Brazilian Dengue Virus Type 2-Associated Renal Involvement in a Murine Model: Outcomes after Infection by Two Lineages of the Asian/American Genotype
Abstract
1. Introduction
2. Results
2.1. Evaluation of Kidney Weight
2.2. Evaluation of Urea (BUN) Levels
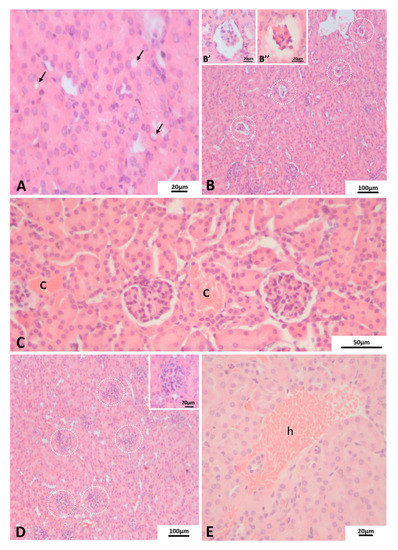
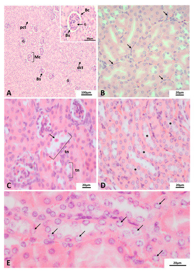
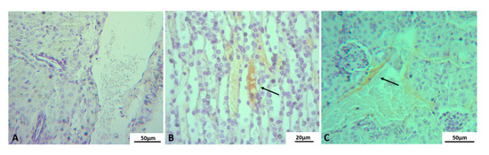
2.3. Evaluation of Histopathological Alterations, Histomorphometry and Antigen Detection
2.4. Evaluation of Ultrastructural Alterations
3. Discussion
4. Material and Methods
4.1. Ethical Statement
4.2. DENV-2 Viral Strains
4.3. BALB/c Experimental Infection
4.4. Biochemical Analysis
4.5. Bright Field Microscopy
4.6. Immunohistochemistry
4.7. Histomorphometry
4.8. Transmission Electron Microscopy (TEM)
4.9. Statistical Analysis
Author Contributions
Funding
Institutional Review Board Statement
Informed Consent Statement
Data Availability Statement
Acknowledgments
Conflicts of Interest
References
- Gubler, D.J. Epidemic dengue/dengue hemorrhagic fever as a public health, social and economic problem in the 21st century. Trends Microbiol. 2002, 10, 100–103. [Google Scholar] [CrossRef]
- Stanaway, J.D.; Shepard, D.S.; Undurraga, E.A.; Halasa, Y.A.; Coffeng, L.E.; Brady, O.J.; Hay, S.I.; Bedi, N.; Bensenor, I.M.; Castañeda-Orjuela, C.A.; et al. The global burden of dengue: An analysis from the Global Burden of Disease Study 2013. Lancet Infect Dis. 2016, 16, 712–723. [Google Scholar] [CrossRef]
- Kyle, J.L.; Harris, E. Global Spread and Persistence of Dengue. Rev. Microbiol. 2008, 62, 71–92. [Google Scholar] [CrossRef] [PubMed]
- World Health Organization. Global Strategy for Dengue Prevention and Control; WHO: Geneva, Switzerland, 2012. [Google Scholar]
- Guzman, M.G.; Gubler, D.J.; Izquierdo, A.; Martinez, E.; Halstead, S.B. Dengue infection. Nat. Rev. Dis. Primers 2016, 2, 16055. [Google Scholar] [CrossRef] [PubMed]
- Faria, N.R.; Nogueira, R.M.; de Filippis, A.M.; Simões, J.B.; Nogueira, F.; da Rocha Queiroz Lima, M.; dos Santos, F.B. Twenty years of DENV-2 activity in Brazil: Molecular characterization and phylogeny of strains isolated from 1990 to 2010. PLoS Negl. Trop. Dis. 2013, 7, e2095. [Google Scholar] [CrossRef] [PubMed]
- Nogueira, R.M.; Miagostovich, M.P.; Lampe, E.; Schatzmayr, H.G. Isolation of dengue virus type 2 in Rio de Janeiro. Mem. Inst. Oswaldo Cruz. 1990, 85, 253. [Google Scholar] [CrossRef] [PubMed][Green Version]
- Siqueira, J.B., Jr.; Vinhal, L.C.; Said, R.F.C.; Hoffmann, J.L.; Martins, J.; Barbiratto, S.B. Dengue no Brasil: Tendências e mudanças na epidemiologia, com ênfase nas epidemias de 2008 e 2010. In Saúde Brasil 010: Uma Análise da Situação de Saúde e de Evidências Selecionadas de Impacto de ações de Vigilância em Saúde; Ministério da Saúde: Brasília, Brazil, 2011; pp. 157–172. [Google Scholar]
- Rodriguez-Barraquer, I.; Cordeiro, M.T.; Braga, C.; Souza, W.V.; Marques, E.T.T.; Cummings, D.A.T. From Re-Emergence to Hyperendemicity: The Natural History of the Dengue Epidemic in Brazil. PLoS Negl. Trop. Dis. 2011, 5, e935. [Google Scholar] [CrossRef]
- Nunes, P.C.; Sampaio, S.A.; Rodrigues da Costa, N.; de Mendonça, M.C.; Lima, M.D.; Araujo, S.E.; dos Santos, F.B.; Simões, J.B.; de Santis Gonçalves, B.; Nogueira, R.M.; et al. Dengue severity associated with age and a new lineage of dengue virus-type 2 during an outbreak in Rio De Janeiro, Brazil. J. Med. Virol. 2016, 88, 1130–1136. [Google Scholar] [CrossRef]
