Immunotherapy Combined with Radiation in Malignant Melanoma without BRAF Mutations Brain Metastases—Favorable Response after Immunotherapy Continued beyond Progression
Abstract
1. Background
2. Case Presentation
- -
- Sentinel lymph node 1 (left axillary region): melanoma metastase, S 100-positive, Melan A(Mart-1)-positive.
- -
- Sentinel lymph node (scapulary region): negative for metastase, S 100-negative, Melan A(Mart-1)-negative.
- -
- Consultation for Stereotactic radiosurgery (SRS).
- -
- Continuation of the treatment with Nivolumab.
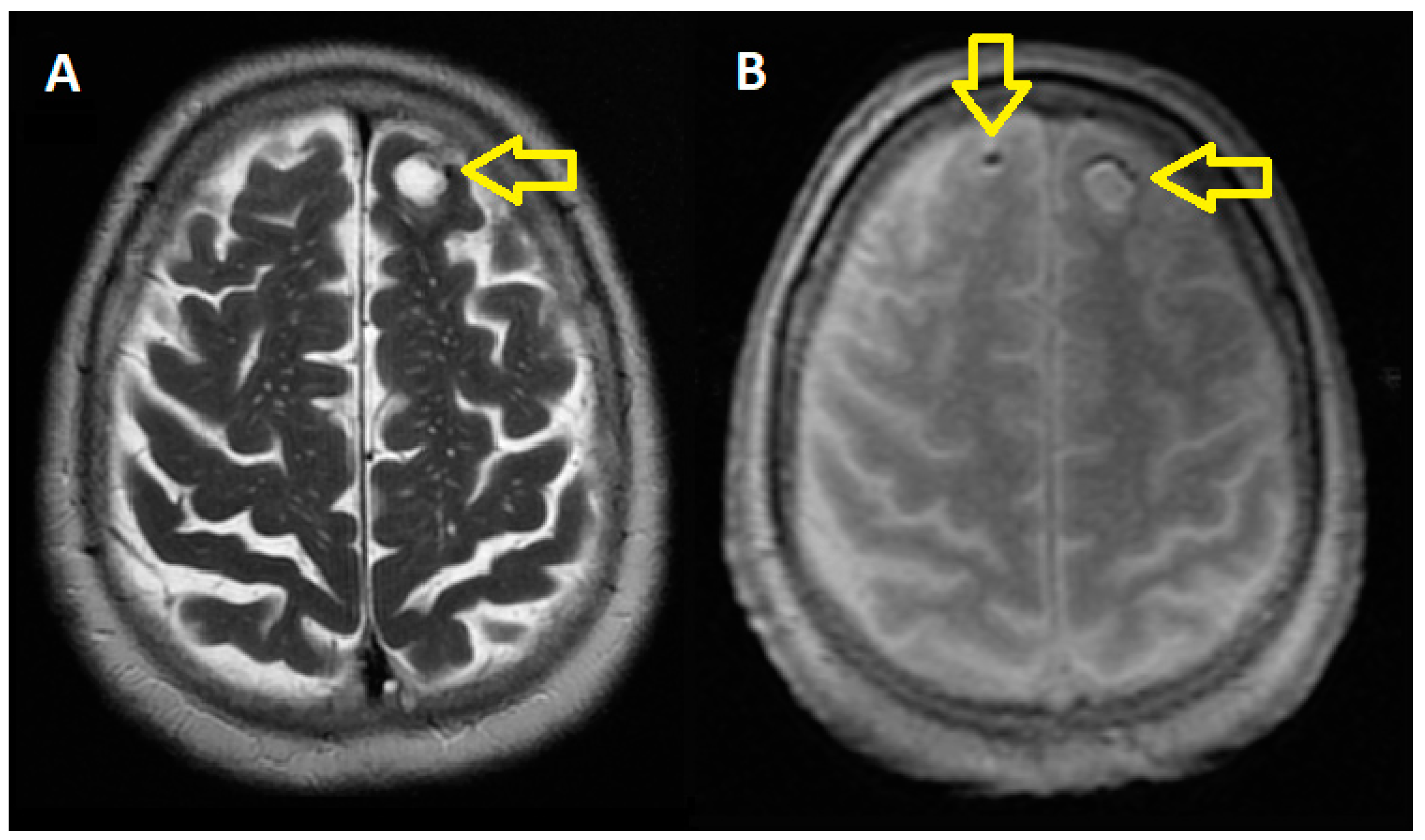
2.1. At the Cerebral Level
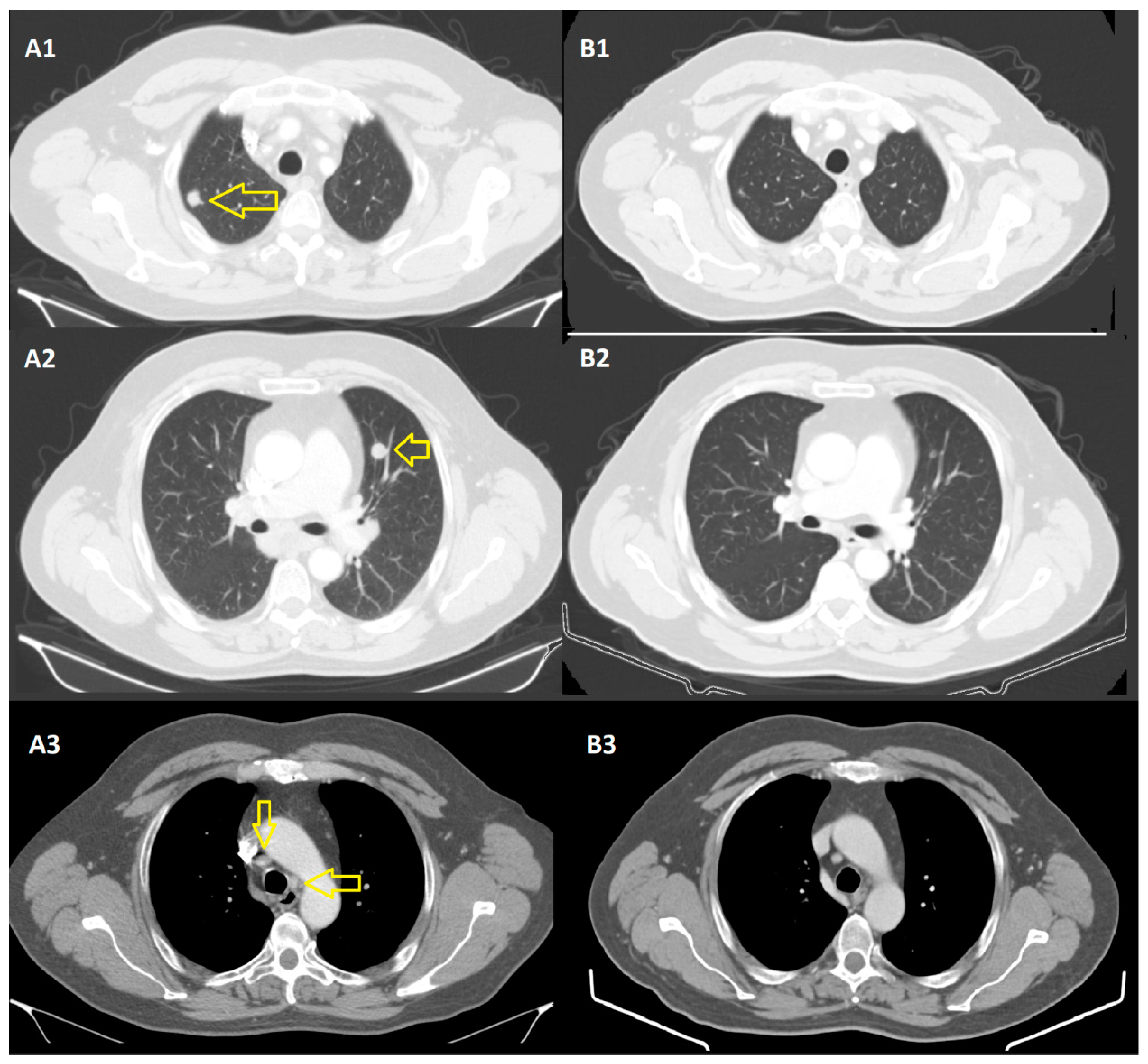
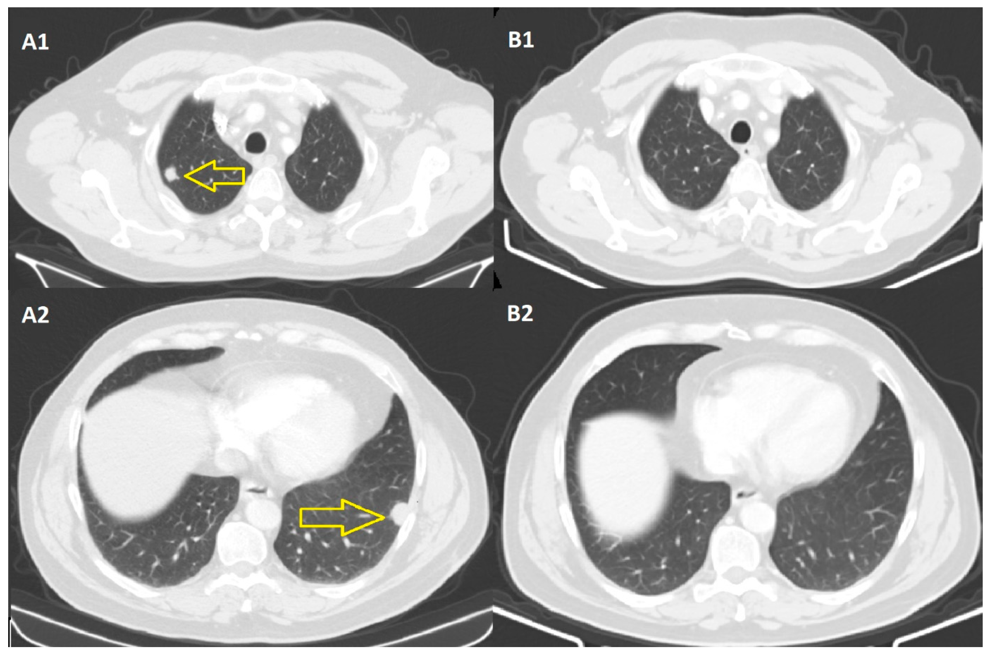
2.2. At the Thoracic Level
2.3. At the Abdominal-Pelvic Level
3. Discussion
3.1. Surgery
3.2. Stereotactic Radiosurgery and Whole-Brain Radiation Therapy
3.3. Immunotherapy
3.4. Stereotactic Radiosurgery with Immunotherapy
3.5. Whole-Brain Radiation Therapy with Immunotherapy
- -
- The median overall survival from the time of diagnosis of brain metastases was 12.8 months.
- -
- The median overall survival from the time of diagnosis of malignant melanoma was 60.5 months.
- -
