Pictorial Review of Soft Tissue Lesions with Calcification
Abstract
1. Introduction
2. Overview of Soft Tissue Tumors Containing Calcifications
3. Radiological Manifestations of Calcifications
3.1. Etiology
3.2. Morphology
4. Soft Tissue Tumors with Calcifications According to Cell-Type
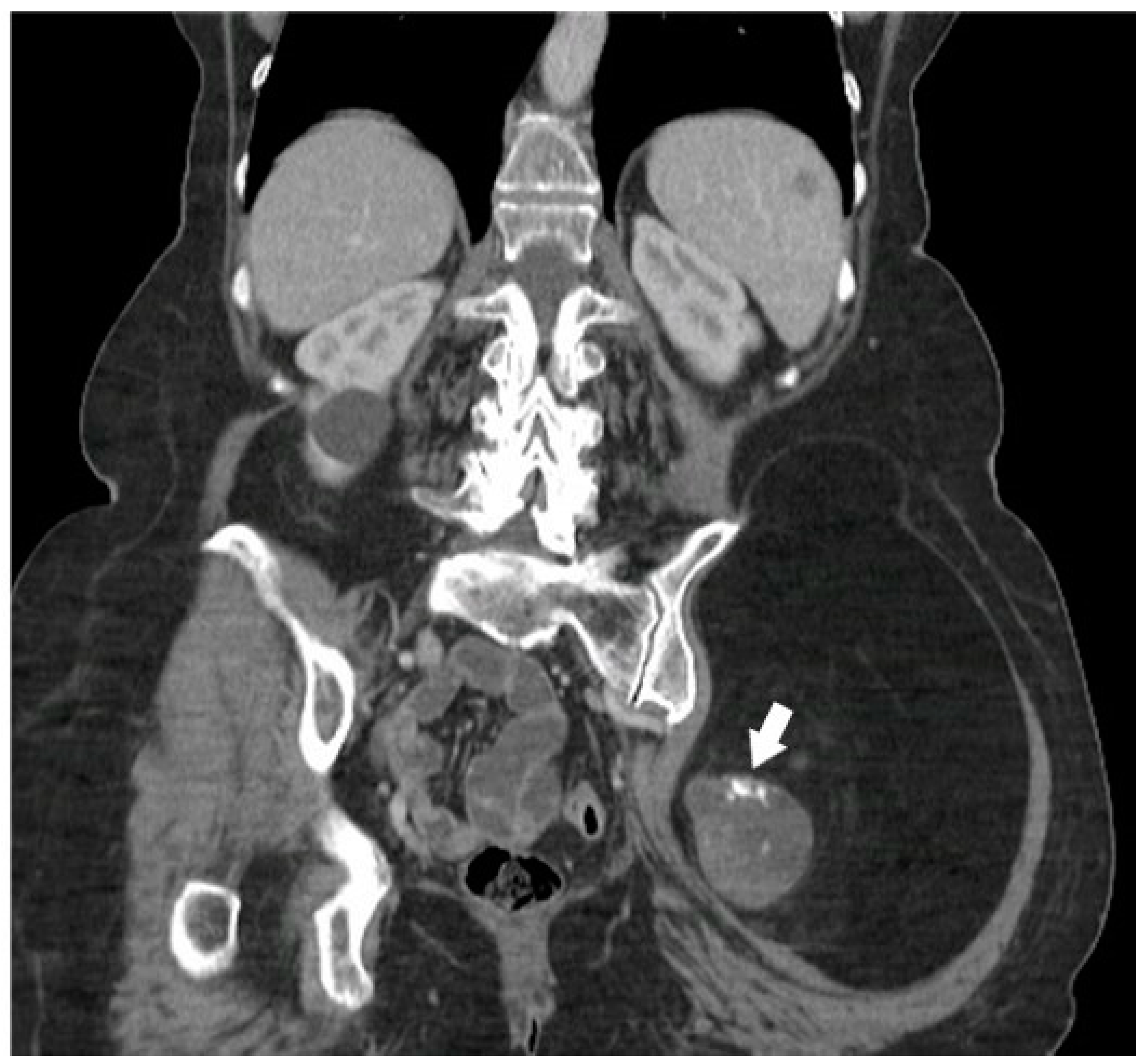
4.1. Adipocytic Tumors
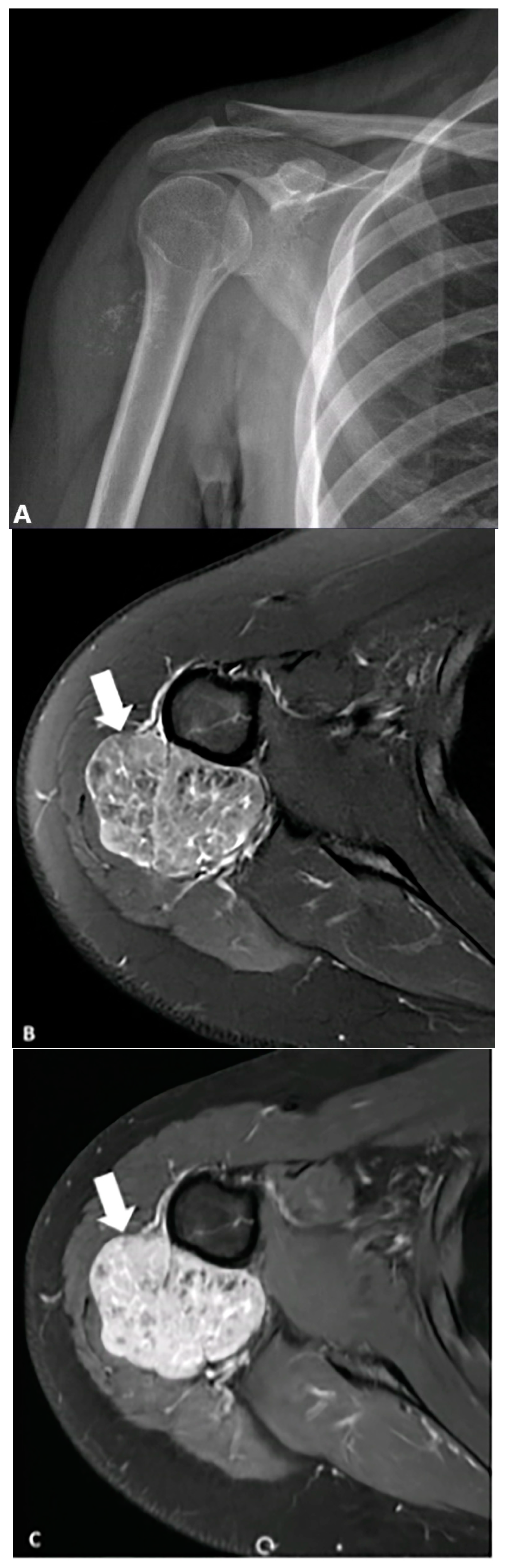
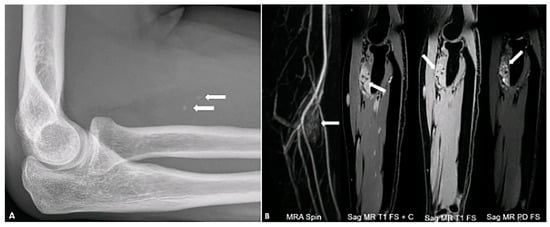
4.2. Fibroblastic/Myofibroblastic Tumors
4.3. Calcifying Aponeurotic Fibroma
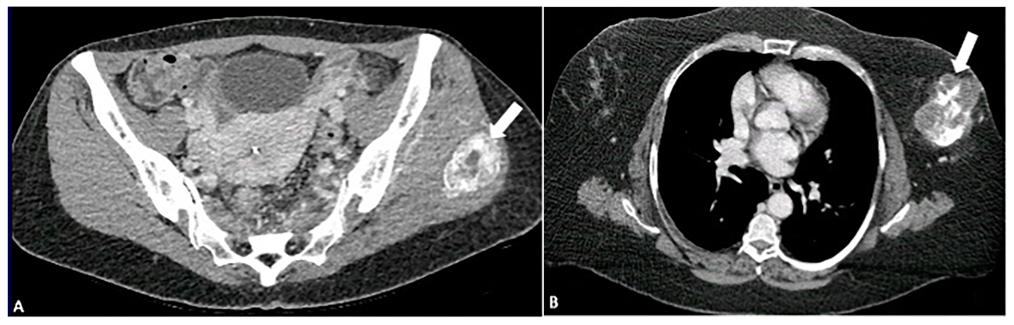
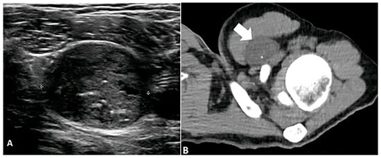
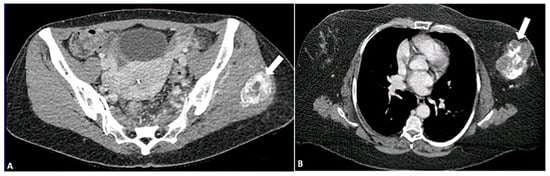
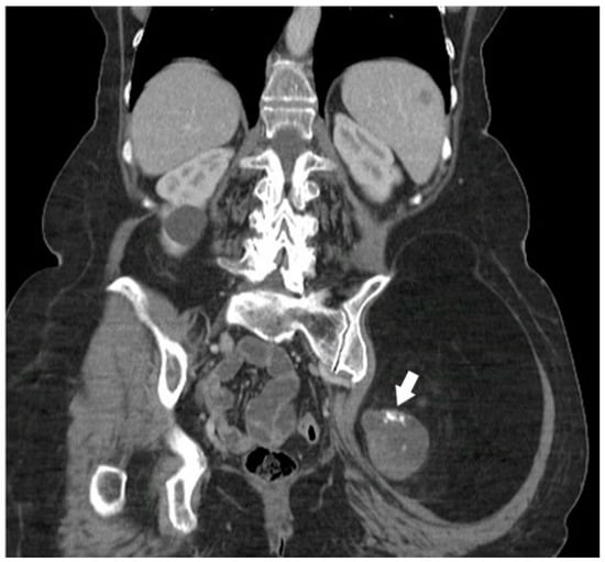
4.4. Vascular Tumors
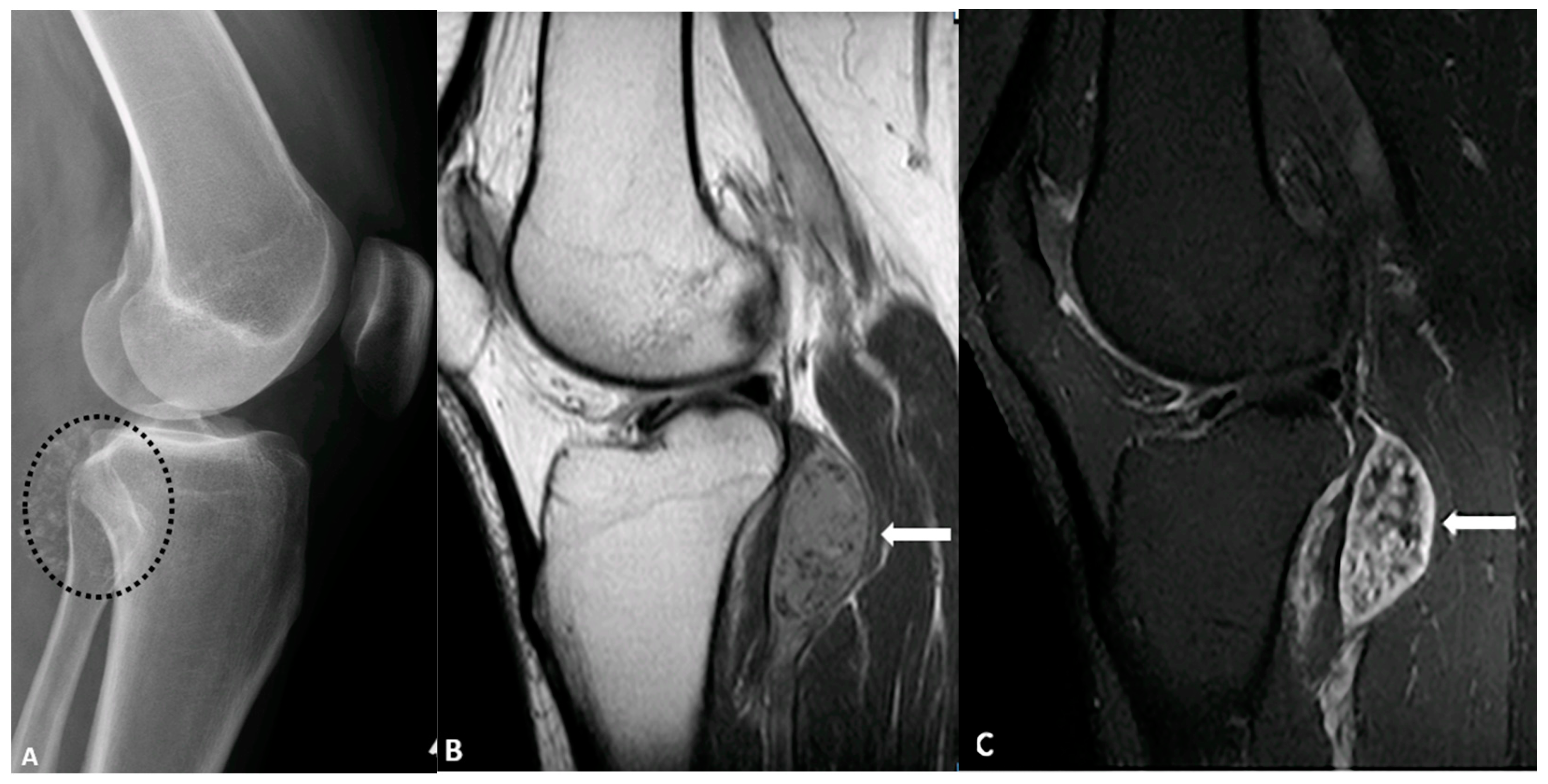
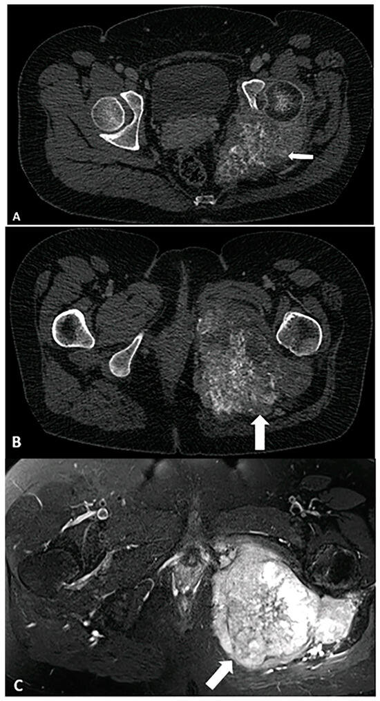
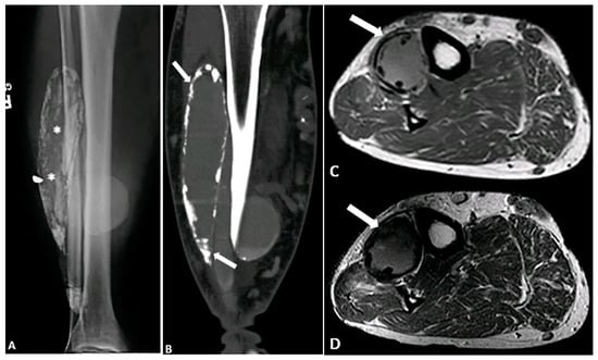
4.5. Smooth Muscle Tumors
4.6. Chondro-Osseous Tumors
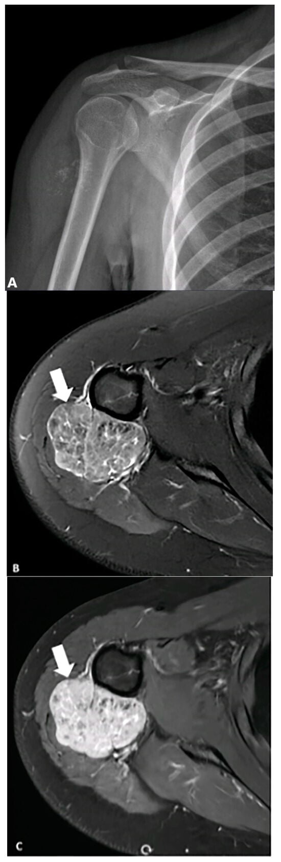
4.7. Peripheral Nerve Sheath Tumors
4.8. Tumors of Uncertain Differentiation
5. Non-Neoplastic Soft Tissue Calcifications
5.1. Calcific Tendinitis
5.2. Metabolic Disease
5.2.1. Gout
5.2.2. Primary Tumoral Calcinosis
5.3. Pilomatricoma
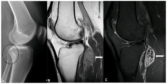
5.4. Synovial Chondromatosis
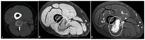
5.5. Calcific Myonecrosis
5.6. Injection Granuloma
5.7. Cysticercosis
5.8. Calcinosis Cutis
6. Future Directions in Imaging
7. Conclusions
Author Contributions
Funding
Informed Consent Statement
Data Availability Statement
Conflicts of Interest
References
- Van Vliet, M.; Kliffen, M.; Krestin, G.; Van Dijke, C. Soft tissue sarcomas at a glance: Clinical, histological, and MR imaging features of malignant extremity soft tissue tumors. Eur. Radiol. 2009, 19, 1499–1511. [Google Scholar] [PubMed]
- Manaster, B. Soft-tissue masses: Optimal imaging protocol and reporting. Am. J. Roentgenol. 2013, 201, 505–514. [Google Scholar]
- Fletcher, C. Pathology and genetics of tumors of soft tissue and bone. In World Health Organization Classification of Tumors; IARC Press: Lyon, France, 2002; Volume 4, pp. 35–46. [Google Scholar]
- Sbaraglia, M.; Bellan, E.; Dei Tos, A.P. The 2020 WHO classification of soft tissue tumours: News and perspectives. Pathologica 2021, 113, 70–84. [Google Scholar]
- Peterson, J.J.; Kransdorf, M.J.; Bancroft, L.W.; O’connor, M.I. Malignant fatty tumors: Classification, clinical course, imaging appearance and treatment. Skelet. Radiol. 2003, 32, 493–503. [Google Scholar]
