Efficacy and Safety of Personalized Percutaneous Single-Probe Cryoablation Using Liquid Nitrogen in the Treatment of Abdominal Wall Endometriosis
Abstract
1. Introduction
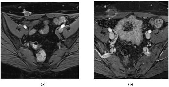
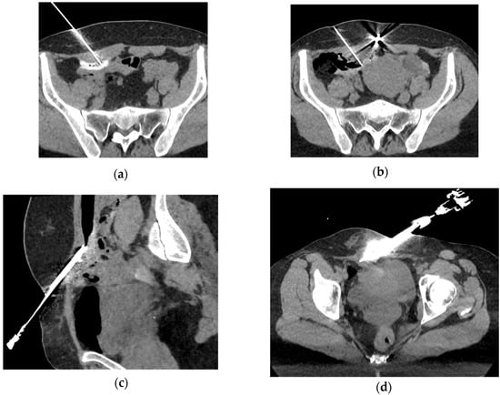
2. Materials and Methods
3. Results
4. Discussion
5. Conclusions
Author Contributions
Funding
Institutional Review Board Statement
Informed Consent Statement
Data Availability Statement
Conflicts of Interest
References
- Márki, G.; Vásárhelyi, D.; Rigó, A.; Kaló, Z.; Ács, N.; Bokor, A. Challenges of and possible solutions for living with endometriosis: A qualitative study. BMC Womens Health 2022, 22, 20. [Google Scholar] [CrossRef] [PubMed]
- Hensen, J.-H.J.; Van Breda Vriesman, A.C.; Puylaert, J.B.C.M. Abdominal Wall Endometriosis: Clinical Presentation and Imaging Features with Emphasis on Sonography. Am. J. Roentgenol. 2006, 186, 616–620. [Google Scholar] [CrossRef] [PubMed]
- Radzynski, L.; Boyer, L.; Kossai, M.; Mouraire, A.; Montoriol, P.-F. Pictorial essay: MRI evaluation of endometriosis-associated neoplasms. Insights Imaging 2023, 14, 144. [Google Scholar] [CrossRef] [PubMed]
- Hu, S.; Liu, Y.; Chen, R.; Xiao, Z. Exploring the Diagnostic Performance of Magnetic Resonance Imaging in Ultrasound-Guided High-Intensity Focused Ultrasound Ablation for Abdominal Wall Endometriosis. Front. Physiol. 2022, 13, 819259. Available online: https://www.frontiersin.org/journals/physiology/articles/10.3389/fphys.2022.819259/full (accessed on 17 March 2025). [CrossRef] [PubMed]
- Busard, M.P.H.; Mijatovic, V.; van Kuijk, C.; Hompes, P.G.A.; van Waesberghe, J.H.T.M. Appearance of abdominal wall endometriosis on MR imaging. Eur. Radiol. 2010, 20, 1267–1276. [Google Scholar] [CrossRef] [PubMed]
- Welch, B.T.; Ehman, E.C.; VanBuren, W.M.; Cope, A.G.; Welch, T.L.; Woodrum, D.A.; Kurup, A.N.; Burnett, T.L. Percutaneous cryoablation of abdominal wall endometriosis: The Mayo Clinic approach. Abdom. Radiol. 2020, 45, 1813–1817. [Google Scholar] [CrossRef] [PubMed]
- Encalada-Soto, D.; Zaucha, D.; Mikhail, E. Abdominal wall endometriosis: Pathogenesis, diagnosis, and update on minimally invasive treatment options: A narrative review. Ann. Laparosc. Endosc. Surg. 2023, 10, 13. [Google Scholar] [CrossRef]
- Foley, C.E.; Ayers, P.G.; Lee, T.T. Abdominal Wall Endometriosis. Obstet. Gynecol. Clin. 2022, 49, 369–380. [Google Scholar] [CrossRef] [PubMed]
- Stein, L.; Elsayes, K.M.; Wagner-Bartak, N. Subcutaneous Abdominal Wall Masses: Radiological Reasoning. Am. J. Roentgenol. 2012, 198, W146–W151. [Google Scholar] [CrossRef] [PubMed]
- Erinjeri, J.P. Overview of Thermal Ablation Devices: Cryoablation. In Interventional Radiology Techniques in Ablation; Clark, T., Sabharwal, T., Eds.; Springer: London, UK, 2013; pp. 13–19. [Google Scholar] [CrossRef]
- Dibble, E.H.; D’Amico, K.C.; Bandera, C.A.; Littrup, P.J. Cryoablation of Abdominal Wall Endometriosis: A Minimally Invasive Treatment. Am. J. Roentgenol. 2017, 209, 690–696. [Google Scholar] [CrossRef] [PubMed]
- Maillot, J.; Brun, J.L.; Dubuisson, V.; Bazot, M.; Grenier, N.; Cornelis, F.H. Mid-term outcomes after percutaneous cryoablation of symptomatic abdominal wall endometriosis: Comparison with surgery alone in a single institution. Eur. Radiol. 2017, 27, 4298–4306. [Google Scholar] [CrossRef] [PubMed]
