Intratumoral Heterogeneity in Differentiated Thyroid Tumors: An Intriguing Reappraisal in the Era of Personalized Medicine
Abstract
1. Introduction
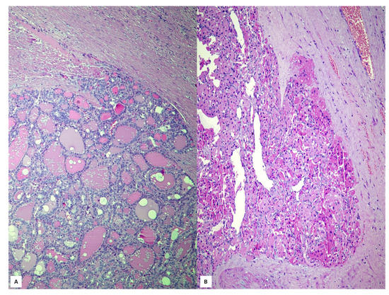
2. Phenotypic and Molecular Heterogeneity in FA and Follicular-Patterned Borderline Lesions
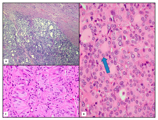
3. Phenotypic and Molecular Heterogeneity in FTC
4. Phenotypic and Molecular Heterogeneity in PTC and Its Variants
5. Conclusions
Author Contributions
Funding
Institutional Review Board Statement
Informed Consent Statement
Data Availability Statement
Acknowledgments
Conflicts of Interest
Abbreviations
| AKT1 | v-akt murine thymoma viral oncogene homolog 1 |
| DTC | differentiated thyroid carcinoma |
| DTT | differentiated thyroid tumor |
| EGFR | epidermal growth factor receptor |
| EIF1AX | Factor 1A X-Linked |
| EZH1 | zeste 1 polycomb repressive complex 2 subunit |
| FA | follicular adenoma |
| FTC | follicular thyroid carcinoma |
| GNAS | guanine nucleotide binding protein, alpha stimulating |
| HTT | hyalinizing trabecular tumor |
| ITH | intratumoral heterogeneity |
| MADCAM-1 | Mucosal Vascular Address in Cell Adhesion Molecule 1 |
| NF1 | Neurofibromatosis type 1 |
| NGS | next-generation sequencing |
| NIFTP | noninvasive follicular thyroid neoplasm with papillary-like nuclear features |
| NOTCH1 | Notch homolog-1 |
| PAX-8 | paired box gene 8 |
| PDGFRA | platelet-derived growth factor receptor α polypeptide |
| PI3K | Phosphoinositide 3-kinases |
| PPARγ | peroxisome proliferator-activated receptor-γ |
| PTC | papillary thyroid carcinoma |
| PTEN | Phosphatase and tensin homolog |
| RET | REarranged during Transfection |
| H,K,NRA | isoforms of RAS gene family |
| TERT | telomerase reverse transcriptase |
| TSHR | TSH-receptor |
| UMP | uncertain malignant potential tumor |
| WDT-UMP | well-differentiated tumors with uncertain malignant potential |
References
- Bedard, P.L.; Hansen, A.R.; Ratain, M.J.; Siu, L.L. Tumour heterogeneity in the clinic. Nat. Cell Biol. 2013, 501, 355–364. [Google Scholar] [CrossRef]
- Fugazzola, L.; Muzza, M.; Pogliaghi, G.; Vitale, M. Intratumoral Genetic Heterogeneity in Papillary Thyroid Cancer: Occurrence and Clinical Significance. Cancers 2020, 12, 383. [Google Scholar] [CrossRef]
- Gandolfi, G.; Sancisi, V.; Torricelli, F.; Ragazzi, M.; Frasoldati, A.; Piana, S.; Ciarrocchi, A. Allele Percentage of the BRAF V600E Mutation in Papillary Thyroid Carcinomas and Corresponding Lymph Node Metastases: No Evidence for a Role in Tumor Progression. J. Clin. Endocrinol. Metab. 2013, 98, 934–942. [Google Scholar] [CrossRef]
- Schwaederle, M.; Kurzrock, R. Actionability and precision oncology. Oncoscience 2015, 2, 779–780. [Google Scholar] [CrossRef] [PubMed]
- Uzilov, A.V.; Ding, W.; Fink, M.Y.; Antipin, Y.; Brohl, A.S.; Davis, C.; Lau, C.Y.; Pandya, C.; Shah, H.; Kasai, Y.; et al. Development and clinical application of an integrative genomic approach to personalized cancer therapy. Genome Med. 2016, 8, 62. [Google Scholar] [CrossRef] [PubMed]
- Stanta, G.; Bonin, S. Overview on Clinical Relevance of Intra-Tumor Heterogeneity. Front. Med. 2018, 5, 85. [Google Scholar] [CrossRef]
- Stanta, G. Tissue Heterogeneity as a Pre-analytical Source of Variability. Recent Results Cancer Res. 2015, 199, 35–43. [Google Scholar] [PubMed]
- Stanta, G.; Jahn, S.W.; Bonin, S.; Hoefler, G. Tumour heterogeneity: Principles and practical consequences. Virchows Arch. Pathol. Anatom. Physiol. Klin. Med. 2016, 469, 371–384. [Google Scholar] [CrossRef] [PubMed]
- Masoodi, T.; Siraj, A.K.; Siraj, S.; Azam, S.; Qadri, Z.; Albalawy, W.N.; Parvathareddy, S.K.; Al-Sobhi, S.S.; Al-Dayel, F.; Alkuraya, F.S.; et al. Whole-Exome Sequencing of Matched Primary and Metastatic PapillaryThyroid Cancer. Thyroid 2020, 30, 42–56. [Google Scholar] [CrossRef]
- Nabi, K.; Le, A. The Intratumoral Heterogeneity of Cancer Metabolism. Adv. Exp. Med. Biol. 2018, 1063, 131–145. [Google Scholar]
- Tong, Y.; Gao, W.-Q.; Liu, Y. Metabolic heterogeneity in cancer: An overview and therapeutic implications. Biochim. Biophys. Acta Bioenerg. 2020, 1874, 188421. [Google Scholar] [CrossRef]
- Marusyk, A.; Janiszewska, M.; Polyak, K. Intratumor Heterogeneity: The Rosetta Stone of Therapy Resistance. Cancer Cell 2020, 37, 471–484. [Google Scholar] [CrossRef]
