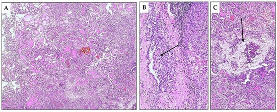
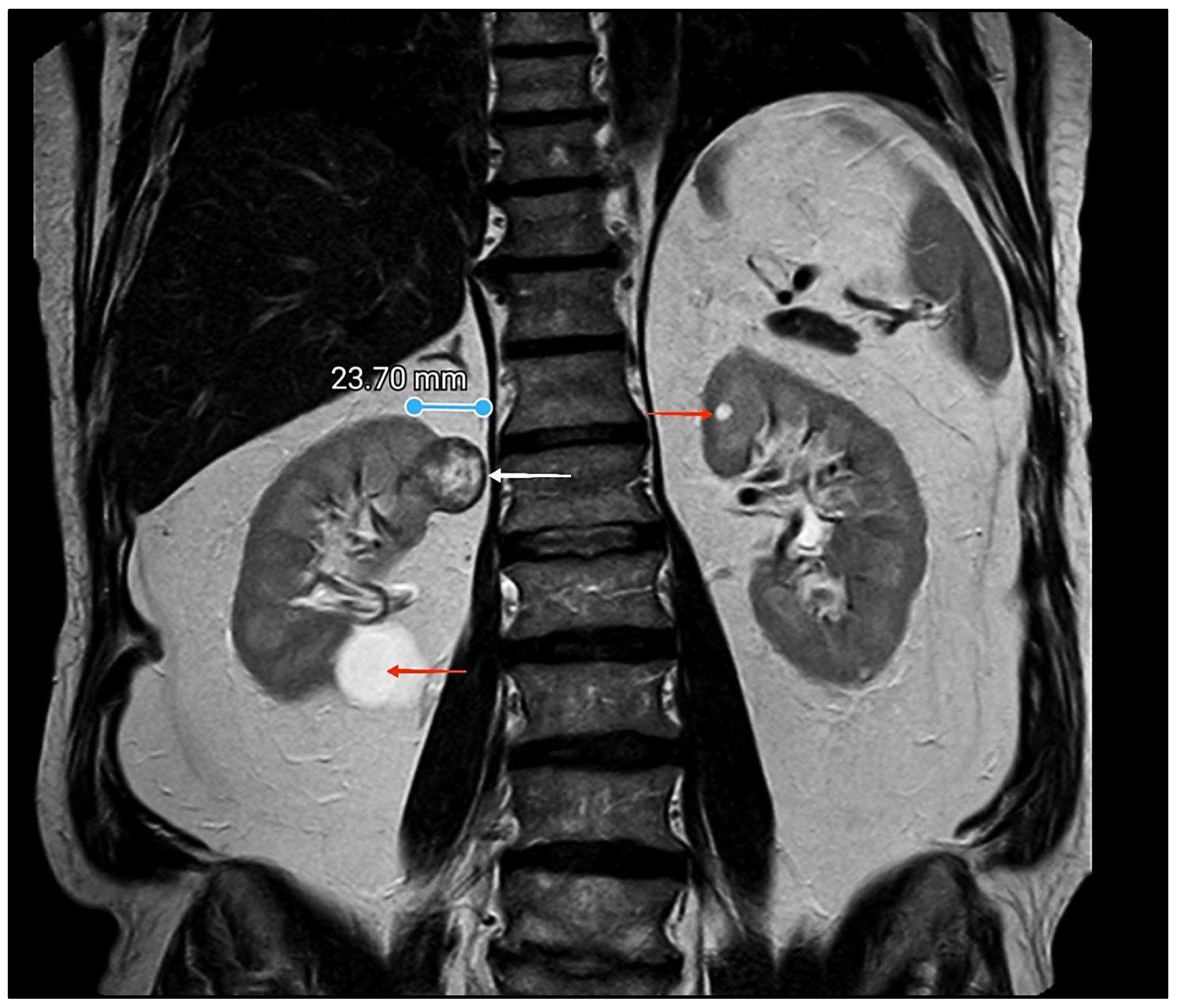
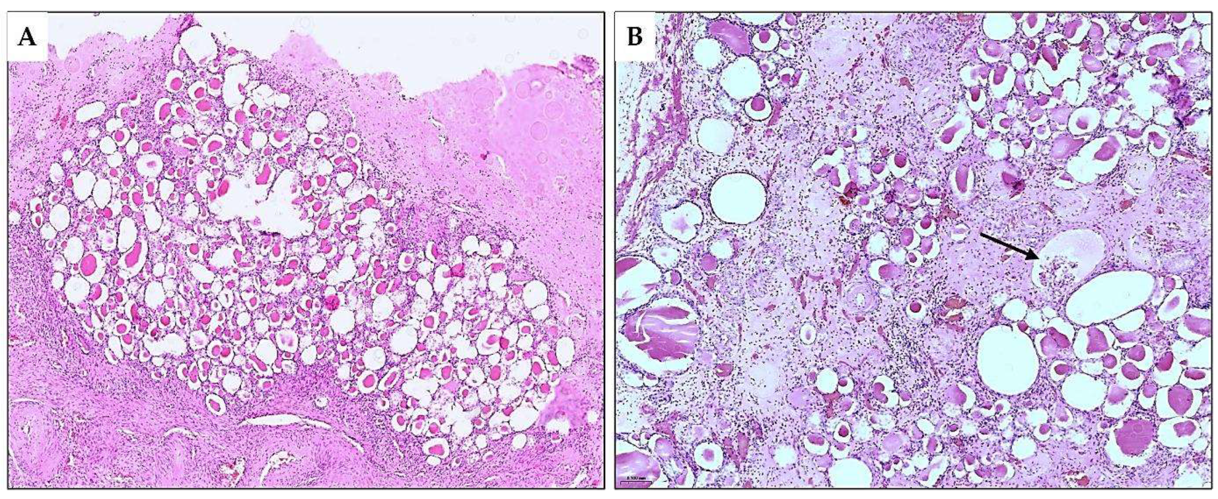
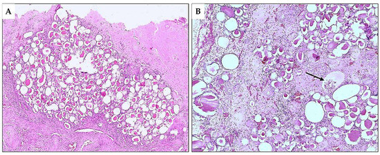
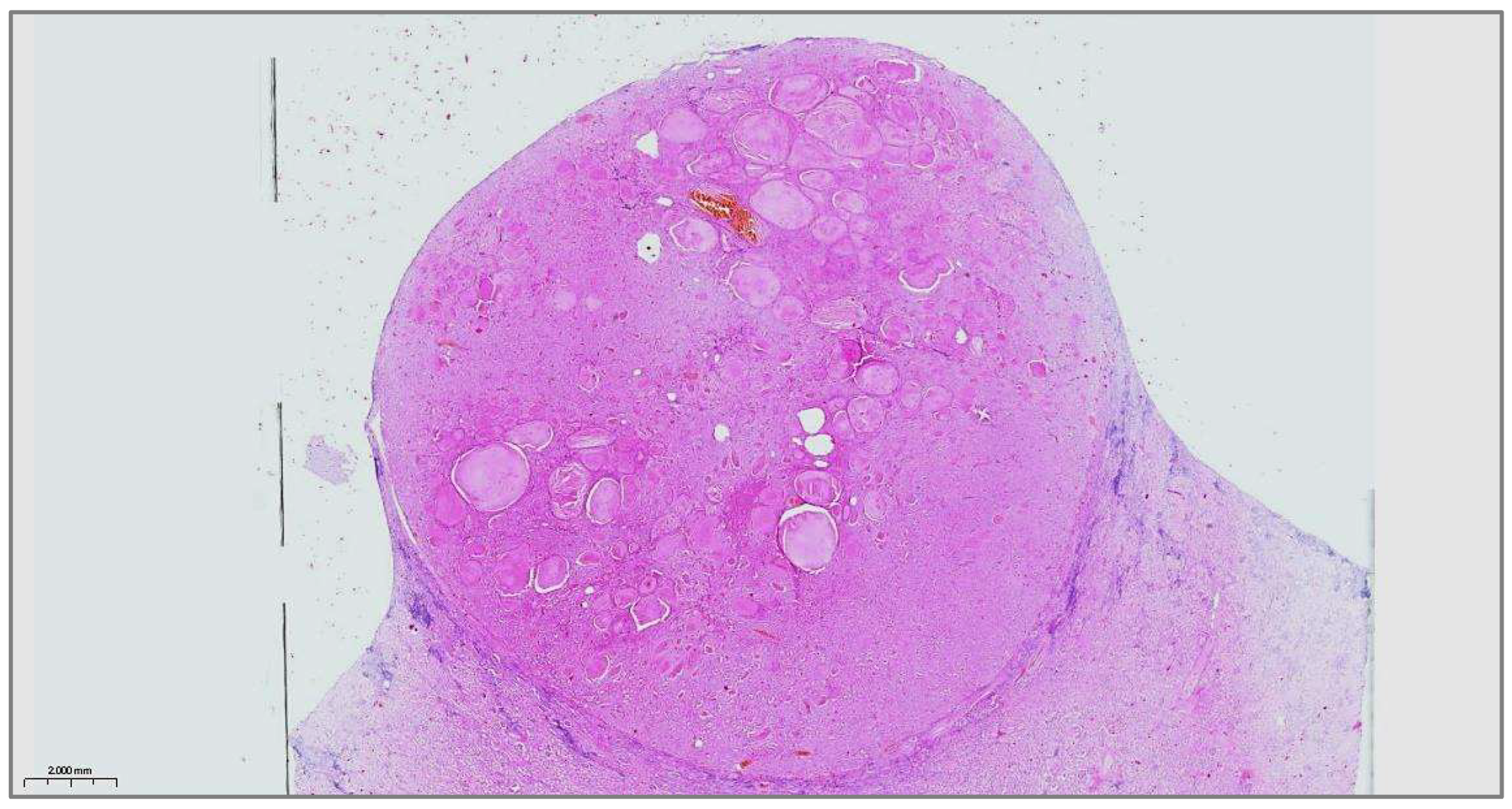
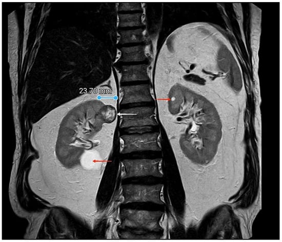
Thyroid-like Follicular Carcinoma of the Kidney: The Follicles Are out There in the Kidney—Now What?
Abstract








Supplementary Materials
Author Contributions
Funding
Institutional Review Board Statement
Informed Consent Statement
Data Availability Statement
Conflicts of Interest
References
- Youssef, B.; Hanna, K.; Bowman, A.; Ardor, G.D.; Alhaj, A.M.; Nassar, A. Metastatic Thyroid Carcinoma to the Kidneys Presenting Initially as Bilateral Renal Masses: A Rare Case Report and Literature Review. Int. J. Surg. Pathol. 2023, 31, 795–800. [Google Scholar] [CrossRef] [PubMed]
- Ieni, A.; Fadda, G.; Alario, G.; Pino, A.; Ficarra, V.; Dionigi, G.; Tuccari, G. Metastatic Thyroid Carcinoma Mimicking as a Primary Neoplasia of the Kidney: A Case Report. Mol. Clin. Oncol. 2021, 15, 268. [Google Scholar] [CrossRef]
- Malhotra, G.; Asopa, R.; Rajan, M.G.R. Renal Metastases from Thyroid Carcinoma. Thyroid 2010, 20, 1321. [Google Scholar] [CrossRef] [PubMed]
- Lloyd, R.V.; Osamura, R.Y.; Klöppel, G.; Rosai, J. (Eds.) WHO Classification of Tumours of Endocrine Organs, 4th ed.; IARC: Lyon, France, 2017; p. 91. [Google Scholar]
- Abe, K.; Hasegawa, T.; Onodera, S.; Oishi, Y.; Suzuki, M. Renal Metastasis of Thyroid Carcinoma. Int. J. Urol. 2002, 9, 656–658. [Google Scholar] [CrossRef]
