Ultrasound-Guided Cervical Selective Nerve Root Block versus Fluoroscopy-Guided Interlaminar Epidural Injection for Cervical Radicular Pain: A Randomized, Prospective, Controlled Study
Abstract
1. Introduction
2. Materials and Methods
2.1. Design
2.2. Patients
2.3. Randomization and Blinding
2.4. Interventions
2.4.1. IL-CESI Group
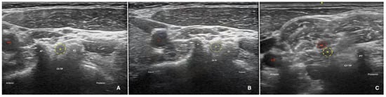
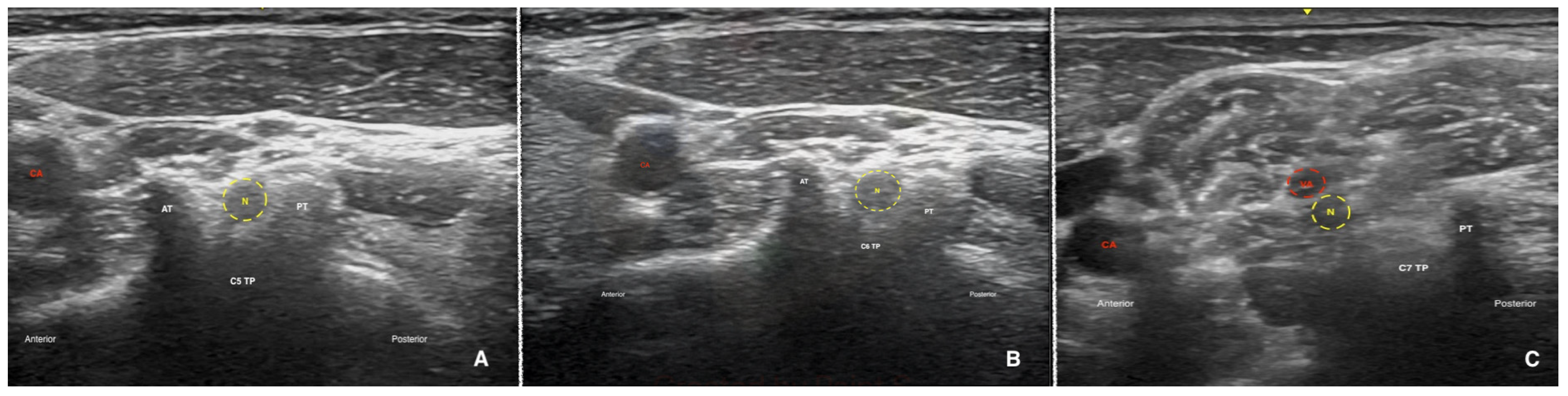
2.4.2. CSNRB Group
2.5. Outcome Measurements
2.6. Sample Size Determination
2.7. Statistical Analysis
3. Results
4. Discussion
5. Conclusions
Author Contributions
Funding
Institutional Review Board Statement
Informed Consent Statement
Data Availability Statement
Conflicts of Interest
References
- Radhakrishnan, K.; Litchy, W.J.; O’fallon, W.M.; Kurland, L.T. Epidemiology of cervical radiculopathy: A population-based study from Rochester, Minnesota, 1976 through 1990. Brain 1994, 117 Pt 2, 325–335. [Google Scholar] [CrossRef] [PubMed]
- Cohen, S.P.; Hooten, W.M. Advances in the diagnosis and management of neck pain. BMJ 2017, 358, j3221. [Google Scholar] [CrossRef] [PubMed]
- Zielinska, N.; Podgórski, M.; Haładaj, R.; Polguj, M.; Olewnik, Ł. Risk Factors of Intervertebral Disc Pathology-A Point of View Formerly and Today-A Review. J. Clin. Med. 2021, 10, 409. [Google Scholar] [CrossRef]
- House, L.M.; Barrette, K.; Mattie, R.; McCormick, Z.L. Cervical Epidural Steroid Injection: Techniques and Evidence. Phys. Med. Rehabil. Clin. N. Am. 2018, 29, 1–17. [Google Scholar] [CrossRef] [PubMed]
- Eubanks, J.D. Cervical radiculopathy: Nonoperative management of neck pain and radicular symptoms. Am. Fam. Physician 2010, 81, 33–40. [Google Scholar] [PubMed]
- Lee, E.; Lee, J.W.; Kang, H.S. Interlaminar versus transforaminal epidural steroid injections: A review of efficacy and safety. Skelet. Radiol. 2022, 52, 1825–1840. [Google Scholar] [CrossRef] [PubMed]
- McCormick, Z.L.; Conger, A.; Sperry, B.P.; Teramoto, M.; Petersen, R.; Salazar, F.; Cunningham, S.; Michael Henrie, A.; Bisson, E.; Kendall, R. A Randomized Comparative Trial of Targeted Steroid Injection via Epidural Catheter vs Standard Transforaminal Epidural Injection for the Treatment of Unilateral Cervical Radicular Pain: Six-Month Results. Pain Med. 2020, 21, 2077–2089, Erratum in Pain Med. 2021, 22, 1888–1890. [Google Scholar] [CrossRef]
- Lee, J.H.; Lee, S.H. Comparison of Clinical Efficacy Between Interlaminar and Transforaminal Epidural Injection in Patients With Axial Pain due to Cervical Disc Herniation. Medicine 2016, 95, e2568. [Google Scholar] [CrossRef]
- Sim, J.H.; Park, H.; Kim, Y.; Jin-Woo, S.; Leem, J.G.; Cho, H.S.; Choi, S.S. Comparative Effectiveness of Parasagittal Interlaminar and Transforaminal Cervical Epidural Steroid Injection in Patients with Cervical Radicular Pain: A Randomized Clinical Trial. Pain Physician 2021, 24, 117–125. [Google Scholar]
- Schaufele, M.K.; Hatch, L.; Jones, W. Interlaminar versus transforaminal epidural injections for the treatment of symptomatic lumbar intervertebral disc herniations. Pain Physician 2006, 9, 361–366. [Google Scholar]
