Next Article in Journal
Frailty as an Independent Predictor of Mortality in Patients with Sepsis
Previous Article in Journal
Cataract Surgery in Pseudoexfoliation Syndrome Using the Eight-Chop Technique
 
 
Font Type:
Arial Georgia Verdana
Font Size:
Aa Aa Aa
Line Spacing:
Column Width:
Background:
Article

3D Printing and Virtual Surgical Planning in Craniofacial and Thoracic Surgery: Applications to Personalised Medicine

by
Freddy Patricio Moncayo-Matute
1,†,
Jhonatan Heriberto Vázquez-Albornoz
2,
Efrén Vázquez-Silva
1,*,†,
Ana Julia Hidalgo-Bravo
2,
Paúl Bolívar Torres-Jara
1 and
Diana Patricia Moya-Loaiza
1
1
Grupo de Investigación en Nuevos Materiales y Procesos de Transformación (GIMAT), Department of Mechanical Engineering, Universidad Politécnica Salesiana, Sede Cuenca EC010102, Ecuador
2
Plastic and Reconstructive Surgery Department, Hospital del Río, Cuenca EC010109, Ecuador
*
Author to whom correspondence should be addressed.
These authors contributed equally to this work.
J. Pers. Med. 2025, 15(9), 397; https://doi.org/10.3390/jpm15090397
Submission received: 18 July 2025 / Revised: 8 August 2025 / Accepted: 19 August 2025 / Published: 25 August 2025
(This article belongs to the Section Personalized Medical Care)

Abstract

Background/Objectives: The application of additive manufacturing in medicine, and specifically in personalised medicine, has achieved notable development. This article aims to present the results and benefits of applying a comprehensive methodology to simulate, plan, and manufacture customised three-dimensional medical prosthetic devices for use in surgery to restore bone structures with congenital and acquired malformations. Methods: To digitally reconstruct a bone structure in three dimensions from a medical image, a segmentation process is developed to correlate the anatomical model. Then, this model is filtered using a post-processing step to generate stereolithography (STL) files, which are rendered using specialised software. The segmentation of tomographic images is achieved by the specific intensity selection, facilitating the analysis of compact and soft tissues within the anatomical region of interest. With the help of a thresholding algorithm, a three-dimensional digital model of the anatomical structure is obtained, ready for printing the required structure. Results: The described cases demonstrate that the use of anatomical test models, cutting guides, and customised prostheses reduces surgical time and hospital stay, and achieves better aesthetic and functional results. Using materials such as polylactic acid (PLA) for presurgical models, appropriate resins for cutting guides, and biocompatible materials such as polyether ether ketone (PEEK) or polymethylmethacrylate (PMMA) for prostheses, the described improvements are achieved. Conclusions: The achievements attained demonstrate the feasibility of applying these techniques, their advantages and their accessibility in Ecuador. They also reinforce the ideas of personalised medicine in the search for medical treatments and procedures tailored to the needs of each patient.

Graphical Abstract

1. Introduction

Additive manufacturing (AM) is applied in many areas of social development. Among these, public health stands out. This technology is significantly impacting the medical sector, helping to produce customised and complex medical devices, improving the results of surgical procedures on patients and optimising their precision.
Additive manufacturing facilitates the production of customised implants, i.e., implants tailored to the individual anatomy of the patient receiving the implant. Such customisation measures have been demonstrated to ensure an adequate fit level and improve surgical outcomes [1,2,3]. Furthermore, technological advances in this field demonstrate great results in enhanced patient comfort and satisfaction [4,5]. Additionally, the fabrication of intricate structures and complex geometries, which are challenging to replicate through conventional manufacturing methodologies, is attainable [3,6].
A recent literature review indicates a substantial increase in scientific publications concerning surgical applications of AM and 3D printing. Cranio-maxillofacial surgery accounted for the second highest percentage of these publications. As additive manufacturing technology improves and becomes more affordable, its use in plastic and reconstructive surgery is also expanding (see references [7,8]).
In such applications, the materials employed encompass biocompatible metals, such as titanium alloys, polymers and bio-composites, which possess the capacity to emulate (and even surpass) the mechanical properties of bone [9,10,11]. A variety of additive manufacturing techniques are under development to produce medical devices for a range of specific applications. The following processes are included: direct laser sintering of metals, stereolithography, selective laser sintering, modelling and fused deposition manufacturing or fused deposition modelling (FDM) [11,12,13,14,15,16,17,18].
Image integration and reverse engineering processes are of pivotal significance in the medical device manufacturing domain. Additive manufacturing has been demonstrated to successfully integrate with medical imaging techniques (e.g., computed tomography (CT) scans) to create accurate three-dimensional digital models of the patient’s specific anatomy. These models are integrated into design methodologies and the additive manufacturing processes themselves, intending to generate surgical instruments digitally, anatomical test models to simulate procedures, implants and surgical guides [3,6]. Reverse engineering is defined as the process of creating a three-dimensional digital model of an object or organ of a patient’s anatomy from medical imaging data [6]. These models are indispensable for designing perfectly fitting implants, reducing the risk of implant failure and improving post-intervention outcomes. The extent of customisation ensures that devices possess optimal dimensions, form, and mechanical properties, which are particularly advantageous in complex surgeries, such as craniomaxillofacial and orthopaedic surgeries [1,19,20,21,22].
Medical images (e.g., magnetic resonance imaging (MRI), CT scan, X-ray, ultrasound) can play a key role in fabricating customised medical devices and implants through additive manufacturing technology. This process comprises a series of stages in which image data play an important role. In the context of custom implants, for instance, CT and MRI are the techniques most frequently employed to obtain detailed images of the patient’s anatomy. These images are then converted into digital models that accurately represent the patient’s unique anatomical features [23,24,25]. The subsequent processing of the acquired image data is facilitated by specialised software (e.g., OsiriX Imaging Software (https://www.osirix-viewer.com/), 3D Slicer 3.5, Mimics 21.0, Magics 2.0, 3D Doctor, InVesalius 3.0, among others), which enables the creation of a 3D digital model. This model is then exported in a standard triangulated language (or stereolithography) (STL) format for utilisation in AM technologies [1,15,19,23,24]. The implant parameter verification, including shape, external dimensions and internal structure (e.g., porosity), is also performed by imaging techniques such as CT [16,17]. In the context of manufacturing, the thickness of the layer during production is a critical factor, as it can influence the mechanical properties and the precision of the implant [26].
The necessity for enhanced visualisation of surgical processes and outcomes has precipitated the emergence of anatomical test models, patient-specific surgical guides (in addition to customised 3D printed implants) [8]. These processes involve several critical considerations to ensure accuracy, safety and efficacy. Cutting guides must be adapted to the patient’s anatomy to ensure accurate fit and effective surgical outcomes [2,27,28]. The materials utilised must demonstrate an adequate degree of biocompatibility to circumvent the occurrence of adverse reactions. An anatomical test model used for simulating surgery does not necessitate the utilisation of a biocompatible material in its fabrication. In the case of an implant intended to be permanent, it is essential to utilise a material that exhibits the highest degree of biocompatibility. The most common materials used in this process are polymers and metals, such as titanium and polyether–ether–ketone (PEEK) [13,27]. The clear procedural establishment, standards design and guidelines are also of great importance. This includes ensuring that the cutting guide can be uniquely positioned and stably fixed during surgery [27,29].
Before clinical implementation, the ergonomic effectiveness and ease of use of the device must be evaluated in simulated environments. This is an integral component of surgical planning, enabling surgeons to meticulously try the procedure, anticipate potential challenges and refine the procedural approach. It is evident that adopting a comprehensive approach results in enhanced precision and efficiency during surgical procedures. This approach enables the selection and optimisation of materials based on their biocompatibility, strength and suitability for specific applications [19,21,22,30,31,32].
Integration of these processes, namely reverse engineering with AM and the study of materials and imaging techniques, facilitates the design of implants with complex geometries and reticular structures that promote osseointegration and reduce device stiffness. This facilitates enhanced biomechanical performance and longevity (see references [1,33]).
The utilisation of custom implants and cutting guides, which have been reverse-engineered and designed using AM, has demonstrated results in superior fit and enhanced performance compared to conventional implants. This has been demonstrated to result in improved patient outcomes. Surgical planning and simulation have been shown to reduce the risks associated with complex surgeries. As evidenced by the existing bibliography, the expense of the initial set-up can be high. However, the overall cost is reduced through fewer complications and shorter surgery times [1,3,19,21,22,31]. Nevertheless, considerable regulatory requirements are in place for the approval of medical devices produced by AM, which has the potential to impede the process of adoption [4,13].
This article describes seven cases in which the entire process of obtaining anatomical test models for surgical simulation, designing surgical cutting guides, and custom-made cranial and clavicular implants was carried out, all manufactured using additive printing techniques. The objective of this analysis is to clarify any potential ambiguities or unresolved questions that may remain concerning these technologies. What are the advantages that can be attributed to them? It is imperative to ascertain whether the advantages of this procedure are sufficient to compensate for any potential disadvantages that may persist.
However, the questions that may still be unanswered do not minimise the achievements in the field that closely connects mechanical engineering, materials science, and medicine. The cases presented are examples of the precision medicine application. The anatomical models for surgical planning, cutting guides, and implants themselves are custom-made according to the medical requirements of each patient who benefits from each type of device. The information used to apply the comprehensive methodology developed by the research team for additive manufacturing and subsequent use of the different devices based on anatomical dimensions is entirely individual. This contributes to optimising efficacy and minimising side effects.
The article structure is as follows. Section 2 provides a detailed description of the materials employed and the applied methodology in the surgical interventions that are documented herein. Section 3 presents a general description of each case, including the diagnosis, the procurement of the anatomical test model, the surgical planning, the approach to the surgical process, and the postoperative follow-up. The results are then presented and discussed in general terms. Section 5 of this study offers some conclusions.

