Effect of Surgeon Volume on Mechanical Complications after Resection Arthroplasty with Articulating Spacer
Abstract
1. Introduction
2. Material and Methods
2.1. Articulating Spacers
2.2. Patients
2.3. Surgical Technique
2.4. Postoperative Protocol
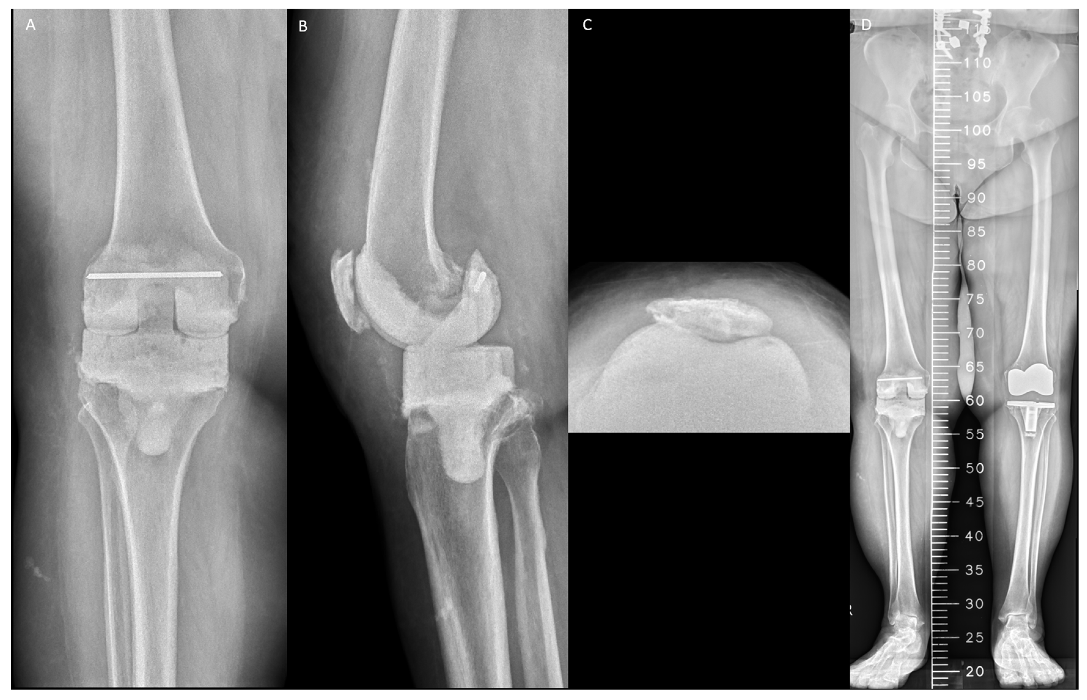
2.5. Evaluation
2.6. Data Analyses
3. Results
4. Discussion
5. Conclusions
Author Contributions
Funding
Institutional Review Board Statement
Informed Consent Statement
Data Availability Statement
Acknowledgments
Conflicts of Interest
References
- DeBoer, D.K. Comparison of Traditional Molded, First-Generation Premolded, and Second-Generation Premolded Antibiotic-Loaded Polymethylmethacrylate Articulating Spacers for Treatment of Chronic Prosthetic Joint Infection of the Knee. J. Arthroplast. 2020, 35, S53–S56. [Google Scholar] [CrossRef] [PubMed]
- Magruder, M.L.; Yao, V.J.H.; Rodriguez, A.N.; Ng, M.K.; Piuzzi, N.S.; Mont, M.A. History of Diabetic Foot Ulcer is Associated With Increased Risk of Prosthetic Joint Infection and Sepsis After Total Joint Arthroplasty. J. Arthroplast. 2024, 39, 250–254. [Google Scholar] [CrossRef] [PubMed]
- Piple, A.S.; Wang, J.C.; Kebaish, K.J.; Mills, E.S.; Oakes, D.A.; Lieberman, J.R.; Christ, A.B.; Heckmann, N.D. Does Prednisone Dose Affect Rates of Periprosthetic Joint Infection Following Primary Total Hip and Total Knee Arthroplasty? J. Arthroplast. 2023, 38, 1024–1031. [Google Scholar] [CrossRef] [PubMed]
- Florance, J.; Chang, J.; Kelly, P.J.; Smith, D.; Bolognesi, M.; Seyler, T.; Ryan, S.P. Inferior Outcomes for Patients Transferred Between Surgical Stages for Knee Periprosthetic Joint Infection. J. Arthroplast. 2024, 39, 490–493. [Google Scholar] [CrossRef] [PubMed]
- Nahhas, C.R.; Chalmers, P.N.; Parvizi, J.; Sporer, S.M.; Berend, K.R.; Moric, M.; Chen, A.F.; Austin, M.S.; Deirmengian, G.K.; Morris, M.J.; et al. A Randomized Trial of Static and Articulating Spacers for the Treatment of Infection Following Total Knee Arthroplasty. J. Bone Jt. Surg. Am. 2020, 102, 778–787. [Google Scholar]
- Struelens, B.; Claes, S.; Bellemans, J. Spacer-related problems in two-stage revision knee arthroplasty. Acta Orthop. Belg. 2013, 79, 422–426. [Google Scholar] [PubMed]
- Lau, A.C.; Howard, J.L.; Macdonald, S.J.; Teeter, M.G.; Lanting, B.A. The Effect of Subluxation of Articulating Antibiotic Spacers on Bone Defects and Degree of Constraint in Revision Knee Arthroplasty. J. Arthroplast. 2016, 31, 199–203. [Google Scholar] [CrossRef] [PubMed]
- Lin, T.L.; Tsai, C.H.; Fong, Y.C.; Shie, M.Y.; Chen, H.Y.; Chen, Y.W. Posterior-Stabilized Antibiotic Cement Articulating Spacer with Endoskeleton-Reinforced Cam Reduces Rate of Post-Cam Mechanical Complications in Prosthetic Knee Infection: A Preliminary Study. J. Arthroplast. 2022, 37, 1180–1188.e1182. [Google Scholar] [CrossRef] [PubMed]
- Wilson, S.; Marx, R.G.; Pan, T.J.; Lyman, S. Meaningful Thresholds for the Volume-Outcome Relationship in Total Knee Arthroplasty. J. Bone Jt. Surg. Am. 2016, 98, 1683–1690. [Google Scholar] [CrossRef]