- Hausser, J.; Alon, U. Tumour heterogeneity and the evolutionary trade-offs of cancer. Nat. Rev. Cancer 2020, 20, 247–257. [Google Scholar] [CrossRef]
- González-Silva, L.; Quevedo, L.; Varela, I. Tumor Functional Heterogeneity Unraveled by scRNA-seq Technologies. Trends Cancer 2020, 6, 13–19. [Google Scholar] [CrossRef]
- Marusyk, A.; Almendro, V.; Polyak, K. Intra-tumour heterogeneity: A looking glass for cancer? Nat. Rev. Cancer 2012, 12, 323–334. [Google Scholar] [CrossRef] [PubMed]
- Xu, C.; Cao, H.; Shi, C.; Feng, J. The Role Of Circulating Tumor DNA In Therapeutic Resistance. Oncotargets Ther. 2019, 12, 9459–9471. [Google Scholar] [CrossRef] [PubMed]
- Vessoni, A.T.; Filippi-Chiela, E.C.; Lenz, G.; Batista, L.F.Z. Tumor propagating cells: Drivers of tumor plasticity, heterogeneity, and recurrence. Oncogene 2020, 39, 2055–2068. [Google Scholar] [CrossRef] [PubMed]
- Guo, M.; Peng, Y.; Gao, A.; Du, C.; Herman, J.G. Epigenetic heterogeneity in cancer. Biomark. Res. 2019, 7, 1–19. [Google Scholar] [CrossRef]
- Palacios, J.; Matías-Guiu, X.; Rodríguez-Peralto, J.L.; de Álava, E.; López, J.I. Clinical challenges and implications of intratumor heterogeneity. Rev. Esp. Patol. 2019, 52, 234–241. [Google Scholar] [PubMed]
- Haugen, B.R.; Alexander, E.K.; Bible, K.C.; Doherty, G.M.; Mandel, S.J.; Nikiforov, Y.E.; Pacini, F.; Randolph, G.W.; Sawka, A.M.; Schlumberger, M.; et al. 2015 American Thyroid Association Management Guidelines for Adult Patients with Thyroid Nodules and Differentiated Thyroid Cancer: The American Thyroid Association Guidelines Task Force on Thyroid Nodules and Differentiated Thyroid Cancer. Thyroid 2016, 26, 1–133. [Google Scholar] [CrossRef] [PubMed]
- Viola, D.; Valerio, L.; Molinaro, E.; Agate, L.; Bottici, V.; Biagini, A.; Lorusso, L.; Cappagli, V.; Pieruzzi, L.; Giani, C.; et al. Treatment of advanced thyroid cancer with targeted therapies: Ten years of experience. Endocr. Relat. Cancer 2016, 23, R185–R205. [Google Scholar] [CrossRef] [PubMed]
- Ieni, A.; Barresi, V.; Cardia, R.; Licata, L.; Di Bari, F.; Benvenga, S.; Tuccari, G. The micropapillary/hobnail variant of papillary thyroid carcinoma: A review of series described in the literature compared to a series from one southern Italy pathology institution. Rev. Endocr. Metab. Disord. 2016, 17, 521–527. [Google Scholar] [CrossRef] [PubMed]
- Vita, R.; Ieni, A.; Tuccari, G.; Benvenga, S. The increasing prevalence of chronic lymphocytic thyroiditis in papillary microcarcinoma. Rev. Endocr. Metab. Disord. 2018, 19, 301–309. [Google Scholar] [CrossRef] [PubMed]
- Mattiuzzi, C.; Lippi, G. Current Cancer Epidemiology. J. Epidemiol. Glob. Health 2019, 9, 217–222. [Google Scholar] [CrossRef] [PubMed]
- Jin, S.; Borkhuu, O.; Bao, W.; Yang, Y.-T. Signaling Pathways in Thyroid Cancer and Their Therapeutic Implications. J. Clin. Med. Res. 2016, 8, 284–296. [Google Scholar] [CrossRef] [PubMed]
- Fagin, J.A.; Wells, S.A., Jr. Biologic and Clinical Perspectives on Thyroid Cancer. N. Engl. J. Med. 2016, 375, 1054–1067. [Google Scholar] [CrossRef] [PubMed]
- Ieni, A.; Vita, R.; Magliolo, E.; Santarpia, M.; Di Bari, F.; Benvenga, S.; Tuccari, G. One-third of an Archivial Series of Papillary Thyroid Cancer (Years 2007–2015) Has Coexistent Chronic Lymphocytic Thyroiditis, Which Is Associated with a More Favorable Tumor-Node-Metastasis Staging. Front. Endocrinol. 2017, 8, 337. [Google Scholar] [CrossRef] [PubMed]
- Haroon, A.; Rasheed, M.R.; Xu, B. Molecular Alterations in Thyroid Carcinoma. Surg. Pathol. Clin. 2019, 12, 921–930. [Google Scholar] [CrossRef]
- Tirrò, E.; Martorana, F.; Romano, C.; Vitale, S.R.; Motta, G.; Di Gregorio, S.; Massimino, M.; Pennisi, M.S.; Stella, S.; Puma, A.; et al. Molecular Alterations in Thyroid Cancer: From Bench to Clinical Practice. Genes 2019, 10, 709. [Google Scholar] [CrossRef]
- Kakudo, K. How to handle borderline/precursor thyroid tumors in management of patients with thyroid nodules. Gland. Surg. 2018, 7, S8–S18. [Google Scholar] [CrossRef]
- Lloyd, R.V.; McNicoll, A. Annual review issue: An overview of 50 years of progress in endocrine pathology. Histopathology 2018, 72, 4–5. [Google Scholar] [CrossRef] [PubMed]
- Suster, S. Controversies Regarding the Interpretation of Follicular Thyroid Nodules. Arch. Pathol. Lab. Med. 2019, 143, 1472–1476. [Google Scholar] [CrossRef] [PubMed]
