Human Babesiosis in Europe
Abstract
1. History
2. Parasite Identity
3. Pathogenesis
4. Vector Biology
5. Epidemiology
5.1. Autochthonous Babesiosis Cases
5.2. Imported Babesiosis
5.3. Ambiguous Babesiosis Cases
5.4. Reports of Possible Cases with Diagnostic Deficiencies/Lack of Clarity
6. Clinical Course of Infections
6.1. Pre-Disposing Factors of Acute Disease
6.2. Babesia divergens
6.2.1. Features of the Disease in Asplenic and Hyposplenic Patients
6.2.2. Features of the Disease in Normosplenic Patients
6.3. Babesia venatorum
6.4. Babesia microti
6.4.1. Autochthonous B. microti Infections
6.4.2. Imported B. microti Infections
7. Laboratory Diagnostics
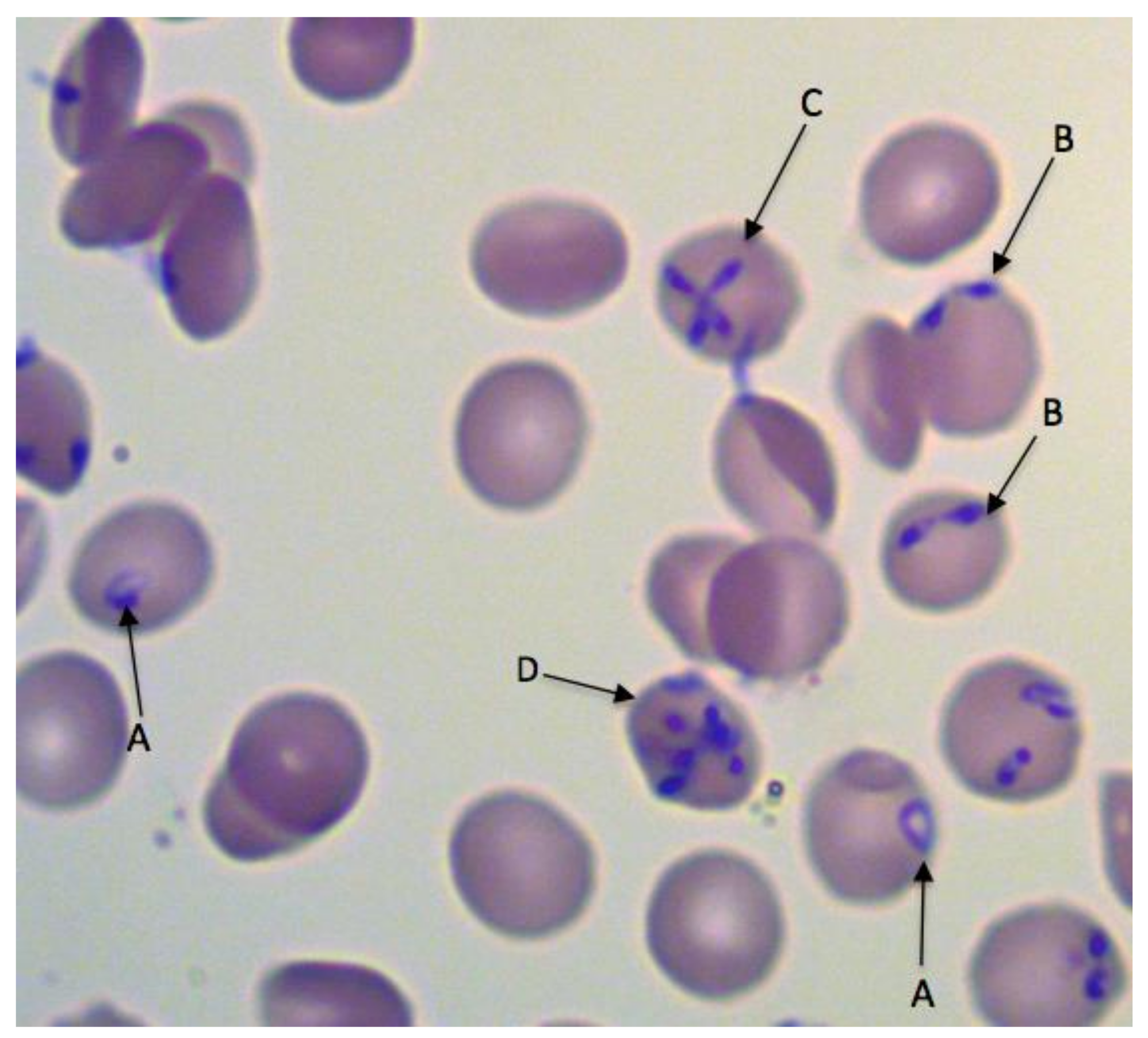
7.1. Light Microscopy
7.2. Molecular Diagnostics
7.3. Culture
7.4. Infection Serology
8. Clinical Management
8.1. Babesia divergens
8.2. Babesia venatorum
8.3. Babesia microti
8.4. Exchange Transfusion Management
9. Conclusions
Author Contributions
Funding
Institutional Review Board Statement
Informed Consent Statement
Data Availability Statement
Conflicts of Interest
References
- Skrabalo, Z.; Deanovic, Z. Piroplasmosis in man; report of a case. Doc. Med. Geogr. Trop. 1957, 9, 11–16. [Google Scholar]
- M’Fadyean, J.; Stockman, S. A new species of piroplasm found in the blood of British cattle. Comp. Path. Ther. 1911, 24, 340–354. [Google Scholar] [CrossRef]
- Fitzpatrick, J.E.; Kennedy, C.C.; McGeown, M.G.; Oreopoulos, D.G.; Robertson, J.H.; Soyannwo, M.A. Human case of piroplasmosis (babesiosis). Nature 1968, 217, 861–862. [Google Scholar] [CrossRef]
- Herwaldt, B.L.; Cacció, S.; Gherlinzoni, F.; Aspöck, H.; Slemenda, S.B.; Piccaluga, P.; Martinelli, G.; Edelhofer, R.; Hollenstein, U.; Poletti, G.; et al. Molecular characterization of a non-Babesia divergens organism causing zoonotic babesiosis in Europe. Emerg. Infect. Dis. 2003, 9, 942–948. [Google Scholar] [CrossRef]
- Häselbarth, K.; Tenter, A.M.; Brade, V.; Krieger, G.; Hunfeld, K.P. First case of human babesiosis in Germany—Clinical presentation and molecular characterisation of the pathogen. Int. J. Med. Microbiol. IJMM 2007, 297, 197–204. [Google Scholar] [CrossRef]
- Blum, S.; Gattringer, R.; Haschke, E.; Walochnik, J.; Tschurtschenthaler, G.; Lang, F.; Oberbauer, R. The case: Hemolysis and acute renal failure. Babesiosis. Kidney Int. 2011, 80, 681–683. [Google Scholar] [CrossRef]
- Bläckberg, J.; Lazarevic, V.L.; Hunfeld, K.P.; Persson, K.E.M. Low-virulent Babesia venatorum infection masquerading as hemophagocytic syndrome. Ann. Hematol. 2018, 97, 731–733. [Google Scholar] [CrossRef]
- Hildebrandt, A.; Hunfeld, K.P.; Baier, M.; Krumbholz, A.; Sachse, S.; Lorenzen, T.; Kiehntopf, M.; Fricke, H.J.; Straube, E. First confirmed autochthonous case of human Babesia microti infection in Europe. Eur. J. Clin. Microbiol. Infect. Dis. Off. Publ. Eur. Soc. Clin. Microbiol. 2007, 26, 595–601. [Google Scholar] [CrossRef] [PubMed]
- Westblade, L.F.; Simon, M.S.; Mathison, B.A.; Kirkman, L.A. Babesia microti: From mice to ticks to an increasing number of highly susceptible humans. J. Clin. Microbiol. 2017, 55, 2903–2912. [Google Scholar] [CrossRef] [PubMed]
- Jalovecka, M.; Sojka, D.; Ascencio, M.; Schnittger, L. Babesia life cycle—When phylogeny meets biology. Trends Parasitol. 2019, 35, 356–368. [Google Scholar] [CrossRef] [PubMed]
- Gray, J.; Zintl, A.; Hildebrandt, A.; Hunfeld, K.P.; Weiss, L. Zoonotic babesiosis: Overview of the disease and novel aspects of pathogen identity. Ticks Tick-Borne Dis. 2010, 1, 3–10. [Google Scholar] [CrossRef] [PubMed]
- Olmeda, A.S.; Armstrong, P.M.; Rosenthal, B.M.; Valladares, B.; del Castillo, A.; de Armas, F.; Miguelez, M.; Gonzalez, A.; Rodriguez Rodriguez, J.A.; Spielman, A.; et al. A subtropical case of human babesiosis. Acta Trop. 1997, 67, 229–234. [Google Scholar] [CrossRef]
- Petney, T.N.; Otranto, D.; Dantas-Torres, F.; Pfaffle, M.P. Ixodes ventalloi Gil Collado, 1936. In Ticks of Europe and North. Africa. A Guide to Species Identification; Estrada-Peña, A., Mihalca, A.D., Petney, T., Eds.; Springer: Berlin/Heidelberg, Germany, 2017; p. 183. [Google Scholar]
- Centeno-Lima, S.; do Rosário, V.; Parreira, R.; Maia, A.J.; Freudenthal, A.M.; Nijhof, A.M.; Jongejan, F. A fatal case of human babesiosis in Portugal: Molecular and phylogenetic analysis. Trop. Med. Int. Health TMIH 2003, 8, 760–764. [Google Scholar] [CrossRef]
- Fanelli, A. A historical review of Babesia spp. associated with deer in Europe: Babesia divergens/Babesia divergens-like, Babesia capreoli, Babesia venatorum, Babesia cf. odocoilei. Vet. Parasitol. 2021, 294, 109433. [Google Scholar] [CrossRef] [PubMed]
- Azagi, T.; Jaarsma, R.I.; Docters van Leeuwen, A.; Fonville, M.; Maas, M.; Franssen, F.F.J.; Kik, M.; Rijks, J.M.; Montizaan, M.G.; Groenevelt, M.; et al. Circulation of Babesia species and their exposure to humans through Ixodes ricinus. Pathogens 2021, 10, 386. [Google Scholar] [CrossRef] [PubMed]
- Gray, A.; Capewell, P.; Zadoks, R.; Taggart, M.A.; French, A.; Katzer, F.; Shiels, B.R.; William Weir, W. Wild deer in the United Kingdom are a potential reservoir for the livestock parasite Babesia divergens. Curr. Res. Parasitol. Vector-Borne Dis. 2021, 1, 100019. [Google Scholar] [CrossRef]
- Yang, Y.; Christie, J.; Koster, L.; Du, A.; Yao, C. Emerging human babesiosis with “Ground Zero” in North America. Microorganisms 2021, 9, 440. [Google Scholar] [CrossRef]
- Zamoto-Niikura, A.; Tsuji, M.; Qiang, W.; Morikawa, S.; Hanaki, K.I.; Holman, P.J.; Ishihara, C. The Babesia divergens Asia lineage is maintained through enzootic cycles between Ixodes persulcatus and sika deer in Hokkaido, Japan. Appl. Environ. Microbiol. 2018, 84, e02491-17. [Google Scholar] [CrossRef]
- Goethert, H.K.; Telford, S.R. What is Babesia microti? Parasitology 2003, 127, 301–309. [Google Scholar] [CrossRef]
- Goethert, H.K.; Molloy, P.; Berardi, V.; Weeks, K.; Telford, S.R. Zoonotic Babesia microti in the northeastern U.S.: Evidence for the expansion of a specific parasite lineage. PLoS ONE 2018, 13, e0193837. [Google Scholar] [CrossRef] [PubMed]
- Welc-Faleciak, R.; Pawelczyk, A.; Radkowski, M.; Pancewicz, S.A.; Zajkowska, J.; Sinski, E. First report of two asymptomatic cases of human infection with Babesia microti (Franca, 1910) in Poland. Ann. Agric. Environ. Med. AAEM 2015, 22, 51–54. [Google Scholar] [CrossRef][Green Version]