- Benny, B.; Azari, P.; Briones, D. Complications of cervical transforaminal epidural steroid injections. Am. J. Phys. Med. Rehabil. 2010, 89, 601–607. [Google Scholar] [CrossRef] [PubMed]
- Muro, K.; O’Shaughnessy, B.; Ganju, A. Infarction of the cervical spinal cord following multilevel transforaminal epidural steroid injection: Case report and review of the literature. J. Spinal Cord Med. 2007, 30, 385–388. [Google Scholar] [CrossRef] [PubMed]
- Chang, A.; Wang, D. Complications of Fluoroscopically Guided Cervical Interlaminar Epidural Steroid Injections. Curr. Pain Headache Rep. 2020, 24, 63. [Google Scholar] [CrossRef]
- Epstein, N.E. Major risks and complications of cervical epidural steroid injections: An updated review. Surg. Neurol. Int. 2018, 9, 86. [Google Scholar] [CrossRef] [PubMed]
- Guven Kose, S.; Kirac Unal, Z.; Kose, H.C.; Celikel, F.; Akkaya, O.T. Ultrasound-guided genicular nerve radiofrequency treatment: Prospective randomized comparative trial of a 3-nerve protocol versus a 5-nerve protocol. Pain Med. 2023, 24, 758–767. [Google Scholar] [CrossRef]
- Kose, S.G.; Kose, H.C.; Celikel, F.; Tulgar, S.; Akkaya, O.T. Ultrasound-guided PENG block versus intraarticular corticosteroid injection in hip osteoarthritis: A randomised controlled study. Korean J. Pain. 2023, 36, 195–207. [Google Scholar] [CrossRef]
- Guven Kose, S.; Kose, H.C.; Celikel, F.; Tulgar, S.; De Cassai, A.; Akkaya, O.T.; Hernandez, N. Chronic Pain: An Update of Clinical Practices and Advances in Chronic Pain Management. Eurasian J. Med. 2022, 54 (Suppl. S1), 57–61. [Google Scholar] [CrossRef]
- Narouze, S.N.; Vydyanathan, A.; Kapural, L.; Sessler, D.I.; Mekhail, N. Ultrasound-guided cervical selective nerve root block: A fluoroscopy-controlled feasibility study. Reg. Anesth. Pain Med. 2009, 34, 343–348. [Google Scholar] [CrossRef]
- Yamauchi, M.; Suzuki, D.; Niiya, T.; Honma, H.; Tachibana, N.; Watanabe, A.; Fujimiya, M.; Yamakage, M. Ultrasound-guided cervical nerve root block: Spread of solution and clinical effect. Pain Med. 2011, 12, 1190–1195. [Google Scholar] [CrossRef]
- Schellhas, K.P.; Pollei, S.R.; Johnson, B.A.; Golden, M.J.; Eklund, J.A.; Pobiel, R.S. Selective cervical nerve root blockade: Experience with a safe and reliable technique using an anterolateral approach for needle placement. AJNR Am. J. Neuroradiol. 2007, 28, 1909–1914. [Google Scholar] [CrossRef]
- Jee, H.; Lee, J.H.; Kim, J.; Park, K.D.; Lee, W.Y.; Park, Y. Ultrasound-guided selective nerve root block versus fluoroscopy-guided transforaminal block for the treatment of radicular pain in the lower cervical spine: A randomized, blinded, controlled study. Skelet. Radiol. 2013, 42, 69–78. [Google Scholar] [CrossRef] [PubMed]
- Lee, S.H.; Kim, J.M.; Chan, V.; Kim, H.J.; Kim, H.I. Ultrasound-guided cervical periradicular steroid injection for cervical radicular pain: Relevance of spread pattern and degree of penetration of contrast medium. Pain Med. 2013, 14, 5–13. [Google Scholar] [CrossRef] [PubMed]
