Immuno-Ultrastructural Localization and Putative Multiplication Sites of Huanglongbing Bacterium in Asian Citrus Psyllid Diaphorina citri
Abstract
1. Introduction
2. Materials and Methods
2.1. Psyllids and Plants Used
2.2. Transmission Electron Microscopy (TEM)
2.3. Gold Labeling of CLas Cells in Thin Sections
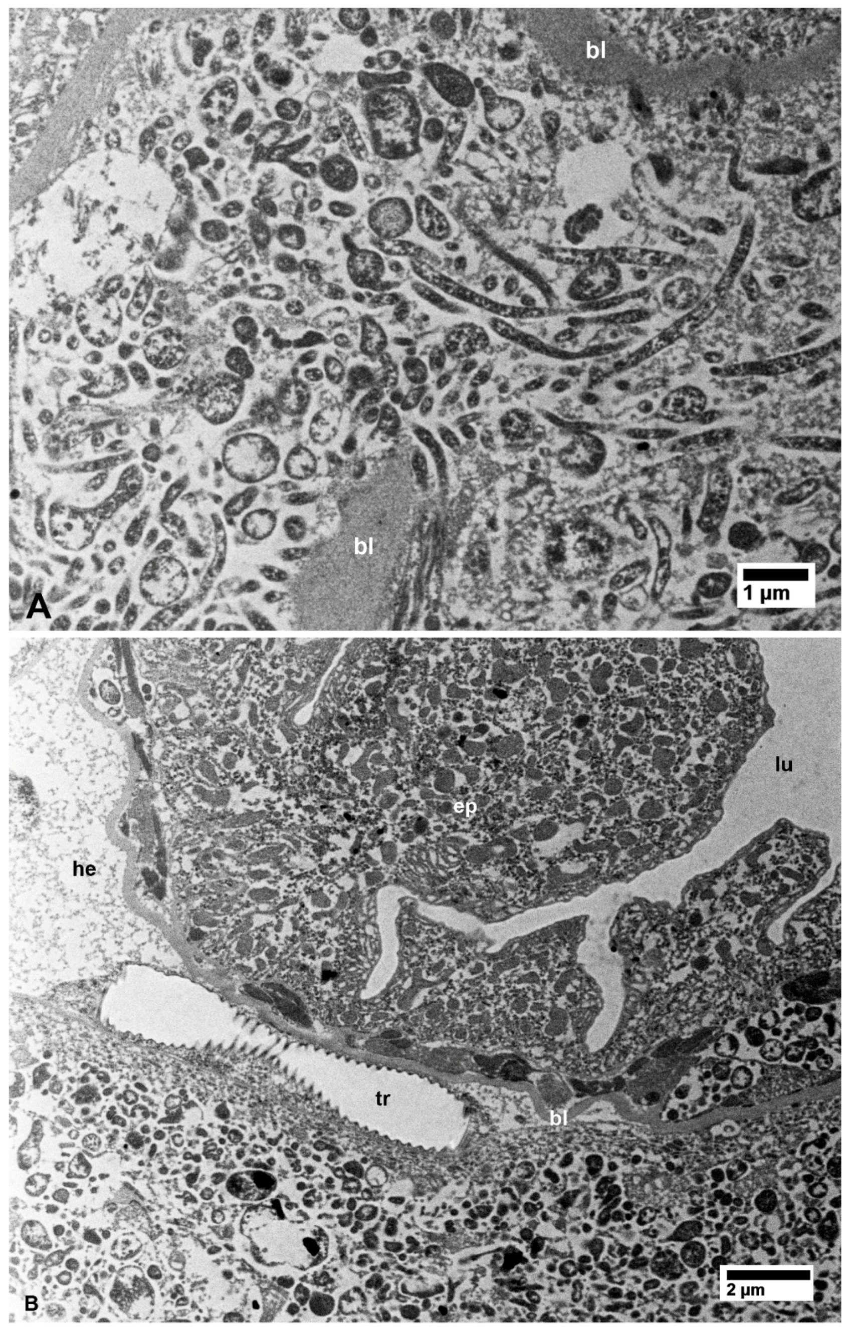
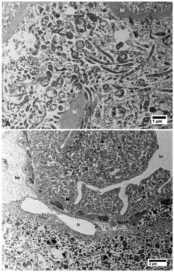
3. Results
3.1. Ultrastructure and Immunolabeling of CLas Bacterial Cells
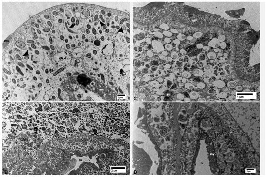
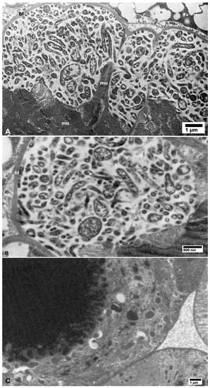
3.2. Ultrastructural Localization of CLas in ACP Organs and Tissues
3.3. Putative Multiplication Sites of CLas
4. Discussions
Author Contributions
Funding
Acknowledgments
Conflicts of Interest
References
- Bové, J.M. Huanglongbing: A descructive, newly-emerging, century-old disease of citrus. J. Plant Pathol. 2006, 88, 7–37. [Google Scholar]
- Haapalainen, M. Biology and epidemics of CandidatusLiberibacter species, psyllid-transmitted plant-pathogenic bacteria. Ann. Appl. Boil. 2014, 165, 172–198. [Google Scholar] [CrossRef]
- Hall, D.G.; Richardson, M.L.; Ammar, E.-D.; Halbert, S.E. Asian citrus psyllid, Diaphorina citri, vector of citrus huanglongbing disease. Entomol. Exp. Appl. 2013, 146, 207–223. [Google Scholar] [CrossRef]
- Inoue, H.; Ohnishi, J.; Ito, T.; Tomimura, K.; Miyata, S.; Iwanami, T.; Ashihara, W. Enhanced proliferation and efficient transmission of ‘Candidatus Liberibacter asiaticus’ by adult Diaphorina citri after acquisition feeding in the nymphal stage. Ann. Appl. Biol. 2009, 155, 29–36. [Google Scholar] [CrossRef]
- Ammar, E.-D.; Shatters, R.G.; Hall, D.G. Localization of ‘Candidatus Liberibacter asiaticus,’ associated with Citrus Huanglongbing disease, in its Psyllid vector using fluorescence in situ hybridization. J. Phytopathol. 2011, 159, 726–734. [Google Scholar] [CrossRef]
- Ammar, E.-D.; Shatters, R.G.; Lynch, C.; Hall, D.G. Detection and relative titer of ‘Candidatus Liberibacter asiaticus’ in the salivary glands and alimentary canal of Diaphorina citri (Hemiptera: Psyllidae) vector of Citrus Huanglongbing disease. Ann. Entomol. Soc. Am. 2011, 104, 526–533. [Google Scholar] [CrossRef]
- Ammar, E.-D.; Ramos, J.E.; Hall, D.G.; Dawson, W.O.; Shatters, R.G. Acquisition, replication and inoculation of candidatus Liberibacter asiaticus following various acquisition periods on Huanglongbing-infected Citrus by nymphs and adults of the Asian Citrus Psyllid. PLoS ONE 2016, 11, e0159594. [Google Scholar] [CrossRef]
- George, J.; Ammar, E.-D.; Hall, D.G.; Shatters, R.G.; Lapointe, S.L. Prolonged phloem ingestion by Diaphorina citri nymphs compared to adults is correlated with increased acquisition of the citrus greening pathogen. Sci. Rep. 2018, 8, 10352. [Google Scholar] [CrossRef]