- Sinski, E.; Bajer, A.; Welc, R.; Pawelczyk, A.; Ogrzewalska, M.; Behnke, J.M. Babesia microti: Prevalence in wild rodents and Ixodes ricinus ticks from the Mazury Lakes District of North-Eastern Poland. Int. J. Med. Microbiol. IJMM 2006, 296 (Suppl. S40), 137–143. [Google Scholar] [CrossRef] [PubMed]
- Moniuszko-Malinowska, A.; Świecicka, I.; Dunaj, J.; Zajkowska, J.; Czupryna, P.; Zambrowski, G.; Chmielewska-Badora, J.; Żukiewicz-Sobczak, W.; Swierzbinska, R.; Rutkowski, K.; et al. Infection with Babesia microti in humans with non-specific symptoms in North East Poland. Infect. Dis. 2016, 48, 537–543. [Google Scholar] [CrossRef]
- Arsuaga, M.; Gonzalez, L.M.; Lobo, C.A.; de la Calle, F.; Bautista, J.M.; Azcarate, I.G.; Puente, S.; Montero, E. First report of Babesia microti-caused babesiosis in Spain. Vector Borne Zoonotic Dis. 2016, 16, 677–679. [Google Scholar] [CrossRef]
- Arsuaga, M.; Gonzalez, L.M.; Padial, E.S.; Dinkessa, A.W.; Sevilla, E.; Trigo, E.; Puente, S.; Gray, J.; Montero, E. Misdiagnosis of babesiosis as malaria, Equatorial Guinea, 2014. Emerg. Infect. Dis. 2018, 24, 1588–1589. [Google Scholar] [CrossRef]
- Zintl, A.; Mulcahy, G.; Skerrett, H.E.; Taylor, S.M.; Gray, J.S. Babesia divergens, a bovine blood parasite of veterinary and zoonotic importance. Clin. Microbiol. Rev. 2003, 16, 622–636. [Google Scholar] [CrossRef]
- Clawson, M.L.; Paciorkowski, N.; Rajan, T.V.; La Vake, C.; Pope, C.; La Vake, M.; Wikel, S.K.; Krause, P.J.; Radolf, J.D. Cellular immunity, but not gamma interferon, is essential for resolution of Babesia microti infection in BALB/c mice. Infect. Immun. 2002, 70, 5304–5306. [Google Scholar] [CrossRef] [PubMed]
- Hemmer, R.M.; Ferrick, D.A.; Conrad, P.A. Role of T cells and cytokines in fatal and resolving experimental babesiosis: Protection in TNFRp55-/- mice infected with the human Babesia WA1 parasite. J. Parasitol. 2000, 86, 736–742. [Google Scholar] [CrossRef] [PubMed]
- Aguilar-Delfin, I.; Wettstein, P.J.; Persing, D.H. Resistance to acute babesiosis is associated with interleukin-12- and gamma interferon-mediated responses and requires macrophages and natural killer cells. Infect. Immun. 2003, 71, 2002–2008. [Google Scholar] [CrossRef] [PubMed]
- Telford, S.R., III; Maguire, J.H. Babesiosis. In Tropical Infectious Diseases: Principles, Pathogens, and Practice, 2nd ed.; Guerrant, R.L., Walker, D.H., Weller, P.F., Eds.; Churchill Livingstone; Elsevier: Amsterdam, The Netherlands, 2006; pp. 1063–1071. [Google Scholar]
- Krause, P.J. Human babesiosis. Int. J. Parasitol. 2019, 49, 165–174. [Google Scholar] [CrossRef]
- Krause, P.J.; Daily, J.; Telford, S.R.; Vannier, E.; Lantos, P.; Spielman, A. Shared features in the pathobiology of babesiosis and malaria. Trends Parasitol. 2007, 23, 605–610. [Google Scholar] [CrossRef]
- Hemmer, R.M.; Ferrick, D.A.; Conrad, P.A. Up-regulation of tumor necrosis factor-alpha and interferon-gamma expression in the spleen and lungs of mice infected with the human Babesia isolate WA1. Parasitol. Res. 2000, 86, 121–128. [Google Scholar] [CrossRef] [PubMed]
- Shaio, M.F.; Lin, P.R. A case study of cytokine profiles in acute human babesiosis. Am. J. Trop. Med. Hyg. 1998, 58, 335–337. [Google Scholar] [CrossRef]
- Clark, I.A.; Jacobson, L.S. Do babesiosis and malaria share a common disease process? Ann. Trop. Med. Parasitol. 1998, 92, 483–488. [Google Scholar] [CrossRef] [PubMed]
- Vannier, E.; Borggraefe, I.; Telford, S.R., III; Menon, S.; Brauns, T.; Spielman, A.; Gelfand, J.A.; Wortis, H.H. Age-associated decline in resistance to Babesia microti is genetically determined. J. Infect. Dis. 2004, 189, 1721–1728. [Google Scholar] [CrossRef] [PubMed]
- Terkawi, M.A.; Cao, S.; Herbas, M.S.; Nishimura, M.; Li, Y.; Moumouni, P.F.; Pyarokhil, A.H.; Kondoh, D.; Kitamura, N.; Nishikawa, Y.; et al. Macrophages are the determinant of resistance to and outcome of nonlethal Babesia microti infection in mice. Infect. Immun. 2015, 83, 8–16. [Google Scholar] [CrossRef] [PubMed]
- Mebius, R.E.; Kraal, G. Structure and function of the spleen. Nat. Rev. Immunol. 2005, 5, 606–616. [Google Scholar] [CrossRef]
- Vannier, E.; Krause, P.J. Human babesiosis. N. Engl. J. Med. 2012, 366, 2397–2407. [Google Scholar] [CrossRef]
- Bloch, E.M.; Kumar, S.; Krause, P.J. Persistence of Babesia microti infection in humans. Pathogens 2019, 8, 102. [Google Scholar] [CrossRef] [PubMed]
- Krause, P.J.; Gewurz, B.E.; Hill, D.; Marty, F.M.; Vannier, E.; Foppa, I.M.; Furman, R.R.; Neuhaus, E.; Skowron, G.; Gupta, S.; et al. Persistent and relapsing babesiosis in immunocompromised patients. Clin. Infect. Dis. Off. Publ. Infect. Dis. Soc. Am. 2008, 46, 370–376. [Google Scholar] [CrossRef]
- Tahir, F.; Ahmed, J.; Malik, F. Post-splenectomy sepsis: A review of the literature. Cureus 2020, 12, e6898. [Google Scholar] [CrossRef] [PubMed]
- Haapasalo, K.; Suomalainen, P.; Sukura, A.; Siikamaki, H.; Jokiranta, T.S. Fatal babesiosis in man, Finland, 2004. Emerg. Infect. Dis. 2010, 16, 1116–1118. [Google Scholar] [CrossRef] [PubMed]
- Entrican, J.H.; Williams, H.; Cook, I.A.; Lancaster, W.M.; Clark, J.C.; Joyner, L.P.; Lewis, D. Babesiosis in man: A case from Scotland. Br. Med. J. 1979, 2, 474. [Google Scholar] [CrossRef][Green Version]
- Clarke, C.S.; Rogers, E.T.; Egan, E.L. Babesiosis: Under-reporting or case-clustering? Postgrad. Med. J. 1989, 65, 591–593. [Google Scholar] [CrossRef]
- Fitzpatrick, J.E.; Kennedy, C.C.; McGeown, M.G.; Oreopoulos, D.G.; Robertson, J.H.; Soyannwo, M.A. Further details of third recorded case of redwater (Babesiosis) in man. Br. Med. J. 1969, 4, 770–772. [Google Scholar] [CrossRef] [PubMed][Green Version]
- Clark, I.A.; Budd, A.C.; Hsue, G.; Haymore, B.R.; Joyce, A.J.; Thorner, R.; Krause, P.J. Absence of erythrocyte sequestration in a case of babesiosis in a splenectomized human patient. Malar. J. 2006, 5, 69. [Google Scholar] [CrossRef][Green Version]
- Gray, J.S. The development and seasonal activity of the tick, Ixodes ricinus: A vector of Lyme borreliosis. Rev. Med. Vet. Entomol. 1991, 79, 323–333. [Google Scholar]
