Medium- and Long-Term Evaluation of Splenic Arterial Embolization: A Retrospective CT Volumetric and Hematologic Function Analysis
Abstract
1. Introduction
2. Materials and Methods
2.1. Study Design
2.2. Inclusion and Exclusion Criteria
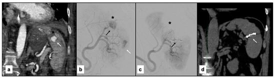
2.3. SAE Procedure
2.4. Imaging and Volumetric Analysis
2.5. Hematological Data
2.6. Statistical Analysis
3. Results
3.1. Embolization Technique and Agents Used
3.2. CT Volumetry
3.3. Hemocytometric Analysis
3.3.1. White Blood Cells
3.3.2. Red Blood Cells
3.3.3. Hemoglobin
3.4. Technical and Clinical Success
3.5. Length of Hospital Stay
4. Discussion
5. Conclusions
Author Contributions
Funding
Institutional Review Board Statement
Informed Consent Statement
Data Availability Statement
Conflicts of Interest
Abbreviations
| AI | Artificial intelligence |
| CT | Computed tomography |
| Hb | Hemoglobin |
| NALEA | Non-adhesive liquid embolic agents |
| WBC | White blood cells |
| RBC | Red blood cells |
| SAAs | Splenic artery aneurysms |
| SAE | Splenic artery embolization |
References
- Patil, M.S.; Goodin, S.Z.; Findeiss, L.K. Emergency IR: Update: Splenic Artery Embolization in Blunt Abdominal Trauma; Semin Intervent Radiol Thieme Medical Publishers: New York, NY, USA, 2020; Volume 37, pp. 97–102. [Google Scholar]
- Suzuki, T.; Shiraishi, A.; Ito, K.; Otomo, Y. Comparative effectiveness of angioembolization versus open surgery in patients with blunt splenic injury. Sci. Rep. 2024, 14, 8800. [Google Scholar] [CrossRef]
- Beuran, M.; Gheju, I.; Venter, M.D.; Marian, R.C.; Smarandache, R. Non-operative management of splenic trauma. J. Med. Life 2012, 5, 47–58. [Google Scholar] [PubMed] [PubMed Central]
- Roy, P.; Mukherjee, R.; Parik, M. Splenic trauma in the twenty-first century: Changing trends in management. Ann. R. Coll. Surg. Engl. 2018, 100, 650–656. [Google Scholar] [CrossRef] [PubMed] [PubMed Central]
- Renzulli, P.; Gross, T.; Schnüriger, B.; Schoepfer, A.M.; Inderbitzin, D.; Exadaktylos, A.K.; Hoppe, H.; Candinas, D. Management of blunt injuries to the spleen. Br. J. Surg. 2010, 97, 1696–1703. [Google Scholar] [CrossRef] [PubMed]
- Lenti, M.V.; Luu, S.; Carsetti, R.; Osier, F.; Ogwang, R.; Nnodu, O.E.; Wiedermann, U.; Spencer, J.; Locatelli, F.; Corazza, G.R.; et al. Asplenia and spleen hypofunction. Nat. Rev. Dis. Primers 2022, 8, 71. [Google Scholar] [CrossRef]
- Haan, J.M.; Bochicchio, G.V.; Kramer, N.; Scalea, T.M. Nonoperative management of blunt splenic injury: A 5-year experience. J. Trauma 2005, 58, 492–498. [Google Scholar] [CrossRef] [PubMed]
- Cretcher, M.; Panick, C.E.P.; Boscanin, A.; Farsad, K. Splenic trauma: Endovascular treatment approach. Ann. Transl. Med. 2021, 9, 1194. [Google Scholar] [CrossRef] [PubMed] [PubMed Central]
- Banerjee, A.; Duane, T.M.; Wilson, S.P.; Haney, S.; O’Neill, P.J.; Evans, H.L.; Como, J.J.; Claridge, J.A. Trauma center variation in splenic artery embolization and spleen salvage: A multicenter analysis. J. Trauma. Acute Care Surg. 2013, 75, 69–74; discussion 74–75. [Google Scholar] [CrossRef] [PubMed]
- Clements, W.; Joseph, T.; Koukounaras, J.; Goh, G.S.; Moriarty, H.K.; Mathew, J.; Phan, T.D. SPLEnic salvage and complications after splenic artery EmbolizatioN for blunt abdomINal trauma: The SPLEEN-IN study. CVIR Endovasc. 2020, 3, 92. [Google Scholar] [CrossRef]