- Roof, M.A.; Sharan, M.; Merkow, D.; Feng, J.E.; Long, W.J.; Schwarzkopf, R.S. High-volume revision surgeons have better outcomes following revision total knee arthroplasty. Bone Jt. J. 2021, 103, 131–136. [Google Scholar] [CrossRef]
- Fehring, T.K.; Otero, J.E.; Curtin, B.M.; Fehring, K.A.; Metcalf, R.; Rowe, T.M.; Springer, B.D. Does Treatment at a Specialized Prosthetic Joint Infection Center Improve the Rate of Reimplantation? J. Arthroplast. 2023, 38, S314–S317. [Google Scholar] [CrossRef] [PubMed]
- Lin, T.L.; Tsai, C.H.; Fong, Y.C.; Shie, M.Y.; Chen, H.Y.; Chen, Y.W. Cruciate-Retaining vs Posterior-Stabilized Antibiotic Cement Articulating Spacers for Two-Stage Revision of Prosthetic Knee Infection: A Retrospective Cohort Study. J. Arthroplast. 2021, 36, 3750–3759.e3752. [Google Scholar] [CrossRef] [PubMed]
- Parvizi, J.; Gehrke, T. Definition of periprosthetic joint infection. J. Arthroplast. 2014, 29, 1331. [Google Scholar] [CrossRef] [PubMed]
- Wright, J.D.; Hershman, D.L.; Burke, W.M.; Lu, Y.-S.; Neugut, A.I.; Lewin, S.N.; Herzog, T.J. Influence of surgical volume on outcome for laparoscopic hysterectomy for endometrial cancer. Ann. Surg. Oncol. 2012, 19, 948–958. [Google Scholar] [CrossRef] [PubMed]
- Hsu, Y.H.; Hu, C.C.; Hsieh, P.H.; Shih, H.N.; Ueng, S.W.; Chang, Y. Vancomycin and Ceftazidime in Bone Cement as a Potentially Effective Treatment for Knee Periprosthetic Joint Infection. J. Bone Jt. Surg. Am. 2017, 99, 223–231. [Google Scholar] [CrossRef] [PubMed]
- Diaz-Ledezma, C.; Higuera, C.A.; Parvizi, J. Success after treatment of periprosthetic joint infection: A Delphi-based international multidisciplinary consensus. Clin. Orthop. Relat. Res. 2013, 471, 2374–2382. [Google Scholar] [CrossRef] [PubMed]
- Tsai, C.-H.; Hsu, H.-C.; Chen, H.-Y.; Fong, Y.-C.; Ho, M.-W.; Chou, C.-H.; Chen, Y.-W.; Shie, M.-Y.; Lin, T.-L. A preliminary study of the novel antibiotic-loaded cement computer-aided design-articulating spacer for the treatment of periprosthetic knee infection. J. Orthop. Surg. Res. 2019, 14, 136. [Google Scholar] [CrossRef] [PubMed]
- Ritter, M.A.; Davis, K.E.; Meding, J.B.; Pierson, J.L.; Berend, M.E.; Malinzak, R.A. The effect of alignment and BMI on failure of total knee replacement. J. Bone Jt. Surg. Am. 2011, 93, 1588–1596. [Google Scholar] [CrossRef] [PubMed]
- Abane, L.; Anract, P.; Boisgard, S.; Descamps, S.; Courpied, J.P.; Hamadouche, M. A comparison of patient-specific and conventional instrumentation for total knee arthroplasty: A multicentre randomised controlled trial. Bone Jt. J. 2015, 97, 56–63. [Google Scholar] [CrossRef]
- Kim, Y.H.; Park, J.W.; Kim, J.S.; Park, S.D. The relationship between the survival of total knee arthroplasty and postoperative coronal, sagittal and rotational alignment of knee prosthesis. Int. Orthop. 2014, 38, 379–385. [Google Scholar] [CrossRef]
