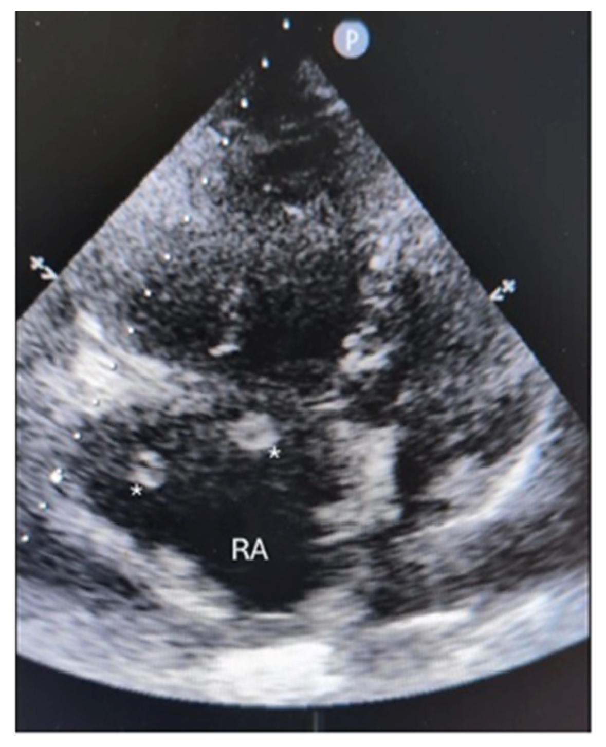
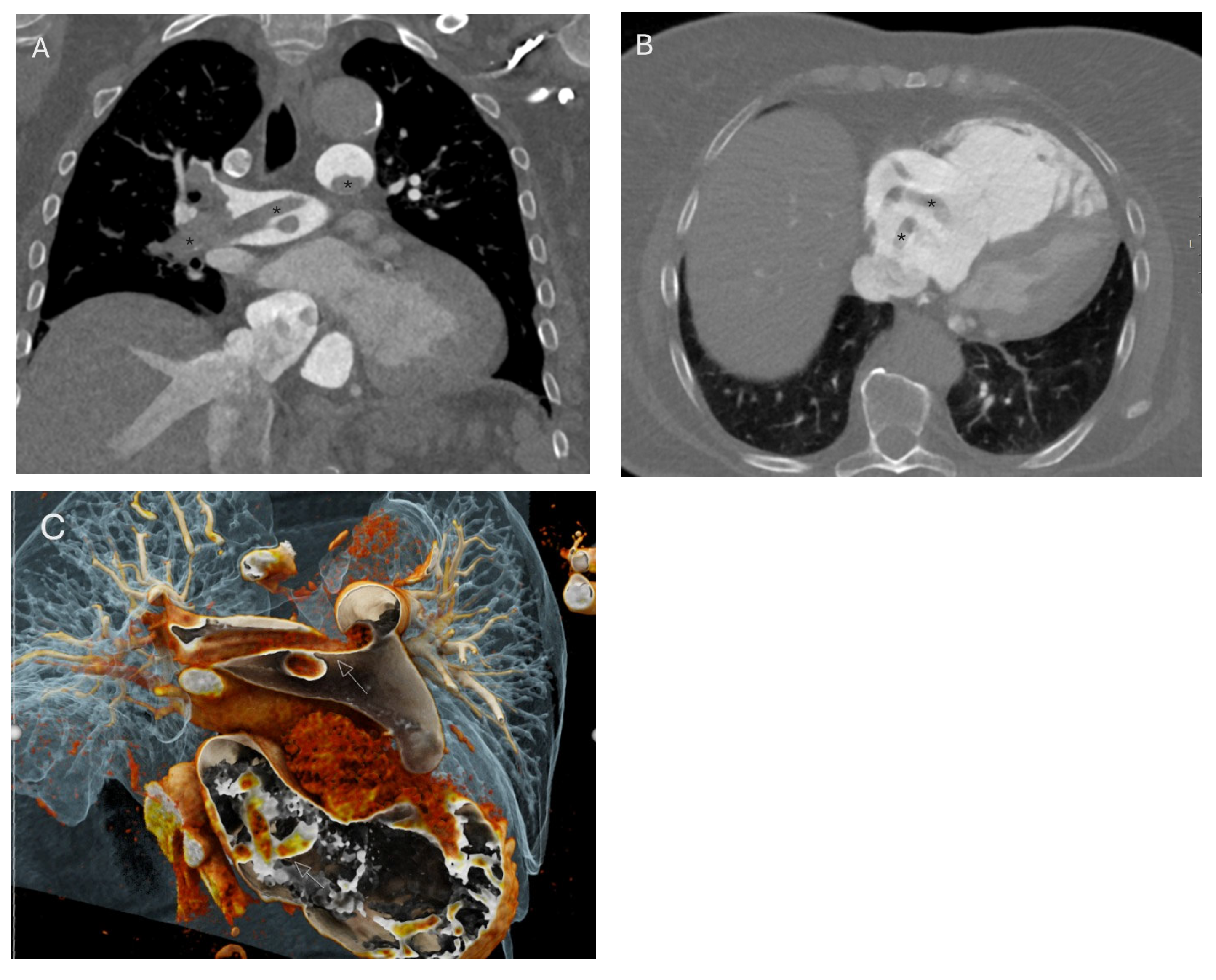
Multimodality Diagnostics and Endovascular Large-Bore Aspiration Thrombectomy of the Clot-in-Transit
Abstract



Author Contributions
Funding
Institutional Review Board Statement
Informed Consent Statement
Data Availability Statement
Acknowledgments
Conflicts of Interest
Abbreviations
| CIT | Clot-in-transit |
| PE | Pulmonary embolism |
| CTPA | Computed tomography pulmonary angiography |
| POCUS | Point-of-care ultrasonography |
| TAPSE | Tricuspid annular plane systolic excursion |
| USA | United States of America |
References
- Igwilo, R.; Pinsino, A.; Aksan, F.; Kapoor, S. Clot-in-transit: A ticking time bomb in the heart with serious consequences. SAGE Open Med. Case Rep. 2023, 11, 2050313X231151504. [Google Scholar] [CrossRef] [PubMed]
- Mansencal, N.; Attias, D.; Caille, V.; Desperramons, J.; Guiader, J.; El Hajjam, M.; Lacombe, P.; Nasr, I.A.; Jardin, F.; Vieillard-Baron, A.; et al. Computed tomography for the detection of free-floating thrombi in the right heart in acute pulmonary embolism. Eur. Radiol. 2011, 21, 240–245. [Google Scholar] [CrossRef] [PubMed]
- Reinoso, R.E.; Leigh, Y.O.; Salmon, J.T.; Budde, J. Clot in transit: The role of point-of-care-ultrasound in early diagnosis and improved outcomes. Chest 2022, 162, A2360. [Google Scholar] [CrossRef]
- Torbicki, A.; Galié, N.; Covezzoli, A.; Rossi, E.; De Rosa, M.; Goldhaber, S.Z.; ICOPER Study Group. Right heart thrombi in pulmonary embolism: Results from the International Cooperative Pulmonary Embolism Registry. J. Am. Coll. Cardiol. 2003, 41, 2245–2251. [Google Scholar] [CrossRef] [PubMed]
- Benser, A.; Carlson, C.; Casper, E.; Ignatowski, D.; Jain, R.; Wessly, P. Many Roads Traveled: Sonographer Insights on Clots in Transit—An Echocardiography Case Series. CASE 2025, 9, 164–172. [Google Scholar] [CrossRef] [PubMed]
- Konstantinides, S.V.; Meyer, G.; Becattini, C.; Bueno, H.; Geersing, G.J.; Harjola, V.P.; Huisman, M.V.; Humbert, M.; Jennings, C.S.; Jimenes, D.; et al. ESC Scientific Document Group, 2019 ESC Guidelines for the diagnosis and management of acute pulmonary embolism developed in collaboration with the European Respiratory Society (ERS): The Task Force for the diagnosis and management of acute pulmonary embolism of the European Society of Cardiology (ESC). Eur. Heart J. 2020, 41, 543–603. [Google Scholar] [PubMed]
