CT-Diagnosed Sarcopenia and Cardiovascular Biomarkers in Patients Undergoing Transcatheter Aortic Valve Replacement: Is It Possible to Predict Muscle Loss Based on Laboratory Tests?—A Multicentric Retrospective Analysis
Abstract
:1. Introduction
2. Material & Methods
2.1. Study Population
2.2. Transthoracic Echocardiography
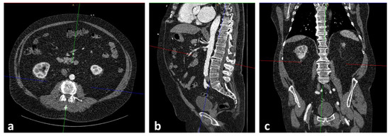
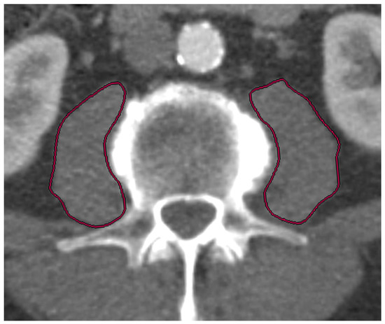
2.3. CTA Protocol and Measurement of PMAi for Sarcopenia Assessment
2.4. Biomarker Analysis
2.5. TAVR Procedure
2.6. Statistical Analysis
3. Results
3.1. Study Cohort and Baseline Characteristics
3.2. Kaplan-Meier Results
3.3. Gender-Independent Biomarker Concentrations According to Radiological Absence or Presence of Sarcopenia
3.4. Gender-Independent Binary Logistic Regression Regarding the Prediction of Sarcopenia
3.5. Gender-Dependent Biomarker Concentrations in Dependence of Radiological Absence or Presence of Sarcopenia
3.6. Gender-Dependent Binary Logistic Regression Regarding the Prediction of Sarcopenia
4. Discussion
5. No Difference in Survival between Sarcopenic and Non-Sarcopenic Patients
6. Hemoglobin—“Old but Gold”?
7. Cardiovascular Biomarkers in Sarcopenia—Pathophysiology Too Complex for Adequate Conclusion?
8. Conclusions
9. Limitation
Author Contributions
Funding
Institutional Review Board Statement
Informed Consent Statement
Data Availability Statement
Acknowledgments
Conflicts of Interest
References
- von Haehling, S.; Morley, J.E.; Anker, S.D. An overview of sarcopenia: Facts and numbers on prevalence and clinical impact. J. Cachexia Sarcopenia Muscle 2010, 1, 129–133. [Google Scholar] [CrossRef] [PubMed]
- Santilli, V.; Bernetti, A.; Mangone, M.; Paoloni, M. Clinical definition of sarcopenia. Clin. Cases Miner. Bone Metab. Off. J. Ital. Soc. Osteoporos. Miner. Metab. Skelet. Dis. 2014, 11, 177–180. [Google Scholar] [CrossRef]
- Cruz-Jentoft, A.J.; Baeyens, J.P.; Bauer, J.M.; Boirie, Y.; Cederholm, T.; Landi, F.; Martin, F.C.; Michel, J.P.; Rolland, Y.; Schneider, S.M.; et al. Sarcopenia: European consensus on definition and diagnosis: Report of the European Working Group on Sarcopenia in Older People. Age Ageing 2010, 39, 412–423. [Google Scholar] [CrossRef] [PubMed]
- Cruz-Jentoft, A.J.; Bahat, G.; Bauer, J.; Boirie, Y.; Bruyère, O.; Cederholm, T.; Cooper, C.; Landi, F.; Rolland, Y.; Sayer, A.A.; et al. Sarcopenia: Revised European consensus on definition and diagnosis. Age Ageing 2019, 48, 16–31. [Google Scholar] [CrossRef]