- Cheon, M.; Choi, J.Y.; Kim, H.K.; Chung, J.-H.; Ko, Y.H.; Kim, Y.E.; Choi, D.; Lee, K.-H.; Kim, B.-T. Renal Metastasis from Follicular Thyroid Carcinoma Diagnosed by I-131 Whole-Body Scan Mimicking Renal Cell Carcinoma on Contrast-Enhanced Computed Tomography. Nucl. Med. Mol. Imaging 2011, 45, 72–75. [Google Scholar] [CrossRef]
- Amin, M.B.; Tickoo, S.K. (Eds.) Diagnostic Pathology: Genitourinary, 3rd ed.; Diagnostic Pathology; Elsevier: Philadelphia, PA, USA, 2022; pp. 4–267. [Google Scholar]
- Laberke, H.-G.; Klingebiel, T.; Quack, G. A Contribution to the Morphology and Pathogenesis of Thyroid-Like Lesions in the Kidney. Pathol.-Res. Pract. 1983, 176, 284–296. [Google Scholar] [CrossRef]
- Herlitz, L.; Hes, O.; Michal, M.; Tretiakova, M.; Reyes-Múgica, M.; Nguyen, J.K.; Troxell, M.L.; Przybycin, C.G.; Magi-Galluzzi, C.; McKenney, J.K. “Atrophic Kidney”–like Lesion: Clinicopathologic Series of 8 Cases Supporting a Benign Entity Distinct From Thyroid-like Follicular Carcinoma. Am. J. Surg. Pathol. 2018, 42, 1585–1595. [Google Scholar] [CrossRef] [PubMed]
- Muscara, M.J.; Simper, N.B.; Gandia, E. Thyroid-Like Follicular Carcinoma of the Kidney: An Emerging Renal Neoplasm with Curiously Misplaced Histologic Features; a Case Report. Int. J. Surg. Pathol. 2016, 25, 73–77. [Google Scholar] [CrossRef]
- Alaghehbandan, R.; Michal, M.; Kuroda, N.; Hes, O. Thyroid-like Follicular Carcinoma of the Kidney: An Emerging Renal Neoplasm with Curiously Misplaced Histologic Features. A Case Report. Int. J. Surg. Pathol. 2017, 25, 379–380. [Google Scholar] [CrossRef]