- Kransdorf, M.J.; Bancroft, L.W.; Peterson, J.J.; Murphey, M.D.; Foster, W.C.; Temple, H.T. Imaging of fatty tumors: Distinction of lipoma and well-differentiated liposarcoma. Radiology 2002, 224, 99–104. [Google Scholar]
- Murphey, M.D.; Arcara, L.K.; Fanburg-Smith, J. Imaging of musculoskeletal liposarcoma with radiologic-pathologic correlation. Radiographics 2005, 25, 1371–1395. [Google Scholar]
- Hwang, Z.-A.; Suh, K.J.; Chen, D.; Chan, W.P.; Wu, J.S. Imaging features of soft-tissue calcifications and related diseases: A systematic approach. Korean J. Radiol. 2018, 19, 1147–1160. [Google Scholar]
- Elgazzar, A.H. Diagnosis of Soft Tissue Calcification. In Orthopedic Nuclear Medicine; Springer: Berlin/Heidelberg, Germany, 2024; pp. 351–378. [Google Scholar]
- Patel, D.B.; Matcuk Jr, G.R. Imaging of soft tissue sarcomas. Chin. Clin. Oncol. 2018, 7, 35. [Google Scholar]
- Mc Auley, G.; Jagannathan, J.; O’Regan, K.; Krajewski, K.M.; Hornick, J.L.; Butrynski, J.; Ramaiya, N. Extraskeletal osteosarcoma: Spectrum of imaging findings. Am. J. Roentgenol. 2012, 198, W31–W37. [Google Scholar]
- Freire, V.; Moser, T.P.; Lepage-Saucier, M. Radiological identification and analysis of soft tissue musculoskeletal calcifications. Insights Into Imaging 2018, 9, 477–492. [Google Scholar] [CrossRef]
- Zagarella, A.; Impellizzeri, E.; Maiolino, R.; Attolini, R.; Castoldi, M.C. Pelvic heterotopic ossification: When CT comes to the aid of MR imaging. Insights Into Imaging 2013, 4, 595–603. [Google Scholar] [PubMed]
- Murphey, M.D.; Gibson, M.S.; Jennings, B.T.; Crespo-Rodríguez, A.M.; Fanburg-Smith, J.; Gajewski, D.A. Imaging of synovial sarcoma with radiologic-pathologic correlation. Radiographics 2006, 26, 1543–1565. [Google Scholar] [CrossRef] [PubMed]
- Park, J.J.; Park, H.C.; Choi, S.H. Leiomyosarcomas of the extremities: Angiography as a diagnostic aid. J. Surg. Oncol. 1978, 10, 407–411. [Google Scholar] [CrossRef]
- Henze, J.; Bauer, S. Liposarcomas. Hematol. Oncol. Clin. 2013, 27, 939–955. [Google Scholar] [CrossRef]
- Toms, A.P.; White, L.M.; Kandel, R.; Bell, R.S. Low-grade liposarcoma with osteosarcomatous dedifferentiation: Radiological and histological features. Skelet. Radiol. 2003, 32, 286–289. [Google Scholar]
- O’Regan, K.N.; Jagannathan, J.; Krajewski, K.; Zukotynski, K.; Souza, F.; Wagner, A.J.; Ramaiya, N. Imaging of liposarcoma: Classification, patterns of tumor recurrence, and response to treatment. Am. J. Roentgenol. 2011, 197, W37–W43. [Google Scholar] [CrossRef]
