Propagation of CJD Prions in Primary Murine Glia Cells Expressing Human PrPc
Abstract
1. Introduction
2. Results
2.1. Establishment of a Long-Term Primary huMM129 Mixed Glia Culture
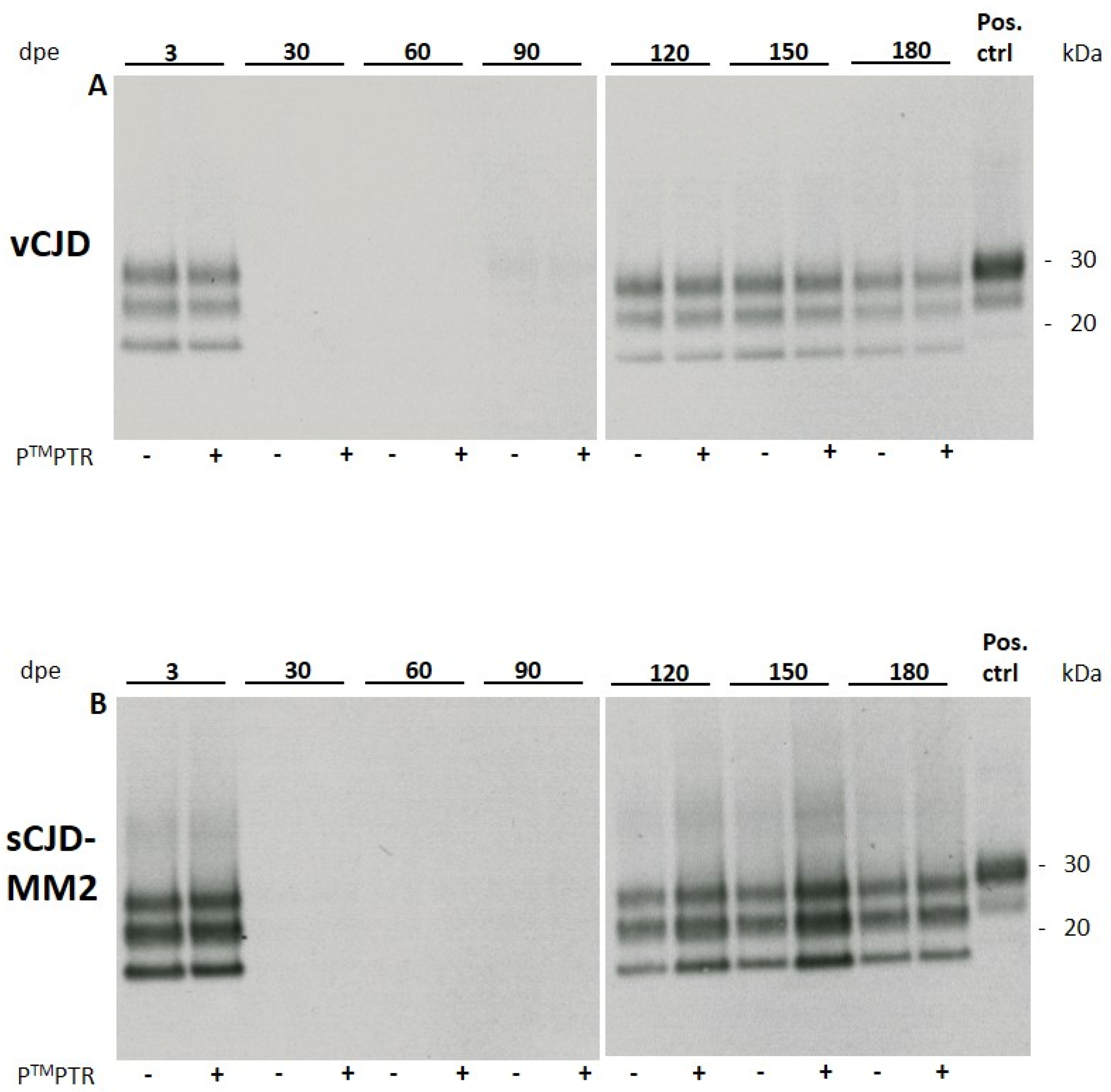
2.2. Propagation of sCJD-MM2 and vCJD Prions
2.2.1. PierceTM Protein Transfection Reagent Enhances Prion Propagation in huMM129 Glia Cultures for sCJD-MM2 but Not for vCJD Prions
2.2.2. Deterioration of Cell Viability Starting at 150 dpe Results in Declining PrPSc Signal
3. Discussion
3.1. Low Proliferation Rate of Glia Cells Allows for PrPSc Accumulation
3.2. Alteration of Cell Membrane Permeability May Increase Effectiveness of Prion Infection In Vitro
3.3. Transferability of the Glia Cell Model to Other Species of Cell Donors and Prion Strains
4. Materials and Methods
4.1. Animals and Human Tissue Samples
4.1.1. huMM129 Mice
4.1.2. sCJD-MM2 and vCJD Brain Tissue
4.2. Isolation and Cultivation of Primary Murine Glia Cells
4.3. Infection of huMM129 Glia Cells with sCJD-MM1/-MM2 and vCJD Prions
4.4. Infection of huMM129 Glia Cells with sCJD-MM1/-MM2 or vCJD Prions in the Presence of PierceTM Protein Transfection Reagent
4.5. Western Blot Analysis
Author Contributions
Funding
Institutional Review Board Statement
Informed Consent Statement
Data Availability Statement
Acknowledgments
Conflicts of Interest
References
- Prusiner, S.B. The prion diseases. Brain Pathol. 1998, 8, 499–513. [Google Scholar] [CrossRef] [PubMed]
- Prusiner, S.B. Prions. Proc. Natl. Acad. Sci. USA 1998, 95, 13363–13383. [Google Scholar] [CrossRef] [PubMed]
- Brown, P.; Cervenakova, L. A prion lexicon (out of control). Lancet 2005, 365, 122. [Google Scholar] [CrossRef]
- Brandner, S.; Jaunmuktane, Z. Prion disease: Experimental models and reality. Acta Neuropathol. 2017, 133, 197–222. [Google Scholar] [CrossRef] [PubMed]
- Watts, J.; Prusiner, S.B. Mouse Models for Studying the Formation and Propagation of Prions. J. Biol. Chem. 2014, 289, 19841–19849. [Google Scholar] [CrossRef]
- Victoria, G.S.; Arkhipenko, A.; Zhu, S.; Syan, S.; Zurzolo, C. Astrocyte-to-neuron intercellular prion transfer is mediated by cell-cell contact. Sci. Rep. 2016, 6, 20762. [Google Scholar] [CrossRef]
- Pritzkow, S.; Wagenführ, K.; Daus, M.L.; Boerner, S.; Lemmer, K.; Thomzig, A.; Mielke, M.; Beekes, M. Quantitative Detection and Biological Propagation of Scrapie Seeding Activity In Vitro Facilitate Use of Prions as Model Pathogens for Disinfection. PLoS ONE 2011, 6, e20384. [Google Scholar] [CrossRef]
- Cronier, S.; Laude, H.; Peyrin, J.-M. Prions can infect primary cultured neurons and astrocytes and promote neuronal cell death. Proc. Natl. Acad. Sci. USA 2004, 101, 12271–12276. [Google Scholar] [CrossRef]