- Van Erck, D.; Moeskops, P.; Schoufour, J.D.; Weijs, P.; Scholte Op Reimer, W.; Van Mourik, M.S.; Janmaat, Y.C.; Planken, R.N.; Vis, M.; Baan, J.; et al. Evaluation of a Fully Automatic Deep Learning-Based Method for the Measurement of Psoas Muscle Area. Front. Nutr. 2022, 9, 781860. [Google Scholar] [CrossRef]
- Goliasch, G.; Kammerlander, A.A.; Nitsche, C.; Dona, C.; Schachner, L.; Öztürk, B.; Binder, C.; Duca, F.; Aschauer, S.; Laufer, G.; et al. Syncope: The Underestimated Threat in Severe Aortic Stenosis. JACC. Cardiovasc. Imaging 2019, 12, 225–232. [Google Scholar] [CrossRef]
- Spears, J.; Al-Saiegh, Y.; Goldberg, D.; Manthey, S.; Goldberg, S. TAVR: A Review of Current Practices and Considerations in Low-Risk Patients. J. Interv. Cardiol. 2020, 2020, 2582938. [Google Scholar] [CrossRef]
- Bertschi, D.; Kiss, C.M.; Schoenenberger, A.W.; Stuck, A.E.; Kressig, R.W. Sarcopenia in Patients Undergoing Transcatheter Aortic Valve Implantation (TAVI): A Systematic Review of the Literature. J. Nutr. Health Aging 2021, 25, 64–70. [Google Scholar] [CrossRef]
- Heberton, G.A.; Nassif, M.; Bierhals, A.; Novak, E.; LaRue, S.J.; Lima, B.; Hall, S.; Silvestry, S.; Joseph, S.M. Usefulness of Psoas Muscle Area Determined by Computed Tomography to Predict Mortality or Prolonged Length of Hospital Stay in Patients Undergoing Left Ventricular Assist Device Implantation. Am. J. Cardiol. 2016, 118, 1363–1367. [Google Scholar] [CrossRef]
- Okamura, H.; Kimura, N.; Tanno, K.; Mieno, M.; Matsumoto, H.; Yamaguchi, A.; Adachi, H. The impact of preoperative sarcopenia, defined based on psoas muscle area, on long-term outcomes of heart valve surgery. J. Thorac. Cardiovasc. Surg. 2019, 157, 1071–1079.e3. [Google Scholar] [CrossRef]
- Loncar, G.; Omersa, D.; Cvetinovic, N.; Arandjelovic, A.; Lainscak, M. Emerging biomarkers in heart failure and cardiac cachexia. Int. J. Mol. Sci. 2014, 15, 23878–23896. [Google Scholar] [CrossRef] [PubMed]
- Ruparelia, N.; Prendergast, B.D. TAVI in 2015: Who, where and how? Heart 2015, 101, 1422–1431. [Google Scholar] [CrossRef] [PubMed]
- Rockwood, K.; Song, X.; MacKnight, C.; Bergman, H.; Hogan, D.B.; McDowell, I.; Mitnitski, A. A global clinical measure of fitness and frailty in elderly people. CMAJ Can. Med. Assoc. J. J. L’association Med. Can. 2005, 173, 489–495. [Google Scholar] [CrossRef] [PubMed]
- Kofler, M.; Reinstadler, S.J.; Mayr, A.; Stastny, L.; Reindl, M.; Dumfarth, J.; Dachs, T.M.; Wachter, K.; Rustenbach, C.J.; Friedrich, G.; et al. Prognostic implications of psoas muscle area in patients undergoing transcatheter aortic valve implantation. Off. J. Eur. Assoc. Cardio-Thorac. Surg. 2019, 55, 210–216. [Google Scholar] [CrossRef] [PubMed]