- Trpkov, K.; Williamson, S.R.; Gill, A.J.; Adeniran, A.J.; Agaimy, A.; Alaghehbandan, R.; Amin, M.B.; Argani, P.; Chen, Y.-B.; Cheng, L.; et al. Novel, Emerging and Provisional Renal Entities: The Genitourinary Pathology Society (GUPS) Update on Renal Neoplasia. Mod. Pathol. 2021, 34, 1167–1184. [Google Scholar] [CrossRef]
- Zhang, Q.; Ma, J.; Wu, C.-Y.; Zhang, D.-H.; Zhao, M. Tubulocystic Oncocytoma of the Kidney: A Case Study and Review of Literature with Focus on Implications for Differential Diagnosis. Int. J. Clin. Exp. Pathol. 2015, 8, 14786–14792. [Google Scholar]
- Foix, M.P.; Dunatov, A.; Martinek, P.; Mundó, E.C.; Suster, S.; Sperga, M.; Lopez, J.I.; Ulamec, M.; Bulimbasic, S.; Montiel, D.P.; et al. Morphological, Immunohistochemical, and Chromosomal Analysis of Multicystic Chromophobe Renal Cell Carcinoma, an Architecturally Unusual Challenging Variant. Virchows Arch. 2016, 469, 669–678. [Google Scholar] [CrossRef] [PubMed]
- Li, C.; Dong, H.; Fu, W.; Qi, M.; Han, B. Thyroid-like Follicular Carcinoma of the Kidney and Papillary Renal Cell Carcinoma with Thyroid-like Feature: Comparison of Two Cases and Literature Review. Ann. Clin. Lab. Sci. 2015, 45, 707–712. [Google Scholar]
- Zhang, Y.; Yang, J.; Zhang, M.; Meng, Z.; Song, W.; Yang, L.; Li, L.; Wang, D.; Shi, T. Thyroid Follicular Carcinoma-like Renal Tumor: A Case Report and Literature Review. Medicine 2018, 97, e10815. [Google Scholar] [CrossRef]
- Mousa, A.A.; Rahmeh, S.; Rezkallah, V.; Ghabreau, L.; Alhadid, I. Thyroid-like Follicular Carcinoma of the Kidney Presenting in a 13-Year-Old Female: A Case Report from Syria. J. Surg. Case Rep. 2022, 2022, rjac467. [Google Scholar] [CrossRef] [PubMed]
- Wu, S.-C.; Li, X.-Y.; Liao, B.-J.; Xie, K.; Chen, W.-M. Thyroid Follicular Renal Cell Carcinoma Excluding Thyroid Metastases: A Case Report. World J. Clin. Cases 2022, 10, 6307–6313. [Google Scholar] [CrossRef]