2. Materials and Methods

To digitally reconstruct a bone structure in three dimensions from a medical image, a segmentation process is carried out to correlate the anatomical model. This model is filtered using a post-process to generate stereolithography (STL) files exported from 3D Slicer 3.2 software https://www.slicer.org (accessed on 14 July 2025), which are rendered using Autodesk Meshmixer 3.5 software https://www.meshmixer.com (accessed on 14 July 2025). The segmentation of tomographic images is achieved by the specific intensity selection, known as Hounsfield Unit (HU). This intensity measures the attenuation coefficient in the grey scale, facilitating the analysis of compact and soft tissues within the designated anatomical region [34]. A thresholding algorithm is applied to obtain a three-dimensional digital model of the anatomical area of interest, ready for printing. In the anatomical test model fabrication for surgical planning, the additive manufacturing technology FDM is employed, utilising a Creality CR-X Pro 3D FDM printer (Shenzhen Creality 3D Technology Co., Ltd. (Shenzhen, China)).
The material employed for the manufacturing of anatomical test models is polylactic acid (PLA), fabricated by the Creality brand. The long-lasting implants, where required, are manufactured with polymethylmethacrylate (PMMA) applying the mould-forming technique.
The route code reading, processing and generation starts from the STL file of the segmentation. The fabrication of the printed object is facilitated by Creality Slicer, version 1.2.3, an open-source and cost-free software.
Table 1 describes the characteristics of the FDM technology. The values of the manufacturing parameters are adjusted to obtain the best performance in the process.
The printing parameters are set based on the geometric characteristics, size, surface quality, the anatomical model functionality, and the type of material used. The mechanical characteristics of the employed polymers are outlined in Table 2. It should be noted that the PLA is not biocompatible and is employed exclusively for the anatomical test models.
It is essential to note that, within the context of the care process for each patient, the phases of medical device design and simulated surgery must be integrated. The design is supported by tomographic image analysis, which provides anatomical test models, patient-specific cutting guides, and custom implants (if necessary). In summary, the segmentation algorithms have been shown to facilitate the identification of the bone structure in need of restoration. Furthermore, the performance of measurements to manufacture cutting guides has been demonstrated to be possible for a range of surgical procedures, including tumour excision with negative margins, following a previous tomographic assessment.
Concerning the regulations for this procedure, it should be noted that all of the cases presented here were part of a research project. In such a condition, Ecuadorian national legislation stipulates that informed consent is required from the patient (or the patient’s parents if the patient is a minor) (Resolución ARCSA-DE-2023-033-AKRG Reforma a la Normativa Técnica Sanitaria para el Registro Sanitario de Dispositivos Médicos de Uso Humano y de los Establecimientos en donde se fabrican: ARCSA Regulations—Instructions https://www.controlsanitario.gob.ec/documentos-vigentes/ (accessed on 21 July 2025)). Therefore, signed documents of acceptance for participation in the project are available for all treated patients.

2.1. Approach

The research adopts a clinically applicable approach, supported by a descriptive observational methodology, with integration of virtual surgical planning and 3D printing technologies. From tomographic images, personalised anatomical models and specific surgical guides are developed for each case, evaluating the surgical precision, safety of the procedure and comprehensive clinical results.

2.2. Process

A series of seven consecutive clinical cases is presented, selected from patients with complex craniofacial and thoracic pathologies. No patients were excluded if they met the minimum clinical and imaging criteria required for accurate anatomical segmentation and custom fabrication. All procedures were performed within the framework of an interdisciplinary program of clinical application of 3D technologies.
The process included obtaining tomographic images, segmentation with the help of free-access software, digital anatomical modelling, surgical guides design, personalised implants, and subsequent manufacturing using 3D printing in materials such as PLA (for models), Resin (for the guides) and PMMA and PEEK (for definitive implants). Validation was developed jointly between the medical team and engineers.
The interventions were planned using anatomical test models, printed in 3D, and executed with the support of personalised surgical guides. The surgeries had an average duration of between 1 and 2 h, with controlled bleeding, within the expected physiological ranges according to age and type of procedure. No significant intra- or postoperative complications were reported.
The cases described in the following section were not selected following a defined criterion. They only constitute representative cases of the possibilities that additive manufacturing opens up within personalised medicine.
In the treatment of these patients, a methodology was applied in collaboration through a research project on additive manufacturing and its applications in personalised surgical devices between academia and the public health sector, specifically between the Research Group on New Materials and Transformation Processes (GIMAT, acronym in Spanish) of the Faculty of Mechanics in the Universidad Politécnica Salesiana and a medical team from the Hospital del Río, made up of a neurosurgeon specialist and two specialists in maxillofacial and aesthetic surgery. Both institutions are from Cuenca City in Ecuador.
In this context, the needs of each patient to support each surgical treatment were provided by the hospital institution in terms of personalised medical devices to be designed and manufactured. This is the reason why there is no control group.

3. Virtual Surgical Planning, Computer-Aided Design and Manufacturing Technologies in Clinical Cases

This section presents the results obtained for seven cases, each with a distinct pathology and sequelae, necessitating intervention related to the developed methodology.

3.1. Case 1: Skull Trauma Sequel

3.1.1. Diagnosis and Analysis

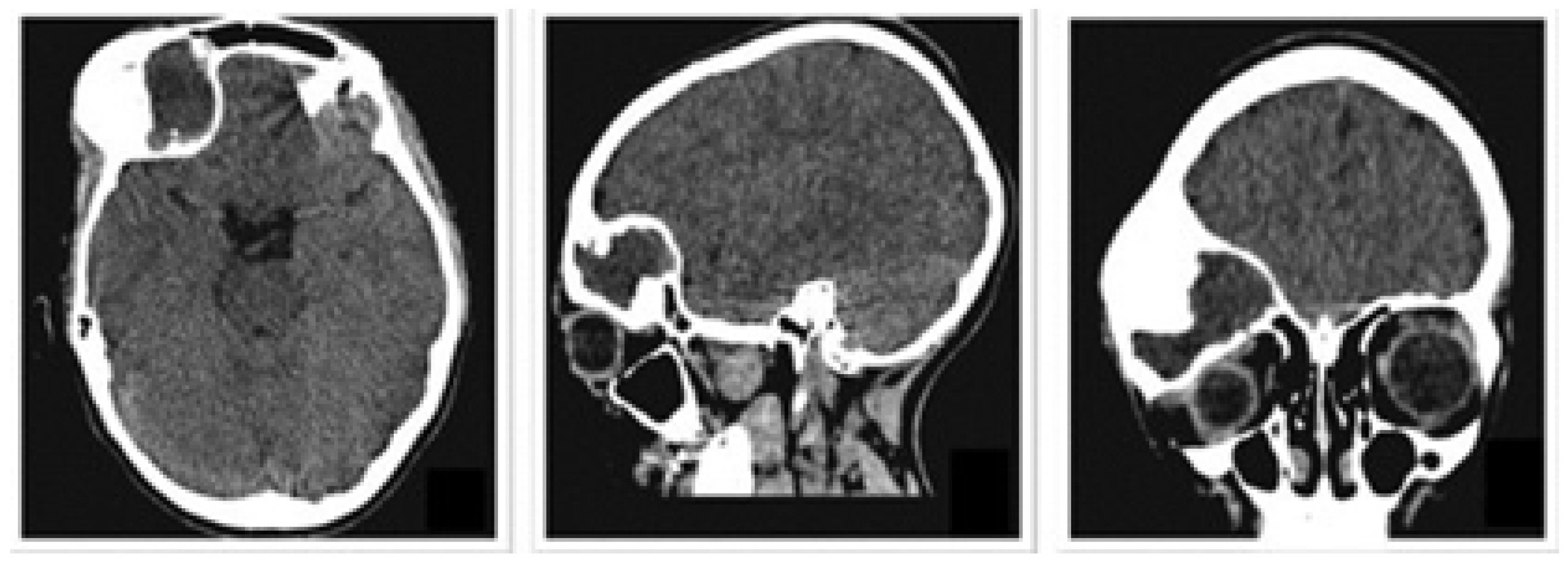
A 2-year-old female patient attended the consultation due to prominence in the temporal region as a result of cranioencephalic trauma. Physical examination revealed the prominence of the left temporal bone and ocular proptosis on the same side (see Figure 1). A computerised axial tomography (CAT) with three-dimensional reconstruction revealed a solution of bone continuity in the orbital roof and region of the left temporal squama, with front-orbital and temporal encephalocele (see Figure 2).

3.1.2. Surgical Planning

The defects identified were corroborated by both the patient’s medical history and physical examinations, as well as by tomography. The tomographic images were then segmented to reconstruct the left temporo-parietal cranial bone tissue. The density of compact cranial tissue was established using a range of 180 to 2000 HU (see Figure 3 and Figure 4).

3.1.3. Planning and Printing Anatomical Model

The segmentation process facilitated the correlation of the digital anatomical model (in which the left temporoparietal defect was identified) and the physical anatomical model for simulated surgical planning (see Figure 5 and Figure 6).

3.1.4. Intraoperative Approach

Following a rigorous testing and planning process in the 3D model, the actual intervention was carried out with the previously chosen technique. During the surgical procedure (Figure 7), cranial osteotomies were performed, in addition to in-bloc resection of the entire affected bone complex (Figure 6, red line). This complex consists of the orbital roof, zygomatic-temporal region, and temporoparietal region. Subsequently, reconstructive osteotomies and the placement of prostheses or osteosynthesis material were performed, as required (purple lines in Figure 6).

3.1.5. Postoperative

The surgical outcomes were corroborated through a combination of tomographic analysis, digital photography, and physical examination (see Figure 8 and Figure 9). These post-surgical assessments revealed a substantial enhancement in the temporoparietal bone, a finding that was instrumental in guiding the surgical planning process.

