The CBCT Retrospective Study on Underwood Septa and Their Related Factors in Maxillary Sinuses—A Proposal of Classification
Abstract
1. Introduction
2. Material and Methods
2.1. Study Design
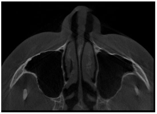
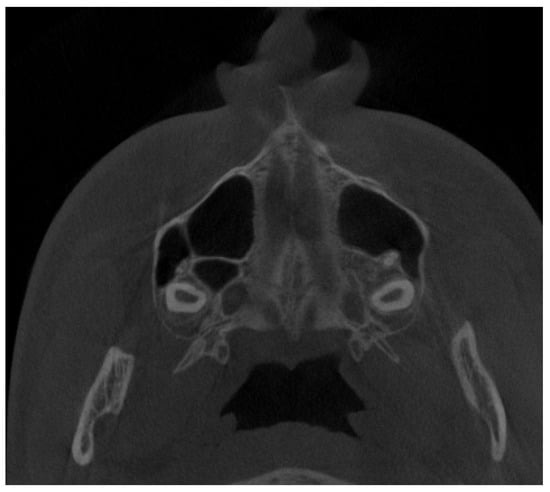
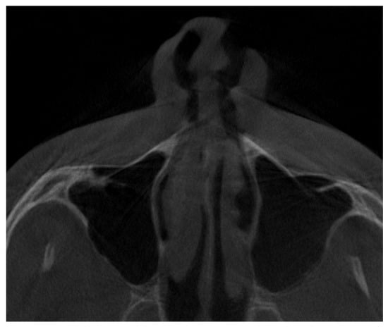
2.2. Cone Beam Computed Tomography Characteristics
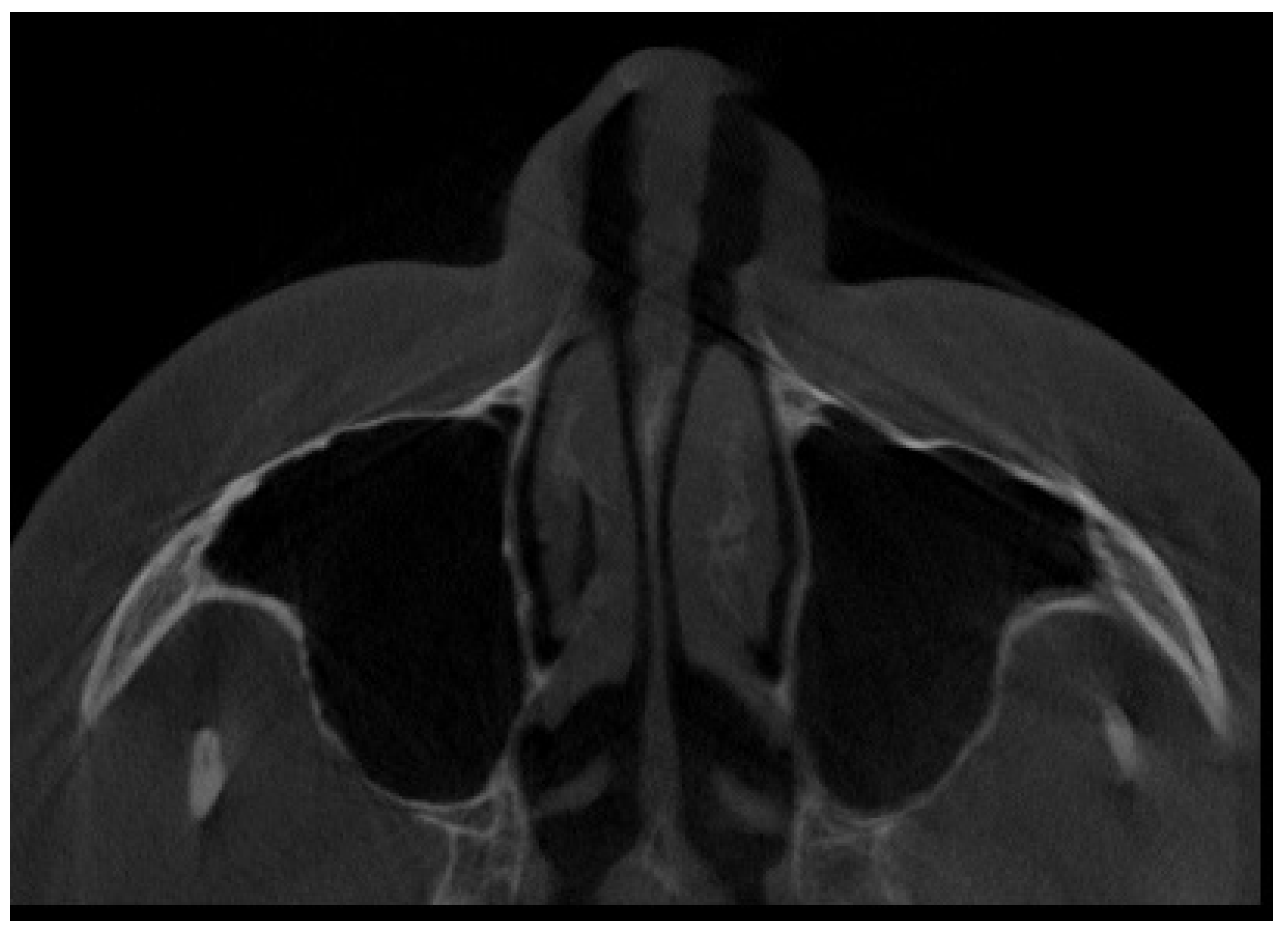
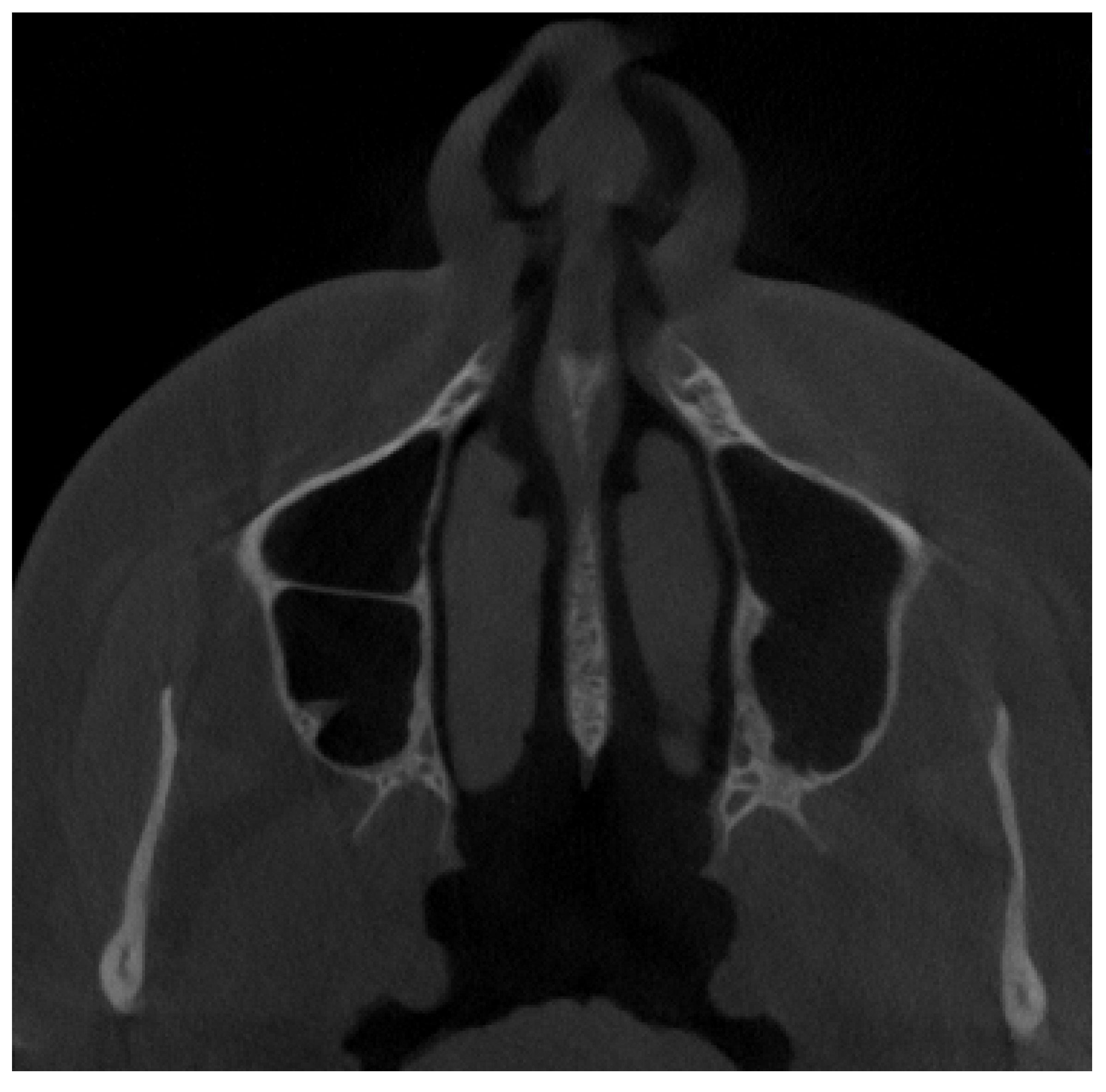
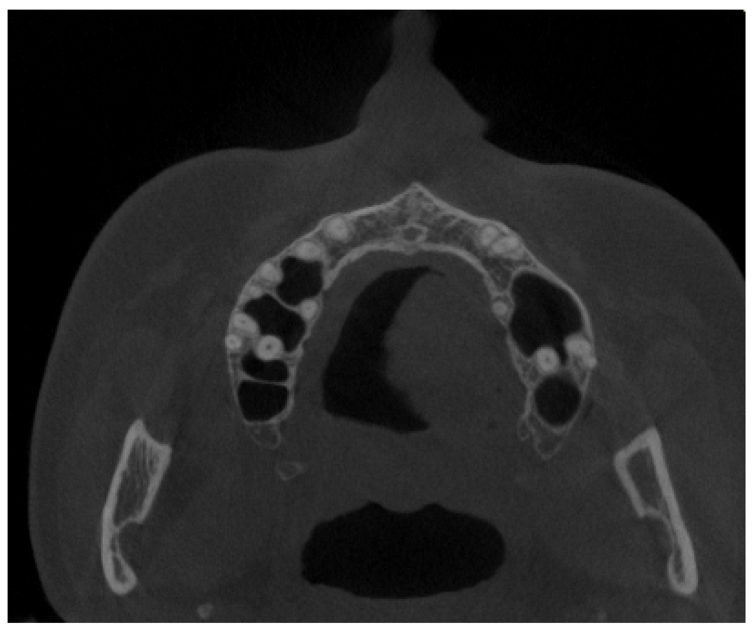
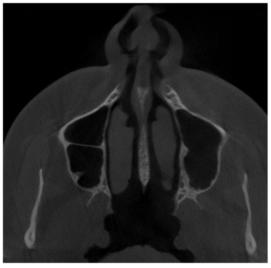
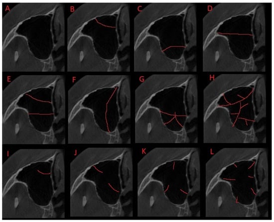
2.3. Methods—Classification Proposal
2.4. Statistical Analysis
3. Results
3.1. Relationship between Demographical, Clinical, or CT/CBCT Radiological Features and Underwood Septa Status
3.2. Classification Proposal
3.3. Clinical and Surgical Cosiderations
4. Discussion
5. Conclusions
Author Contributions
Funding
Institutional Review Board Statement
Informed Consent Statement
Data Availability Statement
Conflicts of Interest
References
- Underwood, A.S. An Inquiry into the Anatomy and Pathology of the Maxillary Sinus. J. Anat. Physiol. 1910, 44, 354–369. [Google Scholar]
- Pommer, B.; Ulm, C.; Lorenzoni, M.; Palmer, R.; Watzek, G.; Zechner, W. Prevalence, location and morphology of maxillary sinus septa: Systematic review and meta-analysis. J. Clin. Periodontol. 2012, 39, 769–773. [Google Scholar] [CrossRef]
- Dobele, I.; Kise, L.; Apse, P.; Kragis, G.; Bigestans, A. Radiographic assessment of findings in the maxillary sinus using cone-beam computed tomography. Stomatologija 2013, 15, 119–122. [Google Scholar] [PubMed]
- Rancitelli, D.; Borgonovo, A.E.; Cicciù, M.; Re, D.; Rizza, F.; Frigo, A.C.; Maiorana, C. Maxillary Sinus Septa and Anatomic Correlation With the Schneiderian Membrane. J. Craniofac. Surg. 2015, 26, 1394–1398. [Google Scholar] [CrossRef] [PubMed]
- Assari, A.; Alotaibi, N.; Alajaji, M.A.; Alqarni, A.; Alarishi, M.A. Characteristics of Maxillary Sinus Septa: A Cone-Beam Computed Tomography Evaluation. Int. J. Dent. 2022, 2022, 2050257. [Google Scholar] [CrossRef]
