Radiological Assessment of Charcot Neuro-Osteoarthropathy in Diabetic Foot: A Narrative Review
Abstract
1. Introduction
2. Clinical Features and Diagnosis
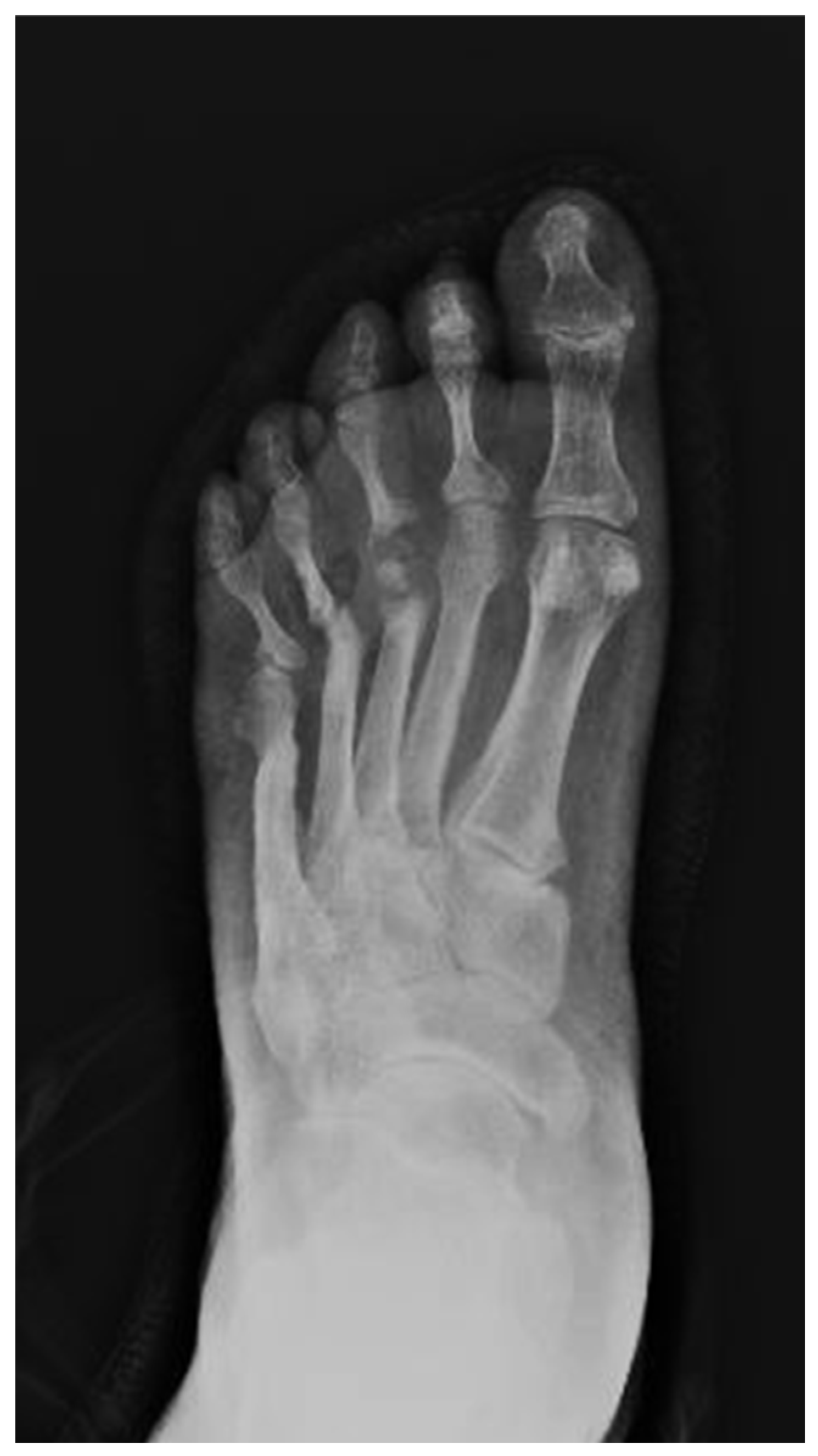
3. X-Rays
4. Magnetic Resonance Imaging
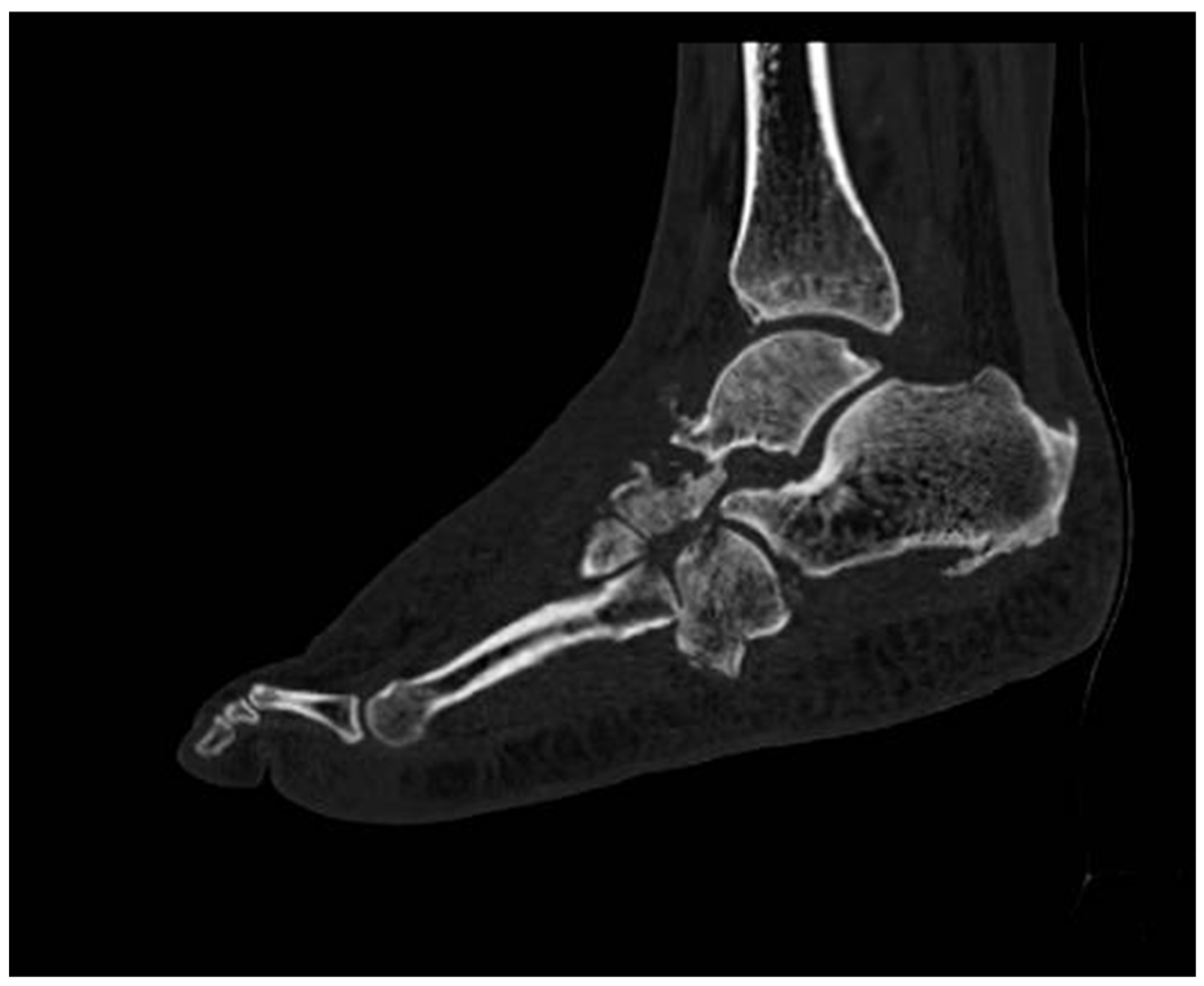
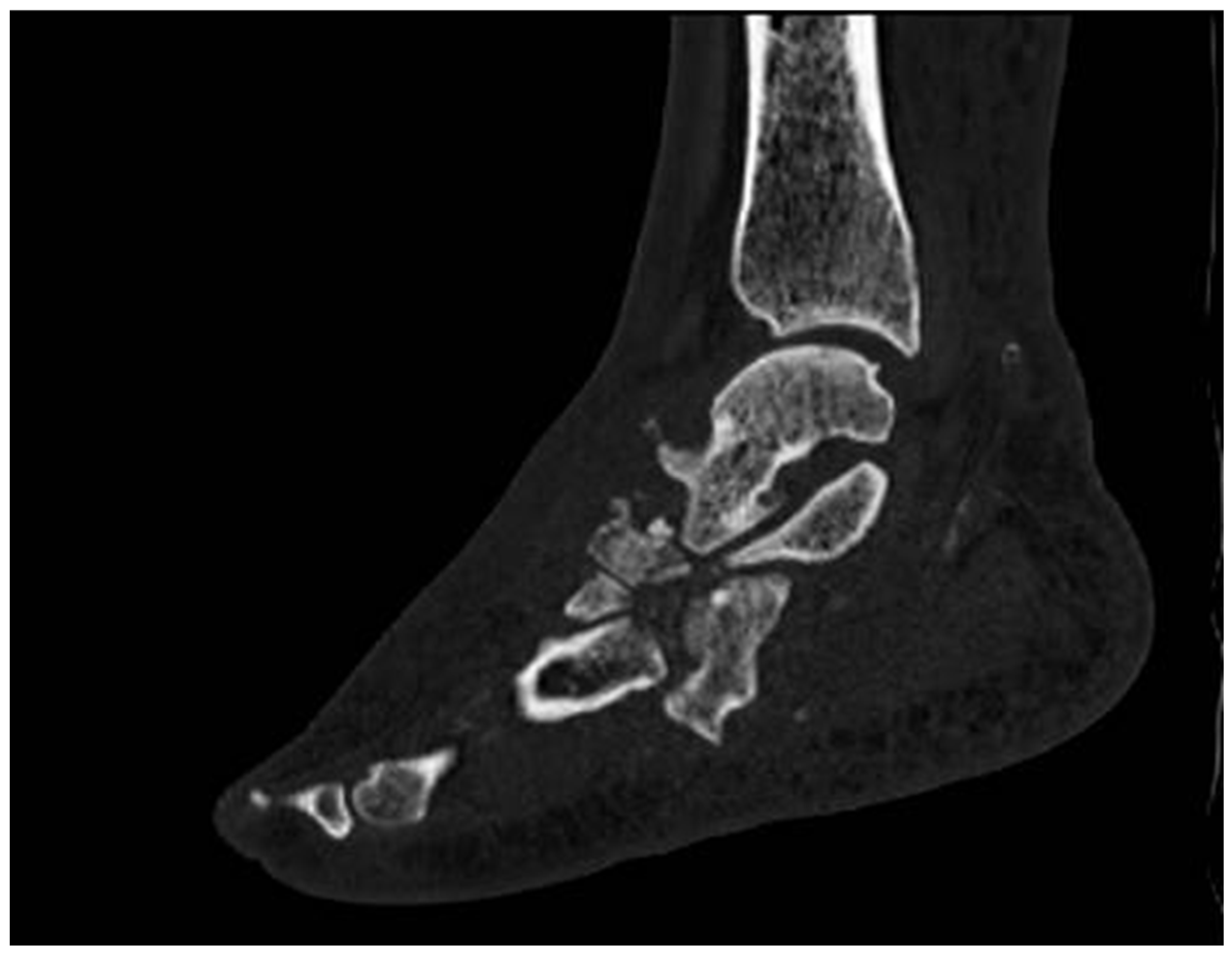
5. Computed Tomography Scan
6. Nuclear Imaging
7. Conclusions
Author Contributions
Funding
Institutional Review Board Statement
Conflicts of Interest
References
- Pitocco, D.; Scavone, G.; Di Leo, M.; Vitiello, R.; Rizzi, A.; Tartaglione, L.; Costantini, F.; Flex, A.; Galli, M.; Caputo, S.; et al. Charcot Neuroarthropathy: From the Laboratory to the Bedside. Curr. Diabetes Rev. 2019, 16, 62–72. [Google Scholar] [CrossRef] [PubMed]
- Jeffcoate, W.J.; Game, F.; Cavanagh, P.R. The Role of Proinflammatory Cytokines in the Cause of Neuropathic Osteoarthropathy (Acute Charcot Foot) in Diabetes. Lancet 2005, 366, 2058–2061. [Google Scholar] [CrossRef]
