Prosthetic Joint Infections in Trapeziometacarpal Arthroplasty: A Comprehensive Systematic Review
Abstract
1. Introduction
2. Materials and Methods
2.1. Search Strategy
2.2. Inclusion and Exclusion Criteria
2.3. Data Extraction and Analysis
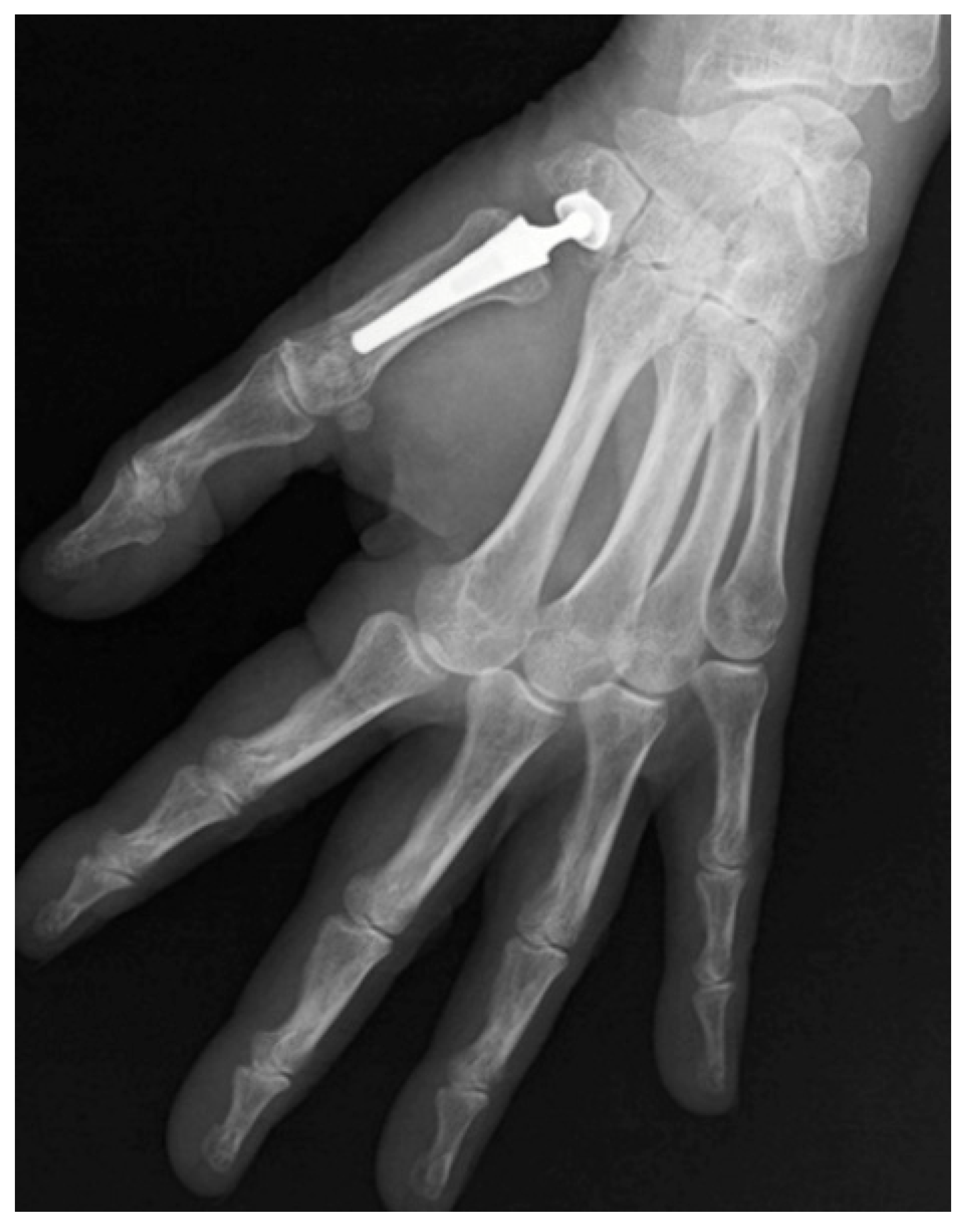
3. Results
3.1. Search and Literature Selection
3.2. Study Characteristics and Demographics
3.3. Type of Prosthesis
3.4. Infection Rate
4. Discussion
Study Limitations
5. Conclusions
Supplementary Materials
Author Contributions
Funding
Institutional Review Board Statement
Informed Consent Statement
Data Availability Statement
Conflicts of Interest
Abbreviations
| TMC | Trapeziometacarpal |
| CMC | Carpometacarpal |
| LRTI | Ligament Reconstruction and Tendon Interposition |
| RCT | Randomized Controlled Trial |
| SSI | Surgical Site Infection |
| CDC | Centers for Disease Control and Prevention |
| CRP | C-Reactive Protein |
| ESR | Erythrocyte Sedimentation Rate |
| WBC | White Blood Cell count |
| PRISMA | Preferred Reporting Items for Systematic Reviews and Meta-Analyses |
| PROSPERO | International Prospective Register of Systematic Reviews |
| SPSS | Statistical Package for the Social Sciences |
References
- Haara, M.M.; Heliövaara, M.; Kröger, H.; Arokoski, J.P.; Manninen, P.; Kärkkäinen, A.; Knekt, P.; Impivaara, O.; Aromaa, A. Osteoarthritis in the carpometacarpal joint of the thumb. Prevalence and associations with disability and mortality. J. Bone Jt. Surg. Am. 2004, 86, 1452–1457. [Google Scholar] [CrossRef]
- Baker, R.H.J.; Al-Shukri, J.; Davis, T.R.C. Evidence-based medicine: Thumb basal joint arthritis. Plast. Reconstr. Surg. 2017, 139, 256e–266e. [Google Scholar] [CrossRef]
- Gillis, J.; Calder, K.; Williams, J. Review of thumb carpometacarpal arthritis classification treatment and outcomes. Can. J. Plast. Surg. 2011, 19, 134–138. [Google Scholar] [CrossRef]
- Van Heest, A.E.; Kallemeier, P. Thumb carpal metacarpal arthritis. J. Am. Acad. Orthop. Surg. 2008, 16, 140–151. [Google Scholar] [CrossRef]
- Goubau, J.F.; Goorens, C.K.; Van Hoonacker, P.; Berghs, B.; Kerckhove, D.; Scheerlinck, T. Clinical and radiological outcomes of the Ivory arthroplasty for trapeziometacarpal joint osteoarthritis with a minimum of 5 years of follow-up a prospective single-centre cohort study. J. Hand Surg. Eur. 2013, 38, 866–874. [Google Scholar] [CrossRef] [PubMed]
- MacDermid, J.C.; Roth, J.H.; Rampersaud, Y.R.; Bain, G.I. Trapezial arthroplasty with silicone rubber implantation for advanced osteoarthritis of the trapeziometacarpal joint of the thumb. Can. J. Surg. 2003, 46, 103–110. [Google Scholar] [PubMed]
- De la Caffiniere, J.Y.; Aucouturier, P. Trapezio-metacarpal arthroplasty by total prosthesis. Hand 1979, 11, 41–46. [Google Scholar] [CrossRef] [PubMed]
- Cebrian-Gomez, R.; Lizaur-Utrilla, A.; Sebastia-Forcada, E.; Lopez-Prats, F.A. Outcomes of cementless joint prosthesis versus tendon interposition for trapeziometacarpal osteoarthritis a prospective study. J. Hand Surg. Eur. 2019, 44, 151–158. [Google Scholar] [CrossRef]
- Degeorge, B.; Dagneaux, L.; Andrin, J.; Lazerges, C.; Coulet, B.; Chammas, M. Do trapeziometacarpal prosthesis provide better metacarpophalangeal stability than trapeziectomy and ligamentoplasty. Orthop. Traumatol. Surg. Res. 2018, 104, 1095–1100. [Google Scholar] [CrossRef]
- Page, M.J.; McKenzie, J.E.; Bossuyt, P.M.; Boutron, I.; Hoffmann, T.C.; Mulrow, C.D.; Shamseer, L.; Tetzlaff, J.M.; Akl, E.A.; Brennan, S.E.; et al. The PRISMA 2020 statement: An updated guideline for reporting systematic reviews. BMJ 2021, 372, n71. [Google Scholar] [CrossRef] [PubMed] [PubMed Central]
