Investigation of Potential Reservoirs of Non-Tuberculous Mycobacteria in a European Sea Bass (Dicentrarchus labrax) Farm
Abstract
:1. Introduction
2. Results
2.1. Anatomopathological, Parasitological, and Bacteriological Analysis
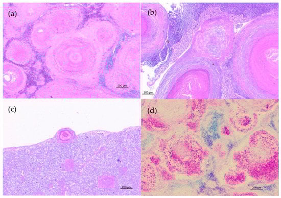
2.2. Histopathological Examination
2.3. NTM Culture Screening
2.4. Biomolecular Analysis
3. Discussion
4. Materials and Methods
4.1. Sampling
4.2. Anatomopathological, Parasitological, and Cultural Analysis
4.3. Histopathological Examination
4.4. NTM Culture Screening
4.5. DNA Extraction and PCR Assay
Author Contributions
Funding
Institutional Review Board Statement
Informed Consent Statement
Data Availability Statement
Acknowledgments
Conflicts of Interest
References
- Delghandi, M.R.; El-Matbouli, M.; Menanteau-Ledouble, S. Mycobacteriosis and infections with non-tuberculous mycobacteria in aquatic organisms: A review. Microorganisms 2020, 8, 1368. [Google Scholar] [CrossRef]
- Forbes, B.A. Mycobacterial Taxonomy. J. Clin. Microbiol. 2017, 55, 380–383. [Google Scholar] [CrossRef] [Green Version]
- Pfyffer, G.E.; Brown-Elliott, B.A.; Wallace, R.J.J. Mycobacterium: General Characteristics, Isolation, and Staining Procedures. In Manual of Clinical Microbiology, 8th ed.; Murray, P.R., Ed.; American Society of Microbiology: Washington, DC, USA, 2003; Volume 1, pp. 532–584. [Google Scholar]
- Rastogi, N.; Legrand, E.; Sola, C. The Mycobacteria: An introduction to nomenclature and pathogenesis. OIE Rev. Sci. Tech. 2001, 20, 21–54. [Google Scholar] [CrossRef]
- Hashish, E.; Merwad, A.; Elgaml, S.; Amer, A.; Kamal, H.; Elsadek, A.; Marei, A.; Sitohy, M. Mycobacterium marinum infection in fish and man: Epidemiology, pathophysiology and management; A review. Vet. Q. 2018, 38, 35–46. [Google Scholar] [CrossRef] [Green Version]
- Magee, J.G.; Ward, A.C. Family III: Mycobacteriaceae chester 1897. In Bergey’s Manual of Systematics Bacteriology, 2nd ed.; Kämpfer, P., Busse, H.J., Trujillo, M.E., Suzuki, K., Ludwig, W., Whitman, W.B., Eds.; Springer: New York, NY, USA, 2012; Volume 5, pp. 312–375. [Google Scholar]
- Bercovier, H.; Vincent, V. Mycobacterial infections in domestic and wild animals due to Mycobacterium marinum, M. fortuitum, M. chelonae, M. porcinum, M. farcinogenes, M. smegmatis, M. scrofulaceum, M. xenopi, M. kansasii, M. simiae and M. genavense. OIE Rev. Sci. Tech. 2001, 20, 265–290. [Google Scholar] [CrossRef] [PubMed]
- Jacobs, J.; Stine, C.; Baya, A.; Kent, M.L. A review of mycobacteriosis in marine fish. J. Fish. Dis. 2009, 32, 119–130. [Google Scholar] [CrossRef]
- Gauthier, D.T.; Rhodes, M.W. Mycobacteriosis in fishes: A review. Vet. J. 2009, 180, 33–47. [Google Scholar] [CrossRef] [PubMed]
- Puk, K.; Banach, T.; Wawrzyniak, A.; Adaszek, Ł.; Zietek, J.; Winiarczyk, S.; Guz, L. Detection of Mycobacterium marinum, M. peregrinum, M. fortuitum and M. abscessus in aquarium fish. J. Fish Dis. 2018, 41, 153–156. [Google Scholar] [CrossRef]
- Gcebe, N.; Michel, A.L.; Hlokwe, T.M. Non-tuberculous Mycobacterium species causing mycobacteriosis in farmed aquatic animals of South Africa. BMC Microbiol. 2018, 18, 32. [Google Scholar] [CrossRef] [PubMed]
