The Deterioration of Sarcopenia Post-Transarterial Radioembolization with Holmium-166 Serves as a Predictor for Disease Progression at 3 Months in Patients with Advanced Hepatocellular Carcinoma: A Pilot Study
Abstract
1. Introduction
2. Materials and Methods
2.1. Patients
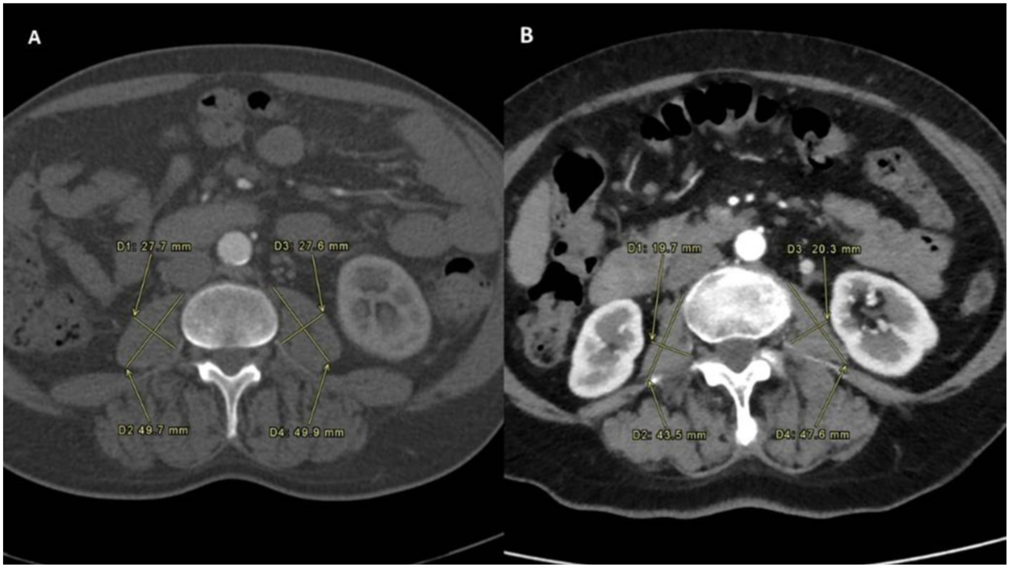
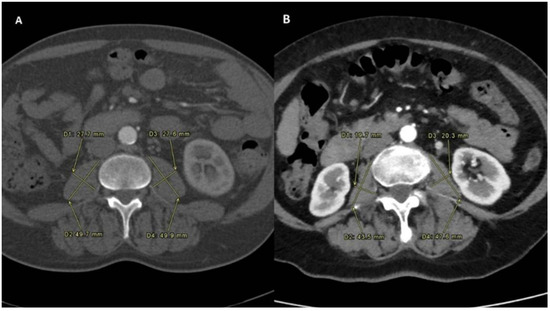
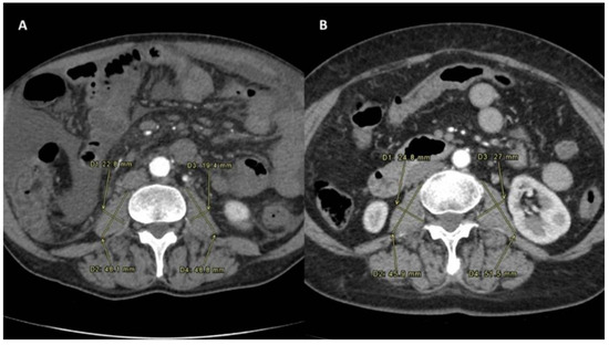
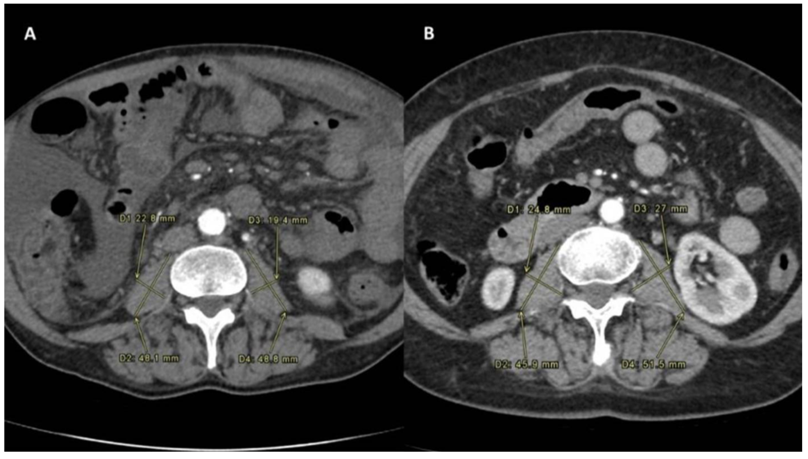
2.2. Sarcopenia Measurement
2.3. TARE
2.4. Statistical Analysis
3. Results
4. Discussion
5. Conclusions
Author Contributions
Funding
Institutional Review Board Statement
Informed Consent Statement
Data Availability Statement
Conflicts of Interest
References
- Oh, J.H.; Jun, D.W. The latest global burden of liver cancer: A past and present threat. Clin. Mol. Hepatol. 2023, 29, 355–357. [Google Scholar] [CrossRef] [PubMed]
- D’Avola, D.; Lñarrairaegui, M.; Bilbao, J.I.; Martinez-Cuesta, A.; Alegre, F.; Herrero, J.I.; Quiroga, J.; Prieto, J.; Sangro, B. A retrospective comparative analysis of the effect of Y90-radioembolization on the survival of patients with unresectable hepatocellular carcinoma. Hepatogastroenterology 2009, 56, 1683–1688. [Google Scholar]
- Ariel, I.M.; Pack, G.T. Treatment of inoperable cancer of the liver by intra-arterial radioactive isotopes and chemotherapy. Cancer 1967, 20, 793–804. [Google Scholar] [CrossRef] [PubMed]
- Guiu, B.; Garin, E.; Allimant, C.; Edeline, J.; Salem, R. TARE in Hepatocellular Carcinoma: From the Right to the Left of BCLC. Cardiovasc. Interv. Radiol. 2022, 45, 1599–1607. [Google Scholar] [CrossRef]
- Dhondt, E.; Lambert, B.; Hermie, L.; Huyck, L.; Vanlangenhove, P.; Geerts, A.; Verhelst, X.; Aerts, M.; Vanlander, A.; Berrevoet, F.; et al. 90Y Radioembolization versus Drug-eluting Bead Chemoembolization for Unresectable Hepatocellular Carcinoma: Results from the TRACE Phase II Randomized Controlled Trial. Radiology 2022, 303, 699–710. [Google Scholar] [CrossRef]
- Kulik, L.M.; Carr, B.I.; Mulcahy, M.F.; Lewandowski, R.J.; Atassi, B.; Ryu, R.K.; Sato, K.T.; Benson, A.; Nemcek, A.A.; Gates, V.L.; et al. Safety and efficacy of 90Y radiotherapy for hepatocellular carcinoma with and without portal vein thrombosis. Hepatology 2008, 47, 71–81. [Google Scholar] [CrossRef]
- El Fouly, A.; Ertle, J.; El Dorry, A.; Shaker, M.K.; Dechêne, A.; Abdella, H.; Mueller, S.; Barakat, E.; Lauenstein, T.; Bockisch, A.; et al. In intermediate stage hepatocellular carcinoma: Radioembolization with yttrium 90 or chemoembolization? Liver Int. 2015, 35, 627–635. [Google Scholar] [CrossRef]
- Bouvry, C.; Palard, X.; Edeline, J.; Ardisson, V.; Loyer, P.; Garin, E.; Lepareur, N. Transarterial Radioembolization (TARE) Agents beyond 90Y-Microspheres. BioMed Res. Int. 2018, 2018, 1435302. [Google Scholar] [CrossRef] [PubMed]
