Machine Learning to Predict In-Hospital Mortality in COVID-19 Patients Using Computed Tomography-Derived Pulmonary and Vascular Features
Abstract
1. Introduction
2. Materials and Methods
2.1. Study Population
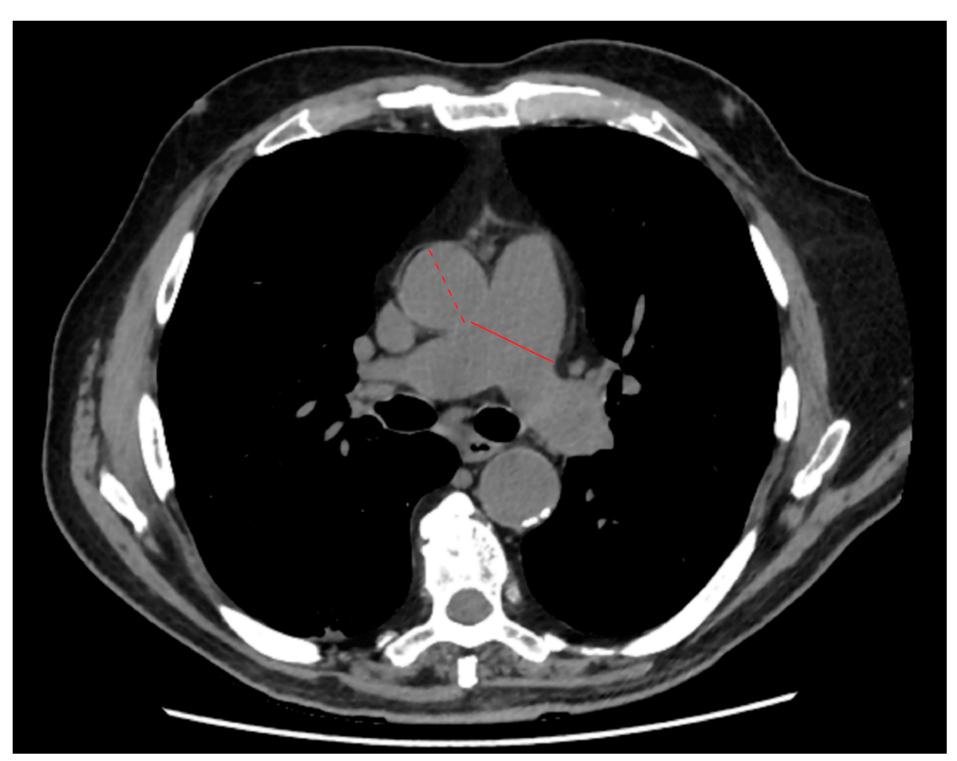
2.2. Image Acquisition and Analysis
2.3. Data Preprocessing and Initial Feature Selection
2.4. Support Vector Machines
2.5. Multilayer Perceptrons
2.6. Statistical Analysis
3. Results
3.1. Population Characteristics
3.2. Explorative Univariate Analysis of Pulmonary Vascular Features
3.3. Support Vector Machines and Multilayer Perceptrons
4. Discussion
Supplementary Materials
Author Contributions
Funding
Institutional Review Board Statement
Informed Consent Statement
Data Availability Statement
Conflicts of Interest
References
- Akl, E.A.; Blažić, I.; Yaacoub, S.; Frija, G.; Chou, R.; Appiah, J.A.; Fatehi, M.; Flor, N.; Hitti, E.; Jafri, H.; et al. Use of Chest Imaging in the Diagnosis and Management of COVID-19: A WHO Rapid Advice Guide. Radiology 2021, 298, E63–E69. [Google Scholar] [CrossRef]
- Rubin, G.D.; Ryerson, C.J.; Haramati, L.B.; Sverzellati, N.; Kanne, J.P.; Raoof, S.; Schluger, N.W.; Volpi, A.; Yim, J.-J.; Martin, I.B.K.; et al. The Role of Chest Imaging in Patient Management during the COVID-19 Pandemic: A Multinational Consensus Statement from the Fleischner Society. Radiology 2020, 296, 172–180. [Google Scholar] [CrossRef]
- Sverzellati, N.; Milanese, G.; Milone, F.; Balbi, M.; Ledda, R.E.; Silva, M. Integrated Radiologic Algorithm for COVID-19 Pandemic. J. Thorac. Imaging 2020, 35, 228–233. [Google Scholar] [CrossRef]
- Tang, N.; Li, D.; Wang, X.; Sun, Z. Abnormal coagulation parameters are associated with poor prognosis in patients with novel coronavirus pneumonia. J. Thromb. Haemost. 2020, 18, 844–847. [Google Scholar] [CrossRef]
- Nadkarni, G.N.; Lala, A.; Bagiella, E.; Chang, H.L.; Moreno, P.R.; Pujadas, E.; Arvind, V.; Bose, S.; Charney, A.W.; Chen, M.D.; et al. Anticoagulation, Bleeding, Mortality, and Pathology in Hospitalized Patients with COVID-19. J. Am. Coll. Cardiol. 2020, 76, 1815–1826. [Google Scholar] [CrossRef]
- Fogarty, H.; Townsend, L.; Ni Cheallaigh, C.; Bergin, C.; Martin-Loeches, I.; Browne, P.; Bacon, C.L.; Gaule, R.; Gillett, A.; Byrne, M.; et al. COVID-19 coagulopathy in Caucasian patients. Br. J. Haematol. 2020, 189, 1044–1049. [Google Scholar] [CrossRef]
- Fauvel, C.; Weizman, O.; Trimaille, A.; Mika, D.; Pommier, T.; Pace, N.; Douair, A.; Barbin, E.; Fraix, A.; Bouchot, O.; et al. Pulmonary embolism in COVID-19 patients: A French multicentre cohort study. Eur. Heart J. 2020, 41, 3058–3068. [Google Scholar] [CrossRef]