- Cameselle-Teijeiro, J.M.; Eloy, C.; Sobrinho-Simões, M. Pitfalls in Challenging Thyroid Tumors: Emphasis on Differential Diagnosis and Ancillary Biomarkers. Endocr. Pathol. 2020, 31, 197–217. [Google Scholar] [CrossRef] [PubMed]
- Baloch, Z.; Livolsi, V.A. Fifty years of thyroid pathology: Concepts and developments. Hum. Pathol. 2020, 95, 46–54. [Google Scholar] [CrossRef] [PubMed]
- Borda, A.; Zahan, A.-E.; Piciu, D.; Barbuș, E.; Berger, N.; Nechifor-Boilă, A. A 15 year institutional experience of well-differentiated follicular cell-derived thyroid carcinomas; impact of the new 2017 TNM and WHO Classifications of Tumors of Endocrine Organs on the epidemiological trends and pathological characteristics. Endocrinology 2020, 67, 630–642. [Google Scholar] [CrossRef] [PubMed]
- Zhu, Y.; Li, Y.; Jung, C.K.; Song, D.E.; Hang, J.-F.; Liu, Z.; Jain, D.; Lai, C.-R.; Hirokawa, M.; Kakudo, K.; et al. Histopathologic Assessment of Capsular Invasion in Follicular Thyroid Neoplasms-an Observer Variation Study. Endoc. Pathol. 2020, 31, 132. [Google Scholar] [CrossRef]
- Cracolici, V.; Ritterhouse, L.L.; Segal, J.P.; Puranik, R.; Wanjari, P.; Kadri, S.; Parilla, M.; Cipriani, N.A. Follicular Thyroid Neoplasms: Comparison of Clinicopathologic and Molecular Features of Atypical Adenomas and Follicular Thyroid Carcinomas. Am. J. Surg. Pathol. 2020, 44, 881–892. [Google Scholar] [CrossRef]
- Chu, Y.-H.; Sadow, P.M. Noninvasive follicular thyroid neoplasm with papillary-like nuclear features (NIFTP): Diagnostic updates and molecular advances. Semin. Diagn. Pathol. 2020, 37, 213–218. [Google Scholar] [CrossRef]
- Livolsi, V.A.; Baloch, Z. Noninvasive Follicular Tumor With Papillary-like Nuclear Features: A Practice Changer in Thyroid Pathology. Arch. Pathol. Lab. Med. 2020, 30, 1–5. [Google Scholar] [CrossRef]
- Katsakhyan, L.; Song, S.; Lepe, M.; Shojaei, H.; Montone, K.T.; Livolsi, V.A.; Baloch, Z.W. Practice Paradigms Before and After Introduction of the Diagnosis-Noninvasive Follicular Thyroid Neoplasm with Papillary-Like Nuclear Features (NIFTP): An Institutional Experience. Endocr. Pathol. 2020, 31, 174–181. [Google Scholar] [CrossRef] [PubMed]
- Xu, B.; Ghossein, R.A. Noninvasive Follicular Thyroid Neoplasm with Papillary-Like Nuclear Features (NIFTP): An Update. Head Neck Pathol. 2020, 14, 303–310. [Google Scholar] [CrossRef]
- Nikiforov, Y.E.; Seethala, R.R.; Tallini, G.; Baloch, Z.W.; Basolo, F. Nomenclature revision for encapsulated follicular variant of papillary thyroid carcinoma: A paradigm shift to reduce overtreatment of indolent tumors. JAMA Oncol. 2016, 2, 1023–1029. [Google Scholar] [CrossRef]
- Haugen, B.R.; Sawka, A.M.; Alexander, E.K.; Bible, K.C.; Caturegli, P.; Doherty, G.M.; Mandel, S.J.; Morris, J.C.; Nassar, A.; Pacini, F.; et al. American Thyroid Association Guidelines on the Management of Thyroid Nodules and Differentiated Thyroid Cancer Task Force Review and Recommendation on the Proposed Renaming of Encapsulated Follicular Variant Papillary Thyroid Carcinoma Without Invasion to Noninvasive Follicular Thyroid Neoplasm with Papillary-Like Nuclear Features. Thyroid 2017, 27, 481–483. [Google Scholar]
- Rossi, E.D.; Papotti, M.; Faquin, W.; LaRocca, L.M.; Pantanowitz, L. The Diagnosis of Hyalinizing Trabecular Tumor: A Difficult and Controversial Thyroid Entity. Head Neck Pathol. 2020, 14, 778–784. [Google Scholar] [CrossRef] [PubMed]
- Jones, D.J.; Kieliszak, C.R.; Patel, S.S.; Selinsky, C.R. Hyalinizing trabecular tumor of the thyroid gland and its significant diagnostic issue. Thyroid Res. 2017, 10, 7. [Google Scholar] [CrossRef]
- Saglietti, C.; Piana, S.; La Rosa, S.; Bongiovanni, M. Hyalinizing trabecular tumour of the thyroid: Fine-needle aspiration cytological diagnosis and correlation with histology. J. Clin. Pathol. 2017, 70, 641–647. [Google Scholar] [CrossRef] [PubMed]
- Jung, C.K.; Kim, Y.; Jeon, S.; Jo, K.; Lee, S.; Bae, J.S. Clinical utility of EZH1 mutations in the diagnosis of follicular-patterned thyroid tumors. Hum. Pathol. 2018, 81, 9–17. [Google Scholar] [CrossRef] [PubMed]
- Algeciras-Schimnich, A.; Milosevic, D.; McIver, B.; Flynn, H.; Reddi, H.V.; Eberhardt, N.L.; Grebe, S.K. Evaluation of the PAX8/PPARG Translocation in Follicular Thyroid Cancer with a 4-Color Reverse-Transcription PCR Assay and Automated High-Resolution Fragment Analysis. Clin. Chem. 2010, 56, 391–398. [Google Scholar] [CrossRef]
