Endothelium Activation during Severe Yellow Fever Triggers an Intense Cytokine-Mediated Inflammatory Response in the Liver Parenchyma
Abstract
:1. Introduction
2. Methods
2.1. Patients, Samples, and Diagnostic Confirmation
2.2. Ethical Aspects
2.3. Immunohistochemical Assay
2.4. Quantitative Analysis and Photodocumentation
2.5. Statistical Analysis
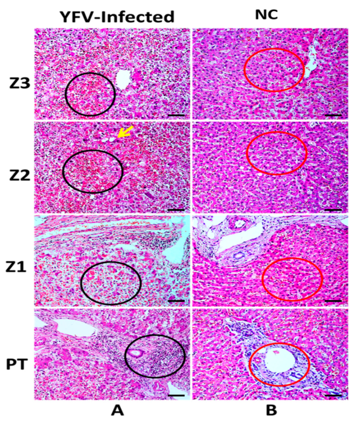
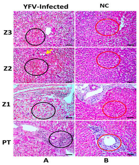
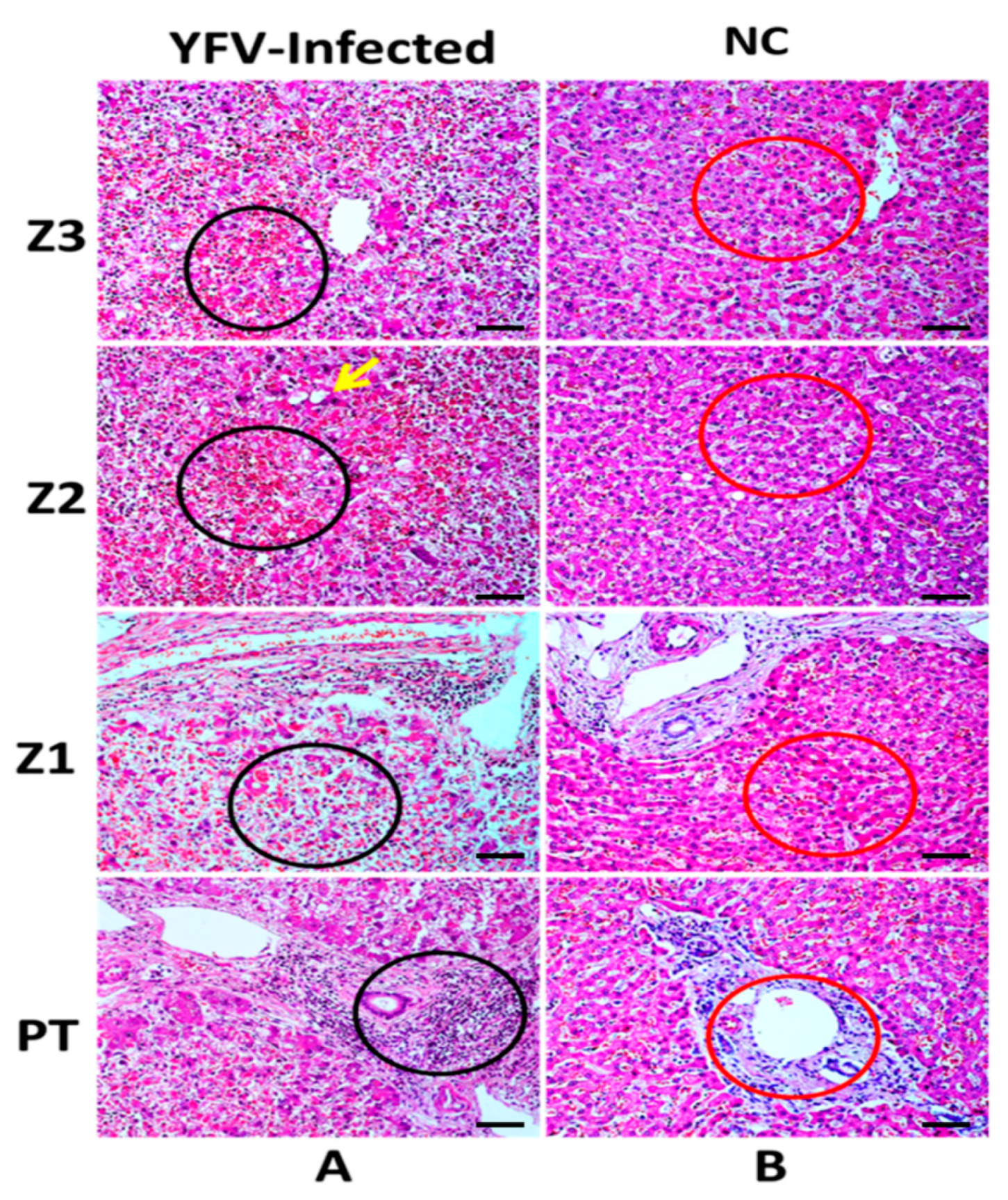
3. Results
Analysis of Endothelial Immunomarkers
4. Discussion
Authors Contribution
Funding
Institutional Review Board Statement
Informed Consent Statement
Conflicts of Interest
References
- Mcarthur, M.A.; Zhang, S.L.; Li, L.; Tesh, R.B.; Barrett, A.D.T. Molecular Characterization of Hamster-Adapted Yellow Fever Virus. Vector Borne Zoonotic Dis. 2020, 20, 222–227. [Google Scholar] [CrossRef] [PubMed]
- Gardner, C.L.; Ryman, K.D. Yellow fever: A reemerging threat. Clin. Lab. Med. 2010, 30, 237–260. [Google Scholar] [CrossRef] [PubMed] [Green Version]
- Monath, T.P.; Vasconcelos, P.F.C. Yellow fever. J. Clin. Virol. 2015, 64, 160–173. [Google Scholar] [CrossRef] [PubMed]
- Giovanetti, M.; de Mendonça, M.; Fonseca, V.; Mares-Guia, M.A.; Fabri, A.; Xavier, J.; de Jesus, J.G.; Gräf, T.; Dos Santos Rodrigues, C.D.; Dos Santos, C.C.; et al. Yellow Fever Virus Reemergence and Spread in Southeast Brazil, 2016–2019. J. Virol. 2019, 94, e01623-19. [Google Scholar] [CrossRef] [PubMed]
- Ferreira, M.S.; Bezerra Júnior, P.S.; Cerqueira, V.D.; Rivero, G.R.C.; Oliveira Júnior, C.A.; Castro, P.H.G.; da Silva, G.A.; da Silva, W.B.; Imbeloni, A.A.; Sousa, J.R.; et al. Experimental yellow fever virus infection in the squirrel monkey (Saimiri spp.) I: Gross anatomical and histopathological findings in organs at necropsy. Mem. Inst. Oswaldo Cruz 2020, 115, 1–8. [Google Scholar] [CrossRef] [PubMed]
- Vasconcelos, P.F.C. Yellow Fever. Rev. Soc. Bras. Med. Trop. 2003, 36, 275–293. [Google Scholar] [CrossRef] [PubMed]
- Quaresma, J.A.S.; Duarte, M.I.S.; Vasconcelos, P.F.C. Midzonal lesions in yellow fever: A specific pattern of liver injury caused by direct virus action and in situ inflammatory response. Med. Hypotheses 2006, 67, 618–621. [Google Scholar] [CrossRef] [PubMed]
- Quaresma, J.A.S.; Barros, V.L.R.S.; Pagliari, C.; Fernandes, E.R.; Andrade, H.F.; Vasconcelos, P.F.C.; Duarte, M.I.S. Hepatocyte lesions and cellular immune response in yellow fever infection. Trans. R. Soc. Trop. Med. Hyg. 2007, 101, 161–168. [Google Scholar] [CrossRef] [PubMed]