- Song, S.J.; Lee, H.W.; Park, C.H. Predictors of Recurrent Flexion Contracture after Total Knee Arthroplasty in Osteoarthritic Knees with Greater Than 15° Flexion Contracture. Clin. Orthop. Surg. 2023, 15, 770–780. [Google Scholar] [CrossRef] [PubMed]
- Shagawa, M.; Maruyama, S.; Sekine, C.; Yokota, H.; Hirabayashi, R.; Hirata, A.; Yokoyama, M.; Edama, M. Comparison of anterior knee laxity, stiffness, genu recurvatum, and general joint laxity in the late follicular phase and the ovulatory phase of the menstrual cycle. BMC Musculoskelet. Disord. 2021, 22, 886. [Google Scholar] [CrossRef] [PubMed]
- Puranik, H.G.; Mukartihal, R.; Patil, S.S.; Dhanasekaran, S.R.; Menon, V.K. Does Femoral Notching During Total Knee Arthroplasty Influence Periprosthetic Fracture. A Prospective Study. J. Arthroplast. 2019, 34, 1244–1249. [Google Scholar] [CrossRef] [PubMed]
- Nielsen, C.S.; Nebergall, A.; Huddleston, J.; Kallemose, T.; Malchau, H.; Troelsen, A. Medial Overhang of the Tibial Component Is Associated With Higher Risk of Inferior Knee Injury and Osteoarthritis Outcome Score Pain After Knee Replacement. J. Arthroplast. 2018, 33, 1394–1398. [Google Scholar] [CrossRef]
- Tammachote, N.; Kriengburapha, N.; Chaiwuttisak, A.; Kanitnate, S.; Boontanapibul, K. Is Regular Knee Radiograph Reliable Enough to Assess the Knee Prosthesis Position? J. Arthroplast. 2018, 33, 3038–3042. [Google Scholar] [CrossRef]
- Thienpont, E.; Parvizi, J. A New Classification for the Varus Knee. J. Arthroplast. 2016, 31, 2156–2160. [Google Scholar] [CrossRef]
- Kleimeyer, J.P.; McQuillan, T.J.; Arsoy, D.; Aggarwal, V.K.; Amanatullah, D.F. Agreement and Reliability of Lateral Patellar Tilt and Displacement following Total Knee Arthroplasty with Patellar Resurfacing. J. Knee Surg. 2021, 34, 717–720. [Google Scholar] [CrossRef]
- George, J.; Miller, E.M.; Curtis, G.L.; Klika, A.K.; Barsoum, W.K.; Mont, M.A.; Higuera, C.A. Success of Two-Stage Reimplantation in Patients Requiring an Interim Spacer Exchange. J. Arthroplast. 2018, 33, S228–S232. [Google Scholar] [CrossRef]
- Tan, T.L.; Goswami, K.; Kheir, M.M.; Xu, C.; Wang, Q.; Parvizi, J. Surgical Treatment of Chronic Periprosthetic Joint Infection: Fate of Spacer Exchanges. J. Arthroplast. 2019, 34, 2085–2090.e2081. [Google Scholar] [CrossRef]
- Ferry, T.; Seng, P.; Mainard, D.; Jenny, J.-Y.; Laurent, F.; Senneville, E.; Grare, M.; Jolivet-Gougeon, A.; Bernard, L.; Marmor, S. The CRIOAc healthcare network in France: A nationwide Health Ministry program to improve the management of bone and joint infection. Orthop. Traumatol. Surg. Res. 2019, 105, 185–190. [Google Scholar] [CrossRef]
- Palanisami, D.; Jagdishbhai, C.P.; Manohar, M.; Ramesh, P.; Natesan, R.; Shanmuganathan, R. Improving the accuracy of tibial component placement during total knee replacement in varus knees with tibial bowing: A prospective randomised controlled study. Knee 2019, 26, 1088–1095. [Google Scholar] [CrossRef] [PubMed]