3.2. Case 2: Skull Trauma Sequel

3.2.1. Diagnosis and Analysis

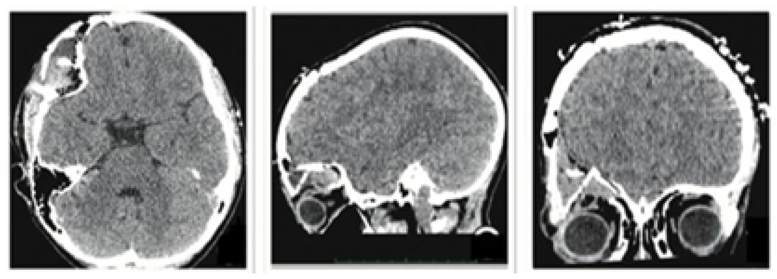
The patient was a 10-year-old male who sustained a cranial collapse in the left temporal-parietal-occipital region. This is a sequelae of cranioencephalic trauma, with multiple surgical interventions having been performed. A physical examination was conducted, which revealed subsidence in the temporo-parieto-occipital region, accompanied by some scars. Cerebral activity manifests itself externally, as evidenced by the visible transmission of light from the brain to the skin (see Figure 10). Upon tactile examination, the irregular edges of a bone defect resulting from an anterior craniotomy were palpable. A CT scan with 3D reconstruction was performed, where the solution of bone continuity in the affected area can be seen (Figure 11).

3.2.2. Surgical Planning

Reconstruction of the defects found, both in the anamnesis and in the physical and radiological examinations, was performed applying 3D digital restoration (Figure 12) and manufacturing of the anatomical test models with the help of stereolithography.

3.2.3. Anatomical Model Printing

The 1:1 scale digital model facilitates the production of a precise and customised prosthesis for the particular bone defect, obviating the necessity of a bone tissue donor area creation. As illustrated in Figure 13, the cranial anatomical model and the customised implant prototype were positioned accordingly. The methodology described in [35] was followed for the prosthesis design and manufacture.

3.2.4. Intraoperative Approach

The surgery was simulated, and in this trial, the prosthesis was tested in the 3D model. The surgical procedure was then conducted in a living subject, employing the selected approach determined through simulation. The final prosthesis was placed and manufactured using medical-grade PMMA. This approach enabled the reconstruction of the bone defect and the recovery of the patient’s cranial aesthetics. As illustrated in Figure 14, the surgical process was observed at various stages.

3.2.5. Postoperative Results

The postoperative results were positive and verified with the help of a new tomography, digital photography and physical examination. The complete reconstruction of the bone defect was achieved (see Figure 15 and Figure 16).

3.3. Case 3: Osteofibrous Dysplasia

3.3.1. Diagnosis and Analysis

The patient was an 11-year-old male who had been suffering from a hard, immobile, painless, progressively growing right frontal tumour for four years before attending the consultation. The tumour produced orbital deformity, manifesting as ocular proptosis, enophthalmos and hypotropia (see Figure 17, Figure 18 and Figure 19).

3.3.2. Surgical Planning

The defects found in the anamnesis and physical and radiological examinations were to be reconstructed using 3D digital restoration (see Figure 20). The manufacturing of anatomical test models was performed by stereolithography.

3.3.3. Planning and Printing Anatomical Models

The segmentation process was facilitated by implementing a thresholding algorithm, a digital tool that enabled the isolation of the anatomical area of interest and the subsequent construction of an anatomical model for the simulated surgical procedure.

3.3.4. Intraoperative Approach

Following the selected approach from the simulated surgery, cranial osteotomies were performed in bloc, resulting in the resection of the entire affected bone complex (orbital roof, zygomatic-frontal and temporal region). The fixation procedure was performed using resorbable osteosynthesis material (see Figure 21).

3.3.5. Postoperative Results

Postoperative results were verified with a new tomography, digital photography, and physical examination. It was possible to appreciate the complete reconstruction of the orbital roof, the anterior cranial vault and the excision of the tumour, all of which corresponded to the pre-surgical planning (see Figure 22 and Figure 23).

3.4. Case 4: Right Sternoclavicular Joint Tumour

3.4.1. Diagnosis and Analysis

A 55-year-old female patient was diagnosed with osteosarcoma of the right sternoclavicular joint. This condition resulted in pain in the joint and limited the mobility of the right upper extremity (see Figure 24).

3.4.2. Surgical Planning

The surgical excision of the tumour was performed through simulated surgery. The manufacturing process involved the creation of a cutting guide to facilitate the procedure and fabrication of a 3D patient-specific prosthesis. In the context of the phase of simulated surgery and the design of medical devices, a customised cutting guide was obtained from the study of tomographic images. To this end, the digital model of the anatomical surface with osteosarcoma was generated using image segmentation algorithms, the bone structure was identified, and a 5 cm notch was made in the direction of the acromial extremity to facilitate cutting (Figure 25).
In the case of the virtual lower clavicular replacement model, the restoration was performed on the model with osteosarcoma. Consequently, it was possible to obtain a personalised model that was both anatomically (geometrically) and structurally sound (see Figure 26).
As illustrated in Figure 27, the replacement clavicular virtual model, with the localised restorations, was employed to obtain the implant prototype through 3D additive manufacturing.

3.4.3. Design and Printing of Anatomical Models

The 3D printed cutting guide facilitated the exeresis of the tumour with negative margins previously assessed in the tomography (Figure 28).
The three-dimensional models were used to print the test anatomical model (PLA was used as impression material), and the personalised implant for the patient was manufactured in PMMA (Figure 29).

3.4.4. Intraoperative Approach

Following the surgical procedure simulation with the assistance of three-dimensional test models, actual surgery was planned and performed. This involved clavicular osteotomies, which were utilised for the excision of the tumour. In this procedure, the cutting guide was used to reconstruct the bone structure, encompassing the placement of a customised implant that was securely fixed with osteosynthetic material and covered with muscle tissue. Figure 30 illustrates various surgery stages.

3.4.5. Postoperative Results

Postoperative examinations (physical and tomographic) allowed corroboration of the total reconstruction of the bone structure and the recovery of the mobility of the affected extremity (see Figure 31).

3.5. Case 5: Posterior Chest Tumour

3.5.1. Diagnosis and Analysis

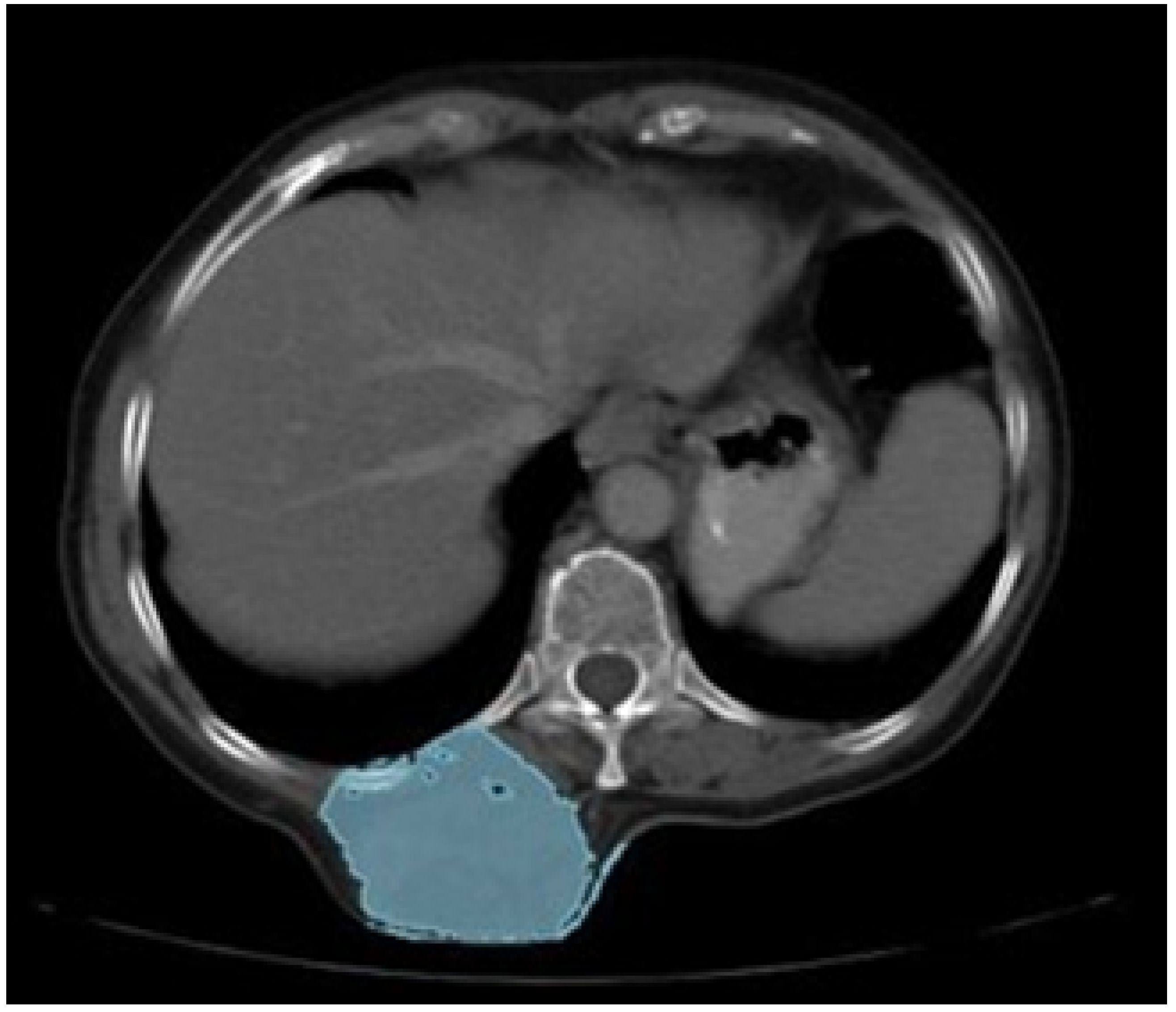
A 70-year-old female patient was diagnosed with a neoplasm in the right thoracic region. The lesion has been observed to affect the skin, subcutaneous cellular tissue, soft tissues and rib grill with pleura invasion (see Figure 32 and Figure 33).

3.5.2. Surgical Planning

The excision of the tumour from the right posterior chest wall was conducted through simulated surgery, utilising anatomical test models that were printed in PLA (rib grill and cutting guide).

