Dental Management of Maxillofacial Ballistic Trauma
Abstract
:1. Introduction
1.1. Epidemiology
1.2. General Characteristics of Maxillofacial Gunshot Injury
2. Materials and Methods
3. Results
3.1. Sample Characteristic
3.2. Surgical Treatment Details
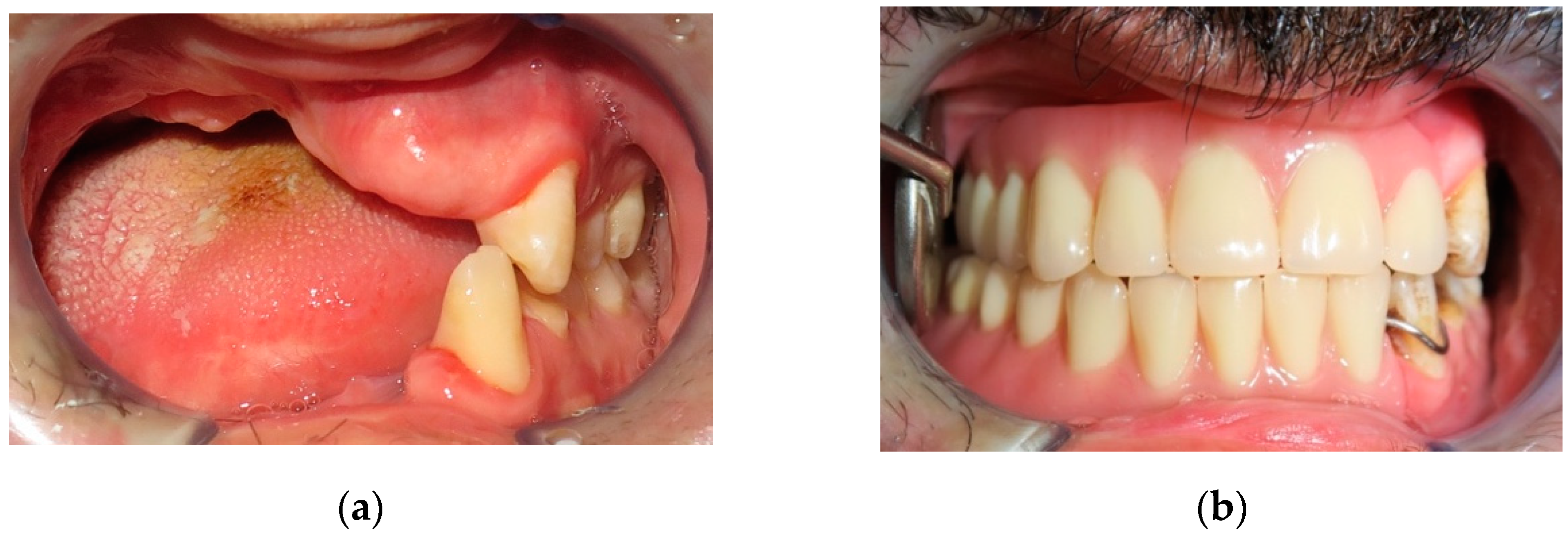
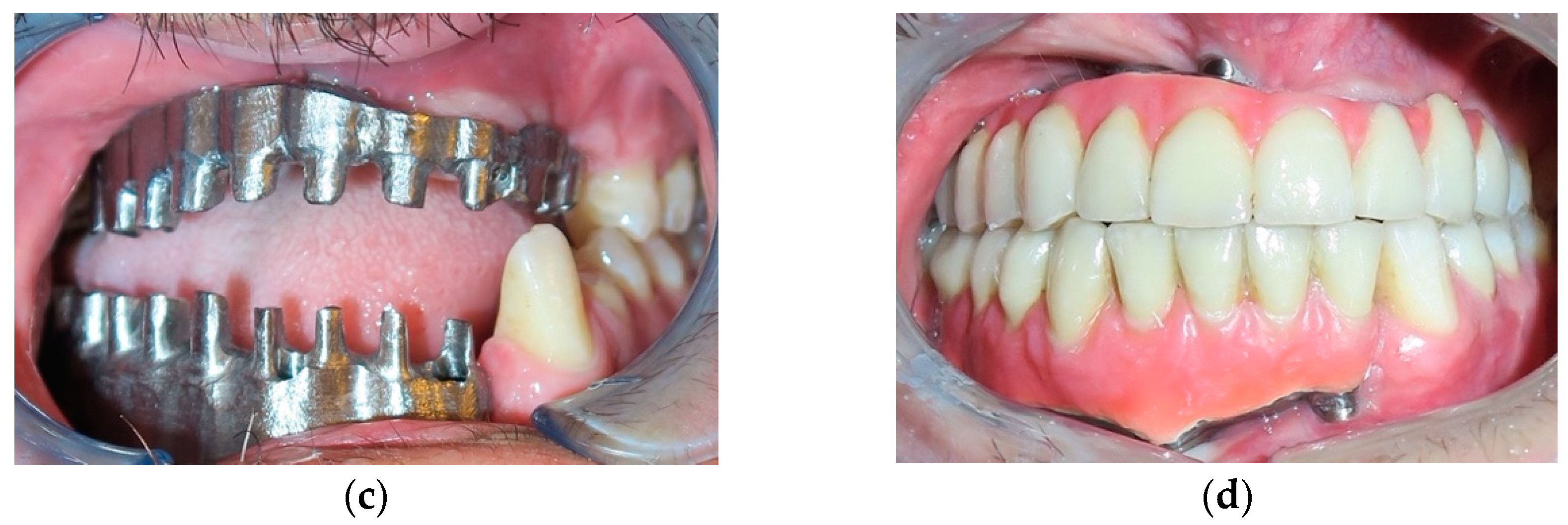
3.3. Dental Rehabilitation Details










4. Discussion
4.1. Surgical Treatment
4.2. Dental Rehabilitation
5. Conclusions
Author Contributions
Funding
Institutional Review Board Statement
Informed Consent Statement
Conflicts of Interest
References
- Aukerman, W.; Hull, M.; Nannapaneni, S.; Shayesteh, K. Facial Gunshot Wound: Mandibular Fracture with Internal Fixation and a Pectoralis Myocutaneous Flap Coverage. Cureus 2021, 13, e14214. [Google Scholar] [CrossRef] [PubMed]
- Sansare, K.; Khanna, V.; Karjodkar, F. The role of maxillofacial radiologists in gunshot injuries: A hypothesized missile trajectory in two case reports. Dentomaxillofac Radiol. 2011, 40, 53–59. [Google Scholar] [CrossRef] [PubMed]
- Awadalkreem, F.; Khalifa, N.; Ahmad, A.G.; Suliman, A.M.; Osman, M. Prosthetic rehabilitation of maxillary and mandibular gunshot defects with fixed basal implant-supported prostheses: A 5-year follow-up case report. Int. J. Surg. Case Rep. 2020, 68, 27–31. [Google Scholar] [CrossRef]
- Behnia, H.; Motamedi, M. Reconstruction and rehabilitation of short-range, high-velocity gunshot injury to the lower face: A case report. J. Cranio. Maxillofacial Surg. 1997, 25, 220–227. [Google Scholar] [CrossRef]
- Roochi, M.M.; Razmara, F. Maxillofacial gunshot injures and their therapeutic challenges: Case series. Clin. Case Rep. 2020, 8, 1094–1100. [Google Scholar] [CrossRef]
- Hickey, A.J. Maxillofacial prosthetic rehabilitation following self-inflicted gunshot wounds to the head and neck. J. Prosthet. Dent. 1986, 55, 78–82. [Google Scholar] [CrossRef]
- Chattha, A.; Lee, J.C.; Johnson, P.K.; Patel, A. An Algorithmic Approach to the Management of Ballistic Facial Trauma in the Civilian Population. J. Craniofacial Surg. 2018, 29, 2010–2016. [Google Scholar] [CrossRef]
- Schneider, R.; Fridrich, K.; Chang, K. Complex mandibular rehabilitation of a self-inflicted gunshot wound: A clinical report. J. Prosthet. Dent. 2012, 107, 158–162. [Google Scholar] [CrossRef]
- Torabi, K.; Ahangari, A.H.; Vojdani, M.; Fattahi, F. Prosthodontic Rehabilitation of a Shotgun Injury: A Patient Report. J. Prosthodont. 2010, 19, 634–638. [Google Scholar] [CrossRef] [PubMed]
- Bidra, A.S.; Veeranki, A.N. Surgical and prosthodontic reconstruction of a gunshot injury of the mandible using dental implants and an acrylic resin fixed prosthesis: A clinical report. J. Prosthet. Dent. 2010, 104, 142–148. [Google Scholar] [CrossRef]
