Development of a Species Diagnostic Molecular Tool for an Invasive Pest, Mythimna loreyi, Using LAMP
Abstract
Simple Summary
Abstract
1. Introduction
2. Materials and Methods
2.1. Sample Collection and Mitochondrial Genome Sequencing
2.2. Phylogenetic Analysis and Primer Design
2.3. LAMP and PCR
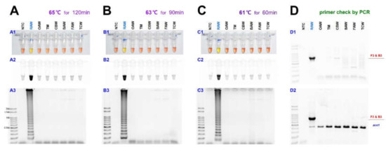
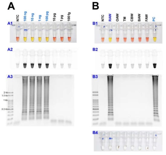
3. Results
3.1. Mitochondrial Genome Sequencing and Primer Design
3.2. Diagnostic LAMP and PCR
4. Discussion
5. Conclusions
Supplementary Materials
Author Contributions
Funding
Conflicts of Interest
References
- Calora, F.B. Revision of the species Leucania-complex occurring in the Philippines (Lepidoptera, Noctuidae, Hadeninae). Philipp. Agric. 1966, 50, 633–723. [Google Scholar]
- Chandler, K.J.; Benson, A.J. Evaluation of armyworm infestation in North Queensland surgarcane on crops. Proc. Aust. Soc. Sug. Cane Technol. 1991, 13, 79–82. [Google Scholar]
- Edwards, E.D. A second sugarcane armyworm (Leucania loreyi (Duponchel) from Australia and the identity of L. loreyimima Rungs (Lepidoptera: Noctuidae). J. Aust. Entomol. Soc. 1992, 31, 105–108. [Google Scholar] [CrossRef]
- Ganesha, S.; Rajabale, S. The Mythimna spp. (Lepidoptera: Noctuidae) complex on sugarcane in Mauritius. Proc. S. Afr. Sug. Technol. Ass. 1996, 70, 15–17. [Google Scholar]
- El-Sherif, S.I. On the biology of Leucania loreyi, dup. (Lepidoptera, Noctuidae). J. Appl. Entomol. 1972, 71, 104–111. [Google Scholar] [CrossRef]
- Ho, H.Y.; Tu, M.P.; Chang, C.Y.; Yin, C.M.; Kou, R. Identification of in vitro release products of corpora allata in female and male loreyi leafworms, Leucania loreyi. Experientia 1995, 51, 601–605. [Google Scholar] [CrossRef]
- Hsieh, Y.C.; Hsu, E.L.; Chow, Y.S.; Kou, R. Effects of calcium channel antagonists on the corpora allata of adult male loreyi leafworm Mythimna loreyi: Juvenile hormone acids release and intracellular calcium level. Arch. Insect Biochem. Physiol. 2001, 48, 89–99. [Google Scholar] [CrossRef]
- Hsieh, Y.C.; Yang, E.C.; Hsu, E.L.; Chow, Y.S.; Kou, R. Voltage-dependent calcium channels in the corpora allata of the adult male loreyi leafworm, Mythimna loreyi. Insect Biochem. Mol. Biol. 2002, 32, 547–557. [Google Scholar] [CrossRef]
- Kou, R. Cholinergic regulation of the corpora allata in adult male loreyi leafworm Mythimna loreyi. Arch. Insect Biochem. Physiol. 2002, 49, 215–224. [Google Scholar] [CrossRef]
- Kou, R.; Chen, S.J. Allatotropic activity in the suboesophageal ganglia and corpora cardiaca of the adult male loreyi leafworm, Mythimna loreyi. Arch. Insect Biochem. Physiol. 2000, 43, 78–86. [Google Scholar] [CrossRef]
- Qin, J.; Zhang, L.; Liu, Y.; Sappington, T.W.; Cheng, Y.; Luo, L.; Jiang, X. Population Projection and Development of the Mythimna loreyi (Lepidoptera: Noctuidae) as Affected by Temperature: Application of an Age-Stage, Two-Sex Life Table. J. Econ. Entomol. 2017, 110, 1583–1591. [Google Scholar] [CrossRef] [PubMed]