- Austin, B.; Austin, D.A. Characteristics of the diseases. In Bacterial Fish Pathogens: Diseases of Farmed and Wild Fish; Austin, B., Austin, D.A., Eds.; Springer Praxis Publishing: Chichester, UK, 2007; pp. 20–22. [Google Scholar]
- Yacisin, K.; Hsieh, J.L.; Weiss, D.; Ackelsberg, J.; Lee, E.; Jones, L.; Leung, Y.L.; Li, L.; Yung, J.; Slavinski, S.; et al. Outbreak of non-tuberculous mycobacteria skin or soft tissue infections associated with handling fish—New York City, 2013-2014. Epidemiol. Infect. 2017, 145, 2269–2279. [Google Scholar] [CrossRef] [PubMed] [Green Version]
- Vanhooteghem, O.; Theate, I. Fish pedicure-induced foot mycobacteriosis infection due to Mycobacterium marinum: A first case report. Eur. J. Dermatol. 2017, 27, 299–300. [Google Scholar] [CrossRef] [PubMed]
- Fata, A.; Bojdy, A.; Maleki, M.; Hosseini Farash, B.R.; Ghazvini, K.; Tajzadeh, P.; Vakili, V.; Moghaddas, E.; Mastroeni, P.; Rahmani, S. Fish tank granuloma: An emerging skin disease in Iran mimicking Cutaneous Leishmaniasis. PLoS ONE 2019, 14, e0221367. [Google Scholar] [CrossRef]
- Tuan, J.; Spichler-Moffarah, A.; Ogbuagu, O. Mycobacterium marinum: Nodular hand lesions after a fishing expedition. BMJ Case Rep. 2020, 13, e238835. [Google Scholar] [CrossRef]
- Patel, A.A.; Akusoba, C.N.; Yetmar, Z.A.; Tabaja, H.; Schuetz, A.N.; Camilleri, M.J.; Abu Saleh, O.M. Mycobacterium marinum following a knife injury. IDCases 2021, 24, e01102. [Google Scholar] [CrossRef] [PubMed]
- Khan, U.M.; Rittenberg, A. Fisherman’s Dilemma: Disseminated Mycobacterium marinum in an Immunosuppressed Patient. Am. J. Med. 2020, 133, e549–e551. [Google Scholar] [CrossRef]
- Yanong, R.P.; Pouder, D.B.; Falkinham, J.O., III. Association of mycobacteria in recirculating aquaculture systems and mycobacterial disease in fish. J. Aquat. Anim. Health. 2010, 22, 219–223. [Google Scholar] [CrossRef] [PubMed]
- Rhodes, M.W.; Kator, H.; Kotob, S.; van Berkum, P.; Kaattari, I.; Vogelbein, W.; Quinn, F.; Floyd, M.M.; Butler, W.R.; Ottinger, C.A. Mycobacterium shottsii sp. nov., a slowly growing species isolated from Chesapeake Bay striped bass (Morone saxatilis). Int. J. Syst. Evol. Microbiol. 2003, 53, 421–424. [Google Scholar] [CrossRef]
- Stine, C.B.; Jacobs, J.M.; Rhodes, M.R.; Overton, A.; Fast, M.; Baya, A.M. Expanded range and new host species of Mycobacterium shottsii and M. pseudoshottsii. J. Aquat. Anim. Health 2009, 21, 179–183. [Google Scholar] [CrossRef]
- Nakanaga, K.; Hoshino, Y.; Hattori, Y.; Yamamoto, A.; Wada, S.; Hatai, K.; Makino, M.; Ishii, N. Mycobacterium pseudoshottsii isolated from 24 farmed fishes in western Japan. J. Vet. Med. Sci. 2012, 74, 275–278. [Google Scholar] [CrossRef] [Green Version]
- Mugetti, D.; Varello, K.; Gustinelli, A.; Pastorino, P.; Menconi, V.; Florio, D.; Fioravanti, M.L.; Bozzetta, E.; Zoppi, S.; Dondo, A.; et al. Mycobacterium pseudoshottsii in Mediterranean Fish Farms: New Trouble for European Aquaculture? Pathogens 2020, 9, 610. [Google Scholar] [CrossRef]
- Decostere, A.; Hermans, K.; Haesebrouck, F. Piscine mycobacteriosis: A literature review covering the agent and the disease it causes in fish and humans. Vet. Microbiol. 2004, 99, 159–166. [Google Scholar] [CrossRef] [PubMed]