- Gray, J.; Kahl, O.; Zintl, A. What do we still need to know about Ixodes ricinus? Ticks Tick-Borne Dis. 2021, 12, 101682. [Google Scholar] [CrossRef]
- Joyner, L.P.; Davies, S.F.; Kendall, S.B. The experimental transmission of Babesia divergens by Ixodes ricinus. Exp. Parasitol. 1963, 14, 367–373. [Google Scholar] [CrossRef]
- Donnelly, J.; Peirce, M.A. Experiments on the transmission of Babesia divergens to cattle by the tick Ixodes ricinus. Int. J. Parasitol. 1975, 5, 363–367. [Google Scholar] [CrossRef]
- Mackenstedt, U.; Gauer, M.; Mehlhorn, H.; Schein, E.; Hauschild, S. Sexual cycle of Babesia divergens confirmed by DNA measurements. Parasitol. Res. 1990, 76, 199–206. [Google Scholar] [CrossRef]
- Bonnet, S.; Jouglin, M.; L’Hostis, M.; Chauvin, A. Babesia sp. EU1 from roe deer and transmission within Ixodes ricinus. Emerg. Infect. Dis. 2007, 13, 1208–1210. [Google Scholar] [CrossRef] [PubMed]
- Bonnet, S.; Brisseau, N.; Hermouet, A.; Jouglin, M.; Chauvin, A. Experimental in vitro transmission of Babesia sp. (EU1) by Ixodes ricinus. Vet. Res. 2009, 40, 21. [Google Scholar] [CrossRef] [PubMed]
- Walter, G.; Weber, G. A study on the transmission (transstadial, transovarial) of Babesia microti, strain “Hannover i”, in its tick vector, Ixodes ricinus (author’s transl). Trop. Parasitol. 1981, 32, 228–230. [Google Scholar]
- Gray, J.; von Stedingk, L.V.; Gurtelschmid, M.; Granstrom, M. Transmission studies of Babesia microti in Ixodes ricinus ticks and gerbils. J. Clin. Microbiol. 2002, 40, 1259–1263. [Google Scholar] [CrossRef]
- Lempereur, L.; Lebrun, M.; Cuvelier, P.; Sepult, G.; Caron, Y.; Saegerman, C.; Shiels, B.; Losson, B. Longitudinal field study on bovine Babesia spp. and Anaplasma phagocytophilum infections during a grazing season in Belgium. Parasitol. Res. 2012, 110, 1525–1530. [Google Scholar] [CrossRef]
- Springer, A.; Holtershinken, M.; Lienhart, F.; Ermel, S.; Rehage, J.; Hulskotter, K.; Lehmbecker, A.; Wohlsein, P.; Barutzki, D.; Gietl, C.; et al. Emergence and epidemiology of bovine babesiosis due to Babesia divergens on a Northern German beef production farm. Front. Vet. Sci. 2020, 7, 649. [Google Scholar] [CrossRef]
- Onyiche, T.E.; Raileanu, C.; Fischer, S.; Silaghi, C. Global distribution of Babesia species in questing ticks: A systematic review and meta-analysis based on published literature. Pathogens 2021, 10, 230. [Google Scholar] [CrossRef]
- Asman, M.; Witecka, J.; Korbecki, J.; Solarz, K. The potential risk of exposure to Borrelia garinii, Anaplasma phagocytophilum and Babesia microti in the Wolinski National Park (north-western Poland). Sci. Rep. 2021, 11, 4860. [Google Scholar] [CrossRef]
- Bown, K.J.; Lambin, X.; Telford, G.R.; Ogden, N.H.; Telfer, S.; Woldehiwet, Z.; Birtles, R.J. Relative importance of Ixodes ricinus and Ixodes trianguliceps as vectors for Anaplasma phagocytophilum and Babesia microti in field vole (Microtus agrestis) populations. Appl. Environ. Microbiol. 2008, 74, 7118–7125. [Google Scholar] [CrossRef] [PubMed]
- Hunfeld, K.P.; Lambert, A.; Kampen, H.; Albert, S.; Epe, C.; Brade, V.; Tenter, A.M. Seroprevalence of Babesia infections in humans exposed to ticks in midwestern Germany. J. Clin. Microbiol. 2002, 40, 2431–2436. [Google Scholar] [CrossRef]
- Gorenflot, A.; Moubri, K.; Precigout, E.; Carcy, B.; Schetters, T.P. Human babesiosis. Ann. Trop. Med. Parasitol. 1998, 92, 489–501. [Google Scholar] [CrossRef]
- Uhnoo, I.; Cars, O.; Christensson, D.; Nystrom-Rosander, C. First documented case of human babesiosis in Sweden. Scand. J. Infect. Dis. 1992, 24, 541–547. [Google Scholar] [CrossRef]
- Miguelez, M.; Linares Feria, M.; Gonzalez, A.; Mesa, M.C.; Armas, F.; Laynez, P. Human babesiosis in a patient after splenectomy. Med. Clin. 1996, 106, 427–429. [Google Scholar]
- Loutan, L.; Rossier, J.; Zufferey, G.; Cuenod, D.; Hatz, C.; Marti, H.P.; Gern, L. Imported babesiosis diagnosed as malaria. Lancet 1993, 342, 749. [Google Scholar] [CrossRef]
- Rabinovich, S.A.; Voronina, Z.K.; Stepanova, N.I.; Maruashvili, G.M.; Bakradze, T.L. 1st detection of human babesiasis in the USSR and a short analysis of the cases described in the literature. Meditsinskaia Parazitol. I Parazit. Bolezn. 1978, 47, 97–107. [Google Scholar]
- Denes, E.; Rogez, J.P.; Dardé, M.L.; Weinbreck, P. Management of Babesia divergens babesiosis without a complete course of quinine treatment. Eur. J. Clin. Microbiol. Infect. Dis. Off. Publ. Eur. Soc. Clin. Microbiol. 1999, 18, 672–673. [Google Scholar] [CrossRef] [PubMed]
- Corpelet, C.; Vacher, P.; Coudore, F.; Laurichesse, H.; Conort, N.; Souweine, B. Role of quinine in life-threatening Babesia divergens infection successfully treated with clindamycin. Eur. J. Clin. Microbiol. Infect. Dis. Off. Publ. Eur. Soc. Clin. Microbiol. 2005, 24, 74–75. [Google Scholar] [CrossRef] [PubMed]
- Martinot, M.; Zadeh, M.M.; Hansmann, Y.; Grawey, I.; Christmann, D.; Aguillon, S.; Jouglin, M.; Chauvin, A.; De Briel, D. Babesiosis in immunocompetent patients, Europe. Emerg. Infect. Dis. 2011, 17, 114–116. [Google Scholar] [CrossRef]
- Paleau, A.; Candolfi, E.; Souply, L.; De Briel, D.; Delarbre, J.M.; Lipsker, D.; Jouglin, M.; Malandrin, L.; Hansmann, Y.; Martinot, M. Human babesiosis in Alsace. Med. Mal. Infect. 2020, 50, 486–491. [Google Scholar] [CrossRef] [PubMed]
- Mørch, K.; Holmaas, G.; Frolander, P.S.; Kristoffersen, E.K. Severe human Babesia divergens infection in Norway. Int. J. Infect. Dis. IJID Off. Publ. Int. Soc. Infect. Dis. 2015, 33, 37–38. [Google Scholar] [CrossRef]
- Gonzalez, L.M.; Castro, E.; Lobo, C.A.; Richart, A.; Ramiro, R.; Gonzalez-Camacho, F.; Luque, D.; Velasco, A.C.; Montero, E. First report of Babesia divergens infection in an HIV patient. Int. J. Infect. Dis. IJID Off. Publ. Int. Soc. Infect. Dis. 2015, 33, 202–204. [Google Scholar] [CrossRef] [PubMed]
- Gonzalez, L.M.; Rojo, S.; Gonzalez-Camacho, F.; Luque, D.; Lobo, C.A.; Montero, E. Severe babesiosis in immunocompetent man, Spain, 2011. Emerg. Infect. Dis. 2014, 20, 724–726. [Google Scholar] [CrossRef]
- Asensi, V.; Gonzalez, L.M.; Fernandez-Suarez, J.; Sevilla, E.; Navascues, R.A.; Suarez, M.L.; Lauret, M.E.; Bernardo, A.; Carton, J.A.; Montero, E. A fatal case of Babesia divergens infection in Northwestern Spain. Ticks Tick-Borne Dis. 2018, 9, 730–734. [Google Scholar] [CrossRef] [PubMed]
