Objective Assessment of Tooth Mobility Using the Osstell Device: A Pilot Study
Abstract
1. Introduction
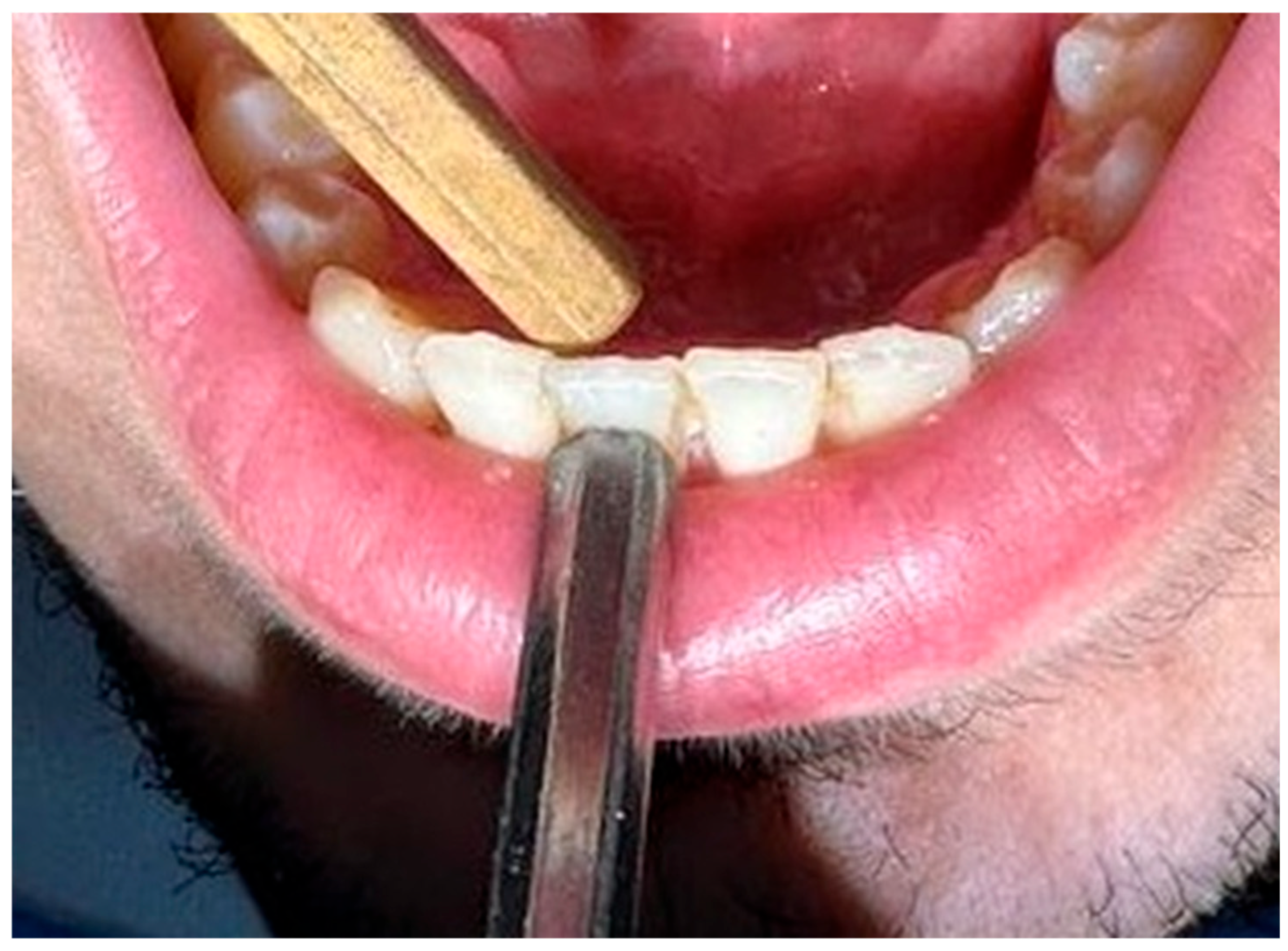
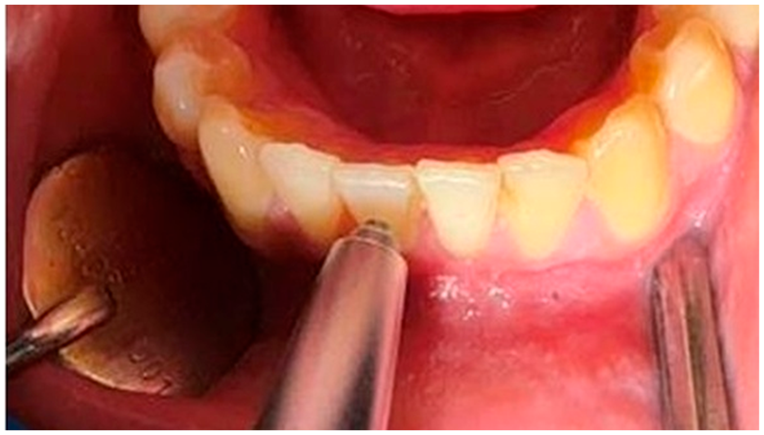
2. Materials and Methods
- •
- Material: Medical-grade titanium, precision-machined using CNC technology.
- •
- Design: Cylindrical base with a centrally located, threaded slot for modified SmartPeg insertion.
- •
- Internally threaded to enable clockwise insertion of the modified SmartPeg (Figure 3b,c).
- •
- Micro-threaded, tapered, and centered aperture.
- •
- Diameter: approximately 1.2–1.5 mm.
- •
- Flat base designed to conform to the buccal surface of the tooth.
- •
- Smooth texture with micro-mechanical retention properties (Figure 3a).
3. Results
4. Discussion
5. Conclusions
Author Contributions
Funding
Institutional Review Board Statement
Informed Consent Statement
Data Availability Statement
Acknowledgments
Conflicts of Interest
Abbreviations
| ICC | Intraclass correlation coefficient |
| ISQ | Implant stability quotient |
| PTV | Periotest value |
| RFA | Resonance frequency analysis |
References
- Kim, G.Y.; Kim, S.; Chang, J.S.; Pyo, S.W. Advancements in methods of classification and measurement used to assess tooth mobility: A narrative review. J. Clin. Med. 2023, 13, 142. [Google Scholar] [CrossRef] [PubMed]
- Umoh, A.; Azodo, C. Association between periodontal status, oral hygiene status and tooth wear among adult male population in Benin city, Nigeria. Ann. Med. Health Sci. Res. 2013, 3, 149–154. [Google Scholar] [CrossRef]
- Aminoshariae, A.; Mackey, S.A.; Palomo, L.; Kulild, J.C. Declassifying mobility classification. J. Endod. 2020, 46, 1539–1544. [Google Scholar] [CrossRef] [PubMed]
- Miller, S.C. Textbook of Periodontia, 3rd ed.; The Blakiston Co.: Philadelphia, PA, USA; Toronto, ON, Canada, 1950; p. 685. [Google Scholar]
- Meirelles, L.; Siqueira, R.; Garaicoa-Pazmino, C.; Yu, S.H.; Chan, H.L.; Wang, H.L. Quantitative tooth mobility evaluation based on intraoral scanner measurements. J. Periodontol. 2020, 91, 202–208. [Google Scholar] [CrossRef]
- Yamane, M.; Yamaoka, M.; Hayashi, M.; Furutoyo, I.; Komori, N.; Ogiso, B. Measuring tooth mobility with a no-contact vibration device. J. Periodontal Res. 2008, 43, 84–89. [Google Scholar] [CrossRef]
- Quesada-García, M.P.; Prados-Sánchez, E.; Olmedo-Gaya, M.V.; Muñoz-Soto, E.; González-Rodríguez, M.P.; Valllecillo-Capilla, M. Measurement of dental implant stability by resonance frequency analysis: A review of the literature. Med. Oral Patol. Oral Cir. Bucal 2009, 14, e538–e546. [Google Scholar] [CrossRef]
