Unmasking the Apex: Multimodality Imaging for the Evaluation of Left Ventricular Apical Obliteration
Abstract
1. Introduction
2. Normal Anatomy and Variability of the Left Ventricular Apex
3. Imaging Modalities for the LV Apex
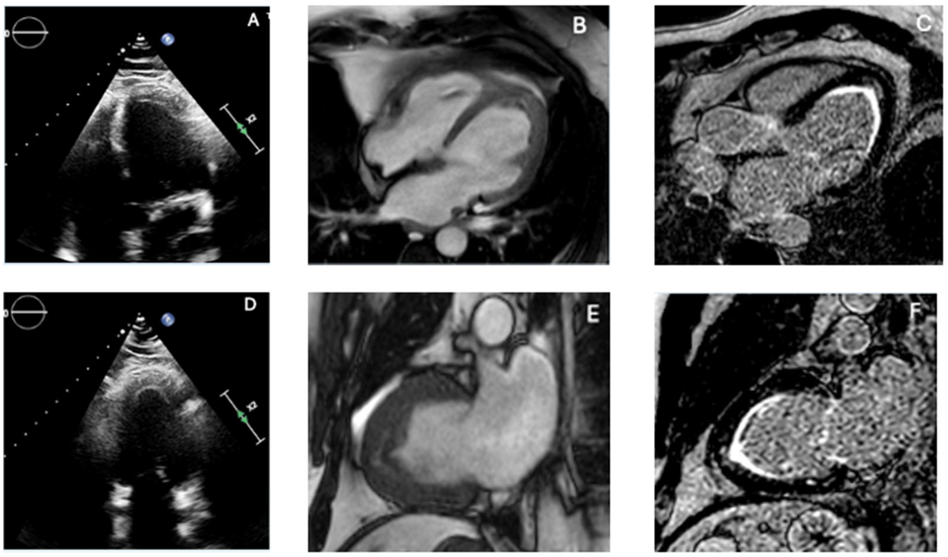
3.1. Echocardiography
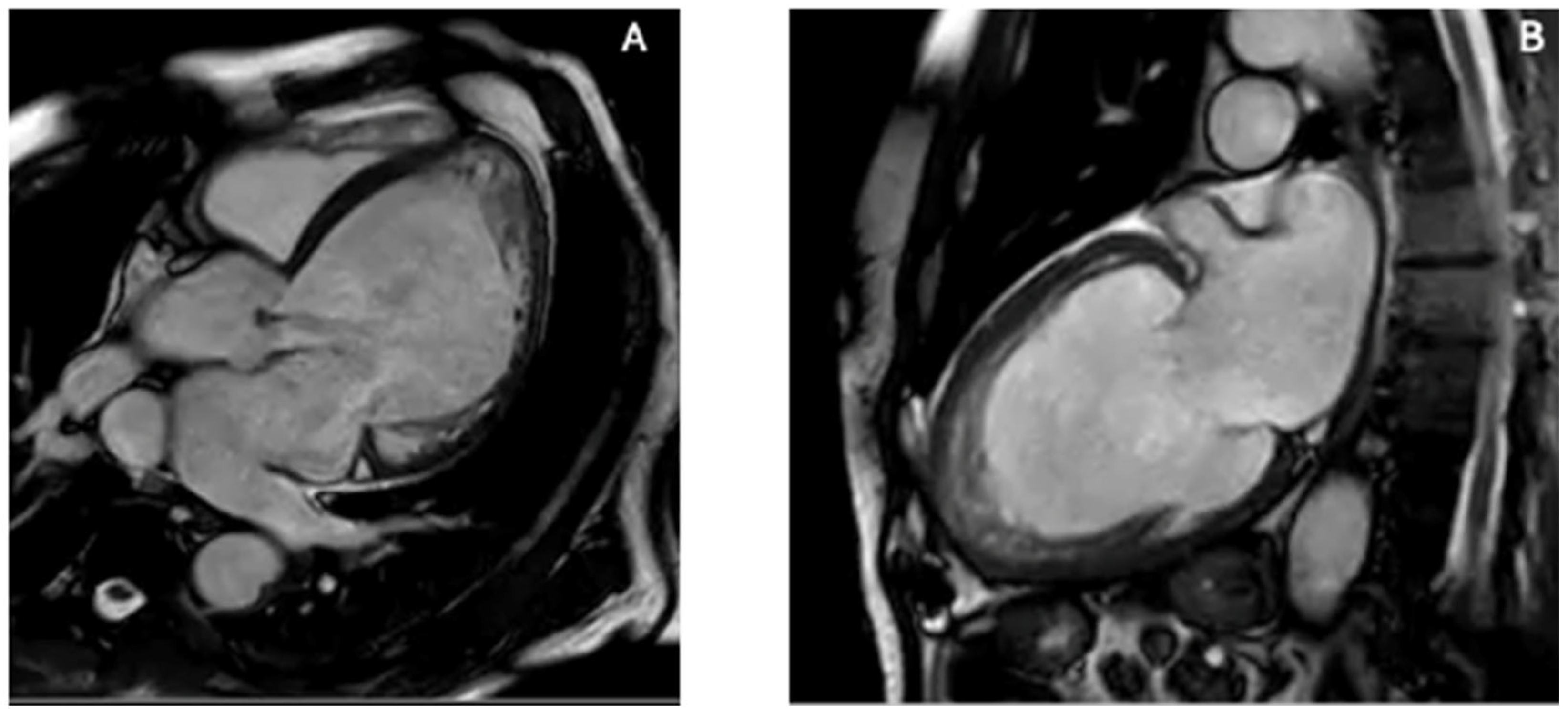
3.2. Cardiac Magnetic Resonance
3.3. Computed Tomography
4. Differential Diagnosis of LV Apical Obliteration
4.1. Apical Thrombosis
4.2. Apical Hypertrophic Cardiomyopathy
4.3. Left Ventricular Non-Compaction
4.4. Endomyocardial Fibrosis/Hypereosinophilic Syndrome
4.5. Cardiac Amyloidosis and Atypical Apical Involvement
4.6. Intracardiac Tumors
5. A Practical Multimodality Imaging Approach
6. Conclusions and Future Prospective
Author Contributions
Funding
Institutional Review Board Statement
Informed Consent Statement
Data Availability Statement
Conflicts of Interest
Abbreviations
| 4D Flow | Four-dimensional flow magnetic resonance imaging |
| AL | Immunoglobulin light-chain amyloidosis |
| ApHCM | Apical hypertrophic cardiomyopathy |
| ATTR | Transthyretin amyloidosis |
| CA | Cardiac amyloidosis |
| CMR | Cardiac magnetic resonance |
| cCT/CCTA | Cardiac computed tomography/Coronary CT angiography |
| CT | Computed tomography |
| DD | Differential diagnosis |
| ECV | Extracellular volume |
| EF | Ejection fraction |
| EMF | Endomyocardial fibrosis |
| FDG-PET | Fluorodeoxyglucose positron emission tomography |
| GLS | Global longitudinal strain |
| HCM | Hypertrophic cardiomyopathy |
| HFpEF | Heart failure with preserved ejection fraction |
| LGE | Late gadolinium enhancement |
| LV | Left ventricle/left-ventricular |
| LVH | Left-ventricular hypertrophy |
| LVNC | Left-ventricular non-compaction |
| LVT | Left-ventricular thrombus |
| MVO | Microvascular obstruction |
| NC/C ratio | Non-compacted to compacted myocardial thickness ratio |
| PET/CT | Positron emission tomography–computed tomography |
| RELAPS | Relative apical sparing |
| SSFP | Steady-state free precession |
| STE | Speckle-tracking echocardiography |
| T1/T2 mapping | Parametric mapping magnetic resonance sequences |
| TEE | Transesophageal echocardiography |
| TTE | Transthoracic echocardiography |
| UEA | Ultrasound-enhancing agents |
| wtATTR | Wild-type transthyretin amyloidosis |
References
- Cisneros, S.; Duarte, R.; Fernandez-Perez, G.C.; Castellon, D.; Calatayud, J.; Lecumberri, I.; Larrazabal, E.; Ruiz, B.I. Left ventricular apical diseases. Insights Imaging 2011, 2, 471–482. [Google Scholar] [CrossRef] [PubMed]
- Gellen, B.; Biere, L.; Logeart, D.; Lairez, O.; Vicaut, E.; Furber, A.; Mercadier, J.J.; Sirol, M. Timing of Cardiac Magnetic Resonance Imaging Impacts on the Detection Rate of Left Ventricular Thrombus After Myocardial Infarction. JACC Cardiovasc. Imaging 2017, 10, 1404–1405. [Google Scholar] [CrossRef]
- Liao, S.; Jin, P.; Miao, R.; Huang, X. Multimodality imaging for the diagnosis of left ventricular apical hypoplasia: A case presentation and review of the literatures. Echocardiography 2024, 41, e15793. [Google Scholar] [CrossRef]
- Ito, S.; Isotani, A.; Yamaji, K.; Ando, K. Follow-up magnetic resonance imaging of Loffler endocarditis: A case report. Eur. Heart J. Case Rep. 2020, 4, 1–4. [Google Scholar] [CrossRef]
- Leo, I.; Dellegrottaglie, S.; Scatteia, A.; Torella, D.; Abete, R.; Aquaro, G.D.; Baggiano, A.; Barison, A.; Bogaert, J.; Calo, L.; et al. CarDiac magnEtic Resonance for prophylactic Implantable-cardioVerter defibrillAtor ThErapy in Non-Dilated Left Ventricular Cardiomyopathy: A sub-study from the DERIVATE Registry. Eur. Heart J. Cardiovasc. Imaging 2025, 26, 1233–1241. [Google Scholar] [CrossRef]
- Corrado, P.A.; Macdonald, J.A.; Francois, C.J.; Aggarwal, N.R.; Weinsaft, J.W.; Wieben, O. Reduced regional flow in the left ventricle after anterior acute myocardial infarction: A case control study using 4D flow MRI. BMC Med. Imaging 2019, 19, 101. [Google Scholar] [CrossRef]
- Huang, G.; Fadl, S.A.; Sukhotski, S.; Matesan, M. Apical variant hypertrophic cardiomyopathy “multimodality imaging evaluation”. Int. J. Cardiovasc. Imaging 2020, 36, 553–561. [Google Scholar] [CrossRef]
- Johnson, K.M.; Johnson, H.E.; Dowe, D.A. Left ventricular apical thinning as normal anatomy. J. Comput. Assist. Tomogr. 2009, 33, 334–337. [Google Scholar] [CrossRef] [PubMed]
- Crucean, A.; Spicer, D.E.; Tretter, J.T.; Mohun, T.J.; Cook, A.C.; Sanchez-Quintana, D.; Hikspoors, J.; Lamers, W.H.; Anderson, R.H. Revisiting the anatomy of the left ventricle in the light of knowledge of its development. J. Anat. 2024, 245, 201–216. [Google Scholar] [CrossRef] [PubMed]
- Kawano, H.; Watanabe, J.; Akiyama-Uchida, Y.; Maemura, K. Crypt of the left ventricular apex. Eur. Heart J. Cardiovasc. Imaging 2023, 24, e204. [Google Scholar] [CrossRef]
- Dentamaro, I.; Dicorato, M.M.; Falagario, A.; Cicco, S.; Dentamaro, S.; Correale, M.; Manuppelli, V.; Citarelli, G.; Mangini, F.; Fiore, C.; et al. The Evolving Role of Cardiac Imaging in Hypertrophic Cardiomyopathy: Diagnosis, Prognosis, and Clinical Practice. Biomedicines 2025, 13, 2138. [Google Scholar] [CrossRef]