- Saji, M.; Lim, D.S.; Ragosta, M.; LaPar, D.J.; Downs, E.; Ghanta, R.K.; Kern, J.A.; Dent, J.M.; Ailawadi, G. Usefulness of Psoas Muscle Area to Predict Mortality in Patients Undergoing Transcatheter Aortic Valve Replacement. Am. J. Cardiol. 2016, 118, 251–257. [Google Scholar] [CrossRef] [PubMed]
- Ruparelia, N.; Latib, A.; Kawamoto, H.; Buzzatti, N.; Giannini, F.; Figini, F.; Mangieri, A.; Regazzoli, D.; Stella, S.; Sticchi, A.; et al. A Comparison between First-Generation and Second-Generation Transcatheter Aortic Valve Implantation (TAVI) Devices: A Propensity-Matched Single-Center Experience. J. Invasive Cardiol. 2016, 28, 210–216. [Google Scholar]
- Pilgrim, T.; Lee, J.; O’Sullivan, C.J.; Stortecky, S.; Ariotti, S.; Franzone, A.; Lanz, J.; Heg, D.; Asami, M.; Praz, F.; et al. Early versus newer generation devices for transcatheter aortic valve implantation in routine clinical practice: A propensity score matched analysis. Open Heart 2018, 5, e000695. [Google Scholar] [CrossRef]
- Tseng, S.H.; Lee, W.J.; Peng, L.N.; Lin, M.H.; Chen, L.K. Associations between hemoglobin levels and sarcopenia and its components: Results from the I-Lan longitudinal study. Exp. Gerontol. 2021, 150, 111379. [Google Scholar] [CrossRef]
- Bani Hassan, E.; Vogrin, S.; Hernandez Viña, I.; Boersma, D.; Suriyaarachchi, P.; Duque, G. Hemoglobin Levels are Low in Sarcopenic and Osteosarcopenic Older Persons. Calcif. Tissue Int. 2020, 107, 135–142. [Google Scholar] [CrossRef]
- Theis, S.R.; & Turner, S.D. Heyde Syndrome. In StatPearls; StatPearls Publishing: Tampa, FL, USA, 2021. [Google Scholar]
- Waldschmidt, L.; Drolz, A.; Heimburg, P.; Goßling, A.; Ludwig, S.; Voigtländer, L.; Linder, M.; Schofer, N.; Reichenspurner, H.; Blankenberg, S.; et al. Heyde syndrome: Prevalence and outcomes in patients undergoing transcatheter aortic valve implantation. Clin. Res. Cardiol. Off. J. Ger. Card. Soc. 2021, 110, 1939–1946. [Google Scholar] [CrossRef]
- Vincentelli, A.; Susen, S.; Le Tourneau, T.; Six, I.; Fabre, O.; Juthier, F.; Bauters, A.; Decoene, C.; Goudemand, J.; Prat, A.; et al. Acquired von Willebrand syndrome in aortic stenosis. New Engl. J. Med. 2003, 349, 343–349. [Google Scholar] [CrossRef] [PubMed] [Green Version]
- Fukui, S.; Kawakami, M.; Otaka, Y.; Ishikawa, A.; Muraoka, K.; Yashima, F.; Hayashida, K.; Liu, M. Malnutrition among elderly patients with severe aortic stenosis. Aging Clin. Exp. Res. 2020, 32, 373–379. [Google Scholar] [CrossRef] [PubMed]