- Habrawi, Z.; Melkus, M.W.; Khan, S.; Henderson, J.; Brandi, L.; Chu, V.; Rahman, R.L. Cryoablation: A promising non-operative therapy for low-risk breast cancer. Am. J. Surg. 2021, 221, 127–133. [Google Scholar] [CrossRef] [PubMed]
- Erinjeri, J.P.; Clark, T.W. Cryoablation: Mechanism of Action and Devices. J. Vasc. Interv. Radiol. 2010, 21, S187–S191. [Google Scholar] [CrossRef] [PubMed]
- Narvaez, J.A.; Bernabeu, D.; Muntaner, L.; Gomez, F.; Martel, J.; Castellano, M.d.M.; García-Marcos, R.; Britel, R.; Oyagüez, I.; Tejado, N.; et al. Economic evaluation of percutaneous cryoablation vs conventional surgery in extra-abdominal desmoid tumours in the Spanish healthcare system. Insights Imaging 2024, 15, 1. [Google Scholar] [CrossRef] [PubMed]
- Orsi, F.; Hamiddin, A.S.; Sattin, C.; Pizzi, C.; Varano, G.M.; Della Vigna, P.; Mauri, G.; Maiettini, D.; Bonomo, G. Liquid nitrogen-based cryoablation: Complication rates for lung, bone, and soft tissue tumors cryoablation. Br. J. Radiol. 2024, 97, 1863–1869. [Google Scholar] [CrossRef] [PubMed]
- Benedetto, C.; Cacozza, D.; de Sousa Costa, D.; Coloma Cruz, A.; Tessmann Zomer, M.; Cosma, S.; Trippia, C.H.; Santos Cavalcanti, T.C.; Alves Castro, G.R.; Kondo, W. Abdominal wall endometriosis: Report of 83 cases. Int. J. Gynecol. Obstet. 2022, 159, 530–536. [Google Scholar] [CrossRef] [PubMed]
- Najdawi, M.; Razakamanantsoa, L.; Mousseaux, C.; Bendifallah, S.; Touboul, C.; Thomassin-Naggara, I.; Bazot, M.; Barral, M.; Cornelis, F.H. Resolution of Pain after Percutaneous Image-Guided Cryoablation of Extraperitoneal Endometriosis. J. Vasc. Interv. Radiol. 2023, 34, 1192–1198. [Google Scholar] [CrossRef] [PubMed]
- Hasan, A.; Deyab, A.; Monazea, K.; Salem, A.; Futooh, Z.; Mostafa, M.A.; Youssef, A.; Nasr, M.; Omar, N.; Rabaan, A.A.; et al. Clinico-pathological assessment of surgically removed abdominal wall endometriomas following cesarean section. Ann. Med. Surg. 2021, 62, 219–224. [Google Scholar] [CrossRef] [PubMed]
- Horton, J.D.; DeZee, K.J.; Ahnfeldt, E.P.; Wagner, M. Abdominal wall endometriosis: A surgeon’s perspective and review of 445 cases. Am. J. Surg. 2008, 196, 207–212. [Google Scholar] [CrossRef] [PubMed]




| Number of Patients | 14 |
| Total Number of Lesions | 23 |
| Median Age | 39 years |
| Median Lesion Volume and Range | 3546 mm3, with a range from 331 mm3 (8 × 4.6 × 9 mm) to 45,448 mm3 (46 × 26 × 38 mm). |
| Imaging Characteristics | - Mixed (n = 18) - Hemorrhagic (n = 2) - Fibrotic (n = 3) |
| Lesion Locations | - Rectus abdominis muscle (n = 16) - Subcutaneous fat (n = 3) - Combined rectus abdominis + subcutaneous fat (n = 4) |
| Study | Treatment Modality | Patients (n) | Median Follow-Up | Symptom-Free Rate at FU | Pain Reduction (VAS) | Aesthetic Outcome | Complications | Hospital Stay | Recurrence Rate |
|---|---|---|---|---|---|---|---|---|---|
| Touimi Benjelloun et al., 2025 | Cryoablation (single probe, liquid N2) | 14 (23 lesions) | 3 months | 86% (12/14) | 8→0 | No visible scar | None | Outpatient | 14% (2/14) |