- Lang, R.M.; Badano, L.P.; Mor-Avi, V.; Afilalo, J.; Armstrong, A.; Ernande, L.; Flachskampf, F.A.; Foster, E.; Goldstein, S.A.; Kuznetsova, T.; et al. Recommendations for cardiac chamber quantification by echocardiography in adults: An update from the American Society of Echocardiography and the European Association of Cardiovascular Imaging. Eur. Heart J. Cardiovasc. Imaging 2015, 16, 233–270. [Google Scholar] [CrossRef]
- Merlo, M.; Pagura, L.; Porcari, A.; Cameli, M.; Vergaro, G.; Musumeci, B.; Biagini, E.; Canepa, M.; Crotti, L.; Imazio, M.; et al. Unmasking the prevalence of amyloid cardiomyopathy in the real world: Results from Phase 2 of the AC-TIVE study, an Italian nationwide survey. Eur. J. Heart Fail. 2022, 24, 1377–1386. [Google Scholar] [CrossRef]
- Gaibazzi, N.; Porter, T.; Lorenzoni, V.; Pontone, G.; De Santis, D.; De Rosa, A.; Guaricci, A.I. Effect of Coronary Revascularization on the Prognostic Value of Stress Myocardial Contrast Wall Motion and Perfusion Imaging. J. Am. Heart Assoc. 2017, 6, e006202. [Google Scholar] [CrossRef]
- Porter, T.R.; Mulvagh, S.L.; Abdelmoneim, S.S.; Becher, H.; Belcik, J.T.; Bierig, M.; Choy, J.; Gaibazzi, N.; Gillam, L.D.; Janardhanan, R.; et al. Clinical Applications of Ultrasonic Enhancing Agents in Echocardiography: 2018 American Society of Echocardiography Guidelines Update. J. Am. Soc. Echocardiogr. 2018, 31, 241–274. [Google Scholar] [CrossRef]
- Abdelmoneim, S.S.; Pellikka, P.A.; Mulvagh, S.L. Contrast echocardiography for assessment of left ventricular thrombi. J. Ultrasound Med. 2014, 33, 1337–1344. [Google Scholar] [CrossRef]
- Chebrolu, L.H.; Mehta, A.M.; Nanda, N.C. Noncompaction cardiomyopathy: The role of advanced multimodality imaging techniques in diagnosis and assessment. Echocardiography 2017, 34, 279–289. [Google Scholar] [CrossRef] [PubMed]
- Terpenning, S.; White, C.S. Imaging pitfalls, normal anatomy, and anatomical variants that can simulate disease on cardiac imaging as demonstrated on multidetector computed tomography. Acta Radiol. Short. Rep. 2015, 4, 2047981614562443. [Google Scholar] [CrossRef] [PubMed]
- Pontone, G.; Guaricci, A.I.; Fusini, L.; Baggiano, A.; Guglielmo, M.; Muscogiuri, G.; Volpe, A.; Abete, R.; Aquaro, G.; Barison, A.; et al. Cardiac Magnetic Resonance for Prophylactic Implantable-Cardioverter Defibrillator Therapy in Ischemic Cardiomyopathy: The DERIVATE-ICM International Registry. JACC Cardiovasc. Imaging 2023, 16, 1387–1400. [Google Scholar] [CrossRef] [PubMed]
- Moscoso, J.; Velarde-Acosta, K.; Vinas, A.; Benites-Yshpilco, L.; Cachicatari-Beltran, A.; Cupe-Chacalcaje, K.; Falcon-Quispe, L.; Baltodano-Arellano, R. Multimodality imaging analysis of the spectrum of endomyocardial fibrosis involvement in a clinical case series. Eur. Heart J. Case Rep. 2025, 9, ytaf039. [Google Scholar] [CrossRef]
- Todiere, G.; Barison, A.; Baritussio, A.; Cipriani, A.; Guaricci, A.I.; Pica, S.; Indolfi, C.; Pontone, G.; Dellegrottaglie, S. Acute clinical presentation of nonischemic cardiomyopathies: Early detection by cardiovascular magnetic resonance. J. Cardiovasc. Med. 2023, 24, e36–e46. [Google Scholar] [CrossRef]
- Baggiano, A.; Del Torto, A.; Guglielmo, M.; Muscogiuri, G.; Fusini, L.; Babbaro, M.; Collevecchio, A.; Mollace, R.; Scafuri, S.; Mushtaq, S.; et al. Role of CMR Mapping Techniques in Cardiac Hypertrophic Phenotype. Diagnostics 2020, 10, 770. [Google Scholar] [CrossRef]
- Forleo, C.; Carella, M.C.; Basile, P.; Mandunzio, D.; Greco, G.; Napoli, G.; Carulli, E.; Dicorato, M.M.; Dentamaro, I.; Santobuono, V.E.; et al. The Role of Magnetic Resonance Imaging in Cardiomyopathies in the Light of New Guidelines: A Focus on Tissue Mapping. J. Clin. Med. 2024, 13, 2621. [Google Scholar] [CrossRef] [PubMed]
- Cardim, N.; Haugaa, K.; Mohiddin, S.A.; Hinojar, R.; Hirsch, A.; Szabo, L.; Podlesnikar, T.; Dall’Armellina, E.; Cameli, M.; Mandoli, G.E.; et al. Role of multimodality cardiac imaging in the management of patients with hypertrophic cardiomyopathy in 2025. A Clinical Consensus Statement of the European Association of Cardiovascular Imaging (EACVI) of the ESC. Eur. Heart J. Cardiovasc. Imaging 2025, 2025, jeaf282. [Google Scholar] [CrossRef]
- Coenen, A.; Kim, Y.H.; Kruk, M.; Tesche, C.; De Geer, J.; Kurata, A.; Lubbers, M.L.; Daemen, J.; Itu, L.; Rapaka, S.; et al. Diagnostic Accuracy of a Machine-Learning Approach to Coronary Computed Tomographic Angiography-Based Fractional Flow Reserve: Result From the MACHINE Consortium. Circ. Cardiovasc. Imaging 2018, 11, e007217. [Google Scholar] [CrossRef] [PubMed]
- Ostovaneh, M.R.; Vavere, A.L.; Mehra, V.C.; Kofoed, K.F.; Matheson, M.B.; Arbab-Zadeh, A.; Fujisawa, Y.; Schuijf, J.D.; Rochitte, C.E.; Scholte, A.J.; et al. Diagnostic accuracy of semi-automatic quantitative metrics as an alternative to expert reading of CT myocardial perfusion in the CORE320 study. J. Cardiovasc. Comput. Tomogr. 2018, 12, 212–219. [Google Scholar] [CrossRef] [PubMed]
- Pontone, G.; Andreini, D.; Bartorelli, A.L.; Bertella, E.; Mushtaq, S.; Gripari, P.; Loguercio, M.; Cortinovis, S.; Baggiano, A.; Conte, E.; et al. Comparison of accuracy of aortic root annulus assessment with cardiac magnetic resonance versus echocardiography and multidetector computed tomography in patients referred for transcatheter aortic valve implantation. Am. J. Cardiol. 2013, 112, 1790–1799. [Google Scholar] [CrossRef]