- Çakur, B.; Sümbüllü, M.A.; Durna, D. Relationship among Schneiderian Membrane, Underwood’s Septa, and the Maxillary Sinus Inferior Border. Clin. Implant. Dent. Relat. Res. 2013, 15, 83–87. [Google Scholar] [CrossRef]
- Sánchez-Pérez, A.; Boracchia, A.C.; López-Jornet, P.; Boix-García, P. Characterization of the Maxillary Sinus Using Cone Beam Computed Tomography. A Retrospective Radiographic Study. Implant. Dent. 2016, 25, 762–769. [Google Scholar] [CrossRef]
- Ulm, C.W.; Solar, P.; Krennmair, G.; Matejka, M.; Watzek, G. Incidence and suggested surgical management of septa in sinus-lift procedures. Int. J. Oral Maxillofac. Implant. 1995, 10, 462–465. [Google Scholar]
- Kocak, N.; Alpoz, E.; Boyacıoglu, H. Morphological Assessment of Maxillary Sinus Septa Variations with Cone-Beam Computed Tomography in a Turkish Population. Eur. J. Dent. 2019, 13, 42–46. [Google Scholar] [CrossRef]
- Lee, W.-J.; Lee, S.-J.; Kim, H.-S. Analysis of location and prevalence of maxillary sinus septa. J. Periodontal Implant. Sci. 2010, 40, 56–60. [Google Scholar] [CrossRef] [PubMed]
- Krennmair, G.; Ulm, C.W.; Lugmayr, H.; Solar, P. The incidence, location, and height of maxillary sinus septa in the edentulous and dentate maxilla. J. Oral Maxillofac. Surg. 1999, 57, 667–671. [Google Scholar] [CrossRef] [PubMed]
- Shahidi, S.; Zamiri, B.; Danaei, S.M.; Salehi, S.; Hamedani, S. Evaluation of Anatomic Variations in Maxillary Sinus with the Aid of Cone Beam Computed Tomography (CBCT) in a Population in South of Iran. J. Dent. 2016, 17, 7–15. [Google Scholar]
- Yeung, A.W.K.; Hung, K.F.; Li, D.T.S.; Leung, Y.Y. The Use of CBCT in Evaluating the Health and Pathology of the Maxillary Sinus. Diagnostics 2022, 12, 2819. [Google Scholar] [CrossRef]
- Dandekeri, S.S.; Hegde, C.; Kavassery, P.; Sowmya, M.; Shetty, B. CBCT study of morphologic variations of maxillary sinus septa in relevance to sinus augmentation procedures. Ann. Maxillofac. Surg. 2020, 10, 51–56. [Google Scholar] [CrossRef] [PubMed]
