The Usefulness of Contrast-Enhanced Ultrasound in the Assessment of Early Kidney Transplant Function and Complications
Abstract
1. Introduction
2. Material and Methods
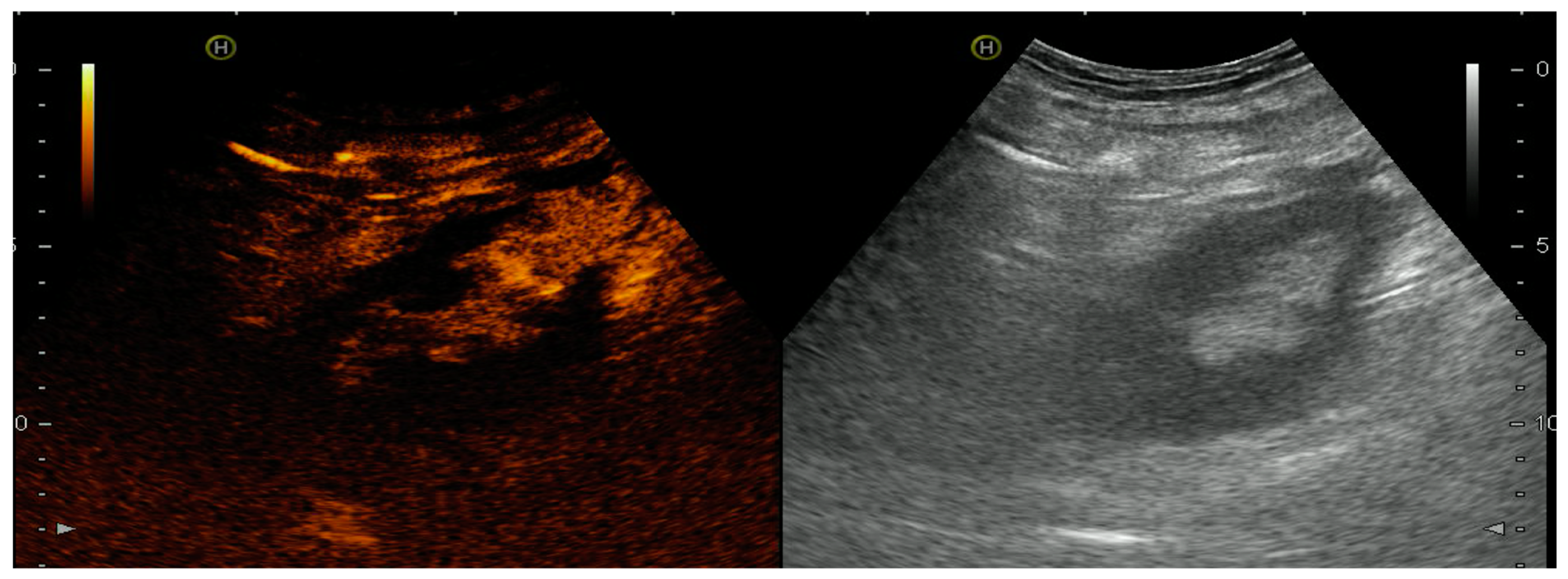
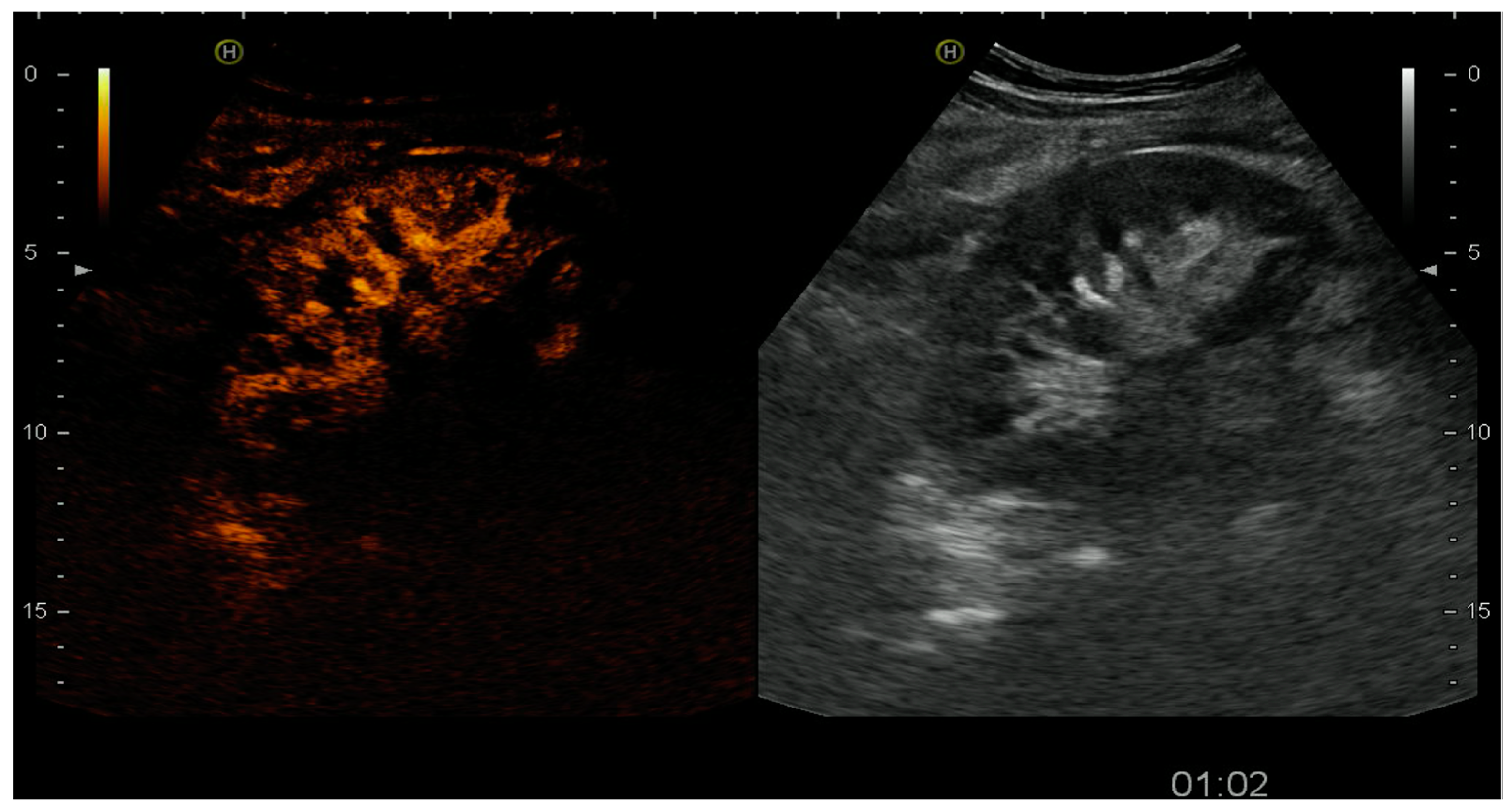
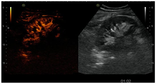
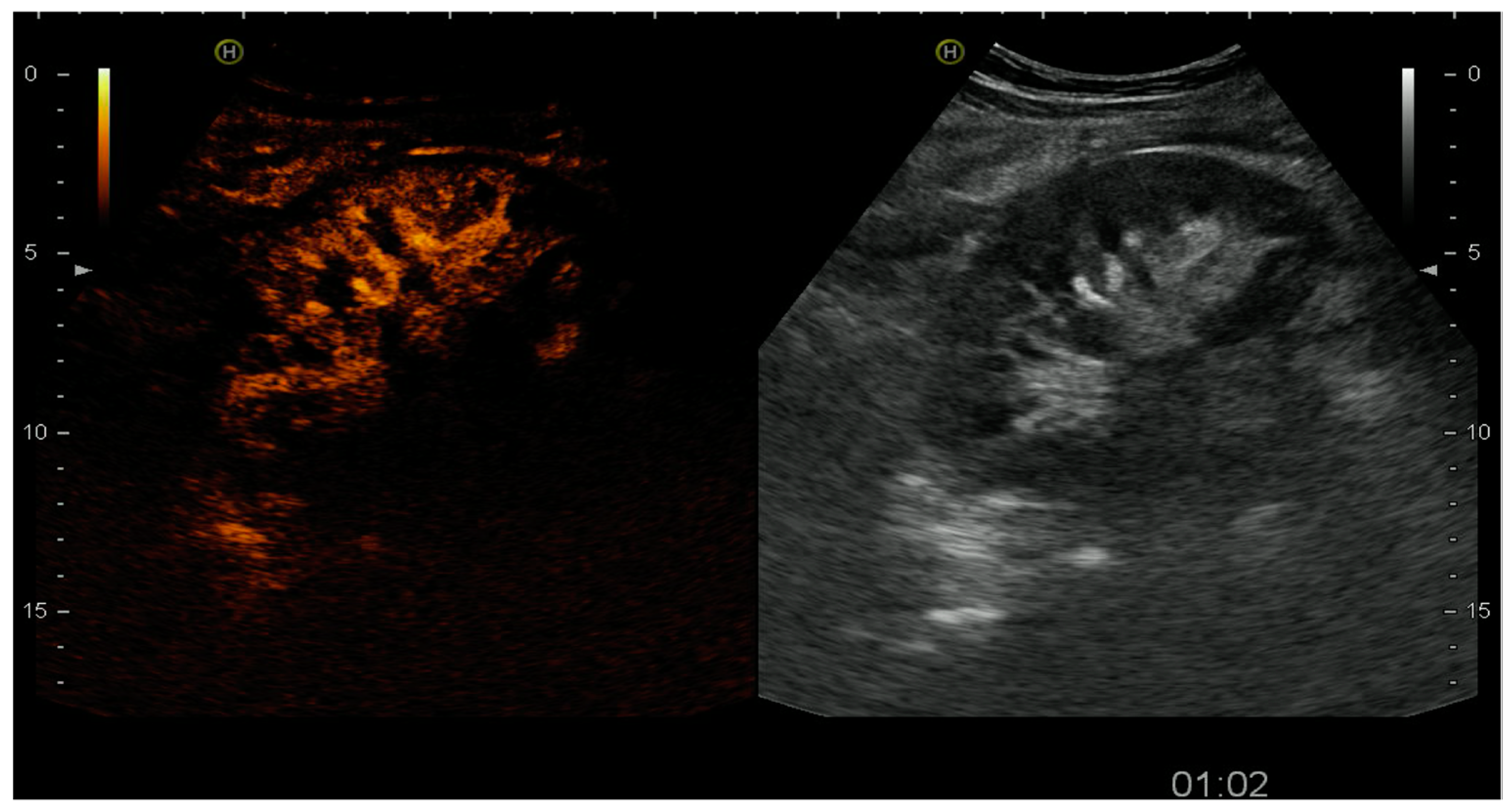
3. Results
4. Discussion
4.1. Surgical Complications
4.1.1. Arterial Thrombosis
4.1.2. Venous Thrombosis
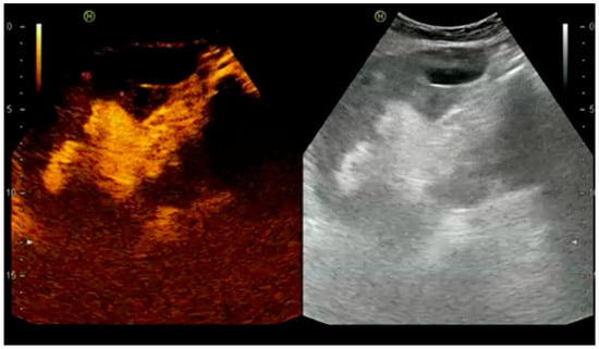
4.1.3. Acute Cortical Necrosis
4.1.4. Infectious Complications
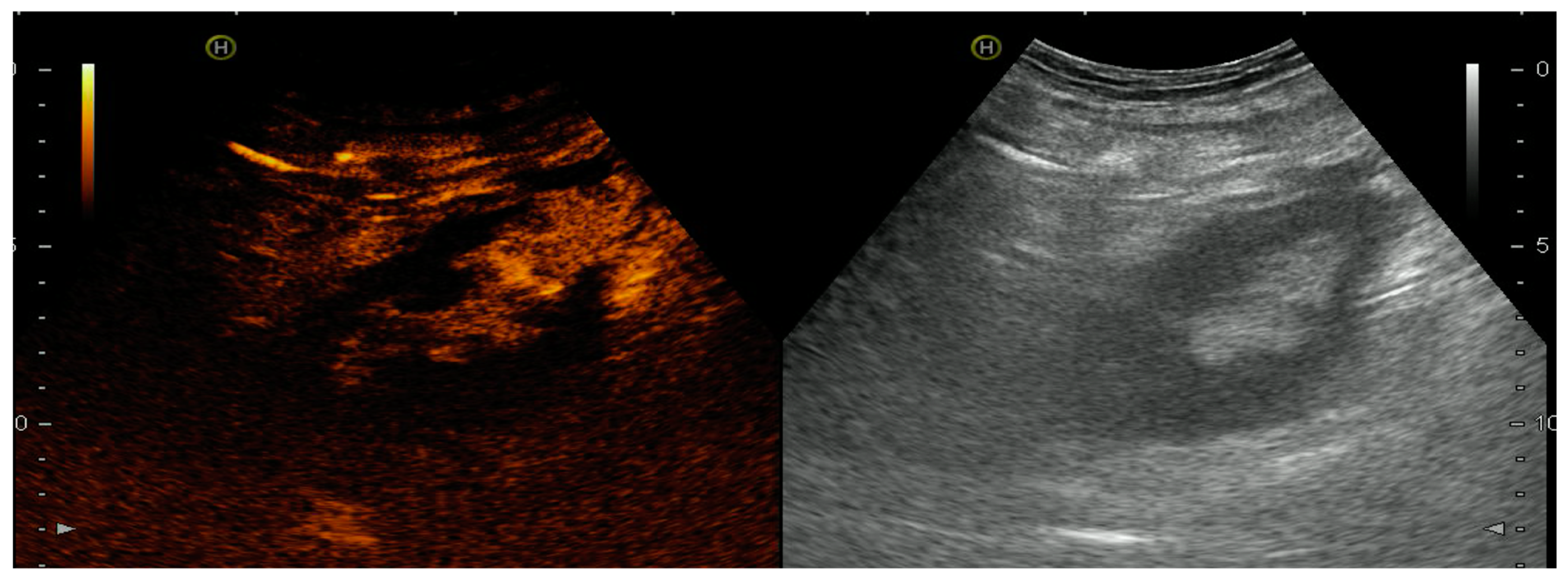
4.1.5. Arterial Stenosis (TRAS)
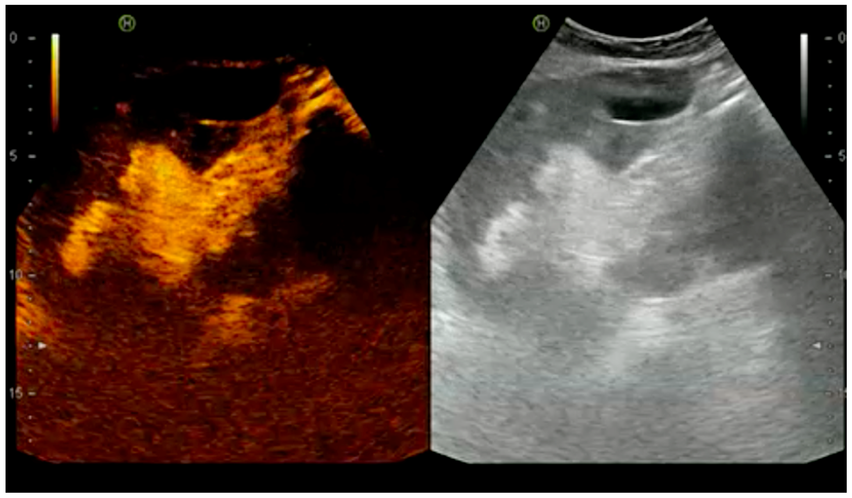
4.1.6. Perirenal Collections
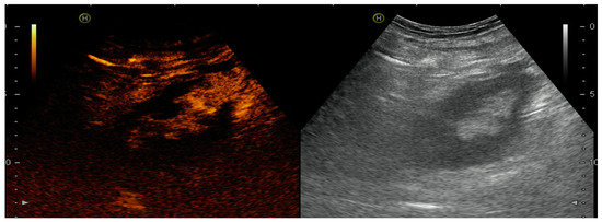
4.2. Medical Complications
5. Conclusions
Author Contributions
Conflicts of Interest
References
- Ferraresso, M.; Raiteri, M.; Bellapi, A.; Berardinelli, L.; Vegeto, A. Use of a Newly Developed Ultrasound Contrast Medium for Color Doppler Evaluation in Kidney Transplantation. Transplant. Proc. 1999, 1345, 1354–1356. [Google Scholar] [CrossRef]