- Zhang, R.S.; Yuriditsky, E.; Zhang, P.; Elbaum, L.; Bailey, E.; Maqsood, M.H.; Postelnicu, R.; Amoroso, N.E.; Maldonado, T.S.; Saric, M.; et al. Comparing Management Strategies in Patients with Clot-in-Transit. Circ. Cardiovasc. Interv. 2024, 17, e014109. [Google Scholar] [CrossRef] [PubMed]
- Carroll, B.J.; Larnard, E.A.; Pinto, D.S.; Giri, J.; Secemsky, E.A. Percutaneous Management of High-Risk Pulmonary Embolism. Circ. Cardiovasc. Interv. 2023, 16, e012166. [Google Scholar] [CrossRef] [PubMed]
Disclaimer/Publisher’s Note: The statements, opinions and data contained in all publications are solely those of the individual author(s) and contributor(s) and not of MDPI and/or the editor(s). MDPI and/or the editor(s) disclaim responsibility for any injury to people or property resulting from any ideas, methods, instructions or products referred to in the content. |
© 2026 by the authors. Licensee MDPI, Basel, Switzerland. This article is an open access article distributed under the terms and conditions of the Creative Commons Attribution (CC BY) license.
Share and Cite
Lovoković, K.; Mlinarević, D.; Kopačin, V.; Grigić, M.; Arambašić, J.; Jurić, I.; Turk, T. Multimodality Diagnostics and Endovascular Large-Bore Aspiration Thrombectomy of the Clot-in-Transit. Diagnostics 2026, 16, 917. https://doi.org/10.3390/diagnostics16060917
Lovoković K, Mlinarević D, Kopačin V, Grigić M, Arambašić J, Jurić I, Turk T. Multimodality Diagnostics and Endovascular Large-Bore Aspiration Thrombectomy of the Clot-in-Transit. Diagnostics. 2026; 16(6):917. https://doi.org/10.3390/diagnostics16060917
Chicago/Turabian StyleLovoković, Katja, Dražen Mlinarević, Vjekoslav Kopačin, Mateo Grigić, Jerko Arambašić, Iva Jurić, and Tajana Turk. 2026. "Multimodality Diagnostics and Endovascular Large-Bore Aspiration Thrombectomy of the Clot-in-Transit" Diagnostics 16, no. 6: 917. https://doi.org/10.3390/diagnostics16060917
APA StyleLovoković, K., Mlinarević, D., Kopačin, V., Grigić, M., Arambašić, J., Jurić, I., & Turk, T. (2026). Multimodality Diagnostics and Endovascular Large-Bore Aspiration Thrombectomy of the Clot-in-Transit. Diagnostics, 16(6), 917. https://doi.org/10.3390/diagnostics16060917