- Masi, P.; Hékimian, G.; Lejeune, M.; Chommeloux, J.; Desnos, C.; Pineton De Chambrun, M.; Martin-Toutain, I.; Nieszkowska, A.; Lebreton, G.; Bréchot, N.; et al. Systemic Inflammatory Response Syndrome Is a Major Contributor to COVID-19–Associated Coagulopathy. Circulation 2020, 142, 611–614. [Google Scholar] [CrossRef]
- Gu, S.X.; Tyagi, T.; Jain, K.; Gu, V.W.; Lee, S.H.; Hwa, J.M.; Kwan, J.M.; Krause, D.S.; Lee, A.I.; Halene, S.; et al. Thrombocytopathy and endotheliopathy: Crucial contributors to COVID-19 thromboinflammation. Nat. Rev. Cardiol. 2021, 18, 194–209. [Google Scholar] [CrossRef]
- Teuwen, L.-A.; Geldhof, V.; Pasut, A.; Carmeliet, P. COVID-19: The vasculature unleashed. Nat. Rev. Immunol. 2020, 20, 389–391. [Google Scholar] [CrossRef]
- Lowenstein, C.J.; Solomon, S.D. Severe COVID-19 Is a Microvascular Disease. Circulation 2020, 142, 1609–1611. [Google Scholar] [CrossRef]
- Varga, Z.; Flammer, A.J.; Steiger, P.; Haberecker, M.; Andermatt, R.; Zinkernagel, A.S.; Mehra, M.R.; Schuepbach, R.A.; Ruschitzka, F.; Moch, H. Endothelial cell infection and endotheliitis in COVID-19. Lancet 2020, 395, 1417–1418. [Google Scholar] [CrossRef]
- Ackermann, M.; Verleden, S.E.; Kuehnel, M.; Haverich, A.; Welte, T.; Laenger, F.; Vanstapel, A.; Werlein, C.; Stark, H.; Tzankov, A.; et al. Pulmonary Vascular Endothelialitis, Thrombosis, and Angiogenesis in Covid-19. N. Engl. J. Med. 2020, 383, 120–128. [Google Scholar] [CrossRef]
- Lax, S.F.; Skok, K.; Zechner, P.; Kessler, H.H.; Kaufmann, N.; Koelblinger, C.; Vander, K.; Bargfrieder, U.; Trauner, M. Pulmonary Arterial Thrombosis in COVID-19 with Fatal Outcome. Ann. Intern. Med. 2020, 173, 350–361. [Google Scholar] [CrossRef]
- Carsana, L.; Sonzogni, A.; Nasr, A.; Rossi, R.S.; Pellegrinelli, A.; Zerbi, P.; Rech, R.; Colombo, R.; Antinori, S.; Corbellino, M.; et al. Pulmonary post-mortem findings in a series of COVID-19 cases from northern Italy: A two-centre descriptive study. Lancet Infect. Dis. 2020, 20, 1135–1140. [Google Scholar] [CrossRef]
- Léonard-Lorant, I.; Delabranche, X.; Séverac, F.; Helms, J.; Pauzet, C.; Collange, O.; Schneider, F.F.; Labani, A.; Bilbault, P.; Molière, S.; et al. Acute Pulmonary Embolism in Patients with COVID-19 at CT Angiography and Relationship to d-Dimer Levels. Radiology 2020, 296, E189–E191. [Google Scholar] [CrossRef]
- Grillet, F.; Behr, J.; Calame, P.; Aubry, S.; Delabrousse, E. Acute Pulmonary Embolism Associated with COVID-19 Pneumonia Detected with Pulmonary CT Angiography. Radiology 2020, 296, E186–E188. [Google Scholar] [CrossRef]
- Monfardini, L.; Morassi, M.; Botti, P.; Stellini, R.; Bettari, L.; Pezzotti, S.; Alì, M.; Monaco, C.G.; Magni, V.; Cozzi, A.; et al. Pulmonary thromboembolism in hospitalised COVID-19 patients at moderate to high risk by Wells score: A report from Lombardy, Italy. Br. J. Radiol. 2020, 93, 20200407. [Google Scholar] [CrossRef]