- The median overall survival from the time of the first whole brain radiation therapy was 6.8 months.
- -
- The OS from the time of the initial brain metastasis in patients who were treated with anti-PD-1 antibody therapy before the initial brain metastasis was 8.5 months [50].
- -
- The overall survival from the time of diagnosis of brain metastases is 29 months; in November 2023, the patient underwent a complete remission of brain metastases
- -
- The overall survival from the time of diagnosis of malignant melanoma is 65 months, with the patient being in complete remission in September 2023.
- -
- The overall survival from the time of the first whole brain radiation therapy is 26 months.
- -
- The overall survival from the time of initial brain metastasis in our patient who was treated with anti-PD-1 antibody therapy before the initial brain metastasis is 29 months.
- -
- It is worth mentioning that in our patient’s case, the overall survival from the time of diagnosis of lung metastases is 44 months, and the durable complete response of lung metastases is 24 months in September 2023.
4. Conclusions
- The complete remission of pulmonary and lymph node metastases, 9 months after the initiation of immunotherapy, is a durable remission, with a duration of 24 months, in September 2023.
- Brain metastases, which appeared under the immunotherapeutic treatment, were treated with WBRT, followed by the continuation of immunotherapy, due to the clinical benefit and the good performance status.
- A survival period of 29 months from the time of occurrence of treated brain metastases.
- After an initial slight progression at the cerebral level, after radiotherapy, and under immunotherapy, the disease became stable at the cerebral level, and 28 months after the diagnosis of cerebral metastases, in September 2023, a complete remission was recorded.
- The decision to continue immunotherapy after the occurrence of brain metastases was beneficial to the patient, who enjoyed a very good life quality, 29 months after their diagnosis.
- In September 2023, the complete remission of the disease is recorded, 64 months after the initial diagnosis, respectively, 33 months after the initiation of immunotherapy, a treatment which was well tolerated, with no adverse effects.
- The complete remission of the disease continues 24 months after the performance of WBRT, thus revealing the synergistic effect of the combination between immunotherapy and radiotherapy.