- Stella, M.; Braat, A.J.A.T.; van Rooij, R.; de Jong, H.W.A.M.; Lam, M.G.E.H. Holmium-166 Radioembolization: Current Status and Future Prospective. Cardiovasc. Interv. Radiol. 2022, 45, 1634–1645. [Google Scholar] [CrossRef]
- van de Maat, G.H.; Seevinck, P.R.; Elschot, M.; Smits, M.L.J.; de Leeuw, H.; van Het Schip, A.D.; Vente, M.A.D.; Zonnenberg, B.A.; de Jong, H.W.A.M.; Lam, M.G.E.H.; et al. MRI-based biodistribution assessment of holmium-166 poly(L-lactic acid) microspheres after radioembolisation. Eur. Radiol. 2013, 23, 827–835. [Google Scholar] [CrossRef]
- Reinders, M.T.M.; van Erpecum, K.J.; Smits, M.L.J.; Braat, A.J.A.T.; de Bruijne, J.; Bruijnen, R.; Sprengers, D.; de Man, R.A.; Vegt, E.; IJzermans, J.N.M.; et al. Safety and Efficacy of 166Ho Radioembolization in Hepatocellular Carcinoma: The HEPAR Primary Study. J. Nucl. Med. 2022, 63, 1891–1898. [Google Scholar] [CrossRef] [PubMed]
- Drescher, R.; Köhler, A.; Seifert, P.; Aschenbach, R.; Ernst, T.; Rauchfuß, F.; Freesmeyer, M. Clinical Results of Transarterial Radioembolization (TARE) with Holmium-166 Microspheres in the Multidisciplinary Oncologic Treatment of Patients with Primary and Secondary Liver Cancer. Biomedicines 2023, 11, 1831. [Google Scholar] [CrossRef] [PubMed]
- Perisetti, A.; Goyal, H.; Yendala, R.; Chandan, S.; Tharian, B.; Thandassery, R.B. Sarcopenia in hepatocellular carcinoma: Current knowledge and future directions. World J. Gastroenterol. 2022, 28, 432–448. [Google Scholar] [CrossRef] [PubMed]
- Palazzoadriano, M.; Albano, V.; Bellanca, L.; Latteri, S.; Valdes, L.; Mangiameli, S. Modifications induced in the renin-angiotensin-aldo-sterone system of rats by alpha-blocking drugs. Pharmacol. Res. Commun. 1978, 10, 925–937. [Google Scholar] [CrossRef] [PubMed]
- Vallati, G.E.; Trobiani, C.; Teodoli, L.; Lai, Q.; Cappelli, F.; Ungania, S.; Catalano, C.; Lucatelli, P. Sarcopenia Worsening One Month after Transarterial Radioembolization Predicts Progressive Disease in Patients with Advanced Hepatocellular Carcinoma. Biology 2021, 10, 728. [Google Scholar] [CrossRef] [PubMed]
- Badran, H.; Elsabaawy, M.M.; Ragab, A.; Aly, R.A.; Alsebaey, A.; Sabry, A. Baseline Sarcopenia is Associated with Lack of Response to Therapy, Liver Decompensation and High Mortality in Hepatocellular Carcinoma Patients. Asian Pac. J. Cancer Prev. 2020, 21, 3285–3290. [Google Scholar] [CrossRef] [PubMed]
- Xu, L.; Jing, Y.; Zhao, C.; Zhang, Q.; Zhao, X.; Yang, J.; Wu, L.; Yang, Y. Preoperative computed tomography-assessed skeletal muscle index is a novel prognostic factor in patients with hepatocellular carcinoma following hepatectomy: A meta-analysis. J. Gastrointest. Oncol. 2020, 11, 1040–1053. [Google Scholar] [CrossRef] [PubMed]
