Transarterial Embolization for Active Gastrointestinal Bleeding: Predictors of Early Mortality and Early Rebleeding
Abstract
1. Introduction
2. Materials and Methods
2.1. Study Population
2.2. Clinical Data
2.3. Pre-Procedure
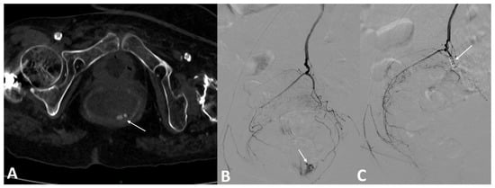
2.4. Transarterial Embolization Methods and Techniques
2.5. Patient Follow Up
2.6. Definitions
2.7. Outcomes
2.8. Statistical Analysis
2.9. Ethical Considerations
3. Results
3.1. Patient Characteristics
3.2. Pre-Procedure
3.3. Procedure Data
3.4. Post-Angiography Course
3.5. Predictors of Early Mortality
3.6. Predictors of Early Rebleeding
4. Discussion
Author Contributions
Funding
Institutional Review Board Statement
Informed Consent Statement
Data Availability Statement
Acknowledgments
Conflicts of Interest
Abbreviations
| CT | Computed Tomography |
| GIB | Gastrointestinal bleeding |
| INR | International Normalized Ratio |
| ICU | Intensive Care Unit |
| LGIB | Lower Gastrointestinal Bleeding |
| NBCA | N-butyl-2-cyanoacrylate |
| PC | Platelet count |
| PT | Prothrombin Time |
| TAE | Transarterial Embolization |
| UGIB | Upper Gastrointestinal Bleeding |
References
- Oakland, K.; Guy, R.; Uberoi, R.; Hogg, R.; Mortensen, N.; Murphy, M.F.; Jairath, V.; UK Lower GI Bleeding Collaborative. Acute lower GI bleeding in the UK: Patient characteristics, interventions and outcomes in the first nationwide audit. Gut 2018, 67, 654–662. [Google Scholar] [CrossRef] [PubMed]
- Beggs, A.; Dilworth, M.; Powell, S.; Atherton, H.; Griffiths, E. A systematic review of transarterial embolization versus emergency surgery in treatment of major nonvariceal upper gastrointestinal bleeding. Clin. Exp. Gastroenterol. 2014, 7, 93–104. [Google Scholar] [CrossRef] [PubMed]
- Bardou, M.; Benhaberou-Brun, D.; Le Ray, I.; Barkun, A.N. Diagnosis and management of nonvariceal upper gastrointestinal bleeding. Nat. Rev. Gastroenterol. Hepatol. 2012, 9, 97–104. [Google Scholar] [CrossRef]
- van Leerdam, M.E. Epidemiology of acute upper gastrointestinal bleeding. Best Pract. Res. Clin. Gastroenterol. 2008, 22, 209–224. [Google Scholar] [CrossRef] [PubMed]
- Gralnek, I.; Dumonceau, J.-M.; Kuipers, E.; Lanas, A.; Sanders, D.; Kurien, M.; Rotondano, G.; Hucl, T.; Dinis-Ribeiro, M.; Marmo, R.; et al. Diagnosis and management of nonvariceal upper gastrointestinal hemorrhage: European Society of Gastrointestinal Endoscopy (ESGE) Guideline. Endoscopy 2015, 47, a1–a46. [Google Scholar] [CrossRef]
- Greenspoon, J.; Barkun, A. A summary of recent recommendations on the management of patients with nonvariceal upper gastrointestinal bleeding. Pol. Arch. Intern. Med. 2010, 120, 341–346. [Google Scholar] [CrossRef]
- Huang, C.-C.; Lee, C.-W.; Hsiao, J.-K.; Leung, P.-C.; Liu, K.-L.; Tsang, Y.-M.; Liu, H.-M. N-butyl Cyanoacrylate Embolization as the Primary Treatment of Acute Hemodynamically Unstable Lower Gastrointestinal Hemorrhage. J. Vasc. Interv. Radiol. 2011, 22, 1594–1599. [Google Scholar] [CrossRef]