- Ramsey, J.S.; Chavez, J.D.; Johnson, R.; Hosseinzadeh, S.; Mahoney, J.E.; Mohr, J.P.; Robison, F.; Zhong, X.; Hall, D.G.; MacCoss, M.; et al. Protein interaction networks at the host–microbe interface in Diaphorina citri, the insect vector of the citrus greening pathogen. R. Soc. Open Sci. 2017, 4, 160545. [Google Scholar] [CrossRef]
- Mann, M.; Fattah-Hosseini, S.; Ammar, E.-D.; Stange, R.; Warrick, E.; Sturgeon, K.; Shatters, R.; Heck, M. Diaphorina citri nymphs are resistant to morphological changes induced by ’Candidatus Liberibacter asiaticus’ in midgut epithelial cells. Infect. Immun. 2018, 86, e00889-17. [Google Scholar] [CrossRef]
- Cicero, J.M.; Fisher, T.W.; Qureshi, J.A.; Stansly, P.A.; Brown, J.K. Colonization and intrusive invasion of Potato Psyllid by ‘Candidatus Liberibacter solanacearum’. Phytopathology 2017, 107, 36–49. [Google Scholar] [CrossRef] [PubMed]
- Cicero, J.M.; Brown, J.K.; Roberts, P.D.; Stansly, P.A. The digestive system of Diaphorina citri and Bactericera cockerelli (Hemiptera: Psyllidae). Ann. Entomol. Soc. Am. 2009, 102, 650–665. [Google Scholar] [CrossRef]
- Ammar, E.-D.; Hall, D.G.; Shatters, R.G., Jr. Ultrastructure of the salivary glands, alimentary canal and bacteria-like organisms in the Asian citrus psyllid, vector of citrus huanglongbing disease bacteria. J. Microsc. Ultrastruct. 2017, 5, 9–20. [Google Scholar] [CrossRef] [PubMed]
- Chen, M.-H. Citrus Likubin pathogens in salivary glands of Diaphorina citri. Phytopathology 1973, 63, 194. [Google Scholar] [CrossRef]
- Xu, C.; Xia, Y.; Li, K.; Ke, C. Further study of the transmission of citrus huanglungbin by a psyllid, Diaphorina citri Kuwayama. Int. Organ. Citrus Virol. Conf. Proc. (1957–2010) 1988, 10, 243–248. [Google Scholar]
- Ghanim, M.; Achor, D.; Ghosh, S.; Kontsedalov, S.; Lebedev, G.; Levy, A. ‘Candidatus Liberibacter asiaticus’ accumulates inside endoplasmic reticulum associated vacuoles in the gut cells of Diaphorina citri. Sci. Rep. 2017, 7, 16945. [Google Scholar] [CrossRef]
- Ammar, E.-D.; Walter, A.J.; Hall, D.G. A new excised-leaf assay method to test the inoculativity of the Asian citrus psyllid with ’Candidatus Liberibacter asiaticus’ associated with citrus huanglongbing disease. J. Econ. Entomol. 2013, 106, 25–35. [Google Scholar] [CrossRef]
- Humphrey, C.D.; Pittman, F.E. A simple methylene blue-azure A-Basic fuchsin stain for epoxy-embedded tissue sections. Stain. Technol. 1974, 49, 9–14. [Google Scholar] [CrossRef]
- Reynolds, E.S. The use of lead citrate at high pH as an electron-0-aque stain in EM. J. Cell Biol. 1963, 17, 208. [Google Scholar] [CrossRef]
- Spurr, A.R. A low viscosity resin embedding medium for electron microscopy. J. Ultrastruct. Res. 1969, 26, 697–701. [Google Scholar] [CrossRef]