- Andrzejewski, A.; Ledoux, P. Maïa trapeziometacarpal joint arthroplasty survival and clinical outcomes at 5 years follow-up. Hand Surg. Rehabil. 2019, 38, 169–173. [Google Scholar] [CrossRef]
- Bricout, M.; Rezzouk, J. Complications and failures of the trapeziometacarpal Maïa prosthesis a series of 156 cases. Hand Surg. Rehabil. 2016, 35, 190–198. [Google Scholar] [CrossRef]
- Chiche, L.; Chammas, P.E.; Vial D’Allais, P.; Lazerges, C.; Coulet, B.; Chammas, M. Long-term survival analysis of 191 Maïa prostheses for trapeziometacarpal arthritis. J. Hand Surg. Eur. 2023, 48, 101–107. [Google Scholar] [CrossRef] [PubMed]
- Vanmierlo, B.; Buitenweg, J.; Vanmierlo, T.; Van Royen, K.; Bonte, F.; Goubau, J. Ivory arthroplasty for trapeziometacarpal joint arthritis in men analysis of clinical outcome and implant survival. Hand 2022, 17, 440–446. [Google Scholar] [CrossRef]
- Tchurukdichian, A.; Delgove, A.; Essid, L.; Moris, V.; Di Summa, P.G.; Camuzard, O.; Ornetti, P.; Zwetyenga, N.; Guillier, D. Time to return to work after total trapeziometacarpal prosthesis. Hand Surg. Rehabil. 2023, 42, 347–353. [Google Scholar] [CrossRef] [PubMed]
- Gonzalez-Espino, P.; Pottier, M.; Detrembleur, C.; Goffin, D. Touch double mobility arthroplasty for trapeziometacarpal osteoarthritis outcomes for 92 prostheses. Hand Surg. Rehabil. 2021, 40, 760–764. [Google Scholar] [CrossRef]
- Krukhaug, Y.; Lie, S.A.; Havelin, L.I.; Furnes, O.; Hove, L.M.; Hallan, G. The results of 479 thumb carpometacarpal joint replacements reported in the Norwegian Arthroplasty Register. J. Hand Surg. Eur. 2014, 39, 819–825. [Google Scholar] [CrossRef] [PubMed]
- Dreant, N.; Poumellec, M.A. Total thumb carpometacarpal joint arthroplasty a retrospective functional study of 28 Moovis prostheses. Hand 2019, 14, 59–65. [Google Scholar] [CrossRef]
- Froschauer, S.M.; Holzbauer, M.; Hager, D.; Schnelzer, R.; Kwasny, O.; Duscher, D. Elektra prosthesis versus resection-suspension arthroplasty for thumb carpometacarpal osteoarthritis a long-term cohort study. J. Hand Surg. Eur. 2020, 45, 452–457. [Google Scholar] [CrossRef]
- Pritchett, J.W.; Habryl, L.S. A promising thumb basal joint hemiarthroplasty for treatment of trapeziometacarpal osteoarthritis. Clin. Orthop. Relat. Res. 2012, 470, 2756–2763. [Google Scholar] [CrossRef]
- Buffet, A.; Lucot-Royer, L.; Pichonnat, M.; Menu, G.; De Bie, A.; Obert, L.; Loisel, F. ISIS trapeziometacarpal arthroplasty: What are the outcomes in male patients. Hand Surg. Rehabil. 2022, 41, 463–469. [Google Scholar] [CrossRef]
- Fauquette, P.J.; Deken-Delannoy, V.; Chantelot, C.; Saab, M. The ISIS prosthesis in 77 cases of trapeziometacarpal arthritis outcomes and survival at a minimum follow-up of 5 years. J. Hand Surg. Eur. 2023, 48, 108–114. [Google Scholar] [CrossRef]
- Falkner, F.; Tümkaya, A.M.; Thomas, B.; Panzram, B.; Bickert, B.; Harhaus, L. Dual mobility prosthesis for trapeziometacarpal osteoarthritis results from a prospective study of 55 prostheses. J. Hand Surg. Eur. 2023, 48, 566–574. [Google Scholar] [CrossRef]
- Toffoli, A.; Degeorge, B.; Cloquell, Y.; Teissier, P.; Teissier, J. Maïa trapeziometacarpal joint arthroplasty clinical and radiological outcomes of 76 patients with more than 10 years of follow-up. J. Hand Surg. Am. 2024, 49, 846–856. [Google Scholar] [CrossRef]