- Hsu, C.I.; Wei, J.; Tung, H.H.; Peng, L.N.; Chen, L.K.; Liu, C.Y. Malnutrition, Family Support, and Possible Sarcopenia in Patients Undergoing Transcatheter Aortic Valve Implantation. J. Cardiovasc. Nurs. 2021, 36, 565–572. [Google Scholar] [CrossRef] [PubMed]
- Curcio, F.; Testa, G.; Liguori, I.; Papillo, M.; Flocco, V.; Panicara, V.; Galizia, G.; Della-Morte, D.; Gargiulo, G.; Cacciatore, F.; et al. Sarcopenia and Heart Failure. Nutrients 2020, 12, 211. [Google Scholar] [CrossRef]
- Zhang, Y.; Zhang, J.; Ni, W.; Yuan, X.; Zhang, H.; Li, P.; Xu, J.; Zhao, Z. Sarcopenia in heart failure: A systematic review and meta-analysis. ESC Heart Fail. 2021, 8, 1007–1017. [Google Scholar] [CrossRef]




| No Sarcopenia n = 120 | Sarcopenia n = 59 | ||
|---|---|---|---|
| Clinical Data | p-value | ||
| Age (years)—mean ± SD | 82.63 ± 5.05 | 83.03 ± 4.68 | 0.610 |
| Gender (male)—% | 53.3 | 52.5 | 0.921 |
| Weight (kg)—mean ± SD | 74.85 ± 15.52 | 73.72 ± 12.34 | 0.628 |
| Height (cm)—mean ± SD | 165.96 ± 8.74 | 169.20 ± 9.69 | 0.026 |
| BMI (kg/m2)—mean ± SD | 27.18 ± 5.66 | 25.80 ± 4.19 | 0.098 |
| NYHA—median ± IQR | 3.00 ± 1.00 | 3.00 ± 1.00 | 0.352 |
| STSScore—mean ± SD | 2.54 ± 1.37 | 3.19 ± 1.87 | 0.106 |
| Concomitant Disease | p-value | ||
| Diabetes mellitus—% | 20.0 | 25.4 | 0.409 |
| Hypertension—% | 81.7 | 76.3 | 0.397 |
| CVD—% | 79.2 | 66.1 | 0.119 |
| CVD—1 vessel—% | 23.3 | 22.0 | 0.975 |
| CVD—2 vessels—% | 10.8 | 5.1 | 0.235 |
| CVD—3 vessels—% | 10.0 | 5.1 | 0.299 |
| Myocardial infarction—% | 4.2 | 1.7 | 0.397 |
| Atrial fibrillation—% | 35.8 | 30.5 | 0.480 |
| Pacemaker—% | 10.0 | 3.4 | 0.122 |
| Malignancy—% | 21.7 | 20.3 | 0.838 |
| Stroke—% | 5.8 | 3.4 | 0.468 |
| PAD—% | 5.8 | 5.1 | 0.838 |
| COPD—% | 8.3 | 10.2 | 0.686 |
| Echocardiography | p-value | ||
| LVEF (%)—mean ± SD | 55.76 ± 10.40 | 56.39 ± 11.19 | 0.713 |
| LVEDD (mm)—mean ± SD | 46.90 ± 6.44 | 44.36 ± 5.76 | 0.136 |
| IVSd (mm)—mean ± SD | 15.38 ± 3.14 | 15.04 ± 2.69 | 0.506 |
| AV Vmax (m/s)—mean ± SD | 4.33 ± 0.48 | 4.28 ± 0.68 | 0.645 |
| AVdPmean (mmHg)—mean ± SD | 48.43 ± 12.72 | 47.79 ± 12.36 | 0.756 |
| AVdPmax (mmHg)—mean ± SD | 76.53 ± 18.74 | 78.12 ± 19.62 | 0.606 |
| TAPSE (mm)—mean ± SD | 21.86 ± 3.98 | 21.50 ± 3.47 | 0.726 |
| sPAP (mmHg)—mean ± SD | 44.18 ± 14.59 | 41.87 ± 17.67 | 0.421 |
| AVI ≥ II°—% | 13.3 | 23.7 | 0.085 |
| MVI ≥ II°—% | 17.5 | 15.3 | 0.705 |
| TVI ≥ II°—% | 9.2 | 20.3 | 0.044 |
| Laboratory data | p-value | ||
| Creatinine (mg/dL)—median ± IQR | 1.00 ± 0.30 | 1.00 ± 0.40 | 0.762 |
| BNP (pg/mL)—median ± IQR | 838.00 ± 1887.75 | 1906.00 ± 2421.08 | 0.010 |
| cTnI (pg/mL)—median ± IQR | 23.50 ± 17.00 | 23.50 ± 18.00 | 0.443 |
| HK (%)—median ± IQR | 38.80 ± 6.10 | 37.20 ± 7.70 | 0.076 |