- Wu, H.C.; Huang, H.L.; Fuh, L.J.; Tsai, M.T.; Hsu, J.T. Effect of implant length and insertion depth on primary stability of short dental implant. Int. J. Oral Maxillofac. Implant. 2023, 38, 62–70. [Google Scholar] [CrossRef]
- Schulte, W.; d’Hoedt, B.; Lukas, D.; Muhlbradt, L.; Scholz, F.; Bretschi, J.; Frey, D.; Gudat, H.; Konig, M.; Markl, M.; et al. Periotest—A new measurement process for periodontal function. Zahnarztl. Mitteilungen 1983, 73, 1229–1240. [Google Scholar]
- AAl, M.A.; El Far, M.; Sheta, N.M.; Fayyad, A.; El Desouky, E.; Nabi, N.A.; Ibrahim, M. Correlation of implant stability between two noninvasive methods using submerged and nonsubmerged healing protocols: A randomized clinical trial. J. Oral Implantol. 2020, 46, 571–579. [Google Scholar] [CrossRef] [PubMed]
- Semenzin Rodrigues, A.; de Moraes Melo Neto, C.L.; Santos Januzzi, M.; Dos Santos, D.M.; Goiato, M.C. Correlation between Periotest value and implant stability quotient: A systematic review. Biomed. Eng./Biomed. Tech. 2024, 69, 1–10. [Google Scholar] [CrossRef] [PubMed]
- Chakrapani, S.; Goutham, M.; Krishnamohan, T.; Anuparthy, S.; Tadiboina, N.; Rambha, S. Periotest values: Its reproducibility, accuracy, and variability with hormonal influence. Contemp. Clin. Dent. 2015, 6, 12–15. [Google Scholar] [CrossRef]
- Bilhan, H.; Cilingir, A.; Bural, C.; Bilmenoglu, C.; Sakar, O.; Geckili, O. The evaluation of the reliability of Periotest for implant stability measurements: An in vitro study. J. Oral Implantol. 2015, 41, e90–e95. [Google Scholar] [CrossRef]
- Planinić, D.; Dubravica, I.; Šarac, Z.; Poljak-Guberina, R.; Celebic, A.; Bago, I.; Cabov, T.; Peric, B. Comparison of different surgical procedures on the stability of dental implants in posterior maxilla: A randomized clinical study. J. Stomatol. Oral Maxillofac. Surg. 2021, 122, 487–493. [Google Scholar] [CrossRef] [PubMed]
- El-Hady, A.I.A.; Eid, H.I.; Mohamed, S.L.; Fadl, S.M. Influence of titanium and titanium-zirconium alloy as implant materials on implant stability of maxillary implant retained overdenture: A randomized clinical trial. BMC Oral Health 2024, 24, 902. [Google Scholar] [CrossRef]
- Lachmann, S.; Jäger, B.; Axmann, D.; Gomez-Roman, G.; Groten, M.; Weber, H. Resonance frequency analysis and damping capacity assessment. Part I: An in vitro study on measurement reliability and a method of comparison in the determination of primary dental implant stability. Clin. Oral Implant. Res. 2006, 17, 75–79. [Google Scholar] [CrossRef]