- Qin, J.; Liu, Y.; Zhang, L.; Cheng, Y.; Sappington, T.W.; Jiang, X. Effects of Moth Age and Rearing Temperature on the Flight Performance of the Loreyi Leafworm, Mythimna loreyi (Lepidoptera: Noctuidae), in Tethered and Free Flight. J. Econ. Entomol. 2018, 111, 1243–1248. [Google Scholar] [CrossRef] [PubMed]
- El-Far, M.; Li, Y.; Fediere, G.; Abol-Ela, S.; Tijssen, P. Lack of infection of vertebrate cells by the densovirus from the maize worm Mythimna loreyi (MlDNV). Virus Res. 2014, 99, 17–24. [Google Scholar] [CrossRef] [PubMed]
- Fediere, G.; El-Far, M.; Li, Y.; Bergoin, M.; Tijssen, P. Expression strategy of densonucleosis virus from Mythimna loreyi. Virology 2004, 320, 181–189. [Google Scholar] [CrossRef]
- Hirai, K. The influence of rearing temperature and density on the development of two Leucania species, M. loreyi dup. and L. separata walker (Lepidoptera: Noctuidae). Appl. Ent. Zool. 1975, 10, 234–237. [Google Scholar] [CrossRef]
- Guo, S.J.; Li, S.M.; Ma, L.P.; Zhuo, X.N. Research about biological characteristics and damage laws of Leucania loreyi. J. Henan Agric. Sci. 2003, 9, 37–39. [Google Scholar]
- Jindal, V. DNA barcode reveals occurrence of Mythimna loreyi (Duponchel) in Punjab, India. Indian J. Biotechnol. 2019, 18, 81–84. [Google Scholar]
- Blaser, S.; Diem, H.; von Felten, A.; Gueuning, M.; Andreou, M.; Boonham, N.; Tomlinson, J.; Müller, P.; Utzinger, J.; Frey, J.E.; et al. From laboratory to point of entry: Development and implementation of a loop-mediated isothermal amplification (LAMP)-based genetic identification system to prevent introduction of quarantine insect species. Pest Manag. Sci. 2018, 74, 1504–1512. [Google Scholar] [CrossRef]
- Hsieh, C.H.; Wang, H.Y.; Chen, Y.F.; Ko, C.C. Loop-mediated isothermal amplification for rapid identification of biotypes B and Q of the globally invasive pest Bemisia tabaci, and studying population dynamics. Pest. Manag. Sci. 2012, 68, 1206–1213. [Google Scholar] [CrossRef]
- Kim, Y.H.; Hur, J.H.; Lee, G.S.; Choi, M.Y.; Koh, Y.H. Rapid and highly accurate detection of Drosophila suzukii, spotted wing Drosophila (Diptera: Drosophilidae) by loop-mediated isothermal amplification assays. J. Asia Pac. Entomol. 2016, 19, 1211–1216. [Google Scholar] [CrossRef]
- Notomi, T.; Mori, Y.; Tomita, N.; Kanda, H. Loop-mediated isothermal amplification (LAMP): Principle, features, and future prospects. J. Microbiol. 2015, 53, 1–5. [Google Scholar] [CrossRef] [PubMed]
- Nagamine, K.; Hase, T.; Notomi, T. Accelerated reaction by loop-mediated isothermal amplification using loop primers. Mol. Cell. Probes 2002, 16, 223–229. [Google Scholar] [CrossRef] [PubMed]
- Folmer, O.; Black, M.; Hoeh, W.; Lutz, R.; Vrijenhoek, R. DNA primers for amplification of mitochondrial cytochrome c oxidase subunit I from diverse metazoan invertebrates. Mol. Mar. Biol. Biotechnol. 1994, 3, 294–299. [Google Scholar] [PubMed]