- Cheng, T.-Y.; Lee, P.-C.; Chen, Y.-T.; Chao, Y.; Hou, M.-C.; Huang, Y.-H. Pre-sarcopenia determines post-progression outcomes in advanced hepatocellular carcinoma after sorafenib failure. Sci. Rep. 2020, 10, 18375. [Google Scholar] [CrossRef]
- Santilli, V.; Bernetti, A.; Mangone, M.; Paoloni, M. Clinical definition of sarcopenia. Clin. Cases Miner. Bone Metab. 2014, 11, 177–180. [Google Scholar] [CrossRef]
- Fujita, M.; Takahashi, A.; Hayashi, M.; Okai, K.; Abe, K.; Ohira, H. Skeletal muscle volume loss during transarterial chemoembolization predicts poor prognosis in patients with hepatocellular carcinoma. Hepatol. Res. 2019, 49, 778–786. [Google Scholar] [CrossRef]
- Chang, K.-V.; Chen, J.-D.; Wu, W.-T.; Huang, K.-C.; Hsu, C.-T.; Han, D.-S. Association between Loss of Skeletal Muscle Mass and Mortality and Tumor Recurrence in Hepatocellular Carcinoma: A Systematic Review and Meta-Analysis. Liver Cancer 2018, 7, 90–103. [Google Scholar] [CrossRef] [PubMed]
- Takada, H.; Kurosaki, M.; Nakanishi, H.; Takahashi, Y.; Itakura, J.; Tsuchiya, K.; Yasui, Y.; Tamaki, N.; Takaura, K.; Komiyama, Y.; et al. Impact of pre-sarcopenia in sorafenib treatment for advanced hepatocellular carcinoma. PLoS ONE 2018, 13, e0198812. [Google Scholar] [CrossRef] [PubMed]
- Yamashima, M.; Miyaaki, H.; Honda, T.; Shibata, H.; Miuma, S.; Taura, N.; Nakao, K. Significance of psoas muscle thickness as an indicator of muscle atrophy in patients with hepatocellular carcinoma treated with sorafenib. Mol. Clin. Oncol. 2017, 7, 449–453. [Google Scholar] [CrossRef] [PubMed]
- Ahmadzadehfar, H.; Duan, H.; Haug, A.R.; Walrand, S.; Hoffmann, M. The role of SPECT/CT in radioembolization of liver tumours. Eur. J. Nucl. Med. Mol. Imaging 2014, 41 (Suppl. S1), S115–S124. [Google Scholar] [CrossRef]
- Adcock, C.S.; Florez, E.; Zand, K.A.; Patel, A.; Howard, C.M.; Fatemi, A. Assessment of Treatment Response Following Yttrium-90 Transarterial Radioembolization of Liver Malignancies. Cureus 2018, 10, e2895. [Google Scholar] [CrossRef]






| Variable | No-Sarcopenia Group (n = 12) | Sarcopenia Group (n = 8) | p |
|---|---|---|---|
| Median (IQR) or n (%) | |||
| Age (years) | 63 (58–67) | 63 (57–70) | 0.44 |
| Male sex | 7 (58.3) | 5 (62.5) | 0.78 |
| Height (cm) | 170 (162–180) | 174 (165–180) | 0.32 |
| Ascites (any grade) Moderate | 4 (33.3) 1 (8.3) | 2 (25) 1 (12.5) | 0.78 |
| Maximum size of treated lesion (mm) | 45 (33–71) | 50 (35–78) | 0.60 |
| Number of lesions | 2 (1–4) | 3 (2–4) | 0.43 |
| Bilobar involvement | 7 (58.3) | 4 (50) | 0.84 |
| Liver parenchyma involved > 50% | 3 (25) | 2 (25) | 1.00 |