| HB (g/dL)—median ± IQR | 13.05 ± 2.17 | 12.40 ± 2.90 | 0.024 |
| CK (U/L)—median ± IQR | 83.00 ± 57.00 | 72.00 ± 92.00 | 0.313 |
| sST2 (pg/mL)—median ± IQR | 12,963.20 ± 8097.40 | 15,915.15 ± 8448.70 | 0.117 |
| GDF-15 (pg/mL)—median ± IQR | 916.98 ± 682.76 | 1096.35 ± 789.02 | 0.158 |
| H-FABP (ng/mL)—median ± IQR | 1.21 ± 1.58 | 1.43 ± 2.05 | 0.751 |
| IGF-BP2 (pg/mL)—median ± IQR | 173,364.04 ± 161,378.51 | 190,617.55 ± 143,161.16 | 0.807 |
| suPAR (pg/mL)—median ± IQR | 3513.79 ± 1739.57 | 3609.00 ± 2125.70 | 0.264 |
| Sarcopenia—Overall | Univariate | Multivariate | ||
|---|---|---|---|---|
| Binary Logistic Regression | Hazard Ratio (95%) | p-Value | Hazard Ratio (95%) | p-Value |
| Age | 1.017 (0.954–1.085) | 0.608 | ||
| Height | 1.041 (1.004–1.078) | 0.028 | 1.040 (0.996–1.086) | 0.072 |
| Weight | 0.995 (0.973–1.017) | 0.626 | ||
| BMI | 0.939 (0.871–1.012) | 0.097 | 0.986 (0.907–1.072) | 0.743 |
| NYHA | 0.745 (0.382–1.452) | 0.388 | ||
| STSScore | 1.297 (0.937–1.794) | 0.117 | ||
| Diabetes mellitus | 1.364 (0.652–2.850) | 0.410 | ||
| Arterial Hypertension | 0.722 (0.338–1.539) | 0.398 | ||
| Cardiovascular Disease (all) | 0.570 (0.280–1.161) | 0.122 | ||
| CVD—1 vessel | 0.988 (0.462–2.113) | 0.975 | ||
| CVD—2 vessels | 0.462 (0.126–1.696) | 0.244 | ||
| CVD—3 vessels | 0.505 (0.136–1.873) | 0.307 | ||
| Myocardial infarction | 0.404 (0.046–3.535) | 0.412 | ||
| Atrial fibrillation | 0.786 (0.403–1.533) | 0.480 | ||
| Permanent pacemaker | 0.316 (0.068–1.460) | 0.140 | ||
| Malignancy | 0.923 (0.428–1.990) | 0.838 | ||
| Stroke | 0.556 (0.112–2.766) | 0.474 | ||
| PAD | 0.865 (0.215–3.472) | 0.838 | ||
| COPD | 1.245 (0.430–3.608) | 0.686 | ||
| LVEF | 1.006 (0.976–1.036) | 0.711 | ||
| LVEDD | 1.080 (0.900–1.297) | 0.409 | ||
| IVSd | 0.962 (0.859–1.077) | 0.503 | ||
| AV Vmax | 0.843 (0.477–1.490) | 0.557 | ||
| AV dPmean | 0.996 (0.971–1.022) | 0.754 | ||
| AV dPmax | 1.004 (0.988–1.022) | 0.604 | ||
| TAPSE | 0.975 (0.849–1.120) | 0.721 | ||
| AVI ≥ II° | 2.026 (0.900–4.564) | 0.088 | 1.975 (0.814–4.793) | 0.132 |
| MVI ≥ II° | 0.848 (0.362–1.991) | 0.706 | ||
| TVI ≥ II° | 2.443 (1.004–5.942) | 0.049 | 2.029 (0.689–5.978) | 0.199 |
| sPAP | 0.990 (0.967–1.014) | 0.419 | ||
| Creatinine | 1.090 (0.773–1.537) | 0.623 | ||
| HB | 0.658 (0.469–0.925) | 0.016 | 0.615 (0.416–0.908) | 0.015 |
| HK | 0.131 (0.020–0.860) | 0.034 | 0.824 (0.299–2.269) | 0.709 |
| CK | 0.831 (0.566–1.219) | 0.343 | ||
| BNP | 1.415 (1.017–1.969) | 0.040 | 1.131 (0.769–1.663) | 0.533 |
| cTnI | 2.762 (0.614–12.424) | 0.185 | ||