- Quaresma, J.A.S.; Barros, V.L.R.S.; Pagliari, C.; Fernandes, E.R.; Guedes, F.; Takakura, C.F.H.; Andrade, H.F.; Vasconcelos, P.F.C.; Duarte, M.I.S. Revisiting the liver in human yellow fever: Virus-induced apoptosis in hepatocytes associated with TGF-β, TNF-α and NK cells activity. Virology 2006, 345, 22–30. [Google Scholar] [CrossRef] [PubMed] [Green Version]
- Shen, J.; T-To, S.S.; Schrieber, L.; King, N.J. Early E-selectin, VCAM-1, ICAM-1, and late major histocompatibility complex antigen induction on human endothelial cells by flavivirus and comodulation of adhesion molecule expression by immune cytokines. J. Virol. 1997, 71, 9323–9332. [Google Scholar] [CrossRef] [PubMed] [Green Version]
- Vitoria, W.O.; Thomé, L.S.; Kanashiro-Galo, L.; de Carvalho, L.V.; Penny, R.; Santos, W.L.C.; da Costa Vasconcelos, P.F.; Sotto, M.N.; Duarte, M.I.S.; Quaresma, J.A.S.; et al. Upregulation of intercellular adhesion molecule-1 and vascular cell adhesion molecule-1 in renal tissue in severe dengue in humans: Effects on endothelial activation/dysfunction. Rev. Soc. Bras. Med. Trop. 2019, 52, 1–6. [Google Scholar] [CrossRef] [PubMed]
- Getts, D.R.; Terry, R.L.; Getts, M.T.; Müller, M.; Rana, S.; Deffrasnes, C.; Ashhurst, T.M.; Radford, J.; Hofer, M.; Thomas, S.; et al. Targeted blockade in lethal West Nile virus encephalitis indicates a crucial role for very late antigen (VLA)-4-dependent recruitment of nitric oxide-producing macrophages. J. Neuroinflamm. 2012, 9, 2–9. [Google Scholar] [CrossRef] [PubMed] [Green Version]
- Bailey, A.L.; Kang, L.I.; De Assis Barros D’Elia Zanella, L.G.F.; Silveira, C.G.T.; Ho, Y.L.; Foquet, L.; Bial, G.; McCune, B.T.; Duarte-Neto, A.N.; Thomas, A.; et al. Consumptive coagulopathy of severe yellow fever occurs independently of hepatocellular tropism and massive hepatic injury. Proc. Natl. Acad. Sci. USA 2020, 117, 32648–32656. [Google Scholar] [CrossRef] [PubMed]



| Markers (Cells/mm2) | Z3 | Tukey (p ≤ 0.05) | Z2 | Tukey (p ≤ 0.05) | Z1 | Tukey (p ≤ 0.05) | PT | Tukey (p ≤ 0.05) | ANOVA (p ≤ 0.05) |
|---|---|---|---|---|---|---|---|---|---|
| E-Selectin Control | 86.93 ± 8.791 27.84 ± 3.683 | *** | 90.13 ± 17.91 30.40 ± 7.756 | *** | 92.65 ± 9.314 27.52 ± 2.086 | *** | 133.0 ± 9.828 28.80 ± 6.197 | *** | *** |
| P-Selectin Control | 80.15 ± 11.15 28.16 ± 3.505 | *** | 97.07 ± 10.07 31.68 ± 6.238 | *** | 89.22 ± 8.110 27.20 ± 5.657 | *** | 136.8 ± 8.960 29.76 ± 9.772 | *** | *** |
| ICAM-1 Control | 84.95 ± 15.43 26.56 ± 5.378 | *** | 81.30 ± 12.54 28.16 ± 2.147 | *** | 81.30 ± 12.54 34.56 ± 11.40 | *** | 123.3 ± 12.64 36.48 ± 14.59 | *** | *** |