- Temur, T.; Burcu, E.; Haluk, Ö. Evaluation of paranasal sinus anatomic variations and mucosal changes with cone beam computed tomography. Balk. J. Dent. Med. 2022, 26, 27–32. [Google Scholar]
- Henriques, I.; Caramês, J.; Francisco, H.; Caramês, G.; Hernández-Alfaro, F.; Marques, D. Prevalence of maxillary sinus septa: Systematic review and meta-analysis. Int. J. Oral Maxillofac. Surg. 2022, 51, 823–831. [Google Scholar]
- Schiller, L.A.; Barbu, H.M.; Iancu, S.A.; Brad, S. Incidence, Size and Orientation of Maxillary Sinus Septa—A Retrospective Clinical Study. J. Clin. Med. 2022, 11, 2393. [Google Scholar] [CrossRef]
- Chen, H.; Yi, C.; Chen, Y.; Tsai, C.; Lin, P.; Huang, H.; Dds, H.-H.C.; Dds, C.-A.Y.; Dds, Y.-C.C.; Dds, C.-C.T.; et al. Influence of maxillary antrolith on the clinical outcome of implants placed simultaneously with osteotome sinus floor elevation: A retrospective radiographic study. Clin. Implant. Dent. Relat. Res. 2021, 23, 833–841. [Google Scholar] [CrossRef] [PubMed]
- Al-Zahrani, M.S.; Al-Ahmari, M.M.; Al-Zahrani, A.A.; Al-Mutairi, K.D.; Zawawi, K.Z. Prevalence and morphological varia-tions of maxillary sinus septa in different age groups: A CBCT analysis. Ann. Saudi Med. 2020, 40, 200–206. [Google Scholar] [PubMed]
- Ilguy, D.; Ilguy, M.; Dolekoglu, S.; Fisekcioglu, E. Evaluation of the posterior superior alveolar artery and the maxillary sinus with CBCT. Braz. Oral Res. 2013, 27, 431–437. [Google Scholar] [CrossRef]
- Salari, A.; Monir, S.E.S.; Ostovarrad, F.; Samadnia, A.H.; Alavi, F.N. The frequency of maxillary sinus pathologic findings in cone-beam computed tomography images of patients candidate for dental implant treatment. J. Adv. Periodontol. Implant. Dent. 2021, 13, 2–6. [Google Scholar] [CrossRef] [PubMed]
- Manila, N.G.; Arashlow, M.T.; Ehlers, S.; Liang, H.; Nair, M.K. Cone-beam computed tomographic imaging of silent sinus syndrome: A case series and a literature review. Imaging Sci. Dent. 2020, 50, 365–371. [Google Scholar] [CrossRef] [PubMed]
