatment response. Clin. Infect. Dis. 2021, 73, 1281–1283. [Google Scholar] [CrossRef]
- Oliveira-Da-Silva, J.A.; Machado, A.S.; Ramos, F.F.; Tavares, G.S.; Lage, D.P.; Ludolf, F.; Steiner, B.T.; Reis, T.A.; Santos, T.T.; Costa, L.E.; et al. Evaluation of Leishmania infantum pyridoxal kinase protein for the diagnosis of human and canine visceral leishmaniasis. Immunol. Lett. 2020, 220, 11–20. [Google Scholar] [CrossRef]
- Jones, N.; Thomas, E.B.; Brown, E.; Dickens, N.; Hammarton, T.; Mottram, J.C. Regulators of Trypanosoma brucei Cell Cycle Progression and Differentiation Identified Using a Kinome-Wide RNAi Screen. PLoS Pathog. 2014, 10, e1003886. [Google Scholar] [CrossRef]
- Lowry, O.H.; Rosebrough, N.J.; Farr, A.L.; Randall, R.J. Protein measurement with the Folin phenol reagent. J. Biol. Chem. 1951, 193, 265–275. [Google Scholar] [CrossRef]
- Menten, J.; Boelaert, M.; Lesaffre, E. Bayesian meta-analysis of diagnostic tests allowing for imperfect reference standards. Stat. Med. 2013, 32, 5398–5413. [Google Scholar] [CrossRef] [PubMed]
- Mondal, S.; Bhattacharya, P.; Ali, N. Current diagnosis and treatment of visceral leishmaniasis. Expert Rev. Anti-Infect. Ther. 2010, 8, 919–944. [Google Scholar] [CrossRef]
- Chappuis, F.; Sundar, S.; Hailu, A.; Ghalib, H.; Rijal, S.; Peeling, R.W.; Alvar, J.; Boelaert, M. Visceral leishmaniasis: What are the needs for diagnosis, treatment and control? Nat. Rev. Microbiol. 2007, 5, 873–882. [Google Scholar] [CrossRef] [PubMed]
- Didwania, N.; Ejazi, S.A.; Chhajer, R.; Sabur, A.; Mazumder, S.; Kamran, M.; Kar, R.; Pandey, K.; Das, V.N.R.; Das, P.; et al. Evaluation of Cysteine Protease C of Leishmania donovani in Comparison with Glycoprotein 63 and Elongation Factor 1α for Diagnosis of Human Visceral Leishmaniasis and for Posttreatment Follow-Up Response. J. Clin. Microbiol. 2020, 58, e00213-20. [Google Scholar] [CrossRef] [PubMed]





Publisher’s Note: MDPI stays neutral with regard to jurisdictional claims in published maps and institutional affiliations. |
© 2022 by the authors. Licensee MDPI, Basel, Switzerland. This article is an open access article distributed under the terms and conditions of the Creative Commons Attribution (CC BY) license (https://creativecommons.org/licenses/by/4.0/).
Share and Cite
Bhattacharyya, A.; Kamran, M.; Ejazi, S.A.; Das, S.; Didwania, N.; Bhattacharjee, R.; Rahaman, M.; Goswami, R.P.; Pandey, K.; Das, V.N.R.; et al. Revealing a Novel Antigen Repressor of Differentiation Kinase 2 for Diagnosis of Human Visceral Leishmaniasis in India. Pathogens 2022, 11, 120. https://doi.org/10.3390/pathogens11020120
Bhattacharyya A, Kamran M, Ejazi SA, Das S, Didwania N, Bhattacharjee R, Rahaman M, Goswami RP, Pandey K, Das VNR, et al. Revealing a Novel Antigen Repressor of Differentiation Kinase 2 for Diagnosis of Human Visceral Leishmaniasis in India. Pathogens. 2022; 11(2):120. https://doi.org/10.3390/pathogens11020120
Chicago/Turabian StyleBhattacharyya, Anirban, Mohd Kamran, Sarfaraz Ahmad Ejazi, Sonali Das, Nicky Didwania, Rahul Bhattacharjee, Mehebubar Rahaman, Rama Prosad Goswami, Krishna Pandey, Vidya Nand Ravi Das, and et al. 2022. "Revealing a Novel Antigen Repressor of Differentiation Kinase 2 for Diagnosis of Human Visceral Leishmaniasis in India" Pathogens 11, no. 2: 120. https://doi.org/10.3390/pathogens11020120
APA StyleBhattacharyya, A., Kamran, M., Ejazi, S. A., Das, S., Didwania, N., Bhattacharjee, R., Rahaman, M., Goswami, R. P., Pandey, K., Das, V. N. R., Das, P., Gayen, S., & Ali, N. (2022). Revealing a Novel Antigen Repressor of Differentiation Kinase 2 for Diagnosis of Human Visceral Leishmaniasis in India. Pathogens, 11(2), 120. https://doi.org/10.3390/pathogens11020120