- Haug, R.H. Management of low-caliber, low-velocity gunshot wounds of the maxillofacial region. J. Oral Maxillofac. Surg. 1989, 47, 1192–1196. [Google Scholar] [CrossRef]
- Lichte, P.; Oberbeck, R.; Binnebösel, M.; Wildenauer, R.; Pape, H.-C.; Kobbe, P. A civilian perspective on ballistic trauma and gunshot injuries. Scand. J. Trauma Resusc. Emerg. Med. 2010, 18, 35. [Google Scholar] [CrossRef]
- Hollier, L.; Grantcharova, E.P.; Kattash, M. Facial gunshot wounds: A 4-year experience. J. Oral Maxillofac. Surg. 2001, 59, 277–282. [Google Scholar] [CrossRef]
- Hollerman, J.J.; Fackler, M.L.; Coldwell, D.M.; Ben-Menachem, Y. Gunshot wounds: 1. Bullets, ballistics, and mechanisms of injury. Ajr. Am. J. Roentgenol. 1990, 155, 685–690. [Google Scholar] [CrossRef]
- Kaufman, Y.; Cole, P.; Hollier, L.H. Facial Gunshot Wounds: Trends in Management. Craniomaxillofacial Trauma Reconstr. 2009, 2, 85–90. [Google Scholar] [CrossRef]
- Società Italiana di Chirurgia Maxillo-Facciale SICMF. Trattato di Patologia Chirurgica Maxillo-Facciale; Minerva Medica: Rome, Italy, 2007; pp. 137–144. [Google Scholar]
- Erdmann, D.; Follmar, K.E.; DeBruijn, M.; Bruno, A.D.; Jung, S.-H.; Edelman, D.; Mukundan, S.; Marcus, J.R. A Retrospective Analysis of Facial Fracture Etiologies. Ann. Plast. Surg. 2008, 60, 398–403. [Google Scholar] [CrossRef]
- Saraswat, V. Injury Patterns in Low Intensity Conflict. Indian J. Anaesth. 2009, 53, 672–677. [Google Scholar]
- Oren, D.; Dror, A.A.; Zoabi, A.; Kasem, A.; Tzadok, L.; Kablan, F.; Morozov, N.G.; Safory, E.; Sela, E.; Srouji, S. The impact of delayed surgical intervention following high velocity maxillofacial injuries. Sci. Rep. 2021, 11, 1–7. [Google Scholar] [CrossRef]
- Stefanopoulos, P.; Soupiou, O.; Pazarakiotis, V.; Filippakis, K. Wound ballistics of firearm-related injuries—Part 2: Mechanisms of skeletal injury and characteristics of maxillofacial ballistic trauma. Int. J. Oral Maxillofac. Surg. 2015, 44, 67–78. [Google Scholar] [CrossRef]
- Jeyaraj, P.; Chakranarayan, A. Treatment Strategies in the Management of Maxillofacial Ballistic Injuries in Low-Intensity Conflict Scenarios. J. Maxillofac. Oral Surg. 2018, 17, 466–481. [Google Scholar] [CrossRef]
- Vaca, E.E.; Bellamy, J.L.; Sinno, S.; Rodriguez, E.D. Management of High-energy Avulsive Ballistic Facial Injury. Plast. Reconstr. Surg.Glob. Open 2018, 6, e1693. [Google Scholar] [CrossRef]