- Dağistan, H.; Cengiz, C.; Can, I.H. The relationship between maxillary sinus retention cysts and nasal septum. J. Surg. Med. 2021, 5, 687–690. [Google Scholar] [CrossRef]
- Malec, M.; Smektała, T.; Trybek, G.; Sporniak-Tutak, K. Maxillary sinus septa: Prevalence, morphology, diagnostics and implantological implications. Systematic review. Folia Morphol. 2014, 73, 259–266. [Google Scholar] [CrossRef]
- Naitoh, M.; Suenaga, Y.; Kondo, S.; Gotoh, K.; Ariji, E. Assessment of maxillary sinus septa using cone-beam computed tomography: Etiological consideration. Clin. Implant. Dent. Relat. Res. 2009, 11, e52–e58. [Google Scholar] [CrossRef]
- Hong, K.L.; Wong, R.C.W.; Lim, A.A.T.; Loh, F.C.; Yeo, J.F.; Islam, I. Cone beam computed tomographic evaluation of the maxillary sinus septa and location of blood vessels at the lateral maxillary sinus wall in a sample of the Singaporean population. J. Oral Maxillofac. Surg. Med. Pathol. 2017, 29, 39–44. [Google Scholar] [CrossRef]
- Costa, F.; Emanuelli, E.; Robiony, M. Incidence of Maxillary Sinus Disease Before Sinus Floor Elevation Surgery as Identified by Cone-Beam Computed Tomography: A Literature Review. J. Oral Implant. 2018, 44, 161–166. [Google Scholar] [CrossRef]
- Orhan, K.; Kusakci Seker, B.; Aksoy, S.; Bayindir, H.; Berberoğlu, A.; Seker, E. Cone beam CT evaluation of maxillary sinus sep-ta prevalence, height, location and morphology in children and an adult population. Med. Princ. Pract. 2013, 22, 47–53. [Google Scholar] [CrossRef]
- Alhumaidan, G.; Eltahir, M.A.; Shaikh, S.S. Retrospective analysis of maxillary sinus septa—A cone beam computed to-mography study. Saudi Dent. J. 2021, 33, 467–473. [Google Scholar] [CrossRef]
- Al-Faraje, L. Surgical Complications in Oral Implantology, 1st ed.; Quintessence: Hanover Park, IL, USA, 2011; pp. 153–160. [Google Scholar]
