Decrease of Hyaluronidase Activity and Suppression of Mouse CD4+ T Lymphocyte Activation by Tomato Juice Saponin Esculeoside B, and Its Sapogenol Esculeogenin B
Abstract
:1. Introduction
2. Materials and Methods
2.1. Preparation of EsB and Esg-B
2.2. Hyaluronidase Inhibitory Assay
2.3. Animals and Splenocyte Isolation
2.4. Cytotoxicity Assay
2.5. ConA Proliferation Assay
2.6. Enzyme-Linked Immunosorbent Assay (ELISA)
2.7. Quantitative Polymerase Chain Reaction (q-PCR) Assay
2.8. Statistical Analysis
3. Results
3.1. Hyaluronidase Inhibition by EsB/Esg-B
3.2. Cytotoxicity of EsB/Esg-B in Splenocytes
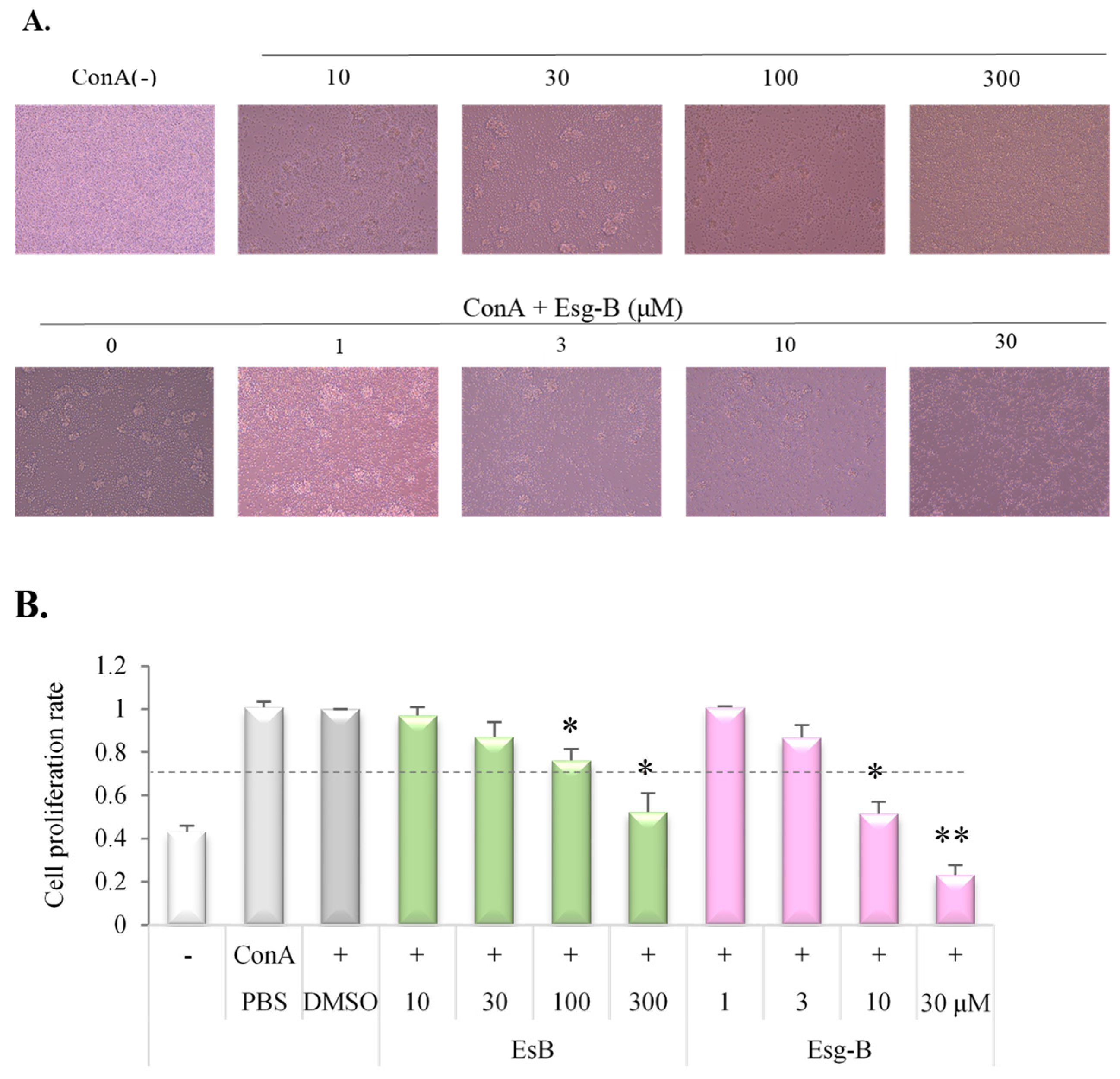
3.3. Suppression of T Lymphocyte Proliferative Response by EsB/Esg-B
3.4. EsB/Esg-B Modulation of ConA Blast-Induced Cytokine Level
4. Discussion
5. Conclusions
Author Contributions
Funding
Institutional Review Board Statement
Acknowledgments
Conflicts of Interest
Abbreviation
References
- Brunner, P.M.; Guttman-Yassky, E.; Leung, D.Y. The immunology of atopic dermatitis and its reversibility with broad-spectrum and targeted therapies. J. Allergy Clin. Immunol. 2017, 139, S65–S76. [Google Scholar] [CrossRef] [PubMed] [Green Version]
- Nedoszytko, B.; Reszka, E.; Gutowska-Owsiak, D.; Trzeciak, M.; Lange, M.; Jarczak, J.; Niedoszytko, M.; Jablonska, E.; Romantowski, J.; Strapagiel, D.; et al. Genetic and Epigenetic Aspects of Atopic Dermatitis. Int. J. Mol. Sci. 2020, 21, 6484. [Google Scholar] [CrossRef] [PubMed]
- Sabat, R.; Wolk, K.; Loyal, L.; Döcke, W.D.; Ghoreschi, K. T cell pathology in skin inflammation. Semin. Immunopathol. 2019, 41, 359–377. [Google Scholar] [CrossRef] [PubMed] [Green Version]
- Werfel, T.; Allam, J.P.; Biedermann, T.; Eyerich, K.; Gilles, S.; Guttman-Yassky, E.; Hoetzenecker, W.; Knol, E.; Simon, H.U.; Wollenberg, A.; et al. Cellular and molecular immunologic mechanisms in patients with atopic dermatitis. J. Allergy Clin. Immunol. 2016, 138, 336–349. [Google Scholar] [CrossRef] [PubMed] [Green Version]
- Otsuka, A.; Nomura, T.; Rerknimitr, P.; Seidel, J.A.; Honda, T.; Kabashima, K. The interplay between genetic and environmental factors in the pathogenesis of atopic dermatitis. Immunol. Rev. 2017, 278, 246–262. [Google Scholar] [CrossRef]
- Oyoshi, M.K.; He, R.; Kumar, L.; Yoon, J.; Geha, R.S. Cellular and molecular mechanisms in atopic dermatitis. Adv. Immunol. 2009, 102, 135–226. [Google Scholar] [CrossRef]