| Maillot et al., 2017 [12] | Cryoablation vs. Surgery | 7 cryoablation/13 surgery | 22.5 months for cryoablation/54 months for surgery | 66.7% cryoablation/92% surgery | NR | No visible scan: cryoablation/69% aesthetic sequels: surgery | 0% cryoablation/ 23% surgery (severe complications) | 0.8 d cryoablation/2.8 d (surgery) | 14% cryoablation/7.7% surgery |
| Dibble et al., 2017 [11] | Cryoablation | 3 | 2.5 months | 2/3 patients | 8→0 | NR | None | Outpatient | NR |
| Najdawi et al., 2023 [18] | Cryoablation | 42 | 13.5 months | 82.72% | 8→0 | NR | 9.5% mild adverse events (skin burn); 2% severe adverse event (skin burn and small bowel injury) | Outpatient | 9.5% |
| Hasan et al., 2021 [19] | Surgical excision | 30 | 38 months (mean) | 100% (no recurrence) | VAS NR | NR | 33% (1 hernia, 5 wound infections, 4 bleedings) | Not reported | 0% |
| Horton et al., 2008 [20] | Surgical excision | 445 (445 lesions) | NR | 95% (symptom relief) | VAS NR | NR | NR | Not reported | 4.3% (Range 0% to 29%) |
| Benedetto et al., 2022 [17] | Surgical excision | 83 | US 6 mo after surgery + annual US | NR | Pre-op: 85% VAS ≤ 6, 15% ≥ 7; post-op: NR | NR | Hematoma/seroma 10.8%; Incisional Hernia 2.4%; (mostly > 30 mm lesions); no major events | 3 to 36 h (mean 16 h) | 0% |
Disclaimer/Publisher’s Note: The statements, opinions and data contained in all publications are solely those of the individual author(s) and contributor(s) and not of MDPI and/or the editor(s). MDPI and/or the editor(s) disclaim responsibility for any injury to people or property resulting from any ideas, methods, instructions or products referred to in the content. |
© 2025 by the authors. Licensee MDPI, Basel, Switzerland. This article is an open access article distributed under the terms and conditions of the Creative Commons Attribution (CC BY) license (https://creativecommons.org/licenses/by/4.0/).
Share and Cite
Touimi Benjelloun, G.; Mokbli, M.; Kammoun, T.; Ghabri, S.; Sammoud, S.; Nabi, W.; Letouzey, V.; Beregi, J.-P.; Frandon, J. Efficacy and Safety of Personalized Percutaneous Single-Probe Cryoablation Using Liquid Nitrogen in the Treatment of Abdominal Wall Endometriosis. J. Pers. Med. 2025, 15, 373. https://doi.org/10.3390/jpm15080373
Touimi Benjelloun G, Mokbli M, Kammoun T, Ghabri S, Sammoud S, Nabi W, Letouzey V, Beregi J-P, Frandon J. Efficacy and Safety of Personalized Percutaneous Single-Probe Cryoablation Using Liquid Nitrogen in the Treatment of Abdominal Wall Endometriosis. Journal of Personalized Medicine. 2025; 15(8):373. https://doi.org/10.3390/jpm15080373
Chicago/Turabian StyleTouimi Benjelloun, Ghizlane, Malek Mokbli, Tarek Kammoun, Sinda Ghabri, Skander Sammoud, Wissem Nabi, Vincent Letouzey, Jean-Paul Beregi, and Julien Frandon. 2025. "Efficacy and Safety of Personalized Percutaneous Single-Probe Cryoablation Using Liquid Nitrogen in the Treatment of Abdominal Wall Endometriosis" Journal of Personalized Medicine 15, no. 8: 373. https://doi.org/10.3390/jpm15080373
APA StyleTouimi Benjelloun, G., Mokbli, M., Kammoun, T., Ghabri, S., Sammoud, S., Nabi, W., Letouzey, V., Beregi, J.-P., & Frandon, J. (2025). Efficacy and Safety of Personalized Percutaneous Single-Probe Cryoablation Using Liquid Nitrogen in the Treatment of Abdominal Wall Endometriosis. Journal of Personalized Medicine, 15(8), 373. https://doi.org/10.3390/jpm15080373