- Sanders, L.J. The Charcot Foot: Historical Perspective 1827-2003. Diabetes Metab Res Rev 2004, 20 (Suppl. S1), S4–S8. [Google Scholar] [CrossRef]
- Gupta, R. A Short History of Neuropathic Arthropathy. Clin. Orthop. Relat. Res. 1993, 296, 43–49. [Google Scholar] [CrossRef]
- Berg, E.E. Charcot Arthropathy after Acetabular Fracture. J. Bone Jt. Surg. Br. 1997, 79, 742–745. [Google Scholar] [CrossRef]
- Lambert, A.P.; Close, C.F. Charcot Neuroarthropathy of the Wrist in Type 1 Diabetes. Diabetes Care 2005, 28, 984–985. [Google Scholar] [CrossRef]
- Patel, A.; Saini, A.K.; Edmonds, M.E.; Kavarthapu, V. Diabetic Neuropathic Arthropathy of the Knee: Two Case Reports and a Review of the Literature. Case Rep. Orthop. 2018, 2018, 9301496. [Google Scholar] [CrossRef]
- Phillips, S.; Williams, A.L.; Peters, J.R. Neuropathic Arthropathy of the Spine in Diabetes. Diabetes Care 1995, 18, 867–869. [Google Scholar] [CrossRef]
- Eichenholtz, S.N. Charcot joints. J. Bone Jt. Surg. 1962, 44, 1485. [Google Scholar]
