Guarded Outcomes After Hip Hemiarthroplasty in Patients with Cerebral Palsy: Highlighting a Personalized Medicine Approach to Mitigate the Risk of Complications
Abstract
1. Introduction
2. Materials and Methods
2.1. Data Acquisition
2.2. Patients
2.3. Preoperative Assessment and Personalized Management Plan
2.4. Surgical Procedure
2.5. Statistical Analysis
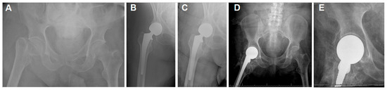
3. Results
4. Discussion
4.1. Pathophysiology of HO
4.2. Personalized Medicine Approach
4.3. Hip Arthroplasty in CP: Total Hip Arthroplasty
4.4. Hip Hemiarthroplasty in CP: Literature Gap
4.5. Recommendations for HO Prophylaxis
4.6. Physician-Patient Communication
5. Limitations
6. Conclusions
Supplementary Materials
Author Contributions
Funding
Institutional Review Board Statement
Informed Consent Statement
Data Availability Statement
Conflicts of Interest
References
- Pellegrino, L.; Dormans, J.P. Dormans, J.P., Pellegrino, L., Paul, H., Eds.; Definitions, etiology and epidemiology of cerebral palsy. In Caring for Children with Cerebral Palsy: A Team Approach; Brookes Co.: Baltimore, MD, USA, 1998; pp. 3–30. [Google Scholar]
- Morgan, P.; McGinley, J. Cerebral palsy. Handb. Clin. Neurol. 2018, 159, 323–336. [Google Scholar] [CrossRef] [PubMed]
- Cornell, M.S. The hip in cerebral palsy. Dev. Med. Child. Neurol. 1995, 37, 3–18. [Google Scholar] [CrossRef]
- Terjesen, T. Development of the hip joints in unoperated children with cerebral palsy: A radiographic study of 76 patients. Acta Orthop. 2006, 77, 125–131. [Google Scholar] [CrossRef] [PubMed]
- Howard, C.B.; McKibbin, B.; Williams, L.A.; Mackie, I. Factors affecting the incidence of hip dislocation in cerebral palsy. J. Bone Jt. Surg. Br. 1985, 67, 530–532. [Google Scholar] [CrossRef] [PubMed]
- Iram, A.; Ghaffar, T.; Solangi, Z.A.; Ayaz, J.; Rehman, A.; Yasmin, N.; Wassi, A. Association between socioeconomic status and quality of life among cerebral palsy children in government children hospitals and special training centers. J. Musculoskelet. Surg. Res. 2024, 8, 142–146. [Google Scholar] [CrossRef]
- Johari, A.N. Do not neglect the hips in cerebral palsy! J. Musculoskelet. Surg. Res. 2023, 7, 223–224. [Google Scholar] [CrossRef]
- Blair, E.; Watson, L. Epidemiology of cerebral palsy. Semin. Fetal Neonatal Med. 2006, 11, 117–125. [Google Scholar] [CrossRef]
- Strauss, D.; Brooks, J.; Rosenbloom, L.; Shavelle, R. Life expectancy in cerebral palsy: An update. Dev. Med. Child. Neurol. 2008, 50, 487–493. [Google Scholar] [CrossRef]
- Haak, P.; Lenski, M.; Hidecker, M.J.; Li, M.; Paneth, N. Cerebral palsy and aging. Dev. Med. Child. Neurol. 2009, 51, 16–23. [Google Scholar] [CrossRef]
- Panteliadis, C.P. Panteliadis, C.P., Strassburg, H.M., Eds.; Classification. In Cerebral Palsy: Principles and Management; Thieme: Stuttgart, Germany, 2004. [Google Scholar]
- Rethlefsen, S.A.; Ryan, D.D.; Kay, R.M. Classification systems in cerebral palsy. Orthop. Clin. 2010, 41, 457–467. [Google Scholar] [CrossRef]