- Sigaroudi, A.K.; Kajan, Z.D.; Rastgar, S.; Asli, H.N. Frequency of different maxillary sinus septal patterns found on cone-beam computed tomography and predicting the associated risk of sinus membrane perforation during sinus lifting. Imaging Sci. Dent. 2017, 47, 261–267. [Google Scholar] [CrossRef]
- Timmenga, N.M.; Raghoebar, G.M.; Boering, G.; van Weissenbruch, R. Maxillary sinus function after sinus lifts for the insertion of dental implants. J. Oral Maxillofac. Surg. 1997, 55, 936–939. [Google Scholar] [CrossRef] [PubMed]
- Raghav, M.; Karjodkar, F.R.; Sontakke, S.; Sansare, K. Prevalence of incidental maxillary sinus pathologies in dental patients on cone-beam computed tomographic images. Contemp. Clin. Dent. 2014, 5, 361–365. [Google Scholar] [CrossRef] [PubMed]
- Manji, A.; Faucher, J.; Resnik, R.R.; Suzuki, J.B. Prevalence of Maxillary Sinus Pathology in Patients Considered for Sinus Augmentation Procedures for Dental Implants. Implant. Dent. 2013, 22, 428–435. [Google Scholar] [CrossRef]
- Elwakeel, E.E.; Ingle, E.; Elkamali, Y.A.; Alfadel, H.; Alshehri, N.; Madini, K.A. Maxillary sinus abnormalities detected by dental cone-beam computed tomography. Anat. Physiol. 2017, 7, 252. [Google Scholar]
- Rege, I.C.C.; Sousa, T.O.; Leles, C.R.; Mendonça, E.F. Occurrence of maxillary sinus abnormalities detected by cone beam CT in asymptomatic patients. BMC Oral Health 2012, 12, 30. [Google Scholar] [CrossRef] [PubMed]
- Wang, J.H.; Jang, Y.J.; Lee, B.-J. Natural Course of Retention Cysts of the Maxillary Sinus: Long-Term Follow-Up Results. Laryngoscope 2007, 117, 341–344. [Google Scholar] [CrossRef] [PubMed]
- Lana, J.P.; Carneiro, P.M.R.; Machado, V.d.C.; de Souza, P.E.A.; Manzi, F.R.; Horta, M.C.R. Anatomic variations and lesions of the maxillary sinus detected in cone beam computed tomography for dental implants. Clin. Oral Implant. Res. 2012, 23, 1398–1403. [Google Scholar] [CrossRef]
- Shanbhag, S.; Karnik, P.; Shirke, P.; Shanbhag, V. Association between Periapical Lesions and Maxillary Sinus Mucosal Thickening: A Retrospective Cone-beam Computed Tomographic Study. J. Endod. 2013, 39, 853–857. [Google Scholar] [CrossRef]