- Basili, T.; Dopeso, H.; Kim, S.H.; Ferrando, L.; Pareja, F.; Paula, A.D.C.; Da Silva, E.M.; Stylianou, A.; Maroldi, A.; Marchiò, C.; et al. Oncogenic properties and signaling basis of the PAX8-GLIS3 fusion gene. Int. J. Cancer 2020, 147, 2253–2264. [Google Scholar] [CrossRef]
- Acquaviva, G.; Visani, M.; Repaci, A.; Rhoden, K.J.; De Biase, D.; Pession, A.; Giovanni, T. Molecular pathology of thyroid tumours of follicular cells: A review of genetic alterations and their clinicopathological relevance. Histopathology 2017, 72, 6–31. [Google Scholar] [CrossRef]
- Duan, H.; Liu, X.; Ren, X.; Zhang, H.; Wu, H.; Liang, Z. Mutation profiles of follicular thyroid tumors by targeted sequencing. Diagn. Pathol. 2019, 14, 1–10. [Google Scholar] [CrossRef]
- Boaventura, P.; Batista, R.; Pestana, A.; Reis, M.; Mendes, A.; Eloy, C.; Sobrinho-Simões, M.; Soares, P. TERT promoter mutations: A genetic signature of benign and malignant thyroid tumours occurring in the context of tinea capitis irradiation. Eur. J. Endocrinol. 2017, 176, 49–55. [Google Scholar] [CrossRef]
- Calebiro, D.; Grassi, E.S.; Eszlinger, M.; Ronchi, C.L.; Godbole, A.; Bathon, K.; Guizzardi, F.; De Filippis, T.; Krohn, K.; Jaeschke, H. Recurrent EZH1 mutations are a second hit in autonomous thyroid adenomas. J. Clin. Investig. 2016, 126, 3383–3388. [Google Scholar] [CrossRef]
- Nikiforov, Y.E.; Nikiforova, M.N. Molecular genetics and diagnosis of thyroid cancer. Nat. Rev. Endocrinol. 2011, 7, 569–580. [Google Scholar] [CrossRef]
- Lorusso, L.; Cappagli, V.; Valerio, L.; Giani, C.; Viola, D.; Puleo, L.; Gambale, C.; Minaldi, E.; Campopiano, M.C.; Matrone, A.; et al. Thyroid Cancers: From Surgery to Current and Future Systemic Therapies through Their Molecular Identities. Int. J. Mol. Sci. 2021, 22, 3117. [Google Scholar] [CrossRef]
- Führer, D.; Musholt, T.; Schmid, K.W. Molecular Pathogenesis of Thyroid Nodules: Relevance for Clinical Care. Laryngorhinootologie 2017, 96, 590–596. [Google Scholar] [PubMed]
- Nikiforova, M.N.; Nikitski, A.V.; Panebianco, F.; Kaya, C.; Yip, L.; Williams, M.D.; Chiosea, S.I.; Seethala, R.R.; Roy, S.; Condello, V.; et al. GLIS Rearrangement is a Genomic Hallmark of Hyalinizing Trabecular Tumor of the Thyroid Gland. Thyroid 2019, 29, 161–173. [Google Scholar] [CrossRef] [PubMed]
- Sobrinho-Simões, M.; Preto, A.; Rocha, A.S.; Castro, P.; Máximo, V.; Fonseca, E.; Soares, P. Molecular pathology of well-differentiated thyroid carcinomas. Virchows Arch. 2005, 447, 787–793. [Google Scholar] [CrossRef]
- Asa, S.L. The Current Histologic Classification of Thyroid Cancer. Endocrinol. Metab. Clin. N. Am. 2019, 48, 1–22. [Google Scholar] [CrossRef]
- Xu, B.; Ghossein, R. Evolution of the histologic classification of thyroid neoplasms and its impact on clinical management. Eur. J. Surg. Oncol. 2018, 44, 338–347. [Google Scholar] [CrossRef] [PubMed]
- Xu, B.; A Ghossein, R. Crucial parameters in thyroid carcinoma reporting—Challenges, controversies and clinical implications. Histopathology 2018, 72, 32–39. [Google Scholar] [CrossRef]
- Asa, S.L. The evolution of differentiated thyroid cancer. Pathology 2017, 49, 229–237. [Google Scholar] [CrossRef]
- Kakudo, K.; Bai, Y.; Liu, Z.; Li, Y.; Ito, Y.; Ozaki, T. Classification of thyroid follicular cell tumors: With special reference to borderline lesions [Review]. Endocr. J. 2012, 59, 1–12. [Google Scholar] [CrossRef]
- Angell, T.E. RAS-positive thyroid nodules. Curr. Opin. Endocrinol. Diabetes Obes. 2017, 24, 372–376. [Google Scholar] [CrossRef]
- Nabhan, F.; Porter, K.; Lupo, M.A.; Randolph, G.W.; Patel, K.N.; Kloos, R.T. Heterogeneity in Positive Predictive Value of RAS Mutations in Cytologically Indeterminate Thyroid Nodules. Thyroid 2018, 28, 729–738. [Google Scholar] [CrossRef]
- Yoo, S.K.; Lee, S.; Kim, S.J.; Jee, H.G.; Kim, B.A.; Cho, H.; Song, Y.S.; Cho, S.W.; Won, J.K.; Shin, J.Y.; et al. Comprehensive Analysis of the Transcriptional and Mutational Landscape of Follicular and Papillary Thyroid Cancers. PLoS Genet. 2016, 12, e1006239. [Google Scholar] [CrossRef] [PubMed]
- Chmielik, E.; Rusinek, D.; Oczko-Wojciechowska, M.; Jarzab, M.; Krajewska, J.; Czarniecka, A.; Jarzab, B. Heterogeneity of Thyroid Cancer. Pathobiology 2018, 85, 117–129. [Google Scholar] [CrossRef] [PubMed]