- Burgos Revilla, F.J.; Marcen Letosa, R.; Pascual Santos, J.; López Fando, L. Monográfico: Ecografía urológica. Arch. Esp. Urol. 2006, 59, 343–352. [Google Scholar] [PubMed]
- Fischer, T.; Filimonow, S.; Dieckho, J.; Slowinski, T.; Mühler, M.; Lembcke, A.; Budde, K.; Neumayer, H.-H.; Ebeling, V.; Giessing Anke Thomas, M.; et al. Improved diagnosis of early kidney allograft dysfunction by ultrasound with echo enhancer—A new method for the diagnosis of renal perfusion. Nephrol. Dial. Transplant. 2006, 21, 2921–2929. [Google Scholar] [CrossRef] [PubMed][Green Version]
- Benozzi, L.; Cappelli, G.; Granito, M.; Davoli, D.; Favali, D.; Montecchi, M.G.; Grossi, A.; Torricelli, P.; Albertazzi, A. Contrast-Enhanced Sonography in Early Kidney Graft Dysfunction. Transplant. Proc. 2009, 41, 1214–1215. [Google Scholar] [CrossRef] [PubMed]
- Mayayo, E.S.; Palacios, V.H.; Fúnez, F.A.; Rodríguez, S.Á.; Rodríguez, R.R.P.; Dehesa, T.M.; Revilla, F.J.B. Revisión bibliográfica sobre la utilidad de los contrastes ecográficos en el estudio de las masas renales. Arch. Esp. Urol. 2012, 65, 556–566. [Google Scholar]
