Recanalization of the Duodenum Following a High-Grade Post-Laparoscopic Cholecystectomy Duodenal Injury: Personalized Approach Presentation and Systematic Review of Management Options
Abstract
1. Introduction
2. Materials and Methods
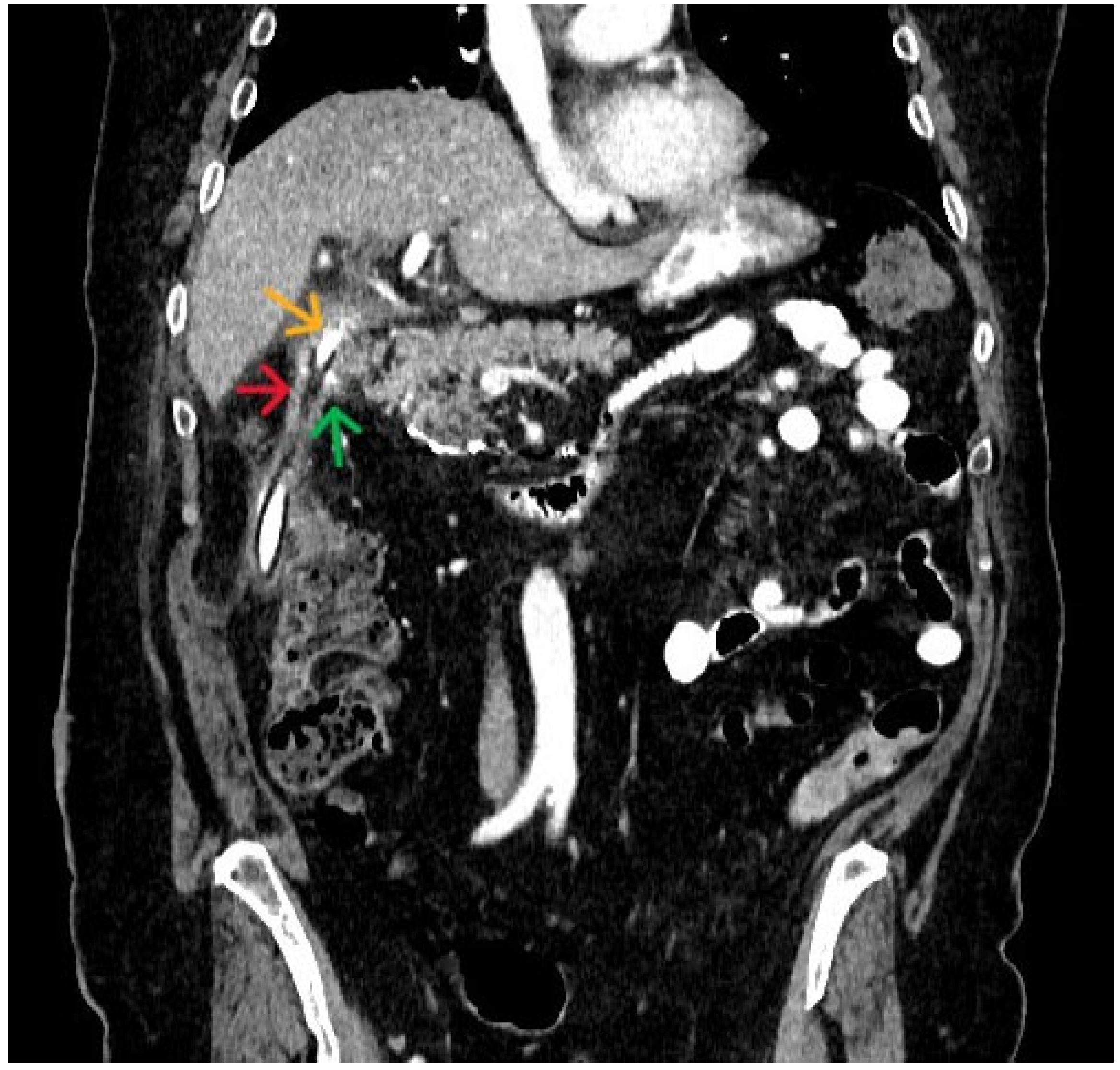
3. Case Presentation
4. Discussion
| Reference | Number of Patients | Time of Diagnosis (Days) | Conversion | Management | Specified Procedure | Outcome | Hospital Stay |
|---|---|---|---|---|---|---|---|
| Jing et al. [46] | 1/3000 | 4 | C | percutaneous drainage | alive | 26 | |
| Modi et al. [41] | 1 | 2 | C | existing surgical drain | alive | 24 | |
| Taylor et al. [37] | 1/170 | 1 | S | PR | alive | 26 | |
| Berry et al. [44] | 1 | 6 | S | pyloric exclusion + GJ + T-tube duodenostomy + FD | alive | >20 | |
| Eden et al. [45] | 1 | 12 | S | omental patch | alive | NA | |
| Testini et al. [23] | 5 | 5 | S (x2) | 1st: Petzer duodenostomy 2nd: gastric resection + duodenal stump closure | died | 90 | |
| 3 | S | Roux-en-Y duodenojejunostomy | alive | 45 | |||
| INTRA-OP | NA | S | PR over T-tube | alive | 11 | ||
| 1 | S | PR over T-tube | alive | 15 | |||
| 4 | S | duodenopancreatectomy | alive | 62 | |||
| Gaillard et al. [31] | 1 | INTRA-OP | No | E | stent + NJF | alive | >72 |
| Gupta et al. [15] | 1/42 | NA | NA | S | PR + T-tube duodenostomy + FJ | alive | NA |
| Jakhmola et al. [40] | 1 | 2 | S + C + S | 1st: T-tube duodenostomy + FJ 2nd: (2 injuries) PR larger, T-tube duodenostomy over smaller one + pyloric exclusion + FJ | alive | 120 | |
| Angelopoulos et al. [36] | 2 | 1 | S | PR and omental patch | alive | 11 | |
| 8 | S (no diagnosis) + C (after diagnosis) | lap washout + surgical drainage | alive | 20 | |||
| Croce et al. [16] | 4/2100 | 1 | S | PR | alive | NA | |
| NA | S x 2 (no diagnosis) + C (after diagnosis) | 1st: surgical drainage 2nd: retroperitoneal surgical drainage | alive | 60 | |||
| 2 | S | PR and omental patch | alive | NA | |||
| NA | S | PR | alive | NA | |||
| Greenbaum et al. [42] | 1 | 3 | S (x2) + C + E | 1st: PR and omental patch Multiple surgical washouts + drainage 2nd: duodenostomy tube + biliary diversion C: percutaneous FJ +PTBD E: esophageal stent | alive | NA | |
| Kwon et al. [24] | 2/1190 | INTRA-OP | No | S | PR (endo-GIA) | alive | 11 |
| INTRA-OP | No | S | PR | alive | 10 | ||
| El-Banna et al. [30] | 4 | 4 | C | percutaneous drainage | died | NA | |
| 3 | S | gastrectomy + duodenostomy | alive | NA | |||
| 4 | S | gastrectomy + duodenostomy | died | NA | |||
| INTRA-OP | NA | S | serosal patch | died | NA | ||
| Ward et al. [19] | 2/29 | NA | S | PR | alive | NA | |
| 2 | S | PR | died | NA | |||
| Ress et al. [17] | 3/22 | 4 | S | PR and omental patch | died | 14 | |
| NA | S | PR | NA | NA | |||
| 1 | NA | NA | NA | 15 | |||
| Isaguirre et al. [49] | 1 | 8 | E | vicryl meshplug fixed with endoclips + NJT | alive | NA | |
| Farooq et al. [35] | 1/247 | INTRA-OP | Yes | S | NA | NA | NA |