- Yu, G.V.; Hudson, J.R. Evaluation and Treatment of Stage 0 Charcot’s Neuroarthropathy of the Foot and Ankle. J. Am. Podiatr. Med. Assoc. 2002, 92, 210–220. [Google Scholar] [CrossRef]
- Sella, E.J.; Barrette, C. Staging of Charcot Neuroarthropathy along the Medial Column of the Foot in the Diabetic Patient. J. Foot Ankle Surg. 1999, 38, 34–40. [Google Scholar] [CrossRef]
- Ergen, F.B.; Sanverdi, S.E.; Oznur, A. Charcot Foot in Diabetes and an Update on Imaging. Diabet. Foot Ankle 2013, 4, 21884. [Google Scholar] [CrossRef] [PubMed]
- Chantelau, E.A.; Grützner, G. Is the Eichenholtz Classification Still Valid for the Diabetic Charcot Foot? Swiss Med. Wkly. 2014, 144, w13948. [Google Scholar] [CrossRef]
- Brodsky, J.W.; Rouse, A.M. Exostectomy for Symptomatic Bony Prominences in Diabetic Charcot Feet. Clin. Orthop. Relat. Res. 1993, 296, 21–26. [Google Scholar] [CrossRef]
- Shibata, T.; Tada, K.; Hashizume, C. The Results of Arthrodesis of the Ankle for Leprotic Neuroarthropathy. J. Bone Jt. Surg. Am. 1990, 72, 749–756. [Google Scholar] [CrossRef]