- Flynn, J.M.; Miller, F. Management of hip disorders in patients with cerebral palsy. J. Am. Acad. Orthop. Surg. 2002, 10, 198–209. [Google Scholar] [CrossRef]
- Telléus, A.; Kiapekos, N.; Von Heideken, J.; Wagner, P.; Broström, E.; Hägglund, G.; Åstrand, P. Orthopedic surgical procedures in 3,305 children and young adults with cerebral palsy: A register-based cohort study. Acta Orthop. 2022, 93, 472–477. [Google Scholar] [CrossRef]
- El-Sobky, T.A.; Fayyad, T.A.; Kotb, A.M.; Kaldas, B. Bony reconstruction of hip in cerebral palsy children Gross Motor Function Classification System levels III to V: A systematic review. J. Pediatr. Orthop. B 2018, 27, 221–230. [Google Scholar] [CrossRef] [PubMed]
- Kiapekos, N.; Broström, E.; Hägglund, G.; Åstrand, P. Primary surgery to prevent hip dislocation in children with cerebral palsy in Sweden: A minimum 5-year follow-up by the national surveillance program (CPUP). Acta Orthop. 2019, 90, 495–500. [Google Scholar] [CrossRef]
- Whitney, D.G.; Alford, A.I.; Devlin, M.J.; Caird, M.S.; Hurvitz, E.A.; Peterson, M.D. Adults with cerebral palsy have higher prevalence of fracture compared with adults without cerebral palsy independent of osteoporosis and cardiometabolic diseases. J. Bone Miner. Res. 2019, 34, 1240–1247. [Google Scholar] [CrossRef]
- Feeley, B.T.; Gollapudi, K.; Otsuka, N.Y. Body mass index in ambulatory cerebral palsy patients. J. Pediatr. Orthop. B 2007, 16, 165–169. [Google Scholar] [CrossRef] [PubMed]
- Hermanson, M.; Hägglund, G.; Riad, J.; Wagner, P. Head-shaft angle is a risk factor for hip displacement in children with cerebral palsy. Acta Orthop. 2015, 86, 229–232. [Google Scholar] [CrossRef]
- Toro, G.; Moretti, A.; Paoletta, M.; De Cicco, A.; Braile, A.; Panni, A.S. Neglected femoral neck fractures in cerebral palsy: A narrative review. EFORT Open Rev. 2020, 5, 58–64. [Google Scholar] [CrossRef]
- Sheung-Tung, H. Review of fractures and low bone mass in children with cerebral palsy. J. Orthop. Trauma. Rehabil. 2012, 16, 45–50. [Google Scholar] [CrossRef]
- Roche, A.J.; Davies, G.R.; Sampath, J. A hip resurfacing implant in an adolescent with cerebral palsy. J. Pediatr. Orthop. B 2012, 21, 167–169. [Google Scholar] [CrossRef] [PubMed]
- Buly, R.L.; Huo, M.; Root, L.; Binzer, T.; Wilson, P.D., Jr. Total hip arthroplasty in cerebral palsy: Long-term follow-up results. Clin. Orthop. Relat. Res. 1993, 296, 148–153. [Google Scholar] [CrossRef]
- King, G.; Hunt, L.P.; Wilkinson, J.M.; Blom, A.W.; National Joint Registry for England, Wales, and Northern Ireland. Good outcome of total hip replacement in patients with cerebral palsy: A comparison of 389 patients and 425,813 controls from the National Joint Registry for England and Wales. Acta Orthop. 2016, 87, 93–99. [Google Scholar] [CrossRef]
- Houdek, M.T.; Watts, C.D.; Wyles, C.C.; Trousdale, R.T.; Milbrandt, T.A.; Taunton, M.J. Total hip arthroplasty in patients with cerebral palsy: A cohort study matched to patients with osteoarthritis. J. Bone Jt. Surg. Am. 2017, 99, 488–493. [Google Scholar] [CrossRef]