| sST2 | 1.128 (0.816–1.558) | 0.466 | ||
| GDF-15 | 1.159 (0.851–1.580) | 0.350 | ||
| H-FABP | 1.007 (0.690–1.469) | 0.973 | ||
| IGF-BP2 | 1.147 (0.706–1.865) | 0.579 | ||
| suPAR | 1.196 (0.884–1.617) | 0.247 | ||
| Male | Female | |||||
|---|---|---|---|---|---|---|
| Biomarkers Median ± IQR | No Sarcopenia | Sarcopenia | p-Value | No Sarcopenia | Sarcopenia | p-Value |
| BNP (pg/mL) | 1173.00 ± 2371.53 | 2167.00 ± 2603.25 | 0.259 | 758.00 ± 980.70 | 1562.50 ± 2450.00 | 0.007 |
| HB (g/dL) | 13.55 ± 2.05 | 13.50 ± 2.90 | 0.425 | 12.70 ± 2.20 | 11.90 ± 1.88 | 0.008 |
| HK (%) | 40.15 ± 5.75 | 39.20 ± 7.40 | 0.631 | 37.55 ± 5.28 | 36.15 ± 5.18 | 0.023 |
| sST2 (pg/mL) | 13,520.79 ± 10,191.62 | 16,677.31 ± 7447.18 | 0.121 | 12,521.75 ± 6285.64 | 14,188.31 ± 7109.88 | 0.564 |
| GDF-15 (pg/mL) | 970.43 ± 582.40 | 1110.32 ± 924.08 | 0.446 | 754.73 ± 803.16 | 1083.21 ± 685.84 | 0.158 |
| H-FABP (ng/mL) | 1.14 ± 1.79 | 0.92 ± 1.70 | 0.754 | 1.45 ± 1.51 | 1.66 ± 2.15 | 0.524 |
| IGF-BP2 (pg/mL) | 170,735.87 ± 157,936.82 | 177,884.49 ± 154,649.85 | 0.495 | 178,625.79 ± 185,732.21 | 216,432.35 ± 149,201.83 | 0.726 |
| suPAR (pg/mL) | 3388.91 ± 1794.63 | 3556.09 ± 2188.56 | 0.209 | 3660.60 ± 1647.93 | 3970.00 ± 2069.48 | 0.763 |
| Sarcopenia—Male | Univariate | Multivariate | ||
|---|---|---|---|---|
| Binary Logistic Regression | Hazard Ratio (95%) | p-Value | Hazard Ratio (95%) | p-Value |
| Age | 0.996 (0.918–1.081) | 0.925 | ||
| Height | 1.125 (1.041–1.216) | 0.003 | 1.125 (1.041–1.216) | 0.003 |
| Weight | 1.005 (0.971–1.039) | 0.786 | ||
| BMI | 0.929 (0.828–1.043) | 0.213 | ||
| NYHA | 0.837 (0.337–2.079) | 0.701 | ||
| STSScore | 0.931 (0.529–1.640) | 0.806 | ||
| Diabetes mellitus | 1.365 (0.498–3.743) | 0.546 | ||
| Arterial Hypertension | 0.874 (0.309–2.470) | 0.799 | ||
| Cardiovascular Disease (all) | 0.597 (0.212–1.678) | 0.328 | ||
| CVD—1 vessel | 0.944 (0.316–2.818) | 0.918 | ||
| CVD—2 vessels | 1.040 (0.240–4.504) | 0.958 | ||
| CVD—3 vessels | 0.725 (0.071–7.347) | 0.785 | ||
| Myocardial infarction | 1.033 (0.090–11.852) | 0.979 | ||
| Atrial fibrillation | 1.204 (0.507–2.860) | 0.675 | ||
| Permanent pacemaker | 0.204 (0.025–1.686) | 0.14 | ||
| Malignancy | 0.745 (0.273–2.032) | 0.566 | ||
| Stroke | 0.644 (0.122–3.392) | 0.603 | ||
| PAD | 0.500 (0.054–4.672) | 0.543 | ||
| COPD | 0.872 (0.210–3.632) | 0.851 | ||
| LVEF | 1.011 (0.972–1.051) | 0.591 | ||
| LVEDD | 0.466 (0.131–1.663) | 0.24 | ||
| IVSd | 0.956 (0.831–1.101) | 0.533 | ||
| AV Vmax | 1.231 (0.500–3.026) | 0.651 | ||
| AV dPmean | 1.010 (0.974–1.048) | 0.59 | ||