- Schiaffino, S.; Giacomazzi, F.; Esseridou, A.; Cozzi, A.; Carriero, S.; Mazzaccaro, D.P.; Nano, G.; Di Leo, G.; Spagnolo, P.; Sardanelli, F. Pulmonary thromboembolism in coronavirus disease 2019 patients undergoing thromboprophylaxis. Medicine 2021, 100, e24002. [Google Scholar] [CrossRef]
- De Cobelli, F.; Palumbo, D.; Ciceri, F.; Landoni, G.; Ruggeri, A.; Rovere-Querini, P.; D’Angelo, A.; Steidler, S.; Galli, L.; Poli, A.; et al. Pulmonary Vascular Thrombosis in COVID-19 Pneumonia. J. Cardiothorac. Vasc. Anesth. 2021. [Google Scholar] [CrossRef]
- Chung, M.; Bernheim, A.; Mei, X.; Zhang, N.; Huang, M.; Zeng, X.; Cui, J.; Xu, W.; Yang, Y.; Fayad, Z.A.; et al. CT Imaging Features of 2019 Novel Coronavirus (2019-nCoV). Radiology 2020, 295, 202–207. [Google Scholar] [CrossRef]
- Bernheim, A.; Mei, X.; Huang, M.; Yang, Y.; Fayad, Z.A.; Zhang, N.; Diao, K.; Lin, B.; Zhu, X.; Li, K.; et al. Chest CT Findings in Coronavirus Disease-19 (COVID-19): Relationship to Duration of Infection. Radiology 2020, 295, 685–691. [Google Scholar] [CrossRef] [PubMed]
- Grillet, F.; Busse-Coté, A.; Calame, P.; Behr, J.; Delabrousse, E.; Aubry, S. COVID-19 pneumonia: Microvascular disease revealed on pulmonary dual-energy computed tomography angiography. Quant. Imaging Med. Surg. 2020, 10, 1852–1862. [Google Scholar] [CrossRef]
- Lins, M.; Vandevenne, J.; Thillai, M.; Lavon, B.R.; Lanclus, M.; Bonte, S.; Godon, R.; Kendall, I.; De Backer, J.; De Backer, W. Assessment of Small Pulmonary Blood Vessels in COVID-19 Patients Using HRCT. Acad. Radiol. 2020, 27, 1449–1455. [Google Scholar] [CrossRef]
- Esposito, A.; Palmisano, A.; Toselli, M.; Vignale, D.; Cereda, A.; Rancoita, P.M.V.; Leone, R.; Nicoletti, V.; Gnasso, C.; Monello, A.; et al. Chest CT-derived pulmonary artery enlargement at the admission predicts overall survival in COVID-19 patients: Insight from 1461 consecutive patients in Italy. Eur. Radiol. 2021, 31, 4031–4041. [Google Scholar] [CrossRef]
- Spagnolo, P.; Cozzi, A.; Foà, R.A.; Spinazzola, A.; Monfardini, L.; Bnà, C.; Alì, M.; Schiaffino, S.; Sardanelli, F. CT-derived pulmonary vascular metrics and clinical outcome in COVID-19 patients. Quant. Imaging Med. Surg. 2020, 10, 1325–1333. [Google Scholar] [CrossRef]
- Aoki, R.; Iwasawa, T.; Hagiwara, E.; Komatsu, S.; Utsunomiya, D.; Ogura, T. Pulmonary vascular enlargement and lesion extent on computed tomography are correlated with COVID-19 disease severity. Jpn. J. Radiol. 2021, 39, 451–458. [Google Scholar] [CrossRef] [PubMed]
- Eslami, V.; Abrishami, A.; Zarei, E.; Khalili, N.; Baharvand, Z.; Sanei-Taheri, M. The Association of CT-measured Cardiac Indices with Lung Involvement and Clinical Outcome in Patients with COVID-19. Acad. Radiol. 2021, 28, 8–17. [Google Scholar] [CrossRef] [PubMed]