| Shakeel et al. [47] | 1 | 90 | C | percutaneous drainage | alive | NA | |
| Roviaro et al. [48] | 1/1007 | 12 | S | PR | alive | 13 | |
| Marakis et al. [50] | 1/1225 | POS-OP | S | PR | alive | 25 | |
| Avrutis et al. [43] | 1 | 9 | S | distal gastrectomy + GJ + duodenal stump closure over T-tube + FJ | alive | NA | |
| Bishoff et al. [20] | 1/915 | NA | S | PR | NA | NA | |
| Schrenk et al. [25] | 2/1690 | INTRA-OP | Yes | S | PR | alive | NA |
| INTRA-OP | Yes | S | PR | alive | NA | ||
| Yajima et al. [32] | 1/407 | INTRA-OP | Yes | S | NA | NA | 15 |
| Yamashita et al. [26] | 1/1054 | INTRA-OP | Yes | S | PR | alive | NA |
| Kum et al. [27] | 1/49 | INTRA-OP | No | S | PR | alive | 10 |
| Jena et al. [38] | 1 | 1 | S | PR | died | NA | |
| Cala et al. [39] | 1/1000 | 2 | S | PR | alive | NA | |
| Singh et al. [28] | 3/1748 | INTRA-OP | Yes | S | PR | alive | NA |
| INTRA-OP | Yes | S | PR | alive | NA | ||
| f | INTRA-OP | Yes | S | PR | alive | NA | |
| Haque et al. [29] | 1/1420 | INTRA-OP | No | S | PR | alive | NA |
| Chen et al. [33] | 1/2428 | INTRA-OP | Yes | S | NA | NA | NA |
| Baev et al. [51] | 1/700 | POST-OP | S | NA | NA | NA | |
| Huang et al. [13] | 19/39,238 | NA | NA | NA | NA | NA | NA |
| Wherry et al. [21] | 4/9054 | NA | NA | NA | NA | 1 died 3 alive | NA |
| Deziel et al. [22] | 12/77,604 | NA | NA | S | NA | 1 died | 32 |
| Peters et al. [18] | 2/283 | 2 | S (x2) | 1st: PR 2nd: NA | died | NA | |
| NA | NA | S | PR over T-tube | alive | NA | ||
| Malik et al. [34] | 5/1046 | INTRA-OP | Yes (5) | S | NA | NA | NA |
| Diaz-Martinez et al. [12] | 11/15 | INTRA-OP | No | S | PR | alive | NA |
| INTRA-OP | No | S | PR + FJ | alive | NA | ||
| INTRA-OP | No | S | PR | alive | NA | ||
| INTRA-OP | Yes | S | PR | alive | NA | ||
| 6 | S | PR | died | NA | |||
| 6 h | S | PR | alive | NA | |||
| 2 | S | PR | alive | NA | |||
| 2 | S | PR | alive | NA | |||
| INTRA-OP | Yes | S | PR + GJ | alive | NA | ||
| INTRA-OP | Yes | S | PR | alive | NA | ||
| INTRA-OP | No | S | PR | alive | NA | ||
| Our Patient | 1 | INTRA-OP | Yes | S + C + S | 1st: PR + omental patch 2nd: pyloric exclusion + Roux-en-Y gastrojejunostomy + biliary diversion + surgical drainage of pancreatic fluids + peripheral duodenal stump closure + FJ | alive | 55 |
| No of Patients | Percentage (%) | |
|---|---|---|
| Time of Diagnosis | 63/105 (available data) | 60 |
| Intra-op | 29 | 46 |
| Post-op Early (<48 h) Late (>48 h) N/A | 34 15 17 2 | 54 44.1 50 5.9 |
| Data availability regarding outcomes | 74/105 | 70.47 |
| Overall Mortality | 11 | 14.86 |
| 1 | 9.1 |
Late (>48 h) | 8 3 5 | 72.7 37.5 62.5 |
| NA | 2 | 18.2 |
5. Conclusions
Supplementary Materials
Author Contributions
Funding
Institutional Review Board Statement
Informed Consent Statement
Data Availability Statement
Acknowledgments
Conflicts of Interest
Abbreviations
| LC | Laparoscopic Cholecystectomy |
| FJ | Feeding Jejunostomy |
| WBC | White blood cells |
| CRP | c-Reactive Protein |