- Schwartz, S.; Kent, W.J.; Smit, A.; Zhang, Z.; Baertsch, R.; Hardison, R.C.; Haussler, D.; Miller, W. Human-mouse alignments with BLASTZ. Genome Res. 2003, 13, 103–107. [Google Scholar] [CrossRef]
- Tillich, M.; Lehwark, P.; Pellizzer, T.; Ulbricht-Jones, E.S.; Fischer, A.; Bock, R.; Greiner, S. GeSeq—versatile and accurate annotation of organelle genomes. Nucleic Acids Res. 2017, 45, W6–W11. [Google Scholar] [CrossRef]
- Kumar, S.; Stecher, G.; Tamura, K. MEGA7: Molecular Evolutionary Genetics Analysis Version 7.0 for Bigger Datasets. Mol. Biol. Evol. 2016, 33, 1870–1874. [Google Scholar] [CrossRef]
- Sanderson, M.J.; Wojciechowski, M.F. Improved bootstrap confidence limits in large-scale phylogenies, with an example from Neo-Astragalus (Leguminosae). Syst. Biol. 2000, 49, 671–685. [Google Scholar] [CrossRef]
- Frazer, K.A.; Pachter, L.; Poliakov, A.; Rubin, E.M.; Dubchak, I. VISTA: Computational tools for comparative genomics. Nucleic Acids Res. 2004, 32, W273–W279. [Google Scholar] [CrossRef]
- Mayor, C.; Brudno, M.; Schwartz, J.R.; Poliakov, A.; Rubin, E.M.; Frazer, K.A.; Patcher, L.S.; Dubchak, I. VISTA: Visualizing global DNA sequence alignments of arbitrary length. Bioinformatics 2000, 16, 1046–1047. [Google Scholar] [CrossRef]
- Kim, J.; Kwon, M.; Park, K.J.; Maharjanm, R. Monitoring of four major lepidopteran pests in Korean cornfields and management of Helicoverpa armigera. Entomol. Res. 2018, 48, 308–316. [Google Scholar] [CrossRef]
- CABI Invasive Species Compendium. Available online: https://www.cabiorg/isc/search/index (accessed on 14 August 2020).
- Erasmus, A.; Van Rensburg, J.B.J.; Van den Berg, J. Effects of Bt maize on Agrotis segetum (Lepidoptera: Noctuidae): A pest of maize seedlings. Environ. Entomol. 2010, 39, 702–706. [Google Scholar] [CrossRef] [PubMed]
- Kim, J.; Nam, H.Y.; Kwon, M.; Kim, H.; Yi, H.J.; Hänniger, S.; Unbehend, M.; Heckel, D.G. Development of a simple and accurate molecular tool for Spodoptera frugiperda species identification using LAMP. bioRxiv 2020. [Google Scholar] [CrossRef]
- Li, X.J.; Wu, M.-F.; Ma, J.; Gao, B.-Y.; Wu, Q.-L.; Chen, A.-D.; Liu, J.; Jiang, Y.-Y.; Zhai, B.-P.; Early, R.; et al. Prediction of migratory routes of the invasive fall armyworm in eastern China using a trajectory analytical approach. Pest Manag. Sci. 2020, 76, 454–463. [Google Scholar] [CrossRef] [PubMed]
- Goergen, G.; Kumar, P.L.; Sankung, S.B.; Togola, A.; Tamo, M. First Report of Outbreaks of the Fall Armyworm Spodoptera frugiperda (J E Smith) (Lepidoptera, Noctuidae), a New Alien Invasive Pest in West and Central Africa. PLoS ONE 2010, 11, e0165632. [Google Scholar] [CrossRef]
- Mori, Y.; Notomi, T. Loop-mediated isothermal amplification (LAMP): A rapid, accurate, and costeffective diagnostic method for infectious diseases. J. Infect. Chemother. 2009, 15, 62–69. [Google Scholar] [CrossRef]