- WHO Classification of Tumours Editorial Board. Urinary and Male Genital Tumours, 5th ed.; IARC: Lyon, France, 2022; pp. 31–96. [Google Scholar]
- Amin, M.B.; Gupta, R.; Ondrej, H.; McKenney, J.K.; Michal, M.; Young, A.N.; Paner, G.P.; Junker, K.; Epstein, J.I. Primary Thyroid-like Follicular Carcinoma of the Kidney: Report of 6 Cases of a Histologically Distinctive Adult Renal Epithelial Neoplasm. Am. J. Surg. Pathol. 2009, 33, 393–400. [Google Scholar] [CrossRef] [PubMed]
- Jenkins, T.M.; Rosenbaum, J.; Zhang, P.J.; Schwartz, L.E.; Nayak, A.; Cooper, K.; Tickoo, S.K.; Lal, P. Thyroid-Like Follicular Carcinoma of the Kidney with Extensive Sarcomatoid Differentiation: A Case Report and Review of the Literature. Int. J. Surg. Pathol. 2019, 27, 678–683. [Google Scholar] [CrossRef]
- Agrawal, V.; Neyaz, Z.; Kapoor, R. Thyroid-Like Follicular Carcinoma of the Kidney with Oncocytic Cells: A Case Report and Review of Metastatic and Non-Metastatic Tumors. Int. J. Surg. Pathol. 2020, 28, 913–917. [Google Scholar] [CrossRef]
- Gappoev, S.V.; Khorzhevskii, V.A.; Kirichenko, A.K.; Alymova, E.V.; Vershinin, I.V.; Levkovich, L.G. Rare kidney tumor—Thyroid-like follicular carcinoma. Arkh. Patol. 2022, 84, 62. [Google Scholar] [CrossRef]
- Tretiakova, M.S.; Sahoo, S.; Takahashi, M.; Turkyilmaz, M.; Vogelzang, N.J.; Lin, F.; Krausz, T.; Teh, B.T.; Yang, X.J. Expression of Alpha-Methylacyl-CoA Racemase in Papillary Renal Cell Carcinoma. Am. J. Surg. Pathol. 2004, 28, 69–76. [Google Scholar] [CrossRef] [PubMed]