- Torres, M.C.; Nogueira, F.B.; Fernandes, C.A.; Meira, G.L.S.; Aguiar, S.F.; Chieppe, A.O.; de Filippis, A.M.B. Re-introduction of Dengue Virus Serotype 2 in the State of Rio De Janeiro After Almost a Decade of Epidemiological Silence. PLoS ONE 2019, 11, e0225879. [Google Scholar] [CrossRef]
- World Health Organization. Dengue Guidelines for Diagnosis, Treatment, Prevention and Control; WHO: Geneva, Switzerland, 2009. [Google Scholar]
- Jessie, K.; Fong, M.Y.; Devi, S.; Lam, S.K.; Wong, K.T. Localization of dengue virus in naturally infected human tissues, by immunohistochemistry and in situ hybridization. J. Infect. Dis. 2004, 189, 1411–1418. [Google Scholar] [CrossRef]
- Balsitis, S.J.; Coloma, J.; Castro, G. Tropism of dengue virus in mice and humans defined by viral nonstructural protein 3-specific immunostaining. Am. J. Trop. Med. Hyg. 2009, 80, 416–424. [Google Scholar] [CrossRef] [PubMed]
- Lima, M.d.R.; Nogueira, R.M.; Schatzmayr, H.G.; de Filippis, A.M.; Limonta, D.; dos Santos, F.B. A new approach to dengue fatal cases diagnosis ns1 antigen capture in tissues. PLoS Negl. Trop. Dis. 2011, 5, e1147. [Google Scholar] [CrossRef] [PubMed]
- Rivera, J.A.; Rengifo, A.C.; Parra, E.A.; Castellanos, J.E.; Caldas, M.L. Illustrated histopathological features of fatal dengue cases in Colombia. Histopatología ilustrada de casos fatales de dengue en Colombia. Biomedica 2020, 40, 438–447. [Google Scholar] [CrossRef] [PubMed]
- Póvoa, T.F.; Alves, A.M.; Oliveira, C.A.; Nuovo, G.J.; Chagas, V.L.; Paes, M.V. The pathology of severe dengue in multiple organs of human fatal cases: Histopathology, ultrastructure and virus replication. PLoS ONE 2014, 9, e83386. [Google Scholar] [CrossRef]
- Samanta, J.; Sharma, V. Dengue and its effects on liver. World J. Clin. Cases 2015, 3, 125–131. [Google Scholar] [CrossRef]
- Pancharoen, C.; Rungsarannont, A.; Thisyakorn, U. Hepatic dysfunction in dengue patients with various severity. J. Med. Assoc. Thail. 2002, 85, S298–S301. [Google Scholar]
- Seneviratne, S.L.; Perera, J. Fever epidemic moves into Sri Lanka. BMJ 2006, 333, 1220–1221. [Google Scholar] [CrossRef]
- Puccioni-Sohler, M.; Soares, C.N.; Papaiz-Alvarenga, R.; Castro, M.J.; Faria, L.C.; Peralta, J.M. Neurologic dengue manifestations associated with intrathecal specific immune response. Neurology 2009, 73, 1413–1417. [Google Scholar] [CrossRef]
- Laoprasopwattana, K.; Pruekprasert, P.; Dissaneewate, P.; Geater, A.; Vachvanichsanong, P. Outcome of dengue hemorrhagic fever-caused acute kidney injury in Thai children. J. Pediatr. 2010, 157, 303–309. [Google Scholar] [CrossRef]
- Rojas, E.M.; Herrera, V.M.; Miranda, M.C.; Rojas, D.P.; Gómez, A.M.; Pallares, C.; Cobos, S.M.; Pardo, L.; Gélvez, M.; Páez, A.; et al. Clinical Indicators of Fatal Dengue in Two Endemic Areas of Colombia: A Hospital-Based Case-Control Study. Am. J. Trop. Med. Hyg. 2019, 100, 411–419. [Google Scholar] [CrossRef]
- Salomão, N.; Rabelo, K.; Basílio-de-Oliveira, C.; Basílio-de-Oliveira, R.; Geraldo, L.; Lima, F.; Dos Santos, F.; Nuovo, G.; Oliveira, E.; Paes, M. Fatal Dengue Cases Reveal Brain Injury and Viral Replication in Brain-Resident Cells Associated with the Local Production of Pro-Inflammatory Mediators. Viruses 2020, 12, 603. [Google Scholar] [CrossRef] [PubMed]