- Zix, J.; Hug, S.; Kessler-Liechti, G.; Mericske-Stern, R. Measurement of dental implant stability by resonance frequency analysis and damping capacity assessment: Comparison of both techniques in a clinical trial. Int. J. Oral Maxillofac. Implant. 2008, 23, 525–530. [Google Scholar]
- O’Brien, C.; Naughton, D.; Honari, B.; Winning, L.; Polyzois, I. An in vitro evaluation of Periotest implant stability measurements taken on implant retained crowns and healing abutments. Clin. Exp. Dent. Res. 2024, 10, e910. [Google Scholar] [CrossRef]
- Gerasimidou, O.; Watson, T.F.; Millar, B.J. Evaluation of the Periotest device as an objective measuring tool for tooth mobility—A clinical evaluation study. Appl. Sci. 2024, 14, 1860. [Google Scholar] [CrossRef]
- Meredith, N.; Alleyne, D.; Cawley, P. Quantitative determination of the stability of the implant-tissue interface using resonance frequency analysis. Clin. Oral Implant. Res. 1996, 7, 261–267. [Google Scholar] [CrossRef]
- Sindhuja, S.; Balaji, A. Tooth mobility. Eur. J. Mol. Clin. Med. 2020, 7, 6713–6716. [Google Scholar]
- Oh, J.S.; Kim, S.G. Clinical study of the relationship between implant stability measurements using Periotest and Osstell mentor and bone quality assessment. Oral Surg. Oral Med. Oral Pathol. Oral Radiol. 2012, 113, e35–e40. [Google Scholar] [CrossRef] [PubMed]
- Son, S.; Motoyoshi, M.; Uchida, Y.; Shimizu, N. Comparative study of the primary stability of self-drilling and self-tapping orthodontic miniscrews. Am. J. Orthod. Dentofac. Orthop. 2014, 145, 480–485. [Google Scholar] [CrossRef] [PubMed]
- Berthold, C.; Holst, S.; Schmitt, J.; Goellner, M.; Petschelt, A. An evaluation of the Periotest method as a tool for monitoring tooth mobility in dental traumatology. Dent. Traumatol. 2010, 26, 120–128. [Google Scholar] [CrossRef]
- Peruga, M.; Piwnik, J.; Lis, J. The impact of progesterone and estrogen on the tooth mobility. Medicina 2023, 59, 258. [Google Scholar] [CrossRef]
- Rosenberg, D.; Quirynen, M.; van Steenberghe, D.; Naert, I.E.; Tricio, J.; Nys, M. A method for assessing the damping characteristics of periodontal tissues: Goals and limitations. Quintessence Int. 1995, 26, 191–197. [Google Scholar]
- Uchida, H.; Wada, J.; Watanabe, C.; Nagayama, T.; Mizutani, K.; Mikami, R.; Inukai, S.; Wakabayashi, N. Effect of night dentures on tooth mobility in denture wearers with sleep bruxism: A pilot randomized controlled trial. J. Prosthodont. Res. 2022, 66, 564–571. [Google Scholar] [CrossRef]