- Huang, Y.-S.; Chang, C.-C.; Liou, J.-M.; Jaw, F.-S.; Liu, K.-L. Transcatheter arterial embolization with N-butyl cyanoacrylate for nonvariceal upper gastrointestinal bleeding in hemodynamically unstable patients: Results and predictors of clinical outcomes. J. Vasc. Interv. Radiol. 2014, 25, 1850–1857. [Google Scholar] [CrossRef]
- Mensel, B.; Kühn, J.-P.; Kraft, M.; Rosenberg, C.; Ivo Partecke, L.; Hosten, N.; Puls, R. Selective microcoil embolization of arterial gastrointestinal bleeding in the acute situation: Outcome, complications, and factors affecting treatment success. Eur. J. Gastroenterol. Hepatol. 2012, 24, 155–163. [Google Scholar] [CrossRef]
- Loffroy, R.; Guiu, B.; D’Athis, P.; Mezzetta, L.; Gagnaire, A.; Jouve, J.; Ortega–Deballon, P.; Cheynel, N.; Cercueil, J.-P.; Krausé, D. Arterial Embolotherapy for Endoscopically Unmanageable Acute Gastroduodenal Hemorrhage: Predictors of Early Rebleeding. Clin. Gastroenterol. Hepatol. 2009, 7, 515–523. [Google Scholar] [CrossRef]
- Mohan, P.; Manov, J.; Diaz-Bode, A.; Venkat, S.; Langston, M.; Naidu, A.; Howse, R.; Narayanan, G. Clinical Predictors of Arterial Extravasation, Rebleedingand Mortality Following Angiographic Interventions in Gastrointestinal Bleeding. J. Gastrointest. Liver Dis. 2018, 27, 221–226. [Google Scholar] [CrossRef] [PubMed]
- Lai, H.-Y.; Wu, K.-T.; Liu, Y.; Zeng, Z.-F.; Zhang, B. Angiography and transcatheter arterial embolization for non-variceal gastrointestinal bleeding. Scand. J. Gastroenterol. 2020, 55, 931–940. [Google Scholar] [CrossRef]
- AssesSurgery GmbH. The Clavien-Dindo Classification [Internet]. Available online: https://www.assessurgery.com/clavien-dindo-classification/ (accessed on 3 February 2021).
- Kwon, J.H.; Kim, M.-D.; Han, K.; Choi, W.; Kim, Y.S.; Lee, J.; Kim, G.M.; Won, J.Y.; Lee, D.Y. Transcatheter arterial embolisation for acute lower gastrointestinal haemorrhage: A single-centre study. Eur. Radiol. 2019, 29, 57–67. [Google Scholar] [CrossRef] [PubMed]
- Lee, S.M.; Jeong, S.Y.; Shin, J.H.; Choi, H.C.; Na, J.B.; Won, J.H.; Park, S.E.; Chen, C.S. Transcatheter arterial embolization for gastrointestinal bleeding related to pancreatic adenocarcinoma: Clinical efficacy and predictors of clinical outcome. Eur. J. Radiol. 2020, 123, 108787. [Google Scholar] [CrossRef] [PubMed]
- Fontana, F.; Piacentino, F.; Ossola, C.; Coppola, A.; Curti, M.; Macchi, E.; De Marchi, G.; Floridi, C.; Ierardi, A.M.; Carrafiello, G.; et al. Transcatheter Arterial Embolization in Acute Non-Variceal Gastrointestinal Bleedings: A Ten-Year Single-Center Experience in 91 Patients and Review of the Literature. J. Clin. Med. 2021, 10, 4979. [Google Scholar] [CrossRef] [PubMed]
- Angle, J.F.; Siddiqi, N.H.; Wallace, M.J.; Kundu, S.; Stokes, L.; Wojak, J.C.; Cardella, J.F. Quality Improvement Guidelines for Percutaneous Transcatheter Embolization. J. Vasc. Interv. Radiol. 2010, 21, 1479–1486. [Google Scholar] [CrossRef] [PubMed]
- Defreyne, L.; De Schrijver, I.; Decruyenaere, J.; Van Maele, G.; Ceelen, W.; De Looze, D.; Vanlangenhove, P. Therapeutic Decision-Making in Endoscopically Unmanageable Nonvariceal Upper Gastrointestinal Hemorrhage. Cardiovasc. Interv. Radiol. 2008, 31, 897–905. [Google Scholar] [CrossRef]