- Banks, K.P.; Bui-Mansfield, L.T.; Chew, F.S.; Collinson, F. A compartmental approach to the radiographic evaluation of soft-tissue calcifications. Semin. Roentgenol. 2005, 40, 391–407. [Google Scholar] [CrossRef]
- Cortellazzo Wiel, L.; Trevisan, M.; Murru, F.M.; Rabusin, M.; Barbi, E. Myositis ossificans mimicking sarcoma: A not so rare bioptic diagnostic pitfall. Ital. J. Pediatr. 2020, 46, 110. [Google Scholar] [CrossRef]
- Pena-Burgos, E.; Iglesias-Urraca, C.; González-García, M.; Rodríguez-García, A.; Tapia-Viñe, M.; Ortiz-Cruz, E.; Pozo-Kreilinger, J. Calcifying aponeurotic fibroma: Radiologic-pathologic analysis of ten cases and review of the literature. Ann. Diagn. Pathol. 2022, 61, 152056. [Google Scholar] [CrossRef]
- Sekiguchi, T.; Nakagawa, M.; Miwa, S.; Shiba, A.; Ozawa, Y.; Shimohira, M.; Sakurai, K.; Shibamoto, Y. Calcifying aponeurotic fibroma in a girl: MRI findings and their chronological changes. Radiol. Case Rep. 2017, 12, 620–623. [Google Scholar] [CrossRef]
- Kang, J.H.; Lee, K.; Yoo, H.J.; Chae, H.D.; Hong, S.H.; Choi, J.Y. Ultrasound and magnetic resonance imaging features of calcifying aponeurotic fibromas. J. Ultrasound Med. 2020, 39, 1299–1306. [Google Scholar] [PubMed]
- Rouhani, P.; Fletcher, C.D.; Devesa, S.S.; Toro, J.R. Cutaneous soft tissue sarcoma incidence patterns in the US: An analysis of 12,114 cases. Cancer Interdiscip. Int. J. Am. Cancer Soc. 2008, 113, 616–627. [Google Scholar]
- Gaballah, A.H.; Jensen, C.T.; Palmquist, S.; Pickhardt, P.J.; Duran, A.; Broering, G.; Elsayes, K.M. Angiosarcoma: Clinical and imaging features from head to toe. Br. J. Radiol. 2017, 90, 20170039. [Google Scholar] [CrossRef] [PubMed]
- Wang, X.; Chen, X.; Chen, Z.; Zhang, M. Arterial calcification and its association with stroke: Implication of risk, prognosis, treatment response, and prevention. Front. Cell. Neurosci. 2022, 16, 845215. [Google Scholar] [CrossRef]
- Kilpatrick, S.E.; Mentzel, T.; Fletcher, C.D. Leiomyoma of deep soft tissue: Clinicopathologic analysis of a series. Am. J. Surg. Pathol. 1994, 18, 576–603. [Google Scholar]
- Fitzhugh, V.A.; Wenokor, C.; Beebe, K.S.; Aisner, S.C. Leiomyoma of deep soft tissue mimicking calcific myonecrosis. Radiol. Case Rep. 2016, 11, 430–433. [Google Scholar] [CrossRef]