- Booth, N.J.; McQuaid, A.J.; Sobande, T.; Kissane, S.; Agius, E.; Jackson, S.E.; Salmon, M.; Falciani, F.; Yong, K.; Rustin, M.H.; et al. Different proliferative potential and migratory characteristics of human CD4+ regulatory T cells that express either CD45RA or CD45RO. J. Immunol. 2010, 184, 4317–4326. [Google Scholar] [CrossRef] [PubMed] [Green Version]
- Noval Rivas, M.; Chatila, T.A. Regulatory T cells in allergic diseases. J. Allergy Clin. Immunol. 2016, 138, 639–652. [Google Scholar] [CrossRef] [Green Version]
- Silva, S.L.; Albuquerque, A.S.; Serra-Caetano, A.; Foxall, R.B.; Pires, A.R.; Matoso, P.; Fernandes, S.M.; Ferreira, J.; Cheynier, R.; Victorino, R.M.; et al. Human naive regulatory T-cells feature high steady-state turnover and are maintained by IL-7. Oncotarget 2016, 7, 12163–12175. [Google Scholar] [CrossRef] [PubMed] [Green Version]
- Kakegawa, H.; Matsumoto, H.; Satoh, T. Inhibitory effects of hydrangenol derivatives on the activation of hyaluronidase and their antiallergic activities. Planta Medica. 1988, 54, 385–389. [Google Scholar] [CrossRef]
- Jiang, D.; Liang, J.; Fan, J.; Yu, S.; Chen, S.; Luo, Y.; Prestwich, G.D.; Mascarenhas, M.M.; Garg, H.G.; Quinn, D.A.; et al. Regulation of lung injury and repair by Toll-like receptors and hyaluronan. Nat. Med. 2005, 11, 1173–1179. [Google Scholar] [CrossRef]
- Noble, P.W. Hyaluronan and its catabolic products in tissue injury and repair. Matrix Biol. 2002, 21, 25–29. [Google Scholar] [CrossRef]
- Manabe, H.; Fujiwara, Y.; Ikeda, T.; Ono, M.; Murakami, K.; Zhou, J.R.; Yokomizo, K.; Nohara, T. Saponins esculeosides B-1 and B-2 in Italian canned tomatoes. Chem. Pharm. Bull. 2013, 61, 764–767. [Google Scholar] [CrossRef] [PubMed] [Green Version]
- Nohara, T.; Fujiwara, Y.; Zhou, J.R.; Urata, J.; Ikeda, T.; Murakami, K.; El-Aasr, M.; Ono, M. Saponins, Esculeosides B-1 and B-2, in Tomato Juice and Sapogenol, Esculeogenin B1. Chem. Pharm. Bull. 2015, 63, 848–850. [Google Scholar] [CrossRef] [Green Version]
- Zhou, J.R.; Urata, J.; Shiraishi, T.; Tanaka, C.; Nohara, T.; Yokomizo, K. Tomato juice saponin, esculeoside B ameliorates mice experimental dermatitis. Funct. Foods in Health Dis. 2018, 8, 228–241. [Google Scholar] [CrossRef]
- Zhou, J.R.; Kanda, Y.; Tanaka, A.; Manabe, H.; Nohara, T.; Yokomizo, K. Anti-hyaluronidase Activity in Vitro and Amelioration of Mouse Experimental Dermatitis by Tomato Saponin, Esculeoside A. J. Agric. Food Chem. 2016, 64, 403–408. [Google Scholar] [CrossRef] [PubMed]