- Ang, D.; Teo, E.K.; Tan, A.; Ibrahim, S.; Tan, P.S.; Ang, T.L.; Fock, K.M. A comparison of surgery versus transcatheter angiographic embolization in the treatment of nonvariceal upper gastrointestinal bleeding uncontrolled by endoscopy. Eur. J. Gastroenterol. Hepatol. 2012, 24, 929–938. [Google Scholar] [CrossRef]
- Yap, F.Y.; Omene, B.O.; Patel, M.N.; Yohannan, T.; Minocha, J.; Knuttinen, M.G.; Owens, C.A.; Bui, J.T.; Gaba, R.C. Transcatheter Embolotherapy for Gastrointestinal Bleeding: A Single Center Review of Safety, Efficacy, and Clinical Outcomes. Dig. Dis. Sci. 2013, 58, 1976–1984. [Google Scholar] [CrossRef]
- Drolz, A.; Horvatits, T.; Rutter, K.; Landahl, F.; Roedl, K.; Meersseman, P.; Wilmer, A.; Kluwe, J.; Lohse, A.W.; Kluge, S.; et al. Lactate Improves Prediction of Short-Term Mortality in Critically Ill Patients With Cirrhosis: A Multinational Study: Liver Failure, Cirrhosis, and Portal Hypertension. Hepatology 2019, 69, 258–269. [Google Scholar] [CrossRef]
- Minton, J.; Sidebotham, D.A. Hyperlactatemia and Cardiac Surgery. J. Extra-Corpor. Technol. 2017, 49, 7–15. [Google Scholar] [PubMed]
- Zindovic, I.; Luts, C.; Bjursten, H.; Herou, E.; Larsson, M.; Sjögren, J.; Nozohoor, S. Perioperative Hyperlactemia Is a Poor Predictor of Outcome in Patients Undergoing Surgery for Acute Type-A Aortic Dissection. J. Cardiothorac. Vasc. Anesth. 2018, 32, 2479–2484. [Google Scholar] [CrossRef] [PubMed]
- Cheong, Y.; Lee, S.; Lee, D.-K.; Kim, K.-S.; Sang, B.-H.; Hwang, G.-S. Preoperative hyperlactatemia and early mortality after liver transplantation: Selection of important variables using random forest survival analysis. Anesth. Pain Med. 2021, 16, 353–359. [Google Scholar] [CrossRef] [PubMed]
- Levy, B. Lactate and shock state: The metabolic view. Curr. Opin. Crit. Care 2006, 12, 315–321. [Google Scholar] [CrossRef]
- Loffroy, R.; Rao, P.; Ota, S.; De Lin, M.; Kwak, B.-K.; Geschwind, J.-F. Embolization of Acute Nonvariceal Upper Gastrointestinal Hemorrhage Resistant to Endoscopic Treatment: Results and Predictors of Recurrent Bleeding. Cardiovasc. Interv. Radiol. 2010, 33, 1088–1100. [Google Scholar] [CrossRef]
- Lee, H.H.; Park, J.M.; Chun, H.J.; Oh, J.S.; Ahn, H.J.; Choi, M.-G. Transcatheter arterial embolization for endoscopically unmanageable non-variceal upper gastrointestinal bleeding. Scand. J. Gastroenterol. 2015, 50, 809–815. [Google Scholar] [CrossRef]
- Aina, R.; Oliva, V.L.; Therasse, É.; Perreault, P.; Bui, B.T.; Dufresne, M.-P.; Soulez, G. Arterial Embolotherapy for Upper Gastrointestinal Hemorrhage: Outcome Assessment. J. Vasc. Interv. Radiol. 2001, 12, 195–200. [Google Scholar] [CrossRef]
- Poultsides, G.A.; Kim, C.J.; Orlando, R.; Peros, G.; Hallisey, M.J.; Vignati, P.V. Angiographic Embolization for Gastroduodenal Hemorrhage: Safety, Efficacy, and Predictors of Outcome. Arch. Surg. 2008, 143, 457. [Google Scholar] [CrossRef]
- Walsh, R.M.; Anain, P.; Geisinger, M.; Vogt, D.; Mayes, J.; Grundfest-Broniatowski, S.; Henderson, J.M. Role of angiography and embolization for massive gastroduodenal hemorrhage. J. Gastrointest. Surg. 1999, 3, 61–66. [Google Scholar] [CrossRef]