- Diptyanusa, A.; Phumratanaprapin, W. Predictors and Outcomes of Dengue-Associated Acute Kidney Injury. Am. J. Trop. Med. Hyg. 2021. advance online publication. [Google Scholar] [CrossRef]
- Cunha, M.; Duarte-Neto, A.N.; Pour, S.Z.; Hajjar, L.A.; Frassetto, F.P.; Dolhnikoff, M.; Saldiva, P.; Zanotto, P. Systemic dengue infection associated with a new dengue virus type 2 introduction in Brazil—A case report. BMC Infect. Dis. 2021, 21, 311. [Google Scholar] [CrossRef] [PubMed]
- Nunes, P.; Rioja, L.; Coelho, J.; Salomão, N.G.; Rabelo, K.; José, C.C.; Rodrigues, F.; de Azeredo, E.L.; Basílio-de-Oliveira, C.A.; Basílio-de-Oliveira, R.; et al. Renal Injury in DENV-4 Fatal Cases: Viremia, Immune Response and Cytokine Profile. Pathogens 2019, 8, 223. [Google Scholar] [CrossRef] [PubMed]
- Boonpucknavig, V.; Bhamarapravati, N.; Boonpucknavig, S.; Futrakul, P.; Tanpaichitr, P. Glomerular changes in dengue hemorrhagic fever. Arch. Pathol. Lab. Med. 1976, 100, 206–212. [Google Scholar]
- Wiersinga, W.J.; Scheepstra, C.G.; Kasanardjo, J.S.; de Vries, P.J.; Zaaijer, H.; Geerlings, S.E. Dengue fever–induced hemolytic uremic syndrome. Clin. Infect. Dis. 2006, 43, 800–801. [Google Scholar] [CrossRef]
- Lima, E.Q.; Nogueira, M.L. Viral hemorrhagic fever-induced acute kidney injury. Semin. Nephrol. 2008, 28, 409–415. [Google Scholar] [CrossRef]
- Lim, C.T.S.; Fuah, K.W.; Lee, S.E.; Kaniappan, K.K.; Then, R.F. Dengue-Associated Acute Kidney Infection: An Updated and Comprehensive Qualitative Review of Literature. EMJ Nephrol. 2019, 7, 86–94. [Google Scholar]
- Gulati, S.; Maheshwari, A. Atypical manifestations of dengue. Trop. Med. Int. Health 2007, 12, 1087–1095. [Google Scholar] [CrossRef]
- Lizarraga, K.J.; Nayer, A. Dengue-associated kidney disease. J. Nephropathol. 2014, 3, 57–62. [Google Scholar] [CrossRef]
- Oliveira, J.F.; Burdmann, E.A. Dengue-associated acute kidney injury. Clin. Kidney J. 2015, 8, 681–685. [Google Scholar] [CrossRef] [PubMed]
- Vakrani, G.P.; Subramanyam, N.T. Acute Renal Failure in Dengue Infection. J. Clin. Diagn. Res. 2017, 11, OC10–OC13. [Google Scholar] [CrossRef]
- Kuo, M.C.; Lu, P.L.; Chang, J.M.; Lin, M.Y.; Tsai, J.J.; Chen, Y.H.; Chang, K.; Chen, H.C.; Hwang, S.J. Impact of renal failure on the outcome of dengue viral infection. Clin. J. Am. Soc. Nephrol. CJASN 2008, 3, 1350–1356. [Google Scholar] [CrossRef] [PubMed]
- Mallhi, T.H.; Khan, A.H.; Adnan, A.S.; Sarriff, A.; Khan, Y.H.; Jummaat, F. Incidence, Characteristics and Risk Factors of Acute Kidney Injury among Dengue Patients: A Retrospective Analysis. PLoS ONE 2015, 10, e0138465. [Google Scholar] [CrossRef]
- Naqvi, R.; Mubarak, M.; Ahmed, E.; Akhtar, F.; Naqvi, A.; Rizvi, A. Acute tubulointerstitial nephritis/drug induced acute kidney injury; an experience from a single center in Pakistan. J. Renalrenal Inj. Prev. 2016, 5, 17–20. [Google Scholar] [CrossRef][Green Version]
- Diptyanusa, A.; Phumratanaprapin, W.; Phonrat, B.; Poovorawan, K.; Hanboonkunupakarn, B.; Sriboonvorakul, N.; Thisyakorn, U. Characteristics and associated factors of acute kidney injury among adult dengue patients: A retrospective single-center study. PLoS ONE 2019, 14, e0210360. [Google Scholar] [CrossRef]
- Eswarappa, M.; Reddy, S.B.; John, M.M.; Suryadevara, S.; Madhyashatha, R.P. Renal manifestations of dengue viral infection. Saudi J. Kidney Dis. Transpl. 2019, 30, 394–400. [Google Scholar] [CrossRef] [PubMed]