- Maragna, R.; Mushtaq, S.; Baggiano, A.; Annoni, A.; Carerj, M.L.; Cilia, F.; Fazzari, F.; Formenti, A.; Fusini, L.; Mancini, E.; et al. Cardiac computed tomography: From anatomy to function. Eur. Heart J. Suppl. 2023, 25, C49–C57. [Google Scholar] [CrossRef]
- Bhandari, M.; Punnanithinont, N.; Budoff, M. Cardiac CT in the diagnosis and follow-up of left ventricular thrombus: A case report. Int. J. Cardiovasc. Imaging 2025, 41, 1631–1635. [Google Scholar] [CrossRef]
- Papanastasiou, C.A.; Zegkos, T.; Kokkinidis, D.G.; Parcharidou, D.; Karamitsos, T.D.; Efthimiadis, G.K. Prognostic role of left ventricular apical aneurysm in hypertrophic cardiomyopathy: A systematic review and meta-analysis. Int. J. Cardiol. 2021, 339, 108. [Google Scholar] [CrossRef]
- Saba, S.G.; Makaryus, J.N.; Rahmani, N.; Jadonath, R. Histologic Sequelae of Apical Hypertrophic Cardiomyopathy: Dystrophic Calcification. Clin. Med. Insights Cardiol. 2017, 11, 1179546817710934. [Google Scholar] [CrossRef]
- Guaricci, A.I.; Arcadi, T.; Brunetti, N.D.; Maffei, E.; Montrone, D.; Martini, C.; De Luca, M.; De Rosa, F.; Cocco, D.; Midiri, M.; et al. Carotid intima media thickness and coronary atherosclerosis linkage in symptomatic intermediate risk patients evaluated by coronary computed tomography angiography. Int. J. Cardiol. 2014, 176, 988–993. [Google Scholar] [CrossRef] [PubMed]
- Crean, A.M.; Small, G.R.; Saleem, Z.; Maharajh, G.; Ruel, M.; Chow, B.J.W. Application of Cardiovascular Computed Tomography to the Assessment of Patients With Hypertrophic Cardiomyopathy. Am. J. Cardiol. 2023, 205, 481–492. [Google Scholar] [CrossRef]
- Cruz Rodriguez, J.B.; Okajima, K.; Greenberg, B.H. Management of left ventricular thrombus: A narrative review. Ann. Transl. Med. 2021, 9, 520. [Google Scholar] [CrossRef] [PubMed]
- Allard, L.; Bernhard, B.; Windecker, S.; Valgimigli, M.; Grani, C. Left ventricular thrombus in ischaemic heart disease: Diagnosis, treatment, and gaps of knowledge. Eur. Heart J. Qual. Care Clin. Outcomes 2022, 8, 496–509. [Google Scholar] [CrossRef] [PubMed]
- Chang, P.; Xiao, J.; Hu, Z.; Kwan, A.C.; Fan, Z. Imaging of left heart intracardiac thrombus: Clinical needs, current imaging, and emerging cardiac magnetic resonance techniques. Ther. Adv. Cardiovasc. Dis. 2022, 16, 17539447221107737. [Google Scholar] [CrossRef]
- Leitman, M.; Tyomkin, V. Postprocessing Method for Enhanced Left Ventricular Thrombus Detection in Echocardiography. Medicina 2024, 60, 1815. [Google Scholar] [CrossRef]
- Becher, H.; Helfen, A.; Michels, G.; Gaibazzi, N.; Senior, R.; Dietrich, C.F. How to Perform Cardiac Contrast-Enhanced Ultrasound (cCEUS): Part I. Diagnostics 2025, 15, 1743. [Google Scholar] [CrossRef]
- Weinsaft, J.W.; Kim, R.J.; Ross, M.; Krauser, D.; Manoushagian, S.; LaBounty, T.M.; Cham, M.D.; Min, J.K.; Healy, K.; Wang, Y.; et al. Contrast-enhanced anatomic imaging as compared to contrast-enhanced tissue characterization for detection of left ventricular thrombus. JACC Cardiovasc. Imaging 2009, 2, 969–979. [Google Scholar] [CrossRef]
- Phuah, Y.; Tan, Y.X.; Zaghloul, S.; Sim, S.; Wong, J.; Usmani, S.; Snell, L.; Thavabalan, K.; Garcia-Perez, C.L.; Kumar, N.S.; et al. A systematic review and meta-analysis of transthoracic echocardiogram vs. cardiac magnetic resonance imaging for the detection of left ventricular thrombus. Eur. Heart J. Imaging Methods Pract. 2023, 1, qyad041. [Google Scholar] [CrossRef]
- Goyal, P.; Weinsaft, J.W. Cardiovascular magnetic resonance imaging for assessment of cardiac thrombus. Methodist. Debakey Cardiovasc. J. 2013, 9, 132–136. [Google Scholar] [CrossRef]
- Kaolawanich, Y.; Boonyasirinant, T. Usefulness of apical area index to predict left ventricular thrombus in patients with systolic dysfunction: A novel index from cardiac magnetic resonance. BMC Cardiovasc. Disord. 2019, 19, 15. [Google Scholar] [CrossRef]
- Sakakibara, T.; Suwa, K.; Ushio, T.; Wakayama, T.; Alley, M.; Saotome, M.; Satoh, H.; Maekawa, Y. Intra-Left Ventricular Hemodynamics Assessed with 4D Flow Magnetic Resonance Imaging in Patients with Left Ventricular Thrombus. Int. Heart J. 2021, 62, 1287–1296. [Google Scholar] [CrossRef]
- Yamaguchi, H.; Ishimura, T.; Nishiyama, S.; Nagasaki, F.; Nakanishi, S.; Takatsu, F.; Nishijo, T.; Umeda, T.; Machii, K. Hypertrophic nonobstructive cardiomyopathy with giant negative T waves (apical hypertrophy): Ventriculographic and echocardiographic features in 30 patients. Am. J. Cardiol. 1979, 44, 401–412. [Google Scholar] [CrossRef] [PubMed]
- Wang, C.; Zhou, W.; Geske, J.B.; Zhu, Y.; Tian, J.; Liu, S.; Wang, H.; Chen, X.; Tang, Q.; Deng, Y.; et al. Clinical Implications of Left Ventricular Apex Mechanics in Patients With Apical Hypertrophic Cardiomyopathy. J. Am. Soc. Echocardiogr. 2024, 37, 1145–1155. [Google Scholar] [CrossRef]
- Towe, E.C.; Bos, J.M.; Ommen, S.R.; Gersh, B.J.; Ackerman, M.J. Genotype-Phenotype Correlations in Apical Variant Hypertrophic Cardiomyopathy. Congenit. Heart Dis. 2015, 10, E139–E145. [Google Scholar] [CrossRef] [PubMed]