- Gililland, J.M.; Carlson, V.R.; Fehring, K.; Springer, B.D.; Griffin, W.L.; Anderson, L.A. Balanced, Stemmed, and Augmented Articulating Total Knee Spacer Technique. Arthroplast. Today 2020, 6, 981–986. [Google Scholar] [CrossRef] [PubMed]
- Mesnard, G.; Batailler, C.; Fary, C.; Schmidt, A.; Servien, E.; Lustig, S. Posterior-Stabilized TKA in Patients with Severe Genu Recurvatum Achieves Good Clinical and Radiological Results at 5-year Minimum Follow-Up: A Case-Controlled Study. J. Arthroplast. 2021, 36, 3154–3160. [Google Scholar] [CrossRef] [PubMed]
- Al-Jabri, T.; Brivio, A.; Maffulli, N.; Barrett, D. Management of instability after primary total knee arthroplasty: An evidence-based review. J. Orthop. Surg. Res. 2021, 16, 729. [Google Scholar] [CrossRef] [PubMed]
- Cottino, U.; Sculco, P.K.; Sierra, R.J.; Abdel, M.P. Instability After Total Knee Arthroplasty. Orthop. Clin. N. Am. 2016, 47, 311–316. [Google Scholar] [CrossRef] [PubMed]
- Oh, J.H.; Scuderi, G.R. Zonal Fixation in Revision TKA: The Key Is Metaphyseal Fixation. J. Knee Surg. 2021, 34, 1402–1407. [Google Scholar] [CrossRef] [PubMed]
- Lee, S.H.; Shih, H.N.; Chang, C.H.; Lu, T.W.; Chang, Y.H.; Lin, Y.C. Influence of extension stem length and diameter on clinical and radiographic outcomes of revision total knee arthroplasty. BMC Musculoskelet. Disord. 2020, 21, 15. [Google Scholar] [CrossRef] [PubMed]
- Jung, K.H.; Lee, C.C.; Kim, T.H.; Han, J.W.; Park, K.B. Does spiked tibial cement spacer reduce spacer-related problems in two-stage revision total knee arthroplasty for infection? Int. Orthop. 2022, 46, 2009–2017. [Google Scholar] [CrossRef]
- Sylvia, L.G.; Bernstein, E.E.; Hubbard, J.L.; Keating, L.; Anderson, E.J. Practical guide to measuring physical activity. J. Acad. Nutr. Diet. 2014, 114, 199–208. [Google Scholar] [CrossRef]
- Yoshino, K.; Hagiwara, S.; Nakamura, J.; Tsukeoka, T.; Tsuneizumi, Y.; Ohtori, S. Intra- and interobserver reliability and agreement in three-dimensional computed tomography measurements of component positions after total knee arthroplasty. Knee 2019, 26, 1102–1110. [Google Scholar] [CrossRef]




| Variables | Surgeon Volume | p-Value | |
|---|---|---|---|
| HV (n = 105) | LV (n = 98) | ||
| Age (years) | 67.4 (59–83) | 66.1 (58–82) | 0.713 |
| Sex (female) | 59 (56.2) | 60 (61.2) | 0.554 |
| BMI (kg/m2) | 27.3 (21.0–34.6) | 28.6 (21.7–33.2) | 0.676 |
| Right laterality | 54 (51.4) | 46 (46.9) | 0.262 |
| Constraint of the original prosthesis | |||
| Cruciate-retaining | 37 (35.2) | 35 (35.7) | 0.906 |
| Posterior-stabilized | 68 (64.8) | 63 (64.3) | 0.894 |
| Smoking status | |||
| Never-smokers | 49 (46.7) | 42 (42.9) | 0.648 |
| Current/ex-smokers | 56 (53.3) | 56 (57.1) | 0.517 |
| Insurance status | |||
| Insured | 104 (99.0) | 98 (100.0) | 0.930 |
| Uninsured | 1 (1.0) | 0 (0.0) | 0.964 |
| Socioeconomic status | |||
| Low | 42 (40.0) | 39 (39.8) | 0.911 |
| Middle | 38 (36.2) | 37 (37.8) | 0.890 |