- Prasad, N.; Novak, J.E.; Patel, M.R. Kidney Diseases Associated with Parvovirus B19, Hanta, Ebola, and Dengue Virus Infection: A Brief Review. Adv. Chronic Kidney Dis. 2019, 26, 207–219. [Google Scholar] [CrossRef]
- Repizo, L.P.; Malheiros, D.M.; Yu, L.; Barros, R.T.; Burdmann, E.A. Biopsy proven acute tubular necrosis due to rhabdomyolysis in a dengue fever patient: A case report and review of literature. Rev. Inst. Med. Trop. Sao Paulo 2014, 56, 85–88. [Google Scholar] [CrossRef]
- Pagliari, C.; Simões Quaresma, J.A.; Kanashiro-Galo, L.; de Carvalho, L.V.; Vitoria, W.O.; da Silva, W.L.; Penny, R.; Vasconcelos, B.C.; da Costa Vasconcelos, P.F.; Duarte, M.I. Human kidney damage in fatal dengue hemorrhagic fever results of glomeruli injury mainly induced by IL17. J. Clin. Virol. 2016, 75, 16–20. [Google Scholar] [CrossRef]
- Póvoa, T.F.; Oliveira, E.R.A.; Basílio-de-Oliveira, C.A.; Nuovo, G.J.; Chagas, V.L.A.; Salomão, N.G.; Alves, A.M.B.; Mota, E.M.; Paes, M.V. Correction: Peripheral Organs of Dengue Fatal Cases Present Strong Pro-Inflammatory Response with Participation of IFN-Gamma, TNF-Alpha- and RANTES-Producing Cells. PLoS ONE 2018, 13, e0195140. [Google Scholar] [CrossRef] [PubMed]
- Guzman, M.G.; Harris, E. Dengue. Lancet 2015, 385, 453–465. [Google Scholar] [CrossRef]
- Martina, B.E.; Koraka, P.; Osterhaus, A.D. Dengue virus pathogenesis: An integrated view. Clin. Microbiol. Rev. 2009, 22, 564–581. [Google Scholar] [CrossRef] [PubMed]
- Halstead, S.B. Pathogenesis of Dengue: Dawn of a New Era. F1000Research 2015, 4. [Google Scholar] [CrossRef] [PubMed]
- Huy, N.T.; Thao, N.T.; Ha, T.T.; Lan, N.T.; Nga, P.T.; Thuy, T.T.; Tuan, H.M.; Nga, C.T.; Tuong, V.V.; Dat, T.V.; et al. Development of clinical decision rules to predict recurrent shock in dengue. Crit. Care 2013, 17, R280. [Google Scholar] [CrossRef]
- Carabali, M.; Hernandez, L.M.; Arauz, M.J.; Villar, L.A.; Ridde, V. Why are people with dengue dying? A scoping review of determinants for dengue mortality. BMC Infect. Dis. 2015, 15, 301. [Google Scholar] [CrossRef]
- Chan, K.W.K.S.; Watanabe, R.; Kavishna, S.; Alonso, S.; Vasudevan, S.G. Animal models for studying dengue pathogenesis and therapy. Antivir. Res. 2015, 123, 5–14. [Google Scholar] [CrossRef]
- Rico-Hesse, R.; Harrison, L.; Salas, R.; Tovar, D.; Nisalak, A.; Ramos, C.; Boshell, J.; de Mesa, M.T.; Nogueira, R.M.; da Rosa, A.T. Origins of dengue type 2 viruses associated with increased pathogenicity in the Americas. Virology 1997, 230, 244–251. [Google Scholar] [CrossRef]
- Zompi, S.; Harris, E. Animal models of dengue virus infection. Viruses 2012, 4, 62–82. [Google Scholar] [CrossRef]
- Oliveira, E.R.; Amorim, J.F.; Paes, M.V.; Azevedo, A.S.; Gonçalves, A.J.; Costa, S.M.; Mantuano-Barradas, M.; Póvoa, T.F.; de Meis, J.; Basílio-de-Oliveira, C.A.; et al. Peripheral effects induced in BALB/c mice infected with DENV by the intracerebral route. Virology 2016, 489, 95–107. [Google Scholar] [CrossRef]
- Atrasheuskaya, A.; Petzelbauer, P.; Fredeking, T.M.; Ignatyev, G. Anti-TNF antibody treatment reduces mortality in experimental dengue virus infection. FEMS Immunol. Med. Microbiol. 2003, 35, 33–42. [Google Scholar] [CrossRef] [PubMed]