- Nagayama, T.; Wada, J.; Watanabe, C.; Murakami, N.; Takakusaki, K.; Uchida, H.; Utsumi, M.; Wakabayashi, N. Influence of retainer and major connector designs of removable partial dentures on the stabilization of mobile teeth: A preliminary study. Dent. Mater. J. 2020, 39, 89–100. [Google Scholar] [CrossRef]
- Atsumi, M.; Park, S.H.; Wang, H.L. Methods used to assess implant stability: Current status. Int. J. Oral Maxillofac. Implant. 2007, 22, 743–754. [Google Scholar]
- Hayashi, M.; Kobayashi, C.; Ogata, H.; Yamaoka, M.; Ogiso, B. A no-contact vibration device for measuring implant stability. Clin. Oral Implant. Res. 2010, 21, 931–936. [Google Scholar] [CrossRef]
- Griffin, T.J.; Cheung, W.S. The use of short, wide implants in posterior areas with reduced bone height: A retrospective investigation. J. Prosthet. Dent. 2004, 92, 139–144. [Google Scholar] [CrossRef] [PubMed]
- Lages, F.S.; Douglas-de Oliveira, D.W.; Costa, F.O. Relationship between implant stability measurements obtained by insertion torque and resonance frequency analysis: A systematic review. Clin. Implant. Dent. Relat. Res. 2018, 20, 26–33. [Google Scholar] [CrossRef]
- Alsaadi, G.; Quirynen, M.; Michiels, K.; Jacobs, R.; van Steenberghe, D. A biomechanical assessment of the relation between the oral implant stability at insertion and subjective bone quality assessment. J. Clin. Periodontol. 2007, 34, 359–366. [Google Scholar] [CrossRef]
- Ramseier, C.A. Diagnostic measures for monitoring and follow-up in periodontology and implant dentistry. Periodontology 2000 2024, 95, 129–155. [Google Scholar] [CrossRef]
- Schnitman, P.A.; Hwang, J.W. To immediately load, expose, or submerge in partial edentulism: A study of primary stability and treatment outcome. Int. J. Oral Maxillofac. Implant. 2011, 26, 850–859. [Google Scholar]
- Meredith, N.; Book, K.; Friberg, B.; Jemt, T.; Sennerby, L. Resonance frequency measurements of implant stability in vivo. A cross-sectional and longitudinal study of resonance frequency measurements on implants in the edentulous and partially dentate maxilla. Clin. Oral Implant. Res. 1997, 8, 226–233. [Google Scholar] [CrossRef] [PubMed]
- Fernandes, G.V.O.; Akman, A.C.; Hakki, S.S. Periodontal therapy for hopeless mandibular anterior teeth: A retrospective case report with a multidisciplinary approach and a 20-year follow-up. Int. J. Sci. Dent. 2024, 66, 1–11. [Google Scholar] [CrossRef]
- Truhlar, R.S.; Lauciello, F.; Morris, H.F.; Ochi, S. The influence of bone quality on Periotest values of endosseous dental implants at stage II surgery. J. Oral Maxillofac. Surg. 1997, 55, 55–61. [Google Scholar] [CrossRef]
