Assessment of Inter-Reader Reliability of Fazekas Scoring on Magnetic Resonance Imaging of the Brain in Adult Patients with Sickle Cell Disease
Abstract
1. Introduction
2. Materials and Methods
2.1. Participants and Setting
2.2. Patient Characteristics
2.3. Imaging
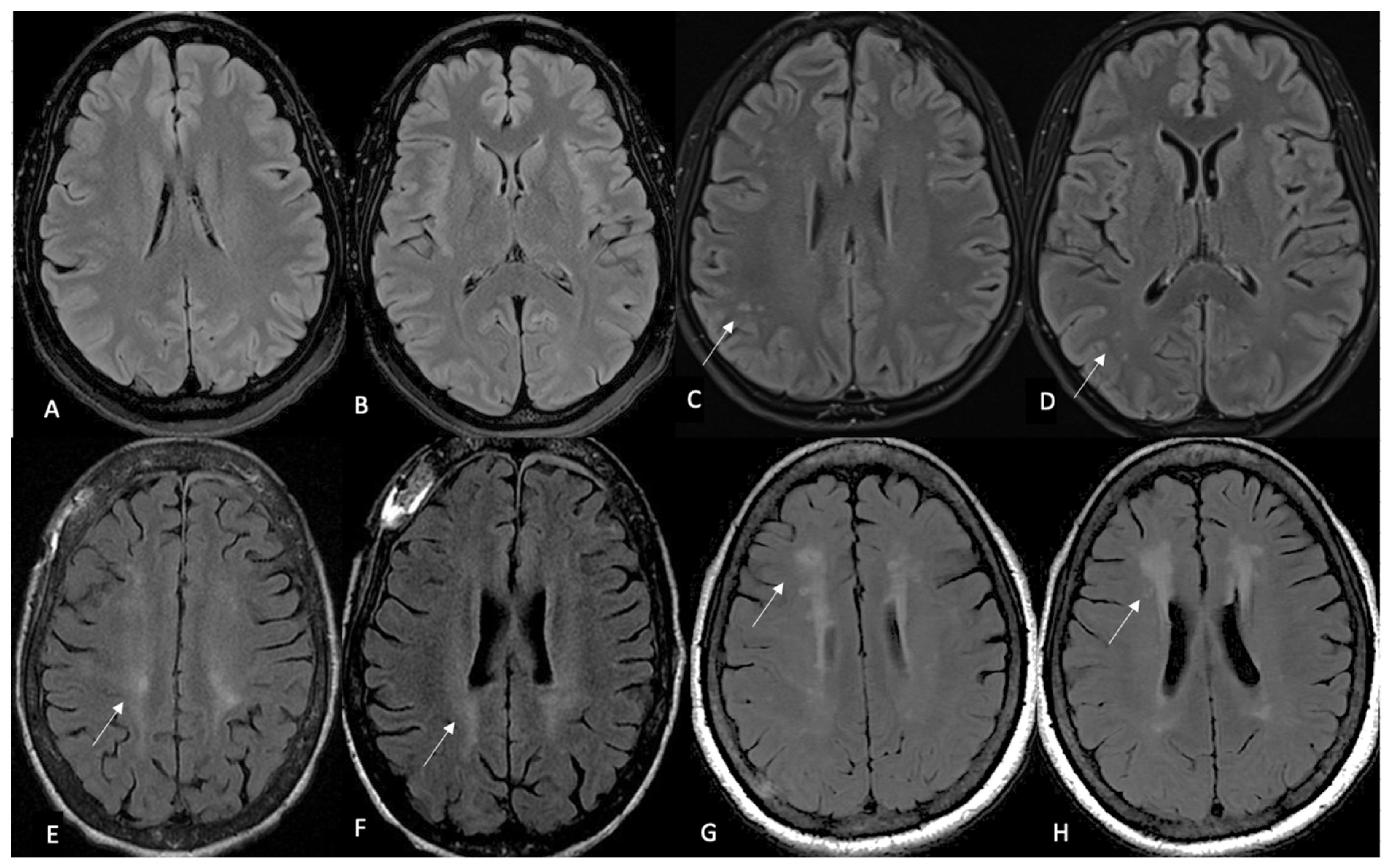
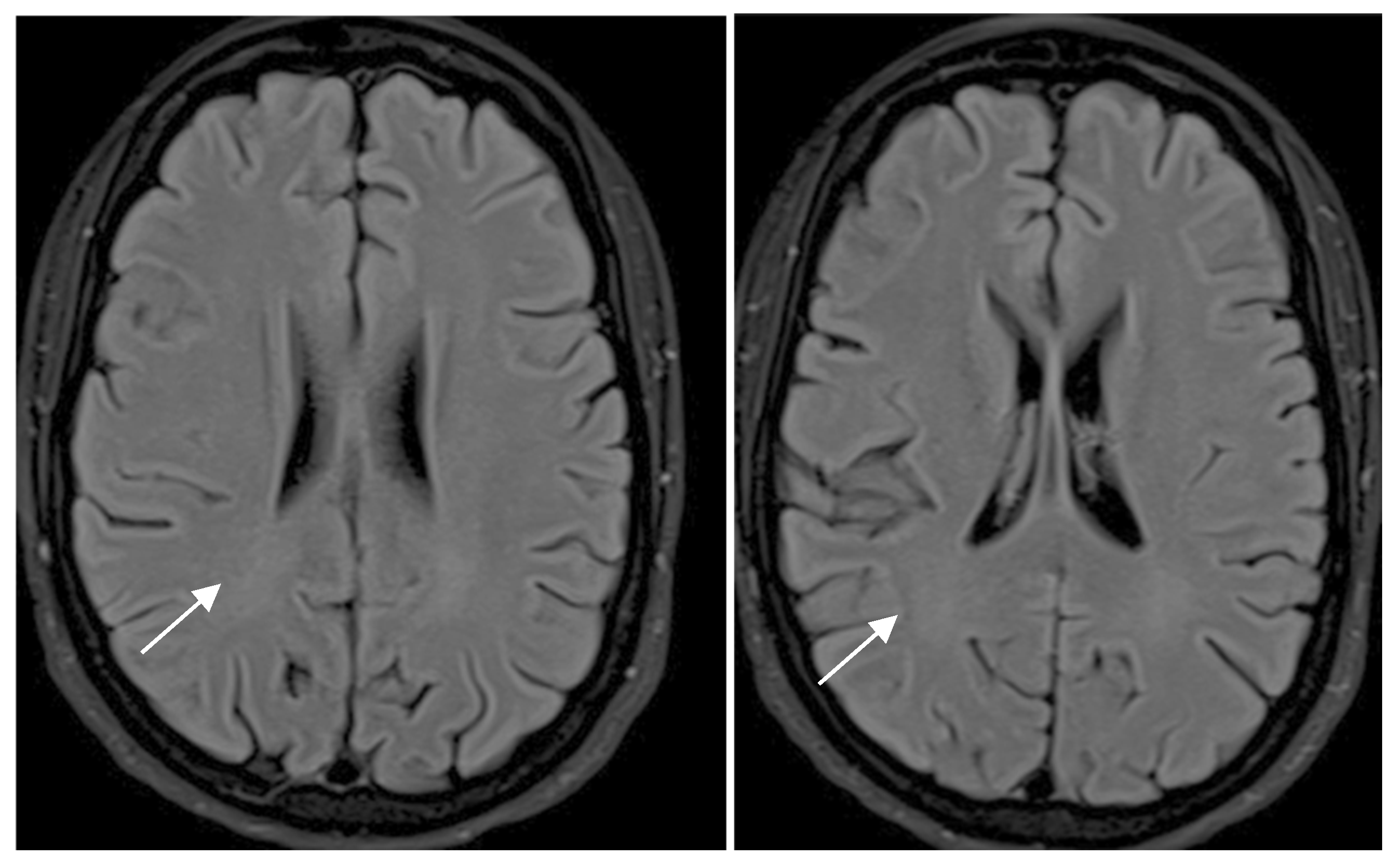
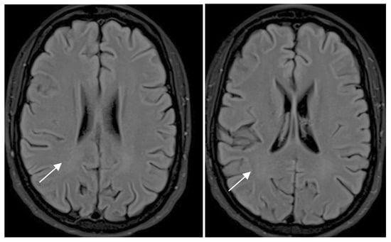
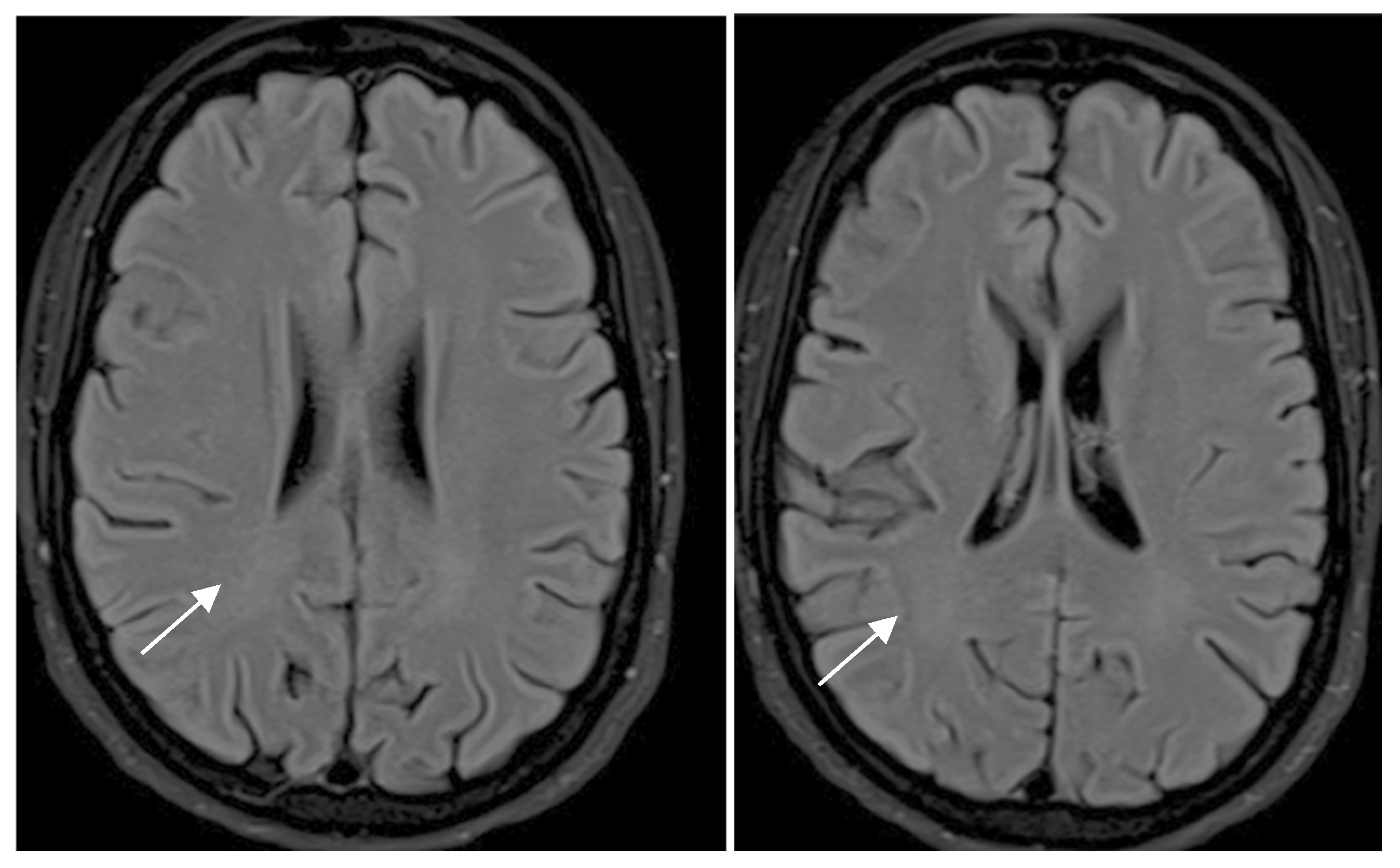
2.4. Interpretation
2.5. Statistics
3. Results
4. Discussion
4.1. Limitations
4.2. Future Directions
5. Conclusions
Author Contributions
Funding
Institutional Review Board Statement
Informed Consent Statement
Data Availability Statement
Conflicts of Interest
Abbreviations
| SCD | Sickle cell disease |
| HbS | Sickle hemoglobin mutation |
| WMD | White matter disease |
| ARWMD | Age-related white matter disease |
| MRI | Magnetic resonance imaging |
| MRA | Magnetic resonance angiography |