| TPN | Total Parenteral Nutrition |
| WSES | World Society of Emergency Surgery |
| AAST | American Association for the Surgery of Trauma |
| CT | Computed Tomography |
| GDA | Gastroduodenal artery |
References
- Page, M.J.; McKenzie, J.E.; Bossuyt, P.M.; Boutron, I.; Hoffmann, T.C.; Mulrow, C.D.; Shamseer, L.; Tetzlaff, J.M.; Akl, E.A.; Brennan, S.E.; et al. The PRISMA 2020 statement: An updated guideline for reporting systematic reviews. BMJ 2021, 372, n71. [Google Scholar] [CrossRef] [PubMed] [PubMed Central]
- Muhe, E. Die erste cholezystektomie durch das laparoscop. Langenb. Arch. Klin. Chir. 1986, 369, 804. [Google Scholar] [CrossRef]
- Reynolds, W., Jr. The first laparoscopic cholecystectomy. JSLS 2001, 5, 89–94. [Google Scholar] [PubMed] [PubMed Central]
- Jiang, B.; Ye, S. Pharmacotherapeutic pain management in patients undergoing laparoscopic cholecystectomy: A review. Adv. Clin. Exp. Med. 2022, 31, 1275–1288. [Google Scholar] [CrossRef] [PubMed]
- Coccolini, F.; Catena, F.; Pisano, M.; Gheza, F.; Fagiuoli, S.; Di Saverio, S.; Leandro, G.; Montori, G.; Ceresoli, M.; Corbella, D.; et al. Open versus laparoscopic cholecystectomy in acute cholecystitis. Systematic review and meta-analysis. Int. J. Surg. 2015, 18, 196–204, Erratum in Int. J. Surg. 2015, 24, 107. [Google Scholar] [CrossRef] [PubMed]
- Jing, X.; Ma, Y.; Li, D.; Zhang, T.; Xiang, H.; Xu, F.; Xia, Y. Cost-effectiveness of laparoscopic cholecystectomy in high-altitude areas. Medicine 2025, 104, e45644. [Google Scholar] [CrossRef] [PubMed] [PubMed Central]
- Blythe, J.; Herrmann, E.; Faust, D.; Falk, S.; Edwards-Lehr, T.; Stockhausen, F.; Hanisch, E.; Buia, A. Acute cholecystitis—A cohort study in a real-world clinical setting (REWO study, NCT02796443). Pragmat. Obs. Res. 2018, 9, 69–75. [Google Scholar] [CrossRef] [PubMed] [PubMed Central]
- Machado, N.O. Duodenal injury post laparoscopic cholecystectomy: Incidence, mechanism, management and outcome. World J. Gastrointest. Surg. 2016, 8, 335–344. [Google Scholar] [CrossRef] [PubMed] [PubMed Central]
- Strasberg, S.M. A three-step conceptual roadmap for avoiding bile duct injury in laparoscopic cholecystectomy: An invited perspective review. J. Hepatobiliary Pancreat. Sci. 2019, 26, 123–127. [Google Scholar] [CrossRef] [PubMed]
- Manatakis, D.K.; Antonopoulou, M.I.; Tasis, N.; Agalianos, C.; Tsouknidas, I.; Korkolis, D.P.; Dervenis, C. Critical View of Safety in Laparoscopic Cholecystectomy: A Systematic Review of Current Evidence and Future Perspectives. World J. Surg. 2023, 47, 640–648. [Google Scholar] [CrossRef] [PubMed]
- Terho, P.; Sallinen, V.; Lampela, H.; Harju, J.; Koskenvuo, L.; Mentula, P. The critical view of safety and bile duct injuries in laparoscopic cholecystectomy: A photo evaluation study on 1532 patients. HPB 2021, 23, 1824–1829. [Google Scholar] [CrossRef] [PubMed]
- Diaz-Martinez, J.; Pérez-Correa, N. Postcholecystectomy Duodenal Injuries, Their Management, and Review of the Literature. Euroasian J. Hepatogastroenterol. 2024, 14, 44–50. [Google Scholar] [CrossRef] [PubMed] [PubMed Central]