| Types of Classification | Number of Observations (Percent) |
|---|---|
| 41 (91.11) |
| 13 (28.89) |
| 7 (15.56) |
| 5 (11.11) |
| 3 (6.67) |
| 1 (2.22) |
| 1 (2.22) |
| 1 (2.22) |
| 9 (20.00) |
| 3 (6.67) |
| 2 (4.44) |
| 0 (0.00) |
| Variable | Total Group (n = 120) | Patients without Underwood Septa (n = 75) | Patients with Underwood Septa (n = 45) | p-Value |
|---|---|---|---|---|
| Gender: | 0.530 | |||
| Male | 47 (39.17) | 31 (41.33) | 16 (35.56) | |
| Female | 73 (60.83) | 44 (58.67) | 29 (64.44) | |
| Age (years old) | 34.06 ± 11.88 | 34.13 ± 12.31 | 33.95 ± 11.27 | 0.937 |
| Dental status: | 0.232 | |||
| Full dentition | 103 (85.83) | 66 (88.00) | 37 (82.22) | |
| Partial dentition | 15 (12.50) | 7 (9.33) | 8 (17.78) | |
| Full edentulism | 0 (0.00) | 0 (0.00) | 0 (0.00) | |
| Partial edentulism | 2 (1.67) | 2 (2.67) | 0 (0.00) | |
| Healthy pneumatized sinus: | 0.117 | |||
| No | 25 (20.83) | 19 (25.33) | 6 (13.33) | |
| Yes | 95 (79.17) | 56 (74.67) | 39 (86.67) | |
| Silent sinus syndrome (SSS) | 0.174 | |||
| No | 117 (97.50) | 72 (96.00) | 45 (100.00) | |
| Yes | 3 (2.50) | 3 (4.00) | 0 (0.00) | |
| Mucosal thickening: | 0.325 | |||
| >5 mm | 19 (15.83) | 14 (18.67) | 4 (8.89) | |
| <5 mm | 23 (19.17) | 13 (17.33) | 10 (22.22) | |
| Without thickening | 78 (65.00) | 48 (64.00) | 31 (68.89) | |
| Polypoidal mucosal thickening: | 0.625 | |||
| No | 119 (99.17) | 74 (98.67) | 45 (100.00) | |
| Yes | 1 (0.83) | 1 (1.33) | 0 (0.00) | |
| Retention cyst: | 0.272 | |||
| No | 101 (84.17) | 61 (81.33) | 40 (88.89) | |
| Yes | 19 (15.83) | 14 (18.67) | 5 (11.11) | |
| Sinus opacification: | 0.203 | |||
| Partial sinus opacification | 9 (7.50) | 8 (10.67) | 1 (11.11) | |
| Complete sinus opacification | 6 (5.00) | 3 (4.00) | 3 (6.67) | |
| Without opacification | 85 (87.50) | 64 (85.33) | 41 (91.11) | |
| CRS presence: | 0.599 | |||
| No | 116 (96.67) | 72 (96.00) | 44 (97.78) | |
| Yes | 4 (3.33) | 3 (4.00) | 1 (2.22) |