- Dicorato, M.M.; Basile, P.; Naccarati, M.L.; Carella, M.C.; Dentamaro, I.; Falagario, A.; Cicco, S.; Forleo, C.; Guaricci, A.I.; Ciccone, M.M.; et al. Predicting New-Onset Atrial Fibrillation in Hypertrophic Cardiomyopathy: A Review. J. Clin. Med. 2025, 14, 2018. [Google Scholar] [CrossRef] [PubMed]
- Dicorato, M.M.; Citarelli, G.; Mangini, F.; Alemanni, R.; Albanese, M.; Cicco, S.; Greco, C.A.; Forleo, C.; Basile, P.; Carella, M.C.; et al. Integrative Approaches in the Management of Hypertrophic Cardiomyopathy: A Comprehensive Review of Current Therapeutic Modalities. Biomedicines 2025, 13, 1256. [Google Scholar] [CrossRef]
- Kim, H.; Park, J.H.; Won, K.B.; Yoon, H.J.; Park, H.S.; Cho, Y.K.; Nam, C.W.; Han, S.; Hur, S.H.; Kim, Y.N.; et al. Significance of apical cavity obliteration in apical hypertrophic cardiomyopathy. Heart 2016, 102, 1215–1220. [Google Scholar] [CrossRef]
- Yang, Y.; Wu, D.; Wang, H.; Wang, Y. Prognostic value of global longitudinal strain in hypertrophic cardiomyopathy: A systematic review and meta-analysis. Clin. Cardiol. 2022, 45, 1184–1191. [Google Scholar] [CrossRef]
- Chang, S.A.; Kim, H.K.; Kim, D.H.; Kim, J.C.; Kim, Y.J.; Kim, H.C.; Sohn, D.W.; Oh, B.H.; Park, Y.B. Left ventricular twist mechanics in patients with apical hypertrophic cardiomyopathy: Assessment with 2D speckle tracking echocardiography. Heart 2010, 96, 49–55. [Google Scholar] [CrossRef]
- Avegliano, G.P.; Costabel, J.P.; Asch, F.M.; Sciancalepore, A.; Kuschnir, P.; Huguet, M.; Tobon-Gomez, C.; Frangi, A.F.; Ronderos, R. Utility of Real Time 3D Echocardiography for the Assessment of Left Ventricular Mass in Patients with Hypertrophic Cardiomyopathy: Comparison with Cardiac Magnetic Resonance. Echocardiography 2016, 33, 431–436. [Google Scholar] [CrossRef]
- Mandes, L.; Rosca, M.; Ciuperca, D.; Popescu, B.A. The role of echocardiography for diagnosis and prognostic stratification in hypertrophic cardiomyopathy. J. Echocardiogr. 2020, 18, 137–148. [Google Scholar] [CrossRef]
- Karamarkou, C.; Babady, M.; Maltsinioti, C.; Bruder, O. Update on Imaging in Hypertrophic Cardiomyopathy. Echocardiography 2025, 42, e70146. [Google Scholar] [CrossRef] [PubMed]
- Chan, R.H.; van der Wal, L.; Liberato, G.; Rowin, E.; Soslow, J.; Maskatia, S.; Chan, S.; Shah, A.; Fogel, M.; Hernandez, L.; et al. Myocardial Scarring and Sudden Cardiac Death in Young Patients With Hypertrophic Cardiomyopathy: A Multicenter Cohort Study. JAMA Cardiol. 2024, 9, 1001–1008. [Google Scholar] [CrossRef] [PubMed]
- Carella, M.C.; Forleo, C.; Caretto, P.; Naccarati, M.L.; Dentamaro, I.; Dicorato, M.M.; Basile, P.; Carulli, E.; Latorre, M.D.; Baggiano, A.; et al. Overcoming Resistance in Anderson-Fabry Disease: Current Therapeutic Challenges and Future Perspectives. J. Clin. Med. 2024, 13, 7195. [Google Scholar] [CrossRef]
- Dicorato, M.M.; Basile, P.; Muscogiuri, G.; Carella, M.C.; Naccarati, M.L.; Dentamaro, I.; Guglielmo, M.; Baggiano, A.; Mushtaq, S.; Fusini, L.; et al. Novel Insights into Non-Invasive Diagnostic Techniques for Cardiac Amyloidosis: A Critical Review. Diagnostics 2024, 14, 2249. [Google Scholar] [CrossRef]
- Zein, R.K.; Al-Faham, Z.; Mouabbi, J.A.; Daher, E.R. An Uncommon Variant of an Uncommon Disease: A Caucasian Adolescent with Apical Hypertrophic Cardiomyopathy Diagnosed with Myocardial Perfusion Imaging. World J. Nucl. Med. 2017, 16, 251–254. [Google Scholar] [CrossRef]
- Captur, G.; Nihoyannopoulos, P. Left ventricular non-compaction: Genetic heterogeneity, diagnosis and clinical course. Int. J. Cardiol. 2010, 140, 145–153. [Google Scholar] [CrossRef]
- Prada, O.; Bouzas-Mosquera, A.; Alvarez-Garcia, N. Apical hypertrophic cardiomyopathy or left ventricular non-compaction? Arch. Cardiovasc. Dis. 2010, 103, 273–274. [Google Scholar] [CrossRef] [PubMed]
- Gerecke, B.J.; Engberding, R. Noncompaction Cardiomyopathy-History and Current Knowledge for Clinical Practice. J. Clin. Med. 2021, 10, 2457. [Google Scholar] [CrossRef]
- Arbelo, E.; Protonotarios, A.; Gimeno, J.R.; Arbustini, E.; Barriales-Villa, R.; Basso, C.; Bezzina, C.R.; Biagini, E.; Blom, N.A.; de Boer, R.A.; et al. 2023 ESC Guidelines for the management of cardiomyopathies. Eur. Heart J. 2023, 44, 3503–3626. [Google Scholar] [CrossRef] [PubMed]
- Rao, K.; Bhaskaran, A.; Choudhary, P.; Tan, T.C. The role of multimodality imaging in the diagnosis of left ventricular noncompaction. Eur. J. Clin. Investig. 2020, 50, e13254. [Google Scholar] [CrossRef]
- Jenni, R.; Oechslin, E.; Schneider, J.; Attenhofer Jost, C.; Kaufmann, P.A. Echocardiographic and pathoanatomical characteristics of isolated left ventricular non-compaction: A step towards classification as a distinct cardiomyopathy. Heart 2001, 86, 666–671. [Google Scholar] [CrossRef]
- Grothoff, M.; Pachowsky, M.; Hoffmann, J.; Posch, M.; Klaassen, S.; Lehmkuhl, L.; Gutberlet, M. Value of cardiovascular MR in diagnosing left ventricular non-compaction cardiomyopathy and in discriminating between other cardiomyopathies. Eur. Radiol. 2012, 22, 2699–2709. [Google Scholar] [CrossRef]
- Lorca, R.; Martin, M.; Gomez, J.; Santamarta, E.; Moris, C.; Reguero, J.J.; Coto, E. Hypertrophic cardiomyopathy and left ventricular non-compaction: Different manifestations of the same cardiomyopathy spectrum? Int. J. Cardiol. 2015, 190, 26–28. [Google Scholar] [CrossRef]