- WBRT still has its role in combination with immunotherapy in the overall survival of patients with malignant melanoma brain metastases, through the synergistic action of the two therapeutic methods.
- Further studies towards enhancement in abscopal activity are necessary.
Author Contributions
Funding
Institutional Review Board Statement
Informed Consent Statement
Data Availability Statement
Conflicts of Interest
References
- Cagney, D.N.; Martin, A.M.; Catalano, P.J.; Redig, A.J.; Lin, N.U.; Lee, E.Q.; Wen, P.Y.; Dunn, I.F.; Bi, W.L.; Weiss, S.E.; et al. Incidence and prognosis of patients with brain metastases at diagnosis of systemic malignancy: A population-based study. Neuro Oncol. 2017, 19, 1511–1521. [Google Scholar] [CrossRef]
- Di Giacomo, A.M.; Valente, M.; Cerase, A.; Lofiego, M.F.; Piazzini, F.; Calabrò, L.; Gambale, E.; Covre, A.; Maio, M. Immunotherapy of brain metastases: Breaking a “dogma”. J. Exp. Clin. Cancer Res. 2019, 38, 419. [Google Scholar] [CrossRef] [PubMed]
- Nowacka, A.; Fajkiel-Madajczyk, A.; Ohla, J.; Woźniak-Dąbrowska, K.; Liss, S.; Gryczka, K.; Smuczyński, W.; Ziółkowska, E.; Bożiłow, D.; Śniegocki, M.; et al. Current Treatment of Melanoma Brain Metastases. Cancers 2023, 15, 4088. [Google Scholar] [CrossRef] [PubMed]
- Tawbi, H.A.; Boutros, C.; Kok, D.; Robert, C.; McArthur, G. New Era in the Management of Melanoma Brain Metastases. Am. Soc. Clin. Oncol. Educ. Book 2018, 38, 741–750. [Google Scholar] [CrossRef] [PubMed]
- de Azevedo, S.J.; de Melo, A.C.; Roberts, L.; Caro, I.; Xue, C.; Wainstein, A. First-line atezolizumab monotherapy in patients with advanced BRAFV600 wild-type melanoma. Pigment. Cell Melanoma Res. 2021, 34, 973–977. [Google Scholar] [CrossRef]
- Yu, S.; Wang, Y.; He, P.; Shao, B.; Liu, F.; Xiang, Z.; Yang, T.; Zeng, Y.; He, T.; Ma, J.; et al. Effective Combinations of Immunotherapy and Radiotherapy for Cancer Treatment. Front. Oncol. 2022, 12, 809304. [Google Scholar] [CrossRef]
- Liu, Y.; Dong, Y.; Kong, L.; Shi, F.; Zhu, H.; Yu, J. Abscopal Effect of Radiotherapy Combined with Immune Checkpoint Inhibitors. J. Hematol. Oncol. 2018, 11, 104. [Google Scholar] [CrossRef]
- Nabrinsky, E.; Macklis, J.; Bitran, J. A Review of the Abscopal Effect in the Era of Immunotherapy. Cureus 2022, 14, e29620. [Google Scholar] [CrossRef]
- Craig, D.J.; Nanavaty, N.S.; Devanaboyina, M.; Stanbery, L.; Hamouda, D.; Edelman, G. The abscopal effect of radiation therapy. Future Oncol. 2021, 17, 1683–1694. [Google Scholar] [CrossRef]
- Tracz, J.A.; Donnelly, B.M.; Ngu, S.; Vojnic, M.; Wernicke, A.G.; D’Amico, R.S. The abscopal effect: Inducing immunogenicity in the treatment of brain metastases secondary to lung cancer and melanoma. J. Neurooncol. 2023, 163, 1–14. [Google Scholar] [CrossRef]
- Rebegea, L.F.; Firescu, D.; Anghel, R.M.; Gales, L.; Ilie, A.M.; Dumitru, M.E.; Craescu, M.; Niculet, E.; Tatu, A.L.; Cretu, M.S.; et al. Clinical, histological and therapeutical aspects in the management of uterine and extrauterine stromal sarcomas: Case reports. Exp. Ther. Med. 2021, 22, 1456. [Google Scholar] [CrossRef] [PubMed]
- Wells, K.; Anandarajan, V.; Nitzkorski, J. Future Treatments in Melanoma. Oral Maxillofac. Surg. Clin. N. Am. 2022, 34, 325–331. [Google Scholar] [CrossRef]