- Cinquantini, F.; Simonini, E.; Di Saverio, S.; Cecchelli, C.; Kwan, S.H.; Ponti, F.; Coniglio, C.; Tugnoli, G.; Torricelli, P. Non-surgical Management of Blunt Splenic Trauma: A Comparative Analysis of Non-operative Management and Splenic Artery Embolization—Experience from a European Trauma Center. Cardiovasc. Interv. Radiol. 2018, 41, 1324–1332. [Google Scholar] [CrossRef]
- Schimmer, J.A.G.; van der Steeg, A.F.W.; Zuidema, W.P. Splenic function after angioembolization for splenic trauma in children and adults: A systematic review. Injury 2016, 47, 525–530. [Google Scholar] [CrossRef]
- Piacentino, F.; Fontana, F.; Curti, M.; Macchi, E.; Coppola, A.; Ossola, C.; Giorgianni, A.; Marra, P.; Mosconi, C.; Ierardi, A.M.; et al. Non-Adhesive Liquid Embolic Agents in Extra-Cranial District: State of the Art and Review of the Literature. J. Clin. Med. 2021, 10, 4841. [Google Scholar] [CrossRef] [PubMed] [PubMed Central]
- Suzuki, K.; Epstein, M.L.; Kohlbrenner, R.; Garg, S.; Hori, M.; Oto, A.; Baron, R.L. Quantitative radiology: Automated CT liver volumetry compared with interactive volumetry and manual volumetry. AJR Am. J. Roentgenol. 2011, 197, W706–W712. [Google Scholar] [CrossRef] [PubMed] [PubMed Central]
- Hagen, F.; Mair, A.; Bitzer, M.; Bösmüller, H.; Horger, M. Fully automated whole-liver volume quantification on CT-image data: Comparison with manual volumetry using enhanced and unenhanced images as well as two different radiation dose levels and two reconstruction kernels. PLoS ONE 2021, 16, e0255374. [Google Scholar] [CrossRef] [PubMed] [PubMed Central]
- Hosny, A.; Parmar, C.; Quackenbush, J.; Schwartz, L.H.; Aerts, H.J.W.L. Artificial intelligence in radiology. Nat. Rev. Cancer 2018, 18, 500–510. [Google Scholar] [CrossRef] [PubMed] [PubMed Central]
- Choy, G.; Khalilzadeh, O.; Michalski, M.; Do, S.; Samir, A.E.; Pianykh, O.S.; Geis, J.R.; Pandharipande, P.V.; Brink, J.A.; Dreyer, K.J. Current Applications and Future Impact of Machine Learning in Radiology. Radiology 2018, 288, 318–328. [Google Scholar] [CrossRef] [PubMed] [PubMed Central]
- Shen, D.; Wu, G.; Suk, H.I. Deep Learning in Medical Image Analysis. Annu. Rev. Biomed. Eng. 2017, 19, 221–248. [Google Scholar] [CrossRef] [PubMed] [PubMed Central]
- Corvino, F.; Giurazza, F.; Ierardi, A.M.; Lucatelli, P.; Basile, A.; Corvino, A.; Niola, R. Splenic Artery Pseudoaneurysms: The Role of ce-CT for Diagnosis and Treatment Planning. Diagnostics 2022, 12, 1012. [Google Scholar] [CrossRef] [PubMed] [PubMed Central]
- Panossian, V.S.; Ma, Y.; Song, B.; Proaño-Zamudio, J.A.; van Zon, V.P.C.; Nzenwa, I.C.; Tabari, A.; Velmahos, G.C.; Kaafarani, H.M.A.; Bertsimas, D.; et al. Using Interpretable Artificial Intelligence Algorithms in the Management of Blunt Splenic Trauma: Applications of Optimal Policy Trees as a Treatment Prescription Aid to Improve Patient Mortality. Bioengineering 2025, 12, 336. [Google Scholar] [CrossRef] [PubMed] [PubMed Central]
- Kufel, J.; Bargieł-Łączek, K.; Kocot, S.; Koźlik, M.; Bartnikowska, W.; Janik, M.; Czogalik, Ł.; Dudek, P.; Magiera, M.; Lis, A.; et al. What Is Machine Learning, Artificial Neural Networks and Deep Learning?-Examples of Practical Applications in Medicine. Diagnostics 2023, 13, 2582. [Google Scholar] [CrossRef] [PubMed] [PubMed Central]