- Paes, M.V.; Pinhão, A.T.; Barreto, D.F.; Costa, S.M.; Oliveira, M.P.; Nogueira, A.C.; Takiya, C.M.; Farias-Filho, J.C.; Schatzmayr, H.G.; Alves, A.M.; et al. Liver injury and viremia in mice infected with dengue-2 virus. Virology 2005, 338, 236–246. [Google Scholar] [CrossRef] [PubMed]
- Paes, M.V.; Lenzi, H.L.; Nogueira, A.C.; Nuovo, G.J.; Pinhão, A.T.; Mota, E.M.; Basílio-de-Oliveira, C.A.; Schatzmayr, H.; Barth, O.M.; Alves, A.M. Hepatic damage associated with dengue-2 virus replication in liver cells of BALB/c mice. Lab. Investig. 2009, 89, 1140–1151. [Google Scholar] [CrossRef] [PubMed]
- França, R.F.; Zucoloto, S.; da Fonseca, B.A. A BALB/c mouse model shows that liver involvement in dengue disease is immune-mediated. Exp. Mol. Pathol. 2010, 89, 321–326. [Google Scholar] [CrossRef] [PubMed]
- Barreto, D.F.; Takiya, C.M.; Paes, M.V.; Farias-Filho, J.; Pinhão, A.T.; Alves, A.M.; Costa, S.M.; Barth, O.M. Histopathological aspects of Dengue-2 virus infected mice tissues and complementary virus isolation. J. Submicrosc. Cytol. Pathol. 2004, 36, 121–130. [Google Scholar]
- Tuiskunen, A.; Wahlström, M.; Bergström, J.; Buchy, P.; Leparc-Goffart, I.; Lundkvist, A. Phenotypic characterization of patient dengue virus isolates in BALB/c mice differentiates dengue fever and dengue hemorrhagic fever from dengue shock syndrome. Virol. J. 2011, 11, 398. [Google Scholar] [CrossRef]
- Sakinah, S.; Priya, S.P.; Kumari, S.; Amira, F.; Poorani, K.; Alsaeedy, H.; Ling, M.P.; Chee, H.Y.; Higuchi, A.; Alarfaj, A.A.; et al. Impact of dengue virus [serotype DENV-2] infection on liver of BALB/c mice: A histopathological analysis. Tissue Cell 2017, 49, 86–94. [Google Scholar] [CrossRef]
- Rasinhas, A.D.C.; Silva, M.A.N.D.; Caldas, G.C.; Jácome, F.C.; Leonardo, R.; Santos, F.B.D.; Nunes, P.C.G.; Barth, O.M.; Barreto-Vieira, D.F. First detection of dengue virus in the saliva of immunocompetent murine model. Mem. Inst. Oswaldo Cruz. 2018, 113, e170208. [Google Scholar] [CrossRef]
- Salomão, N.G.; Rabelo, K.; Póvoa, T.F.; Alves, A.; da Costa, S.M.; Gonçalves, A.; Amorim, J.F.; Azevedo, A.S.; Nunes, P.; Basílio-de-Oliveira, C.A.; et al. BALB/c mice infected with DENV-2 strain 66985 by the intravenous route display injury in the central nervous system. Sci. Rep. 2018, 8, 9754. [Google Scholar] [CrossRef]
- Jácome, F.C.; Caldas, G.C.; Rasinhas, A.; de Almeida, A.; de Souza, D.; Paulino, A.C.; Leonardo, R.; Barth, O.M.; Dos Santos, F.B.; Barreto-Vieira, D.F. Comparative analysis of liver involvement caused by two DENV-2 lineages using an immunocompetent murine model. Sci Rep. 2021, 11, 9723. [Google Scholar] [CrossRef]
- Nogueira, R.M.R.; Araújo, J.M.G.; Schatzmayr, H.G. Dengue viroses in Brazil, 1986–2006. Rev. Panam. Salud Publica 2007, 22, 358–363. [Google Scholar] [CrossRef]
- Dissanayake, H.A.; Seneviratne, S.L. Liver involvement in dengue viral infections. Rev. Med. Virol. 2018, 28, e1971. [Google Scholar] [CrossRef]
- Acharya, S.; Shukla, S.; Mahajan, S.N.; Diwan, S.K. Acute dengue myositis with rhabdomyolysis and acute renal failure. Ann. Indian Acad. Neurol. 2010, 13, 221–222. [Google Scholar] [CrossRef]
- Bhagat, M.; Zaki, S.A.; Sharma, S.; Manglani, M.V. Acute glomerulonephritis in dengue haemorrhagic fever in the absence of shock, sepsis, haemolysis or rhabdomyolysis. Paediatr. Int. Child Health 2012, 32, 161–163. [Google Scholar] [CrossRef] [PubMed]