- Cole, R.D.; Browne, J.D.; Phipps, C.D. Gunshot Wounds to the Mandible and Midface: Evaluation, Treatment, and Avoidance of Complications. Otolaryngol. Head. Neck Surg. 1994, 111, 739–745. [Google Scholar] [CrossRef] [PubMed]
- Maiden, N. Ballistics reviews: Mechanisms of bullet wound trauma. Forensic Sci. Med. Pathol. 2009, 5, 204–209. [Google Scholar] [CrossRef]
- Brauner, E.; Pompa, G.; Quarato, A.; Jamshir, S.; De Angelis, F.; Di Carlo, S.; Valentini, V. Maxillofacial Prosthesis in Dentofacial Traumas: A Retrospective Clinical Study and Introduction of New Classification Method. BioMed Res. Int. 2017, 2017, 8136878. [Google Scholar] [CrossRef] [PubMed]
- Futran, N.D.; Farwell, D.G.; Smith, R.B.; Johnson, P.E.; Funk, G.F. Definitive management of severe facial trauma utilizing free tissue transfer. Otolaryngol. Neck Surg. 2005, 132, 75–85. [Google Scholar] [CrossRef]
- Brauner, E.; Quarato, A.; De Angelis, F.; Pompa, G.; Jamshir, S.; Valentini, V.; Di Carlo, S. Prosthetic rehabilitation involving the use of implants following a fibula free flap reconstruction in the treatment of Osteosarcoma of the maxilla: A case report. La Clin. Ter. 2017, 168, e392–e396. [Google Scholar]
- Brauner, E.; Valentini, V.; de Angelis, F.; Jamshir, S.; Visca, A.; Romeo, U.; Tenore, G.; Pompa, G.; Carlo, S. Gingival hyperplasia around dental implants in jaws reconstructed with free vascularized flaps: A case report series. J. Int. Dent. Med. Res. 2018, 11, 1–7. [Google Scholar]
- Di Carlo, S.; Valentini, V.; Grasso, E.; De Angelis, F.; Piccoli, L.; Quarato, A.; Jamshir, S.; Brauner, E. Implant-Supported Rehabilitation Using GBR Combined with Bone Graft on a Reconstructed Maxilla with the Fibula Free Flap. Case Rep. Dent. 2019, 2019, 2713542. [Google Scholar] [CrossRef] [PubMed]
- Kökat, A.M.; Erçöçen, A.R.; Karayazgan-Saraçoğlu, B. Simultaneous Implant Placement in a Mandibular Defect Reconstructed With a Free Fibula Graft and Fabrication of a Fixed Metal Porcelain Prosthesis. J. Craniofacial Surg. 2018, 29, 1307–1311. [Google Scholar] [CrossRef]
- Figueiredo, C.; Coelho, J.; Pedrosa, D.; Caetano, C.; Corte-Real, F.; Vieira, D.N.; Corte-Real, A. Dental evaluation specificity in orofacial damage assessment: A serial case study. J. Forensic Leg. Med. 2019, 68, 101861. [Google Scholar] [CrossRef]
- Clasper, J.; Hill, P.; Watkins, P. Contamination of ballistic fractures: An in vitro model. Injury 2002, 33, 157–160. [Google Scholar] [CrossRef]
- Cassoni, A.; Brauner, E.; Pucci, R.; Terenzi, V.; Mangini, N.; Battisti, A.; Della Monaca, M.; Ciolfi, A.; Laudoni, F.; Di Carlo, S.; et al. Head and Neck Osteosarcoma—The Ongoing Challenge about Reconstruction and Dental Rehabilitation. Cancers 2020, 12, 1948. [Google Scholar] [CrossRef] [PubMed]