- Tanyel, E.; Guler, N.; Hokelek, M.; Ulger, F.; Sunbul, M. A case of severe babesiosis treated successfully with exchange transfusion. Int. J. Infect. Dis. IJID Off. Publ. Int. Soc. Infect. Dis. 2015, 38, 83–85. [Google Scholar] [CrossRef] [PubMed]
- O’Connell, S.; Lyons, C.; Abdou, M.; Patowary, R.; Aslam, S.; Kinsella, N.; Zintl, A.; Hunfeld, K.P.; Wormser, G.P.; Gray, J.; et al. Splenic dysfunction from celiac disease resulting in severe babesiosis. Ticks Tick-Borne Dis. 2017, 8, 537–539. [Google Scholar] [CrossRef] [PubMed]
- Chan, W.Y.; MacDonald, C.; Keenan, A.; Xu, K.; Bain, B.J.; Chiodini, P.L. Severe babesiosis due to Babesia divergens acquired in the United Kingdom. Am. J. Hematol. 2021, 96, 889–890. [Google Scholar] [CrossRef] [PubMed]
- Vannier, E.; Krause, P.J. Update on babesiosis. Interdiscip. Perspect. Infect. Dis. 2009, 2009, 984568. [Google Scholar] [CrossRef] [PubMed]
- Jadin, J.B.; Giroud, P. Babèsioses et rickettsioses. In Parasitolological Topics: A Presentation Volume to P. C. C. Garnham on the Occasion of His Birthday; Canning, E.U., Ed.; Society of Protozoologists: Utica, NY, USA, 1981; pp. 132–135. [Google Scholar]
- Humiczewska, M.; Kuźna-Grygiel, W. A case of imported human babesiosis in Poland. Wiad. Parazytol. 1997, 43, 227–229. [Google Scholar] [PubMed]
- Baumann, D.; Pusterla, N.; Péter, O.; Grimm, F.; Fournier, P.E.; Schar, G.; Bossart, W.; Lutz, H.; Weber, R. Fever after a tick bite: Clinical manifestations and diagnosis of acute tick bite-associated infections in northeastern Switzerland. Dtsch. Med. Wochenschr. 2003, 128, 1042–1047. [Google Scholar] [CrossRef]
- Nohýnková, E.; Kubek, J.; Mĕst’ánková, O.; Chalupa, P.; Hubálek, Z. A case of Babesia microti imported into the Czech Republic from the USA. Cas. Lek. Ceskych. 2003, 142, 377–381. [Google Scholar]
- Ramharter, M.; Walochnik, J.; Lagler, H.; Winkler, S.; Wernsdorfer, W.H.; Stoiser, B.; Graninger, W. Clinical and molecular characterization of a near fatal case of human babesiosis in Austria. J. Travel Med. 2010, 17, 416–418. [Google Scholar] [CrossRef] [PubMed][Green Version]
- Berens-Riha, N.; Zechmeister, M.; Hirzmann, J.; Draenert, R.; Bogner, J.; Löscher, T. Babesiose Bei Einem Splenektomierten Reisenden Aus Den USA—Nach Deutschland Importierte Infektion Durch Zecken. Flugmed. Trop. Reisemedizin—FTR 2012, 19, 113–115. [Google Scholar] [CrossRef]
- Poisnel, E.; Ebbo, M.; Berda-Haddad, Y.; Faucher, B.; Bernit, E.; Carcy, B.; Piarroux, R.; Harle, J.R.; Schleinitz, N. Babesia microti: An unusual travel-related disease. BMC Infect. Dis. 2013, 13, 99. [Google Scholar] [CrossRef] [PubMed]
- Jablonska, J.; Zarnowska-Prymek, H.; Stanczak, J.; Kozlowska, J.; Wiercinska-Drapalo, A. Symptomatic co-infection with Babesia microti and Borrelia burgdorferi in patient after international exposure; a challenging case in Poland. Ann. Agric. Environ. Med. AAEM 2016, 23, 387–389. [Google Scholar] [CrossRef] [PubMed]
- Holler, J.G.; Roser, D.; Nielsen, H.V.; Eickhardt, S.; Chen, M.; Lester, A.; Bang, D.; Frandsen, C.; David, K.P. A case of human babesiosis in Denmark. Travel Med. Infect. Dis. 2013, 11, 324–328. [Google Scholar] [CrossRef] [PubMed]
- Merino, A. Blood film findings in severe babesiosis. Br. J. Haematol. 2016, 172, 839. [Google Scholar] [CrossRef]
- de Ramon, C.; Cid, J.; Rodriguez-Tajes, S.; Alvarez-Martinez, M.J.; Valls, M.E.; Fernandez, J.; Lozano, M. Severe Babesia microti infection in an American immunocompetent patient diagnosed in Spain. Transfus. Apher. Sci. 2016, 55, 243–244. [Google Scholar] [CrossRef] [PubMed]
- Stahl, P.; Poinsignon, Y.; Pouedras, P.; Ciubotaru, V.; Berry, L.; Emu, B.; Krause, P.J.; Ben Mamoun, C.; Cornillot, E. Case report of the patient source of the Babesia microti R1 reference strain and implications for travelers. J. Travel Med. 2018, 25, tax073. [Google Scholar] [CrossRef] [PubMed]
- McGregor, A.; Lambert, J.; Bain, B.J.; Chiodini, P. Unexpected babesiosis with dramatic morphological features. Am. J. Hematol. 2019, 94, 947–948. [Google Scholar] [CrossRef]
- Guirao-Arrabal, E.; Gonzalez, L.M.; Garcia-Fogeda, J.L.; Miralles-Adell, C.; Sanchez-Moreno, G.; Chueca, N.; Anguita-Santos, F.; Munoz-Medina, L.; Vinuesa-Garcia, D.; Hernandez-Quero, J.; et al. Imported babesiosis caused by Babesia microti-a case report. Ticks Tick-Borne Dis. 2020, 11, 101435. [Google Scholar] [CrossRef] [PubMed]
- Rojko, T.; Duh, D.; Avšič-Zupanc, T.; Strle, F.; Lotric-Furlana, S. Seroprevalence of Babesia divergens infection among forestry workers in Slovenia. Int. J. Med. Microbiol. 2008, 298, 347–350. [Google Scholar] [CrossRef]
- Vannier, E.; Gewurz, B.E.; Krause, P.J. Human babesiosis. Infect. Dis. Clin. N. Am. 2008, 22, 469–488. [Google Scholar] [CrossRef] [PubMed]
- Welc-Falęciak, R.; Hildebrandt, A.; Siński, E. Co-infection with Borrelia species and other tick-borne pathogens in humans: Two cases from Poland. Ann. Agric. Environ. Med. AAEM 2010, 17, 309–313. [Google Scholar] [PubMed]
- Raoult, D.; Soulayrol, L.; Toga, B.; Dumon, H.; Casanova, P. Babesiosis, pentamidine, and cotrimoxazole. Ann. Intern. Med. 1987, 107, 944. [Google Scholar] [CrossRef]
- Loutan, L.; Rossier, J.; Zufferey, G.; Cuenod, D.; Hatz, C.; Marti, H.P.; Gern, L. Human babesiosis: First case report in Switzerland. Rev. Med. Suisse Romande 1994, 114, 111–116. [Google Scholar]
- Calvo de Mora, A.; Garcia Castellano, J.M.; Herrera, C.; Jimenez-Alonso, J. Human babesiosis: Report of a case with fatal outcome. Med. Clin. 1985, 85, 515–516. [Google Scholar]
- Tokmalaev, A.K.; Chentsov, V.B.; Malov, V.A.; Maleyev, V.V.; Kozhevnikova, G.M.; Polovinkina, N.A.; Golub, V.P.; Konnov, V.V.; Kharlamova, T.V. Human babesiosis: Clinical cases in the european part of the Russian Federation. Ter. Arkhiv. 2019, 91, 60–65. [Google Scholar] [CrossRef] [PubMed]
- Moreno Giménez, J.C.; Jiménez Puya, R.; Galàn Gutiérrez, M.; Ortega Salas, R.; Dueñas Jurado, J.M. Erythema figuratum in septic babesiosis. J. Eur. Acad. Dermatol. Venereol. JEADV 2006, 20, 726–728. [Google Scholar] [CrossRef] [PubMed]
- Andric, B.; Golubovic, M.; Terzic, D.; Dupanovic, B.; Icevic, M. First diagnostic cases of human babesiosis in Montenegro. Braz. J. Infect. Dis. Off. Publ. Braz. Soc. Infect. Dis. 2012, 16, 498–499. [Google Scholar] [CrossRef] [PubMed]