| AV dPmax | 1.010 (0.986–1.035) | 0.414 | ||
| TAPSE | 1.016 (0.859–1.202) | 0.851 | ||
| AVI ≥ II | 1.750 (0.496–6.169) | 0.384 | ||
| MVI ≥ II | 0.481 (0.125–1.853) | 0.288 | ||
| TVI ≥ II | 2.280 (0.606–8.584) | 0.223 | ||
| sPAP | 0.991 (0.962–1.022) | 0.563 | ||
| Creatinine | 0.902 (0.525–1.551) | 0.709 | ||
| HB | 0.779 (0.500–1.213) | 0.269 | ||
| HK | 0.318 (0.027–3.723) | 0.361 | ||
| CK | 0.733 (0.441–1.220) | 0.232 | ||
| BNP | 1.169 (0.798–1.711) | 0.422 | ||
| cTnI | 2.190 (0.420–11.426) | 0.352 | ||
| sST2 | 1.175 (0.770–1.794) | 0.455 | ||
| GDF-15 | 1.170 (0.763–1.793) | 0.472 | ||
| H-FABP | 1.043 (0.502–2.166) | 0.91 | ||
| IGF-BP2 | 1.163 (0.695–1.947) | 0.566 | ||
| suPAR | 1.194 (0.842–1.694) | 0.319 | ||
| Sarcopenia—Female | Univariate | Multivariate | ||
|---|---|---|---|---|
| Binary Logistic Regression | Hazard Ratio (95%) | p-Value | Hazard Ratio (95%) | p-Value |
| Age | 1.051 (0.946–1.167) | 0.356 | ||
| Height | 1.056 (0.977–1.141) | 0.173 | ||
| Weight | 0.985 (0.951–1.019) | 0.38 | ||
| BMI | 0.945 (0.858–1.041) | 0.25 | ||
| NYHA | 0.597 (0.211–1.688) | 0.331 | ||
| STSScore | 1.962 (1.050–3.668) | 0.035 | 1.923 (0.642–5.756) | 0.243 |
| Diabetes mellitus | 1.364 (0.463–4.015) | 0.574 | ||
| Arterial Hypertension | 0.574 (0.189–1.750) | 0.329 | ||
| Cardiovascular Disease (all) | 0.533 (0.197–1.443) | 0.216 | ||
| CVD—1 vessel | 1.043 (0.360–3.023) | 0.938 | ||
| CVD—2 vessels | 0.000 (0.000– -) | 0.999 | ||
| CVD—3 vessels | 0.419 (0.084–2.083) | 0.288 | ||
| Myocardial infarction | 0.000 (0.000– -) | 0.999 | ||
| Atrial fibrillation | 0.382 (0.115–1.272) | 0.117 | ||
| Permanent pacemaker | 0.654 (0.065–6.593) | 0.719 | ||
| Malignancy | 1.304 (0.384–4.431) | 0.67 | ||
| Stroke | 0.000 (0.000– -) | 1 | ||
| PAD | 1.359 (0.214–8.640) | 0.745 | ||
| COPD | 2.120 (0.399–11.256) | 0.378 | ||
| LVEF | 0.997 (0.951–1.046) | 0.914 | ||
| LVEDD | 1.111 (0.827–1.492) | 0.486 | ||
| IVSd | 0.975 (0.804–1.182) | 0.797 | ||
| AV Vmax | 0.631 (0.279–1.427) | 0.269 | ||
| AV dPmean | 0.984 (0.950–1.019) | 0.362 | ||
| AV dPmax | 0.999 (0.977–1.023) | 0.958 | ||
| TAPSE | 0.888 (0.689–1.146) | 0.362 | ||
| AVI ≥ II° | 2.167 (0.736–6.378) | 0.16 | ||
| MVI ≥ II° | 1.364 (0.431–4.315) | 0.598 | ||
| TVI ≥ II° | 2.556 (0.765–8.539) | 0.127 | ||
| sPAP | 0.992 (0.954–1.031) | 0.685 | ||
| Creatinine | 1.257 (0.797–1.982) | 0.325 | ||
| HB | 0.471 (0.258–0.858) | 0.014 | 5.782 (0.553–60.504) | 0.143 |
| HK | 0.024 (0.001–0.630) | 0.025 | 0.386 (0.000–<0.001) | 0.95 |
| CK | 1.306 (0.540–3.158) | 0.553 | ||
| BNP | 3.274 (1.161–9.232) | 0.025 | 8.737 (0.734–103.958) | 0.086 |