- Toffoli, A.; Teissier, J. Maïa trapeziometacarpal joint arthroplasty clinical and radiological outcomes of 80 patients with more than 6 years of follow-up. J. Hand Surg. Am. 2017, 42, 838.e1–838.e8. [Google Scholar] [CrossRef]
- Vissers, G.; Goorens, C.K.; Vanmierlo, B.; Bonte, F.; Mermuys, K.; Fils, J.F.; Goubau, J.F. Ivory arthroplasty for trapeziometacarpal osteoarthritis 10-year follow-up. J. Hand Surg. Eur. 2019, 44, 138–145. [Google Scholar] [CrossRef]
- Martins, A.; Charbonnel, S.; Lecomte, F.; Athlani, L. The Moovis implant for trapeziometacarpal osteoarthritis results after 2 to 6 years. J. Hand Surg. Eur. 2020, 45, 477–482. [Google Scholar] [CrossRef]
- Frey, P.E.; Bühner, C.; Falkner, F.; Harhaus, L.; Panzram, B. Mid- and long-term clinical results of the Elektra and Moovis prosthesis for trapeziometacarpal joint replacement. BMC Musculoskelet. Disord. 2024, 25, 332. [Google Scholar] [CrossRef]
- Lussiez, B.; Falaise, C.; Ledoux, P. Dual mobility trapeziometacarpal prosthesis a prospective study of 107 cases with a follow-up of more than 3 years. J. Hand Surg. Eur. 2021, 46, 961–967. [Google Scholar] [CrossRef]
- Tchurukdichian, A.; Guillier, D.; Moris, V.; See, L.A.; Macheboeuf, Y. Results of 110 Ivory prostheses for trapeziometacarpal osteoarthritis with a minimum follow-up of 10 years. J. Hand Surg. Eur. 2020, 45, 458–464. [Google Scholar] [CrossRef]
- Martin-Ferrero, M.; Simón-Pérez, C.; Coco-Martín, M.B.; Vega-Castrillo, A.; Aguado-Hernández, H.; Mayo-Iscar, A. Trapeziometacarpal total joint arthroplasty for osteoarthritis 199 patients with a minimum of 10 years follow-up. J. Hand Surg. Eur. 2020, 45, 443–451. [Google Scholar] [CrossRef]
- Dehl, M.; Chelli, M.; Lippmann, S.; Benaissa, S.; Rotari, V.; Moughabghab, M. Results of 115 Rubis II reverse thumb carpometacarpal joint prostheses with a mean follow-up of 10 years. J. Hand Surg. Eur. 2017, 42, 592–598. [Google Scholar] [CrossRef]
- Regnard, P.J. Electra trapezio metacarpal prosthesis results of the first 100 cases. J. Hand Surg. Br. 2006, 31, 621–628. [Google Scholar] [CrossRef]
- Hansen, T.B.; Snerum, L. Elektra trapeziometacarpal prosthesis for treatment of osteoarthrosis of the basal joint of the thumb. Scand. J. Plast. Reconstr. Surg. Hand Surg. 2008, 42, 316–319. [Google Scholar] [CrossRef]
- Hansen, T.B.; Vainorius, D. High loosening rate of the Moje Acamo prosthesis for treating osteoarthritis of the trapeziometacarpal joint. J. Hand Surg. Eur. 2008, 33, 571–574. [Google Scholar] [CrossRef] [PubMed]
- Kollig, E.; Weber, W.; Bieler, D.; Franke, A. Failure of an uncemented thumb carpometacarpal joint ceramic prosthesis. J. Hand Surg. Eur. 2017, 42, 599–604. [Google Scholar] [CrossRef]
- Thorkildsen, R.D.; Røkkum, M. Trapeziectomy with LRTI or joint replacement for CMC1 arthritis a randomised controlled trial. J. Plast. Surg. Hand Surg. 2019, 53, 361–369. [Google Scholar] [CrossRef]
- Ten Brinke, B.; Mathijssen, N.M.C.; Blom, I.F.; Koster, L.A.; Kraan, G.A. A radiostereometric and clinical long-term follow-up study of the surface replacement trapeziometacarpal joint prosthesis. BMC Musculoskelet. Disord. 2021, 22, 148. [Google Scholar] [CrossRef] [PubMed]
- Semere, A.; Vuillerme, N.; Corcella, D.; Forli, A.; Moutet, F. Results with the Roseland HAC trapeziometacarpal prosthesis after more than 10 years. Chir. Main 2015, 34, 59–66. [Google Scholar] [CrossRef] [PubMed]
- Klim, S.M.; Glehr, R.; Graef, A.; Amerstorfer, F.; Leithner, A.; Glehr, M. Total joint arthroplasty versus resection-interposition arthroplasty for thumb carpometacarpal arthritis a randomized controlled trial. Acta Orthop. 2023, 94, 224–229. [Google Scholar] [CrossRef]