- Ma, L.; Wang, Y.; Yao, M.; Huang, B.; Deng, J.; Wen, H. Evaluating the Extent of Ultrasound-Guided Cervical Selective Nerve Root Block in the Lower Ce1rvical Spine: Evidence Based on Computed Tomography Images. J. Pain Res. 2023, 16, 669–676. [Google Scholar] [CrossRef] [PubMed]
- Farrar, J.T.; Young, J.P., Jr.; LaMoreaux, L.; Werth, J.L.; Poole, R.M. Clinical importance of changes in chronic pain intensity measured on an 11-point numerical pain rating scale. Pain 2001, 94, 149–158. [Google Scholar] [CrossRef]
- Sánchez Romero, E.A.; Fernández-Carnero, J.; Calvo-Lobo, C.; Ochoa Saez, V.; Burgos Caballero, V.; Pecos-Martín, D. Is a Combination of Exercise and Dry Needling Effective for Knee OA? Pain Med. 2020, 21, 349–363. [Google Scholar] [CrossRef]
- Vernon, H.; Mior, S. The Neck Disability Index: A study of reliability and validity. J. Manip. Physiol. Ther. 1991, 14, 409–415. [Google Scholar]
- Çelik, D.; Çoban, Ö. Short Form Health Survey version-2.0 Turkish (SF-36v2) is an efficient outcome parameter in musculoskeletal research. Acta Orthop. Traumatol. Turc. 2016, 50, 558–561. [Google Scholar] [CrossRef]
- Robinson-Papp, J.; George, M.C.; Wongmek, A.; Nmashie, A.; Merlin, J.S.; Ali, Y.; Epstein, L.; Green, M.; Serban, S.; Sheth, P.; et al. The Quantitative Analgesic Questionnaire: A Tool to Capture Patient-Reported Chronic Pain Medication Use. J. Pain Symptom Manag. 2015, 50, 381–386. [Google Scholar] [CrossRef]
- Preedy, V.R.; Watson, R.R. (Eds.) 5-Point Likert Scale. In Handbook of Disease Burdens and Quality of Life Measures; Springer: New York, NY, USA, 2010. [Google Scholar]
- Klessinger, S.; Freund, W.; Karpel-Massler, G.; Halatsch, M.E. Response to transforaminal injection of steroids and correlation to mri findings in patients with cervical radicular pain or radiculopathy due to disc herniation or spondylosis. Pain Med. 2014, 15, 929–937. [Google Scholar] [CrossRef]
- Manchikanti, L.; Cash, K.A.; Pampati, V.; Wargo, B.W.; Malla, Y. A randomized, double-blind, active control trial of fluoroscopic cervical interlaminar epidural injections in chronic pain of cervical disc herniation: Results of a 2-year follow-up. Pain Physician 2013, 16, 465–478, Erratum in Pain Physician 2013, 16, 609. [Google Scholar] [CrossRef]
- Mathis, J.M.; Golovac, S. Image-Guided Spine Interventions, 2nd ed.; Springer: New York, NY, USA, 2010; Volume 14. [Google Scholar]
- Reina, M.A.; Franco, C.D.; López, A.; Dé Andrés, J.A.; Van Zundert, A. Clinical implications of epidural fat in the spinal canal. A scanning electron microscopic study. Acta Anaesthesiol. Belg. 2009, 60, 7–17. [Google Scholar] [PubMed]
- Suresh, S.; Berman, J.; Connell, D.A. Cerebellar and brainstem infarction as a complication of CT-guided transforaminal cervical nerve root block. Skelet. Radiol. 2007, 36, 449–452. [Google Scholar] [CrossRef] [PubMed]
- Jang, J.H.; Lee, W.Y.; Cho, K.R.; Nam, S.H.; Park, Y. Ultrasound-Guided Selective Nerve Root Block versus Fluoroscopy-Guided Interlaminar Epidural Block versus Fluoroscopy-Guided Transforaminal Epidural Block for the Treatment of Radicular Pain in the Lower Cervical Spine: A Retrospective Comparative Study. Pain Res. Manag. 2020, 2020, 9103421. [Google Scholar] [CrossRef] [PubMed]