- Gravas, S.; Mamoulakis, C.; Rioja, J.; Tzortzis, V.; de Reijke, T.; Wijkstra, H.; de la Rosette, J. Advances in Ultrasound Technology in Oncologic Urology. Urol. Clin. North Am. 2009, 36, 133–145. [Google Scholar] [CrossRef] [PubMed]
- Ophir, J.; Parker, K.J. Contrast agents in diagnostic ultrasound. Ultrasound Med. Biol. 1989, 15, 319–333. [Google Scholar] [CrossRef]
- Wang, H.-K.; Chou, Y.-H.; Yang, A.-H.; Chiou, S.-Y.; Chiou, H.-J.; Wu, T.-H.; Loong, C.-C.; Chang, C.-Y. Evaluation of Cortical Perfusion in Renal Transplants: Application of Quantified Power Doppler Ultrasonography. Transplant. Proc. 2008, 40, 2330–2332. [Google Scholar] [CrossRef] [PubMed]
- Łebkowska, U.; Janica, J.; Łebkowski, W.; Małyszko, J.; Łebkowski, T.; Leoniuk, J.; Sobotko-Waszczeniuk, O.; Gacko, M. Renal Parenchyma Perfusion Spectrum and Resistive Index ( RI ) in Ultrasound Examinations With Contrast Medium in the Early Period After Kidney Transplantation. Transplant. Proc. 2009, 41, 3024–3027. [Google Scholar] [CrossRef] [PubMed]
- Ammi, M.; Daligault, M.; Sayegh, J.; Abraham, P.; Papon, X.; Enon, B.; Picquet, J. Evaluation of the Vascular Surgical Complications of Renal Transplantation. Ann. Vasc. Surg. 2016, 33, 23–30. [Google Scholar] [CrossRef] [PubMed]