| High | 25 (23.8) | 22 (22.4) | 0.835 |
| Charlson Comorbidity Index | |||
| 0 | 52 (49.5) | 47 (48.0) | 0.876 |
| 1–2 | 38 (36.2) | 36 (36.7) | 0.937 |
| 3+ | 15 (14.3) | 15 (15.3) | 0.882 |
| McPherson host grade | |||
| Uncompromised | 51 (48.6) | 45 (45.9) | 0.704 |
| Compromised | 30 (28.5) | 29 (29.6) | 0.816 |
| Substantially compromised | 24 (22.9) | 24 (24.5) | 0.773 |
| Microorganisms | |||
| Staphylococcus species | 35 (33.3) | 33 (33.7) | 0.938 |
| Streptococcus species | 20 (19.0) | 18 (18.4) | 0.863 |
| Gram-positive cocci | 15 (14.3) | 14 (14.3) | 0.999 |
| Gram-negative species | 16 (15.2) | 17 (17.3) | 0.803 |
| Polymicrobial | 8 (7.6) | 8 (8.2) | 0.830 |
| Culture negative | 11 (10.5) | 8 (8.2) | 0.709 |
| Spacer information | |||
| Femoral spacer size (No.) | 3.9 (2–5) | 3.8 (2–5) | 0.774 |
| Femoral spacer with endoskeleton | 52 (49.5) | 47 (48.0) | 0.808 |
| Tibial spacer size (No.) | 4.0 (2–5) | 3.9 (2–5) | 0.822 |
| Tibial spacer thickness (mm) | 13.2 (10–19) | 13.7 (10–21) | 0.762 |
| Spacer period (weeks) | 14.6 (11–24) | 14.4 (10–23) | 0.825 |
| Follow-up period (months) | 54.7 (13–79) | 53.6 (13–77) | 0.692 |
| Parameters | Surgeon Volume | p-Value | |
|---|---|---|---|
| HV (n = 105) | LV (n = 98) | ||
| Overall mechanical complication | 4 (3.8) | 36 (36.7) | <0.001 |
| Spacer fracture | 2 (1.9) | 4 (4.1) | 0.284 |
| Spacer migration | 1 (0.9) | 8 (8.2) | 0.051 |
| Periprosthetic fracture | 0 (0.0) | 3 (3.1) | 0.417 |
| Joint subluxation/dislocation | 1 (0.9) | 19 (19.4) | 0.006 |
| Extensor mechanism disruption | 0 (0.0) | 2 (2.0) | 0.596 |
| Overall reoperation | 1 (0.9) | 24 (24.5) | <0.001 |
| Open reduction | 0 (0.0) | 1 (1.0) | 0.891 |
| Spacer exchange | 1 (0.9) | 22 (22.4) | 0.003 |
| Extensor mechanism repair | 0 (0.0) | 1 (1.0) | 0.891 |
| Unexpected early reimplantation | 1 (0.9) | 4 (4.1) | 0.110 |
| Constraint of reimplantation prosthesis | |||
| Legacy constrained condylar knee | 104 (99.1) | 81 (82.7) | 0.007 |
| Rotating hinge knee | 1 (0.9) | 17 (17.3) | 0.008 |
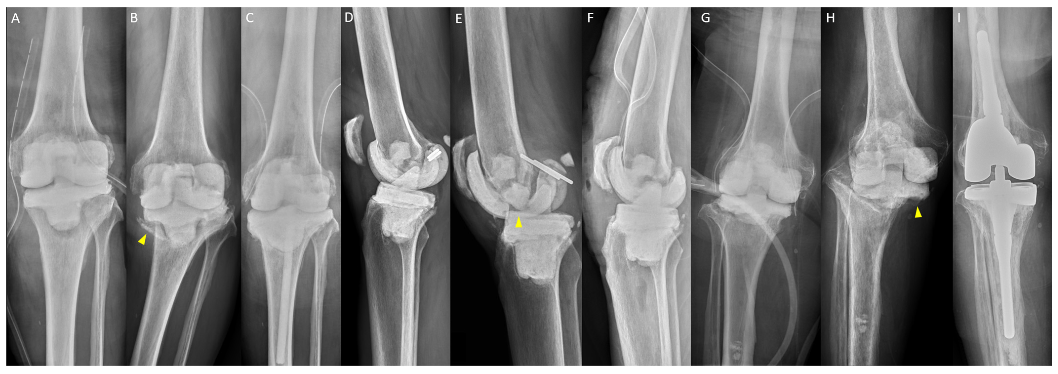
| Patient No. | Age (Years) | Sex | Radiographic Outlier | Mechanical Complication | Timing after Spacer (Weeks) | Intervention |
|---|---|---|---|---|---|---|
| HV surgeons | ||||||
| 1 | 69 | F | PTA < 87°; HKA < −10° | TS migration | 3 | Hinge knee brace |
| 2 | 64 | M | TS overhang; DFA > 98° | TS fracture | 4 | Hinge knee brace |
| 3 | 76 | M | PTA > 90°; FS notching | TS fracture | 5 | Both spacers exchange |
| 4 | 77 | F | Recurvatum deformity | Joint dislocation | 6 | Unexpected early reimplantation |
| LV surgeons | ||||||
| 1 | 73 | M | PTA < 87°; DFA < 92° | TS fracture | 2 | Hinge knee brace |
| 2 | 66 | M | PTA < 87°; DFA > 98° | Joint subluxation | 5 | Hinge knee brace |
| 3 | 82 | M | PTA < 87°; FS notching | Joint subluxation | 4 | Hinge knee brace |
| 4 | 63 | F | PTA < 87°; patellar maltracking | Joint dislocation | 4 | Open reduction |