- Chin, T.K.; Perloff, J.K.; Williams, R.G.; Jue, K.; Mohrmann, R. Isolated noncompaction of left ventricular myocardium. A study of eight cases. Circulation 1990, 82, 507–513. [Google Scholar] [CrossRef]
- Stollberger, C.; Blazek, G.; Dobias, C.; Hanafin, A.; Wegner, C.; Finsterer, J. Frequency of stroke and embolism in left ventricular hypertrabeculation/noncompaction. Am. J. Cardiol. 2011, 108, 1021–1023. [Google Scholar] [CrossRef] [PubMed]
- Kohli, S.K.; Pantazis, A.A.; Shah, J.S.; Adeyemi, B.; Jackson, G.; McKenna, W.J.; Sharma, S.; Elliott, P.M. Diagnosis of left-ventricular non-compaction in patients with left-ventricular systolic dysfunction: Time for a reappraisal of diagnostic criteria? Eur. Heart J. 2008, 29, 89–95. [Google Scholar] [CrossRef]
- Aras, D.; Tufekcioglu, O.; Ergun, K.; Ozeke, O.; Yildiz, A.; Topaloglu, S.; Deveci, B.; Sahin, O.; Kisacik, H.L.; Korkmaz, S. Clinical features of isolated ventricular noncompaction in adults long-term clinical course, echocardiographic properties, and predictors of left ventricular failure. J. Card. Fail. 2006, 12, 726–733. [Google Scholar] [CrossRef]
- Mavrogeni, S.I.; Markousis-Mavrogenis, G.; Vartela, V.; Manolopoulou, D.; Abate, E.; Hamadanchi, A.; Rigopoulos, A.G.; Kolovou, G.; Noutsias, M. The pivotal role of cardiovascular imaging in the identification and risk stratification of non-compaction cardiomyopathy patients. Heart Fail. Rev. 2020, 25, 1007–1015. [Google Scholar] [CrossRef]
- Petersen, S.E.; Selvanayagam, J.B.; Wiesmann, F.; Robson, M.D.; Francis, J.M.; Anderson, R.H.; Watkins, H.; Neubauer, S. Left ventricular non-compaction: Insights from cardiovascular magnetic resonance imaging. J. Am. Coll. Cardiol. 2005, 46, 101–105. [Google Scholar] [CrossRef]
- Jacquier, A.; Thuny, F.; Jop, B.; Giorgi, R.; Cohen, F.; Gaubert, J.Y.; Vidal, V.; Bartoli, J.M.; Habib, G.; Moulin, G. Measurement of trabeculated left ventricular mass using cardiac magnetic resonance imaging in the diagnosis of left ventricular non-compaction. Eur. Heart J. 2010, 31, 1098–1104. [Google Scholar] [CrossRef]
- Nagumo, S.; Ebato, M.; Kurata, M.; Wakabayashi, K.; Shimojima, H.; Sato, T.; Hori, Y.; Suzuki, H. A Case With Apical Hypertrophic Cardiomyopathy, Multiple Coronary Artery-Left Ventricular Fistulae, and a Morphological Structure Mimicking Left Ventricular Noncompaction: Statue of Cerberus or Double-Headed Eagle? Circulation 2015, 131, 2161–2163. [Google Scholar] [CrossRef]
- Toader, D.; Paraschiv, A.; Tudorascu, P.; Tudorascu, D.; Bataiosu, C.; Balseanu, A. Left ventricular noncompaction-a rare cause of triad: Heart failure, ventricular arrhythmias, and systemic embolic events: A case report. J. Med. Case Rep. 2021, 15, 316. [Google Scholar] [CrossRef] [PubMed]
- Tavares de Melo, M.D.; de Araujo Filho, J.A.; Parga Filho, J.R.; de Lima, C.R.; Mady, C.; Kalil-Filho, R.; Salemi, V.M. Noncompaction cardiomyopathy: A substrate for a thromboembolic event. BMC Cardiovasc. Disord. 2015, 15, 7. [Google Scholar] [CrossRef] [PubMed]
- Chaosuwannakit, N.; Makarawate, P. Left Ventricular Thrombi: Insights from Cardiac Magnetic Resonance Imaging. Tomography 2021, 7, 180–188. [Google Scholar] [CrossRef]
- de Carvalho, F.P.; Azevedo, C.F. Comprehensive Assessment of Endomyocardial Fibrosis with Cardiac MRI: Morphology, Function, and Tissue Characterization. Radiographics 2020, 40, 336–353. [Google Scholar] [CrossRef] [PubMed]
- Niemeijer, N.D.; van Daele, P.L.; Caliskan, K.; Oei, F.B.; Loosveld, O.J.; van der Meer, N.J. Loffler endocarditis: A rare cause of acute cardiac failure. J. Cardiothorac. Surg. 2012, 7, 109. [Google Scholar] [CrossRef]
- Polito, M.V.; Hagendorff, A.; Citro, R.; Prota, C.; Silverio, A.; De Angelis, E.; Klingel, K.; Metze, M.; Stobe, S.; Hoffmann, K.T.; et al. Loeffler’s Endocarditis: An Integrated Multimodality Approach. J. Am. Soc. Echocardiogr. 2020, 33, 1427–1441. [Google Scholar] [CrossRef]
- Gottdiener, J.S.; Maron, B.J.; Schooley, R.T.; Harley, J.B.; Roberts, W.C.; Fauci, A.S. Two-dimensional echocardiographic assessment of the idiopathic hypereosinophilic syndrome. Anatomic basis of mitral regurgitation and peripheral embolization. Circulation 1983, 67, 572–578. [Google Scholar] [CrossRef]
- Nagueh, S.F.; Smiseth, O.A.; Appleton, C.P.; Byrd, B.F., 3rd; Dokainish, H.; Edvardsen, T.; Flachskampf, F.A.; Gillebert, T.C.; Klein, A.L.; Lancellotti, P.; et al. Recommendations for the Evaluation of Left Ventricular Diastolic Function by Echocardiography: An Update from the American Society of Echocardiography and the European Association of Cardiovascular Imaging. Eur. Heart J. Cardiovasc. Imaging 2016, 17, 1321–1360. [Google Scholar] [CrossRef] [PubMed]
- Bozcali, E.; Aliyev, F.; Agac, M.T.; Erkan, H.; Okcun, B.; Babalik, E.; Karpuz, H. Unusual case of aortic valve involvement in patient with Loffler’s endomyocarditis: Management, follow-up and short review of the literature. J. Thromb. Thrombolysis 2007, 24, 309–313. [Google Scholar] [CrossRef]
- Shah, R.; Ananthasubramaniam, K. Evaluation of cardiac involvement in hypereosinophilic syndrome: Complementary roles of transthoracic, transesophageal, and contrast echocardiography. Echocardiography 2006, 23, 689–691. [Google Scholar] [CrossRef]