- Slany, M.; Jezek, P.; Fiserova, V.; Bodnarova, M.; Stork, J.; Havelkova, M.; Kalat, F.; Pavlik, I. Mycobacterium marinum infections in humans and tracing of its possible environmental sources. Can. J. Microbiol. 2011, 58, 39–44. [Google Scholar] [CrossRef]
- Falkinham, J.O., III. Environmental sources of nontuberculous mycobacteria. Clin. Chest Med. 2015, 36, 35–41. [Google Scholar] [CrossRef] [PubMed]
- Halstrom, S.; Price, P.; Thomson, R. Review: Environmental mycobacteria as a cause of human infection. Int. J. Mycobacteriol. 2015, 4, 81–91. [Google Scholar] [CrossRef]
- Sousa, S.; Bandeira, M.; Carvalho, P.A.; Duarte, A.; Jordao, L. Nontuberculous mycobacteria pathogenesis and biofilm assembly. Int. J. Mycobacteriol. 2015, 4, 36–43. [Google Scholar] [CrossRef] [Green Version]
- Lai, L.Y.; Lin, T.L.; Chen, Y.Y.; Hsieh, P.F.; Wang, J.T. Role of the Mycobacterium marinum ESX-1 Secretion System in Sliding Motility and Biofilm Formation. Front Microbiol. 2018, 9, 1160. [Google Scholar] [CrossRef]
- Savijoki, K.; Myllymäki, H.; Luukinen, H.; Paulamäki, L.; Vanha-Aho, L.M.; Svorjova, A.; Miettinen, I.; Fallarero, A.; Ihalainen, T.O.; Yli-Kauhaluoma, J.; et al. Surface-Shaving Proteomics of Mycobacterium marinum Identifies Biofilm Subtype-Specific Changes Affecting Virulence, Tolerance, and Persistence. mSystems 2021, 6, e0050021. [Google Scholar] [CrossRef]
- Wang, G.L.; Yuan, S.P.; Jin, S. Nocardiosis in large yellow croaker, Larimichthys crocea (Richardson). J. Fish. Dis. 2005, 28, 339–345. [Google Scholar] [CrossRef]
- Romalde, J.L. Photobacterium damselae subsp. piscicida: An integrated view of a bacterial fish pathogen. Int. Microbiol. 2002, 5, 3–9. [Google Scholar] [CrossRef] [PubMed]
- Avsever, M.L.; Çavuşoğlu, C.; Eskiizmirliler, S.; Türe, M.; Korun, J.; Çamkerten, I. First isolation of Mycobacterium marinum from sea bass (Dicentrarchus labrax) and gilthead sea bream (Sparus auratus) cultured in Turkey. Bull. Eur. Ass. Fish. Pathol. 2016, 36, 193. [Google Scholar]
- Davidovich, N.; Pretto, T.; Sharon, G.; Zilberg, D.; Blum, S.E.; Baider, Z.; Edery, N.; Morick, D.; Grossman, R.; Kaidar-Shwartz, H.; et al. Cutaneous appearance of mycobacteriosis caused by Mycobacterium marinum, affecting gilthead seabream (Sparus aurata) cultured in recirculating aquaculture systems. Aquaculture 2020, 528, 735507. [Google Scholar] [CrossRef]
- Antuofermo, E.; Pais, A.; Polinas, M.; Cubeddu, T.; Righetti, M.; Sanna, M.A.; Prearo, M. Mycobacteriosis caused by Mycobacterium marinum in reared mullets: First evidence from Sardinia (Italy). J. Fish. Dis. 2017, 40, 327–337. [Google Scholar] [CrossRef]
- Timur, G.; Ürkü, Ç.; Çanak, Ö.; Erköse Genç, G.; Erturan, Z. Systemic mycobacteriosis caused by Mycobacterium marinum in farmed meagre (Argyrosomus regius), in Turkey. Isr. J. Aquac. 2015, 67, 1162. [Google Scholar]
- Falkinham, J.O., III. Surrounded by mycobacteria: Nontuberculous mycobacteria in the human environment. J. Appl. Microbiol. 2009, 107, 356–367. [Google Scholar] [CrossRef]
- Axén, C.; Vendramin, N.; Toffan, A. Outbreak of mortality associated with Acipenser Iridovirus European (AcIV-E) detection in Siberian Sturgeon (Acipenser baerii) farmed in Sweden. Fishes 2018, 3, 42. [Google Scholar] [CrossRef] [Green Version]