- Mcleod, A.J.; Zornoza, J.; Shirkhoda, A. Leiomyosarcoma: Computed tomographic findings. Radiology 1984, 152, 133–136. [Google Scholar]
- Bush, C.H.; Reith, J.D.; Spanier, S.S. Mineralization in Musculoskeletal Leiomyosarcoma: Radiologic—Pathologic Correlation. Am. J. Roentgenol. 2003, 180, 109–113. [Google Scholar]
- Disthabanchong, S.; Boongird, S. Role of different imaging modalities of vascular calcification in predicting outcomes in chronic kidney disease. World J. Nephrol. 2017, 6, 100–110. [Google Scholar] [CrossRef]
- Hu, R.; Daftari Besheli, L.; Young, J.; Wu, M.; Pomerantz, S.; Lev, M.H.; Gupta, R. Dual-energy head CT enables accurate distinction of intraparenchymal hemorrhage from calcification in emergency department patients. Radiology 2016, 280, 177–183. [Google Scholar]
- Shapeero, L.; Vanel, D.; Couanet, D.; Contesso, G.; Ackerman, L. Extraskeletal mesenchymal chondrosarcoma. Radiology 1993, 186, 819–826. [Google Scholar] [CrossRef] [PubMed]
- Chung, E.B.; Enzinger, F.M. Extraskeletal osteosarcoma. Cancer 1987, 60, 1132–1142. [Google Scholar] [CrossRef] [PubMed]
- Lin, J.; Martel, W. Cross-sectional imaging of peripheral nerve sheath tumors: Characteristic signs on CT, MR imaging, and sonography. Am. J. Roentgenol. 2001, 176, 75–82. [Google Scholar] [CrossRef]
- Pan, W.; Feng, B.; Wang, Z.; Lin, N.; Ye, Z. Malignant peripheral nerve sheath tumor in the paraspinal region mimicking a benign peripheral nerve sheath tumor: A case report. Eur. Spine J. 2017, 26, 90–94. [Google Scholar] [CrossRef]
- Davila, A.; Conrad, E.U.; Ayala, G.E.; Beckmann, N.M. Intraosseous malignant peripheral nerve sheath tumor of the sacrum in a patient with neurofibromatosis type I. Radiol. Case Rep. 2019, 14, 880–884. [Google Scholar] [CrossRef]
- Kamran, S.C.; Shinagare, A.B.; Howard, S.A.H.; Nishino, M.; Hornick, J.L.; Krajewski, K.M.; Ramaiya, N.H. Intrathoracic malignant peripheral nerve sheath tumors: Imaging features and implications for management. Radiol. Oncol. 2013, 47, 230–238. [Google Scholar] [CrossRef][Green Version]
- Kakkar, C.; Shetty, C.M.; Koteshwara, P.; Bajpai, S. Telltale signs of peripheral neurogenic tumors on magnetic resonance imaging. Indian J. Radiol. Imaging 2015, 25, 453–458. [Google Scholar] [CrossRef]
- Isobe, K.; Shimizu, T.; Akahane, T.; Kato, H. Imaging of ancient schwannoma. Am. J. Roentgenol. 2004, 183, 331–336. [Google Scholar] [CrossRef]