- Zhou, J.R.; Kimura, S.; Nohara, T.; Yokomizo, K. Competitive Inhibition of Mammalian Hyaluronidase by Tomato Saponin, Esculeoside A. Nat. Prod. Commun. 2018, 13, 1461–1463. [Google Scholar] [CrossRef] [Green Version]
- Hsu, L.W.; Yang, C.H.; Goto, S.; Nakano, T.; Lai, C.Y.; Lin, Y.C.; Kao, Y.H.; Chen, S.H.; Cheng, Y.F.; Jawan, B.; et al. The effects of suplatast tosilate (IPD-1151T) on innate immunity and antigen-presenting cells. Transpl. Immunol. 2007, 8, 108–114. [Google Scholar] [CrossRef] [PubMed]
- Ahmad, S.F.; Zoheir, K.M.A.; Ansari, M.A.; Korashy, H.M.; Bakheet, S.A.; Ashour, A.E.; Attia, S.M. Stimulation of the histamine 4 receptor with 4-methylhistamine modulates the effects of chronic stress on the Th1/Th2 cytokine balance. Immunobiology 2015, 220, 341–349. [Google Scholar] [CrossRef]
- Fujiwara, Y.; Kiyota, N.; Hori, M.; Matsushita, S.; Iijima, Y.; Aoki, K.; Shibata, D.; Takeya, M.; Ikeda, T.; Nohara, T.; et al. Esculeogenin A, a new tomato sapogenol, ameliorates hyperlipidemia and atherosclerosis in ApoE-deficient mice by inhibiting ACAT. Arterioscler. Thromb. Vasc. Biol. 2007, 27, 2400–2406. [Google Scholar] [CrossRef] [PubMed] [Green Version]
- Bateman, E.A.; Ardern-Jones, M.R.; Ogg, G.S. Persistent central memory phenotype of circulating Fel d 1 peptide/DRB1*0101 tetramer-binding CD4+ T cells. J. Allergy Clin. Immunol. 2006, 118, 1350–1356. [Google Scholar] [CrossRef]
- Thepen, T.; Langeveld-Wildschut, E.G.; Bihari, I.C.; van Wichen, D.F.; van Reijsen, F.C.; Mudde, G.C.; Bruijnzeel-Koomen, C.A. Biphasic response against aeroallergen in atopic dermatitis showing a switch from an initial TH2 response to a TH1 response in situ: An immunocytochemical study. J. Allergy Clin. Immunol. 1996, 97, 828–837. [Google Scholar] [CrossRef]
- Werfel, T.; Morita, A.; Grewe, M.; Renz, H.; Wahn, U.; Krutmann, J.; Kapp, A. Allergen specificity of skin-infiltrating T cells is not restricted to a type-2 cytokine pattern in chronic skin lesions of atopic dermatitis. J. Invest Dermatol. 1996, 107, 871–876. [Google Scholar] [CrossRef] [PubMed] [Green Version]
- Werfel, T. The role of leukocytes, keratinocytes, and allergen-specific IgE in the development of atopic dermatitis. J. Invest Dermatol. 2009, 129, 1878–1891. [Google Scholar] [CrossRef] [PubMed] [Green Version]