- The AACR Project GENIE Consortium. AACR Project GENIE: Powering precision medicine through an international consortium. Cancer Discov. 2017, 7, 818–831. [Google Scholar] [CrossRef] [PubMed]
- Xu, B.; Ghossein, R. Poorly differentiated thyroid carcinoma. Semin. Diagn. Pathol. 2020, 37, 243–247. [Google Scholar] [CrossRef] [PubMed]
- Song, Y.S.; Park, Y.J. Genomic Characterization of Differentiated Thyroid Carcinoma. Endocrinol. Metab. 2019, 34, 1–10. [Google Scholar] [CrossRef] [PubMed]
- Yoo, S.-K.; Song, Y.S.; Park, Y.J.; Seo, J.-S. Recent Improvements in Genomic and Transcriptomic Understanding of Anaplastic and Poorly Differentiated Thyroid Cancers. Endocrinol. Metab. 2020, 35, 44–54. [Google Scholar] [CrossRef]
- Volante, M.; Rapa, I.; Gandhi, M.; Bussolati, G.; Giachino, D.; Papotti, M.; Nikiforov, Y.E. RAS Mutations Are the Predominant Molecular Alteration in Poorly Differentiated Thyroid Carcinomas and Bear Prognostic Impact. J. Clin. Endocrinol. Metab. 2009, 94, 4735–4741. [Google Scholar] [CrossRef] [PubMed]
- Jalaly, J.B.; Baloch, Z.W. Hürthle-cell neoplasms of the thyroid: An algorithmic approach to pathologic diagnosis in light of molecular advances. Semin. Diagn. Pathol. 2020, 37, 234–242. [Google Scholar] [CrossRef] [PubMed]
- Sugino, K.; Kameyama, K.; Ito, K.; Nagahama, M.; Kitagawa, W.; Shibuya, H.; Ohkuwa, K.; Uruno, T.; Akaishi, J.; Suzuki, A.; et al. Does Hürthle Cell Carcinoma of the Thyroid Have a Poorer Prognosis than Ordinary Follicular Thyroid Carcinoma? Ann. Surg. Oncol. 2013, 20, 2944–2950. [Google Scholar] [CrossRef]
- Kim, S.K.; Yun, G.Y.; Kim, K.H.; Park, S.K.; Choi, H.Y.; Ha, S.K.; Park, H.C. Severe Hyponatremia Following Radioactive Iodine Therapy in Patients with Differentiated Thyroid Cancer. Thyroid 2014, 24, 773–777. [Google Scholar] [CrossRef]
- Zirilli, G.; Valenzise, M.; Dionigi, G.; Tuccari, G.; Romeo, C.; Campennì, A.; Corrias, A.; Tuli, G.; Ieni, A.; Pajno, G.B.; et al. Hurthle cell carcinoma in childhood: A retrospective analysis of five cases and review of pediatric literature. Pediatr Blood Cancer. 2020, 67, e28300. [Google Scholar] [CrossRef]
- Ganly, I.; Makarov, V.; Deraje, S.; Dong, Y.; Reznik, E.; Seshan, V.; Nanjangud, G.; Eng, S.; Bose, P.; Kuo, F.; et al. Integrated Genomic Analysis of Hürthle Cell Cancer Reveals Oncogenic Drivers, Recurrent Mitochondrial Mutations, and Unique Chromosomal Landscapes. Cancer Cell 2018, 34, 256–270. [Google Scholar] [CrossRef]
- Gopal, R.K.; Kübler, K.; Calvo, S.E.; Polak, P.; Livitz, D.; Rosebrock, D.; Sadow, P.M.; Campbell, B.; Donovan, S.E.; Amin, S.; et al. Widespread Chromosomal Losses and Mitochondrial DNA Alterations as Genetic Drivers in Hürthle Cell Carcinoma. Cancer Cell 2018, 34, 242–255. [Google Scholar] [CrossRef] [PubMed]
- Kumari, S.; Adewale, R.; Klubo-Gwiezdzinska, J. The Molecular Landscape of Hürthle Cell Thyroid Cancer Is Associated with Altered Mitochondrial Function—A Comprehensive Review. Cells 2020, 9, 1570. [Google Scholar] [CrossRef]
- Olson, E.; Wintheiser, G.; Wolfe, K.M.; Droessler, J.; Silberstein, P.T. Epidemiology of Thyroid Cancer: A Review of the National Cancer Database, 2000–2013. Cureus 2019, 11, e4127. [Google Scholar] [CrossRef] [PubMed]
- Hernandez-Prera, J.C. The evolving concept of aggressive histological variants of differentiated thyroid cancer. Semin. Diagn. Pathol. 2020, 37, 228–233. [Google Scholar] [CrossRef] [PubMed]
- Póvoa, A.A.; Teixeira, E.; Bella-Cueto, M.R.; Melo, M.; Oliveira, M.J.; Sobrinho-Simões, M.; Maciel, J.; Soares, P. Clinicopathological Features as Prognostic Predictors of Poor Outcome in Papillary Thyroid Carcinoma. Cancers 2020, 12, 3186. [Google Scholar] [CrossRef] [PubMed]
- Nath, M.C.; Erickson, L.A. Aggressive Variants of Papillary Thyroid Carcinoma: Hobnail, Tall Cell, Columnar, and Solid. Adv. Anat. Pathol. 2018, 25, 172–179. [Google Scholar] [CrossRef]
- Hu, J.; Yuan, I.J.; Mirshahidi, S.; Simental, A.; Lee, S.C.; Yuan, X. Thyroid Carcinoma: Phenotypic Features, Underlying Biology and Potential Relevance for Targeting Therapy. Int. J. Mol. Sci. 2021, 22, 1950. [Google Scholar]
- Nagayama, Y.; Mishima, H. Heterogenous nature of gene expression patterns in BRAF-like papillarythyroid carcinomas with BRAF(V600E). Endocrine 2019, 66, 607–613. [Google Scholar] [CrossRef]