| 5 | 66 | F | PTA < 87°; HKA < −10° | Joint subluxation | 3 | TS exchange |
| 6 | 86 | F | PTA < 87°; flexion contracture | Joint dislocation | 6 | TS exchange |
| 7 | 77 | F | PTA < 87° | Joint dislocation | 4 | TS exchange |
| 8 | 71 | M | PTA < 87°; FS without cement stem extension | Joint dislocation | 5 | TS exchange |
| 9 | 68 | M | PTA < 87° | Periprosthetic tibial fracture | 3 | TS exchange |
| 10 | 73 | M | PTA < 87°; flexion contracture | Periprosthetic tibial fracture | 4 | Both spacers exchange |
| 11 | 72 | F | PTA < 87°; HKA < −10° | Both spacers fracture | 6 | Unexpected early reimplantation |
| 12 | 68 | F | Recurvatum deformity; DFA > 98° | Joint subluxation | 5 | Hinge knee brace |
| 13 | 58 | M | Recurvatum deformity | Joint subluxation | 7 | Hinge knee brace |
| 14 | 72 | M | Recurvatum deformity; TS without cement stem extension | Joint dislocation | 4 | Both spacers exchange |
| 15 | 80 | F | Recurvatum deformity; TS overhang | Joint dislocation | 6 | Both spacers exchange |
| 16 | 66 | F | Recurvatum deformity; HKA angle < −10° | Joint dislocation | 7 | FS exchange |
| 17 | 60 | M | Recurvatum deformity; DFA < 92° | Joint dislocation | 4 | FS exchange |
| 18 | 80 | F | Recurvatum deformity; patellar maltracking | Joint dislocation | 8 | FS exchange |
| 19 | 67 | F | Recurvatum deformity; FS notching | Joint dislocation | 4 | FS exchange |
| 20 | 63 | M | Recurvatum deformity | FS fracture | 4 | Both spacers exchange |
| 21 | 60 | M | Recurvatum deformity; FS without cement stem extension | Periprosthetic tibial fracture | 6 | Unexpected early reimplantation |
| 22 | 61 | M | TS without cement stem extension | Joint subluxation | 4 | Hinge knee brace |
| 23 | 73 | F | TS without cement stem extension; DFA > 98° | Joint subluxation | 5 | Hinge knee brace |
| 24 | 61 | M | TS without cement stem extension | Joint dislocation | 3 | Both spacers exchange |
| 25 | 72 | M | TS without cement stem extension; DFA < 92° | Joint dislocation | 6 | Both spacers exchange |
| 26 | 75 | F | TS without cement stem extension; patellar maltracking | TS migration | 3 | TS exchange |
| 27 | 68 | F | TS without cement stem extension | TS migration | 4 | TS exchange |
| 28 | 69 | M | TS without cement stem extension; PSA > 90° | TS migration | 4 | Both spacers exchange |
| 29 | 73 | F | TS without cement stem extension; TS overhang | TS migration | 3 | TS exchange |
| 30 | 60 | F | TS without cement stem extension; HKA angle < −10° | TS migration | 5 | TS exchange |
| 31 | 66 | M | TS without cement stem extension; PTA > 93° | TS migration | 3 | TS exchange |
| 32 | 76 | F | TS without cement stem extension | TS migration | 6 | Unexpected early reimplantation |
| 33 | 77 | F | TS overhang; DFA > 98° | Extensor mechanism disruption | 3 | TS exchange |
| 34 | 67 | M | Patellar maltracking; DFA < 92° | Extensor mechanism disruption | 4 | Lateral release |
| 35 | 64 | F | HKA < −10°; DFA < 92° | TS migration | 6 | Unexpected early reimplantation |