- Park, K.D.; Lee, W.Y.; Nam, S.H.; Kim, M.; Park, Y. Ultrasound-guided selective nerve root block versus fluoroscopy-guided interlaminar epidural block for the treatment of radicular pain in the lower cervical spine: A retrospective comparative study. J. Ultrasound. 2019, 22, 167–177. [Google Scholar] [CrossRef] [PubMed]
- Kang, S.; Yang, S.N.; Kim, S.H.; Byun, C.W.; Yoon, J.S. Ultrasound-Guided Cervical Nerve Root Block: Does Volume Affect the Spreading Pattern? Pain Med. 2016, 17, 1978–1984. [Google Scholar] [CrossRef]
- Park, Y.; Ahn, J.K.; Sohn, Y.; Jee, H.; Lee, J.H.; Kim, J.; Park, K.D. Treatment Effects of Ultrasound Guide Selective Nerve Root Block for Lower Cervical Radicular Pain: A Retrospective Study of 1-Year Follow-up. Ann. Rehabil. Med. 2013, 37, 658–667. [Google Scholar] [CrossRef]
- Dietrich, T.J.; Sutter, R.; Froehlich, J.M.; Pfirrmann, C.W. Particulate versus non-particulate steroids for lumbar transforaminal or interlaminar epidural steroid injections: An update. Skelet. Radiol. 2015, 44, 149–155. [Google Scholar] [CrossRef]
- Manchikanti, L.; Pampati, V.; Damron, K. The role of placebo and nocebo effects of perioperative administration of sedatives and opioids in interventional pain management. Pain Physician 2005, 8, 349–355. [Google Scholar] [CrossRef]

| Variables | IL-CESI (n = 30) | CSNRB (n = 30) | p Value |
|---|---|---|---|
| Age (years) | 54.23 ± 8.98 | 55.1 ± 10.03 | 0.555 |
| Sex | |||
| Male | 14 (46.7%) | 17 (56.7%) | 0.605 |
| Female | 16 (53.3%) | 13 (43.3%) | |
| BMI (kg/m2) | 24.02. ± 2.47 | 23.13 ± 2.52 | 0.914 |
| Affected side | |||
| Left | 17 (56.7%) | 15 (50%) | 0.796 |
| Right | 13 (43.3%) | 15 (50%) | |
| Pain duration (months) | 11.5 ± 5.83 | 10.13 ± 4.25 | 0.094 |
| Target nerve root | |||
| C5 | 3 (10%) | 2 (6.7%) | 0.716 |
| C6 | 17 (56.7%) | 15 (50%) | |
| C7 | 10 (33.3%) | 13 (43.3%) | |
| Grade of nerve root compression | |||
| Grade II | 19 (63.3%) | 15 (50%) | 0.550 |
| Grade III | 10 (33.3%) | 13 (43.3%) | |
| Grade IV | 1 (3.3%) | 2 (6.6%) |
| IL-CESI | CSNRB | p | |
|---|---|---|---|
| NRS | |||
| Baseline | 7 (6–8) | 6.5 (6–7.75) | 0.105 |
| Month 1 | 1.5 (1–2) * | 1.5 (1–2.75) * | 0.776 |
| Month 3 | 2 (2–3) * | 2 (2–2.75) * | 0.789 |
| Month 6 | 3.5 (2–4) * | 3 (2–4) * | 0.927 |
| Positive responders | |||
| Month 1 | |||
| n (%) (95% CI) | 25 (83.3%) (65.2–94.3) | 24 (80%) (61.4–92.2) | 0.753 |
| Month 3 | |||
| n (%) (95% CI) | 22 (73.3%) (54.1–87.7) | 23 (76.6%) (57.7–90) | 0.776 |
| Month 6 | |||
| n (%) (95% CI) | 17 (56.6%) (37.4–74.5) | 15 (50%) (31.3–68.7) | 0.617 |
| NRS MCID | |||
| Month 1 | |||
| n (%) (95% CI) | 29 (96.7%) (82.7–99.9) | 28 (93.3%) (77.9–99.1) | 0.618 |
| Month 3 | |||
| n (%) (95% CI) | 27 (90%) (73.4–97.8) | 26 (86.7%) (69.2–96.2) | 0.711 |
| Month 6 | |||
| n (%) (95% CI) | 26 (86.7%) (69.2–96.2) | 25 (83.3%) (65.2–94.3) | 0.735 |