- Meer-Scherrer, L.; Adelson, M.; Mordechai, E.; Lottaz, B.; Tilton, R. Babesia microti infection in Europe. Curr. Microbiol. 2004, 48, 435–437. [Google Scholar] [CrossRef] [PubMed]
- Guerrero Espejo, A.; Munoz Parada, C.; Tomas Dols, S. Incidence of human babesiosis in Spain obtained from the diagnoses at hospital discharge. Med. Clin. 2017, 149, 84–85. [Google Scholar] [CrossRef]
- Moniuszko, A.; Dunaj, J.; Swiecicka, I.; Zambrowski, G.; Chmielewska-Badora, J.; Zukiewicz-Sobczak, W.; Zajkowska, J.; Czupryna, P.; Kondrusik, M.; Grygorczuk, S.; et al. Co-infections with Borrelia species, Anaplasma phagocytophilum and Babesia spp. in patients with tick-borne encephalitis. Eur. J. Clin. Microbiol. Infect. Dis. Off. Publ. Eur. Soc. Clin. Microbiol. 2014, 33, 1835–1841. [Google Scholar] [CrossRef] [PubMed]
- Inamadar, A.C.; Shivanna, R.; Ankad, B.S. Necrolytic Acral Erythema: Current Insights. Clin. Cosmet. Investig. Derm. 2020, 13, 275–281. [Google Scholar] [CrossRef] [PubMed]
- Fukushima, H.; Fujii, T.; Sugiura, K. Zinc-responsive necrolytic acral erythema in ovarian cancer. J. Dermatol. 2020, 47, e266–e267. [Google Scholar] [CrossRef] [PubMed]
- Mohrenschlager, M.; Kohler, L.D.; Bruckbauer, H.; Walch, A.; Ring, J. Squamous epithelial carcinoma-associated necrolytic migratory erythema. Der Hautarzt Z. Fur Dermatol. Venerol. Verwandte Geb. 1999, 50, 198–202. [Google Scholar] [CrossRef]
- Strizova, Z.; Havlova, K.; Patek, O.; Smrz, D.; Bartunkova, J. The first human case of babesiosis mimicking Reiter′s syndrome. Folia Parasitol. 2020, 67, 031. [Google Scholar] [CrossRef] [PubMed]
- Hildebrandt, A.; Gray, J.S.; Hunfeld, K.P. Human babesiosis in Europe: What clinicians need to know. Infection 2013, 41, 1057–1072. [Google Scholar] [CrossRef]
- O′Bryan, J.; Gokhale, A.; Hendrickson, J.E.; Krause, P.J. Parasite burden and red blood cell exchange transfusion for babesiosis. J. Clin. Apher. 2021, 36, 127–134. [Google Scholar] [CrossRef]
- White, D.J.; Talarico, J.; Chang, H.G.; Birkhead, G.S.; Heimberger, T.; Morse, D.L. Human babesiosis in New York State: Review of 139 hospitalized cases and analysis of prognostic factors. Arch. Intern. Med. 1998, 158, 2149–2154. [Google Scholar] [CrossRef]
- Hatcher, J.C.; Greenberg, P.D.; Antique, J.; Jimenez-Lucho, V.E. Severe babesiosis in Long Island: Review of 34 cases and their complications. Clin. Infect. Dis. Off. Publ. Infect. Dis. Soc. Am. 2001, 32, 1117–1125. [Google Scholar] [CrossRef]
- Mareedu, N.; Schotthoefer, A.M.; Tompkins, J.; Hall, M.C.; Fritsche, T.R.; Frost, H.M. Risk factors for severe infection, hospitalization, and prolonged antimicrobial therapy in patients with babesiosis. Am. J. Trop. Med. Hyg. 2017, 97, 1218–1225. [Google Scholar] [CrossRef] [PubMed]
- Meldrum, S.C.; Birkhead, G.S.; White, D.J.; Benach, J.L.; Morse, D.L. Human babesiosis in New York State: An epidemiological description of 136 cases. Clin. Infect. Dis. Off. Publ. Infect. Dis. Soc. Am. 1992, 15, 1019–1023. [Google Scholar] [CrossRef]
- Akel, T.; Mobarakai, N. Hematologic manifestations of babesiosis. Ann. Clin. Microbiol. Antimicrob. 2017, 16, 6. [Google Scholar] [CrossRef] [PubMed]
- Auerbach, M.; Haubenstock, A.; Soloman, G. Systemic babesiosis. Another cause of the hemophagocytic syndrome. Am. J. Med. 1986, 80, 301–303. [Google Scholar] [CrossRef]
- Slovut, D.P.; Benedetti, E.; Matas, A.J. Babesiosis and hemophagocytic syndrome in an asplenic renal transplant recipient. Transplantation 1996, 62, 537–539. [Google Scholar] [CrossRef] [PubMed]
- Gupta, P.; Hurley, R.W.; Helseth, P.H.; Goodman, J.L.; Hammerschmidt, D.E. Pancytopenia due to hemophagocytic syndrome as the presenting manifestation of babesiosis. Am. J. Hematol. 1995, 50, 60–62. [Google Scholar] [CrossRef]
- Mecchella, J.N.; Rigby, W.F.; Zbehlik, A.J. Pancytopenia and cough in a man with amyopathic dermatomyositis. Arthritis Care Res. 2014, 66, 1587–1590. [Google Scholar] [CrossRef] [PubMed]
- Filipovich, A.H.; Chandrakasan, S. Pathogenesis of hemophagocytic lymphohistiocytosis. Hematol. Oncol. Clin. N. Am. 2015, 29, 895–902. [Google Scholar] [CrossRef] [PubMed]
- Morales, M.M.; Feria, M.L.; Mesa, M.D. Hemophagocytic syndrome due to babesiosis in a splenectomized patient. Br. J. Haematol. 1995, 91, 1033. [Google Scholar] [CrossRef]
- Di Sabatino, A.; Brunetti, L.; Carnevale Maffe, G.; Giuffrida, P.; Corazza, G.R. Is it worth investigating splenic function in patients with celiac disease? World J. Gastroenterol. WJG 2013, 19, 2313–2318. [Google Scholar] [CrossRef] [PubMed]
- Di Sabatino, A.; Rosado, M.M.; Cazzola, P.; Riboni, R.; Biagi, F.; Carsetti, R.; Corazza, G.R. Splenic hypofunction and the spectrum of autoimmune and malignant complications in celiac disease. Clin. Gastroenterol. Hepatol. 2006, 4, 179–186. [Google Scholar] [CrossRef]
- Di Sabatino, A.; Carsetti, R.; Corazza, G.R. Post-splenectomy and hyposplenic states. Lancet 2011, 378, 86–97. [Google Scholar] [CrossRef]
- Chen, Z.; Li, H.; Gao, X.; Bian, A.; Yan, H.; Kong, D.; Liu, X. Human babesiosis in China: A systematic review. Parasitol. Res. 2019, 118, 1103–1112. [Google Scholar] [CrossRef] [PubMed]
- Krause, P.J.; Telford, S.R., III; Spielman, A.; Sikand, V.; Ryan, R.; Christianson, D.; Burke, G.; Brassard, P.; Pollack, R.; Peck, J.; et al. Concurrent Lyme disease and babesiosis. Evidence for increased severity and duration of illness. JAMA J. Am. Med. Assoc. 1996, 275, 1657–1660. [Google Scholar] [CrossRef]
- Joseph, J.T.; Roy, S.S.; Shams, N.; Visintainer, P.; Nadelman, R.B.; Hosur, S.; Nelson, J.; Wormser, G.P. Babesiosis in Lower Hudson Valley, New York, USA. Emerg. Infect. Dis. 2011, 17, 843–847. [Google Scholar] [CrossRef] [PubMed]
- Kjemtrup, A.M.; Conrad, P.A. Human babesiosis: An emerging tick-borne disease. Int. J. Parasitol. 2000, 30, 1323–1337. [Google Scholar] [CrossRef]
- Krause, P.J.; Spielman, A.; Telford, S.R., III; Sikand, V.K.; McKay, K.; Christianson, D.; Pollack, R.J.; Brassard, P.; Magera, J.; Ryan, R.; et al. Persistent parasitemia after acute babesiosis. N. Engl. J. Med. 1998, 339, 160–165. [Google Scholar] [CrossRef]