| cTnI | 10.620 (0.143–791.155) | 0.283 | ||
| sST2 | 1.079 (0.639–1.821) | 0.776 | ||
| GDF-15 | 1.154 (0.734–1.814) | 0.534 | ||
| H-FABP | 0.985 (0.622–1.559) | 0.948 | ||
| IGF-BP2 | 1.042 (0.215–5.044) | 0.959 | ||
| suPAR | 1.201 (0.657–2.194) | 0.552 | ||
Publisher’s Note: MDPI stays neutral with regard to jurisdictional claims in published maps and institutional affiliations. |
© 2022 by the authors. Licensee MDPI, Basel, Switzerland. This article is an open access article distributed under the terms and conditions of the Creative Commons Attribution (CC BY) license (https://creativecommons.org/licenses/by/4.0/).
Share and Cite
Hecht, S.; Boxhammer, E.; Kaufmann, R.; Scharinger, B.; Reiter, C.; Kammler, J.; Kellermair, J.; Hammerer, M.; Blessberger, H.; Steinwender, C.; et al. CT-Diagnosed Sarcopenia and Cardiovascular Biomarkers in Patients Undergoing Transcatheter Aortic Valve Replacement: Is It Possible to Predict Muscle Loss Based on Laboratory Tests?—A Multicentric Retrospective Analysis. J. Pers. Med. 2022, 12, 1453. https://doi.org/10.3390/jpm12091453
Hecht S, Boxhammer E, Kaufmann R, Scharinger B, Reiter C, Kammler J, Kellermair J, Hammerer M, Blessberger H, Steinwender C, et al. CT-Diagnosed Sarcopenia and Cardiovascular Biomarkers in Patients Undergoing Transcatheter Aortic Valve Replacement: Is It Possible to Predict Muscle Loss Based on Laboratory Tests?—A Multicentric Retrospective Analysis. Journal of Personalized Medicine. 2022; 12(9):1453. https://doi.org/10.3390/jpm12091453
Chicago/Turabian StyleHecht, Stefan, Elke Boxhammer, Reinhard Kaufmann, Bernhard Scharinger, Christian Reiter, Jürgen Kammler, Jörg Kellermair, Matthias Hammerer, Hermann Blessberger, Clemens Steinwender, and et al. 2022. "CT-Diagnosed Sarcopenia and Cardiovascular Biomarkers in Patients Undergoing Transcatheter Aortic Valve Replacement: Is It Possible to Predict Muscle Loss Based on Laboratory Tests?—A Multicentric Retrospective Analysis" Journal of Personalized Medicine 12, no. 9: 1453. https://doi.org/10.3390/jpm12091453
APA StyleHecht, S., Boxhammer, E., Kaufmann, R., Scharinger, B., Reiter, C., Kammler, J., Kellermair, J., Hammerer, M., Blessberger, H., Steinwender, C., Hoppe, U. C., Hergan, K., & Lichtenauer, M. (2022). CT-Diagnosed Sarcopenia and Cardiovascular Biomarkers in Patients Undergoing Transcatheter Aortic Valve Replacement: Is It Possible to Predict Muscle Loss Based on Laboratory Tests?—A Multicentric Retrospective Analysis. Journal of Personalized Medicine, 12(9), 1453. https://doi.org/10.3390/jpm12091453