- Papaspyridakos, P.; Chen, C.J.; Chuang, S.K.; Weber, H.P. Implant loading protocols for edentulous patients with fixed prostheses: A systematic review and meta-analysis. Int. J. Oral Maxillofac. Implant. 2014, 29, 256–270. [Google Scholar] [CrossRef]
- Gallucci, G.O.; Benic, G.I.; Eckert, S.E.; Papaspyridakos, P.; Schimmel, M.; Schrott, A.; Weber, H.P. Consensus statements and clinical recommendations for implant loading protocols. Int. J. Oral Maxillofac. Implant. 2014, 29, 287–290. [Google Scholar] [CrossRef]
- Marković, A.; Mišić, T.; Janjić, B.; Šćepanović, M.; Trifković, B.; Ilić, B.; Todorović, A.M.; Marković, J.; Dard, M.M. Immediate vs. early loading of bone level tapered dental implants with hydrophilic surface in rehabilitation of fully edentulous maxilla: Clinical and patient centered outcomes. J. Oral Implantol. 2022, 48, 358–369. [Google Scholar] [CrossRef] [PubMed]
- Andreotti, A.M.; Goiato, M.C.; Nobrega, A.S.; Freitas da Silva, E.V.; Filho, H.G.; Pellizzer, E.P.; Micheline Dos Santos, D. Relationship between implant stability measurements obtained by two different devices: A systematic review. J. Periodontol. 2017, 88, 281–288. [Google Scholar] [CrossRef] [PubMed]
- Andresen, M.; Mackie, I.; Worthington, H. The Periotest in traumatology. Part II. The Periotest as a special test for assessing the periodontal status of teeth in children that have suffered trauma. Dent. Traumatol. 2003, 19, 218–220. [Google Scholar] [CrossRef]
- Mackie, I.; Ghrebi, S.; Worthington, H. Measurement of tooth mobility in children using the Periotest. Dent. Traumatol. 1996, 12, 120–123. [Google Scholar] [CrossRef] [PubMed]
- Komatsu, K. Mechanical strength and viscoelastic response of the periodontal ligament in relation to structure. J. Dent. Biomech. 2010, 2010, 502318. [Google Scholar] [CrossRef] [PubMed]
- Rittel, D.; Dorogoy, A.; Haiat, G.; Shemtov-Yona, K. Resonant frequency analysis of dental implants. Med. Eng. Phys. 2019, 66, 65–74. [Google Scholar] [CrossRef]
- Ghaleb, L.; Al-Worafi, N.A.; Thawaba, A.; Abdulqader, A.A.; Alkamel, A.; Abdo, Y.; Yang, Z.; Noman, N.; Al-Aroomi, M.A.; Yulou, T. Evaluation of enamel surface integrity after orthodontic bracket debonding: Comparison of three different system. BMC Oral Health 2024, 24, 358. [Google Scholar] [CrossRef]
- Moradi, M.; Hormozi, E.; Shamohammadi, M.; Rakhshan, V. Effects of debonding of orthodontic brackets on topography and surface roughness of composite restorations. Int. Orthod. 2018, 16, 623–637. [Google Scholar] [CrossRef]