- Huang, X.; Feng, Y.; Huang, Z. Complications of laparoscopic cholecystectomy in China: An analysis of 39,238 cases. Chin. Med. J. 1997, 110, 704–706. [Google Scholar] [PubMed]
- Soni, S.; Swami, A.; Yadav, T.; Sreesanth, K.S.; Varshney, V.K. Postcholecystectomy Duodenal Injury: Role of Conservative Management. Cureus 2020, 12, e11144. [Google Scholar] [CrossRef] [PubMed] [PubMed Central]
- Gupta, V.; Gupta, A.; Yadav, T.D.; Mittal, B.R.; Kochhar, R. Post-cholecystectomy acute injury: What can go wrong? Ann. Hepatobiliary Pancreat. Surg. 2019, 23, 138–144. [Google Scholar] [CrossRef] [PubMed] [PubMed Central]
- Croce, E.; Golia, M.; Russo, R.; Azzola, M.; Olmi, S.; De Murtas, G. Duodenal perforations after laparoscopic cholecystectomy. Surg. Endosc. 1999, 13, 523–525. [Google Scholar] [CrossRef] [PubMed]
- Ress, A.M.; Sarr, M.G.; Nagorney, D.M.; Farnell, M.B.; Donohue, J.H.; McIlrath, D.C. Spectrum and management of major complications of laparoscopic cholecystectomy. Am. J. Surg. 1993, 165, 655–662. [Google Scholar] [CrossRef] [PubMed]
- Peters, J.H.; Gibbons, G.D.; Innes, J.T.; Nichols, K.E.; Front, M.E.; Roby, S.R.; Ellison, E.C. Complications of laparoscopic cholecystectomy. Surgery 1991, 110, 769–777; discussion 777–778. [Google Scholar] [PubMed]
- Ward, E.M.; LeRoy, A.J.; Bender, C.E.; Donohue, J.H.; Hughes, R.W. Imaging of complications of laparoscopic cholecystectomy. Abdom Imaging 1993, 18, 150–155. [Google Scholar] [CrossRef] [PubMed]
- Bishoff, J.T.; Allaf, M.E.; Kirkels, W.; Moore, R.G.; Kavoussi, L.R.; Schroder, F. Laparoscopic bowel injury: Incidence and clinical presentation. J. Urol. 1999, 161, 887–890. [Google Scholar] [CrossRef] [PubMed]
- Wherry, D.C.; Marohn, M.R.; Malanoski, M.P.; Hetz, S.P.; Rich, N.M. An external audit of laparoscopic cholecystectomy in the steady state performed in medical treatment facilities of the Department of Defense. Ann. Surg. 1996, 224, 145–154. [Google Scholar] [CrossRef] [PubMed] [PubMed Central]
- Deziel, D.J.; Millikan, K.W.; Economou, S.G.; Doolas, A.; Ko, S.T.; Airan, M.C. Complications of laparoscopic cholecystectomy: A national survey of 4292 hospitals and an analysis of 77,604 cases. Am. J. Surg. 1993, 165, 9–14. [Google Scholar] [CrossRef] [PubMed]
- Testini, M.; Piccinni, G.; Lissidini, G.; Di Venere, B.; Gurrado, A.; Poli, E.; Brienza, N.; Biondi, A.; Greco, L.; Nacchiero, M. Management of descending duodenal injuries secondary to laparoscopic cholecystectomy. Dig. Surg. 2008, 25, 12–15. [Google Scholar] [CrossRef] [PubMed]
- Kwon, A.H.; Inui, H.; Kamiyama, Y. Laparoscopic management of bile duct and bowel injury during laparoscopic cholecystectomy. World J. Surg. 2001, 25, 856–861. [Google Scholar] [CrossRef] [PubMed]
- Schrenk, P.; Woisetschläger, R.; Rieger, R.; Wayand, W. Mechanism, management, and prevention of laparoscopic bowel injuries. Gastrointest. Endosc. 1996, 43, 572–574. [Google Scholar] [CrossRef] [PubMed]