- Klahn, A.; Nygaard, M.; Gvozdenovic, R.; Boeckstyns, M.E. Elektra prosthesis for trapeziometacarpal osteoarthritis a follow-up of 39 consecutive cases. J. Hand Surg. Eur. 2012, 37, 605–609. [Google Scholar] [CrossRef]
- Tchurukdichian, A.; Gerenton, B.; Moris, V.; See, L.A.; Stivala, A.; Guillier, D. Outcomes of double-mobility prosthesis in trapeziometacarpal joint arthritis with a minimal 3 years of follow-up an advantage for implant stability. Hand 2021, 16, 368–374. [Google Scholar] [CrossRef]
- Froschauer, S.M.; Holzbauer, M.; Schnelzer, R.F.; Behawy, M.; Kwasny, O.; Aitzetmüller, M.M.; Machens, H.G.; Duscher, D. Total arthroplasty with Ivory prosthesis versus resection-suspension arthroplasty a retrospective cohort study on 82 carpometacarpal-I osteoarthritis patients over 4 years. Eur. J. Med. Res. 2020, 25, 13. [Google Scholar] [CrossRef]
- Pérez-Ubeda, M.J.; García-López, A.; Marco Martinez, F.; Junyent Vilanova, E.; Molina Martos, M.; López-Duran Stern, L. Results of the cemented SR trapeziometacarpal prosthesis in the treatment of thumb carpometacarpal osteoarthritis. J. Hand Surg. Am. 2003, 28, 917–925. [Google Scholar] [CrossRef] [PubMed]
- Lemoine, S.; Wavreille, G.; Alnot, J.Y.; Fontaine, C.; Chantelot, C. Second generation Guepar total arthroplasty of the thumb basal joint 50 months follow-up in 84 cases. Orthop. Traumatol. Surg. Res. 2009, 95, 63–69. [Google Scholar] [CrossRef] [PubMed]
- Pendse, A.; Nisar, A.; Shah, S.Z.; Bhosale, A.; Freeman, J.V.; Chakrabarti, I. Surface replacement trapeziometacarpal joint arthroplasty early results. J. Hand Surg. Eur. 2009, 34, 748–757. [Google Scholar] [CrossRef]
- Ulrich-Vinther, M.; Puggaard, H.; Lange, B. Prospective 1-year follow-up study comparing joint prosthesis with tendon interposition arthroplasty in treatment of trapeziometacarpal osteoarthritis. J. Hand Surg. Am. 2008, 33, 1369–1377. [Google Scholar] [CrossRef] [PubMed]
- Martin Ferrero, M. Ten-year long-term results of total joint arthroplasties with Arpe implant in the treatment of trapeziometacarpal osteoarthritis. J. Hand Surg. Eur. 2014, 39, 826–832. [Google Scholar] [CrossRef]
- Kaszap, B.; Daecke, W.; Jung, M. High frequency failure of the Moje thumb carpometacarpal joint arthroplasty. J. Hand Surg. Eur. 2012, 37, 610–616. [Google Scholar] [CrossRef]
- Hariri, A.; Masmejean, E.H. Trapeziometacarpal joint osteoarthritis after proximal row carpectomy treatment with a total joint arthroplasty. Chir. Main 2011, 30, 352–355. [Google Scholar] [CrossRef]
- Robles-Molina, M.J.; López-Caba, F.; Gómez-Sánchez, R.C.; Cárdenas-Grande, E.; Pajares-López, M.; Hernández-Cortés, P. Trapeziectomy with ligament reconstruction and tendon interposition versus a trapeziometacarpal prosthesis for the treatment of thumb basal joint osteoarthritis. Orthopedics 2017, 40, e681–e686. [Google Scholar] [CrossRef] [PubMed]
- Barrera-Ochoa, S.; Mendez-Sanchez, G.; Mir-Bullo, X. Primary trapeziometacarpal prosthesis for complicated fracture of the base of the thumb metacarpal. J. Hand Surg. Eur. 2017, 42, 972–974. [Google Scholar] [CrossRef]
- Rein, S.; Geister, D.; Kremer, T. Conjoined free fibula transplantation and first carpometacarpal joint prosthesis for functional thumb reconstruction a case report. Ann. Plast. Surg. 2024, 92, 75–79. [Google Scholar] [CrossRef]