- Mehra, N.; Patel, A.; Abraham, G.; Reddy, Y.N.; Reddy, Y.N. Acute kidney injury in dengue fever using Acute Kidney Injury Network criteria: Incidence and risk factors. Trop. Dr. 2012, 42, 160–162. [Google Scholar] [CrossRef]
- Vachvanichsanong, P.; Thisyakorn, U.; Thisyakorn, C. Dengue hemorrhagic fever and the kidney. Arch. Virol. 2016, 161, 771–778. [Google Scholar] [CrossRef]
- Setiawan, M.W.; Samsi, T.K.; Wulur, H.; Sugianto, D.; Pool, T.N. Dengue haemorrhagic fever: Ultrasound as an aid to predict the severity of the disease. Pediatr. Radiol. 1998, 28, 1–4. [Google Scholar] [CrossRef]
- Arshad, K.; Sheikh, S.; Naqvi, S.U.; Sarwar, I.; Javaid, S.; Asghar, M.; Butt, M.A. Frequency of splenomegaly in dengue fever in children. J. Ayub Med. Coll. Abbottabad 2015, 27, 356–359. [Google Scholar]
- Fernando, S.; Wijewickrama, A.; Gomes, L.; Punchihewa, C.T.; Madusanka, S.D.; Dissanayake, H.; Jeewandara, C.; Peiris, H.; Ogg, G.S.; Malavige, G.N. Patterns and causes of liver involvement in acute dengue infection. BMC Infect. Dis. 2016, 16, 319. [Google Scholar] [CrossRef] [PubMed]
- Ferreira, R.; Kubelka, C.F.; Velarde, L.; Matos, J.; Ferreira, L.C.; Reid, M.M.; Setúbal, S.; Oliveira, S.A. Predictive factors of dengue severity in hospitalized children and adolescents in Rio de Janeiro, Brazil. Rev. Soc. Bras. Med. Trop. 2018, 51, 753–760. [Google Scholar] [CrossRef] [PubMed]
- Caldas, G.C. Modelo Murino Imunocompetente para Estudo da Infecção pelo vírus Dengue 3: Aspectos Morfológicos, Viremia e Tropismo. Master’s Thesis, Post-Graduation in Parasite Biology, Instituto Oswaldo Cruz, Rio de Janeiro, Brazil, 2019. Available online: https://www.arca.fiocruz.br/bitstream/icict/37732/2/gabriela_caldas_ioc_mest_2019.pdf (accessed on 25 May 2021).
- Basílio-de-Oliveira, C.A.; Aguiar, G.R.; Baldanza, M.S.; Barth, O.M.; Eyer-Silva, W.A.; Paes, M.V. Pathologic Study of a Fatal Case of Dengue-3 Virus Infection in Rio de Janeiro, Brazil. Braz. J. Infect. Dis. 2005, 9, 341–347. [Google Scholar] [CrossRef] [PubMed]
- Mohsin, N.; Mohamed, E.; Gaber, M.; Obaidani, I.; Budruddin, M.; Al Busaidy, S. Acute tubular necrosis associated with non-hemorrhagic Dengue fever: A case report. Ren. Fail. 2009, 31, 736–739. [Google Scholar] [CrossRef] [PubMed]
- Tansir, G.; Gupta, C.; Mehta, S.; Kumar, P.; Soneja, M.; Biswas, A. Expanded dengue syndrome in secondary dengue infection: A case of biopsy proven rhabdomyolysis induced acute kidney injury with intracranial and intraorbital bleeds. Intract. Rare Dis. Res. 2017, 6, 314–318. [Google Scholar] [CrossRef]
- Queiroz, P.C.; Jorge, A.; Mourão, P.; Penido, M. Collapsing focal segmental glomerulosclerosis probably triggered by dengue virus infection—two case reports. J. Bras. Nefrol. 2020, 42, 489–493. [Google Scholar] [CrossRef]
- Vasanwala, F.F.; Thein, T.L.; Leo, Y.S.; Gan, V.C.; Hao, Y.; Lee, L.K.; Lye, D.C. Predictive value of proteinuria in adult dengue severity. PLoS Negl. Trop. Dis. 2014, 8, e2712. [Google Scholar] [CrossRef]
- Boonpucknavig, V.; Soontornniyomkij, V. Pathology of renal diseases in the tropics. Semin. Nephrol. 2003, 23, 88–106. [Google Scholar] [CrossRef]
- Upadhaya, B.K.; Sharma, A.; Khaira, A.; Dinda, A.K.; Agarwal, S.K.; Tiwari, S.C. Transient IgA nephropathy with acute kidney injury in a patient with dengue fever. Saudi J. Kidney Dis. Transpl. 2010, 21, 521–525. [Google Scholar] [PubMed]
- Basu, A.; Chaturvedi, U.C. Vascular endothelium: The battlefield of dengue viruses. FEMS Immunol. Med. Microbiol. 2008, 53, 287–299. [Google Scholar] [CrossRef]