3.5.3. Design and Printing of Anatomical Models

Fabrication of the 3D anatomical test models and cutting guide was accomplished through an Ender printer. In Figure 34, the printing process and the cutting guide are shown simultaneously. In Figure 35, an additional detail of the cutting guide is demonstrated, and the anatomical test model incorporates the reproduction of the tumour.

3.5.4. Intraoperative Approach

The use of 3D test models to simulate the surgical procedure has been demonstrated to facilitate the programming and execution of the actual intervention. In this procedure, rib osteotomies are performed for tumour excision in a bloc with the thoracic wall. The cutting guide facilitates the process. As illustrated in Figure 36, the photographic planes demonstrating the placement of the cutting guide are presented.

3.5.5. Postoperative Results

Post-surgical examinations (tomography, digital photography and physical examination) were conducted to corroborate the complete resection of the tumour with negative margins and to verify the total reconstruction of the rib grill. Figure 37 illustrates the state of the scar some hours after surgery.

3.6. Case 6: Right Sternoclavicular Tumour

3.6.1. Diagnosis and Analysis

A 55-year-old female patient was diagnosed with a tumour in the right sternoclavicular region, which compromised half of the sternal handle and the proximal third of the clavicle on the same side. As in the preceding cases, the three-dimensional digital model of the entire area was obtained from the tomographic images of the affected area. Figure 38 shows the process of delimiting the damaged bone structure.

3.6.2. Surgical Planning

After anatomical test models and cutting guide printing, the surgical process was planned and tested. This process includes the tumour excision and bony structure reconstruction with a patient-specific 3D printed implant. As illustrated in Figure 39, the cutting guide was designed for this particular case and its placement.

3.6.3. Design and Printing of Anatomical Models

The simulation of the surgical procedure was conducted using the test anatomical model. Similarly, the test model of the cutting guide, which was printed in 3D, enabled the excision of the tumour to be simulated with negative margins that were previously assessed in the tomography. This facilitated the placement of the personalised 3D implant, which was manufactured with PMMA. As shown in Figure 40, the anatomical test model was printed with PLA, the cutting guide was manufactured with BioMed resin MED610 (this material exhibits a provisional biocompatibility that persists for 24 h), and the personalised prosthesis was printed in PMMA.

3.6.4. Intraoperative Approach

Following the simulated surgery, the respective sternoclavicular osteotomies were programmed and executed for the excision of the tumour, now with the help of the cutting guide. Following tumour resection, the reconstruction of the bone structure was initiated with the implementation of a 3D prosthesis, which was then secured using osteosynthetic material. The wound was closed and the prosthesis was covered with muscle tissue (see Figure 41).

3.6.5. Postoperative Results

Postoperative tests (tomography, physical examination) demonstrated complete resection of the tumour, with negative margins, and reconstruction of the sternoclavicular joint with adequate functionality (see Figure 42).

3.7. Case 7: Metopic Craniosynostosis and Trigonocephaly

3.7.1. Diagnosis and Analysis

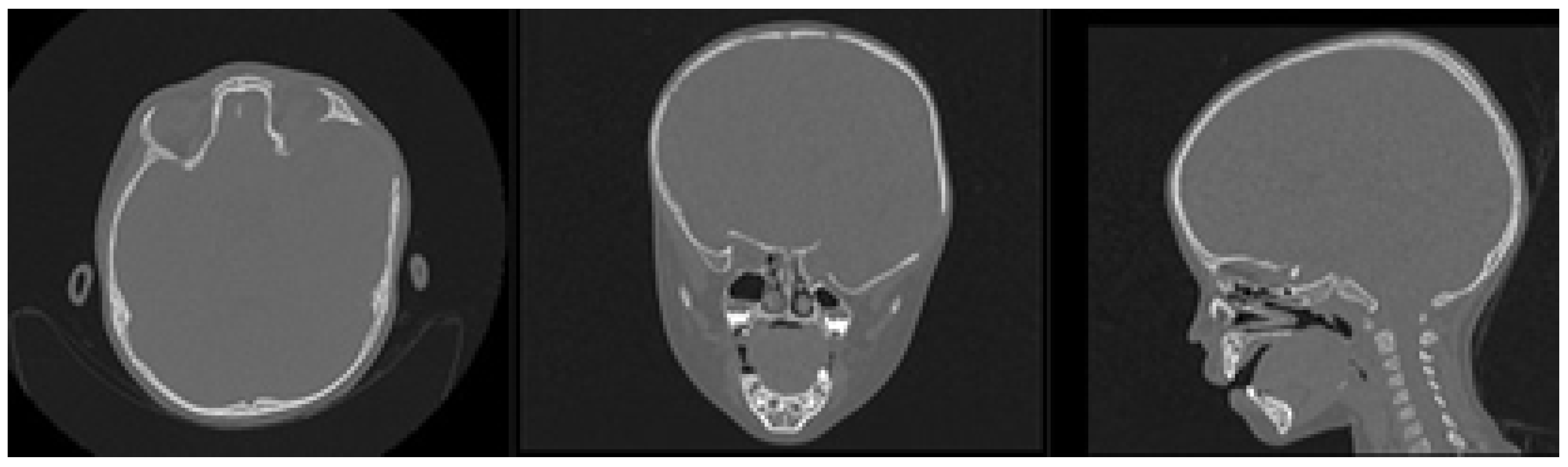
A 9-month-old female patient presented with metopic craniosynostosis and trigonocephaly, characterised by premature fusion of the metopic suture, resulting in a triangular frontal deformity and possible hypertelorism. The recommended treatment in this situation is cranial remodelling surgery. Figure 43 shows different aspects of defect identification using tomographic images.

3.7.2. Surgical Planning

The medical team decided to perform the surgery assisted by 3D printing technology using customised cutting guides.

3.7.3. Design and Printing of Anatomical Models

To facilitate surgical planning and simulation, a test model of the deformed skull of the child was used in addition to the necessary cutting guide for developing the intervention. Figure 44 shows the skull’s anatomical test model and the cutting guide’s test model, both printed in PLA. And Figure 45 shows the digital models of the two medical devices.

3.7.4. Intraoperative Approach

The patient underwent a precise, symmetrical and safe osteotomy, which reduced surgical times and improved both the aesthetic and functional results. In Figure 46, moments of the surgical process can be seen.

3.7.5. Posoperative Results

With the intervention, a significant improvement in craniofacial morphology was achieved, which corresponded to the prevention of future intracranial hypertension. This procedure is intended to ensure adequate neurological development; however, it is acknowledged that some additional correction may be necessary as a result of the patient’s growth. The patient continues to receive strict medical follow-up regularly, with no abnormalities having occurred to date.
Below, in Table 3, a summary of the cases treated and the solutions applied is presented. The main clinical, surgical and follow-up variables of each case are considered, including age, diagnosis, anatomical region operated on, technique used, use of implants and surgical guides, duration of surgery, bleeding, complications, aesthetic and functional results and follow-up time.
Postoperative follow-up was developed by the medical team, according to clinical protocols, including functional, aesthetic and imaging evaluation. There are no known reports of prosthetic integration failures or the need for new intervention to date.

4. Results and Discussion

There is considerable information on the benefits and limitations of 3D printing for medical applications. Surveys conducted on surgeons regarding this activity have indicated that the three primary benefits of this technology are the capacity for surgical planning, enhancement in the quality of surgical outcomes and reduction in patient risks and complications. Conversely, the three principal factors that impede the utilisation of 3D printing in the public health domain are the elevated expense, the intricacy of the organisational framework required to obtain the finished product and the extended delivery time [36].
The primary advantages of implementing a planned and personalised surgical approach are safety, patient satisfaction and reduced surgical time [37,38]. In light of the great importance attributed to patient safety, the provision of a predefined cutting guide and a personalised implant has been shown to mitigate the risks associated with procedures conducted without such aids. The utilisation of the 3D printed cutting guide and implant resulted in a reduction of approximately 30 % in the duration of the surgical procedure. This finding is of significant importance from a health economic perspective [39].
As demonstrated in [40,41], 3D printing technique utilisation in maxillofacial surgical interventions offers several notable clinical advantages. These include a reduced risk of injury and/or damage to the mandibular nerve, a diminished risk of mandibular fractures, a decreased risk of intra- and postoperative bleeding, and a reduced duration of surgery due to the streamlined procedure. Concerning financial implications, there are concomitant benefits. As asserted in [42], it is estimated that a substantial reduction in operating room expenses and duration can be achieved through the utilisation of a consumer-grade 3D printer. The findings of the present study indicate that a total of 58 h of annual operating room time was saved, which is equivalent to a reduction in operating room costs amounting to USD 87,000.00.
Similarly, the current state of affairs is not entirely conducive to the medical applications described. In [43,44], the authors posit that a notable disadvantage associated with 3D printed medical devices corresponds to the cutting guides’ utilisation. Specifically, they contend that erroneous placement of the bespoke guide on the bone to be manipulated can potentially result in inaccuracies. Following the results reported in this synthesis of cases, the significance of this technology for medical applications is based on the following:
1.
The utilisation of scale 1:1 models for simulated surgery and trial-and-error testing with the corresponding anatomical models is pivotal in appropriate surgical approach selection and the individualised planning of surgery for each patient.
2.
The additive manufacturing of surgical guides facilitates the execution of precise incisions, with sufficient margins to ensure both oncological efficacy and defect reconstruction.
3.
The fabrication of custom-made prostheses for bone reconstruction and restoration circumvents the morbidity associated with the donor site and the augmented anaesthetic-surgical time, which is concomitant with freehand manufacturing. The prosthesis is custom-made to fit each patient’s specific defect, offering both anatomical and aesthetic benefits.
All factors mentioned above result in advantageous outcomes for the patient. This procedure has been shown to result in a reduction in hospital stay time, anaesthetic-surgical times, potential morbidity and mortality of the donor site and the total final cost.
Despite the favourable results obtained in this case series, it is important to recognise certain limitations inherent to the use of surgical planning and 3D printing technologies. These include possible material fatigue in long-term implants, especially in those not subjected to standardised mechanical testing processes [45].
Finally, implementation of these technologies in resource-limited settings may be hampered by economic and logistical barriers, despite demonstrated potential clinical benefit.