- Schultz, E.; Sapan, M.R.; McHeffey-Atkinson, B.; Naidich, J.B.; Arlen, M. Case report 872. “Ancient” schwannoma (degenerated neurilemoma). Skelet. Radiol. 1994, 23, 593–595. [Google Scholar]
- Lee, S.K.; Kim, J.-Y.; Lee, Y.-S.; Jeong, H.S. Intramuscular peripheral nerve sheath tumors: Schwannoma, ancient schwannoma, and neurofibroma. Skelet. Radiol. 2020, 49, 967–975. [Google Scholar] [CrossRef]
- Kwee, R.M.; Kwee, T.C. Calcified or ossified benign soft tissue lesions that may simulate malignancy. Skelet. Radiol. 2019, 48, 1875–1890. [Google Scholar]
- Aytekin, M.N.; Öztürk, R.; Amer, K.; Yapar, A. Epidemiology, incidence, and survival of synovial sarcoma subtypes: SEER database analysis. J. Orthop. Surg. 2020, 28, 2309499020936009. [Google Scholar] [CrossRef] [PubMed]
- Wilkerson, B.W.; Crim, J.R.; Hung, M.; Layfield, L.J. Characterization of synovial sarcoma calcification. Am. J. Roentgenol. 2012, 199, W730–W734. [Google Scholar] [CrossRef] [PubMed]
- Chotel, F.; Unnithan, A.; Chandrasekar, C.; Parot, R.; Jeys, L.; Grimer, R. Variability in the presentation of synovial sarcoma in children: A plea for greater awareness. J. Bone Jt. Surg. Br. Vol. 2008, 90, 1090–1096. [Google Scholar]
- Liang, C.; Mao, H.; Tan, J.; Ji, Y.; Sun, F.; Dou, W.; Wang, H.; Wang, H.; Gao, J. Synovial sarcoma: Magnetic resonance and computed tomography imaging features and differential diagnostic considerations. Oncol. Lett. 2015, 9, 661–666. [Google Scholar]
- Goldman, S.M.; Hartman, D.S.; Weiss, S.W. The varied radiographic manifestations of retroperitoneal malignant fibrous histiocytoma revealed through 27 cases. J. Urol. 1986, 135, 33–38. [Google Scholar] [CrossRef]
- Bruneton, J.-N.; Drouillard, J.; Rogopoulos, A.; Laurent, F.; Normand, F.; Balu-Maestro, C.; Monticelli, J. Extraretroperitoneal abdominal malignant fibrous histiocytoma. Gastrointest. Radiol. 1988, 13, 299–305. [Google Scholar]
- Levy, A.D.; Manning, M.A.; Miettinen, M.M. Soft-tissue sarcomas of the abdomen and pelvis: Radiologic-pathologic features, part 2—Uncommon sarcomas. Radiographics 2017, 37, 797–812. [Google Scholar]
- Siegal, D.S.; Wu, J.S.; Newman, J.S.; Del Cura, J.L.; Hochman, M.G. Calcific tendinitis: A pictorial review. Can. Assoc. Radiol. J. 2009, 60, 263–272. [Google Scholar]
- De Carli, A.; Pulcinelli, F.; Delle Rose, G.; Pitino, D.; Ferretti, A. Calcific tendinitis of the shoulder. Joints 2014, 2, 130–136. [Google Scholar] [CrossRef]