- Gubler, D.J. Dengue and dengue hemorrhagic fever. Clin. Microbiol. Rev. 1998, 11, 480–496. [Google Scholar] [CrossRef]
- Puerta-Guardo, H.; Glasner, D.R.; Harris, E. Dengue Virus NS1 Disrupts the Endothelial Glycocalyx, Leading to Hyperpermeability. PLoS Pathog. 2016, 12, e1005738. [Google Scholar] [CrossRef] [PubMed]
- Aye, K.S.; Charngkaew, K.; Win, N.; Wai, K.Z.; Moe, K.; Punyadee, N.; Thiemmeca, S.; Suttitheptumrong, A.; Sukpanichnant, S.; Prida, M.; et al. Pathologic highlights of dengue hemorrhagic fever in 13 autopsy cases from Myanmar. Hum. Pathol. 2014, 45, 1221–1233. [Google Scholar] [CrossRef]
- Malavige, G.N.; Ogg, G.S. Pathogenesis of vascular leak in dengue virus infection. Immunology 2017, 151, 261–269. [Google Scholar] [CrossRef]
- Limonta, D.; Falcón, V.; Torres, G.; Capó, V.; Menéndez, I.; Rosario, D.; Castellanos, Y.; Alvarez, M.; Rodríguez-Roche, R.; de la Rosa, M.C.; et al. Dengue virus identification by transmission electron microscopy and molecular methods in fatal dengue hemorrhagic fever. Infection 2012, 40, 689–694. [Google Scholar] [CrossRef] [PubMed]
- Wiwanitkit, V. Acute renal failure in the fatal cases of dengue hemorrhagic fever, a summary in Thai death cases. Ren. Fail. 2005, 27, 647. [Google Scholar] [CrossRef]
- Lee, I.K.; Liu, J.W.; Yang, K.D. Clinical characteristics, risk factors, and outcomes in adults experiencing dengue hemorrhagic fever complicated with acute renal failure. Am. J. Trop Med. Hyg. 2009, 80, 651–655. [Google Scholar] [CrossRef] [PubMed]
- Moi, M.L.; Omatsu, T.; Hirayama, T.; Nakamura, S.; Katakai, Y.; Yoshida, T.; Saito, A.; Tajima, S.; Ito, M.; Takasaki, T.; et al. Presence of Viral Genome in Urine and Development of Hematuria and Pathological Changes in Kidneys in Common Marmoset [Callithrix jacchus] after Inoculation with Dengue Virus. Pathogens 2013, 2, 357–363. [Google Scholar] [CrossRef] [PubMed]
- Wu, S.J.; Hayes, C.G.; Dubois, D.R.; Windheuser, M.G.; Kang, Y.H.; Watts, D.M.; Sieckmann, D.G. Evaluation of the severe combined immunodeficient [SCID] mouse as an animal model for dengue viral infection. Am. J. Trop. Med. Hyg. 1995, 52, 468–476. [Google Scholar] [CrossRef]
- Davis, J.S.; Bourke, P. Rhabdomyolysis associated with dengue virus infection. Clin. Infect. Dis. 2004, 38, e109–e111. [Google Scholar] [CrossRef]
- Wijesinghe, A.; Gnanapragash, N.; Ranasinghe, G.; Ragunathan, M.K. Acute renal failure due to rhabdomyolysis following dengue viral infection: A case report. J. Med. Case Rep. 2013, 7, 195. [Google Scholar] [CrossRef]
- Kamath, N.; Iyengar, A. Infections and the kidney: A tale from the tropics. Pediatr. Nephrol. 2018, 33, 1317–1326. [Google Scholar] [CrossRef]
- Gubler, D.J.; Kuno, G.; Sather, G.E.; Velez, M.; Oliver, A. Mosquito cell cultures and specific monoclonal antibodies in surveillance for dengue viruses. Am. J. Trop. Med. Hyg. 1984, 33, 158–165. [Google Scholar] [CrossRef] [PubMed]
- Lanciotti, R.S.; Calisher, C.H.; Gubler, D.J.; Chang, G.J.; Vorndam, A.V. Rapid detection and typing of dengue viruses from clinical samples by using reverse transcriptase-polymerase chain reaction. J. Clin. Microbiol. 1992, 30, 545–551. [Google Scholar] [CrossRef] [PubMed]
- Reed, L.J.; Muench, H. A simple method of estimating fifty percent endpoints. Am. J. Epidemiol. 1938, 27, 493–497. [Google Scholar] [CrossRef]