| FLAIR | Fluid attenuation recovery |
| CBF | Cerebral blood flow |
| SCI | Silent cerebral infarction |
| CADASIL | Cerebral autosomal dominant arteriopathy with subcortical infarcts and leukoencephalopathy |
| CARASIL | Cerebral autosomal recessive arteriopathy with subcortical infarcts and leukoencephalopathy |
References
- Pincez, T.; Lo, K.S.; D’orengiani, A.-L.P.H.D.; Garrett, M.E.; Brugnara, C.; Ashley-Koch, A.E.; Telen, M.J.; Galacteros, F.; Joly, P.; Bartolucci, P.; et al. Variation and impact of polygenic hematologic traits in monogenic sickle cell disease. Haematologica 2023, 108, 870–881. [Google Scholar] [PubMed]
- Rampersaud, E.; Palmer, L.E.; Hankins, J.S.; A Sheehan, V.; Bi, W.; Mulder, H.; Kang, G.; Estepp, J.H.; Wang, S.; Thrasher, A.; et al. Precision Medicine for Sickle Cell Disease through Whole Genome Sequencing. Blood 2018, 132 (Suppl. S1), 3641. [Google Scholar]
- GBD 2021 Sickle Cell Disease Collaborators. Global, regional, and national prevalence and mortality burden of sickle cell disease, 2000–2021: A systematic analysis from the Global Burden of Disease Study 2021. Lancet Haematol. 2023, 10, e585–e599. [Google Scholar]
- CDC Website 2024. Available online: https://www.cdc.gov/sickle-cell/data/index.html#:~:text=Sickle%20cell%20disease%20(SCD)%20affects,shorter%20than%20the%20average%20expected (accessed on 30 December 2024).
- Rees, D.C.; Brousse, V.A.; Brewin, J.N. Determinants of severity in sickle cell disease. Blood Rev. 2022, 56, 100983. [Google Scholar] [PubMed]
- Pincez, T.; Ashley-Koch, A.E.; Lettre, G.; Telen, M.J. Genetic Modifiers of Sickle Cell Disease. Hematol./Oncol. Clin. N. Am. 2022, 36, 1097–1124. [Google Scholar]
- Pincez, T.; Lettre, G. Re-assessing the effect of fetal hemoglobin on stroke in the Cooperative Study of Sickle Cell Disease. Am. J. Hematol. 2023, 98, E309–E311. [Google Scholar]