- Yamashita, Y.; Kurohiji, T.; Kakegawa, T. Evaluation of two training programs for laparoscopic cholecystectomy: Incidence of major complications. World J. Surg. 1994, 18, 279–285; discussion 285. [Google Scholar] [CrossRef] [PubMed]
- Kum, C.K.; Eypasch, E.; Aljaziri, A.; Troidl, H. Randomized comparison of pulmonary function after the ‘French’ and ‘American’ techniques of laparoscopic cholecystectomy. Br. J. Surg. 1996, 83, 938–941. [Google Scholar] [CrossRef] [PubMed]
- Singh, R.; Kaushik, R.; Sharma, R.; Attri, A.K. Non-biliary mishaps during laparoscopic cholecystectomy. Indian J. Gastroenterol. 2004, 23, 47–49. [Google Scholar] [PubMed]
- Haque, M.R.; Hossain, S.S.; Khan, L. Extra Biliary Complications of Laparoscopic Cholecystectomy: Experience from a Study of 1420 Cases. Mymensingh Med. J. 2023, 32, 812–817. [Google Scholar] [PubMed]
- El-Banna, M.; Abdel-Atty, M.; El-Meteini, M.; Aly, S. Management of laparoscopic-related bowel injuries. Surg. Endosc. 2000, 14, 779–782. [Google Scholar] [CrossRef] [PubMed]
- Gaillard, M.; Dupond-Athenor, A.; Donatelli, G.; Dagher, I. Conservative endoscopic management of a large duodenal defect after cholecystectomy. J. Visc. Surg. 2017, 154, 379–381. [Google Scholar] [CrossRef] [PubMed]
- Yajima, H.; Kanai, H.; Son, K.; Yoshida, K.; Yanaga, K. Reasons and risk factors for intraoperative conversion from laparoscopic to open cholecystectomy. Surg. Today 2014, 44, 80–83. [Google Scholar] [CrossRef] [PubMed]
- Chen, X.R.; Lou, D.; Li, S.H.; Mao, J.X.; Zhou, Z.D.; Yu, S.M.; Duan, Z.W. Avoiding serious complications in laparoscopic cholecystectomy--lessons learned from an experience of 2428 cases. Ann. Acad. Med. Singap. 1996, 25, 635–639. [Google Scholar] [PubMed]
- Malik, A.M.; Laghari, A.A.; Mallah, Q.; Hashmi, F.; Sheikh, U.; Talpur, K.A. Extra-biliary complications during laparoscopic cholecystectomy: How serious is the problem? J. Minim. Access Surg. 2008, 4, 5–8. [Google Scholar] [CrossRef] [PubMed] [PubMed Central]
- Farooq, U.; Rashid, T.; Naheed, A.; Barkat, N.; Iqbal, M.; Sultana, Q. COMPLICATIONS OF LAPAROSCOPIC CHOLECYSTECTOMY: AN EXPERIENCE OF 247 CASES. J. Ayub. Med. Coll. Abbottabad. 2015, 27, 407–410. [Google Scholar] [PubMed]
- Angelopoulos, S.; Ioannidis, O.; Mantzoros, I.; Pramateftakis, M.G.; Kotidis, E.; Kitsikosta, L.; Kyriakidou, D.; Tsalis, K. Duodenal Injuries During Laparoscopic Cholecystectomy: An Unusual But Serious Complication of a Routine Surgical Procedure. Chirurgia 2019, 114, 518–521. [Google Scholar] [CrossRef] [PubMed]
- Taylor, A.M.; Li, M.K. Laparoscopic management of complications following laparoscopic cholecystectomy. Aust. N. Z. J. Surg. 1994, 64, 827–829. [Google Scholar] [CrossRef] [PubMed]
- Jena, G.P.; Manoharan, G.R. Minimally invasive, finally fatal--duodenal injury complicating laparoscopic cholecystectomy. S. Afr. Med. J. 1998, 88, 732–733. [Google Scholar] [PubMed]