- Ries, M.D. Posterior allograft bone-block for recurrent dislocation of the hip after hemiarthroplasty in noncompliant patients with neuromuscular disease. J. Arthroplast. 1993, 8, 593–594. [Google Scholar] [CrossRef]
- Hiragami, K.; Mukohyama, A.; Maruyama, Y. Early lateral migration of head after bipolar hemiarthroplasty in a cerebral palsy patient. Indian. J. Orthop. 2010, 44, 461–463. [Google Scholar] [CrossRef]
- Speciale, A.A.; Ellerington, R.; Goedert, T.; Rinaldi, C. Modelling Neuromuscular Diseases in the Age of Precision Medicine. J. Pers. Med. 2020, 10, 178. [Google Scholar] [CrossRef]
- Bartoli, M.; Bailey, R.M.; Meyer, K.; Barthélémy, F. Editorial: Personalized medicine for neuromuscular disorders. Front. Cell Dev. Biol. 2023, 11, 1329048. [Google Scholar] [CrossRef]
- Kenny, N.W.; Parkinson, R.W. Simultaneous bilateral hip fractures presenting as an acute abdomen. Injury 1993, 24, 691–692. [Google Scholar] [CrossRef]
- Toro, G.; Moretti, A.; Toro, G.; Tirelli, A.; Calabrò, G.; Toro, A.; Iolascon, G. Surgical treatment of neglected hip fracture in children with cerebral palsy: Case report and review of the literature. Clin. Cases Miner. Bone Metab. 2017, 14, 317–323. [Google Scholar] [CrossRef]
- Gadegone, W.M.; Ramteke, A.A.; Lokhande, V.; Salphade, Y. Valgus intertrochanteric osteotomy and fibular strut graft in the management of neglected femoral neck fracture. Injury 2013, 44, 763–768. [Google Scholar] [CrossRef]
- Sanders, R.J.; Swierstra, B.A.; Goosen, J.H. The use of a dual-mobility concept in total hip arthroplasty patients with spastic disorders: No dislocations in a series of ten cases at midterm follow-up. Arch. Orthop. Trauma. Surg. 2013, 133, 1011–1016. [Google Scholar] [CrossRef]
- Raphael, B.S.; Dines, J.S.; Akerman, M.; Root, L. Long-term followup of total hip arthroplasty in patients with cerebral palsy. Clin. Orthop. Relat. Res. 2010, 468, 1845–1854. [Google Scholar] [CrossRef]
- Hernigou, P.; Filippini, P.; Flouzat-Lachaniette, C.H.; Batista, S.U.; Poignard, A. Constrained liner in neurologic or cognitively impaired patients undergoing primary THA. Clin. Orthop. Relat. Res. 2010, 468, 3255–3262. [Google Scholar] [CrossRef]
- O’Driscoll, C.S.; Hughes, A.J.; Davey, M.S.; Queally, J.M.; O’Daly, B.J. Total Hip Arthroplasty in Patients with Neurological Conditions: A Systematic Review. Arthroplasty today 2022, 19, 101068. [Google Scholar] [CrossRef]
- Hug, K.T.; Alton, T.B.; Gee, A.O. Classifications in brief: Brooker classification of heterotopic ossification after total hip arthroplasty. Clin. Orthop. Relat. Res. 2015, 473, 2154–2157. [Google Scholar] [CrossRef]
- Shehab, D.; Elgazzar, A.H.; Collier, B.D. Heterotopic ossification. J. Nucl. Med. 2002, 43, 346–353. [Google Scholar]
- Sun, E.; Hanyu-Deutmeyer, A.A. Heterotopic Ossification. In StatPearls [Internet]; StatPearls Publishing: Treasure Island, FL, USA, 2024. Available online: https://www.ncbi.nlm.nih.gov/books/NBK459259/ (accessed on 27 November 2023).