- Fernandez, C.P.; Ripolles, T.; Martinez, M.J.; Blay, J.; Pallardó, L.; Gavela, E. Diagnosis of acute cortical necrosis in renal transplantation by contrast-enhanced ultrasound: A preliminary experience. Ultraschall Med. Eur. J. Ultrasound 2013, 34, 340–344. [Google Scholar] [CrossRef] [PubMed]
- Granata, A.; Andrulli, S.; Fiorini, F.; Basile, A.; Logias, F.; Figuera, M.; Sicurezza, E.; Gallieni, M.; Erio Fiore, C. Diagnosis of acute pyelonephritis by contrast-enhanced ultrasonography in kidney transplant patients. Nephrol. Dial. Transplant. 2011, 26, 715–720. [Google Scholar] [CrossRef] [PubMed]
- Figueiredo, A.; LLedó, E. European Textbook on Kidney Transplantation; European Urological Association, EAU Section of Transplantation Urology (ESTU): Arnhem, The Netherlands, 2017. [Google Scholar]
- Grzelak, P.; Kurnatowska, I.; Nowicki, M.; Muras, K.; Podgorski, M.; Strzelczyk, J.; Stefańczyk, L. Detection of transplant renal artery stenosis in the early postoperative period with analysis of parenchymal perfusion with ultrasound contrast agent. Ann. Transplant. 2013, 18, 187–194. [Google Scholar] [CrossRef] [PubMed]