- Colombo, C.; Muzza, M.; Proverbio, M.C.; Tosi, D.; Soranna, D.; Pesenti, C.; Rossi, S.; Cirello, V.; De Leo, S.; Fusco, N.; et al. Impact of Mutation Density and Heterogeneity on Papillary Thyroid Cancer Clinical Features and Remission Probability. Thyroid 2019, 29, 237–251. [Google Scholar] [CrossRef] [PubMed]
- Ieni, A.; Vita, R.; Cardia, R.; Giuffrè, G.; Benvenga, S.; Tuccari, G. BRAF Status in Papillary Microcarcinomas of the Thyroid Gland: A Brief Review. Curr. Mol. Med. 2019, 19, 665–672. [Google Scholar] [CrossRef]
- Rangel-Pozzo, A.; Sisdelli, L.; Cordioli, M.I.V.; Vaisman, F.; Caria, P.; Mai, S.; Cerutti, J.M. Genetic Landscape of Papillary Thyroid Carcinoma and Nuclear Architecture: An Overview Comparing Pediatric and Adult Populations. Cancers 2020, 12, 3146. [Google Scholar] [CrossRef]
- Li, D.-D.; Zhang, Y.-F.; Xu, H.-X.; Zhang, X.-P. The role of BRAF in the pathogenesis of thyroid carcinoma. Front. Biosci. 2015, 20, 1068–1078. [Google Scholar]
- Zhao, L.; Wang, L.; Jia, X.; Hu, X.; Pang, P.; Zhao, S.; Wang, Y.; Wang, J.; Zhang, Y.; Lyu, Z. The Coexistence of Genetic Mutations in Thyroid Carcinoma Predicts Histopathological Factors Associated With a Poor Prognosis: A Systematic Review and Network Meta-Analysis. Front. Oncol. 2020, 10, 10–540238. [Google Scholar] [CrossRef]
- Kim, K.J.; Kim, S.G.; Tan, J.; Shen, X.; Viola, D.; Elisei, R.; Puxeddu, E.; Fugazzola, L.; Colombo, C.; Jarzab, B.; et al. BRAF V600E status may facilitate decision-making on active surveillance of low-risk papillary thyroid microcarcinoma. Eur. J. Cancer 2020, 124, 161–169. [Google Scholar] [CrossRef]
- Wong, K.S.; Higgins, S.E.; Marqusee, E.; Nehs, M.A.; Angell, T.; Barletta, J.A. Tall Cell Variant of Papillary Thyroid Carcinoma: Impact of Change in WHO Definition and Molecular Analysis. Endocr. Pathol. 2018, 30, 43–48. [Google Scholar] [CrossRef]
- Vuong, H.G.; Long, N.P.; Anh, N.H.; Nghi, T.D.; Hieu, M.V.; Hung, L.P.; Nakazawa, T.; Katoh, R.; Kondo, T. Papillary thyroid carcinoma with tall cell features is as aggressive as tall cellvariant: A meta-analysis. Endocr. Connect. 2018, 7, R286–R293. [Google Scholar] [CrossRef]
- Donaldson, L.B.; Yan, F.; Morgan, P.F.; Kaczmar, J.M.; Fernandes, J.K.; Nguyen, S.A.; Jester, R.L.; Day, T.A. Hobnail variant of papillary thyroid carcinoma: A systematic review and meta-analysis. Endocrine 2020, 1–13. [Google Scholar] [CrossRef]
- Watutantrige-Fernando, S.; Vianello, F.; Barollo, S.; Bertazza, L.; Galuppini, F.; Cavedon, E.; Censi, S.; Benna, C.; Ide, E.C.; Parisi, A.; et al. The Hobnail Variant of Papillary Thyroid Carcinoma: Clinical/Molecular Characteristics of a Large Monocentric Series and Comparison with Conventional Histotypes. Thyroid 2018, 28, 96–103. [Google Scholar] [CrossRef]
- Ambrosi, F.; Righi, A.; Ricci, C.; Erickson, L.A.; Lloyd, R.V.; Asioli, S. Hobnail Variant of Papillary Thyroid Carcinoma: A Literature Review. Endocr. Pathol. 2017, 28, 293–301. [Google Scholar] [CrossRef] [PubMed]
- Walts, A.E.; Pao, A.; Sacks, W.; Bose, S. BRAF genetic heterogeneity in papillary thyroid carcinoma and its metastasis. Hum. Pathol. 2014, 45, 935–941. [Google Scholar] [CrossRef] [PubMed]
- Le Pennec, S.; Konopka, T.; Gacquer, D.; Fimereli, D.; Tarabichi, M.; Tomás, G.; Savagner, F.; Decaussin-Petrucci, M.; Trésallet, C.; Andry, G.; et al. Intratumor heterogeneity and clonal evolution in an aggressive papillary thyroid cancer and matched metastases. Endocr. Relat. Cancer 2015, 22, 205–216. [Google Scholar] [CrossRef]
- Gawin, M.; Kurczyk, A.; Stobiecka, E.; Frątczak, K.; Polańska, J.; Pietrowska, M.; Widłak, P. Molecular Heterogeneity of Papillary Thyroid Cancer: Comparison of Primary Tumors and Synchronous Metastases in Regional Lymph Nodes by Mass Spectrometry Imaging. Endocr. Pathol. 2019, 30, 250–261. [Google Scholar] [CrossRef]
- Oler, G.; Ebina, K.N.; Michaluart, P.; Kimura, E.T.; Cerutti, J. Investigation of BRAF mutation in a series of papillary thyroid carcinoma and matched-lymph node metastasis reveals a new mutation in metastasis. Clin. Endocrinol. 2005, 62, 509–511. [Google Scholar] [CrossRef] [PubMed]
- Vasko, V.; Hu, S.; Wu, G.; Xing, J.C.; Larin, A.; Savchenko, V.; Trink, B.; Xing, M.; Larin, O. High Prevalence and Possible de Novo Formation of BRAF Mutation in Metastasized Papillary Thyroid Cancer in Lymph Nodes. J. Clin. Endocrinol. Metab. 2005, 90, 5265–5269. [Google Scholar] [CrossRef]