- Ryf, S.; Flury, S.; Palaniappan, S.; Lussi, A.; van Meerbeek, B.; Zimmerli, B. Enamel loss and adhesive remnants following bracket removal and various clean-up procedures in vitro. Eur. J. Orthod. 2012, 34, 25–32. [Google Scholar] [CrossRef]
- Holberg, C.; Winterhalder, P.; Holberg, N.; Wichelhaus, A.; Rudzki-Janson, I. Orthodontic bracket debonding: Risk of enamel fracture. Clin. Oral Investig. 2014, 18, 327–334. [Google Scholar] [CrossRef]
- Kilinç, D.D.; Sayar, G. Evaluation of pain perception during orthodontic debonding of metallic brackets with four different techniques. J. Appl. Oral Sci. 2019, 27, e20180003. [Google Scholar] [CrossRef]







| n (%) | |
|---|---|
| Male | 10 (62.5) |
| Female | 6 (37.5) |
| Tooth number (FDI) | |
| 11 | 9 (9.6) |
| 12 | 9 (9.6) |
| 13 | 7 (7.4) |
| 21 | 9 (9.6) |
| 22 | 8 (8.5) |
| 23 | 7 (7.4) |
| 31 | 9 (9.6) |
| 32 | 9 (9.6) |
| 33 | 3 (3.2) |
| 34 | 2 (2.1) |
| 41 | 11 (11.7) |
| 42 | 7 (7.4) |
| 43 | 3 (3.2) |
| 44 | 1 (1.1) |
| First Attempt Mean ± SD/ M [Min–Max] | Second Attempt Mean ± SD/ M [Min–Max] | ICC (95%CI) | p | |
|---|---|---|---|---|
| Periotest | 12.63 ± 13.75/ 7.8 [−2.9 to +50] | 12.77 ± 13.7/ 8.45 [−2.6 to +50] | 0.996 (0.994–0.997) | <0.001 |
| Osstell (Ncm) | 69.04 ± 19.61/ 77 [20–90] | 69.86 ± 19.18/ 77 [20–90] | 0.998 (0.997–0.999) | <0.001 |
| Miller/Grades | 0 Mean ± SD/ M [Min–Max] | I Mean ± SD/ M [Min–Max] | II Mean ± SD/ M [Min–Max] | III Mean ± SD/ M [Min–Max] |
|---|---|---|---|---|
| Periotest | 1.86 ± 2.84/ 1.78 [−2.75–8.05] | 11.94 ± 5.16/ 11.75 [1.75–20.7] | 23.21 ± 5.61/ 24.5 [12.95–34.4] | 41.71 ± 7.50/ 38.10 [32.65–50] |
| Osstell | 82.04 ± 4.97/ 80 [74–90] | 73.50 ± 7.28/ 76.25 [60.5–88.5] | 59.46 ± 11.66/ 61 [32.5–76] | 24.45 ± 6.08/ 23 [20–42] |
| ICC | 0.002 (0.001–0.008) | 0.015 (0.012–0.018) | 0.055 (0.032–0.166) | 0.115 (0.037–0.268) |
| p | 0.998 | 0.999 | 0.960 | 0.936 |
| Miller Mobility Grades | ||||||
|---|---|---|---|---|---|---|
| Grade 0 n (%) | Grade I n (%) | Grade II n (%) | Grade III n (%) | κ (95%CI) | p | |
| Periotest Scale | ||||||
| −8 to +9 | 40 (100.0) | 9 (30.0) | 0 (0.0) | 0 (0.0) | 0.763 (0.655–0.871) | <0.001 * |
| +10 to +19 | 0 (0.0) | 19 (63.3) | 3 (23.1) | 0 (0.0) | ||
| +20 to +29 | 0 (0.0) | 2 (6.7) | 9 (69.2) | 0 (0.0) | ||
| +30 to +50 | 0 (0.0) | 0 (0.0) | 1 (7.7) | 11 (100.0) | ||
| PTV | ||||||
| mean ± SD/ M [min–max] | 1.86 ± 2.84/ 1.78 [–2.75–8.05] | 11.94 ± 5.16/ 11.75 [1.75–20.70] | 23.21 ± 5.61/ 24.50 [12.95–34.40] | 41.71 ± 7.50/ 38.10 [32.65–50] | ||