- Krejciova, Z.; Alibhai, J.; Zhao, C.; Krencik, R.; Rzechorzek, N.; Ullian, E.M.; Manson, J.; Ironside, J.W.; Head, M.W.; Chandran, S. Human stem cell–derived astrocytes replicate human prions in a PRNP genotype–dependent manner. J. Exp. Med. 2017, 214, 3481–3495. [Google Scholar] [CrossRef]
- Tahir, W.; Abdulrahman, B.; Abdelaziz, D.H.; Thapa, S.; Walia, R.; Schätzl, H.M. An astrocyte cell line that differentially propagates murine prions. J. Biol. Chem. 2020, 295, 11572–11583. [Google Scholar] [CrossRef]
- Groveman, B.R.; Ferreira, N.C.; Foliaki, S.T.; Walters, R.O.; Winkler, C.W.; Race, B.; Hughson, A.G.; Zanusso, G.; Haigh, C.L. Human cerebral organoids as a therapeutic drug screening model for Creutzfeldt–Jakob disease. Sci. Rep. 2021, 11, 1–9. [Google Scholar] [CrossRef] [PubMed]
- Ladogana, A.; Liu, Q.; Xi, Y.G.; Pocchiari, M. Proteinase-resistant protein in human neuroblastoma cells infected with brain material from Creutzfeldt-Jakob patient. Lancet 1995, 345, 594–595. [Google Scholar] [CrossRef]
- Beekes, M.; Thomzig, A.; Schulz-Schaeffer, W.J.; Burger, R. Is there a risk of prion-like disease transmission by Alzheimer- or Parkinson-associated protein particles? Acta Neuropathol. 2014, 128, 463–476. [Google Scholar] [CrossRef] [PubMed][Green Version]
- Thomzig, A.; Wagenführ, K.; Pinder, P.; Joncic, M.; Schulz-Schaeffer, W.J.; Beekes, M. Transmissible α-synuclein seeding activity in brain and stomach of patients with Parkinson’s disease. Acta Neuropathol. 2021, 1–19, 861–879. [Google Scholar] [CrossRef]
- Bishop, M.; Hart, P.; Aitchison, L.; Baybutt, H.; Plinston, C.; Thomson, V.; Tuzi, N.; Head, M.; Ironside, J.; Will, R.; et al. Predicting susceptibility and incubation time of human-to-human transmission of vCJD. Lancet Neurol. 2006, 5, 393–398. [Google Scholar] [CrossRef]
- Schwenke, K.A.; Wälzlein, J.-H.; Beekes, M. Primary Glia Cells from Bank Vole Propagate Multiple Rodent-Adapted Scrapie Prions. Available online: https://www.biorxiv.org/content/10.1101/2021.08.06.455381v1 (accessed on 20 August 2021). [CrossRef]
- Beekes, M.; Wagenführ, K. Alternatives to Animal Bioassays for Prions. Altern. Lab. Anim. 2013, 41, P72–P76. [Google Scholar] [CrossRef]
- Joy, A.; Moffet, J.; Neary, K.; Mordechai, E.; Stachowiak, E.K.; Coons, S.; Rankin-Shapiro, J.; Florkiewicz, R.Z.; Stachowiak, M.K. Nuclear accumulation of FGF-2 is associated with proliferation of human astrocytes and glioma cells. Oncogene 1997, 14, 171–183. [Google Scholar] [CrossRef]