- Kjaersgaard-Andersen, P.; Steinke, M.S.; Hougaard, K.; Søjbjerg, J.O.; Jensen, J. Heterotopic bone formation following hip arthroplasty: A retrospective study of 65 bilateral cases. Acta Orthop. Scand. 1991, 62, 223–225. [Google Scholar] [CrossRef]
- Mohanty, S.S.; Rao, N.N.; Dash, K.K.; Nashikkar, P.S. Postencephalitic bilateral heterotopic ossification of the hip in a pediatric patient. J. Pediatr. Orthop. B 2015, 24, 299–303. [Google Scholar] [CrossRef] [PubMed]
- Abd-Elmoneim, M.A.; Farid, H.; El-Nahal, A.A.; Mohamad, M.M. Evaluation of total hip arthroplasty for management of acetabular fracture complications: A prospective cohort study. J. Musculoskelet. Surg. Res. in press. 2024. [Google Scholar]
- Taly, A.B.; Nair, K.P.; Kumar, M.V.; Jayakumar, P.N.; Vasudev, M.K.; Ravishankar, D.; Kalaivant, P.L.; Padankatty1, B.S.; Mural, T. Heterotopic ossification in non-traumatic myelopathies. Spinal Cord. 1999, 37, 47–49. [Google Scholar] [CrossRef] [PubMed]
- Chang, S.Y.; Yoo, W.J.; Park, M.S.; Chung, C.Y.; Choi, I.H.; Cho, T.J. Slipped capital femoral epiphysis caused by neurogenic heterotopic ossification. J. Pediatr. Orthop. B 2013, 22, 553–556. [Google Scholar] [CrossRef] [PubMed]
- Manrique, J.; Alijanipour, P.; Heller, S.; Dove, M.; Parvizi, J. Increased risk of heterotopic ossification following revision hip arthroplasty for periprosthetic joint infection. Arch. Bone Jt. Surg. 2018, 6, 486–491. [Google Scholar]
- Terjesen, T.; Lie, G.D.; Hyldmo, A.A.; Knaus, A. Adductor tenotomy in spastic cerebral palsy: A long-term follow-up study of 78 patients. Acta Orthop. 2005, 76, 128–137. [Google Scholar] [CrossRef]
- Xing, W.; Liang, L.; Dong, N.; Chen, L.; Liu, Z. Abnormal changes of bone metabolism markers with age in children with cerebral palsy. Front. Pediatr. 2023, 11, 1214608. [Google Scholar] [CrossRef]
- Palisano, R.; Rosenbaum, P.; Walter, S.; Russell, D.; Wood, E.; Galuppi, B. Gross motor function classification system for cerebral palsy. Dev. Med. Child. Neurol. 1997, 39, 214–223. [Google Scholar] [CrossRef]
- Moore, H.G.; Gardezi, M.; Burroughs, P.J.; Rubin, L.E.; Frumberg, D.B.; Grauer, J.N. Total Hip Arthroplasty in Patients With Cerebral Palsy: A Matched Comparison of 90-Day Adverse Events and 5-Year Implant Survival. J. Arthroplast. 2021, 36, 3534–3537. [Google Scholar] [CrossRef]
- Ready, J. Cerebral Palsy Should Not Be a Barrier to Total Hip Replacement Surgery. Yaloe School of Medicine 2021 Nov 9. Available online: https://medicine.yale.edu/news-article/cerebral-palsy-should-not-be-a-barrier-to-total-hip-replacement-surgery/ (accessed on 13 April 2025).
- Costa, C.; Moniati, F.; Chatzimatthaiou, M.; Papaioannou, C.; Athanasakopoulou, S.; Chatzimatthaiou, M. Systematic review of total hip arthroplasty outcomes in cerebral palsy patients and a comparative analysis with rheumatoid arthritis. Adv. Orthop. 2023, 2023, 8696116. [Google Scholar] [CrossRef] [PubMed] [PubMed Central]
- Larrague, C.; Fieiras, C.; Campelo, D.; Comba, F.M.; Zanotti, G.; Slullitel, P.A.; Buttaro, M.A. Feasibility of total hip arthroplasty in cerebral palsy patients: A systematic review on clinical outcomes and complications. Int. Orthop. 2022, 46, 2493–2507. [Google Scholar] [CrossRef] [PubMed]
- Ter Meulen, D.P.; Nota, S.P.; Hageman, M.G.; Ring, D.C. Progression of heterotopic ossification around the elbow after trauma. Arch. Bone Jt. Surg. 2016, 4, 228–230. [Google Scholar] [PubMed] [PubMed Central]
- Bruno-Petrina, A. Posttraumatic heterotopic ossification. EMed J. 2002, 29, 11. Available online: http://www.emedicine.com/pmr/topic112.htm (accessed on 27 April 2015).