- Mankad, R.; Bonnichsen, C.; Mankad, S. Hypereosinophilic syndrome: Cardiac diagnosis and management. Heart 2016, 102, 100–106. [Google Scholar] [CrossRef] [PubMed]
- Yamamoto, T.; Tanaka, H.; Kurimoto, C.; Imanishi, T.; Hayashi, N.; Saegusa, J.; Morinobu, A.; Hirata, K.I.; Kawano, S. Very early stage left ventricular endocardial dysfunction of patients with hypereosinophilic syndrome. Int. J. Cardiovasc. Imaging 2016, 32, 1357–1361. [Google Scholar] [CrossRef] [PubMed]
- Imbriaco, M.; Nappi, C.; Puglia, M.; De Giorgi, M.; Dell’Aversana, S.; Cuocolo, R.; Ponsiglione, A.; De Giorgi, I.; Polito, M.V.; Klain, M.; et al. Assessment of acute myocarditis by cardiac magnetic resonance imaging: Comparison of qualitative and quantitative analysis methods. J. Nucl. Cardiol. 2019, 26, 857–865. [Google Scholar] [CrossRef]
- Salemi, V.M.; Rochitte, C.E.; Shiozaki, A.A.; Andrade, J.M.; Parga, J.R.; de Avila, L.F.; Benvenuti, L.A.; Cestari, I.N.; Picard, M.H.; Kim, R.J.; et al. Late gadolinium enhancement magnetic resonance imaging in the diagnosis and prognosis of endomyocardial fibrosis patients. Circ. Cardiovasc. Imaging 2011, 4, 304–311. [Google Scholar] [CrossRef]
- Mahrholdt, H.; Wagner, A.; Judd, R.M.; Sechtem, U.; Kim, R.J. Delayed enhancement cardiovascular magnetic resonance assessment of non-ischaemic cardiomyopathies. Eur. Heart J. 2005, 26, 1461–1474. [Google Scholar] [CrossRef]
- Garcia-Pavia, P.; Rapezzi, C.; Adler, Y.; Arad, M.; Basso, C.; Brucato, A.; Burazor, I.; Caforio, A.L.P.; Damy, T.; Eriksson, U.; et al. Diagnosis and treatment of cardiac amyloidosis: A position statement of the ESC Working Group on Myocardial and Pericardial Diseases. Eur. Heart J. 2021, 42, 1554–1568. [Google Scholar] [CrossRef]
- Cacoub, P.; Axler, O.; De Zuttere, D.; Hausfater, P.; Amoura, Z.; Walter, S.; Wechsler, B.; Godeau, P.; Piette, J.C. Amyloidosis and cardiac involvement. Ann. Med. Interne 2000, 151, 611–617. [Google Scholar]
- Benson, M.D.; Buxbaum, J.N.; Eisenberg, D.S.; Merlini, G.; Saraiva, M.J.M.; Sekijima, Y.; Sipe, J.D.; Westermark, P. Amyloid nomenclature 2018: Recommendations by the International Society of Amyloidosis (ISA) nomenclature committee. Amyloid 2018, 25, 215–219. [Google Scholar] [CrossRef]
- Heidenreich, P.A.; Bozkurt, B.; Aguilar, D.; Allen, L.A.; Byun, J.J.; Colvin, M.M.; Deswal, A.; Drazner, M.H.; Dunlay, S.M.; Evers, L.R.; et al. 2022 AHA/ACC/HFSA Guideline for the Management of Heart Failure: A Report of the American College of Cardiology/American Heart Association Joint Committee on Clinical Practice Guidelines. J. Am. Coll. Cardiol. 2022, 79, e263–e421. [Google Scholar] [CrossRef] [PubMed]
- Pagura, L.; Porcari, A.; Cameli, M.; Biagini, E.; Canepa, M.; Crotti, L.; Imazio, M.; Forleo, C.; Pavasini, R.; Limongelli, G.; et al. ECG/echo indexes in the diagnostic approach to amyloid cardiomyopathy: A head-to-head comparison from the AC-TIVE study. Eur. J. Intern. Med. 2023, 122, 68–77. [Google Scholar] [CrossRef] [PubMed]
- Leitman, M.; Tyomkin, V. Apical Sparing in Routine Echocardiography: Occurrence and Clinical Significance. J. Cardiovasc. Dev. Dis. 2024, 11, 262. [Google Scholar] [CrossRef]
- Tendler, A.; Helmke, S.; Teruya, S.; Alvarez, J.; Maurer, M.S. The myocardial contraction fraction is superior to ejection fraction in predicting survival in patients with AL cardiac amyloidosis. Amyloid 2015, 22, 61–66. [Google Scholar] [CrossRef] [PubMed]
- Rapezzi, C.; Fontana, M. Relative Left Ventricular Apical Sparing of Longitudinal Strain in Cardiac Amyloidosis: Is it Just Amyloid Infiltration? JACC Cardiovasc. Imaging 2019, 12, 1174–1176. [Google Scholar] [CrossRef]
- Dorbala, S.; Ando, Y.; Bokhari, S.; Dispenzieri, A.; Falk, R.H.; Ferrari, V.A.; Fontana, M.; Gheysens, O.; Gillmore, J.D.; Glaudemans, A.; et al. ASNC/AHA/ASE/EANM/HFSA/ISA/SCMR/SNMMI expert consensus recommendations for multimodality imaging in cardiac amyloidosis: Part 1 of 2-evidence base and standardized methods of imaging. J. Nucl. Cardiol. 2019, 26, 2065–2123. [Google Scholar] [CrossRef]
- Cuddy, S.A.M.; Chetrit, M.; Jankowski, M.; Desai, M.; Falk, R.H.; Weiner, R.B.; Klein, A.L.; Phelan, D.; Grogan, M. Practical Points for Echocardiography in Cardiac Amyloidosis. J. Am. Soc. Echocardiogr. 2022, 35, A31–A40. [Google Scholar] [CrossRef]
- Nicol, M.; Baudet, M.; Brun, S.; Harel, S.; Royer, B.; Vignon, M.; Lairez, O.; Lavergne, D.; Jaccard, A.; Attias, D.; et al. Diagnostic score of cardiac involvement in AL amyloidosis. Eur. Heart J. Cardiovasc. Imaging 2020, 21, 542–548. [Google Scholar] [CrossRef]
- Chamling, B.; Drakos, S.; Bietenbeck, M.; Klingel, K.; Meier, C.; Yilmaz, A. Diagnosis of Cardiac Involvement in Amyloid A Amyloidosis by Cardiovascular Magnetic Resonance Imaging. Front. Cardiovasc. Med. 2021, 8, 757642. [Google Scholar] [CrossRef]
- Tan, Z.; Yang, Y.; Wu, X.; Li, S.; Li, L.; Zhong, L.; Lin, Q.; Fei, H.; Liao, P.; Wang, W.; et al. Left atrial remodeling and the prognostic value of feature tracking derived left atrial strain in patients with light-chain amyloidosis: A cardiovascular magnetic resonance study. Int. J. Cardiovasc. Imaging 2022, 38, 1519–1532. [Google Scholar] [CrossRef] [PubMed]