4.1. Economic Analysis of 3D Surgical Planning

Surgical planning assisted by 3D technology has demonstrated direct economic advantages, especially in complex surgeries that require anatomical precision and personalised reconstructions that would modify their initial conception towards intelligent and optimisable devices [46,47,48,49,50,51,52,53,54,55]. Its implementation allows for a significant reduction in operating time (∼ 30 % less), minimises postoperative complications, avoids reinterventions and eliminates the need for bone grafts from donors. Although the manufacture of anatomical models and personalised cutting guides involves a moderate initial cost, this is largely offset by the savings in surgical and hospital resources, as well as the improvement in the procedure efficiency. These benefits are particularly relevant in contexts where optimisation of surgical time and patient safety are priorities. In all the cases analysed in this series, there was a shorter hospital stay, with no complications and satisfactory clinical results.

Implementation Costs

Regarding implementation costs, it was identified that surgical planning with 3D printing requires a moderate investment, mainly concentrated in the manufacture of anatomical test models, surgical cutting guides and personalised implants. The estimated values for each component were kept within an accessible range: between USD 15 and 30 for anatomical models, USD 50 to 80 for cutting guides, USD 100 to 200 for PMMA implants, and up to USD 850 for PEEK implants. The use of open-source software and the availability of specialised technical personnel within the medical team made it possible to optimise resources and reduce operating costs.

5. Conclusions

The use of computer-aided design and additive manufacturing methodologies has proven to be a highly effective approach in the design of custom implants.
Customised implants manufactured using fused deposition modelling have also been clinically proven to improve patient aesthetics and minimise surgical duration, blood loss and the risk of complications. The methodology used provides surgeons with greater discretion in selecting the best treatment option for each patient’s specific needs. It is essential to recognise the limitations of this technology and that, despite its numerous advantages, it should not replace the surgeon’s clinical judgment or technical expertise.
This innovative medical approach, in general terms, seeks to use individualised information about each patient (their genetics, lifestyle, environment, etc.) to prevent, diagnose and treat diseases more effectively.
In the future, the development of prospective studies and controlled clinical trials is recommended to systematically validate the effectiveness, safety and cost–benefit of surgical planning with 3D printing compared to conventional techniques [47]. It is also necessary to advance regulatory frameworks that facilitate the approval for using personalised medical devices and promote scalable implementation strategies in public health systems and resource-limited regions, where this technology could have a transformative impact on surgical practice.

Author Contributions

Conceptualization, F.P.M.-M., J.H.V.-A. and E.V.-S.; methodology, F.P.M.-M., J.H.V.-A. and E.V.-S.; validation, A.J.H.-B., P.B.T.-J. and D.P.M.-L.; formal analysis, E.V.-S., F.P.M.-M. and A.J.H.-B.; investigation, J.H.V.-A., E.V.-S., F.P.M.-M., D.P.M.-L., A.J.H.-B. and P.B.T.-J.; resources, D.P.M.-L.; data curation, D.P.M.-L. and A.J.H.-B.; writing—original draft preparation, E.V.-S.; writing—review and editing, E.V.-S., F.P.M.-M., D.P.M.-L., P.B.T.-J. and A.J.H.-B.; visualization, E.V.-S.; supervision, D.P.M.-L. and P.B.T.-J.; project administration, E.V.-S.; funding acquisition, D.P.M.-L. All authors have read and agreed to the published version of the manuscript.

Funding

This research was funded by auspices of research projects, Development of customized bone implants with reduction of the affected area through the use of surgical guides and additive manufacturing. Phase II: additive manufacturing with PEEK and PEKK, and evaluation of a superficial modification of the implant, financed by the Salesian Polytechnic University. Approving resolutions: RESOLUTION № 005-005-2023-05-25, and RESOLUTION № 176-015-2025-06-13.

Institutional Review Board Statement

This work has not been evaluated by any ethics committee. The Ecuadorian law stipulates that, in cases where an implantable medical device is to be used, if it is specific to a person, this can only be carried out by a doctor, and with the informed consent of the patient who receives the device. In all cases presented, the established requirements have been met.

Informed Consent Statement

Informed consent for participation and publication was obtained from the patients’ legal guardians.

Acknowledgments

The authors of this work appreciate the support provided by the Research Group on New Materials and Transformation Processes (GIMAT) of the Mechanical Engineering Carrier in terms of the availability of hours to carry out the research processes.

Conflicts of Interest

The authors declare no conflicts of interest.