- Weaver, J.S.; Vina, E.R.; Munk, P.L.; Klauser, A.S.; Elifritz, J.M.; Taljanovic, M.S. Gouty arthropathy: Review of clinical manifestations and treatment, with emphasis on imaging. J. Clin. Med. 2021, 11, 166. [Google Scholar] [CrossRef] [PubMed]
- Pârvănescu, C.D.; Bărbulescu, A.L.; Biță, C.E.; Dinescu, Ș.C.; Trașcǎ, B.A.; Firulescu, S.C.; Vreju, F.A. Ultrasound Features in Gout: An Overview. Med. Sci. 2024, 12, 37. [Google Scholar] [CrossRef] [PubMed]
- Fathi, I.; Sakr, M. Review of tumoral calcinosis: A rare clinico-pathological entity. World J. Clin. Cases WJCC 2014, 2, 409. [Google Scholar]
- Zanatta, E.; Desportes, M.; Do, H.H.; Avouac, J.; Doria, A.; Feydy, A.; Allanore, Y. Pseudotumoral calcinosis in systemic sclerosis: Data from systematic literature review and case series from two referral centres. Semin. Arthritis Rheum. 2020, 50, 1339–1347. [Google Scholar]
- Daumas, A.; Rossi, P.; Ariey-Bonnet, D.; Bernard, F.; Dussol, B.; Berbis, P.; Granel, B. Generalized calcinosis in systemic sclerosis. QJM Int. J. Med. 2014, 107, 219–221. [Google Scholar]
- Fabbri, L.; Fusaroli, M.; Catizone, L.; Zucchelli, P. Periaticular metastatic calcifications in uremic patients. Minerva Medica 1975, 66, 209–219. [Google Scholar]
- Le, C.; Bedocs, P.M. Calcifying Epithelioma of Malherbe; StatPearls Publishing: Treasure Island, FL, USA, 2018. [Google Scholar]
- Sunanda, D.P.; Rajashekhar, R.P.; Tanmay, C.; Gundappa, M. Pilomatricoma: A Case Report. Cureus 2024, 16, e63574. [Google Scholar]
- Li, L.; Xu, J.; Wang, S.; Yang, J. Ultra-High-Frequency ultrasound in the evaluation of paediatric pilomatricoma based on the histopathologic classification. Front. Med. 2021, 8, 673861. [Google Scholar]
- Murphey, M.D.; Vidal, J.A.; Fanburg-Smith, J.C.; Gajewski, D.A. Imaging of synovial chondromatosis with radiologic-pathologic correlation. Radiographics 2007, 27, 1465–1488. [Google Scholar]
- Walker, E.A.; Murphey, M.D.; Fetsch, J.F. Imaging characteristics of tenosynovial and bursal chondromatosis. Skelet. Radiol. 2011, 40, 317–325. [Google Scholar]
- Norman, A.; Steiner, G. Bone erosion in synovial chondromatosis. Radiology 1986, 161, 749–752. [Google Scholar] [CrossRef] [PubMed]
- Kim, S.H.; Hong, S.J.; Park, J.S.; Cho, J.M.; Kim, E.Y.; Ahn, J.M.; Park, Y.S. Idiopathic synovial osteochondromatosis of the hip: Radiographic and MR appearances in 15 patients. Korean J. Radiol. 2002, 3, 254–259. [Google Scholar] [CrossRef] [PubMed]