- Raffalli, J.; Wormser, G.P. Persistence of babesiosis for >2 years in a patient on rituximab for rheumatoid arthritis. Diagn. Microbiol. Infect. Dis. 2016, 85, 231–232. [Google Scholar] [CrossRef]
- Leiby, D.A. Transfusion-transmitted Babesia spp.: Bull’s-eye on Babesia microti. Clin. Microbiol. Rev. 2011, 24, 14–28. [Google Scholar] [CrossRef]
- Pantanowitz, L.; Cannon, M.E. Extracellular Babesia microti parasites. Transfusion 2001, 41, 440. [Google Scholar] [CrossRef] [PubMed]
- Gubernot, D.M.; Nakhasi, H.L.; Mied, P.A.; Asher, D.M.; Epstein, J.S.; Kumar, S. Transfusion-transmitted babesiosis in the United States: Summary of a workshop. Transfusion 2009, 49, 2759–2771. [Google Scholar] [CrossRef]
- Hildebrandt, A.; Tenter, A.M.; Straube, E.; Hunfeld, K.P. Human babesiosis in Germany: Just overlooked or truly new? Int. J. Med. Microbiol. 2008, 298, 336–346. [Google Scholar] [CrossRef]
- Hunfeld, K.P.; Hildebrandt, A.; Gray, J.S. Babesiosis: Recent insights into an ancient disease. Int. J. Parasitol. 2008, 38, 1219–1237. [Google Scholar] [CrossRef]
- Krause, P.J.; Telford, S.R., III. Babesiosis. In Protozoal Diseases; Gilles, H.M., Ed.; Arnold: London, UK, 1999; pp. 236–248. [Google Scholar]
- Wilson, M.; Glaser, K.C.; Adams-Fish, D.; Boley, M.; Mayda, M.; Molestina, R.E. Development of droplet digital PCR for the detection of Babesia microti and Babesia duncani. Exp. Parasitol. 2015, 149, 24–31. [Google Scholar] [CrossRef] [PubMed]
- Lohr, B.; Hildebrandt, A.; Hunfeld, K.P. Humane Babesiose: Ein kurzer klinisch-mikrobiologischer Steckbrief. GMS Z Forder Qual. Med. Lab. 2017, 8, Doc04, URN: Urn:nbn:de:0183-lab0000271. [Google Scholar] [CrossRef]
- Krause, P.J.; Telford, S.R., III; Ryan, R.; Conrad, P.A.; Wilson, M.; Thomford, J.W.; Spielman, A. Diagnosis of babesiosis: Evaluation of a serologic test for the detection of Babesia microti antibody. J. Infect. Dis. 1994, 169, 923–926. [Google Scholar] [CrossRef]
- Krause, P.J.; Ryan, R.; Telford, S., III; Persing, D.; Spielman, A. Efficacy of immunoglobulin M serodiagnostic test for rapid diagnosis of acute babesiosis. J. Clin. Microbiol. 1996, 34, 2014–2016. [Google Scholar] [CrossRef] [PubMed]
- Krause, P.J.; McKay, K.; Thompson, C.A.; Sikand, V.K.; Lentz, R.; Lepore, T.; Closter, L.; Christianson, D.; Telford, S.R.; Persing, D.; et al. Disease-specific diagnosis of coinfecting tickborne zoonoses: Babesiosis, human granulocytic ehrlichiosis, and Lyme disease. Clin. Infect. Dis. Off. Publ. Infect. Dis. Soc. Am. 2002, 34, 1184–1191. [Google Scholar] [CrossRef] [PubMed]
- Gray, J.S.; Pudney, M. Activity of atovaquone against Babesia microti in the Mongolian gerbil, Meriones unguiculatus. J. Parasitol. 1999, 85, 723–728. [Google Scholar] [CrossRef]
- Smith, R.P.; Hunfeld, K.P.; Krause, P.J. Management strategies for human babesiosis. Expert Rev. Anti-Infect. Ther. 2020, 18, 625–636. [Google Scholar] [CrossRef]
- Gorenflot, A.; Bazin, C.; Ambroise-Thomas, P. Human babesiosis. Treatment of severe forms. Presse Med. 1987, 16, 1099. [Google Scholar] [PubMed]
- Gray, E.B.; Herwaldt, B.L. Babesiosis surveillance—United States, 2011–2015. MMWR Surveill. Summ. 2019, 68, 1–11. [Google Scholar] [CrossRef]
- Marcus, L.C.; Mabray, C.J.; Sturgis, G.H. Babesia microti infection in the hamster: Failure of quinine and pyrimethamine in chemotherapeutic trials. Am. J. Trop. Med. Hyg. 1984, 33, 21–23. [Google Scholar] [CrossRef]
- Brasseur, P.; Lecoublet, S.; Kapel, N.; Favennec, L.; Ballet, J.J. Quinine in the treatment of Babesia divergens infections in humans. Eur. J. Clin. Microbiol. Infect. Dis. Off. Publ. Eur. Soc. Clin. Microbiol. 1996, 15, 840–841. [Google Scholar] [CrossRef]
- Cervera-Hernandez, M.E.; Zaidi, N.; Sweeney, J.D. Heavy parasitemia in babesiosis treated without adjunctive red cell exchange. Transfus. Apher. Sci. 2019, 58, 439–441. [Google Scholar] [CrossRef]
- Vial, H.J.; Gorenflot, A. Chemotherapy against babesiosis. Vet. Parasitol. 2006, 138, 147–160. [Google Scholar] [CrossRef] [PubMed]
- Pudney, M.; Gray, J.S. Therapeutic efficacy of atovaquone against the bovine intraerythrocytic parasite, Babesia Divergens. J. Parasitol. 1997, 83, 307–310. [Google Scholar] [CrossRef]
- Egan, E.L.; Duggan, C. Human babesiosis divergens treated with imidocarb dipropionate with a note on clinical diagnosis. In Proceedings of the International Society of Hematology 23rd Congress and the 32nd Annual Meeting of the American Society of Hematology, Boston, MA, USA, 28 November–4 December 1990; Saunders: Philadelphia, PA, USA, 1991. [Google Scholar]
- Beshbishy, A.M.; Batiha, G.E.; Alkazmi, L.; Nadwa, E.; Rashwan, E.; Abdeen, A.; Yokoyama, N.; Igarashi, I. Therapeutic effects of atranorin towards the proliferation of Babesia and Theileria parasites. Pathogens 2020, 9, 127. [Google Scholar] [CrossRef]
- Batiha, G.E.; Beshbishy, A.M.; Alkazmi, L.M.; Nadwa, E.H.; Rashwan, E.K.; Yokoyama, N.; Igarashi, I. In vitro and in vivo growth inhibitory activities of cryptolepine hydrate against several Babesia species and Theileria equi. PLoS Negl. Trop. Dis. 2020, 14, e0008489. [Google Scholar] [CrossRef]
- Salama, A.A.; Aboulaila, M.; Moussa, A.A.; Nayel, M.A.; El-Sify, A.; Terkawi, M.A.; Hassan, H.Y.; Yokoyama, N.; Igarashi, I. Evaluation of in vitro and in vivo inhibitory effects of fusidic acid on Babesia and Theileria parasites. Vet. Parasitol. 2013, 191, 1–10. [Google Scholar] [CrossRef]
- AbouLaila, M.; El-Sayed, S.A.E.; Omar, M.A.; Al-Aboody, M.S.; Aziz, A.R.A.; Abdel-Daim, M.M.; Rizk, M.A.; Igarashi, I. Myrrh oil In Vitro inhibitory growth on bovine and equine piroplasm parasites and Babesia microti of mice. Pathogens 2020, 9, 173. [Google Scholar] [CrossRef]
- Batiha, G.E.; Beshbishy, A.M.; Tayebwa, D.S.; Adeyemi, O.S.; Shaheen, H.; Yokoyama, N.; Igarashi, I. The effects of trans-chalcone and chalcone 4 hydrate on the growth of Babesia and Theileria. PLoS Negl. Trop. Dis. 2019, 13, e0007030. [Google Scholar] [CrossRef] [PubMed]
- Vannier, E.; Krause, P.J. Babesiosis in China, an emerging threat. Lancet Infect. Dis. 2015, 15, 137–139. [Google Scholar] [CrossRef]
- Zhou, X.; Xia, S.; Huang, J.L.; Tambo, E.; Ge, H.X.; Zhou, X.N. Human babesiosis, an emerging tick-borne disease in the people inverted question marks Republic of China. Parasites Vectors 2014, 7, 509. [Google Scholar] [CrossRef] [PubMed]