References

  1. Di Bella, S.; Mineo, R. The Engineer’s Point of View. In 3D Printing in Bone Surgery; Springer: Berlin/Heidelberg, Germany, 2022; pp. 39–51. [Google Scholar]
  2. Soni, N.; Leo, P. Artificial recreation of human organs by additive manufacturing. InMechanical Engineering in Biomedical Applications: Bio-3D Printing, Biofluid Mechanics, Implant Design, Biomaterials, Computational Biomechanics, Tissue Mechanics; John Wiley & Sons, Inc.: Hoboken, NJ, USA, 2024; pp. 23–42. [Google Scholar]
  3. Glennon, A.; Esposito, L.; Gargiulo, P. Implantable 3D printed devices—Technologies and applications. In Handbook of Surgical Planning and 3D Printing; Elsevier: Amsterdam, The Netherlands, 2023; pp. 383–407. [Google Scholar]
  4. Geng, Z.; Bidanda, B. Medical applications of additive manufacturing. In Bio-Materials and Prototyping Applications in Medicine; Springer: New York, NY, USA, 2021; pp. 97–110. [Google Scholar]
  5. Delgado, J.; Blasco, J.R.; Portoles, L.; Ferris, J.; Hurtos, E.; Atorrasagasti, G. FABIO project: Development of innovative customized medical devices through new biomaterials and additive manufacturing technologies. In Annals of DAAAM & Proceedings; DAAAM International Vienna: Vienna, Austria, 2010; pp. 1541–1543. [Google Scholar]
  6. Wolf, C.; Juchem, D.; Koster, A.; Pilloy, W. Generation of Customized Bone Implants from CT Scans Using FEA and AM. Materials 2024, 17, 4241. [Google Scholar] [CrossRef]
  7. Hsieh, T.y.; Dedhia, R.; Cervenka, B.; Tollefson, T.T. 3D printing: Current use in facial plastic and reconstructive surgery. Curr. Opin. Otolaryngol. Head Neck Surg. 2017, 25, 291–299. [Google Scholar] [CrossRef]
  8. Tack, P.; Victor, J.; Gemmel, P.; Annemans, L. 3D-printing techniques in a medical setting: A systematic literature review. Biomed. Eng. Online 2016, 15, 1–21. [Google Scholar] [CrossRef]
  9. Velásquez-García, L.F.; Kornbluth, Y. Biomedical applications of metal 3D printing. Annu. Rev. Biomed. Eng. 2021, 23, 307–338. [Google Scholar] [CrossRef]
  10. Larosa, M.; Jardini, A.; Bernardes, L.; Wolf Maciel, M.; Maciel Filho, R.; Zaváglia, C.; Zaváglia, F.; Calderoni, D.; Kharmandayan, P. Custom-built implants manufacture in titanium alloy by Direct Metal Laser Sintering (DMLS). In Proceedings of the High Value Manufacturing: Advanced Research in Virtual and Rapid Prototyping-Proceedings of the 6th International Conference on Advanced Research and Rapid Prototyping, VR@ P, Leiria, Portugal, 1–5 October 2013; Volume 2014, pp. 297–301. [Google Scholar]
  11. Germaini, M.M.; Belhabib, S.; Guessasma, S.; Deterre, R.; Corre, P.; Weiss, P. Additive manufacturing of biomaterials for bone tissue engineering–A critical review of the state of the art and new concepts. Prog. Mater. Sci. 2022, 130, 100963. [Google Scholar] [CrossRef]
  12. Sharma, S.K.; Saxena, K.K.; Dixit, A.K.; Singh, R.; Mohammed, K.A. Role of additive manufacturing and various reinforcements in MMCs related to biomedical applications. Adv. Mater. Process. Technol. 2024, 10, 231–248. [Google Scholar] [CrossRef]
  13. Singh, A.B. Transforming healthcare: A review of additive manufacturing applications in the healthcare sector. Eng. Proc. 2024, 72, 2. [Google Scholar]
  14. Cano-Vicent, A.; Tambuwala, M.M.; Hassan, S.S.; Barh, D.; Aljabali, A.A.; Birkett, M.; Arjunan, A.; Serrano-Aroca, Á. Fused deposition modelling: Current status, methodology, applications and future prospects. Addit. Manuf. 2021, 47, 102378. [Google Scholar] [CrossRef]
  15. Jardini, A.; Larosa, M.; Macedo, M.; Bernardes, L.; Lambert, C.; Zavaglia, C.; Maciel Filho, R.; Calderoni, D.; Ghizoni, E.; Kharmandayan, P. Improvement in cranioplasty: Advanced prosthesis biomanufacturing. Procedia Cirp 2016, 49, 203–208. [Google Scholar] [CrossRef]
  16. Radovan, H.; Jozef, Ž.; Teodor, T.; Jaroslav, M.; Martin, L. Evaluation of custom-made implants using industrial computed tomography. In Proceedings of the 10th International Conference on Digital Technologies 2014, Zilina, Slovakia, 9–11 July 2014; pp. 82–86. [Google Scholar]
  17. Hudák, R.; Živčák, J.; Tóth, T.; Majerník, J.; Lisỳ, M. Usage of industrial computed tomography for evaluation of custom-made implants. In Applications of Computational Intelligence in Biomedical Technology; Springer: Berlin/Heidelberg, Germany, 2015; pp. 29–45. [Google Scholar]
  18. Rontescu, C.; Amza, C.G.; Bogatu, A.M.; Cicic, D.T.; Anania, F.D.; Burlacu, A. Reconditioning by welding of prosthesis obtained through additive manufacturing. Metals 2022, 12, 1177. [Google Scholar] [CrossRef]
  19. Jardini, A.L.; Larosa, M.A.; de Carvalho Zavaglia, C.A.; Bernardes, L.F.; Lambert, C.S.; Kharmandayan, P.; Calderoni, D.; Maciel Filho, R. Customised titanium implant fabricated in additive manufacturing for craniomaxillofacial surgery: This paper discusses the design and fabrication of a metallic implant for the reconstruction of a large cranial defect. Virtual Phys. Prototyp. 2014, 9, 115–125. [Google Scholar] [CrossRef]
  20. Munsch, M. Laser additive manufacturing of customized prosthetics and implants for biomedical applications. In Laser Additive manufacturing; Elsevier: Amsterdam, The Netherlands, 2017; pp. 399–420. [Google Scholar]
  21. Abouel Nasr, E.; Al-Ahmari, A.M.; Moiduddin, K.; Al Kindi, M.; Kamrani, A.K. A digital design methodology for surgical planning and fabrication of customized mandible implants. Rapid Prototyp. J. 2017, 23, 101–109. [Google Scholar] [CrossRef]
  22. Jardini, A.L.; Larosa, M.A.; Maciel Filho, R.; de Carvalho Zavaglia, C.A.; Bernardes, L.F.; Lambert, C.S.; Calderoni, D.R.; Kharmandayan, P. Cranial reconstruction: 3D biomodel and custom-built implant created using additive manufacturing. J.-Cranio-Maxillofac. Surg. 2014, 42, 1877–1884. [Google Scholar] [CrossRef]
  23. Haleem, A.; Javaid, M. Role of CT and MRI in the design and development of orthopaedic model using additive manufacturing. J. Clin. Orthop. Trauma 2018, 9, 213–217. [Google Scholar] [CrossRef]
  24. Mendonça, C.J.A.; Setti, J.A.P. 3D printing in orthopedic surgery. In Personalized Orthopedics: Contributions and Applications of Biomedical Engineering; Springer: Berlin/Heidelberg, Germany, 2022; pp. 375–409. [Google Scholar]
  25. Wong, K.C. 3D-printed patient-specific applications in orthopedics. Orthop. Res. Rev. 2016, 8, 57–66. [Google Scholar] [CrossRef]
  26. Almeida, H.A.; Vasco, J.; Correia, M.; Ruben, R. Layer Thickness Evaluation Between Medical Imaging and Additive Manufacturing. In Proceedings of the VipIMAGE 2019: Proceedings of the VII ECCOMAS Thematic Conference on Computational Vision and Medical Image Processing, Porto, Portugal, 16–18 October 2019; Springer: Berlin/Heidelberg, Germany, 2019; pp. 693–701. [Google Scholar]
  27. Peel, S.; Bhatia, S.; Eggbeer, D.; Morris, D.S.; Hayhurst, C. Evolution of design considerations in complex craniofacial reconstruction using patient-specific implants. Proc. Inst. Mech. Eng. Part H J. Eng. Med. 2017, 231, 509–524. [Google Scholar] [CrossRef]
  28. Biscaccianti, V.; Fragnaud, H.; Hascoët, J.Y.; Crenn, V.; Vidal, L. Digital chain for pelvic tumor resection with 3D-printed surgical cutting guides. Front. Bioeng. Biotechnol. 2022, 10, 991676. [Google Scholar] [CrossRef] [PubMed]
  29. Popescu, D.; Laptoiu, D.; Marinescu, R.; Botezatu, I. Design and 3D printing customized guides for orthopaedic surgery–lessons learned. Rapid Prototyp. J. 2018, 24, 901–913. [Google Scholar] [CrossRef]
  30. Pereira, C.; Ventura, F.; Gaspar, M.; Fontes, R.; Mateus, A. Customized implant development for maxillo-mandibular reconstruction. In Virtual and Rapid Manufacturing; CRC Press: Boca Raton, FL, USA, 2007; pp. 159–166. [Google Scholar]
  31. Cholkar, A.; Kinahan, D.J.; Brabazon, D. Topology and FEA modeling and optimization of a patient-specific zygoma implant. In Proceedings of the 24th International Conference on Material Forming (ESAFORM 2021), Liege, Belgium, 14–16 April 2021. [Google Scholar]
  32. Larosa, M.A.; Jardini, A.L.; Zavaglia, C.A.d.C.; Kharmandayan, P.; Calderoni, D.R.; Maciel Filho, R. Microstructural and mechanical characterization of a custom-built implant manufactured in titanium alloy by direct metal laser sintering. Adv. Mech. Eng. 2014, 6, 945819. [Google Scholar] [CrossRef]
  33. Mian, S.H.; Moiduddin, K.; Abdo, B.M.; Sayeed, A.; Alkhalefah, H. Modelling and evaluation of meshed implant for cranial reconstruction. Int. J. Adv. Manuf. Technol. 2022, 118, 1967–1985. [Google Scholar] [CrossRef]
  34. Fedorov, A.; Beichel, R.; Kalpathy-Cramer, J.; Finet, J.; Fillion-Robin, J.C.; Pujol, S.; Bauer, C.; Jennings, D.; Fennessy, F.; Sonka, M.; et al. 3D Slicer as an image computing platform for the Quantitative Imaging Network. Magn. Reson. Imaging 2012, 30, 1323–1341. [Google Scholar] [CrossRef] [PubMed]
  35. Moncayo-Matute, F.P.; Pena-Tapia, P.G.; Vázquez-Silva, E.; Torres-Jara, P.B.; Abad-Farfán, G.; Moya-Loaiza, D.P.; Andrade-Galarza, A.F. Description and application of a comprehensive methodology for custom implant design and surgical planning. Interdiscip. Neurosurg. 2022, 29, 101585. [Google Scholar] [CrossRef]
  36. Serrano, C. Impression 3D de Dispositifs Médicaux Utilisés en Chirurgie: Quelles Recommandations Pour l’élaboration d’un Modèle d’évaluation Médico-Économique? Ph.D. Thesis, Université Paris-Saclay, Orsay, France, 2020. [Google Scholar]
  37. Sazzad, F.; Ramanathan, K.; Moideen, I.S.; Gohary, A.E.; Stevens, J.C.; Kofidis, T. A systematic review of individualized heart surgery with a personalized prosthesis. J. Pers. Med. 2023, 13, 1483. [Google Scholar] [CrossRef] [PubMed]
  38. Moncayo-Matute, F.P.; Peña-Tapia, P.G.; Vázquez-Silva, E.; Torres-Jara, P.B.; Moya-Loaiza, D.P.; Abad-Farfán, G. Surgical planning for the removal of cranial espheno-orbitary meningioma through the use of personalized polymeric prototypes obtained with an additive manufacturing technique. In Proceedings of the 2023 3rd International Conference on Electrical, Computer, Communications and Mechatronics Engineering (ICECCME), Canary Islands, Spain, 19–21 July 2023; pp. 1–7. [Google Scholar]
  39. Daniels, A.H.; Singh, M.; Knebel, A.; Thomson, C.; Kuharski, M.J.; De Varona, A.; Nassar, J.E.; Farias, M.J.; Diebo, B.G. Preoperative Optimization Strategies in Elective Spine Surgery. JBJS Rev. 2025, 13, e24. [Google Scholar] [CrossRef]
  40. Han, H.H.; Shim, J.H.; Lee, H.; Kim, B.Y.; Lee, J.S.; Jung, J.W.; Yun, W.S.; Baek, C.H.; Rhie, J.W.; Cho, D.W. Reconstruction of complex maxillary defects using patient-specific 3D-printed biodegradable scaffolds. Plast. Reconstr.-Surg. -Glob. Open 2018, 6, e1975. [Google Scholar] [CrossRef]
  41. Kämmerer, P.W.; Müller, D.; Linz, F.; Peron, P.F.; Pabst, A. Patient-specific 3D-printed cutting guides for high oblique sagittal osteotomy—an innovative surgical technique for nerve preservation in orthognathic surgery. J. Surg. Case Rep. 2021, 2021, rjab345. [Google Scholar] [CrossRef]
  42. Sharma, A.; Rickey, D.; Hayakawa, T.; Pathak, A.; Dubey, A.; Sasaki, D.; Harris, C.; Buchel, E.; Alpuche, J.; McCurdy, B.M.; et al. Utilization of 3D Printing in Surgical Oncology: An Institutional Review of Cost and Time Effectiveness. Cureus J. Med. Sci. 2017. [Google Scholar]
  43. Van den Broeck, J.; Wirix-Speetjens, R.; Vander Sloten, J. Preoperative analysis of the stability of fit of a patient-specific surgical guide. Comput. Methods Biomech. Biomed. Eng. 2015, 18, 38–47. [Google Scholar] [CrossRef]
  44. Caiti, G.; Dobbe, J.G.; Strijkers, G.J.; Strackee, S.D.; Streekstra, G.J. Positioning error of custom 3D-printed surgical guides for the radius: Influence of fitting location and guide design. Int. J. Comput. Assist. Radiol. Surg. 2018, 13, 507–518. [Google Scholar] [CrossRef]
  45. Teoh, S. Fatigue of biomaterials: A review. Int. J. Fatigue 2000, 22, 825–837. [Google Scholar] [CrossRef]
  46. Zoabi, A.; Redenski, I.; Oren, D.; Kasem, A.; Zigron, A.; Daoud, S.; Moskovich, L.; Kablan, F.; Srouji, S. 3D printing and virtual surgical planning in oral and maxillofacial surgery. J. Clin. Med. 2022, 11, 2385. [Google Scholar] [CrossRef]
  47. Guzman-Bautista, A.; López-Arrabal, A.; Sanchez-Oro-Aguado, E.; Fernández Gorgojo, A.; García-Galán, R.; Badesa, F.J.; Vizan-Idoipe, A. Quasi-Uniform Density Non-Solid Infill Strategy for Axisymmetric Non-Planar Additive Manufacturing. Appl. Sci. 2025, 15, 5899. [Google Scholar] [CrossRef]
  48. Franco-Martínez, F.; Solórzano-Requejo, W.; de Blas-de Miguel, A.; Vostatek, M.; Grasl, C.; Bonora, M.; Moscato, F.; Lantada, A.D. Design and Manufacturing of Microtextured Patient-Specific Coronary Stent. In Proceedings of the 16th International Joint Conference on Biomedical Engineering Systems and Technologies (BIOSTEC 2023)—Volume 1: BIODEVICES; SCITEPRESS—Science and Technology Publications: Setúbal, Portugal, 2023; pp. 142–149. [Google Scholar]
  49. Cendrero, A.M.; Fortunato, G.M.; Munoz-Guijosa, J.M.; De Maria, C.; Díaz Lantada, A. Benefits of non-planar printing strategies towards eco-efficient 3d printing. Sustainability 2021, 13, 1599. [Google Scholar] [CrossRef]
  50. Gil-Villacastin, L.; Guzman-Bautista, A.; Lopez-Arrabal, A.; Chacon-Tanarro, E.; Sancho-Arellano, A.; Lerin-Alonso, M. Design for Robot-Based Non-Planar Additive Manufacturing Case Study: Soft Robotics Gripper. In Proceedings of the 2025 9th International Conference on Mechanical Engineering and Robotics Research (ICMERR), Barcelona, Spain, 15–17 January 2025; pp. 5–9. [Google Scholar]
  51. López-Arrabal, A.; Guzmán-Bautista, Á.; Solórzano-Requejo, W.; Franco-Martínez, F.; Villaverde, M. Axisymmetric non-planar slicing and path planning strategy for robot-based additive manufacturing. Mater. Des. 2024, 241, 112915. [Google Scholar] [CrossRef]
  52. López-Arrabal, A.; Guzmán-Bautista, Á.; Solórzano-Requejo, W.; Sancho-Arellano, A.; Franco-Martínez, F.; Lantada, A.D. Path planning design for robot based non-planar additive manufacturing case study: Coronary stent. In Proceedings of the 2025 9th International Conference on Mechanical Engineering and Robotics Research (ICMERR), Barcelona, Spain, 15–17 January 2025; pp. 17–21. [Google Scholar]
  53. Kainz, M.; Perak, S.; Stubauer, G.; Kopp, S.; Kauscheder, S.; Hemetzberger, J.; Martínez Cendrero, A.; Díaz Lantada, A.; Tupe, D.; Major, Z.; et al. Additive and lithographic manufacturing of biomedical scaffold structures using a versatile thiol-ene photocurable resin. Polymers 2024, 16, 655. [Google Scholar] [CrossRef]
  54. Lantada, A.D.; Jouda, M.; Solórzano-Requejo, W.; Mager, D.; Islam, M.; Korvink, J.G. Combining μ-MRI with cellular automata simulation for an improved insight into cell growth within scaffolds. Cell Rep. Phys. Sci. 2025, 6, 102629. [Google Scholar] [CrossRef]