| 36 | 72 | F | HKA < −10°; flexion contracture | Both spacers fracture | 3 | Hinge knee brace |
| Variables | No Mechanical Complications (n = 163) | Mechanical Complications (n = 40) | Odds Ratio (95% CI) | p-Value |
|---|---|---|---|---|
| Age ≥ 65 years | 128 (78.5) | 30 (75.0) | 0.91 (0.19–2.43) | 0.638 |
| Sex (female) | 98 (60.1) | 21 (52.5) | 0.87 (0.12–1.92) | 0.507 |
| BMI ≥ 25.0 kg/m2 | 96 (58.9) | 28 (70.0) | 4.43 (1.84–23.5) | 0.038 |
| Right laterality | 77 (47.2) | 23 (57.5) | 1.99 (0.78–5.37) | 0.059 |
| Constraint of the original prosthesis | ||||
| Cruciate-retaining | 57 (35.0) | 15 (37.5) | 1.02 (0.30–3.84) | 0.710 |
| Posterior-stabilized | 106 (65.0) | 25 (62.5) | 0.90 (0.44–2.89) | 0.569 |
| Smoking status | ||||
| Never-smokers | 73 (44.8) | 18 (45.0) | 1.00 (0.18–1.76) | 0.996 |
| Current/ex-smokers | 90 (52.4) | 22 (55.0) | 1.02 (0.11–3.03) | 0.834 |
| Insurance status | ||||
| Insured | 162 (99.4) | 40 (100.0) | 1.01 (0.33–1.68) | 0.914 |
| Uninsured | 1 (0.6) | 0 (0.0) | 0.99 (0.22–1.37) | 0.939 |
| Socioeconomic status | ||||
| Low | 64 (39.3) | 17 (42.5) | 1.09 (0.40–4.13) | 0.456 |
| Middle | 61 (37.4) | 14 (35.0) | 0.93 (0.13–2.10) | 0.741 |
| High, n (%) | 38 (23.3) | 9 (22.5) | 0.98 (0.38–2.31) | 0.853 |
| Charlson Comorbidity Index | ||||
| 0 | 81 (49.7) | 18 (45.0) | 0.91 (0.51–2.27) | 0.727 |
| 1–2 | 59 (36.2) | 15 (37.5) | 1.02 (0.52–2.63) | 0.734 |
| 3+ | 23 (14.1) | 7 (17.5) | 1.03 (0.49–3.11) | 0.515 |
| McPherson host grade | ||||
| Uncompromised | 79 (48.5) | 17 (42.5) | 0.89 (0.28–2.16) | 0.760 |
| Compromised | 47 (28.8) | 12 (30.0) | 1.09 (0.35–4.61) | 0.672 |
| Substantially compromised | 37 (22.7) | 11 (27.5) | 1.11 (0.59–5.48) | 0.518 |
| Microorganisms | ||||
| Staphylococcus species | 54 (33.1) | 14 (35.0) | 1.07 (0.39–3.44) | 0.630 |
| Streptococcus species | 31 (19.0) | 7 (17.5) | 0.98 (0.20–2.11) | 0.832 |
| Gram-positive cocci | 24 (14.7) | 5 (12.5) | 0.97 (0.21–2.09) | 0.814 |
| Gram-negative species | 27 (16.6) | 6 (15.0) | 0.98 (0.23–2.07) | 0.827 |
| Polymicrobial | 13 (7.9) | 3 (7.5) | 1.00 (0.12–1.97) | 0.964 |
| Culture negative | 14 (8.6) | 5 (12.5) | 1.12 (0.13–6.40) | 0.633 |
| Spacer information | ||||
| Femoral spacer size ≤ 2 | 76 (46.6) | 23 (57.5) | 3.97 (1.19–12.3) | 0.042 |
| Femoral spacer with endoskeleton | 81 (49.7) | 18 (45.0) | 0.91 (0.48–2.33) | 0.718 |
| Tibial spacer size ≤ 2 | 73 (44.8) | 21 (52.5) | 3.19 (1.28–10.6) | 0.051 |
| Tibial spacer thickness ≥ 13 mm | 79 (48.5) | 22 (55.0) | 3.04 (1.21–10.3) | 0.053 |
| Spacer malalignment and malposition | ||||
| DFA > 98° | 18 (11.0) | 5 (12.5) | 1.02 (0.38–3.20) | 0.863 |
| DFA < 92° | 11 (6.7) | 5 (12.5) | 3.03 (1.19–9.73) | 0.056 |
| PTA > 93° | 8 (4.9) | 1 (2.5) | 0.90 (032–2.00) | 0.778 |
| PTA < 87° | 15 (9.2) | 12 (30.0) | 6.76 (2.88–43.3) | 0.005 |
| PSA > 90° | 7 (4.3) | 2 (5.0) | 1.01 (0.76–1.86) | 0.901 |
| PSA < 83° | 2 (1.2) | 0 (0.0) | 0.98 (0.63–1.69) | 0.806 |