- Zhou, X.; Xia, S.; Yin, S.Q.; Zhou, X.N. Emergence of babesiosis in China-Myanmar border areas. Parasites Vectors 2015, 8, 390. [Google Scholar] [CrossRef]
- Jiang, J.F.; Zheng, Y.C.; Jiang, R.R.; Li, H.; Huo, Q.B.; Jiang, B.G.; Sun, Y.; Jia, N.; Wang, Y.W.; Ma, L.; et al. Epidemiological, clinical, and laboratory characteristics of 48 cases of “Babesia venatorum” infection in China: A descriptive study. Lancet Infect. Dis. 2015, 15, 196–203. [Google Scholar] [CrossRef]
- Weiss, L.M.; Wittner, M.; Wasserman, S.; Oz, H.S.; Retsema, J.; Tanowitz, H.B. Efficacy of azithromycin for treating Babesia microti infection in the hamster model. J. Infect. Dis. 1993, 168, 1289–1292. [Google Scholar] [CrossRef]
- Wittner, M.; Lederman, J.; Tanowitz, H.B.; Rosenbaum, G.S.; Weiss, L.M. Atovaquone in the treatment of Babesia microti infections in hamsters. Am. J. Trop. Med. Hyg. 1996, 55, 219–222. [Google Scholar] [CrossRef]
- Krause, P.J.; Lepore, T.; Sikand, V.K.; Gadbaw, J., Jr.; Burke, G.; Telford, S.R., III; Brassard, P.; Pearl, D.; Azlanzadeh, J.; Christianson, D.; et al. Atovaquone and azithromycin for the treatment of babesiosis. N. Engl. J. Med. 2000, 343, 1454–1458. [Google Scholar] [CrossRef] [PubMed]
- Abraham, A.; Brasov, I.; Thekkiniath, J.; Kilian, N.; Lawres, L.; Gao, R.; DeBus, K.; He, L.; Yu, X.; Zhu, G.; et al. Establishment of a continuous In Vitro culture of Babesia duncani in human erythrocytes reveals unusually high tolerance to recommended therapies. J. Biol. Chem. 2018, 293, 19974–19981. [Google Scholar] [CrossRef] [PubMed]
- McCormack, K.A.; Alhaboubi, A.; Pollard, D.A.; Fuller, L.; Holman, P.J. In Vitro cultivation of Babesia duncani (Apicomplexa: Babesiidae), a zoonotic hemoprotozoan, using infected blood from Syrian hamsters (Mesocricetus auratus). Parasitol. Res. 2019, 118, 2409–2417. [Google Scholar] [CrossRef] [PubMed]
- Spaete, J.; Patrozou, E.; Rich, J.D.; Sweeney, J.D. Red cell exchange transfusion for babesiosis in Rhode Island. J. Clin. Apher. 2009, 24, 97–105. [Google Scholar] [CrossRef] [PubMed]


| Year | Country | Age, Gender, (Outcome) | Course of Disease * | Co-Morbidities Compl./Unusual Features | Misdiagnosis, Time from Symptoms until Diagnosis: Prior ad./Post ad. | Parasitemia | Antibabesial Therapy | References |
|---|---|---|---|---|---|---|---|---|
| 1957–1998 22 cases | 10× in France (8 cured, 2 died) 6× British Isles (2 cured, 4 died) 1× Russia (died) 2× Spain (1 cured, 1 died) 1× Sweden (cured) 1× Switzerland (cured) ** 1× Ex-Yugoslavia (died) | mild to lethal | Co-morbidities: Hodgkin’s disease, splenectomy, hypertension, diabetes; Compl: ARF, ARDS, shock, HLH, cardio-respiratory arrest, cardiac effusion | malaria, 3 days/10 days or diagnosis post mortem | 2–80% | Drugs used: QN + CLI, QN +CHQ PNT + CTM QN + CLI + PNT QN + DOX CH + CLI CH + DOX + MEF ET | [64] | |
| 1999–2021 Asplenic and Hyposplenic Patients | ||||||||
| 1999 | France | 44, M, splenecto-mized (cured) | mild to moderate | NI | 3 days/1 day | 1% | QN + CLI | [69] |
| 2003 | Portugal | 66, M, splenecto-mized (died) | severe to lethal | Co-morbidities: MI 1984, subtotal gastrectomy; Compl: ARDS, ARF | malaria, 1 week/4 days | 30% | QN + CLI + VI | [14] |
| 2004 | Finland | 53, M, rudimentary spleen (died) | severe to lethal | Co-morbidities: severe alcohol-induced pancraetitis, diabetes type 1; Compl: Septic shock, multiple organ failure, pulmonary aspergillosis, UF: ECM | 1 week/2 days | 10% | QN + CLI + CFX, ET | [44] |
| 2005 | France | 51, M, splenecto-mized (cured) | moderate to severe | Compl: ARF, ARDS | 2 days/1 day | 60% | QN + CLI | [70] |
| 2015 | Norway | 58, M, splenecto-mized (cured) | severe | Compl: ARF, ARDS, atrial fibrillation | FUO, 4 days/2 days | 30% | QN + CLI, ET | [73] |
| 2015 | Spain | 37, M, splenecto-mized (cured) | moderate to severe | Co-morbidity: newly diagnosed HIV; Compl: HLH, ARDS | Mycobacterium spp., 3 days post ad. | low | QN + CLI, AZM + ATQ | [74] |
| 2015 | Turkey | 28, F, splenecto-mized (cured) | moderate to severe | NI | malaria, 1 month/2 days | 50% | ET, QN + CLI | [77] |
| 2017 | Ireland | 79, M, hypo-splenism (cured) | moderate to severe | Co-morbidities: adult celiac disease, pulmonary TB; Compl: ARF, HAP | 7 days/2 days | 20% | ATQ + AZM, CLI + QN | [78] |
| 1999–2021 Normosplenic Patients | ||||||||
| 2011 | France | 37, F (cured) | mild | NI | TBD, 3 weeks post ad. | 0.29% | DOX | [71] |
| 2011 | Spain | 46, M (cured) | moderate to severe | Compl: ARF, relapse | 3 days/1 day | 10% | QN + CLI; relapse: AZM + AP | [75] |
| 2018 | Spain | 87, F (died) | severe to lethal | Co-morbidities: ovarian tumor, malignant hypertension, transient ischemic attacks, osteoporosis; Compl: ARF, bleeding disorders, cardio-respiratory arrest | 3 months/4 days | 2.9% | AZM + AP | [76] |
| 2020 | France | 6 patients, no information about sex and age (cured) | mild to moderate | UF/Compl: 1× unusual cutaneous symptom, 1× K. pneumonia septicemia and hepatic abscesses, 1× acute pneumonia, 1× febrile eosinophilic panniculitis | retrospective analysis | In 2/6 pos. | 2 patients: DOX 2 patients: AZM + ATQ 1 patient: CTX + SPI 1 patient: COX + AMC + OFX | [72] |
| 2021 | UK | 72, F (NI) | moderate to severe | NI | 3 days/1 day | 20% | NI | [79] |
| Year | Country | Age, Gender, (Outcome) | Course of Disease * | Co-Morbidities, Compl. | Misdiagnosis, Time from Symptoms until Diagnosis: Prior ad./Post ad. | Parasitemia | Antibabesial Therapy | References |
|---|---|---|---|---|---|---|---|---|
| 2003 | Italy | 55, M, (cured) | moderate to severe | Co-morbidities: splenectomized because of Hodgkin’s disease, recently started chemotherapy for stage IIIA diffuse large B-cell lymphoma | 4 days/6 days | 30% | QN + CLI | [4] |
| Austria | 56, M, (cured) | mild | Co-morbidities: splenectomized, Hodgkin’s disease | 2 days/1 day | 1.3% | CLI | ||
| 2007 | Germany | 63, M, (cured) | moderate to severe | Co-morbidities: splenectomized, Hodgkin’s disease, immunosuppressive treatment; Compl.: prolonged, relapse | relapse of Hodgkin’s disease, AIHA 3–4 weeks/2 days | 4% | QN + CLI, CLI, relapse: AZM + ATQ, ATQ for 5 months | [5] |