- Yu, Q.; Funaki, B.; Navuluri, R.; Zangan, S.; Zhang, A.; Cao, D.; Leef, J.; Ahmed, O. Empiric Transcatheter Embolization for Acute Arterial Upper Gastrointestinal Bleeding: A Meta-Analysis. Am. J. Roentgenol. 2021, 216, 880–893. [Google Scholar] [CrossRef]
- Loffroy, R.; Guiu, B. Role of transcatheter arterial embolization for massivebleeding from gastroduodenal ulcers. World J. Gastroenterol. 2009, 15, 5889–5897. [Google Scholar] [CrossRef] [PubMed]
- Kim, P.H.; Tsauo, J.; Shin, J.H.; Yun, S.-C. Transcatheter Arterial Embolization of Gastrointestinal Bleeding with N-Butyl Cyanoacrylate: A Systematic Review and Meta-Analysis of Safety and Efficacy. J. Vasc. Interv. Radiol. 2017, 28, 522–531.e5. [Google Scholar] [CrossRef] [PubMed]
- Bua-ngam, C.; Norasetsingh, J.; Treesit, T.; Wedsart, B.; Chansanti, O.; Tapaneeyakorn, J.; Panpikoon, T.; Vallibhakara, S.-O. Efficacy of emergency transarterial embolization in acute lower gastrointestinal bleeding: A single-center experience. Diagn. Interv. Imaging 2017, 98, 499–505. [Google Scholar] [CrossRef]
- Frandon, J.; Berny, L.; Prudhomme, M.; de Forges, H.; Serrand, C.; de Oliveira, F.; Beregi, J.-P.; Bertrand, M.M. Inferior mesenteric artery embolization ahead of rectal cancer surgery: AMIREMBOL pilot study. Br. J. Surg. 2022, 109, 650–652. [Google Scholar] [CrossRef] [PubMed]
- Ghelfi, J.; Brichon, P.-Y.; Frandon, J.; Boussat, B.; Bricault, I.; Ferretti, G.; Guigard, S.; Sengel, C. Ischemic Gastric Conditioning by Preoperative Arterial Embolization Before Oncologic Esophagectomy: A Single-Center Experience. Cardiovasc. Interv. Radiol. 2017, 40, 712–720. [Google Scholar] [CrossRef] [PubMed]



| Variable | n = 68 |
|---|---|
| Age, years | 69 (61–74) |
| Male n (%) | 49 (72) |
| Comorbidities n (%) | |
| Diabetes | 12 (17.6) |
| Coronaropathy | 13 (19.1) |
| HBP | 39 (57.3) |
| CRF | 7 (10.3) |
| Cancer in remission | 7 (10.3) |
| Active cancer | 25 (36.8) |
| Anticoagulation therapy | 19 (27.9) |
| Antiplatelet therapy | 14 (20.6) |
| Clinical presentation n (%) | |
| Melena | 31 (45.6) |
| Rectorragia | 27 (39.7) |
| Hematemesis | 22 (32.4) |
| Biology n (%) | |
| Lactate ≥ 2 mmol/L | 25 (36.8) |
| Prior coagulopathy | 24 (35.3) |
| Hb nadir | 7.25 (6.1–8.3) |
| Acute renal failure | 14 (20.5) |
| Pre-operative CT n (%) | 62 (91.1) |
| Active bleeding | 41 (60.3) |
| Pseudoaneurysm | 9 (13.2) |
| Localization of bleeding n (%) | |
| UGIB | 55 (80.9) |
| Duodenal | 45 (66.2) |
| Gastric | 10(14.7) |
| LGIB | 13(19.1) |
| Colon | 6 (8.8) |
| Jejunum | 4 (5.9) |
| Rectum | 3 (4.4) |
| Ileum | 0 |
| Pre-operative gastroscopy n (%) | 40 (58.8) |
| Active bleeding | 38 (55.8) |
| Failure of endoscopic treatment | 35 (51.4) |
| Pre-operative coloscopy | 8 (11.8) |
| Positive coloscopy | 4 (5.9) |
| Failure of endoscopic treatment | 4 (5.9) |
| Transfusion n (%) | 62 (91.2) |
| RBC units | 5 (3–8) |
| Variable | n = 68 |
|---|---|
| Ulcer | 34 (50) |
| Post operative | 14 (20.6) |
| Duodeno pancreatectomy | 7 (10.3) |
| Sphincterotomy | 5 (7.4) |