- Dumartinet-Gibaud, R.; Bigorre, N.; Raimbeau, G.; Jeudy, J.; Saint Cast, Y. Arpe total joint arthroplasty for trapeziometacarpal osteoarthritis 80 thumbs in 63 patients with a minimum of 10 years follow-up. J. Hand Surg. Eur. 2020, 45, 465–469. [Google Scholar] [CrossRef]
- Hernández-Cortés, P.; Pajares-López, M.; Robles-Molina, M.J.; Gómez-Sánchez, R.; Toledo-Romero, M.A.; De Torres-Urrea, J. Two-year outcomes of Elektra prosthesis for trapeziometacarpal osteoarthritis a longitudinal cohort study. J. Hand Surg. Eur. 2012, 37, 130–137. [Google Scholar] [CrossRef]
- De Smet, A.; Vanhove, W.; Benis, S.; Verstraete, M.; Hollevoet, N. Ten-year outcomes of the Arpe prosthesis for the treatment of osteoarthritis of the trapeziometacarpal joint. Acta Orthop. Belg 2020, 86, 131–136. [Google Scholar] [PubMed]
- Badia, A.; Sambandam, S.N. Total joint arthroplasty in the treatment of advanced stages of thumb carpometacarpal joint osteoarthritis. J. Hand Surg. Am. 2006, 31, 1605–1614. [Google Scholar] [CrossRef]
- Thillemann, J.K.; Thillemann, T.M.; Munk, B.; Krøner, K. High revision rates with the metal-on-metal Motec carpometacarpal joint prosthesis. J. Hand Surg. Eur. 2016, 41, 322–327. [Google Scholar] [CrossRef] [PubMed]
- Schmidt, I. Thumb CMC total exchange arthroplasty with the Arpe implant. Chir. Main 2014, 33, 295–298. [Google Scholar] [CrossRef]
- Vandenberghe, L.; Degreef, I.; Didden, K.; Fiews, S.; De Smet, L. Long term outcome of trapeziectomy with ligament reconstruction tendon interposition versus thumb basal joint prosthesis. J. Hand Surg. Eur. 2013, 38, 839–843. [Google Scholar] [CrossRef]
- Gómez-Garrido, D.; Triviño-Mayoral, V.; Delgado-Alcala, V.; Cervera-Irimia, J.; Medina-Lorca, M.; Sánchez-Sánchez, F.; Ibáñez-Vicente, C.; Pérez-Gurbindo, I.; Meccariello, L.; Rollo, G.; et al. Five year long term results of total joint arthroplasties in the treatment of trapeziometacarpal osteoarthritis. Acta Biomed. 2019, 90, 451–456. [Google Scholar] [CrossRef] [PubMed]
- Cootjans, K.; Vanhaecke, J.; Dezillie, M.; Barth, J.; Pottel, H.; Stockmans, F. Joint survival analysis and clinical outcome of total joint arthroplasties with the Arpe implant in the treatment of trapeziometacarpal osteoarthritis with a minimal follow-up of 5 years. J. Hand Surg. Am. 2017, 42, 630–638. [Google Scholar] [CrossRef]
- Thorkildsen, R.D.; Johansson, C.B.; Hogmalm, J.; Johansson, P.H.; Røkkum, M. Early cup loosening after metal-on-metal total joint replacement of the trapeziometacarpal joint: A retrieval study. J. Hand Surg. Am. 2020, 45, 213–222, Erratum in J. Hand Surg. Am. 2020, 45, 548. https://doi.org/10.1016/j.jhsa.2020.03.001. [Google Scholar] [CrossRef] [PubMed]
- Van Royen, K.; Goubau, J.; Goorens, C.K. Traumatic intraprosthetic dislocation of a dual mobility trapeziometacarpal joint prosthesis a case report. J. Hand Surg. Eur. 2021, 46, 193–195. [Google Scholar] [CrossRef]
- Duché, R.; Trabelsi, A. The concept of first metacarpal M1-M2 arch new interest in trapeziometacarpal prostheses. Hand Surg. Rehabil. 2022, 41, 163–170. [Google Scholar] [CrossRef]
- De Jong, T.R.; Bonhof-Jansen, E.E.D.J.; Brink, S.M.; De Wildt, R.P.; Van Uchelen, J.H.; Werker, P.M.N. Total joint arthroplasty versus trapeziectomy in the treatment of trapeziometacarpal joint arthritis a randomized controlled trial. J. Hand Surg. Eur. 2023, 48, 884–894. [Google Scholar] [CrossRef]
- Caekebeke, P.; Duerinckx, J. Can surgical guidelines minimize complications after Maïa trapeziometacarpal joint arthroplasty with unconstrained cups. J. Hand Surg. Eur. 2018, 43, 420–425. [Google Scholar] [CrossRef]