- D’Andrea, A.; Scarafile, R.; Riegler, L.; Liccardo, B.; Crescibene, F.; Cocchia, R.; Bossone, E. Right Ventricular Function and Pulmonary Pressures as Independent Predictors of Survival in Patients with COVID-19 Pneumonia. JACC Cardiovasc. Imaging 2020, 13, 2467–2468. [Google Scholar] [CrossRef]
- Li, Y.; Li, H.; Zhu, S.; Xie, Y.; Wang, B.; He, L.; Zhang, D.; Zhang, Y.; Yuan, H.; Wu, C.; et al. Prognostic Value of Right Ventricular Longitudinal Strain in Patients With COVID-19. JACC Cardiovasc. Imaging 2020, 13, 2287–2299. [Google Scholar] [CrossRef]
- Fukui, M.; Cavalcante, J.L. Relation among Right Ventricular Dysfunction, Lung Damage, and Mortality in Patients With COVID-19. JACC Cardiovasc. Imaging 2020, 13, 1858–1859. [Google Scholar] [CrossRef]
- Saba, L.; Sverzellati, N. Is COVID Evolution Due to Occurrence of Pulmonary Vascular Thrombosis? J. Thorac. Imaging 2020, 35, 344–345. [Google Scholar] [CrossRef]
- Wichmann, D.; Sperhake, J.-P.; Lütgehetmann, M.; Steurer, S.; Edler, C.; Heinemann, A.; Heinrich, F.; Mushumba, H.; Kniep, I.; Schröder, A.S.; et al. Autopsy Findings and Venous Thromboembolism in Patients With COVID-19. Ann. Intern. Med. 2020, 173, 268–277. [Google Scholar] [CrossRef]
- Zhou, H.; Zhang, G.; Deng, X.; Jin, B.; Qiu, Q.; Yan, M.; Wang, X.; Zheng, X. Understanding the current status of patients with pulmonary hypertension during COVID-19 outbreak: A small-scale national survey from China. Pulm. Circ. 2020, 10. [Google Scholar] [CrossRef] [PubMed]
- Rouhezamin, M.R.; Haseli, S. Diagnosing Pulmonary Thromboembolism in COVID-19: A Stepwise Clinical and Imaging Approach. Acad. Radiol. 2020, 27, 896–897. [Google Scholar] [CrossRef] [PubMed]
- Matsushita, S.; Matsuoka, S.; Yamashiro, T.; Fujikawa, A.; Yagihashi, K.; Kurihara, Y.; Nakajima, Y. Pulmonary arterial enlargement in patients with acute exacerbation of interstitial pneumonia. Clin. Imaging 2014, 38, 454–457. [Google Scholar] [CrossRef] [PubMed]
- Shen, Y.; Wan, C.; Tian, P.; Wu, Y.; Li, X.; Yang, T.; An, J.; Wang, T.; Chen, L.; Wen, F. CT-Base Pulmonary Artery Measurement in the Detection of Pulmonary Hypertension. Medicine 2014, 93, e256. [Google Scholar] [CrossRef]
- Yagi, M.; Taniguchi, H.; Kondoh, Y.; Ando, M.; Kimura, T.; Kataoka, K.; Furukawa, T.; Suzuki, A.; Johkoh, T.; Hasegawa, Y. CT-determined pulmonary artery to aorta ratio as a predictor of elevated pulmonary artery pressure and survival in idiopathic pulmonary fibrosis. Respirology 2017, 22, 1393–1399. [Google Scholar] [CrossRef]
- Terzikhan, N.; Bos, D.; Lahousse, L.; Wolff, L.; Verhamme, K.M.C.; Leening, M.J.G.; Felix, J.F.; Gall, H.; Ghofrani, H.A.; Franco, O.H.; et al. Pulmonary artery to aorta ratio and risk of all-cause mortality in the general population: The Rotterdam Study. Eur. Respir. J. 2017, 49, 1602168. [Google Scholar] [CrossRef]