- Grzelak, P.; Kurnatowska, I.; Nowicki, M.; Strzelczyk, J.; Durczyński, A.; Podgórski, M.; Stefańczyk, L. The diagnostic value of contrast-enhanced ultrasonography in the assessment of perirenal hematomas in the early post-operative period after kidney transplantation. Clin. Transplant. 2013, 27, 619–624. [Google Scholar] [CrossRef] [PubMed]
- Wang, X.; Yu, Z.; Guo, R.; Yin, H.; Hu, X. Assessment of postoperative perfusion with contrast-enhanced ultrasonography in kidney transplantation. Int. J. Clin. Exp. Med. 2015, 8, 18399–18405. [Google Scholar] [PubMed]






© 2017 by the authors. Licensee MDPI, Basel, Switzerland. This article is an open access article distributed under the terms and conditions of the Creative Commons Attribution (CC BY) license (http://creativecommons.org/licenses/by/4.0/).
Share and Cite
Álvarez Rodríguez, S.; Hevia Palacios, V.; Sanz Mayayo, E.; Gómez Dos Santos, V.; Díez Nicolás, V.; Sánchez Gallego, M.D.; Lorca Álvaro, J.; Burgos Revilla, F.J. The Usefulness of Contrast-Enhanced Ultrasound in the Assessment of Early Kidney Transplant Function and Complications. Diagnostics 2017, 7, 53. https://doi.org/10.3390/diagnostics7030053