- Sambi, M.; Bagheri, L.; Szewczuk, M.R. Current Challenges in Cancer Immunotherapy: Multimodal Approaches to Improve Efficacy and Patient Response Rates. J. Oncol. 2019, 2019, 4508794. [Google Scholar] [CrossRef] [PubMed]
- Constantin, G.B.; Firescu, D.; Mihailov, R.; Constantin, I.; Ștefanopol, I.A.; Iordan, D.A.; Ștefănescu, B.I.; Bîrlă, R.; Panaitescu, E. A Novel Clinical Nomogram for Predicting Overall Survival in Patients with Emergency Surgery for Colorectal Cancer. J. Pers. Med. 2023, 13, 575. [Google Scholar] [CrossRef]
- Turek, M.; LaDue, T.; Looper, J.; Nagata, K.; Shiomitsu, K.; Keyerleber, M.; Buchholz, J.; Gieger, T.; Hetzel, S. Multimodality treatment including ONCEPT for canine oral melanoma: A retrospective analysis of 131 dogs. Vet. Radiol. Ultrasound. 2020, 61, 471–480. [Google Scholar] [CrossRef] [PubMed]
- Andrews, M.C.; Oba, J.; Wu, C.J.; Zhu, H.; Karpinets, T.; Creasy, C.A.; Forget, M.-A.; Yu, X.; Song, X.; Mao, X.; et al. Multi-modal molecular programs regulate melanoma cell state. Nat. Commun. 2022, 13, 4000. [Google Scholar] [CrossRef] [PubMed]
- Soare, I.; Muntean, P.E.; Mirica, R. Brain Tumors Presumed Malignant without Biopsy-Evaluation and Treatment Problems. Austin J. Clin. Neurol. 2021, 8, 1148. [Google Scholar] [CrossRef]
- Thompson, J.F.; Williams, G.J.; Hong, A.M. Radiation therapy for melanoma brain metastases: A systematic review. Radiol Oncol. 2022, 56, 267–284. [Google Scholar] [CrossRef]
- Waldstein, C.; Wang, W.; Lo, S.; Shivalingam, B.; Fogarty, G.B.; Carlino, M.S. Melanoma brain metastases: The outcome of whole brain radiation therapy in the era of effective systemic therapy. Ther. Radiol. Oncol. 2021, 5, 1–11. [Google Scholar] [CrossRef]
- Franklin, C.; Mohr, P.; Bluhm, L. Brain metastasis and survival outcomes after first-line therapy in metastatic melanoma: A multicenter DeCOG study on 1704 patients from the prospective skin cancer registry ADOREG. J. Immuno Ther. Cancer 2023, 11, e005828. [Google Scholar] [CrossRef]
- Rogiers, A.; Boekhout, A.; Schwarze, J.K.; Awada, G.; Blank, C.U.; Neyns, B. Long-Term Survival, Quality of Life, and Psychosocial Outcomes in Advanced Melanoma Patients Treated with Immune Checkpoint Inhibitors. J. Oncol. 2019, 2019, 5269062. [Google Scholar] [CrossRef]
- Revicki, D.A.; van den Eertwegh, A.J.M.; Lorigan, P. Health related quality of life outcomes for unresectable stage III or IV melanoma patients receiving ipilimumab treatment. Health Qual. Life Outcomes 2012, 10, 66. [Google Scholar] [CrossRef] [PubMed]
- Schadendorf, D.; Dummer, R.; Hauschild, A.; Robert, C.; Hamid, O.; Daud, A.; van den Eertwegh, A.; Cranmer, L.; O’Day, S.; Puzanov, I.; et al. Health-related quality of life in the randomised KEYNOTE-002 study of pembrolizumab versus chemotherapy in patients with ipilimumab-refractory melanoma. Eur. J. Cancer 2016, 67, 46–54. [Google Scholar] [CrossRef] [PubMed]
- Schadendorf, D.; Larkin, J.; Wolchok, J.; Hodi, F.S.; Chiarion-Sileni, V.; Gonzalez, R.; Rutkowski, P.; Grob, J.J.; Cowey, C.L.; Lao, C.; et al. Health-related quality of life results from the phase III CheckMate 067 study. Eur. J. Cancer 2017, 82, 80–91. [Google Scholar] [CrossRef] [PubMed]
- Ciuhu, A.N.; Rahnea-Nita, G.; Popescu, M.; Rahnea-Nita, R.A. Abstract P5-15-22: Evaluation of quality of life in patients with advanced and metastatic breast cancer proposed for palliative chemotherapy and best supportive care versus best supportive care. Cancer Res. 2015, 75, P5-15-22. [Google Scholar] [CrossRef]