- Iyer, A.S.; Wells, J.M.; Vishin, S.; Bhatt, S.P.; Wille, K.M.; Dransfield, M.T. CT Scan-Measured Pulmonary Artery to Aorta Ratio and Echocardiography for Detecting Pulmonary Hypertension in Severe COPD. Chest 2014, 145, 824–832. [Google Scholar] [CrossRef]
- Remy-Jardin, M.; Ryerson, C.J.; Schiebler, M.L.; Leung, A.N.C.; Wild, J.M.; Hoeper, M.M.; Alderson, P.O.; Goodman, L.R.; Mayo, J.; Haramati, L.B.; et al. Imaging of Pulmonary Hypertension in Adults: A Position Paper from the Fleischner Society. Radiology 2021, 298, 531–549. [Google Scholar] [CrossRef] [PubMed]
- Turner, V.L.; Jubran, A.; Kim, J.B.; Maret, E.; Moneghetti, K.J.; Haddad, F.; Amsallem, M.; Codari, M.; Hinostroza, V.; Mastrodicasa, D.; et al. CTA pulmonary artery enlargement in patients with severe aortic stenosis: Prognostic impact after TAVR. J. Cardiovasc. Comput. Tomogr. 2021. [Google Scholar] [CrossRef]
- Sardanelli, F.; Cozzi, A.; Monfardini, L.; Bnà, C.; Foà, R.A.; Spinazzola, A.; Tresoldi, S.; Cariati, M.; Secchi, F.; Schiaffino, S. Association of mediastinal lymphadenopathy with COVID-19 prognosis. Lancet Infect. Dis. 2020, 20, 1230–1231. [Google Scholar] [CrossRef]
- Wells, J.M.; Washko, G.R.; Han, M.K.; Abbas, N.; Nath, H.; Mamary, A.J.; Regan, E.; Bailey, W.C.; Martinez, F.J.; Westfall, E.; et al. Pulmonary Arterial Enlargement and Acute Exacerbations of COPD. N. Engl. J. Med. 2012, 367, 913–921. [Google Scholar] [CrossRef] [PubMed]
- Tibshirani, R. Regression Shrinkage and Selection via the Lasso. J. R. Stat. Soc. Ser. B 1996, 58, 267–288. [Google Scholar] [CrossRef]
- Muthukrishnan, R.; Rohini, R. LASSO: A feature selection technique in predictive modeling for machine learning. In Proceedings of the 2016 IEEE International Conference on Advances in Computer Applications (ICACA), Coimbatore, India, 24 October 2016; pp. 18–20. [Google Scholar]
- Peduzzi, P.; Concato, J.; Feinstein, A.R.; Holford, T.R. Importance of events per independent variable in proportional hazards regression analysis II. Accuracy and precision of regression estimates. J. Clin. Epidemiol. 1995, 48, 1503–1510. [Google Scholar] [CrossRef]
- Peduzzi, P.; Concato, J.; Kemper, E.; Holford, T.R.; Feinstein, A.R. A simulation study of the number of events per variable in logistic regression analysis. J. Clin. Epidemiol. 1996, 49, 1373–1379. [Google Scholar] [CrossRef]
- Maas, A.L.; Hannun, A.Y.; Ng, A.Y. Rectifier Nonlinearities Improve Neural Network Acoustic Models. In Proceedings of the 30th International Conference on Machine Learning, Atlanta, GA, USA, 16–21 June 2013. [Google Scholar]