- Pan, J.A.; Kerwin, M.J.; Salerno, M. Native T1 Mapping, Extracellular Volume Mapping, and Late Gadolinium Enhancement in Cardiac Amyloidosis: A Meta-Analysis. JACC Cardiovasc. Imaging 2020, 13, 1299–1310. [Google Scholar] [CrossRef] [PubMed]
- Wan, K.; Sun, J.; Yang, D.; Liu, H.; Wang, J.; Cheng, W.; Zhang, Q.; Zeng, Z.; Zhang, T.; Greiser, A.; et al. Left Ventricular Myocardial Deformation on Cine MR Images: Relationship to Severity of Disease and Prognosis in Light-Chain Amyloidosis. Radiology 2018, 288, 73–80. [Google Scholar] [CrossRef]
- Dentamaro, I.; Guaricci, A.I.; Belahnech, Y.; Basile, P.; Pontone, G.; Rodriguez Palomares, J.F. Feature tracking cardiovascular magnetic resonance to predict major adverse cardiovascular events in patients with cardiac amyloidosis. Rev. Esp. Cardiol. 2026, 79, 88–92. [Google Scholar] [CrossRef]
- Tyebally, S.; Chen, D.; Bhattacharyya, S.; Mughrabi, A.; Hussain, Z.; Manisty, C.; Westwood, M.; Ghosh, A.K.; Guha, A. Cardiac Tumors: JACC CardioOncology State-of-the-Art Review. JACC CardioOncol. 2020, 2, 293–311. [Google Scholar] [CrossRef] [PubMed]
- Burazor, I.; Aviel-Ronen, S.; Imazio, M.; Goitein, O.; Perelman, M.; Shelestovich, N.; Radovanovic, N.; Kanjuh, V.; Barshack, I.; Adler, Y. Metastatic cardiac tumors: From clinical presentation through diagnosis to treatment. BMC Cancer 2018, 18, 202. [Google Scholar] [CrossRef] [PubMed]
- Lam, K.Y.; Dickens, P.; Chan, A.C. Tumors of the heart. A 20-year experience with a review of 12,485 consecutive autopsies. Arch. Pathol. Lab. Med. 1993, 117, 1027–1031. [Google Scholar]
- De Martino, A.; Pattuzzi, C.; Garis, S.; Bosco, F.; Virgone, V.M.; Salsano, A.; Santini, F.; Pucci, A. A Comprehensive Review of Cardiac Tumors: Imaging, Pathology, Treatment, and Challenges in the Third Millennium. Diagnostics 2025, 15, 1390. [Google Scholar] [CrossRef]
- Luca, F.; Parrini, I.; Canale, M.L.; Rao, C.M.; Nucara, M.; Pelaggi, G.; Murrone, A.; Oliva, S.; Bisceglia, I.; Sergi, A.; et al. Cardiac Metastasis: Epidemiology, Pathophysiology, and Clinical Management. Life 2025, 15, 291. [Google Scholar] [CrossRef]
- Ashraf, M.; Jahangir, A.; Jan, M.F.; Muthukumar, L.; Neitzel, G.; Tajik, A.J. Case report: Metastatic melanoma masquerading as apical hypertrophic cardiomyopathy. Front. Cardiovasc. Med. 2022, 9, 993631. [Google Scholar] [CrossRef]
- Abdullah, A.; Lekkala, M.; Wolfe, Z.; Raghu, C.; Khan, S.U.; Krishnan, M.; Winnicka, L.; Lash, B. Isolated Left Ventricular Metastasis from Renal Cell Carcinoma: Diagnostic and Therapeutic Dilemma. Case Rep. Oncol. 2018, 11, 365–371. [Google Scholar] [CrossRef]
- Napoli, G.; Pergola, V.; Basile, P.; De Feo, D.; Bertrandino, F.; Baggiano, A.; Mushtaq, S.; Fusini, L.; Fazzari, F.; Carrabba, N.; et al. Epicardial and Pericoronary Adipose Tissue, Coronary Inflammation, and Acute Coronary Syndromes. J. Clin. Med. 2023, 12, 7212. [Google Scholar] [CrossRef] [PubMed]
- Maurizi, K.; Lofiego, C.; Patani, F.; Capodaglio, I.; Vagnarelli, F. The apex talks: Cardiac metastasis mimicking ST-segment elevation myocardial infarction. Eur. Heart J. Case Rep. 2025, 9, ytaf531. [Google Scholar] [CrossRef] [PubMed]
- Abdul-Hafez, H.A.; Sarama, A.; Safadi, T.; Khadra, M.N.; Salman, H.H.; Darwazah, A.K.; Alkhatib, H. Surgically treated left ventricular myxomas: A 75-year systematic review of patient demographics, tumor characteristics, and outcomes. Interdiscip. Cardiovasc. Thorac. Surg. 2025, 40, ivaf248. [Google Scholar] [CrossRef] [PubMed]
- Black, M.D.; Kadletz, M.; Smallhorn, J.F.; Freedom, R.M. Cardiac rhabdomyomas and obstructive left heart disease: Histologically but not functionally benign. Ann. Thorac. Surg. 1998, 65, 1388–1390. [Google Scholar] [CrossRef] [PubMed]
- Botta, L.; Dell’Amore, A.; Pilato, E.; Leone, O.; Di Bartolomeo, R. Papillary fibroelastoma of the aortic valve: Incidental finding with intraoperative transesophageal echocardiography. Cardiovasc. Pathol. 2007, 16, 59–60. [Google Scholar] [CrossRef]
- Maleszewski, J.J.; Anavekar, N.S.; Moynihan, T.J.; Klarich, K.W. Pathology, imaging, and treatment of cardiac tumours. Nat. Rev. Cardiol. 2017, 14, 536–549. [Google Scholar] [CrossRef]
- Wang, Q.; Wang, B.; Zhang, X.; Zhong, X.; Chang, S.; Yang, J.; Liang, J.; You, Q.; Zhou, H.; Zhang, J. The usefulness of contrast echocardiography in the evaluation of cardiac masses: A multicenter study. BMC Cardiovasc. Disord. 2024, 24, 43. [Google Scholar] [CrossRef]
- Gatti, M.; D’Angelo, T.; Muscogiuri, G.; Dell’aversana, S.; Andreis, A.; Carisio, A.; Darvizeh, F.; Tore, D.; Pontone, G.; Faletti, R. Cardiovascular magnetic resonance of cardiac tumors and masses. World J. Cardiol. 2021, 13, 628–649. [Google Scholar] [CrossRef]
- Rahbar, K.; Seifarth, H.; Schafers, M.; Stegger, L.; Hoffmeier, A.; Spieker, T.; Tiemann, K.; Maintz, D.; Scheld, H.H.; Schober, O.; et al. Differentiation of malignant and benign cardiac tumors using 18F-FDG PET/CT. J. Nucl. Med. 2012, 53, 856–863. [Google Scholar] [CrossRef]
- Myhre, P.L.; Grenne, B.; Asch, F.M.; Delgado, V.; Khera, R.; Lafitte, S.; Lang, R.M.; Pellikka, P.A.; Sengupta, P.P.; Vemulapalli, S.; et al. Artificial intelligence-enhanced echocardiography in cardiovascular disease management. Nat. Rev. Cardiol. 2025. [Google Scholar] [CrossRef]