- Zhang, X.Z.; Lowe, S.B.; Gooding, J.J. Brief review of monitoring methods for loop-mediated isothermal amplification (LAMP). Biosens. Bioelectron. 2014, 61, 491–499. [Google Scholar] [CrossRef]
- Lee, P.L. DNA amplification in the field: Move over PCR, here comes LAMP. Mol. Ecol. Resour. 2017, 17, 138–141. [Google Scholar] [CrossRef]
- Choi, B.H.; Hur, J.H.; Heckel, D.G.; Kim, J.; Koh, Y.H. Development of a highly accurate and sensitive diagnostic tool for pyrethroid-resistant chimeric P450 CYP337B3 of Helicoverpa armigera using loop-mediated isothermal amplification. Arch. Insect Biochem. Physiol. 2018, 99, e21504. [Google Scholar] [CrossRef]
- Parida, M.; Sannarangaiah, S.; Dash, P.K.; Rao, P.V.L.; Morita, K. Loop mediated isothermal amplification (LAMP): A new generation of innovative gene amplification technique; perspectives in clinical diagnosis of infectious diseases. Rev. Med. Virol. 2008, 18, 407–421. [Google Scholar] [CrossRef]
- Kim, J.; Cha, D.J.; Kwon, M.; Maharjan, R. Potato virus Y (PVY) detection in a single aphid by one-step RT-PCR with boiling technique. Entomol. Res. 2016, 46, 278–285. [Google Scholar] [CrossRef]





| Purpose | Primers | Sequence (5′– > 3′) |
|---|---|---|
| for LAMP | ||
| RAW_F3 | GTAAATTTATTAACAGAATAAATCCCC 1 | |
| RAW_B3 | CTTCTACTTTAGTAACTGCGGGA | |
| RAW_FIP | TGGGGTAATTATTCATATAATAAATGATAATATATAATCTAATTCCCCCTATAAAACG | |
| RAW_BIP | TAGCATGAGTTAATAAATGAAAAAAAGGTTTAATAATAAGAATTTTAAGAATGGGT | |
| RAW_LF | CATATAATAAATGATATACAAGATATT | |
| RAW_LB | AATGAAAAAAAGCTAAATCAGGTAA | |
| for PCR | ||
| Spo_ace1UF2 | AGGATGAAGAGAAATTTATAGAGGAT | |
| Spo_ace1UR1 | TCACCAAACACTGTATCTATAATTTG | |
| LCO1490 | GGTCAACAAATCATAAAGATATTGG | |
| HCO2198 | TAAACTTCAGGCTGACCAAAAAATCA | |
| RAW_F3S | CCCAAACCCTCTATATAATTCTCT | |
Publisher’s Note: MDPI stays neutral with regard to jurisdictional claims in published maps and institutional affiliations. |
© 2020 by the authors. Licensee MDPI, Basel, Switzerland. This article is an open access article distributed under the terms and conditions of the Creative Commons Attribution (CC BY) license (http://creativecommons.org/licenses/by/4.0/).
Share and Cite
Nam, H.Y.; Kwon, M.; Kim, H.J.; Kim, J. Development of a Species Diagnostic Molecular Tool for an Invasive Pest, Mythimna loreyi, Using LAMP. Insects 2020, 11, 817. https://doi.org/10.3390/insects11110817
Nam HY, Kwon M, Kim HJ, Kim J. Development of a Species Diagnostic Molecular Tool for an Invasive Pest, Mythimna loreyi, Using LAMP. Insects. 2020; 11(11):817. https://doi.org/10.3390/insects11110817
Chicago/Turabian StyleNam, Hwa Yeun, Min Kwon, Hyun Ju Kim, and Juil Kim. 2020. "Development of a Species Diagnostic Molecular Tool for an Invasive Pest, Mythimna loreyi, Using LAMP" Insects 11, no. 11: 817. https://doi.org/10.3390/insects11110817
APA StyleNam, H. Y., Kwon, M., Kim, H. J., & Kim, J. (2020). Development of a Species Diagnostic Molecular Tool for an Invasive Pest, Mythimna loreyi, Using LAMP. Insects, 11(11), 817. https://doi.org/10.3390/insects11110817