- He, K.; Zhang, X.; Ren, S.; Sun, J. Delving Deep into Rectifiers: Surpassing Human-Level Performance on ImageNet Classification. In Proceedings of the 2015 IEEE International Conference on Computer Vision (ICCV), Santiago, Chile, 7–13 December 2015; pp. 1026–1034. [Google Scholar]
- Kingma, D.P.; Ba, J. Adam: A Method for Stochastic Optimization. arXiv 2014, arXiv:1412.6980. [Google Scholar]
- Van Rossum, G.; Drake, F.L. Python 3 Reference Manual; CreateSpace: Scotts Valley, CA, USA, 2009. [Google Scholar]
- Pedregosa, F.; Varoquaux, G.; Gramfort, A.; Michel, V.; Thirion, B.; Grisel, O.; Blondel, M.; Prettenhofer, P.; Weiss, R.; Dubourg, V.; et al. Scikit-learn: Machine Learning in Python. J. Mach. Learn. Res. 2011, 12, 2825–2830. [Google Scholar]
- Abadi, M.; Agarwal, A.; Barham, P.; Brevdo, E.; Chen, Z.; Citro, C.; Corrado, G.S.; Davis, A.; Dean, J.; Devin, M.; et al. TensorFlow: Large-Scale Machine Learning on Heterogeneous Systems. arXiv 2016, arXiv:1603.04467. [Google Scholar]
- Cury, R.C.; Megyeri, I.; Lindsey, T.; Macedo, R.; Batlle, J.; Kim, S.; Baker, B.; Harris, R.; Clark, R.H. Natural Language Processing and Machine Learning for Detection of Respiratory Illness by Chest CT Imaging and Tracking of COVID-19 Pandemic in the US. Radiol. Cardiothorac. Imaging 2021, 3, e200596. [Google Scholar] [CrossRef] [PubMed]
- Tezza, F.; Lorenzoni, G.; Azzolina, D.; Barbar, S.; Leone, L.A.C.; Gregori, D. Predicting in-Hospital Mortality of Patients with COVID-19 Using Machine Learning Techniques. J. Pers. Med. 2021, 11, 343. [Google Scholar] [CrossRef]
- Roberts, M.; Driggs, D.; Thorpe, M.; Gilbey, J.; Yeung, M.; Ursprung, S.; Aviles-Rivero, A.I.; Etmann, C.; McCague, C.; Beer, L.; et al. Common pitfalls and recommendations for using machine learning to detect and prognosticate for COVID-19 using chest radiographs and CT scans. Nat. Mach. Intell. 2021, 3, 199–217. [Google Scholar] [CrossRef]
- Driggs, D.; Selby, I.; Roberts, M.; Gkrania-Klotsas, E.; Rudd, J.H.F.; Yang, G.; Babar, J.; Sala, E.; Schönlieb, C.-B. Machine Learning for COVID-19 Diagnosis and Prognostication: Lessons for Amplifying the Signal While Reducing the Noise. Radiol. Artif. Intell. 2021, e210011. [Google Scholar] [CrossRef]
- Signoroni, A.; Savardi, M.; Benini, S.; Adami, N.; Leonardi, R.; Gibellini, P.; Vaccher, F.; Ravanelli, M.; Borghesi, A.; Maroldi, R.; et al. BS-Net: Learning COVID-19 pneumonia severity on a large chest X-ray dataset. Med. Image Anal. 2021, 71, 102046. [Google Scholar] [CrossRef] [PubMed]
- Hu, Q.; Guan, H.; Sun, Z.; Huang, L.; Chen, C.; Ai, T.; Pan, Y.; Xia, L. Early CT features and temporal lung changes in COVID-19 pneumonia in Wuhan, China. Eur. J. Radiol. 2020, 128, 109017. [Google Scholar] [CrossRef]