- Wang, Q.; Zennadi, R. The Role of RBC Oxidative Stress in Sickle Cell Disease: From the Molecular Basis to Pathologic Implications. Antioxidants 2021, 10, 1608. [Google Scholar] [CrossRef]
- Kavanagh, P.L.; Fasipe, T.A.; Wun, T. Sickle Cell Disease: A Review. JAMA 2022, 328, 57–68. [Google Scholar]
- Belcher, J.D.; Bryant, C.J.; Nguyen, J.; Bowlin, P.R.; Kielbik, M.C.; Bischof, J.C.; Hebbel, R.P.; Vercellotti, G.M. Transgenic sickle mice have vascular inflammation. Blood J. Am. Soc. Hematol. 2003, 101, 3953–3959. [Google Scholar]
- Osarogiagbon, U.R.; Choong, S.; Belcher, J.D.; Vercellotti, G.M.; Paller, M.S.; Hebbel, R.P. Reperfusion injury pathophysiology in sickle transgenic mice. Blood J. Am. Soc. Hematol. 2000, 96, 314–320. [Google Scholar]
- American Stroke Association, n.d. Sickle Cell Disease. Stroke.org. Available online: https://www.stroke.org/en/about-stroke/stroke-in-children/sickle-cell-disease (accessed on 20 December 2024).