| Variables | IL-CESI (n = 30) | CSNRB (n = 30) | p Value |
|---|---|---|---|
| NDI | |||
| Baseline | 30.3 ± 12.11 | 28.23 ± 10.29 | 0.479 |
| Month 1 | 13.7 ± 5.39 * | 13.63 ± 5.72 * | 0.963 |
| Month 3 | 12.2 ± 7.45 * | 10.93 ± 5.26 * | 0.450 |
| Month 6 | 12.9 ± 6.05 * | 11.5 ± 4.52 * | 0.315 |
| PCS | |||
| Baseline | 32.15 ± 20.23 | 29.84 ± 18.75 | 0.648 |
| Month 1 | 39.34 ± 9.36 * | 37.25 ± 10.23 * | 0.412 |
| Month 3 | 49.55 ± 8.96 * | 50.12 ± 9.72 * | 0.814 |
| Month 6 | 47.83 ± 9.21 * | 46.93 ± 10.54 * | 0.726 |
| MCS | |||
| Baseline | 49.05 ± 17.93 | 47.26 ± 16.95 | 0.692 |
| Month 1 | 52.62 ± 10.91 * | 49.33 ± 12.25 * | 0.276 |
| Month 3 | 58.76 ± 11.34 * | 54.35 ± 13.21 * | 0.170 |
| Month 6 | 56.42 ± 11.21 * | 52.97 ± 12.34 * | 0.261 |
| QAQ | |||
| Baseline | 4.93 ± 2.03 | 4.46 ± 1.87 | 0.661 |
| Month 6 | 1.63 ± 0.66 * | 1.46 ± 0.68 * | 0.329 |
| Patient Satisfaction | |||
| Month 6 | 4 (4–5) | 4 (3.25–5) | 0.374 |
| Procedure Time | |||
| Seconds | 208.76 ± 96.2 | 352.42 ± 103.61 | <0.001 |
Disclaimer/Publisher’s Note: The statements, opinions and data contained in all publications are solely those of the individual author(s) and contributor(s) and not of MDPI and/or the editor(s). MDPI and/or the editor(s) disclaim responsibility for any injury to people or property resulting from any ideas, methods, instructions or products referred to in the content. |
© 2024 by the authors. Licensee MDPI, Basel, Switzerland. This article is an open access article distributed under the terms and conditions of the Creative Commons Attribution (CC BY) license (https://creativecommons.org/licenses/by/4.0/).
Share and Cite
Kose, H.C.; Guven Kose, S.; Celikel, F.; Tulgar, S.; Akkaya, O.T. Ultrasound-Guided Cervical Selective Nerve Root Block versus Fluoroscopy-Guided Interlaminar Epidural Injection for Cervical Radicular Pain: A Randomized, Prospective, Controlled Study. J. Pers. Med. 2024, 14, 721. https://doi.org/10.3390/jpm14070721
Kose HC, Guven Kose S, Celikel F, Tulgar S, Akkaya OT. Ultrasound-Guided Cervical Selective Nerve Root Block versus Fluoroscopy-Guided Interlaminar Epidural Injection for Cervical Radicular Pain: A Randomized, Prospective, Controlled Study. Journal of Personalized Medicine. 2024; 14(7):721. https://doi.org/10.3390/jpm14070721
Chicago/Turabian StyleKose, Halil Cihan, Selin Guven Kose, Feyza Celikel, Serkan Tulgar, and Omer Taylan Akkaya. 2024. "Ultrasound-Guided Cervical Selective Nerve Root Block versus Fluoroscopy-Guided Interlaminar Epidural Injection for Cervical Radicular Pain: A Randomized, Prospective, Controlled Study" Journal of Personalized Medicine 14, no. 7: 721. https://doi.org/10.3390/jpm14070721
APA StyleKose, H. C., Guven Kose, S., Celikel, F., Tulgar, S., & Akkaya, O. T. (2024). Ultrasound-Guided Cervical Selective Nerve Root Block versus Fluoroscopy-Guided Interlaminar Epidural Injection for Cervical Radicular Pain: A Randomized, Prospective, Controlled Study. Journal of Personalized Medicine, 14(7), 721. https://doi.org/10.3390/jpm14070721