- Venturini, M.; Piacentino, F.; Coppola, A.; Bettoni, V.; Macchi, E.; De Marchi, G.; Curti, M.; Ossola, C.; Marra, P.; Palmisano, A.; et al. Visceral Artery Aneurysms Embolization and Other Interventional Options: State of the Art and New Perspectives. J. Clin. Med. 2021, 10, 2520. [Google Scholar] [CrossRef] [PubMed] [PubMed Central]
- Ierardi, A.M.; Piacentino, F.; Pesapane, F.; Carnevale, A.; Curti, M.; Fontana, F.; Venturini, M.; Pinto, A.; Gentili, F.; Guerrini, S.; et al. Basic embolization techniques: Tips and tricks. Acta Biomed. 2020, 91, 71–80. [Google Scholar] [CrossRef] [PubMed] [PubMed Central]
- Gaba, R.C.; Katz, J.R.; Parvinian, A.; Reich, S.; Omene, B.O.; Yap, F.Y.; Owens, C.A.; Knuttinen, M.G.; Bui, J.T. Splenic artery embolization: A single center experience on the safety, efficacy, and clinical outcomes. Diagn. Interv. Radiol. 2013, 19, 49–55. [Google Scholar] [CrossRef] [PubMed]
- Skattum, J.; Titze, T.L.; Dormagen, J.B.; Aaberge, I.S.; Bechensteen, A.G.; Gaarder, P.I.; Gaarder, C.; Heier, H.E.; Næss, P.A. Preserved splenic function after angioembolisation of high grade injury. Injury 2012, 43, 62–66. [Google Scholar] [CrossRef] [PubMed]
- Bhatia, A.; Bryant, E.H.; Fox, B.; Richardson, A.; Leichter, J.; Mohan, P. Long-Term Effects of Proximal Splenic Artery Embolization on Splenic Volume and Platelet Count. Ann. Vasc. Surg. 2023, 89, 166–173. [Google Scholar] [CrossRef]
- Bell, A.; Patel, B.; Rapier, C.; Campbell, D.; Grieve, J. A retrospective multi-centre study of splenic volumes measured by CT following splenic artery angioembolisation for high-grade blunt splenic injuries in adults. J. Med. Imaging Radiat. Oncol. 2023, 67, 337–343. [Google Scholar] [CrossRef] [PubMed]
- Preece, S.R.; Schriber, S.M.; Choudhury, K.R.; Suhocki, P.V.; Smith, T.P.; Kim, C.Y. Coil embolization of the splenic artery: Impact on splenic volume. J. Vasc. Interv. Radiol. JVIR 2014, 25, 859–865. [Google Scholar] [CrossRef]
- Imbrogno, B.F.; Ray, C.E. Splenic artery embolization in blunt trauma. Semin. Interv. Radiol. 2012, 29, 147–149. [Google Scholar] [CrossRef] [PubMed] [PubMed Central]
- Bi, W.L.; Hosny, A.; Schabath, M.B.; Giger, M.L.; Birkbak, N.J.; Mehrtash, A.; Allison, T.; Arnaout, O.; Abbosh, C.; Dunn, I.F.; et al. Artificial intelligence in cancer imaging: Clinical challenges and applications. CA Cancer J. Clin. 2019, 69, 127–157. [Google Scholar] [CrossRef] [PubMed] [PubMed Central]
- Erickson, B.J.; Korfiatis, P.; Akkus, Z.; Kline, T.L. Machine Learning for Medical Imaging. Radiographics 2017, 37, 505–515. [Google Scholar] [CrossRef] [PubMed] [PubMed Central]
- Lakhani, P.; Sundaram, B. Deep Learning at Chest Radiography: Automated Classification of Pulmonary Tuberculosis by Using Convolutional Neural Networks. Radiology 2017, 284, 574–582. [Google Scholar] [CrossRef] [PubMed]





| Group | N | Male (%) | Female (%) | Mean Age ± SD (Years) |
|---|---|---|---|---|
| Trauma | 8 | 62.5 | 37.5 | 61.4 ± 11.9 |
| Aneurysm | 9 | 55.5 | 44.5 | 67.8 ± 14.2 |
| Patient Group | Pre-SAE Volume (cm3) | Post-SAE Volume (cm3) | Shapiro–Wilk p-Value (Pre) | Shapiro–Wilk p-Value (Post) | Student’s t-Test p-Value | A Priori Power |
|---|---|---|---|---|---|---|