| Bilobar TARE treatment | 7 (58.3) | 4 (50) | 0.67 |
| AFP measure (ng/mL) pre-procedural | 58 (19–235) | 69 (26–210) | 0.85 |
| PIVKA measure (AU/mL) pre-procedural PMI (mm/m2) at baseline | 155 (93–436) 12 (6–16) | 172 (44–445) 12 (8–13) | 0.89 0.79 |
| Sarcopenia Group n = 8 | No-Sarcopenia Group n = 12 | p | |
|---|---|---|---|
| Activity intensity peak (Grayscale) | 903.8 ± 110.1 | 998.6 ± 94.9 | 0.21 |
| <Dtumor> (Gy) | 154.2 ± 56.7 | 162.7 ± 47.8 | 0.13 |
| <Dnliver> (Gy) | 26.0 ± 5.2 | 29.5 ± 9.8 | 0.40 |
Disclaimer/Publisher’s Note: The statements, opinions and data contained in all publications are solely those of the individual author(s) and contributor(s) and not of MDPI and/or the editor(s). MDPI and/or the editor(s) disclaim responsibility for any injury to people or property resulting from any ideas, methods, instructions or products referred to in the content. |
© 2024 by the authors. Licensee MDPI, Basel, Switzerland. This article is an open access article distributed under the terms and conditions of the Creative Commons Attribution (CC BY) license (https://creativecommons.org/licenses/by/4.0/).
Share and Cite
Trobiani, C.; Ubaldi, N.; Teodoli, L.; Tipaldi, M.A.; Cappelli, F.; Ungania, S.; Vallati, G. The Deterioration of Sarcopenia Post-Transarterial Radioembolization with Holmium-166 Serves as a Predictor for Disease Progression at 3 Months in Patients with Advanced Hepatocellular Carcinoma: A Pilot Study. J. Pers. Med. 2024, 14, 511. https://doi.org/10.3390/jpm14050511
Trobiani C, Ubaldi N, Teodoli L, Tipaldi MA, Cappelli F, Ungania S, Vallati G. The Deterioration of Sarcopenia Post-Transarterial Radioembolization with Holmium-166 Serves as a Predictor for Disease Progression at 3 Months in Patients with Advanced Hepatocellular Carcinoma: A Pilot Study. Journal of Personalized Medicine. 2024; 14(5):511. https://doi.org/10.3390/jpm14050511
Chicago/Turabian StyleTrobiani, Claudio, Nicolò Ubaldi, Leonardo Teodoli, Marcello Andrea Tipaldi, Federico Cappelli, Sara Ungania, and Giulio Vallati. 2024. "The Deterioration of Sarcopenia Post-Transarterial Radioembolization with Holmium-166 Serves as a Predictor for Disease Progression at 3 Months in Patients with Advanced Hepatocellular Carcinoma: A Pilot Study" Journal of Personalized Medicine 14, no. 5: 511. https://doi.org/10.3390/jpm14050511
APA StyleTrobiani, C., Ubaldi, N., Teodoli, L., Tipaldi, M. A., Cappelli, F., Ungania, S., & Vallati, G. (2024). The Deterioration of Sarcopenia Post-Transarterial Radioembolization with Holmium-166 Serves as a Predictor for Disease Progression at 3 Months in Patients with Advanced Hepatocellular Carcinoma: A Pilot Study. Journal of Personalized Medicine, 14(5), 511. https://doi.org/10.3390/jpm14050511