- Ravid-Peretz, S.; Colorni, A.; Sharon, G.; Ucko, M. Vaccination of European sea bass Dicentrarchus labrax with avirulent Mycobacterium marinum (iipA::kan mutant). Fish Shellfish Immunol. 2019, 90, 317–327. [Google Scholar] [CrossRef] [PubMed]
- Gauthier, D.T.; Rhodes, M.W.; Vogelbein, W.K.; Kator, H.; Ottinger, C.A. Experimental mycobacteriosis in striped bass Morone saxatilis. Dis. Aquat. Organ. 2003, 54, 105–117. [Google Scholar] [CrossRef] [PubMed]
- Le Dantec, C.; Duguet, J.P.; Montiel, A.; Dumoutier, N.; Dubrou, S.; Vincent, V. Occurrence of mycobacteria in water treatment lines and in water distribution systems. Appl. Environ. Microbiol. 2002, 68, 5318–5325. [Google Scholar] [CrossRef] [Green Version]
- Telenti, A.; Marchesi, F.; Balz, M.; Bally, F.; Böttger, E.C.; Bodmer, T. Rapid identification of mycobacteria to the species level by polymerase chain reaction and restriction enzyme analysis. J. Clin. Microbiol. 1993, 31, 175–178. [Google Scholar] [CrossRef] [Green Version]
- Sievers, F.; Higgins, D.G. Clustal omega, accurate alignment of very large numbers of sequences. In Multiple Sequence Alignment Methods Methods in Molecular Biology; Humana Press: Totowa, NJ, USA, 2013; Volume 1079, pp. 105–116. [Google Scholar]
- Kumar, S.; Stecher, G.; Li, M.; Knyaz, C.; Tamura, K. MEGA X: Molecular evolutionary genetics analysis across computing platforms. Mol. Biol. Evol. 2018, 35, 1547–1549. [Google Scholar] [CrossRef]



| Sample | Number of Samples | Positive | Negative |
|---|---|---|---|
| European sea bass (1st sampling) | 80 | 17 | 63 |
| European sea bass (2nd sampling) | 64 | - | 64 |
| Sediment | 2 (a) | 2 | - |
| Periphyton | 2 (a) | 2 | - |
| Water | 2 (b) | - | 2 |
Publisher’s Note: MDPI stays neutral with regard to jurisdictional claims in published maps and institutional affiliations. |
© 2021 by the authors. Licensee MDPI, Basel, Switzerland. This article is an open access article distributed under the terms and conditions of the Creative Commons Attribution (CC BY) license (https://creativecommons.org/licenses/by/4.0/).
Share and Cite
Mugetti, D.; Varello, K.; Pastorino, P.; Tomasoni, M.; Menconi, V.; Bozzetta, E.; Dondo, A.; Prearo, M. Investigation of Potential Reservoirs of Non-Tuberculous Mycobacteria in a European Sea Bass (Dicentrarchus labrax) Farm. Pathogens 2021, 10, 1014. https://doi.org/10.3390/pathogens10081014
Mugetti D, Varello K, Pastorino P, Tomasoni M, Menconi V, Bozzetta E, Dondo A, Prearo M. Investigation of Potential Reservoirs of Non-Tuberculous Mycobacteria in a European Sea Bass (Dicentrarchus labrax) Farm. Pathogens. 2021; 10(8):1014. https://doi.org/10.3390/pathogens10081014
Chicago/Turabian StyleMugetti, Davide, Katia Varello, Paolo Pastorino, Mattia Tomasoni, Vasco Menconi, Elena Bozzetta, Alessandro Dondo, and Marino Prearo. 2021. "Investigation of Potential Reservoirs of Non-Tuberculous Mycobacteria in a European Sea Bass (Dicentrarchus labrax) Farm" Pathogens 10, no. 8: 1014. https://doi.org/10.3390/pathogens10081014
APA StyleMugetti, D., Varello, K., Pastorino, P., Tomasoni, M., Menconi, V., Bozzetta, E., Dondo, A., & Prearo, M. (2021). Investigation of Potential Reservoirs of Non-Tuberculous Mycobacteria in a European Sea Bass (Dicentrarchus labrax) Farm. Pathogens, 10(8), 1014. https://doi.org/10.3390/pathogens10081014