| Polytrauma | 190.5 ± 51.2 | 147.8 ± 77.8 | 0.633 | 0.918 | 0.2158 | 0.154 |
| Splenic Artery Aneurysm | 195.4 ± 78.9 | 143.7 ± 81.4 | 0.771 | 0.242 | 0.184 | 0.167 |
| Embolization Technique | Pre-SAE Volume (cm3) | Post-SAE Volume (cm3) | Δ Volume | Test | p-Value |
|---|---|---|---|---|---|
| NALEA | 219.6 ± 62.3 | 163.2 ± 84.5 | −56.4 ± 84.3 | Student’s t-test | 0.043 |
| Coils | 205.3 ± 54.1 | 161.2 ± 76.1 | −44.1 ± 78.3 | Wilcoxon signed-rank | 0.047 |
| Combination | 218.3 ± 59.2 | 163.8 ± 77.4 | −54.5 ± 81.2 | Student’s t-test | 0.045 |
| Patient Group | Pre-SAE WBC Count (Median ± IQR) | Post-SAE WBC Count (Median ± IQR) | Shapiro–Wilk p-Value (Pre) | Shapiro–Wilk p-Value (Post) | Mann–Whitney U Test p-Value |
|---|---|---|---|---|---|
| Polytrauma | 17.5 ± 5.2 | 12.5 ± 3.4 | 0.005 | <0.001 | 0.777 |
| Splenic Artery Aneurysm | 9.0 ± 3.9 | 9.3 ± 6.7 | 0.039 | <0.001 | 0.285 |
| Embolization Technique | Pre-SAE WBC Count | Post-SAE WBC Count | Δ WBC Count | Test | p-Value |
|---|---|---|---|---|---|
| NALEA | 10.1 ± 5.6 | 8.9 ± 2.6 | −1.2 ± 4.2 | Wilcoxon signed-rank | 0.041 |
| Coils | 9.4 ± 5.0 | 8.8 ± 2.4 | −0.6 ± 3.9 | Student’s t-test | 0.067 |
| Combination | 9.9 ± 5.4 | 8.9 ± 2.5 | −1.0 ± 4.1 | Wilcoxon signed-rank | 0.044 |
Disclaimer/Publisher’s Note: The statements, opinions and data contained in all publications are solely those of the individual author(s) and contributor(s) and not of MDPI and/or the editor(s). MDPI and/or the editor(s) disclaim responsibility for any injury to people or property resulting from any ideas, methods, instructions or products referred to in the content. |
© 2025 by the authors. Licensee MDPI, Basel, Switzerland. This article is an open access article distributed under the terms and conditions of the Creative Commons Attribution (CC BY) license (https://creativecommons.org/licenses/by/4.0/).
Share and Cite
Piacentino, F.; Fontana, F.; Beltramini, C.; Coppola, A.; Ierardi, A.M.; Carrafiello, G.; Carcano, G.; Venturini, M. Medium- and Long-Term Evaluation of Splenic Arterial Embolization: A Retrospective CT Volumetric and Hematologic Function Analysis. J. Pers. Med. 2025, 15, 424. https://doi.org/10.3390/jpm15090424
Piacentino F, Fontana F, Beltramini C, Coppola A, Ierardi AM, Carrafiello G, Carcano G, Venturini M. Medium- and Long-Term Evaluation of Splenic Arterial Embolization: A Retrospective CT Volumetric and Hematologic Function Analysis. Journal of Personalized Medicine. 2025; 15(9):424. https://doi.org/10.3390/jpm15090424
Chicago/Turabian StylePiacentino, Filippo, Federico Fontana, Cecilia Beltramini, Andrea Coppola, Anna Maria Ierardi, Gianpaolo Carrafiello, Giulio Carcano, and Massimo Venturini. 2025. "Medium- and Long-Term Evaluation of Splenic Arterial Embolization: A Retrospective CT Volumetric and Hematologic Function Analysis" Journal of Personalized Medicine 15, no. 9: 424. https://doi.org/10.3390/jpm15090424
APA StylePiacentino, F., Fontana, F., Beltramini, C., Coppola, A., Ierardi, A. M., Carrafiello, G., Carcano, G., & Venturini, M. (2025). Medium- and Long-Term Evaluation of Splenic Arterial Embolization: A Retrospective CT Volumetric and Hematologic Function Analysis. Journal of Personalized Medicine, 15(9), 424. https://doi.org/10.3390/jpm15090424