| VCAM-1 Control | 83.98 ± 15.24 25.28 ± 7.102 | *** | 84.95 ± 8.094 19.52 ± 4.141 | *** | 87.92 ± 13.36 28.16 ± 6.155 | *** | 148.5 ± 21.50 33.92 ± 11.78 | *** | *** |
| VLA-4 Control | 79.77 ± 9.749 24.96 ± 5.258 | *** | 96.84 ± 11.09 29.76 ± 5.611 | *** | 84.42 ± 9.437 24.64 ± 3.318 | *** | 129.5 ± 28.83 32.64 ± 3.119 | *** | *** |
Publisher’s Note: MDPI stays neutral with regard to jurisdictional claims in published maps and institutional affiliations. |
© 2022 by the authors. Licensee MDPI, Basel, Switzerland. This article is an open access article distributed under the terms and conditions of the Creative Commons Attribution (CC BY) license (https://creativecommons.org/licenses/by/4.0/).
Share and Cite
Olímpio, F.A.; Falcão, L.F.M.; Carvalho, M.L.G.; da Costa Lopes, J.; Mendes, C.C.H.; Filho, A.J.M.; da Silva, C.A.M.; Miranda, V.d.S.C.; Santos, L.C.d.; da Silva Vilacoert, F.S.; et al. Endothelium Activation during Severe Yellow Fever Triggers an Intense Cytokine-Mediated Inflammatory Response in the Liver Parenchyma. Pathogens 2022, 11, 101. https://doi.org/10.3390/pathogens11010101
Olímpio FA, Falcão LFM, Carvalho MLG, da Costa Lopes J, Mendes CCH, Filho AJM, da Silva CAM, Miranda VdSC, Santos LCd, da Silva Vilacoert FS, et al. Endothelium Activation during Severe Yellow Fever Triggers an Intense Cytokine-Mediated Inflammatory Response in the Liver Parenchyma. Pathogens. 2022; 11(1):101. https://doi.org/10.3390/pathogens11010101
Chicago/Turabian StyleOlímpio, Fábio Alves, Luiz Fábio Magno Falcão, Marcos Luiz Gaia Carvalho, Jeferson da Costa Lopes, Caio Cesar Henriques Mendes, Arnaldo Jorge Martins Filho, Carlos Augusto Moreira da Silva, Vanessa do Socorro Cabral Miranda, Lais Carneiro dos Santos, Fellipe Souza da Silva Vilacoert, and et al. 2022. "Endothelium Activation during Severe Yellow Fever Triggers an Intense Cytokine-Mediated Inflammatory Response in the Liver Parenchyma" Pathogens 11, no. 1: 101. https://doi.org/10.3390/pathogens11010101
APA StyleOlímpio, F. A., Falcão, L. F. M., Carvalho, M. L. G., da Costa Lopes, J., Mendes, C. C. H., Filho, A. J. M., da Silva, C. A. M., Miranda, V. d. S. C., Santos, L. C. d., da Silva Vilacoert, F. S., Cruz, A. C. R., Galúcio, V. C. A., da Silva Azevedo, R. d. S., Martins, L. C., Duarte, M. I. S., de Sousa, J. R., da Costa Vasconcelos, P. F., & Quaresma, J. A. S. (2022). Endothelium Activation during Severe Yellow Fever Triggers an Intense Cytokine-Mediated Inflammatory Response in the Liver Parenchyma. Pathogens, 11(1), 101. https://doi.org/10.3390/pathogens11010101