- Cala, Z.; Velnić, D.; Cvitanović, B.; Rasić, Z.; Perko, Z. Laparoscopic cholecystectomy: Results after 1000 procedures. Acta Med. Croat. 1996, 50, 147–149. [Google Scholar] [PubMed]
- Jakhmola, C.K.; Kumar, A.; Arora, N.C.; Chauhan, S.S.; Kukreja, Y. Perseverance pays: A complicated case of post laparoscopic cholecystectomy duodenal injury. Med. J. Armed Forces India 2015, 71, S525–S528. [Google Scholar] [CrossRef] [PubMed] [PubMed Central]
- Modi, M.; Deolekar, S.; Gvalani, A. An option of conservative management of a duodenal injury following laparoscopic cholecystectomy. Case Rep. Surg. 2014, 2014, 398545. [Google Scholar] [CrossRef] [PubMed] [PubMed Central]
- Greenbaum, A.; Parasher, G.; Demarest, G.; Auyang, E. Oesophageal stent placement to treat a massive iatrogenic duodenal defect after laparoscopic cholecystectomy. BMJ Case Rep. 2017, 2017, bcr2016218895. [Google Scholar] [CrossRef] [PubMed] [PubMed Central]
- Avrutis, O.; Meshoulam, J.; Yutkin, O.; Mikchalevski, V.; Haskel, L.; Adler, S.; Durst, A. Brief clinical report: Duodenal laceration presenting as massive hematemesis and multiple intraabdominal abscesses after laparoscopic cholecystectomy. Surg. Laparosc. Endosc. Percutan. Tech. 2001, 11, 330–333. [Google Scholar] [CrossRef] [PubMed]
- Berry, S.M.; Ose, K.J.; Bell, R.H.; Fink, A.S. Thermal injury of the posterior duodenum during laparoscopic cholecystectomy. Surg. Endosc. 1994, 8, 197–200. [Google Scholar] [CrossRef] [PubMed]
- Eden, C.G.; Williams, T.G. Duodenal perforation after laparoscopic cholecystectomy. Endoscopy 1992, 24, 790–792. [Google Scholar] [CrossRef] [PubMed]
- Jing, K.; Shuo-Dong, W. Postoperative Delayed Duodenum Perforation following Elective Laparoscopic Cholecystectomy. Case Rep. Med. 2014, 2014, 823149. [Google Scholar] [CrossRef] [PubMed] [PubMed Central]
- Shakeel, O.; Haroon, M.; Khan, M.I.; Ammar, A.S.; Atiq, M.; Hanif, F. The mystery of post-cholecystectomy persistent bile leak: A case report. J. Pak. Med. Assoc. 2023, 73, 671–673. [Google Scholar] [CrossRef] [PubMed]
- Roviaro, G.C.; Maciocco, M.; Rebuffat, C.; Varoli, F.; Vergani, V.; Rabughino, G.; Scarduelli, A. Complications following cholecystectomy. J. R. Coll. Surg. Edinb. 1997, 42, 324–328. [Google Scholar] [PubMed]
- Isaguirre, J.; Gutiérrez, S.; Ongay, R.; Ravier, R.P. Endoscopic treatment of duodenal perforation following laparoscopic cholecystectomy. Endoscopy 2008, 40, E138. [Google Scholar] [CrossRef] [PubMed]
- Marakis, G.N.; Pavlidis, T.E.; Ballas, K.; Aimoniotou, E.; Psarras, K.; Karvounaris, D.; Rafailidis, S.; Demertzidis, H.; Sakantamis, A.K. Major complications during laparoscopic cholecystectomy. Int. Surg. 2007, 92, 142–146. [Google Scholar] [PubMed]
- Baev, S.; Pozarliev, T.; Todorov, G.T. Laparoscopic cholecystectomy: 700 consecutive cases. Int. Surg. 1995, 80, 296–298. [Google Scholar] [PubMed]
- Alsaadi, D.; Low, D.; Osman, A.; Mcmonagle, M. Use of jejunal serosal patch and pyloric exclusion in the management of complex duodenal injury. Ann. R. Coll. Surg. Engl. 2024, 106, 413–417. [Google Scholar] [CrossRef] [PubMed] [PubMed Central]