- Johnston, P.; Getgood, A.; Larson, D.; Chojnowski, A.J.; Chakrabarti, A.J.; Chapman, P.G. De la Caffinière thumb trapeziometacarpal joint arthroplasty 16–26 year follow-up. J. Hand Surg. Eur. 2012, 37, 621–624. [Google Scholar] [CrossRef] [PubMed]
- Remy, S.; Detrembleur, C.; Libouton, X.; Bonnelance, M.; Barbier, O. Trapeziometacarpal prosthesis: An updated systematic review. Hand Surg. Rehabil. 2020, 39, 492–501. [Google Scholar] [CrossRef] [PubMed]
- Gundlach, B.K.; Sasor, S.E.; Chung, K.C. Hand infections: Epidemiology and public health burden. Hand Clin. 2020, 36, 275–283. [Google Scholar] [CrossRef]
- Horan, T.C.; Andrus, M.; Dudeck, M.A. CDC/NHSN surveillance definition of health care-associated infection and criteria for specific types of infections in the acute care setting. Am. J. Infect. Control 2008, 36, 309–332. [Google Scholar] [CrossRef] [PubMed]
- Blom, A.W.; Beswick, A.D.; Burston, A.; Carroll, F.E.; Garfield, K.; Gooberman-Hill, R.; Harris, S.; Kunutsor, S.K.; Lane, A.; Lenguerrand, E.; et al. Infection After Total Joint Replacement of the Hip and Knee: Research Programme Including the INFORM RCT; National Institute for Health and Care Research: Southampton, UK, 2022. [Google Scholar] [PubMed]
- Lerebours, A.; Marin, F.; Bouvier, S.; Egles, C.; Rassineux, A.; Masquelet, A.C. Trends in trapeziometacarpal implant design a systematic survey based on patents and administrative databases. J. Hand Surg. Am. 2020, 45, 223–238. [Google Scholar] [CrossRef] [PubMed]
- Triantafyllopoulos, G.K.; Soranoglou, V.G.; Memtsoudis, S.G.; Sculco, T.P.; Poultsides, L.A. Rate and risk factors for periprosthetic joint infection among 36494 primary total hip arthroplasties. J. Arthroplasty 2018, 33, 1166–1170. [Google Scholar] [CrossRef]
- Kistler, J.M.; Munn, M.; McEntee, R.; Ilyas, A.M. Antibiotic prophylaxis in clean hand surgery a prospective cohort analysis of major and minor complications. J. Hand Surg. Glob. Online 2023, 5, 421–425. [Google Scholar] [CrossRef] [PubMed]
- Parvizi, J.; Tan, T.L.; Goswami, K.; Higuera, C.; Della Valle, C.; Chen, A.F.; Shohat, N. The 2018 definition of periprosthetic hip and knee infection an evidence-based and validated criteria. J. Arthroplasty 2018, 33, 1309–1314.e2. [Google Scholar] [CrossRef]
- Ferrari, B.; Steffee, A.D. Trapeziometacarpal total joint replacement using the Steffee prosthesis. J. Bone Jt. Surg. Am. 1986, 68, 1177–1184. [Google Scholar] [CrossRef]
- Chammas, P.E.; Teissier, J.; Chiche, L.; Lazerges, C.; Coulet, B.; Chammas, M. Revision of trapeziometacarpal arthroplasty. Hand Surg. Rehabil. 2025, 44, 102066. [Google Scholar] [CrossRef]



| Inclusion | Exclusion | |
|---|---|---|
| Population | Patients with trapeziometacarpal (TMC) joint prostheses | Studies focusing on other inflammatory conditions (e.g., tendinitis) |
| Intervention | Any surgical treatment for rhizarthrosis involving prostheses | Non-surgical interventions or unrelated procedures |
| Design | RCTs, clinical trials, case series with ≥10 patients, and case reports or case series with <10 patients if reporting PJI | Systematic reviews, meta-analyses, in vitro/animal/cadaver studies, technical notes, commentaries |
| Other | English, Spanish, French, Portuguese and Italian | Not in English, Spanish, French, Portuguese and Italian |
| Ref. | Year of Publication | Type of Studies | N° Patients | Age | N° Male | N° Female |
|---|---|---|---|---|---|---|