| Gastrectomy | 2 (2.9) |
| Cancer | 13 (19.1) |
| Gastric cancer | 8 (11.8) |
| Pancreatic cancer | 4 (5.9) |
| Rectal Cancer | 1 (1.5) |
| Pancreatitis | 2 (2.9) |
| Idiopathic | 2 (2.9) |
| Diverticulosis | 2 (2.9) |
| Angiodysplasia | 1 (1.5) |
| Variable | n = 68 |
|---|---|
| Angiographic data. (%) | |
| Pseudoaneurysm | 11 (16.2) |
| Empirical Embolization | 12 (17.6) |
| Arteries Embolized n. (%) | |
| Gastroduodenal | 43 (63.2) |
| Upper Mesenteric | 8 (11.8) |
| Inferior mesenteric | 5 (7.4) |
| Left colic | 2 (2.9) |
| Superior rectal | 3 (4.4) |
| Left Gastric | 4 (5.9) |
| Splenic | 2 (2.9) |
| Gastroepiploic | 2 (2.9) |
| Pancreaticoduodenal | 1 (1.5) |
| Left Hepatic | 1 (1.5) |
| Right Gastric | 1 (1.5) |
| Right Hepatic | 1 (1.5) |
| Embolic Agents n. (%) | |
| Coils | 46 (67.6) |
| NCBA | 8 (11.8) |
| Coils + Gelatine Sponge | 5 (7.4) |
| Microparticles | 4 (5.9) |
| Gelatine Sponge | 3 (4.4) |
| Microparticles + gelatine sponge | 2 (2.9) |
| Duration of procedure (min) | 60 (40–87) |
| Variable | n = 68 |
|---|---|
| Technical Success n (%) | 68 (100) |
| Clinical Success n (%) | 50 (73) |
| Mortality during follow-up n (%) | 32 (47) |
| Day-30 mortality n (%) | 15 (22.1) |
| Per-operative Complications n (%) | 7 (10.3) |
| Non-target embolization | 3 (4.4) |
| Coil Migration | 1 (1.5) |
| Hematoma at puncture site | 3 (4.4) |
| Post-Operative Complications n (%) | 13 (19.1) |
| Acute renal failure without dialysis | 9 (13.2) |
| Bowel Ischemia | 2 (2.9) |
| Splenic Ischemia | 2 (2.9) |
| Recurrence of Bleeding n (%) | 19 (27.9) |
| Early ≤ 30 days | 17 (25) |
| Delayed > 30 days | 2 (2.9) |
| Management of Early Rebleeding n (%) | 17 (25) |
| Surgery | 3 (4.4) |
| Repeat TAE | 2 (2.9) |
| Endoscopy followed by Surgery | 4 (5.9) |
| Endoscopy | 3 (4.4) |
| TAE followed by endoscopy followed by surgery | 2 (2.9) |
| Conservative treatment | 3 (4.4) |
| Length of hospital stay (days) | 12 (6–24) |
| Length of stay in intensive units (days) | 3 (1–6) |
| Duration of follow-up (months) | 5 (1–11) |
| Early Death ≤ 30 Days | Early Rebleeding ≤ 30 Days | |||||||
|---|---|---|---|---|---|---|---|---|
| Univariate Analysis | Multivariate Analysis | Univariate Analysis | Multivariate Analysis | |||||
| Characteristics | OR | p Value | OR | p Value | OR | p Value | OR | p Value |
| Demographics data | ||||||||
| Age ≥ 70 | 0.99 (0.94–1.03) | 0.64 | ─ | ─ | 0.71 (0.23–2.25) | 0.57 | ─ | ─ |
| Male | 0.72 (0.21–2.47) | 0.6 | ─ | ─ | 0.62 (0.19–2.04) | 0.43 | ─ | ─ |
| HBP | 1.15 (0.36–3.69) | 0.81 | ─ | ─ | 1.5 (0.48–4.69) | 0.48 | ─ | ─ |
| Diabetes | 0.66 (0.13–3.41) | 0.62 | ─ | ─ | 1 (0.24–4.22) | 1 | ─ | ─ |
| Chronic renal failure | 1.48 (0.26–8.50) | 0.66 | ─ | ─ | 1.23 (0.21–6.99) | 0.82 | ─ | ─ |
| Active cancer | 0.55 (0.16–1.97) | 0.36 | ─ | ─ | 0.28 (0.07–1.1) | 0.07 | ─ | ─ |
| Coagulation disorder | ||||||||
| Prior coagulopathy | 0.38 (0.12–1.22) | 0.1 | 0.51 (0.17–1.68) | 0.25 | ||||
| Curative Anticoagulation | 0.31 (0.06–1.52) | 0.15 | ─ | ─ | 0.70 (0.19–2.49) | 0.58 | ─ | ─ |
| Antiplatelet | 0.20 (0.02–1.70) | 0.14 | ─ | ─ | 1.16 (0.31–4.37) | 0.81 | ─ | ─ |