- Moll, M.; Martin, J. Electron microscope evidence that citrus psylla (Trioza erytreae) is a vector of greening disease in South Africa. Phytophylactica 1973, 5, 41–44. [Google Scholar]
- Kruse, A.; Fattah-Hosseini, S.; Saha, S.; Johnson, R.; Warwick, E.; Sturgeon, K.; Mueller, L.; MacCoss, M.J.; Shatters, R.G.; Heck, M.C. Combining ’omics and microscopy to visualize interactions between the Asian citrus psyllid vector and the Huanglongbing pathogen Candidatus Liberibacter asiaticus in the insect gut. PLoS ONE 2017, 12, e0179531. [Google Scholar] [CrossRef] [PubMed]
- Ammar, E.-D.; Hogenhout, S. Mollicutes Associated with Arthropods and Plants; Informa UK Limited: Colchester, UK, 2006; Volume 3, pp. 97–118. [Google Scholar]
- Özbek, E.; Miller, S.A.; Meulia, T.; Hogenhout, S.A. Infection and replication sites of Spiroplasma kunkelii (Class: Mollicutes) in midgut and Malpighian tubules of the leafhopper Dalbulus maidis. J. Invertebr. Pathol. 2003, 82, 167–175. [Google Scholar] [CrossRef]
- Ammar, E.-D.; Fulton, D.; Bai, X.; Meulia, T.; Hogenhout, S.A. An attachment tip and pili-like structures in insect- and plant-pathogenic spiroplasmas of the class Mollicutes. Arch. Microbiol. 2004, 181, 97–105. [Google Scholar] [CrossRef] [PubMed]
- Sengoda, V.G.; Buchman, J.L.; Henne, D.C.; Pappu, H.R.; Munyaneza, J.E. “Candidatus Liberibacter solanacearum” titer over time in Bactericera cockerelli (Hemiptera: Triozidae) after acquisition from infected potato and tomato plants. J. Econ. Entomol. 2013, 106, 1964–1972. [Google Scholar] [CrossRef]
- Sengoda, V.G.; Cooper, W.R.; Swisher, K.D.; Henne, D.C.; Munyaneza, J.E. Latent period and transmission of “Candidatus Liberibacter solanacearum” by the Potato Psyllid Bactericera cockerelli (Hemiptera: Triozidae). PLoS ONE 2014, 9, e93475. [Google Scholar] [CrossRef]
- Pelz-Stelinski, K.S.; Brlansky, R.H.; Ebert, T.; Rogers, M.E. Transmission parameters for Candidatus Liberibacter asiaticus by Asian Citrus Psyllid (Hemiptera: Psyllidae). J. Econ. Entomol. 2010, 103, 1531–1541. [Google Scholar] [CrossRef]
- Ukuda-Hosokawa, R.; Sadoyama, Y.; Kishaba, M.; Kuriwada, T.; Anbutsu, H.; Fukatsu, T. Infection density dynamics of the Citrus Greening Bacterium “Candidatus Liberibacter asiaticus” in field populations of the Psyllid Diaphorina citri and its relevance to the efficiency of pathogen transmission to Citrus Plants. Appl. Environ. Microbiol. 2015, 81, 3728–3736. [Google Scholar] [CrossRef]
- Cooper, W.R.; Sengoda, V.G.; Munyaneza, J.E. Localization of ‘Candidatus Liberibacter solanacearum’ (Rhizobiales: Rhizobiaceae) in Bactericera cockerelli (Hemiptera: Triozidae). Ann. Entomol. Soc. Am. 2014, 107, 204–210. [Google Scholar] [CrossRef]