- Muscogiuri, G.; Volpato, V.; Cau, R.; Chiesa, M.; Saba, L.; Guglielmo, M.; Senatieri, A.; Chierchia, G.; Pontone, G.; Dell’Aversana, S.; et al. Application of AI in cardiovascular multimodality imaging. Heliyon 2022, 8, e10872. [Google Scholar] [CrossRef] [PubMed]
- Muscogiuri, G.; Van Assen, M.; Tesche, C.; De Cecco, C.N.; Chiesa, M.; Scafuri, S.; Guglielmo, M.; Baggiano, A.; Fusini, L.; Guaricci, A.I.; et al. Artificial Intelligence in Coronary Computed Tomography Angiography: From Anatomy to Prognosis. Biomed. Res. Int. 2020, 2020, 6649410. [Google Scholar] [CrossRef] [PubMed]
- Muscogiuri, G.; Martini, C.; Gatti, M.; Dell’Aversana, S.; Ricci, F.; Guglielmo, M.; Baggiano, A.; Fusini, L.; Bracciani, A.; Scafuri, S.; et al. Feasibility of late gadolinium enhancement (LGE) in ischemic cardiomyopathy using 2D-multisegment LGE combined with artificial intelligence reconstruction deep learning noise reduction algorithm. Int. J. Cardiol. 2021, 343, 164–170. [Google Scholar] [CrossRef] [PubMed]
- Das, A.; Kelly, C.; Ben-Arzi, H.; van der Geest, R.J.; Plein, S.; Dall’Armellina, E. Acute intra-cavity 4D flow cardiovascular magnetic resonance predicts long-term adverse remodelling following ST-elevation myocardial infarction. J. Cardiovasc. Magn. Reson. 2022, 24, 64. [Google Scholar] [CrossRef]
- Albulushi, A.; Al Hajri, R.; Hovseth, C.; Jawa, Z.; El Hadad, M.G.; Sallam, M.; Al-Mukhaini, M. Advancements and challenges in cardiac amyloidosis imaging: A comprehensive review of novel techniques and clinical applications. Curr. Probl. Cardiol. 2024, 49, 102733. [Google Scholar] [CrossRef]






| Condition | TTE (2D/Contrast) | Strain Imaging | CMR (Cine, LGE, Mapping) | CT/PET (Selected Use) |
|---|---|---|---|---|
| Apical HCM | Apical wall thickness ≥15 mm; systolic cavity obliteration; apical aneurysm possible | Preserved or mildly reduced apical strain; increased basal strain | Focal apical hypertrophy; patchy LGE; normal/mildly ↑ T1 | CT useful if poor echo window |
| Endomyocardial Fibrosis | Apical obliteration; restrictive filling; mural thrombus common; thickened endocardium | Marked apical strain reduction; basal-apical gradient reversed | Subendocardial LGE (“V-sign”); apical fibrosis; ↑ T1/ECV | CT shows calcification of apex/endocardium |
| Cardiac Amyloidosis | Concentric hypertrophy; sparkling myocardium; biatrial enlargement; possible apical sparing | Typical apical sparing of LS; high apical/basal ratio | Global/subendocardial LGE; nulling difficulties; ↑ T1/ECV | Bone scintigraphy for ATTR; PET rarely complementary |
| Apical Thrombus | Avascular mass; improved visibility with contrast | Markedly reduced or absent apical strain | No LGE; very low T1/T2; distinct borders | CT helps assess calcified thrombi |
| Intracardiac Tumors | Solid, mobile or sessile mass; variable enhancement with CE | Focal segmental strain reduction | Heterogeneous enhancement; infiltration patterns; variable T1/T2 | PET for metabolic activity; CT for fat/calcification |
| LV Noncompaction | Prominent trabeculations; deep recesses; ratio >2:1 | Regional strain heterogeneity | Hypertrabeculated apex; non-ischemic LGE possible | CT helps confirm anatomy |
Disclaimer/Publisher’s Note: The statements, opinions and data contained in all publications are solely those of the individual author(s) and contributor(s) and not of MDPI and/or the editor(s). MDPI and/or the editor(s) disclaim responsibility for any injury to people or property resulting from any ideas, methods, instructions or products referred to in the content. |
© 2026 by the authors. Licensee MDPI, Basel, Switzerland. This article is an open access article distributed under the terms and conditions of the Creative Commons Attribution (CC BY) license.
Share and Cite
Dentamaro, I.; Dicorato, M.M.; Basile, P.; Carella, M.C.; Mangini, F.; Musci, R.; Ruggieri, R.; Urgesi, E.; Piscitelli, L.; Dentamaro, S.; et al. Unmasking the Apex: Multimodality Imaging for the Evaluation of Left Ventricular Apical Obliteration. Diagnostics 2026, 16, 184. https://doi.org/10.3390/diagnostics16020184
Dentamaro I, Dicorato MM, Basile P, Carella MC, Mangini F, Musci R, Ruggieri R, Urgesi E, Piscitelli L, Dentamaro S, et al. Unmasking the Apex: Multimodality Imaging for the Evaluation of Left Ventricular Apical Obliteration. Diagnostics. 2026; 16(2):184. https://doi.org/10.3390/diagnostics16020184
Chicago/Turabian StyleDentamaro, Ilaria, Marco Maria Dicorato, Paolo Basile, Maria Cristina Carella, Francesco Mangini, Rita Musci, Roberta Ruggieri, Eduardo Urgesi, Laura Piscitelli, Sergio Dentamaro, and et al. 2026. "Unmasking the Apex: Multimodality Imaging for the Evaluation of Left Ventricular Apical Obliteration" Diagnostics 16, no. 2: 184. https://doi.org/10.3390/diagnostics16020184
APA StyleDentamaro, I., Dicorato, M. M., Basile, P., Carella, M. C., Mangini, F., Musci, R., Ruggieri, R., Urgesi, E., Piscitelli, L., Dentamaro, S., Pontone, G., Forleo, C., Ciccone, M. M., & Guaricci, A. I. (2026). Unmasking the Apex: Multimodality Imaging for the Evaluation of Left Ventricular Apical Obliteration. Diagnostics, 16(2), 184. https://doi.org/10.3390/diagnostics16020184