- Rosenberg, A.R.; Weston, S.J.; Deshields, T.; Fields, R.C.; Linette, G.P.; Cornelius, L.A.; Semenov, Y.R. Health-related quality of life in patients with malignant melanoma by stage and treatment status. J. Am. Acad. Dermatol. 2021, 85, 486–489. [Google Scholar] [CrossRef] [PubMed]
- Heino, P.J.; Mylläri, P.H.; Jahkola, T.A.; Sintonen, H.; Luoma, M.L.; Räsänen, P.; Roine, R.P. Long-Term Quality of Life of Melanoma Survivors Is Comparable to that of the General Population. Anticancer Res. 2019, 39, 2633–2640. [Google Scholar] [CrossRef]
- Ciuhu, A.N.; Badica, R.; Popescu, M.; Radoi, M.; Rahnea-Nita, R.A.; Rahnea-Nita, G. Defense mechanisms and coping style at very next diagnostic period in advanced and metastatic cancer. J. Clin. Oncol. 2016, 34, e21610. [Google Scholar] [CrossRef]
- Musoro, J.Z.; Bottomley, A.; Coens, C.; Eggermont, A.M.; King, M.T.; Cocks, K.; Sprangers, M.A.; Groenvold, M.; Velikova, G.; Flechtner, H.H.; et al. Interpreting European Organisation for Research and Treatment for Cancer Quality of life Questionnaire core 30 scores as minimally importantly different for patients with malignant melanoma. Eur. J. Cancer 2018, 104, 169–181. [Google Scholar] [CrossRef]
- Albarrán, V.; Chamorro, J.; Rosero, D.I.; Saavedra, C.; Soria, A.; Carrato, A.; Gajate, P. Neurologic Toxicity of Immune Checkpoint Inhibitors: A Review of Literature. Front. Pharmacol. 2022, 13, 774170. [Google Scholar] [CrossRef]
- Brahmer, J.R.; Lacchetti, C.; Schneider, B.J.; Atkins, M.B.; Brassil, K.J.; Caterino, J.M.; Chau, I.; Ernstoff, M.S.; Gardner, J.M.; Ginex, P.; et al. National Comprehensive Cancer Network. Management of Immune-Related Adverse Events in Patients Treated with Immune Checkpoint Inhibitor Therapy: American Society of Clinical Oncology Clinical Practice Guideline. J. Clin. Oncol. 2018, 36, 1714–1768. [Google Scholar] [CrossRef]
- Smith, J.L.; Menzies, A.M.; Cohen, J.V.; Mut-Lloret, M.; Ozgun, A.; Spain, L.; Park, J.; Quach, H.T.; Pallan, L.; McQuade, J.; et al. Neurological adverse effects associated with anti-PD1 antibodies alone or in combination with ipilimumab: A multicenter case series. Melanoma Res. 2022, 32, 451–459. [Google Scholar] [CrossRef] [PubMed]
- Grätz, V.; Langan, E.A.; Neumann, A.; Zillikens, D.; Terheyden, P. Acute neurological adverse events during immune checkpoint inhibition therapy in patients with melanoma brain metastases. Melanoma Res. 2019, 29, 516–521. [Google Scholar] [CrossRef] [PubMed]
- Brito, M.H. Neurologic adverse events of cancer immunotherapy. Arq. Neuropsiquiatr. 2022, 80 (Suppl. S1), 270–280. [Google Scholar] [CrossRef] [PubMed]
- Zivelonghi, C.; Zekeridou, A. Neurological complications of immune checkpoint inhibitor cancer immunotherapy. J. Neurol. Sci. 2021, 424, 117424. [Google Scholar] [CrossRef] [PubMed]
- Dimitriou, F.; Zaremba, A.; Allayous, C.; Kahler, K.; Gerard, C.; Festino, L.; Schafer, S.; Toussaint, F.; Heinzerling, L.; Hassel, J.; et al. Sustainable responses in metastatic melanoma patients with and without brain metastases after elective discontinuation of anti-PD1-based immunotherapy due to complete response. Eur. J. Cancer 2021, 149, 37–48. [Google Scholar] [CrossRef] [PubMed]