- Nota, S.P.; Kloen, P. Heterotopic ossification around the knee after internal fixation of a complex tibial plateau fracture combined with the use of demineralized bone matrix (DBM): A case report. Arch. Bone Jt. Surg. 2014, 2, 250–254. [Google Scholar]
- Mahmoud, A.N.; Prodoehl, J.P.; Echeverry-Martinez, M.F.; Horwitz, D.S. Hemiarthroplasty for Hip Fracture in Down Syndrome: A Retrospective Series of Five Cases. Hip Pelvis. 2024, 36, 281–289. [Google Scholar] [CrossRef]
- Mahmoud, A.N.; Doyle, C.M.; Kline, C.M.; Brule, N.; Sams, K.B.; Nye, A.; Horwitz, D.S. Hip fracture in blind patients: Outcomes of hip hemiarthroplasty. Arch. Trauma. Res. 2024, 13, 209–215. [Google Scholar]
- Mahmoud, A.N.; El-Husseini, T.; Elabd, M.A.; Soliman, R.A.; Maziad, A.M.; Horwitz, D.S. Metastatic Hip Disease in the Elderly: Does Uncemented Hip Hemiarthroplasty have a Role? SciBase Oncol. 2024, 2, 1015. [Google Scholar] [CrossRef]
- Lewis, S.R.; Macey, R.; Stokes, J.; Cook, J.A.; Eardley, W.G.; Griffin, X.L. Surgical interventions for treating intracapsular hip fractures in older adults: A network meta-analysis. Cochrane Database Syst. reviews 2022, 2, CD013404. [Google Scholar] [CrossRef]
- Mahmoud, A.N.; Suk, M.; Horwitz, D.S. Symptomatic Acetabular Erosion After Hip Hemiarthroplasty: Is It a Major Concern? A Retrospective Analysis of 2477 Hemiarthroplasty Cases. J. Clin. Med. 2024, 13, 6756. [Google Scholar] [CrossRef]
- Voskuijl, T.; Neuhaus, V.; Kinaci, A.; Vrahas, M.; Ring, D. In-hospital outcomes after hemiarthroplasty versus total hip arthroplasty for isolated femoral neck fractures. Arch. Bone Jt. Surg. 2014, 2, 151–156. [Google Scholar] [PubMed] [PubMed Central]
- Mahmoud, A.N.; Brule, N.R.; Suk, M.; Horwitz, D.S. Outcomes of Staphylococcal Prosthetic Joint Infection After Hip Hemiarthroplasty: Single Center Retrospective Study. Medicina 2025, 61, 602. [Google Scholar] [CrossRef]
- Aubut, J.A.; Mehta, S.; Cullen, N.; Teasell, R.W.; ERABI Group; SCIRE Research Team. A comparison of heterotopic ossification treatment within the traumatic brain and spinal cord injured population: An evidence-based systematic review. NeuroRehabilitation 2011, 28, 151–160. [Google Scholar] [CrossRef] [PubMed] [PubMed Central]
- Migliorini, F.; Trivellas, A.; Eschweiler, J.; Driessen, A.; Tingart, M.; Maffulli, N. NSAIDs for Prophylaxis for Heterotopic Ossification After Total Hip Arthroplasty: A Bayesian Network Meta-analysis. Calcif. Tissue Int. 2021, 108, 196–206. [Google Scholar] [CrossRef]
- Kolessar, D.J.; Katz, S.D.; Keenan, M.A. Functional outcome following surgical resection of heterotopic ossification in patients with brain injury. J. Head. Trauma. Rehabil. 1996, 11, 78–87. [Google Scholar] [CrossRef]
- Ruo Redda, M.G.; De Colle, C.; Bianco, L.; Ruggieri, A.; Nassisi, D.; Rossi, A.; Gino, E.; Airaldi, C. Heterotopic ossifications: Role of radiotherapy as prophylactic treatment. Radiol. Med. 2018, 123, 463–468. [Google Scholar] [CrossRef] [PubMed]