- Nash, B.; Ioannidou, K.; Barnett, S.C. Astrocyte phenotypes and their relationship to myelination. J. Anat. 2010, 219, 44–52. [Google Scholar] [CrossRef] [PubMed]
- Lipps, C.; Klein, F.; Wahlicht, T.; Seiffert, V.; Butueva, M.; Zauers, J.; Truschel, T.; Luckner, M.; Köster, M.; MacLeod, R.; et al. Expansion of functional personalized cells with specific transgene combinations. Nat. Commun. 2018, 9, 1–12. [Google Scholar] [CrossRef]
- Properzi, F.; Badhan, A.; Klier, S.; Schmidt, C.; Klöhn, P.C.; Wadsworth, J.; Clarke, A.R.; Jackson, G.S.; Collinge, J. Physical, chemical and kinetic factors affecting prion infectivity. Prion 2016, 10, 251–261. [Google Scholar] [CrossRef][Green Version]
- Zelphati, O.; Szoka, F.C. Mechanism of oligonucleotide release from cationic liposomes. Proc. Natl. Acad. Sci. USA 1996, 93, 11493–11498. [Google Scholar] [CrossRef] [PubMed]
- Watts, J.; Giles, K.; Patel, S.; Oehler, A.; DeArmond, S.J.; Prusiner, S.B. Evidence That Bank Vole PrP Is a Universal Acceptor for Prions. PLoS Pathog. 2014, 10, e1003990. [Google Scholar] [CrossRef]
- Boerner, S.; Wagenführ, K.; Daus, M.L.; Thomzig, A.; Beekes, M. Towards further reduction and replacement of animal bioassays in prion research by cell and protein misfolding cyclic amplification assays. Lab. Anim. 2013, 47, 106–115. [Google Scholar] [CrossRef]

| sCJD-MM1 | sCJD-MM2 | vCJD | |
|---|---|---|---|
| Prion propagation Detectable at 120 dpe (or later) | no | yes | yes |
| Signal enhanced by PTMPTR | no | yes | no |
Publisher’s Note: MDPI stays neutral with regard to jurisdictional claims in published maps and institutional affiliations. |
© 2021 by the authors. Licensee MDPI, Basel, Switzerland. This article is an open access article distributed under the terms and conditions of the Creative Commons Attribution (CC BY) license (https://creativecommons.org/licenses/by/4.0/).
Share and Cite
Wälzlein, J.-H.; Schwenke, K.A.; Beekes, M. Propagation of CJD Prions in Primary Murine Glia Cells Expressing Human PrPc. Pathogens 2021, 10, 1060. https://doi.org/10.3390/pathogens10081060
Wälzlein J-H, Schwenke KA, Beekes M. Propagation of CJD Prions in Primary Murine Glia Cells Expressing Human PrPc. Pathogens. 2021; 10(8):1060. https://doi.org/10.3390/pathogens10081060
Chicago/Turabian StyleWälzlein, Joo-Hee, Karla A. Schwenke, and Michael Beekes. 2021. "Propagation of CJD Prions in Primary Murine Glia Cells Expressing Human PrPc" Pathogens 10, no. 8: 1060. https://doi.org/10.3390/pathogens10081060
APA StyleWälzlein, J.-H., Schwenke, K. A., & Beekes, M. (2021). Propagation of CJD Prions in Primary Murine Glia Cells Expressing Human PrPc. Pathogens, 10(8), 1060. https://doi.org/10.3390/pathogens10081060