- Minniti, G.; Anzellini, D.; Reverberi, C.; Cappellini, G.C.A.; Marchetti, L.; Bianciardi, F.; Bozzao, A.; Osti, M.; Gentile, P.C.; Esposito, V. Stereotactic radiosurgery combined with nivolumab or Ipilimumab for patients with melanoma brain metastases: Evaluation of brain control and toxicity. J. Immunother. Cancer 2019, 7, 102. [Google Scholar] [CrossRef]
- Gaudy-Marqueste, C.; Dussouil, A.S.; Carron, R.; Troin, L.; Malissen, N.; Loundou, A.; Monestier, S.; Mallet, S.; Richard, M.A.; Régis, J.M.; et al. Survival of melanoma patients treated with targeted therapy and immunotherapy after systematic upfront control of brain metastases by radiosurgery. Eur. J. Cancer 2017, 84, 44–54. [Google Scholar] [CrossRef]
- Diaz, M.J.; Mark, I.; Rodriguez, D.; Gelman, B.; Tran, J.T.; Kleinberg, G.; Levin, A.; Beneke, A.; Root, K.T.; Tran, A.X.V.; et al. Melanoma Brain Metastases: A Systematic Review of Opportunities for Earlier Detection, Diagnosis, and Treatment. Life 2023, 13, 828. [Google Scholar] [CrossRef]
- Wilson, T.G.; Winter, H.; Taylor, H.; Herbert, C. Treating brain metastases in melanoma: What is the optimal CNS-directed and systemic management? J. Radiosurg. SBRT 2021, 7, 279–285. [Google Scholar]
- Porte, J.; Saint-Martin, C.; Frederic-Moreau, T.; Massiani, M.-A.; Bozec, L.; Cao, K.; Verrelle, P.; Otz, J.; Jadaud, E.; Minsat, M.; et al. Efficacy and Safety of Combined Brain Stereotactic Radiotherapy and Immune Checkpoint Inhibitors in Non-Small-Cell Lung Cancer with Brain Metastases. Biomedicines 2022, 10, 2249. [Google Scholar] [CrossRef]
- Arina, A.; Gutiontov, S.I.; Weichselbaum, R.R. Radiotherapy and Immunotherapy for Cancer: From “Systemic” to “Multisite”. Clin. Cancer Res. 2020, 26, 2777–2782. [Google Scholar] [CrossRef]
- van der Woude, L.L.; Gorris, M.A.J.; Wortel, I.M.N.; Creemers, J.H.A.; Verrijp, K.; Monkhorst, K.; Grünberg, K.; van den Heuvel, M.M.; Textor, J.; Figdor, C.G.; et al. Tumor microenvironment shows an immunological abscopal effect in patients with NSCLC treated with pembrolizumab-radiotherapy combination. J. Immunother. Cancer 2022, 10, e005248. [Google Scholar] [CrossRef] [PubMed]
- Mollica, V.; Santoni, M.; Di Nunno, V.; Cimadamore, A.; Cheng, L.; Lopez-Beltran, A.; Battelli, N.; Montironi, R.; Massari, F. Immunotherapy and Radiation Therapy in Renal Cell Carcinoma. Curr. Drug Targets 2020, 21, 1463–1475. [Google Scholar] [CrossRef] [PubMed]
- Dagoglu, N.; Karaman, S.; Caglar, H.B.; Oral, E.N. Abscopal Effect of Radiotherapy in the Immunotherapy Era: Systematic Review of Reported Cases. Cureus 2019, 11, e4103. [Google Scholar] [CrossRef] [PubMed]
- Rebegea, L.; Firescu, D.; Stoleriu, G.; Arbune, M.; Anghel, R.; Dumitru, M.; Mihailov, R.; Neagu, A.I.; Bacinschi, X. Radiotherapy and Immunotherapy, Combined Treatment for Unresectable Mucosal Melanoma with Vaginal Origin. Appl. Sci. 2022, 12, 7734. [Google Scholar] [CrossRef]
- Mitra, D.; Bishop, A.; Guadagnolo, B.A. Adjuvant Nodal Radiation Therapy for Melanoma in the Era of Immunotherapy. Int. J. Radiat. Oncol. Biol. Phys. 2020, 108, 164–169. [Google Scholar] [CrossRef] [PubMed]
- Tagliaferri, L.; Lancellotta, V.; Fionda, B.; Mangoni, M.; Casà, C.; Di Stefani, A.; Pagliara, M.M.; D’Aviero, A.; Schinzari, G.; Chiesa, S.; et al. Immunotherapy and radiotherapy in melanoma: A multidisciplinary comprehensive review. Hum. Vaccin. Immunother. 2022, 18, 1903827. [Google Scholar] [CrossRef]
- Glitza Oliva, I.C.; Schvartsman, G.; Tawbi, H. Advances in the systemic treatment of melanoma brain metastases. Ann. Oncol. 2018, 29, 1509–1520. [Google Scholar] [CrossRef]