| Comorbidities | Number of Patients |
|---|---|
| Intellectual disabilities | 5 |
| Seizures | 5 |
| Chronic kidney disease | 2 |
| Essential tremors | 2 |
| Heart failure | 1 |
| Case | Age | CP Type | Implant Type | Complications | Outcome |
|---|---|---|---|---|---|
| 1 | 71 | Ataxic | Cemented bipolar | HO grade 4 | |
| 2 | 55 | Quadriparitic | Cemented bipolar | Dislocation and early revision due to stem loosening. Recurrent dislocation managed with closed reduction and bracing. | Ho grade 3 |
| 3 | 68 | Ataxic | Cementless unipolar | HO grade 4 | |
| 4 | 60 | Unidentified | Cemented bipolar | HO grade 2 | |
| 5 | 33 | Contralateral spastic hemiplegic | Cemented bipolar | HO grade 3 | |
| 6 | 47 | Ipsilateral spastic hemiplegic | Cementless bipolar | Acetabular protrusion, wheelchair bound | HO grade 4 |
Disclaimer/Publisher’s Note: The statements, opinions and data contained in all publications are solely those of the individual author(s) and contributor(s) and not of MDPI and/or the editor(s). MDPI and/or the editor(s) disclaim responsibility for any injury to people or property resulting from any ideas, methods, instructions or products referred to in the content. |
© 2025 by the authors. Licensee MDPI, Basel, Switzerland. This article is an open access article distributed under the terms and conditions of the Creative Commons Attribution (CC BY) license (https://creativecommons.org/licenses/by/4.0/).
Share and Cite
Mahmoud, A.N.; Brule, N.R.; Bernate, J.D.; Seeley, M.A.; Suk, M.; Horwitz, D.S. Guarded Outcomes After Hip Hemiarthroplasty in Patients with Cerebral Palsy: Highlighting a Personalized Medicine Approach to Mitigate the Risk of Complications. J. Pers. Med. 2025, 15, 252. https://doi.org/10.3390/jpm15060252
Mahmoud AN, Brule NR, Bernate JD, Seeley MA, Suk M, Horwitz DS. Guarded Outcomes After Hip Hemiarthroplasty in Patients with Cerebral Palsy: Highlighting a Personalized Medicine Approach to Mitigate the Risk of Complications. Journal of Personalized Medicine. 2025; 15(6):252. https://doi.org/10.3390/jpm15060252
Chicago/Turabian StyleMahmoud, Ahmed Nageeb, Nicholas R. Brule, Juan D. Bernate, Mark A. Seeley, Michael Suk, and Daniel S. Horwitz. 2025. "Guarded Outcomes After Hip Hemiarthroplasty in Patients with Cerebral Palsy: Highlighting a Personalized Medicine Approach to Mitigate the Risk of Complications" Journal of Personalized Medicine 15, no. 6: 252. https://doi.org/10.3390/jpm15060252
APA StyleMahmoud, A. N., Brule, N. R., Bernate, J. D., Seeley, M. A., Suk, M., & Horwitz, D. S. (2025). Guarded Outcomes After Hip Hemiarthroplasty in Patients with Cerebral Palsy: Highlighting a Personalized Medicine Approach to Mitigate the Risk of Complications. Journal of Personalized Medicine, 15(6), 252. https://doi.org/10.3390/jpm15060252