- Imai, Y.; Kusakabe, M.; Nagai, M.; Yasuda, K.; Yamanishi, K. Dupilumab Effects on Innate Lymphoid Cell and Helper T Cell Populations in Patients with Atopic Dermatitis. JID. Innovations. 2021, 1, 100003. [Google Scholar] [CrossRef]
- Katoh, N.; Kataoka, Y.; Saeki, H.; Hide, M.; Kabashima, K.; Etoh, T.; Igarashi, A.; Imafuku, S.; Kawashima, M.; Ohtsuki, M.; et al. Efficacy and safety of dupilumab in Japanese adults with moderate-to-severe atopic dermatitis: A subanalysis of three clinical trials. Br. J. Dermatol. 2020, 183, 39–51. [Google Scholar] [CrossRef] [PubMed] [Green Version]
- Brandenburg, S.; Takahashi, T.; de la Rosa, M.; Janke, M.; Karsten, G.; Muzzulini, T.; Orinska, Z.; Bulfone-Paus, S.; Scheffold, A. IL-2 induces in vivo suppression by CD4(+)CD25(+)Foxp3(+) regulatory T cells. Eur. J. Immunol. 2008, 38, 1643–1653. [Google Scholar] [CrossRef] [PubMed]
- De la Rosa, M.; Rutz, S.; Dorninger, H.; Scheffold, A. Interleukin-2 is essential for CD4+CD25+ regulatory T cell function. Eur. J. Immunol. 2004, 34, 2480–2488. [Google Scholar] [CrossRef]
- Thornton, A.M.; Shevach, E.M. CD4+CD25+ immunoregulatory T cells suppress polyclonal T cell activation in vitro by inhibiting interleukin 2 production. J. Exp. Med. 1998, 188, 287–296. [Google Scholar] [CrossRef] [PubMed] [Green Version]
- Thornton, A.M.; Donovan, E.E.; Piccirillo, C.A.; Shevach, E.M. Cutting edge: IL-2 is critically required for the in vitro activation of CD4+CD25+ T cell suppressor function. J. Immunol. 2004, 172, 6519–6523. [Google Scholar] [CrossRef] [Green Version]
- Furukido, K.; Takeno, S.; Ueda, T.; Hirakawa, k.; Yajin, K. Suppression of the Th2 pathway by suplatast tosilate in patients with perennial nasal allergies. Am. J. Rhinol. 2002, 16, 329–336. [Google Scholar] [CrossRef] [PubMed]
- Kimata, H. Selective enhancement of production of IgE, IgG4, and Th2-cell cytokine during the rebound phenomenon in atopic dermatitis and prevention by suplatast tosilate. Ann. Allergy Asthma Immunol. 1999, 82, 293–295. [Google Scholar] [CrossRef]
- Shahriar, M.; Mizuguchi, H.; Maeyama, K.; Kitamura, Y.; Orimoto, N.; Horio, S.; Umehara, H.; Hattori, M.; Takeda, N.; Fukui, H.J. Suplatast tosilate inhibits histamine signaling by direct and indirect down-regulation of histamineH1receptor gene expression through suppression of histidine decarboxylase and IL-4 gene transcriptions. J. Immunol. 2009, 183, 2133–2141. [Google Scholar] [CrossRef] [PubMed] [Green Version]