- Barreto, D.F.; Barth, M.O.; Schatzmayr, H.G. Modelo Animal Experimental Para o Estudo da Patogênese dos Vírus Dengue Sorotipos 1 e 2; Editora Interciência: Rio de Janeiro, Brazil, 2010; pp. 62–63. [Google Scholar]








| Alterations | DENV-2 | ||
|---|---|---|---|
| Lineage I (%) | Lineage II (%) | Total (%) | |
| Tubular necrosis | 10/10 (100) | 10/10 (100) | 20/20 (100) |
| Mononuclear cell infiltrate | 9/10 (90) | 10/10 (100) | 19/20 (95) |
| Cytoplasmic loss | 10/10 (100) | 8/10 (80) | 18/20 (90) |
| Capillary congestion | 8/10 (80) | 9/10 (90) | 17/20 (85) |
| Glomerular atrophy | 8/10 (80) | 8/10 (80) | 16/20 (80) |
| Chromatin loss | 8/10 (80) | 7/10 (70) | 15/20 (75) |
| Enlargement of glomeruly | 9/10 (90) | 6/10 (60) | 15/20 (75) |
| Cytoplasmic inclusions | 3/10 (30) | 3/10 (30) | 6/20 (30) |
| Haemorrhage | 1/10 (10) | 3/10 (30) | 4/20 (20) |
| n = 123 Mice | Histopathology/IHQ | TEM | Biochemical Analysis | Kidney Weight | ||||
|---|---|---|---|---|---|---|---|---|
| 72 hpi | 72 hpi | 24 hpi | 48 hpi | 72 hpi | 72 hpi | 7 dpi | 14 dpi | |
| DENV-2/Lineage I | 10/5 | 5 | 5 | 5 | 5 | 22 | 15 | 15 |
| DENV-2/Lineage II | 10/5 | 5 | 5 | 5 | 5 | 22 | 15 | 15 |
| Negative control | 5/5 | 5 | 5 | 19 | ||||
| Total [samples] | 25 | 15 | 35 | 123 | ||||
Publisher’s Note: MDPI stays neutral with regard to jurisdictional claims in published maps and institutional affiliations. |
© 2021 by the authors. Licensee MDPI, Basel, Switzerland. This article is an open access article distributed under the terms and conditions of the Creative Commons Attribution (CC BY) license (https://creativecommons.org/licenses/by/4.0/).
Share and Cite
Jácome, F.C.; Caldas, G.C.; Rasinhas, A.d.C.; de Almeida, A.L.T.; de Souza, D.D.C.; Paulino, A.C.; da Silva, M.A.N.; Barth, O.M.; dos Santos, F.B.; Barreto-Vieira, D.F. Brazilian Dengue Virus Type 2-Associated Renal Involvement in a Murine Model: Outcomes after Infection by Two Lineages of the Asian/American Genotype. Pathogens 2021, 10, 1084. https://doi.org/10.3390/pathogens10091084
Jácome FC, Caldas GC, Rasinhas AdC, de Almeida ALT, de Souza DDC, Paulino AC, da Silva MAN, Barth OM, dos Santos FB, Barreto-Vieira DF. Brazilian Dengue Virus Type 2-Associated Renal Involvement in a Murine Model: Outcomes after Infection by Two Lineages of the Asian/American Genotype. Pathogens. 2021; 10(9):1084. https://doi.org/10.3390/pathogens10091084
Chicago/Turabian StyleJácome, Fernanda Cunha, Gabriela Cardoso Caldas, Arthur da Costa Rasinhas, Ana Luisa Teixeira de Almeida, Daniel Dias Coutinho de Souza, Amanda Carlos Paulino, Marcos Alexandre Nunes da Silva, Ortrud Monika Barth, Flávia Barreto dos Santos, and Debora Ferreira Barreto-Vieira. 2021. "Brazilian Dengue Virus Type 2-Associated Renal Involvement in a Murine Model: Outcomes after Infection by Two Lineages of the Asian/American Genotype" Pathogens 10, no. 9: 1084. https://doi.org/10.3390/pathogens10091084
APA StyleJácome, F. C., Caldas, G. C., Rasinhas, A. d. C., de Almeida, A. L. T., de Souza, D. D. C., Paulino, A. C., da Silva, M. A. N., Barth, O. M., dos Santos, F. B., & Barreto-Vieira, D. F. (2021). Brazilian Dengue Virus Type 2-Associated Renal Involvement in a Murine Model: Outcomes after Infection by Two Lineages of the Asian/American Genotype. Pathogens, 10(9), 1084. https://doi.org/10.3390/pathogens10091084