Disclaimer/Publisher’s Note: The statements, opinions and data contained in all publications are solely those of the individual author(s) and contributor(s) and not of MDPI and/or the editor(s). MDPI and/or the editor(s) disclaim responsibility for any injury to people or property resulting from any ideas, methods, instructions or products referred to in the content. |
© 2023 by the authors. Licensee MDPI, Basel, Switzerland. This article is an open access article distributed under the terms and conditions of the Creative Commons Attribution (CC BY) license (https://creativecommons.org/licenses/by/4.0/).
Share and Cite
Nelke, K.; Diakowska, D.; Morawska-Kochman, M.; Janeczek, M.; Pasicka, E.; Łukaszewski, M.; Żak, K.; Nienartowicz, J.; Dobrzyński, M. The CBCT Retrospective Study on Underwood Septa and Their Related Factors in Maxillary Sinuses—A Proposal of Classification. J. Pers. Med. 2023, 13, 1258. https://doi.org/10.3390/jpm13081258
Nelke K, Diakowska D, Morawska-Kochman M, Janeczek M, Pasicka E, Łukaszewski M, Żak K, Nienartowicz J, Dobrzyński M. The CBCT Retrospective Study on Underwood Septa and Their Related Factors in Maxillary Sinuses—A Proposal of Classification. Journal of Personalized Medicine. 2023; 13(8):1258. https://doi.org/10.3390/jpm13081258
Chicago/Turabian StyleNelke, Kamil, Dorota Diakowska, Monika Morawska-Kochman, Maciej Janeczek, Edyta Pasicka, Marceli Łukaszewski, Krzysztof Żak, Jan Nienartowicz, and Maciej Dobrzyński. 2023. "The CBCT Retrospective Study on Underwood Septa and Their Related Factors in Maxillary Sinuses—A Proposal of Classification" Journal of Personalized Medicine 13, no. 8: 1258. https://doi.org/10.3390/jpm13081258
APA StyleNelke, K., Diakowska, D., Morawska-Kochman, M., Janeczek, M., Pasicka, E., Łukaszewski, M., Żak, K., Nienartowicz, J., & Dobrzyński, M. (2023). The CBCT Retrospective Study on Underwood Septa and Their Related Factors in Maxillary Sinuses—A Proposal of Classification. Journal of Personalized Medicine, 13(8), 1258. https://doi.org/10.3390/jpm13081258