- Symeonidis, D.; Samara, A.A.; Diamantis, A.; Sgantzou, I.K.; Floros, T.; Zacharoulis, D. Surgical Repair of Iatrogenic Duodenal Injuries with a Roux-en-Y Duodenojejunostomy: A Physiology-oriented Approach. Chirurgia 2022, 117, 341–348. [Google Scholar] [CrossRef] [PubMed]
- Coccolini, F.; Kobayashi, L.; Kluger, Y.; Moore, E.E.; Ansaloni, L.; Biffl, W.; Leppaniemi, A.; Augustin, G.; Reva, V.; Wani, I.; et al. Duodeno-pancreatic and extrahepatic biliary tree trauma: WSES-AAST guidelines. World J. Emerg. Surg. 2019, 14, 56. [Google Scholar] [CrossRef] [PubMed] [PubMed Central]
- Poultsides, G.A.; Kim, C.J.; Orlando R3rd Peros, G.; Hallisey, M.J.; Vignati, P.V. Angiographic embolization for gastroduodenal hemorrhage: Safety, efficacy, and predictors of outcome. Arch. Surg. 2008, 143, 457–461. [Google Scholar] [CrossRef] [PubMed]
- Kuyumcu, G.; Latich, I.; Hardman, R.L.; Fine, G.C.; Oklu, R.; Quencer, K.B. Gastrodoudenal Embolization: Indications, Technical Pearls, and Outcomes. J. Clin. Med. 2018, 7, 101. [Google Scholar] [CrossRef] [PubMed] [PubMed Central]
- Boll, J.M.; Sharp, K.W.; Garrard, C.L.; Naslund, T.C.; Curci, J.A.; Valentine, R.J. Does Management of True Aneurysms of Peripancreatic Arteries Require Repair of Associated Celiac Artery Stenosis? J. Am. Coll. Surg. 2017, 224, 199–203. [Google Scholar] [CrossRef] [PubMed]
- Ahmed, G.; Abid, M.; Hosmane, S.; Mathew, S. Unusual case of upper gastrointestinal haemorrhage secondary to a ruptured gastroduodenal artery pseudoaneurysm: Case presentation and literature review. BMJ Case Rep. 2020, 13, e236463. [Google Scholar] [CrossRef] [PubMed] [PubMed Central]
- Park, Y.; Kim, Y.; Lee, J.; Cho, B.S.; Lee, J.Y. Pancreaticoduodenal arterial hemorrhage following blunt abdominal trauma treated with transcatheter arterial embolization: Two case reports. Medicine 2020, 99, e22531, Erratum in Medicine 2023, 102, e32716. https://doi.org/10.1097/MD.0000000000032716. [Google Scholar] [CrossRef] [PubMed] [PubMed Central]





| Day | Event | Procedure | ||
|---|---|---|---|---|
| Post-op after LC | Hospitalization at referral center | Post-op after damage control surgery | ||
| 6th | - | - | Bilious drain outflow Transfer to referral center |
|
| 7th | 2nd | - | 1st bleeding episode |
|
| 11th | 6th | - | 2nd bleeding episode |
|
| 14th | 8th | - | 3rd bleeding episode |
|
| 15th | 9th | 1st | - |
|
| 24th | 18th | 10th |
| |
| 26th | 20th | 12th | Bilious surgical drain outflow Null Kehr’s T-tube outflow | - |
| 28th | 22nd | 14th | Fever (38.5 °C) |
|
| 37th | 31st | 23rd | Fever-Fungemia |
|
| 67th | 61st | 53rd | - |
|
| 3 months | 1st of second hospitalization | - | Pre-renal acute renal injury |
|
| 2nd | - | - |
| |
| 1 year | - | - | - |
|
| Type of Procedure | Number of Patients | References | Death | Further Procedure Needed | Type |
|---|---|---|---|---|---|