- Vosoughi, E.; Lee, J.M.; Miller, J.R.; Nosrati, M.; Minor, D.R.; Abendroth, R.; Lee, J.W.; Andrews, B.T.; Leng, L.Z.; Wu, M.; et al. Survival and clinical outcomes of patients with melanoma brain metastasis in the era of Checkpoint Inhibitors and targeted therapies. BMC Cancer 2018, 18, 490. [Google Scholar] [CrossRef]






| Vosoughi E et al., Study between January 2011 and June 2015—79 Patients [50] | Our Patient (Overall Survival) June 2018—Alive in November 2023 | |
|---|---|---|
| Median overall survival from the time of diagnosis of brain metastases | 12.8 months | 29 months |
| Median overall survival from the time of diagnosis of malignant melanoma | 60.5 months | 65 months |
| Median overall survival from the time of the first whole brain radiation therapy | 6.8 months | 26 months |
| Median overall survival from the time of the initial brain metastasis in patients who were treated with anti-PD-1 antibody therapy before the initial brain metastasis | 8.5 months | 29 months |
Disclaimer/Publisher’s Note: The statements, opinions and data contained in all publications are solely those of the individual author(s) and contributor(s) and not of MDPI and/or the editor(s). MDPI and/or the editor(s) disclaim responsibility for any injury to people or property resulting from any ideas, methods, instructions or products referred to in the content. |
© 2024 by the authors. Licensee MDPI, Basel, Switzerland. This article is an open access article distributed under the terms and conditions of the Creative Commons Attribution (CC BY) license (https://creativecommons.org/licenses/by/4.0/).
Share and Cite
Rahnea-Nita, R.-A.; Rebegea, L.-F.; Toma, R.-V.; Mocanu, H.; Soare, I.; Mihailov, R.; Nechifor, A.; Guliciuc, M.; Constantin, G.B.; Rahnea-Nita, G. Immunotherapy Combined with Radiation in Malignant Melanoma without BRAF Mutations Brain Metastases—Favorable Response after Immunotherapy Continued beyond Progression. J. Pers. Med. 2024, 14, 86. https://doi.org/10.3390/jpm14010086
Rahnea-Nita R-A, Rebegea L-F, Toma R-V, Mocanu H, Soare I, Mihailov R, Nechifor A, Guliciuc M, Constantin GB, Rahnea-Nita G. Immunotherapy Combined with Radiation in Malignant Melanoma without BRAF Mutations Brain Metastases—Favorable Response after Immunotherapy Continued beyond Progression. Journal of Personalized Medicine. 2024; 14(1):86. https://doi.org/10.3390/jpm14010086
Chicago/Turabian StyleRahnea-Nita, Roxana-Andreea, Laura-Florentina Rebegea, Radu-Valeriu Toma, Horia Mocanu, Ioana Soare, Raul Mihailov, Alexandru Nechifor, Mădălin Guliciuc, Georgiana Bianca Constantin, and Gabriela Rahnea-Nita. 2024. "Immunotherapy Combined with Radiation in Malignant Melanoma without BRAF Mutations Brain Metastases—Favorable Response after Immunotherapy Continued beyond Progression" Journal of Personalized Medicine 14, no. 1: 86. https://doi.org/10.3390/jpm14010086
APA StyleRahnea-Nita, R.-A., Rebegea, L.-F., Toma, R.-V., Mocanu, H., Soare, I., Mihailov, R., Nechifor, A., Guliciuc, M., Constantin, G. B., & Rahnea-Nita, G. (2024). Immunotherapy Combined with Radiation in Malignant Melanoma without BRAF Mutations Brain Metastases—Favorable Response after Immunotherapy Continued beyond Progression. Journal of Personalized Medicine, 14(1), 86. https://doi.org/10.3390/jpm14010086