| Lactates ≥ 2mmol/L | 6.3 (1.7–23.2) | 0.006 | 6.10 (1.54–24.2) | 0.01 | 2.76 (0.87–9.71) | 0.08 | ─ | ─ |
| Clinical Presentation | ||||||||
| Duodenal Bleeding | 1.54 (0.43–5.50) | 0.51 | ─ | ─ | 1.92 (0.55–6.78) | 0.31 | ─ | ─ |
| Hematemesis | 1.41 (0.43–4.66) | 0.57 | ─ | ─ | 0.86 (0.26–2.87) | 0.8 | ─ | ─ |
| Active infection | 3.35 (0.77–14.56) | 0.11 | 2.7 (0.63–11.58) | 0.18 | ||||
| Acute renal failure | 3.75 (1.02–13.7) | 0.043 | ─ | ─ | 1.94 (0.55–6.91) | 0.3 | ─ | ─ |
| Pre-operative data | ||||||||
| Active bleeding on CT | 2.11 (0.59–7.48) | 0.25 | ─ | ─ | 0.92 (0.30–2.81) | 0.89 | ─ | ─ |
| Failed pre-operative gastroscopy | 1.56 (0.49–5.00) | 0.46 | ─ | ─ | 1.08 (0.36–3.25) | 0.89 | ─ | ─ |
| Hb and transfusion requirement | ||||||||
| Hb < 8 | 2.9 (0.89–9.48) | 0.07 | ─ | ─ | 2.86 (0.93–8.83) | 0.07 | ─ | |
| Number of RBC | 1.07 (0.94–1.2) | 0.31 | ─ | ─ | 1.19 (1.04–1.38) | 0.011 | 1.17 (1.01–1.35) | 0.037 |
| Causes and arteries embolized | ||||||||
| Ulcer | 3.59 (1.01–12.73) | 0.048 | ─ | ─ | 3.16 (0.97–10.3) | 0.056 | ─ | ─ |
| Gastroduodenal Artery | 0.35 (0.09–1.40) | 0.14 | ─ | ─ | 2.74 (0.75–5.48) | 0.91 | ─ | ─ |
| Procedure | ||||||||
| Empiric Embolization | 0.66 (0.13–3.41) | 0.62 | ─ | ─ | 1 (0.23–4.2) | 1 | ─ | ─ |
| Embolization with Coils only | 0.29 (0.06–1.48) | 0.138 | ─ | ─ | 0.42 (0.11–1.68) | 0.22 | ─ | ─ |
Publisher’s Note: MDPI stays neutral with regard to jurisdictional claims in published maps and institutional affiliations. |
© 2022 by the authors. Licensee MDPI, Basel, Switzerland. This article is an open access article distributed under the terms and conditions of the Creative Commons Attribution (CC BY) license (https://creativecommons.org/licenses/by/4.0/).
Share and Cite
Extrat, C.; Grange, S.; Mayaud, A.; Villeneuve, L.; Chevalier, C.; Williet, N.; Le Roy, B.; Boutet, C.; Grange, R. Transarterial Embolization for Active Gastrointestinal Bleeding: Predictors of Early Mortality and Early Rebleeding. J. Pers. Med. 2022, 12, 1856. https://doi.org/10.3390/jpm12111856
Extrat C, Grange S, Mayaud A, Villeneuve L, Chevalier C, Williet N, Le Roy B, Boutet C, Grange R. Transarterial Embolization for Active Gastrointestinal Bleeding: Predictors of Early Mortality and Early Rebleeding. Journal of Personalized Medicine. 2022; 12(11):1856. https://doi.org/10.3390/jpm12111856
Chicago/Turabian StyleExtrat, Chloé, Sylvain Grange, Alexandre Mayaud, Loïc Villeneuve, Clément Chevalier, Nicolas Williet, Bertrand Le Roy, Claire Boutet, and Rémi Grange. 2022. "Transarterial Embolization for Active Gastrointestinal Bleeding: Predictors of Early Mortality and Early Rebleeding" Journal of Personalized Medicine 12, no. 11: 1856. https://doi.org/10.3390/jpm12111856
APA StyleExtrat, C., Grange, S., Mayaud, A., Villeneuve, L., Chevalier, C., Williet, N., Le Roy, B., Boutet, C., & Grange, R. (2022). Transarterial Embolization for Active Gastrointestinal Bleeding: Predictors of Early Mortality and Early Rebleeding. Journal of Personalized Medicine, 12(11), 1856. https://doi.org/10.3390/jpm12111856