| Surgical | |||||
| Primary Repair | 42 | [12,15,16,17,19,20,22,23,24,25,26,27,28,29,36,37,38,39,42,48,50], our | 5 [12,17,18,19,22,38] | 3 [18,42], our | |
| Omental patch | 5 | [16,17,36,42] , Our | 1 [17] | 2 [42], our |
|
| Over t-tube | 3 | [18,23] | 0 | 0 | |
| Tube duodenostomy | 2 | [23,40] | 1 [23] | 2 [23,40] | |
| Gastric resection | 3 | [30,43] | 1 [30] | 0 | |
| Pyloric exclusion | 1 | [44] | 0 | 0 | |
| Omental patch | 1 | [45] | 0 | 0 | |
| Serosal patch | 1 | [30] | 1 [30] | 0 | |
| Duodenopancreatectomy | 1 | [23] | 0 | 0 | |
| Roux-en-Y duodenojejunostomy | 1 | [23] | 0 | 0 | |
| Conservative | 6 | [16,30,36,41,46,47] | 1 [30] | 0 | |
| Endoscopic | 2 | [31,49] | 0 | 0 |
Disclaimer/Publisher’s Note: The statements, opinions and data contained in all publications are solely those of the individual author(s) and contributor(s) and not of MDPI and/or the editor(s). MDPI and/or the editor(s) disclaim responsibility for any injury to people or property resulting from any ideas, methods, instructions or products referred to in the content. |
© 2026 by the authors. Licensee MDPI, Basel, Switzerland. This article is an open access article distributed under the terms and conditions of the Creative Commons Attribution (CC BY) license.
Share and Cite
Tomara, N.K.; Doudakmanis, C.; Prevezanos, D.; Lymperis, I.; Kykalos, S.; Tsourouflis, G.; Vergadis, C.; Nikiteas, N.I.; Dimitroulis, D. Recanalization of the Duodenum Following a High-Grade Post-Laparoscopic Cholecystectomy Duodenal Injury: Personalized Approach Presentation and Systematic Review of Management Options. J. Pers. Med. 2026, 16, 131. https://doi.org/10.3390/jpm16030131
Tomara NK, Doudakmanis C, Prevezanos D, Lymperis I, Kykalos S, Tsourouflis G, Vergadis C, Nikiteas NI, Dimitroulis D. Recanalization of the Duodenum Following a High-Grade Post-Laparoscopic Cholecystectomy Duodenal Injury: Personalized Approach Presentation and Systematic Review of Management Options. Journal of Personalized Medicine. 2026; 16(3):131. https://doi.org/10.3390/jpm16030131
Chicago/Turabian StyleTomara, Nefeli K., Christos Doudakmanis, Dionysios Prevezanos, Ioannis Lymperis, Stylianos Kykalos, Gerasimos Tsourouflis, Chrysovalantis Vergadis, Nikolaos I. Nikiteas, and Dimitrios Dimitroulis. 2026. "Recanalization of the Duodenum Following a High-Grade Post-Laparoscopic Cholecystectomy Duodenal Injury: Personalized Approach Presentation and Systematic Review of Management Options" Journal of Personalized Medicine 16, no. 3: 131. https://doi.org/10.3390/jpm16030131
APA StyleTomara, N. K., Doudakmanis, C., Prevezanos, D., Lymperis, I., Kykalos, S., Tsourouflis, G., Vergadis, C., Nikiteas, N. I., & Dimitroulis, D. (2026). Recanalization of the Duodenum Following a High-Grade Post-Laparoscopic Cholecystectomy Duodenal Injury: Personalized Approach Presentation and Systematic Review of Management Options. Journal of Personalized Medicine, 16(3), 131. https://doi.org/10.3390/jpm16030131