| %95 CI | 0.96–2.77 | 10.02–13.87 | 19.82–26.60 | 36.68–46.75 | ||
| Osstell Scale | 0.094 (0.089–0.099) | 0.048 * | ||||
| <60 | 0 (0.0) | 0 (0.0) | 5 (38.5) | 11 (100.0) | ||
| 60 to 69 | 0 (0.0) | 12 (40.0) | 6 (46.1) | 0 (0.0) | ||
| >69 | 40 (100.0) | 18 (60.0) | 2 (15.4) | 0 (0.0) | ||
| RFA | ||||||
| mean ± SD/ M [min–max] | 82.04 ± 4.97/ 80 [74–90] | 73.50 ± 7.28/ 76.25 [60.50–88.50] | 59.46 ± 11.66/ 61 [32.50–76] | 24.45 ± 6.08/ 23 [20–42] | ||
| %95 CI | 80.45–83.63 | 70.78–76.22 | 52.42–66.50 | 20.37–28.54 | ||
| Osstell Scale | −8 to +9 n (%) | +10 to +19 n (%) | +20 to +29 n (%) | +30 to +50 n (%) | Overall n (%) | κ (95% CΙ) | p | |
|---|---|---|---|---|---|---|---|---|
| <60 | 0 (0.0) | 0 (0.0) | 4 (36.4) | 12 (100.0) | 16 (17.0) | 0.088 (0–0.194) | 0.045 * | |
| 60 to 69 | 0 (0.0) | 12 (54.5) | 6 (54.5) | 0 (0.0) | 18 (19.1) | |||
| >69 | 49 (100.0) | 10 (45.5) | 1 (9.1) | 0 (0.0) | 60 (63.8) | |||
| Overall | 49 (100.0) | 22 (100.0) | 11 (100.0) | 12 (100.0) | 94 (100.0) |
Disclaimer/Publisher’s Note: The statements, opinions and data contained in all publications are solely those of the individual author(s) and contributor(s) and not of MDPI and/or the editor(s). MDPI and/or the editor(s) disclaim responsibility for any injury to people or property resulting from any ideas, methods, instructions or products referred to in the content. |
© 2026 by the authors. Licensee MDPI, Basel, Switzerland. This article is an open access article distributed under the terms and conditions of the Creative Commons Attribution (CC BY) license.
Share and Cite
Erdoğan Eryıldız, K.; Selimli, F.; Haskan, A.C.; Arpağ, O.F. Objective Assessment of Tooth Mobility Using the Osstell Device: A Pilot Study. Diagnostics 2026, 16, 1126. https://doi.org/10.3390/diagnostics16081126
Erdoğan Eryıldız K, Selimli F, Haskan AC, Arpağ OF. Objective Assessment of Tooth Mobility Using the Osstell Device: A Pilot Study. Diagnostics. 2026; 16(8):1126. https://doi.org/10.3390/diagnostics16081126
Chicago/Turabian StyleErdoğan Eryıldız, Kübra, Fariz Selimli, Ahmet Can Haskan, and Osman Fatih Arpağ. 2026. "Objective Assessment of Tooth Mobility Using the Osstell Device: A Pilot Study" Diagnostics 16, no. 8: 1126. https://doi.org/10.3390/diagnostics16081126
APA StyleErdoğan Eryıldız, K., Selimli, F., Haskan, A. C., & Arpağ, O. F. (2026). Objective Assessment of Tooth Mobility Using the Osstell Device: A Pilot Study. Diagnostics, 16(8), 1126. https://doi.org/10.3390/diagnostics16081126