- Ohene-Frempong, K.; Weiner, S.J.; Sleeper, L.A.; Miller, S.T.; Embury, S.; Moohr, J.W.; Wethers, D.L.; Pegelow, C.H.; Gill, F.M.; the Cooperative Study of Sickle Cell Disease. Cerebrovascular Accidents in Sickle Cell Disease: Rates and Risk Factors. Blood 1998, 91, 288–294. [Google Scholar] [CrossRef] [PubMed]
- Chai, Y.; Ji, C.; Coloigner, J.; Choi, S.; Balderrama, M.; Vu, C.; Tamrazi, B.; Coates, T.; Wood, J.C.; O’Neil, S.H.; et al. Tract-specific analysis and neurocognitive functioning in sickle cell patients without history of overt stroke. Brain Behav. 2021, 11, e01978. [Google Scholar]
- Abdi, S.S.; De Haan, M.; Kirkham, F.J. Neuroimaging and Cognitive Function in Sickle Cell Disease: A Systematic Review. Children 2023, 10, 532. [Google Scholar] [CrossRef]
- van der Land, V.; Hijmans, C.T.; de Ruiter, M.; Mutsaerts, H.J.; Cnossen, M.H.; Engelen, M.; Majoie, C.B.L.M.; Nederveen, A.J.; Grootenhuis, M.A.; Fijnvandraat, K. Volume of white matter hyperintensities is an independent predictor of intelligence quotient and processing speed in children with sickle cell disease. Br. J. Haematol. 2015, 168, 553–556. [Google Scholar] [PubMed]
- Forté, S.; Blais, F.; Castonguay, M.; Fadiga, N.; Fortier-St-Pierre, M.; Couette, M.; Ward, R.; Béland, S.; Cohn, M.; Soulières, D.; et al. Screening for Cognitive Dysfunction Using the Rowland Universal Dementia Assessment Scale in Adults With Sickle Cell Disease. JAMA Netw. Open 2021, 4, e217039. [Google Scholar] [PubMed]
- DeBaun, M.R.; Jordan, L.C.; King, A.A.; Schatz, J.; Vichinsky, E.; Fox, C.K.; McKinstry, R.C.; Telfer, P.; Kraut, M.A.; Daraz, L.; et al. American Society of Hematology 2020 guidelines for sickle cell disease: Prevention, diagnosis, and treatment of cerebrovascular disease in children and adults. Blood Adv. 2020, 4, 1554–1588. [Google Scholar]
- Wahlund, L.O.; Barkhof, F.; Fazekas, F.; Bronge, L.; Augustin, M.; Sjögren, M.; Wallin, A.; Ader, H.; Leys, D.; Pantoni, L.; et al. A New Rating Scale for Age-Related White Matter Changes Applicable to MRI and CT. Stroke 2001, 32, 1318–1322. [Google Scholar]
- Hu, H.-Y.; Ou, Y.-N.; Shen, X.-N.; Qu, Y.; Ma, Y.-H.; Wang, Z.-T.; Dong, Q.; Tan, L.; Yu, J.-T. White matter hyperintensities and risks of cognitive impairment and dementia: A systematic review and meta-analysis of 36 prospective studies. Neurosci. Biobehav. Rev. 2021, 120, 16–27. [Google Scholar]
- Wahlund, L.-O.; Westman, E.; Van Westen, D.; Wallin, A.; Shams, S.; Cavallin, L.; Larsson, E.-M. Imaging biomarkers of dementia: Recommended visual rating scales with teaching cases. Insights into Imaging 2017, 8, 79–90. [Google Scholar]
- Verlhac, S.; Ithier, G.; Bernaudin, F.; Oloukoi, C.; Cussenot, I.; Balandra, S.; Kheniche, A.; Ntorkou, A.; Ouaziz, H.; Tanase, A.; et al. Evolution of extracranial internal carotid artery disease in children with sickle cell anemia. Stroke 2022, 53, 2637–2646. [Google Scholar]
- Velo, M.; Grasso, G.; Fujimura, M.; Torregrossa, F.; Longo, M.; Granata, F.; Pitrone, A.; Vinci, S.L.; Ferraù, L.; La Spina, P. Moyamoya vasculopathy: Cause, clinical manifestations, neuroradiologic features, and surgical management. World Neurosurg. 2022, 159, 409–425. [Google Scholar] [CrossRef]
- Wang, Y.; Guilliams, K.P.; Fields, M.E.; Fellah, S.; Binkley, M.M.; Reis, M.; Vo, K.D.; Chen, Y.; Ying, C.; Blinder, M.; et al. Silent Infarcts, White Matter Integrity, and Oxygen Metabolic Stress in Young Adults With and Without Sickle Cell Trait. Stroke 2022, 53, 2887–2895. [Google Scholar] [CrossRef] [PubMed]
- Demiray, D.Y.; Davut, Ö.E.; Oktay, G. Comparison of Asymptomatic Brain Lesions Between Thalassemia Major and Sickle Cell Anemia Patients. Medicina 2025, 61, 159. [Google Scholar] [CrossRef] [PubMed]
- Stotesbury, H.; Kawadler, J.M.; Hales, P.W.; Saunders, D.E.; Clark, C.A.; Kirkham, F.J. Vascular Instability and Neurological Morbidity in Sickle Cell Disease: An Integrative Framework. Front. Neurol. 2019, 10, 871. [Google Scholar] [CrossRef]
- Clayden, J.D.; Stotesbury, H.; Kawadler, J.M.; Slee, A.; Kölbel, M.; Saunders, D.E.; Hood, A.M.; Wilkey, O.; Layton, M.; Inusa, B.; et al. Structural connectivity mediates the relationship between blood oxygenation and cognitive function in sickle cell anemia. Blood Adv. 2023, 7, 2297–2308. [Google Scholar] [CrossRef]
- Correction to: An Updated Definition of Stroke for the 21st Century: A Statement for Healthcare Professionals From the American Heart Association/American Stroke Association. Stroke 2019, 50, e239.