  55. Solórzano-Requejo, W.; Martinez Cendrero, A.; Altun, A.A.; Nohut, S.; Ojeda, C.; Garcia Molleja, J.; Molina-Aldareguia, J.; Schwentenwein, M.; Diaz Lantada, A. Topology optimisation and lithography-based ceramic manufacturing of short-stem hip prostheses with enhanced biomechanical and mechanobiological performance. Virtual Phys. Prototyp. 2024, 19, e2387280. [Google Scholar] [CrossRef]
Figure 1. Left temporoparietal prominence and ocular proptosis.
Figure 1. Left temporoparietal prominence and ocular proptosis.
Jpm 15 00397 g001
Figure 2. Computed tomography (CAT). Left temporoparietal cranial defect, solution of continuity in the roof of the orbit and temporoparietal region.
Figure 2. Computed tomography (CAT). Left temporoparietal cranial defect, solution of continuity in the roof of the orbit and temporoparietal region.
Jpm 15 00397 g002
Figure 3. Selection of the HU intensity (corresponding to the necessary bone density) from the tomographic image.
Figure 3. Selection of the HU intensity (corresponding to the necessary bone density) from the tomographic image.
Jpm 15 00397 g003
Figure 4. Bone segmentation of the anatomical model with the cranial defect.
Figure 4. Bone segmentation of the anatomical model with the cranial defect.
Jpm 15 00397 g004
Figure 5. Preparation of the 3D-printing model.
Figure 5. Preparation of the 3D-printing model.
Jpm 15 00397 g005
Figure 6. Three-dimensional anatomical model of the skull and cutting plan.
Figure 6. Three-dimensional anatomical model of the skull and cutting plan.
Jpm 15 00397 g006
Figure 7. Resected bone complex (top left). Bone complex with osteotomies (top right). Union of osteotomies and reconstruction of the temporoparietal bone defect with osteosynthesis (bottom left). Placement of orbital roof prosthesis for its reconstruction (bottom centre). Placement of reconstructed bone complex (bottom right).
Figure 7. Resected bone complex (top left). Bone complex with osteotomies (top right). Union of osteotomies and reconstruction of the temporoparietal bone defect with osteosynthesis (bottom left). Placement of orbital roof prosthesis for its reconstruction (bottom centre). Placement of reconstructed bone complex (bottom right).
Jpm 15 00397 g007
Figure 8. Immediate postoperative tomographic control. The correction of the cranial defect, temporoparietal encephalocele and the roof of the orbit are observed.
Figure 8. Immediate postoperative tomographic control. The correction of the cranial defect, temporoparietal encephalocele and the roof of the orbit are observed.
Jpm 15 00397 g008
Figure 9. Significant reduction in ocular proptosis and temporoparietal prominence is observed.
Figure 9. Significant reduction in ocular proptosis and temporoparietal prominence is observed.
Jpm 15 00397 g009
Figure 10. Collapse in the left temporo-parieto-occipital region.
Figure 10. Collapse in the left temporo-parieto-occipital region.
Jpm 15 00397 g010
Figure 11. TAC: sinking in the temporo-parieto-occipital region (left). Solution of bone continuity in the affected area (centre-right).
Figure 11. TAC: sinking in the temporo-parieto-occipital region (left). Solution of bone continuity in the affected area (centre-right).
Jpm 15 00397 g011
Figure 12. Bone segmentation of the anatomical model from the tomographic image.
Figure 12. Bone segmentation of the anatomical model from the tomographic image.
Jpm 15 00397 g012
Figure 13. Three-dimensional anatomical model of the skull and non-implantable prosthesis (only for planning).
Figure 13. Three-dimensional anatomical model of the skull and non-implantable prosthesis (only for planning).
Jpm 15 00397 g013
Figure 14. Three-dimensional patient-specific implant placement (left). Detail of implant fixation (right).
Figure 14. Three-dimensional patient-specific implant placement (left). Detail of implant fixation (right).
Jpm 15 00397 g014
Figure 15. Postoperative tomographic control. The reconstruction process was successfully executed to a satisfactory degree.
Figure 15. Postoperative tomographic control. The reconstruction process was successfully executed to a satisfactory degree.
Jpm 15 00397 g015
Figure 16. Resolution of the cranial deformity.
Figure 16. Resolution of the cranial deformity.
Jpm 15 00397 g016
Figure 17. Frontal tumour, ocular proptosis, enophthalmos.
Figure 17. Frontal tumour, ocular proptosis, enophthalmos.
Jpm 15 00397 g017
Figure 18. CAT: 5 cm bone lesion in the roof of the orbit, paranasal sinus and anterior vault of the skull.
Figure 18. CAT: 5 cm bone lesion in the roof of the orbit, paranasal sinus and anterior vault of the skull.
Jpm 15 00397 g018
Figure 19. Exposure of cranial damage from the tomographic image and three-dimensional model.
Figure 19. Exposure of cranial damage from the tomographic image and three-dimensional model.
Jpm 15 00397 g019
Figure 20. Three-dimensional printing of the anatomical model of the skull with the defect.
Figure 20. Three-dimensional printing of the anatomical model of the skull with the defect.
Jpm 15 00397 g020
Figure 21. Skull fixation for actual surgery (left). Placement of reconstructed bone complex (right).
Figure 21. Skull fixation for actual surgery (left). Placement of reconstructed bone complex (right).
Jpm 15 00397 g021
Figure 22. Postsurgical tomography. Removal of the cranial tumour, frontoparietal and roof orbit reconstructions are observed.
Figure 22. Postsurgical tomography. Removal of the cranial tumour, frontoparietal and roof orbit reconstructions are observed.
Jpm 15 00397 g022
Figure 23. Resolution of ocular proptosis and frontal zygomatic prominence.
Figure 23. Resolution of ocular proptosis and frontal zygomatic prominence.
Jpm 15 00397 g023
Figure 24. Presurgical tomography.
Figure 24. Presurgical tomography.
Jpm 15 00397 g024
Figure 25. Virtual models: anatomical defect (left, yellow area), virtual model of the custom cutting guide (right, holes for fasteners and cutting slot shown).
Figure 25. Virtual models: anatomical defect (left, yellow area), virtual model of the custom cutting guide (right, holes for fasteners and cutting slot shown).
Jpm 15 00397 g025
Figure 26. Anterior view (left), showing joint damage. Posterior view (right), defects caused by osteosarcoma.
Figure 26. Anterior view (left), showing joint damage. Posterior view (right), defects caused by osteosarcoma.
Jpm 15 00397 g026
Figure 27. Repaired virtual model: anterior view, undamaged joint (left). Posterior view, without osteosarcoma (right).
Figure 27. Repaired virtual model: anterior view, undamaged joint (left). Posterior view, without osteosarcoma (right).
Jpm 15 00397 g027
Figure 28. Anatomical model, cutting guide and personalised prosthesis, printed in 3D.
Figure 28. Anatomical model, cutting guide and personalised prosthesis, printed in 3D.
Jpm 15 00397 g028
Figure 29. Three-dimensional printed implant anatomical model.
Figure 29. Three-dimensional printed implant anatomical model.
Jpm 15 00397 g029
Figure 30. Moments of surgery: Positioning and fixing the cutting guide (above). The tumour was removed alongside the anatomical test model and implant (bottom left). Implant fixation elements (bottom right).
Figure 30. Moments of surgery: Positioning and fixing the cutting guide (above). The tumour was removed alongside the anatomical test model and implant (bottom left). Implant fixation elements (bottom right).
Jpm 15 00397 g030
Figure 31. Postsurgical tomography. Reconstruction of the right sternoclavicular joint after tumour excision.
Figure 31. Postsurgical tomography. Reconstruction of the right sternoclavicular joint after tumour excision.
Jpm 15 00397 g031
Figure 32. External views of the thoracic tumour.
Figure 32. External views of the thoracic tumour.
Jpm 15 00397 g032
Figure 33. Tomographic image that reveals involvement of the skin, subcutaneous cellular tissue, soft tissues and rib grill with pleura invasion.
Figure 33. Tomographic image that reveals involvement of the skin, subcutaneous cellular tissue, soft tissues and rib grill with pleura invasion.
Jpm 15 00397 g033
Figure 34. Anatomical model printing process (left). Cutting guide (right).
Figure 34. Anatomical model printing process (left). Cutting guide (right).
Jpm 15 00397 g034
Figure 35. Detail of the cutting guide (left). Anatomical test model with the tumour (right).
Figure 35. Detail of the cutting guide (left). Anatomical test model with the tumour (right).
Jpm 15 00397 g035
Figure 36. Excision of the tumour through limits marked by the cutting guide.
Figure 36. Excision of the tumour through limits marked by the cutting guide.
Jpm 15 00397 g036
Figure 37. Reconstruction of the posterior chest wall.
Figure 37. Reconstruction of the posterior chest wall.
Jpm 15 00397 g037
Figure 38. Isolation of the clavicular tumour (left). Clavicle and sternum reconstruction model (right).
Figure 38. Isolation of the clavicular tumour (left). Clavicle and sternum reconstruction model (right).
Jpm 15 00397 g038
Figure 39. Bone segmentation model and anatomical reconstruction (left). Anatomical positioning of the cutting guide (right).
Figure 39. Bone segmentation model and anatomical reconstruction (left). Anatomical positioning of the cutting guide (right).
Jpm 15 00397 g039
Figure 40. Anatomical model printed in PLA and BioMed white resin-based cutting guide (left). PMMA-based custom implant (right).
Figure 40. Anatomical model printed in PLA and BioMed white resin-based cutting guide (left). PMMA-based custom implant (right).
Jpm 15 00397 g040
Figure 41. Surgery details: Positioning the cutting guide (top, left). Space left by the excision of the tumour (top, right). Placement of the custom implant (bottom, left). Implant fixation (bottom, right).
Figure 41. Surgery details: Positioning the cutting guide (top, left). Space left by the excision of the tumour (top, right). Placement of the custom implant (bottom, left). Implant fixation (bottom, right).
Jpm 15 00397 g041
Figure 42. Right sternoclavicular reconstruction after tumour excision (tomographic image).
Figure 42. Right sternoclavicular reconstruction after tumour excision (tomographic image).
Jpm 15 00397 g042
Figure 43. Different aspects of deformity identification (tomographic image).
Figure 43. Different aspects of deformity identification (tomographic image).
Jpm 15 00397 g043
Figure 44. Anatomical test model of the skull (left). Test model of the cutting guide and planning of cuts on the cranial bone (right).
Figure 44. Anatomical test model of the skull (left). Test model of the cutting guide and planning of cuts on the cranial bone (right).
Jpm 15 00397 g044
Figure 45. Digital models of the skull and the cutting guide.
Figure 45. Digital models of the skull and the cutting guide.
Jpm 15 00397 g045
Figure 46. Before surgery (left). Bone distraction for positioning the frontal bone block (top right). After surgery (bottom right).
Figure 46. Before surgery (left). Bone distraction for positioning the frontal bone block (top right). After surgery (bottom right).
Jpm 15 00397 g046
Table 1. FDM additive manufacturing characteristics and parameters.
Table 1. FDM additive manufacturing characteristics and parameters.
Characteristics and Manufacturing ParametersFused Deposition Modelling (FDM)
Company and modelCreality CR-X Pro (2019 Updated)
Maximum build envelope300 × 300 × 400  mm3
Nozzle diameter 0.4 mm
Positioning resolution ( X Y Z ) 1.25 μ m/1.25 μ m/1 μ m
Selected layer thickness 0.1  mm
Printed filament line width 0.4  mm
Table 2. Characteristics of the polymers utilised in this study.
Table 2. Characteristics of the polymers utilised in this study.
CharacteristicsPLA (FDM)PMMAResin PolyJetPEEK
PolymerThermoplasticThermoplasticPhotopolymerThermoplastic
ManufacturerCreality HPVeracril, New Stetic S.A.StratasysEvonik Corporation
CommercialHP-PLAPMMAMED610Vestakeep PEEK
ColorWhite (Bone)TransparentTransparentLight gray
Density1.23 kg m−31.15–1.19 kg m−31.17–1.18 kg m−31300 kg m−3
Tensile strength52 MPa30–50 MPa50–65 MPa90–100 MPa
Print/molding temperature190–220 °C (±5 °C)60–80 °C45–50 °C260–300 °C
Filament diameter1.75 mm--1.75 mm
Printed diameter0.55 mm--0.55 mm
Table 3. Summary of patients treated and solutions provided.
Table 3. Summary of patients treated and solutions provided.
Variable/CaseCase 1Case 2Case 3Case 4Case 5Case 6Case 7
Age 2 years old10 years old11 years old55 years old70 years old55 years old9 months old
SexFemaleMaleMaleFemaleFemaleFemaleFemale
DiagnosisSequela of craniocerebral traumaPost-trauma cranial collapseOsteofibrous dysplasiaSternoclavicular osteosarcomaPosterior thoracic tumourSternoclavicular tumourMetopic craniosynostosis and trigonocephaly
Anatomical regionLeft temporoparietal and orbitalLeft temporoparietal-occipitalRight frontal and orbital roofRight sternoclavicular jointRight posterior chest wallRight sternum and clavicleFrontal bone and metopic region
Type of interventionOsteotomy, resection, reconstructionCranioplastyTumour resection, craniofacial reconstructionEn bloc resection, prosthesisEn bloc rib resection, thoracic reconstructionResection, sternoclavicular reconstructionCranial remodelling assisted with surgical guide
Medical deviceOrbital prosthesisCustom prosthesisReconstructed bone complexSternoclavicular implantCustom rib implantSternoclavicular implantCustom cutting guide
Implant materialOwn bonePMMAMedical PEEKPMMAPMMAPMMANot applicable
Surgical guide (yes/no)Yes (3D model for planning)Yes (3D model for planning)Yes (3D model for planning)Yes (3D model for planning)Yes (3D model for planning)Yes (3D model for planning)Yes (3D model for planning and surgery)
Approximate surgery time2.2 h1.15 h1.45 h2.3 h1.55 h2.3 h1.5 h
Aesthetic resultImprovement of proptosis and cranial symmetryCranial contour restorationResolution of frontal and orbital deformityAdequate anatomical reconstructionThoracic reconstructionRestored sternoclavicular symmetryCorrección morfológica craneofacial
Postoperative functionalityAdequateAdequateAdequateImproved mobility of the right armThoracic and respiratory stabilityPreserved joint functionalityPrevention of intracranial hypertension
Medical follow-up timeNot specified (immediate control by TAC)Not specified (immediate control by TAC)Not specified (immediate control by TAC)Not specifiedNot specifiedNot specifiedRegular pediatric follow-up (ongoing)
Additional commentsGood clinical and aesthetic resultGood clinical and aesthetic resultComplete reconstruction of orbit and skullUse of personalised cutting guide for resectionResection with negative marginsUse of biocompatible resin in surgical guideEffective technique in childhood with good prognosis
Disclaimer/Publisher’s Note: The statements, opinions and data contained in all publications are solely those of the individual author(s) and contributor(s) and not of MDPI and/or the editor(s). MDPI and/or the editor(s) disclaim responsibility for any injury to people or property resulting from any ideas, methods, instructions or products referred to in the content.