- Chen, P.; Pan, L.; Huang, W.; Feng, H.; Ouyang, W.; Wu, J.; Wang, J.; Deng, Y.; Luo, J.; Chen, Y. BRAF V600E and lymph node metastases in papillary thyroid cancer. Endocr. Connect. 2020, 9, 999–1008. [Google Scholar] [CrossRef] [PubMed]
- Guerra, A.; Fugazzola, L.; Marotta, V.; Cirillo, M.; Rossi, S.; Cirello, V.; Forno, I.; Moccia, T.; Budillon, A.; Vitale, M. A High Percentage of BRAFV600E Alleles in Papillary Thyroid Carcinoma Predicts a Poorer Outcome. J. Clin. Endocrinol. Metab. 2012, 97, 2333–2340. [Google Scholar] [CrossRef]
- Guerra, A.; Sapio, M.R.; Marotta, V.; Campanile, E.; Rossi, S.; Forno, I.; Fugazzola, L.; Budillon, A.; Moccia, T.; Fenzi, G.; et al. The primary occurrence of BRAF(V600E) is a rare clonal event in papillary thyroid carcinoma. J. Clin. Endocrinol. Metab. 2012, 97, 517–524. [Google Scholar] [CrossRef]
- Khan, M.S.; Qadri, Q.; Makhdoomi, M.J.; A Wani, M.; A Malik, A.; Niyaz, M.; Masoodi, S.R.; I Andrabi, K.; Ahmad, R.; Mudassar, S. RET/PTC Gene Rearrangements in Thyroid Carcinogenesis: Assessment and Clinico-Pathological Correlations. Pathol. Oncol. Res. 2020, 26, 507–513. [Google Scholar] [CrossRef] [PubMed]
- Staubitz, J.I.; Schad, A.; Springer, E.; Rajalingam, K.; Lang, H.; Roth, W.; Hartmann, N.; Musholt, T.J. Novel rearrangements involving the RET gene in papillary thyroid carcinoma. Cancer Genet. 2019, 230, 13–20. [Google Scholar] [CrossRef]
- Yakushina, V.D.; Lerner, L.V.; Lavrov, A.V. Gene Fusions in Thyroid Cancer. Thyroid 2018, 158–167. [Google Scholar] [CrossRef] [PubMed]
- Cordioli, M.I.; Moraes, L.; Bastos, A.U.; Besson, P.; Alves, M.T.; Delcelo, R.; Monte, O.; Longui, C.; Cury, A.N.; Cerutti, J.M. Fusion Oncogenes Are the Main Genetic Events Found in Sporadic PapillaryThyroid Carcinomas from Children. Thyroid 2017, 27, 182–188. [Google Scholar] [CrossRef]
- Prasad, M.L.; Vyas, M.; Horne, M.J.; Virk, R.K.; Morotti, R.; Liu, Z.; Tallini, G.; Nikiforova, M.N.; Christison-Lagay, E.R.; Udelsman, R.; et al. NTRK fusion oncogenes in pediatric papillary thyroid carcinoma in northeast United States. Cancer 2016, 122, 1097–1107. [Google Scholar] [CrossRef]
- Iglesias, M.L.; Schmidt, A.; Al Ghuzlan, A.; Lacroix, L.; De Vathaire, F.; Chevillard, S.; Schlumberger, M. Radiation exposure and thyroid cancer: A review. Arch. Endocrinol. Metab. 2017, 61, 180–187. [Google Scholar] [CrossRef]
- Ciampi, R.; Nikiforov, Y.E. Alterations of the BRAF Gene in Thyroid Tumors. Endocr. Pathol. 2005, 16, 163–172. [Google Scholar] [CrossRef]
- Nozaki, Y.; Yamamoto, H.; Iwasaki, T.; Sato, M.; Jiromaru, R.; Hongo, T.; Yasumatsu, R.; Oda, Y. Clinicopathological features and immunohistochemical utility of NTRK-, ALK-, and ROS1-rearranged papillary thyroid carcinomas and anaplastic thyroid carcinomas. Hum. Pathol. 2020, 106, 82–92. [Google Scholar] [CrossRef]
- Chou, A.; Fraser, S.; Toon, C.W.; Clarkson, A.; Sioson, L.; Farzin, M.; Cussigh, C.; Aniss, A.; O’Neill, C.; Watson, N.; et al. A Detailed Clinicopathologic Study of ALK-translocated Papillary Thyroid Carcinoma. Am. J. Surg. Pathol. 2015, 39, 652–659. [Google Scholar] [CrossRef]
- Park, J.Y.; Kim, W.Y.; Hwang, T.S.; Lee, S.S.; Kim, H.; Han, H.S.; Lim, S.D.; Kim, W.S.; Yoo, Y.B.; Park, K.S. BRAF and RAS Mutations in Follicular Variants of Papillary Thyroid Carcinoma. Endocr. Pathol. 2013, 24, 69–76. [Google Scholar] [CrossRef] [PubMed]
- Schopper, H.K.; Stence, A.; Ma, D.; A Pagedar, N.; A Robinson, R. Single thyroid tumour showing multiple differentiated morphological patterns and intramorphological molecular genetic heterogeneity. J. Clin. Pathol. 2016, 70, 116–119. [Google Scholar] [CrossRef]
- Cipriani, N.A.; Agarwal, S.; Dias-Santagata, D.; Faquin, W.C.; Sadow, P.M. Clear Cell Change in Thyroid Carcinoma: A Clinicopathologic and Molecular Study with Identification of Variable Genetic Anomalies. Thyroid 2017, 27, 819–824. [Google Scholar] [CrossRef] [PubMed]
- Mancikova, V.; Buj, R.; Castelblanco, E.; Inglada-Pérez, L.; Diez, A.; De Cubas, A.A.; Curras-Freixes, M.; Maravall, F.X.; Mauricio, D.; Matias-Guiu, X.; et al. DNA methylation profiling of well-differentiated thyroid cancer uncovers markers of recurrence free survival. Int. J. Cancer 2013, 135, 598–610. [Google Scholar] [CrossRef] [PubMed]
- Carter, S.L.; Cibulskis, K.; Helman, E.; McKenna, A.; Shen, H.; Zack, T.; Laird, P.W.; Onofrio, R.C.; Winckler, W.; Weir, B.A.; et al. Absolute quantification of somatic DNA alterations in human cancer. Nat. Biotechnol. 2012, 30, 413–421. [Google Scholar] [CrossRef]