- Kim, M.; Joo, J.W.; Lee, S.J.; Cho, Y.A.; Park, C.K.; Cho, N.H. Comprehensive Immunoprofiles of Renal Cell Carcinoma Subtypes. Cancers 2020, 12, 602. [Google Scholar] [CrossRef] [PubMed]
- Dhillon, J.; Tannir, N.M.; Matin, S.F.; Tamboli, P.; Czerniak, B.A.; Guo, C.C. Thyroid-like Follicular Carcinoma of the Kidney with Metastases to the Lungs and Retroperitoneal Lymph Nodes. Hum. Pathol. 2011, 42, 146–150. [Google Scholar] [CrossRef] [PubMed]
- Vicens, R.A.; Balachandran, A.; Guo, C.C.; Vikram, R. Multimodality Imaging of Thyroid-like Follicular Renal Cell Carcinoma with Lung Metastases, a New Emerging Tumor Entity. Abdom. Imaging 2014, 39, 388–393. [Google Scholar] [CrossRef]
- Dong, L.; Huang, J.; Huang, L.; Shi, O.; Liu, Q.; Chen, H.; Xue, W.; Huang, Y. Thyroid-Like Follicular Carcinoma of the Kidney in a Patient with Skull and Meningeal Metastasis: A Unique Case Report and Review of the Literature. Medicine 2016, 95, e3314. [Google Scholar] [CrossRef]
- Lei, J.-J.; Rao, J.; Feng, H.-Y.; Cao, D.-D.; Yan, H.-L.; Yuan, J.-P.; Jiang, Z.-M.; Zhang, Y.-Q. Case Report: Innovative Treatment for One Metastatic Thyroid-like Follicular Carcinoma of the Kidney with ATM and POLE Mutations. Front. Oncol. 2024, 14, 1352865. [Google Scholar] [CrossRef]
- Al-Obaidy, K.I.; Bridge, J.A.; Cheng, L.; Sumegi, J.; Reuter, V.E.; Benayed, R.; Hameed, M.; Williamson, S.R.; Hes, O.; Alruwaii, F.I.; et al. EWSR1-PATZ1 Fusion Renal Cell Carcinoma: A Recurrent Gene Fusion Characterizing Thyroid-like Follicular Renal Cell Carcinoma. Mod. Pathol. 2021, 34, 1921–1934. [Google Scholar] [CrossRef]