- Noguchi, E.; Fujiwara, Y.; Matsushita, S.; Ikeda, T.; Ono, M.; Nohara, T. Metabolism of tomato steroidal glycosides in humans. Chem. Pharm. Bull. 2006, 54, 1312–1314. [Google Scholar] [CrossRef] [PubMed] [Green Version]





| Forward | Reverse | |
|---|---|---|
| GAPDH | 5′-CCCAGCAAGGACACTGAGCAAG-3′ | 5′-GGTCTGGGATGGAAATTGTGAGGG-3′ |
| IL-4 | 5′-GAAGCCCTACAGACGAGCTCA-3′ | 5′-ACAGGAGAAGGGACGCCAT-3′ |
| IFN-γ | 5′TCTGGGCTTCTCCTCCTGCGG-3′ | 5′GGCGCTGGACCTGTGGGTTG-3′ |
Publisher’s Note: MDPI stays neutral with regard to jurisdictional claims in published maps and institutional affiliations. |
© 2022 by the authors. Licensee MDPI, Basel, Switzerland. This article is an open access article distributed under the terms and conditions of the Creative Commons Attribution (CC BY) license (https://creativecommons.org/licenses/by/4.0/).
Share and Cite
Zhou, J.-R.; Kitahara, N.; Nakamura, H.; Ono, T.; Karashima, R.; Fang, J.; Nohara, T.; Yokomizo, K. Decrease of Hyaluronidase Activity and Suppression of Mouse CD4+ T Lymphocyte Activation by Tomato Juice Saponin Esculeoside B, and Its Sapogenol Esculeogenin B. J. Pers. Med. 2022, 12, 579. https://doi.org/10.3390/jpm12040579
Zhou J-R, Kitahara N, Nakamura H, Ono T, Karashima R, Fang J, Nohara T, Yokomizo K. Decrease of Hyaluronidase Activity and Suppression of Mouse CD4+ T Lymphocyte Activation by Tomato Juice Saponin Esculeoside B, and Its Sapogenol Esculeogenin B. Journal of Personalized Medicine. 2022; 12(4):579. https://doi.org/10.3390/jpm12040579
Chicago/Turabian StyleZhou, Jian-Rong, Nozomi Kitahara, Honami Nakamura, Takuya Ono, Ryohei Karashima, Jun Fang, Toshihiro Nohara, and Kazumi Yokomizo. 2022. "Decrease of Hyaluronidase Activity and Suppression of Mouse CD4+ T Lymphocyte Activation by Tomato Juice Saponin Esculeoside B, and Its Sapogenol Esculeogenin B" Journal of Personalized Medicine 12, no. 4: 579. https://doi.org/10.3390/jpm12040579
APA StyleZhou, J.-R., Kitahara, N., Nakamura, H., Ono, T., Karashima, R., Fang, J., Nohara, T., & Yokomizo, K. (2022). Decrease of Hyaluronidase Activity and Suppression of Mouse CD4+ T Lymphocyte Activation by Tomato Juice Saponin Esculeoside B, and Its Sapogenol Esculeogenin B. Journal of Personalized Medicine, 12(4), 579. https://doi.org/10.3390/jpm12040579