- O’Dwyer, H.M.; Al-Nakshabandi, N.A.; Al-Muzahmi, K.; Ryan, A.; O’Connell, J.X.; Munk, P.L. Calcific myonecrosis: Keys to recognition and management. Am. J. Roentgenol. 2006, 187, W67–W76. [Google Scholar] [CrossRef]
- Ballard, D.H.; Mazaheri, P.; Oppenheimer, D.C.; Lubner, M.G.; Menias, C.O.; Pickhardt, P.J.; Middleton, W.D.; Mellnick, V.M. Imaging of abdominal wall masses, masslike lesions, and diffuse processes. RadioGraphics 2020, 40, 684–706. [Google Scholar] [CrossRef]
- Nepal, P.; Ojili, V. Rice-grain calcifications of cysticercosis. Abdom. Radiol. 2021, 46, 1276–1277. [Google Scholar] [CrossRef]
- Meena, D.; Gupta, M.; Jain, V.K.; Arya, R.K. Isolated intramuscular cysticercosis: Clinicopathological features, diagnosis and management–A review. J. Clin. Orthop. Trauma 2016, 7, 243–249. [Google Scholar] [CrossRef]
- Liu, H.; Juan, Y.-H.; Wang, W.; Liang, C.; Zhou, H.; Ghonge, N.P.; Saboo, S.S. Intramuscular cysticercosis: Starry sky appearance. QJM Int. J. Med. 2014, 107, 459–461. [Google Scholar] [CrossRef]
- Wasserman, P.L.; Wiesler, C.; Kurra, C.; Omman, R.; Taylor, K.; Puri, R. MR imaging findings of calcinosis cutis in primary Sjogren syndrome, a rare manifestation. Radiol. Case Rep. 2020, 15, 1029–1038. [Google Scholar] [CrossRef]
- Gillies, R.J.; Kinahan, P.E.; Hricak, H. Radiomics: Images are more than pictures, they are data. Radiology 2016, 278, 563–577. [Google Scholar] [CrossRef]
- Zhong, Z.; Yang, W.; Zhu, C.; Wang, Z. Role and progress of artificial intelligence in radiodiagnosing vascular calcification: A narrative review. Ann. Transl. Med. 2023, 11, 131. [Google Scholar] [CrossRef]
- Bi, W.L.; Hosny, A.; Schabath, M.B.; Giger, M.L.; Birkbak, N.J.; Mehrtash, A.; Allison, T.; Arnaout, O.; Abbosh, C.; Dunn, I.F. Artificial intelligence in cancer imaging: Clinical challenges and applications. CA Cancer J. Clin. 2019, 69, 127–157. [Google Scholar] [CrossRef] [PubMed]












| Category of Soft Tissue Tumor | Benign | Malignant |
|---|---|---|
| Adipocytic | Dedifferentiated, Well-differentiated liposarcoma | |
| Fibroblastic/Myofibroblastic | Myositis ossificans, Calcifying aponeurotic fibroma | |
| Fibrohistiocytic | ||
| Vascular | Hemangioma | |
| Pericytic | ||
| Smooth muscle | Leiomyoma | |
| Skeletal muscle | ||
| Gastrointestinal stromal | ||
| Chondro-osseous | Soft tissue chondroma | Extra-skeletal osteosarcoma |
| Peripheral nerve sheath | Ancient schwannoma | |