Disclaimer/Publisher’s Note: The statements, opinions and data contained in all publications are solely those of the individual author(s) and contributor(s) and not of MDPI and/or the editor(s). MDPI and/or the editor(s) disclaim responsibility for any injury to people or property resulting from any ideas, methods, instructions or products referred to in the content. |
© 2025 by the authors. Licensee MDPI, Basel, Switzerland. This article is an open access article distributed under the terms and conditions of the Creative Commons Attribution (CC BY) license (https://creativecommons.org/licenses/by/4.0/).
Share and Cite
Spiric, S.; Rancic, B.; Kosevic, B.; Nikolic, I.; Cerovic, S.; Kovacevic, B. Thyroid-like Follicular Carcinoma of the Kidney: The Follicles Are out There in the Kidney—Now What? Diagnostics 2025, 15, 1111. https://doi.org/10.3390/diagnostics15091111
Spiric S, Rancic B, Kosevic B, Nikolic I, Cerovic S, Kovacevic B. Thyroid-like Follicular Carcinoma of the Kidney: The Follicles Are out There in the Kidney—Now What? Diagnostics. 2025; 15(9):1111. https://doi.org/10.3390/diagnostics15091111
Chicago/Turabian StyleSpiric, Stefan, Bojana Rancic, Branko Kosevic, Ivica Nikolic, Snezana Cerovic, and Bozidar Kovacevic. 2025. "Thyroid-like Follicular Carcinoma of the Kidney: The Follicles Are out There in the Kidney—Now What?" Diagnostics 15, no. 9: 1111. https://doi.org/10.3390/diagnostics15091111
APA StyleSpiric, S., Rancic, B., Kosevic, B., Nikolic, I., Cerovic, S., & Kovacevic, B. (2025). Thyroid-like Follicular Carcinoma of the Kidney: The Follicles Are out There in the Kidney—Now What? Diagnostics, 15(9), 1111. https://doi.org/10.3390/diagnostics15091111