Álvarez Rodríguez S, Hevia Palacios V, Sanz Mayayo E, Gómez Dos Santos V, Díez Nicolás V, Sánchez Gallego MD, Lorca Álvaro J, Burgos Revilla FJ. The Usefulness of Contrast-Enhanced Ultrasound in the Assessment of Early Kidney Transplant Function and Complications. Diagnostics. 2017; 7(3):53. https://doi.org/10.3390/diagnostics7030053
Chicago/Turabian StyleÁlvarez Rodríguez, Sara, Vital Hevia Palacios, Enrique Sanz Mayayo, Victoria Gómez Dos Santos, Víctor Díez Nicolás, María Dolores Sánchez Gallego, Javier Lorca Álvaro, and Francisco Javier Burgos Revilla. 2017. "The Usefulness of Contrast-Enhanced Ultrasound in the Assessment of Early Kidney Transplant Function and Complications" Diagnostics 7, no. 3: 53. https://doi.org/10.3390/diagnostics7030053
APA StyleÁlvarez Rodríguez, S., Hevia Palacios, V., Sanz Mayayo, E., Gómez Dos Santos, V., Díez Nicolás, V., Sánchez Gallego, M. D., Lorca Álvaro, J., & Burgos Revilla, F. J. (2017). The Usefulness of Contrast-Enhanced Ultrasound in the Assessment of Early Kidney Transplant Function and Complications. Diagnostics, 7(3), 53. https://doi.org/10.3390/diagnostics7030053