- Hogenhout, S.A.; Oshima, K.; Ammar E-, D.; Kakizawa, S.; Kingdom, H.N.; Namba, S. Phytoplasmas: Bacteria that manipulate plants and insects. Mol. Plant Pathol. 2008, 9, 403–423. [Google Scholar] [CrossRef]
- Ren, S.L.; Li, Y.H.; Zhou, Y.T.; Xu, W.M.; Cuthbertson, A.G.; Guo, Y.J.; Qiu, B.L. Effects of ’Candidatus Liberibacter asiaticus’ on the fitness of the vector Diaphorina citri. J. Appl. Microbiol. 2016, 121, 1718–1726. [Google Scholar] [CrossRef] [PubMed]
- Pelz-Stelinski, K.S.; Killiny, N. Better together: Association with ‘CandidatusLiberibacter Asiaticus’ increases the reproductive fitness of its insect vector, Diaphorina citri(Hemiptera: Liviidae). Ann. Entomol. Soc. Am. 2016, 109, 371–376. [Google Scholar] [CrossRef] [PubMed]
- Wu, F.; A Qureshi, J.; Huang, J.; Fox, E.G.P.; Deng, X.; Wan, F.; Liang, G.; Cen, Y. Host Plant-mediated interactions between ‘Candidatus Liberibacter asiaticus’ and its vector Diaphorina citri Kuwayama (Hemiptera: Liviidae). J. Econ. Entomol. 2018, 111, 2038–2045. [Google Scholar] [CrossRef] [PubMed]
- Hogenhout, S.A.; Ammar, E.D.; Whitfield, A.E.; Redinbaugh, M.G. Insect vector interactions with persistently transmitted viruses. Annu. Rev. Phytopathol. 2008, 46, 327–359. [Google Scholar] [CrossRef] [PubMed]
- Perilla-Henao, L.M.; Casteel, C.L. Vector-Borne bacterial plant pathogens: Interactions with Hemipteran insects and plants. Front. Plant Sci. 2016, 7, 1457. [Google Scholar] [CrossRef] [PubMed]











© 2019 by the authors. Licensee MDPI, Basel, Switzerland. This article is an open access article distributed under the terms and conditions of the Creative Commons Attribution (CC BY) license (http://creativecommons.org/licenses/by/4.0/).
Share and Cite
Ammar, E.-D.; Achor, D.; Levy, A. Immuno-Ultrastructural Localization and Putative Multiplication Sites of Huanglongbing Bacterium in Asian Citrus Psyllid Diaphorina citri. Insects 2019, 10, 422. https://doi.org/10.3390/insects10120422
Ammar E-D, Achor D, Levy A. Immuno-Ultrastructural Localization and Putative Multiplication Sites of Huanglongbing Bacterium in Asian Citrus Psyllid Diaphorina citri. Insects. 2019; 10(12):422. https://doi.org/10.3390/insects10120422
Chicago/Turabian StyleAmmar, El-Desouky, Diann Achor, and Amit Levy. 2019. "Immuno-Ultrastructural Localization and Putative Multiplication Sites of Huanglongbing Bacterium in Asian Citrus Psyllid Diaphorina citri" Insects 10, no. 12: 422. https://doi.org/10.3390/insects10120422
APA StyleAmmar, E.-D., Achor, D., & Levy, A. (2019). Immuno-Ultrastructural Localization and Putative Multiplication Sites of Huanglongbing Bacterium in Asian Citrus Psyllid Diaphorina citri. Insects, 10(12), 422. https://doi.org/10.3390/insects10120422