| 2011 | Austria | 68, M (cured) | mild to moderate | Co-morbidities: splenectomized, hairy cell leukemia, immunosuppressive treatment, granular lymphocyte leukemia; Compl.: ARF | AIHA some weeks/3–4 days | 30% | QN + CLI | [6] |
| 2015 | Poland | NI | asymptomatic | NI | NI | NI | NI | GenBank: KP072001 |
| 2017 | Sweden | 52, M (cured) | moderate to severe | Co-morbidities: splenectomized, T-Cell Lymphoma, immunosuppressive treatment; Compl.: HLH | Hemophagocytic syndrome, 2 months/2 days | 4% | QN + CLI, AZM + ATQ | [7] |
| Year | Country | Age, Gender, (Outcome) | Course of Disease * | Co-Morbidities Compl./Unusual Features | Misdiagnosis, Time from Symptoms until Diagnosis: Prior ad./Post ad. | Parasitemia | Antibabesial Therapy | Reference |
|---|---|---|---|---|---|---|---|---|
| Autochthonous B. microti Infections | ||||||||
| 1981 | Belgium | In the 40 s, M, (cured) | moderate | Compl.: prolonged fever | Rickettsiosis, 1 month | NI | T, CHQ | [81] |
| 2007 | Germany | 42, F, (cured) | moderate | Co-morbidities: AML, immunocompromizing treatment | MI, some weeks/10 days | 4.5% | QN + CLI, AZM | [8] |
| 2015 | Poland | 2 patients >45 (NI) | asymptomatic | NI | NI | ND | no treatment | [22] |
| 2016 | Poland | 6 patients (cured) | mild | Co-morbidities: 1 EM, 1 TBE | NI | Neg. | no treatment | [24] |
| 2016 | Spain | 35, M (cured) | mild | Compl: prolonged parasitemia | several months/few days second ad. | Neg. | ATQ + AZM, AP | [25] |
| Imported B. microti Infections | ||||||||
| 1992 | Poland | 36, M (cured) | moderate | NI | malaria, NI | NI | CLI | [82] |
| 2003 | Switzerland | NI | mild | NI | NI | ND | NI | [83] |
| 2003 | Czech Rep. | 58, M (cured) | mild | NI | 28 days/some days | 0.14% | QN + DOX | [84] |
| 2010 | Austria | 63, M (cured) | moderate to severe | Compl.: hemodynamic shock, anuria | malaria, 2 weeks/diagnosis retrospective | high | QN + CLI | [85] |
| 2012 | Germany | 38, M (cured) | moderate to severe | Co-morbidity: splenectomy after injury, Compl: pneumonia | Borreliosis, 3–4 months | 8‰ | QN + CLI, AZM + ATQ + DOX | [86] |
| 2013 | France | 82, M (cured) | moderate | Compl: HLH | 5 days/some days | 3% | QN + CLI | [87] |
| 2013 | Poland | 48, F (cured) | moderate | Co-morbidity: neuroborreliosis; Compl.: neck stiffness | 10 days/10 days | 3% | AP, DOX + AZM + CLI | [88] |
| 2013 | Denmark | 64, F (cured) | moderate | Co-morbidity: RF; Compl.: erythematous skin changes | Borreliosis, malaria, IE, some days/1 week | 4% | AP, AP + AZM | [89] |
| 2015 | Spain | 66, F (cured) | severe | Compl.: multiorgan failure | 2 days/2 days | 20% | QN + CLI, ATQ + AZM, ET | [90] |
| 2016 | Spain | 66, F (cured) | severe | Compl.: ARDS, ARF, multiorgan failure | malaria, 1 week/some days | 20% | QN + CLI, AZM + ATQ, ET | [91] |
| 2017 | France | 69, M (cured) | moderate to severe | Compl.: ARF; UF: diffuse purpura of the lower extremities | malaria, 1–2 days/few days | 3% | QN, QN + CLI | [92] |
| 2019 | UK | 83, M (died) | severe | Co-morbidity: LGLL; Compl.: multiorgan failure | severe sepsis, few days | >20% | Antibabesial therapy, ET | [93] |
| 2020 | Spain | 72, M (cured) | mild to moderate | Co-morbidity: diabetes | 15 days/1 day | 0.5% | ATQ + AZM | [94] |
| Autochthonous or Imported B. microti Infection | ||||||||
| 2014 | Spain | 43, F (cured) | moderate | Compl.: prolonged disease | malaria, 8 months | >0.5% | AZM-AP | [26] |
| Drug (Generic Name) | Regular Single Dose | Application | Dosage Regimen |
|---|---|---|---|
| Adults | Dose—70 kg adult | ||
| Standard drugs | |||
| Quinine | 650 mg | p.o. | 3 times daily |
| Clindamycin | 600 mg | p.o., i.v. | 3 times daily |
| Azithromycin | 500 mg/1st day, 250 mg thereafter a | p.o., i.v. | once daily |
| Atovaquone | 750 mg | p.o. | twice daily |
| Doxycycline | 200 mg | p.o. | once daily |
| Unlicensed Drugs for Human Babesiosis g | |||
| Pentamidine | 4 mg/kg/day | i.v. | once daily |
| Trimethoprim/sulfametoxazole | 4/20 mg/kg | p.o., i.v. | twice daily |
| Proguanil | 400 mg/day | p.o. | once daily |
| Imidocarb dipropionate h | 0.6 mg/kg | i.m. | 12 hourly for 4 doses |
| Children | Dose/kg | ||
| Standard drugs | |||
| Quinine | 8 mg c | p.o. | 3 times daily |
| Clindamycin | 7–10 mg d | p.o., i.v. | 3 times daily |
| Azithromycin b | 10 mg/1st day 5 mg/day thereafter e | p.o., i.v. | once daily |
| Atovaquone | 20 mg/day f | p.o. | twice daily |
| Parasite | Mild Disease a (Drug) | Severe Disease a,b (Drug) | Adjunctive/Alternative Therapy in Severe Cases b |
|---|---|---|---|
| B. divergens | clindamycin | clindamycin plus quinine | Exchange transfusion, hemodialysis consider atovaquone/azithromycin, atovaquone/proguanil or pentamidine/ trimethoprim-sulfametoxazole as possible alternatives for severe and intractable infections |
| B. venatorum | clindamycin | clindamycin plus quinine | Exchange transfusion, Consider alternative treatment with atovaquone/azithromycin or atovaquone/proguanil in persisting babesiosis |
| B. microti | atovaquone plus azithromycin | clindamycin plus quinine | Exchange transfusion hemodialysis Consider adding doxycycline or proguanil in relapsing or persisting babesiosis |
Publisher’s Note: MDPI stays neutral with regard to jurisdictional claims in published maps and institutional affiliations. |
© 2021 by the authors. Licensee MDPI, Basel, Switzerland. This article is an open access article distributed under the terms and conditions of the Creative Commons Attribution (CC BY) license (https://creativecommons.org/licenses/by/4.0/).
Share and Cite
Hildebrandt, A.; Zintl, A.; Montero, E.; Hunfeld, K.-P.; Gray, J. Human Babesiosis in Europe. Pathogens 2021, 10, 1165. https://doi.org/10.3390/pathogens10091165
Hildebrandt A, Zintl A, Montero E, Hunfeld K-P, Gray J. Human Babesiosis in Europe. Pathogens. 2021; 10(9):1165. https://doi.org/10.3390/pathogens10091165
Chicago/Turabian StyleHildebrandt, Anke, Annetta Zintl, Estrella Montero, Klaus-Peter Hunfeld, and Jeremy Gray. 2021. "Human Babesiosis in Europe" Pathogens 10, no. 9: 1165. https://doi.org/10.3390/pathogens10091165
APA StyleHildebrandt, A., Zintl, A., Montero, E., Hunfeld, K.-P., & Gray, J. (2021). Human Babesiosis in Europe. Pathogens, 10(9), 1165. https://doi.org/10.3390/pathogens10091165