Share and Cite

MDPI and ACS Style

Moncayo-Matute, F.P.; Vázquez-Albornoz, J.H.; Vázquez-Silva, E.; Hidalgo-Bravo, A.J.; Torres-Jara, P.B.; Moya-Loaiza, D.P. 3D Printing and Virtual Surgical Planning in Craniofacial and Thoracic Surgery: Applications to Personalised Medicine. J. Pers. Med. 2025, 15, 397. https://doi.org/10.3390/jpm15090397

AMA Style

Moncayo-Matute FP, Vázquez-Albornoz JH, Vázquez-Silva E, Hidalgo-Bravo AJ, Torres-Jara PB, Moya-Loaiza DP. 3D Printing and Virtual Surgical Planning in Craniofacial and Thoracic Surgery: Applications to Personalised Medicine. Journal of Personalized Medicine. 2025; 15(9):397. https://doi.org/10.3390/jpm15090397

Chicago/Turabian Style

Moncayo-Matute, Freddy Patricio, Jhonatan Heriberto Vázquez-Albornoz, Efrén Vázquez-Silva, Ana Julia Hidalgo-Bravo, Paúl Bolívar Torres-Jara, and Diana Patricia Moya-Loaiza. 2025. "3D Printing and Virtual Surgical Planning in Craniofacial and Thoracic Surgery: Applications to Personalised Medicine" Journal of Personalized Medicine 15, no. 9: 397. https://doi.org/10.3390/jpm15090397

APA Style

Moncayo-Matute, F. P., Vázquez-Albornoz, J. H., Vázquez-Silva, E., Hidalgo-Bravo, A. J., Torres-Jara, P. B., & Moya-Loaiza, D. P. (2025). 3D Printing and Virtual Surgical Planning in Craniofacial and Thoracic Surgery: Applications to Personalised Medicine. Journal of Personalized Medicine, 15(9), 397. https://doi.org/10.3390/jpm15090397

Note that from the first issue of 2016, this journal uses article numbers instead of page numbers. See further details here.

Article Metrics

Back to TopTop