| Flexion contracture | 15 (9.2) | 3 (7.5) | 0.97 (0.23–1.98) | 0.716 |
| Recurvatum deformity | 9 (5.5) | 11 (27.5) | 7.31 (2.04–50.7) | 0.003 |
| FS notching | 17 (10.4) | 3 (7.5) | 0.95 (0.51–1.87) | 0.706 |
| TS overhang | 26 (15.9) | 5 (12.5) | 0.91 (0.28–1.83) | 0.739 |
| FS without cement stem extension | 18 (11.0) | 2 (5.0) | 0.72 (0.13–1.76) | 0.132 |
| TS without cement stem extension | 7 (4.3) | 12 (30.0) | 8.94 (2.76–62.6) | <0.001 |
| HKA angle > 10° | 2 (1.2) | 0 (0.0) | 0.98 (0.20–2.02) | 0.870 |
| HKA angle < −10° | 10 (6.1) | 7 (17.5) | 4.11 (2.24–22.1) | 0.041 |
| Patellar maltracking | 23 (14.1) | 4 (10.0) | 0.94 (1.11–2.04) | 0.703 |
| Spacer period (weeks) | 14.1 (12–24) | 14.9 (11–22) | 1.11 (0.48–3.78) | 0.529 |
| Follow-up period (months) | 54.2 (13–78) | 53.9 (14–75) | 0.97 (0.46–2.32) | 0.631 |
| Variables | Adjusted Odds Ratio (95% CI) | p-Value |
|---|---|---|
| BMI ≥ 25.0 kg/m2 | 3.01 (1.32–12.4) | 0.054 |
| Femoral spacer size ≤ 2 | 2.63 (1.04–9.18) | 0.127 |
| Medial PTA < 87° | 5.30 (2.11–37.6) | 0.009 |
| Recurvatum deformity | 6.43 (1.93–41.4) | 0.007 |
| TS without cement stem extension | 7.25 (2.24–53.5) | 0.002 |
| HKA angle < −10° | 2.99 (1.62–11.4) | 0.075 |
Disclaimer/Publisher’s Note: The statements, opinions and data contained in all publications are solely those of the individual author(s) and contributor(s) and not of MDPI and/or the editor(s). MDPI and/or the editor(s) disclaim responsibility for any injury to people or property resulting from any ideas, methods, instructions or products referred to in the content. |
© 2024 by the authors. Licensee MDPI, Basel, Switzerland. This article is an open access article distributed under the terms and conditions of the Creative Commons Attribution (CC BY) license (https://creativecommons.org/licenses/by/4.0/).
Share and Cite
Ko, C.-Y.; Tsai, C.-H.; Fong, Y.-C.; Chen, H.-Y.; Chen, H.-T.; Lin, T.-L. Effect of Surgeon Volume on Mechanical Complications after Resection Arthroplasty with Articulating Spacer. J. Pers. Med. 2024, 14, 490. https://doi.org/10.3390/jpm14050490
Ko C-Y, Tsai C-H, Fong Y-C, Chen H-Y, Chen H-T, Lin T-L. Effect of Surgeon Volume on Mechanical Complications after Resection Arthroplasty with Articulating Spacer. Journal of Personalized Medicine. 2024; 14(5):490. https://doi.org/10.3390/jpm14050490
Chicago/Turabian StyleKo, Chih-Yuan, Chun-Hao Tsai, Yi-Chin Fong, Hui-Yi Chen, Hsien-Te Chen, and Tsung-Li Lin. 2024. "Effect of Surgeon Volume on Mechanical Complications after Resection Arthroplasty with Articulating Spacer" Journal of Personalized Medicine 14, no. 5: 490. https://doi.org/10.3390/jpm14050490
APA StyleKo, C.-Y., Tsai, C.-H., Fong, Y.-C., Chen, H.-Y., Chen, H.-T., & Lin, T.-L. (2024). Effect of Surgeon Volume on Mechanical Complications after Resection Arthroplasty with Articulating Spacer. Journal of Personalized Medicine, 14(5), 490. https://doi.org/10.3390/jpm14050490