- Xiong, Y.; Sun, D.; Liu, Y.; Fan, Y.; Zhao, L.; Li, X.; Zhu, W. Clinical and High-Resolution CT Features of the COVID-19 Infection. Investig. Radiol. 2020, 55, 332–339. [Google Scholar] [CrossRef] [PubMed]
- Schiaffino, S.; Albano, D.; Cozzi, A.; Messina, C.; Arioli, R.; Bnà, C.; Bruno, A.; Carbonaro, L.A.; Carriero, A.; Carriero, S.; et al. CT-derived Chest Muscle Metrics for Outcome Prediction in Patients with COVID-19. Radiology 2021. [Google Scholar] [CrossRef]
- Pediconi, F.; Rizzo, V.; Schiaffino, S.; Cozzi, A.; Della Pepa, G.; Galati, F.; Catalano, C.; Sardanelli, F. Visceral adipose tissue area predicts intensive care unit admission in COVID-19 patients. Obes. Res. Clin. Pract. 2021, 15, 89–92. [Google Scholar] [CrossRef]
- Grasselli, G.; Pesenti, A.; Cecconi, M. Critical Care Utilization for the COVID-19 Outbreak in Lombardy, Italy. JAMA 2020, 323, 1545–1546. [Google Scholar] [CrossRef]




| Center | Location | Vendor | Model | Acquired Slices | Slice Thickness (mm) | Tube Voltage (kVp) |
|---|---|---|---|---|---|---|
| Azienda Ospedaliero-Universitaria Maggiore della Carità | Novara | Philips Healthcare | Ingenuity Core | 128 | 1 | 120 |
| ASST Grande Ospedale Metropolitano Niguarda | Milano | Siemens Healthineers | Somatom Definition Edge | 128 | 1.5 | 120 |
| Fondazione Poliambulanza Istituto Ospedaliero | Brescia | General Electric Healthcare | LightSpeed RT 16 | 16 | 1.25 | 120 |
| ASST Crema—Ospedale Maggiore | Crema | Canon | Aquilion CXL | 64 | 1.5 | 135 |
| General Electric Healthcare | Revolution EVO | 64 | 1.25 | 120 | ||
| ASST Santi Paolo e Carlo | Milano | General Electric Healthcare | LightSpeed RT 16 | 16 | 1.25 | 120 |
| IRCCS Istituto Ortopedico Galeazzi | Milano | Siemens Healthineers | Somatom Definition AS 64 | 64 | 1.5 | 120 |
| Layer | Number of Hidden Units | Trainable Parameters |
|---|---|---|
| Dense_1 | Number of selected features (f) | f × (f + 1) |
| Dropout_1 | Number of selected features (f) | 0 |
| Dense_2 | N | N × (f + 1) |
| Dropout_2 | N | 0 |
| Dense_3 | N | N × (N + 1) |
| Dropout_3 | N | 0 |
| Dense_4 | M | M × (N + 1) |
| Dropout_4 | M | 0 |
| Dense_5 | M | M × (M + 1) |
| Dropout_5 | M | 0 |
| Dense_6 | 1 | M + 1 |
| Variable | Variable Type | Overall (897 Patients) | Training/Validation Set (572 Patients) | Test Set (102 Patients) | |
|---|---|---|---|---|---|
| Demographics | |||||
| Sex | Categorial | 608 M/289 F | 389 M/183 F | 66 M/36 F | |
| Age (years) | Continuous | 66.2 (55.1–76.5) | 66.9 (55.9–77.0) | 66.7 (52.7–79.2) | |
| Comorbidities | |||||
| Cardiovascular diseases | Dichotomic | 433 (48%) | 320 (56%) | 53 (52%) | |
| Diabetes | Dichotomic | 151 (17%) | 113 (20%) | 19 (19%) | |
| Oncological history | Dichotomic | 76 (8%) | 52 (9%) | 10 (10%) | |
| Chronic kidney insufficiency | Dichotomic | 52 (6%) | 45 (8%) | 3 (3%) | |
| Outcome | |||||