- Simpson, B.M.; Wilson, R.H.; Grant, R.E. Antibiotic Therapy in Gunshot Wound Injuries. Clin. Orthop. Relat. Res. 2003, 408, 82–85. [Google Scholar] [CrossRef]
- Thoresby, F.P.; Darlow, H.M. The mechanisms of primary infection of bullet wounds. Br. J. Surg. 1967, 54, 359–361. [Google Scholar] [CrossRef] [PubMed]
- Pompa, G.; Brauner, E.; Jamshir, S.; de Angelis, F.; Giardino, R.; Di Carlo, S. Quality of life in patients rehabilitated with palatal obturator without reconstruction versus fixed implant-prosthesis after reconstruction of maxillectomy defects. J. Int. Dent. Med. Res. 2017, 10, 1–8. [Google Scholar]
- Papi, P.; Brauner, E.; Di Carlo, S.; Musio, D.; Tombolini, M.; De Angelis, F.; Valentini, V.; Tombolini, V.; Polimeni, A.; Pompa, G. Crestal bone loss around dental implants placed in head and neck cancer patients treated with different radiotherapy techniques: A prospective cohort study. Int. J. Oral Maxillofac. Surg. 2018, 48, 691–696. [Google Scholar] [CrossRef] [PubMed]
- Valentini, V.; Terenzi, V.; Cassoni, A.; Bosco, S.; Brauner, E.; Shahinas, J.; Pompa, G. Giant Cell Lesion or Langerhans’ Cell Histiocytosis of the Mandible? A Case Report. Eur. J. Inflamm. 2012, 10, 159–164. [Google Scholar] [CrossRef]
- Brauner, E.; Valentini, V.; Jamshir, S.; Guarino, G.; Battisti, A.; Fadda, M.T.; Pompa, G. Retrospective review of 78 rehabilitated head and neck postoncological patients: A new classification method. Minerva Stomatol. 2016, 65, 17–32. [Google Scholar]

| N° | Age/ Gender | Injury Patterns | Anatomic Sites Involved (Brauner’s Classification) | First Surgical Procedure (Stage 1) | Definitive Reconstruction (Stage 2) | Dental Rehabilitation (Stage 3) |
|---|---|---|---|---|---|---|
| 1 | 22/M | High-velocity injury | T4, Lower maxilla, Basal bone, Gingival tissue and Soft tissue | Emimandibulectomy dx | Free Fibula Flap | Fixed implant-supported prosthesis (n. 5 dental implants) |
| 2 | 33/M | Low-velocity injury | T4, Lower maxilla, Alveolar bone, Gingival and Soft tissue | Alveolar Resection III quad. | No | Fixed implant-supported prosthesis (n. 7 dental implants) |
| 3 | 29/M | High-velocity injury | T4, Upper maxilla, Basal bone, Gingival tissue and Soft tissue | Emimaxillectomy dx | Free Fibula Flap | Fixed implant-supported prosthesis (n. 6 dental implants) |
| 4 | 31/M | High-velocity injury | T4, Upper and Lower maxilla, alveolar bone, Gingival and Soft tissue | Alveolar Resection, I quad. + IV quad. | Free Iliac Crest Flap | Fixed implant-supported prosthesis (n. 10 dental implants) |