- Oh, B.Y.; Shin, H.-T.; Yun, J.W.; Kim, K.-T.; Kim, J.; Bae, J.S.; Cho, Y.B.; Lee, W.Y.; Yun, S.H.; Park, Y.A.; et al. Intratumor heterogeneity inferred from targeted deep sequencing as a prognostic indicator. Sci. Rep. 2019, 9, 4542. [Google Scholar] [CrossRef] [PubMed]
- Khatami, F.; Larijani, B.; Nikfar, S.; Hasanzad, M.; Fendereski, K.; Tavangar, S.M. Personalized treatment options for thyroid cancer: Current perspectives. Pharm. Pers. Med. 2019, 12, 235–245. [Google Scholar] [CrossRef] [PubMed]
- Campennì, A.; Barbaro, D.; Guzzo, M.; Capoccetti, F.; Giovanella, L. Personalized management of differentiated thyroid cancer in real life—practical guidance from a multidisciplinary panel of experts. Endocrines 2020, 70, 280–291. [Google Scholar] [CrossRef] [PubMed]
- Nishino, M. Sustainable cytopathology in the precision medicine era: Exploring new sources for molecular testing in thyroid cytology specimens. Cancer Cytopathol. 2019, 127, 143–145. [Google Scholar] [CrossRef]
- Ramón Y Cajal, S.; Hümmer, S.; Peg, V.; Guiu, X.M.; De Torres, I.; Castellvi, J.; Martinez-Saez, E.; Hernandez-Losa, J. Integrating clinical, molecular, proteomic and histopathological data within the tissue context: Tissunomics. Histopathology 2019, 75, 4–19. [Google Scholar] [CrossRef] [PubMed]
- Ramón Y Cajal, S.; Sesé, M.; Capdevila, C.; Aasen, T.; De Mattos-Arruda, L.; Diaz-Cano, S.J.; Hernández-Losa, J.; Castellví, J. Clinical implications of intratumor heterogeneity: Challenges and opportunities. J. Mol. Med. 2020, 98, 161–177. [Google Scholar] [CrossRef] [PubMed]






| Mutations | |||||||
|---|---|---|---|---|---|---|---|
| PAX8-PPARγ | EIF1AX | EZH1 | GNAS | RAS | BRAF | RET/PTC | |
| FA | 5–20% | 5–10% | 3% | ~80% | HRAS 8%, KRAS 10%, NRAS 6% | - | - |
| NIFTP | 5% | - | - | - | H/N/KRAS (45%) | - | - |
| HTT | - | - | - | - | NRAS 0% | - | 47% |
| FT/WDT-UMP | <5% | - | - | - | HRAS 3–12%, KRAS 6–9%, NRAS 16–35% | - | - |
| Mutations | |||||||||
|---|---|---|---|---|---|---|---|---|---|
| PIK3CA | EIF1AX | TP53 | PAX8-PPARγ | RAS | BRAF | TERTp | NF1 | MADCAM-1 | |
| FTC | 10% | 6% | 3% | 10–50% | HRAS 8%, KRAS 6%, NRAS 19% | 1% | 17–25% | - | - |
| Poorly differentiated FTC | 0–15% | - | 10–30% | <3% | H/N/KRAS (10–40%) | 5–30% | - | - | - |
| HCT | - | 11% | 7% | <5% | KRAS 11%NRAS 6% | - | 17% | 7% | 20% |
| Mutations | ||||||||
|---|---|---|---|---|---|---|---|---|
| EIF1AX | TP53 | RAS | BRAF | TERT | RET | ALK | NOTCH1 | |
| Classical PTC | 0–5% | - | H/N/KRAS 6% | 55% | 5–15% | 5–25% | - | - |
| Clear cell/solid variant PTC | - | - | H/N/KRAS 30% | >55% | - | - | 5% | - |
| Columnar variant PTC | - | - | - | 33% | - | - | - | - |
| Tall cell variant PTC | - | - | - | 80–100% | - | - | - | - |
| Hobnail variant PTC | - | 55% | - | 25% | - | - | - | 5% |
Publisher’s Note: MDPI stays neutral with regard to jurisdictional claims in published maps and institutional affiliations. |
© 2021 by the authors. Licensee MDPI, Basel, Switzerland. This article is an open access article distributed under the terms and conditions of the Creative Commons Attribution (CC BY) license (https://creativecommons.org/licenses/by/4.0/).
Share and Cite
Ieni, A.; Vita, R.; Pizzimenti, C.; Benvenga, S.; Tuccari, G. Intratumoral Heterogeneity in Differentiated Thyroid Tumors: An Intriguing Reappraisal in the Era of Personalized Medicine. J. Pers. Med. 2021, 11, 333. https://doi.org/10.3390/jpm11050333
Ieni A, Vita R, Pizzimenti C, Benvenga S, Tuccari G. Intratumoral Heterogeneity in Differentiated Thyroid Tumors: An Intriguing Reappraisal in the Era of Personalized Medicine. Journal of Personalized Medicine. 2021; 11(5):333. https://doi.org/10.3390/jpm11050333
Chicago/Turabian StyleIeni, Antonio, Roberto Vita, Cristina Pizzimenti, Salvatore Benvenga, and Giovanni Tuccari. 2021. "Intratumoral Heterogeneity in Differentiated Thyroid Tumors: An Intriguing Reappraisal in the Era of Personalized Medicine" Journal of Personalized Medicine 11, no. 5: 333. https://doi.org/10.3390/jpm11050333
APA StyleIeni, A., Vita, R., Pizzimenti, C., Benvenga, S., & Tuccari, G. (2021). Intratumoral Heterogeneity in Differentiated Thyroid Tumors: An Intriguing Reappraisal in the Era of Personalized Medicine. Journal of Personalized Medicine, 11(5), 333. https://doi.org/10.3390/jpm11050333