| Deceased patients | Dichotomic | 229 (26%) | 160 (28%) | 30 (29%) | |
| CT findings and features | |||||
| Lung parenchyma | Ground-glass opacities | Dichotomic | 681 (76%) | 504 (93%) | 90 (92%) |
| Consolidations | Dichotomic | 434 (48%) | 271 (50%) | 53 (54%) | |
| Crazy paving pattern | Dichotomic | 194 (22%) | 162 (30%) | 36 (37%) | |
| Extent of parenchymal involvement * | Discrete | 2 (1–3) | 2 (1–3) | 2 (1–3) | |
| Bilateral parenchymal involvement | Dichotomic | 631 (70%) | 502 (93%) | 86 (88%) | |
| Vascular features | PA diameter (mm) | Continuous | 28.0 (25.0–30.0) | 28.0 (25.0–30.1) | 28.0 (25.0–30.3) |
| AA diameter (mm) | Continuous | 34.0 (32.0–37.0) | 35.0 (32.0–37.0) | 34.0 (31.0–37.4) | |
| PA/AA ratio | Continuous | 0.81 (0.73–0.89) | 0.81 (0.73–0.90) | 0.81 (0.74–0.89) | |
Publisher’s Note: MDPI stays neutral with regard to jurisdictional claims in published maps and institutional affiliations. |
© 2021 by the authors. Licensee MDPI, Basel, Switzerland. This article is an open access article distributed under the terms and conditions of the Creative Commons Attribution (CC BY) license (https://creativecommons.org/licenses/by/4.0/).
Share and Cite
Schiaffino, S.; Codari, M.; Cozzi, A.; Albano, D.; Alì, M.; Arioli, R.; Avola, E.; Bnà, C.; Cariati, M.; Carriero, S.; et al. Machine Learning to Predict In-Hospital Mortality in COVID-19 Patients Using Computed Tomography-Derived Pulmonary and Vascular Features. J. Pers. Med. 2021, 11, 501. https://doi.org/10.3390/jpm11060501
Schiaffino S, Codari M, Cozzi A, Albano D, Alì M, Arioli R, Avola E, Bnà C, Cariati M, Carriero S, et al. Machine Learning to Predict In-Hospital Mortality in COVID-19 Patients Using Computed Tomography-Derived Pulmonary and Vascular Features. Journal of Personalized Medicine. 2021; 11(6):501. https://doi.org/10.3390/jpm11060501
Chicago/Turabian StyleSchiaffino, Simone, Marina Codari, Andrea Cozzi, Domenico Albano, Marco Alì, Roberto Arioli, Emanuele Avola, Claudio Bnà, Maurizio Cariati, Serena Carriero, and et al. 2021. "Machine Learning to Predict In-Hospital Mortality in COVID-19 Patients Using Computed Tomography-Derived Pulmonary and Vascular Features" Journal of Personalized Medicine 11, no. 6: 501. https://doi.org/10.3390/jpm11060501
APA StyleSchiaffino, S., Codari, M., Cozzi, A., Albano, D., Alì, M., Arioli, R., Avola, E., Bnà, C., Cariati, M., Carriero, S., Cressoni, M., Danna, P. S. C., Della Pepa, G., Di Leo, G., Dolci, F., Falaschi, Z., Flor, N., Foà, R. A., Gitto, S., ... Sardanelli, F. (2021). Machine Learning to Predict In-Hospital Mortality in COVID-19 Patients Using Computed Tomography-Derived Pulmonary and Vascular Features. Journal of Personalized Medicine, 11(6), 501. https://doi.org/10.3390/jpm11060501