- van der Land, V.; Mutsaerts, H.J.; Engelen, M.; Heijboer, H.; Roest, M.; Hollestelle, M.J.; Kuijpers, T.W.; Nederkoorn, P.J.; Cnossen, M.H.; Majoie, C.B.; et al. Risk factor analysis of cerebral white matter hyperintensities in children with sickle cell disease. Br. J. Haematol. 2016, 172, 274–284. [Google Scholar]
- Schatz, J.; White, D.A.; Moinuddin, A.; Armstrong, M.; DeBaun, M.R. Lesion burden and cognitive morbidity in children with sickle cell disease. J. Child Neurol. 2002, 17, 891–895. [Google Scholar]
- Stotesbury, H.; Kirkham, F.J.; Kölbel, M.; Balfour, P.; Clayden, J.D.; Sahota, S.; Sakaria, S.; Saunders, D.E.; Howard, J.; Kesse-Adu, R.; et al. White matter integrity and processing speed in sickle cell anemia. Neurology 2018, 90, e2042–e2050. [Google Scholar] [CrossRef]


| White Matter Lesions | Rating Scale for MRI |
|---|---|
| 0 | No lesions |
| 1 | Focal lesions |
| 2 | Beginning confluence |
| 3 | Diffuse involvement of entire region, with or without involvement of U fibers |
Disclaimer/Publisher’s Note: The statements, opinions and data contained in all publications are solely those of the individual author(s) and contributor(s) and not of MDPI and/or the editor(s). MDPI and/or the editor(s) disclaim responsibility for any injury to people or property resulting from any ideas, methods, instructions or products referred to in the content. |
© 2025 by the authors. Licensee MDPI, Basel, Switzerland. This article is an open access article distributed under the terms and conditions of the Creative Commons Attribution (CC BY) license (https://creativecommons.org/licenses/by/4.0/).
Share and Cite
Haughey, A.M.; O’Cearbhaill, R.M.; Forté, S.; Schaafsma, J.D.; Kuo, K.H.M.; Padilha, I.G. Assessment of Inter-Reader Reliability of Fazekas Scoring on Magnetic Resonance Imaging of the Brain in Adult Patients with Sickle Cell Disease. Diagnostics 2025, 15, 857. https://doi.org/10.3390/diagnostics15070857
Haughey AM, O’Cearbhaill RM, Forté S, Schaafsma JD, Kuo KHM, Padilha IG. Assessment of Inter-Reader Reliability of Fazekas Scoring on Magnetic Resonance Imaging of the Brain in Adult Patients with Sickle Cell Disease. Diagnostics. 2025; 15(7):857. https://doi.org/10.3390/diagnostics15070857
Chicago/Turabian StyleHaughey, Aoife M., Roisin M. O’Cearbhaill, Stephanie Forté, Joanna D. Schaafsma, Kevin H. M. Kuo, and Igor Gomes Padilha. 2025. "Assessment of Inter-Reader Reliability of Fazekas Scoring on Magnetic Resonance Imaging of the Brain in Adult Patients with Sickle Cell Disease" Diagnostics 15, no. 7: 857. https://doi.org/10.3390/diagnostics15070857
APA StyleHaughey, A. M., O’Cearbhaill, R. M., Forté, S., Schaafsma, J. D., Kuo, K. H. M., & Padilha, I. G. (2025). Assessment of Inter-Reader Reliability of Fazekas Scoring on Magnetic Resonance Imaging of the Brain in Adult Patients with Sickle Cell Disease. Diagnostics, 15(7), 857. https://doi.org/10.3390/diagnostics15070857