| 5 | 30/M | High-velocity injury | T3, Upper maxilla, Basal bone, Gingival tissue and Soft tissue | Partial Maxillectomy Posterior dx | No | Removable Partial Denture |
| 6 | 28/M | High-velocity injury | T3, Lower maxilla, Basal bone, Gingival and Soft tissue | Partial Anterior Mandibulectomy | No | Removable Partial Denture |
| 7 | 24/M | High-velocity injury | T4, Lower maxilla, Basal bone, Gingival and Soft tissue | Lateral Mandibulectomy dx and sx | No | Removable Partial Denture |
| 8 | 29/M | Low-velocity injury | T3, Lower maxilla, Alveolar bone, Gingival and Soft tissue | Anterior Alveolar Resection | GBR | Removable Partial Denture |
| 9 | 21/M | Low-velocity injury | T3, Lower maxilla, Alveolar bone, Gingival and Soft tissue | Anterior Alveolar Resection | No | Fixed implant-supported prosthesis (n. 4 dental implants) |
| 10 | 34/M | High-velocity injury | T3, Upper maxilla, Basal bone, Gingival and Soft tissue | Partial Anterior Maxillectomy | No | Removable Partial Denture |
| 11 | 41/F | Low-velocity injury | T3, Lower maxilla, Alveolar bone, Gingival and Soft tissue | Anterior Alveolar Resection | GBR | Fixed implant-supported prosthesis (n. 4 dental implants) |
Publisher’s Note: MDPI stays neutral with regard to jurisdictional claims in published maps and institutional affiliations. |
© 2022 by the authors. Licensee MDPI, Basel, Switzerland. This article is an open access article distributed under the terms and conditions of the Creative Commons Attribution (CC BY) license (https://creativecommons.org/licenses/by/4.0/).
Share and Cite
Brauner, E.; Laudoni, F.; Amelina, G.; Cantore, M.; Armida, M.; Bellizzi, A.; Pranno, N.; De Angelis, F.; Valentini, V.; Di Carlo, S. Dental Management of Maxillofacial Ballistic Trauma. J. Pers. Med. 2022, 12, 934. https://doi.org/10.3390/jpm12060934
Brauner E, Laudoni F, Amelina G, Cantore M, Armida M, Bellizzi A, Pranno N, De Angelis F, Valentini V, Di Carlo S. Dental Management of Maxillofacial Ballistic Trauma. Journal of Personalized Medicine. 2022; 12(6):934. https://doi.org/10.3390/jpm12060934
Chicago/Turabian StyleBrauner, Edoardo, Federico Laudoni, Giulia Amelina, Marco Cantore, Matteo Armida, Andrea Bellizzi, Nicola Pranno, Francesca De Angelis, Valentino Valentini, and Stefano Di Carlo. 2022. "Dental Management of Maxillofacial Ballistic Trauma" Journal of Personalized Medicine 12, no. 6: 934. https://doi.org/10.3390/jpm12060934
APA StyleBrauner, E., Laudoni, F., Amelina, G., Cantore, M., Armida, M., Bellizzi, A., Pranno, N., De Angelis, F., Valentini, V., & Di Carlo, S. (2022). Dental Management of Maxillofacial Ballistic Trauma. Journal of Personalized Medicine, 12(6), 934. https://doi.org/10.3390/jpm12060934