| Andrzejewski A [11] | 2019 | Retrospective | 93 | 59.5 | 20 | 73 |
| Bricout M [12] | 2016 | Retrospective | 139 | 62.7 | 20 | 119 |
| Chiche L [13] | 2023 | Retrospective | 157 | 65 | 25 | 166 |
| Degeorge B [9] | 2018 | Retrospective | 41 | 66.3 | 3 | 38 |
| Vanmierlo B [14] | 2022 | Retrospective | 46 | 67.1 | 17 | 29 |
| Tchurukdichian A [15] | 2023 | Retrospective | 211 | 54.7 | 44 | 167 |
| Gonzalez-Espino P [16] | 2021 | Retrospective | 92 | 62.64 | 8 | 84 |
| Krukhaug Y [17] | 2014 | Retrospective | 82 | 62.5 | 29 | 53 |
| Dreant N [18] | 2019 | Retrospective | 25 | 63.4 | 2 | 23 |
| Froschauer SM [19] | 2020 | Retrospective | 29 | 54 | 3 | 26 |
| Pritchett JW [20] | 2012 | Prospective | 124 | 63 | 31 | 107 |
| Buffet A [21] | 2022 | Retrospective | 19 | 69 | 19 | 0 |
| Fauquette PJ [22] | 2023 | Retrospective | 66 | 59.3 | 6 | 60 |
| Falkner F [23] | 2023 | Prospective | 52 | 58 | 14 | 38 |
| Toffoli A [24] | 2024 | Retrospective | 76 | 67 | 10 | 66 |
| Toffoli A [25] | 2017 | Retrospective | 80 | 68 | 11 | 69 |
| Vissers G [26] | 2019 | Prospective | 24 | 71 | 2 | 22 |
| Martins A [27] | 2020 | Retrospective | 46 | 68 | 7 | 39 |
| Frey PE [28] | 2024 | Retrospective | 26 | 64 | 9 | 22 |
| Lussiez B [29] | 2021 | Prospective | 107 | 64.5 | 21 | 86 |
| Tchurukdichian A [30] | 2020 | Prospective | 95 | 61 | 13 | 82 |
| Martin-Ferrero M [31] | 2020 | Prospective | 199 | 59 | 10 | 188 |
| Dehl M [32] | 2017 | Retrospective | 84 | 71 | 6 | 78 |
| Regnard PJ [33] | 2006 | Retrospective | 100 | 59 | 15 | 85 |
| Hansen TB [34] | 2008 | NS | 9 | 58.3 | 3 | 7 |
| Hansen TB [35] | 2008 | NS | 16 | 54 | 1 | 15 |
| Kollig E [36] | 2017 | Retrospective | 26 | 63 | NS | NS |
| Thorkildsen RD [37] | 2019 | Retrospective | 20 | 64 | 6 | 14 |
| Ten Brinke B [38] | 2021 | Prospective | 10 | 72 | 1 | 9 |
| Semere A [39] | 2015 | Prospective | 51 | 58.2 | 3 | 48 |
| Klim SM [40] | 2023 | Prospective | 82 | 56 | 13 | 69 |
| Klahn A [41] | 2012 | Prospective | 37 | 56.5 | 5 | 32 |
| Tchurukdichian A [42] | 2021 | Prospective | 179 | 66 | 37 | 142 |
| Froschauer SM [43] | 2020 | Retrospective | 29 | 54.4 | 5 | 24 |
| Pérez-Ubeda MJ [44] | 2003 | Prospective | 19 | 65 | 2 | 17 |
| Lemoine S [45] | 2009 | Retrospective | 68 | 61 | 13 | 55 |
| Pendse A [46] | 2009 | Retrospective | 50 | 64.5 | 14 | 36 |
| Ulrich-Vinther M [47] | 2008 | Prospective | 42 | 58 | NS | NS |
| Martin-Ferrero M [48] | 2014 | Prospective | 60 | 58 | 3 | 57 |
| MacDermid JC [6] | 2003 | Retrospective | 25 | 64 | 4 | 21 |
| Kaszap B [49] | 2012 | Retrospective | 12 | 64 | 3 | 9 |
| Hariri A [50] | 2011 | Retrospective | 1 | 58 | 0 | 1 |
| Robles-Molina MJ [51] | 2017 | Retrospective | 31 | 56.37 | 4 | 27 |
| Barrera-Ochoa S [52] | 2017 | Case report | 1 | 69 | 0 | 1 |
| Rein S [53] | 2024 | Case report | 1 | 58 | 0 | 1 |
| Dumartinet-Gibaud R [54] | 2020 | Retrospective | 63 | 59 | 8 | 55 |
| Hernández-Cortés P [55] | 2012 | Retrospective | 19 | 57 | 0 | 19 |
| Goubau JF [5] | 2013 | Prospective | 22 | 66 | 1 | 21 |
| De Smet A [56] | 2020 | Prospective | 57 | 56 | 12 | 61 |
| Badia A [57] | 2006 | Prospective | 25 | 71 | 1 | 24 |
| Thillemann JK [58] | 2016 | Retrospective | 40 | 58 | 8 | 32 |
| Schmidt I [59] | 2014 | Case report | 1 | 64 | 0 | 1 |
| Vandenberghe L [60] | 2013 | Retrospective | 90 | 56 | 4 | 86 |
| Gómez-Garrido D [61] | 2019 | Retrospective | 137 | 61.6 | 35 | 102 |
| Cootjans K [62] | 2017 | Prospective | 156 | 58 | 15 | 101 |
| Thorkildsen RD [63] | 2020 | Retrospective | 5 | 62 | 0 | 5 |