| Uncertain differentiation | Synovial sarcoma, Undifferentiated pleomorphic sarcoma | |
| Undifferentiated small round cell sarcoma |
| Disease | Characteristics |
|---|---|
| Calcific tendinitis | Tendon insertion sites |
| Gout | Pain, specific area (e.g., first toe), obese man, hyperuricemia |
| Tumoral calcinosis a/w metabolism | Periarticular calcified mass |
| Pilomatricoma | A superficial well-demarcated dense calcification |
| Synovial chondromatosis | Intra-articular homogeneous round calcifications |
| Calcific myonecrosis | Traumatic history, necrotic mass with peripheral calcifications |
| Injection granuloma | Gluteal subcutaneous fat |
| Cysticercosis | Diffuse rice-grain calcifications |
| Calcinosis cutis | Superficial calcifications in systemic sclerosis |
Disclaimer/Publisher’s Note: The statements, opinions and data contained in all publications are solely those of the individual author(s) and contributor(s) and not of MDPI and/or the editor(s). MDPI and/or the editor(s) disclaim responsibility for any injury to people or property resulting from any ideas, methods, instructions or products referred to in the content. |
© 2025 by the authors. Licensee MDPI, Basel, Switzerland. This article is an open access article distributed under the terms and conditions of the Creative Commons Attribution (CC BY) license (https://creativecommons.org/licenses/by/4.0/).
Share and Cite
Masroori, Z.; Mirghaderi, P.; Haseli, S.; Azhideh, A.; Mansoori, B.; Chen, E.; Park, C.; Chalian, M. Pictorial Review of Soft Tissue Lesions with Calcification. Diagnostics 2025, 15, 811. https://doi.org/10.3390/diagnostics15070811
Masroori Z, Mirghaderi P, Haseli S, Azhideh A, Mansoori B, Chen E, Park C, Chalian M. Pictorial Review of Soft Tissue Lesions with Calcification. Diagnostics. 2025; 15(7):811. https://doi.org/10.3390/diagnostics15070811
Chicago/Turabian StyleMasroori, Zahra, Peyman Mirghaderi, Sara Haseli, Arash Azhideh, Bahar Mansoori, Eric Chen, Chankue Park, and Majid Chalian. 2025. "Pictorial Review of Soft Tissue Lesions with Calcification" Diagnostics 15, no. 7: 811. https://doi.org/10.3390/diagnostics15070811
APA StyleMasroori, Z., Mirghaderi, P., Haseli, S., Azhideh, A., Mansoori, B., Chen, E., Park, C., & Chalian, M. (2025). Pictorial Review of Soft Tissue Lesions with Calcification. Diagnostics, 15(7), 811. https://doi.org/10.3390/diagnostics15070811