| Van Royen K [64] | 2021 | Case report | 1 | 57 | 0 | 1 |
| Duché R [65] | 2022 | Retrospective | NS | / | NS | NS |
| de Jong TR [66] | 2023 | Retrospective | 29 | 59 | 0 | 29 |
| Cebrian-Gomez R [8] | 2019 | Prospective | 84 | 60.4 | 7 | 77 |
| Caekebeke P [67] | 2018 | Retrospective | 35 | 57 | 16 | 19 |
| Johnston P [68] | 2012 | Retrospective | 26 | 53.3 | NS | NS |
| Ref. | Type of Prosthesis | N° Infected Patients | SSI | Deep | Isolated Pathogen | Resolution with Only Antibiotic Therapy | Surgical Treatment | Type of Surgery |
|---|---|---|---|---|---|---|---|---|
| Andrzejewski A [11] | Maia | 2 | 0 | 2 | NS | No | 2 | Trapeziectomy |
| Bricout M [12] | Maia | 2 | 0 | 2 | S. aureus | No | 2 | NS |
| Gonzalez-Espino P [16] | Touch | 1 | 1 | 0 | NS | Yes | No | / |
| Pritchett JW [20] | Bio Pro Modular Thumb Implant | 1 | 0 | 1 | NS | / | Yes | NS |
| Thorkildsen RD [37] | Elektra | 1 | 0 | Suspected | NS | No | Yes | Debridement + bone cement spacer; arthrodesis 6 months later |
| Klahn A [41] | Elektra | 1 | 1 | 0 | NS | Yes | 0 | / |
| Froschauer SM [19] | Ivory | 1 | 0 | 1 | NS | No | Yes | Prosthesis explantation and surgical conversion into a resection arthroplasty |
| Pendse A [46] | Guepar | 2 | 2 | 0 | NS | / | / | / |
| MacDermid JC [6] | Swanson | 1 | 0 | 1 | S. aureus | / | Yes | Removal |
| Thillemann JK [58] | Motec | 1 | 0 | 1 | NS | No | Yes | Trapeziectomy |
| de Jong TR [66] | Maia | 1 | 1 | 0 | / | / | / | / |
| Cebrian-Gomez R [8] | Ivory | 1 | 1 | 0 | / | / | / | / |
Disclaimer/Publisher’s Note: The statements, opinions and data contained in all publications are solely those of the individual author(s) and contributor(s) and not of MDPI and/or the editor(s). MDPI and/or the editor(s) disclaim responsibility for any injury to people or property resulting from any ideas, methods, instructions or products referred to in the content. |
© 2026 by the authors. Licensee MDPI, Basel, Switzerland. This article is an open access article distributed under the terms and conditions of the Creative Commons Attribution (CC BY) license.
Share and Cite
Bocchino, G.; Pietramala, S.; La Rocca, S.; Di Pietro, G.; El Motassime, A.; Capece, G.; De Mauro, D.; Fulchignoni, C.; Maccauro, G.; Vitiello, R. Prosthetic Joint Infections in Trapeziometacarpal Arthroplasty: A Comprehensive Systematic Review. J. Pers. Med. 2026, 16, 35. https://doi.org/10.3390/jpm16010035
Bocchino G, Pietramala S, La Rocca S, Di Pietro G, El Motassime A, Capece G, De Mauro D, Fulchignoni C, Maccauro G, Vitiello R. Prosthetic Joint Infections in Trapeziometacarpal Arthroplasty: A Comprehensive Systematic Review. Journal of Personalized Medicine. 2026; 16(1):35. https://doi.org/10.3390/jpm16010035
Chicago/Turabian StyleBocchino, Guido, Silvia Pietramala, Stella La Rocca, Giulia Di Pietro, Alessandro El Motassime, Giacomo Capece, Domenico De Mauro, Camillo Fulchignoni, Giulio Maccauro, and Raffaele Vitiello. 2026. "Prosthetic Joint Infections in Trapeziometacarpal Arthroplasty: A Comprehensive Systematic Review" Journal of Personalized Medicine 16, no. 1: 35. https://doi.org/10.3390/jpm16010035
APA StyleBocchino, G., Pietramala, S., La Rocca, S., Di Pietro, G., El Motassime, A., Capece, G., De Mauro, D., Fulchignoni, C., Maccauro, G., & Vitiello, R. (2026). Prosthetic Joint Infections in Trapeziometacarpal Arthroplasty: A Comprehensive Systematic Review. Journal of Personalized Medicine, 16(1), 35. https://doi.org/10.3390/jpm16010035