- Trepman, E.; Nihal, A.; Pinzur, M.S. Current Topics Review: Charcot Neuroarthropathy of the Foot and Ankle. Foot Ankle Int. 2005, 26, 46–63. [Google Scholar] [CrossRef] [PubMed]
- Wukich, D.K.; Raspovic, K.; Liu, G.T.; Van Pelt, M.D.; Lalli, T.; Chhabra, A.; Nakonezny, P.; La Fontaine, J.; Lavery, L.; Kim, P.J. Are the Sanders-Frykberg and Brodsky-Trepman Classifications Reliable in Diabetic Charcot Neuroarthropathy? J. Foot Ankle Surg. 2021, 60, 432–435. [Google Scholar] [CrossRef]
- McGill, M.; Molyneaux, L.; Bolton, T.; Ioannou, K.; Uren, R.; Yue, D.K. Response of Charcot’s Arthropathy to Contact Casting: Assessment by Quantitative Techniques. Diabetologia 2000, 43, 481–484. [Google Scholar] [CrossRef] [PubMed]
- Baglioni, P.; Malik, M.; Okosieme, O.E. Acute Charcot Foot. BMJ 2012, 344, e1397. [Google Scholar] [CrossRef]
- Frykberg, R.G.; Zgonis, T.; Armstrong, D.G.; Driver, V.R.; Giurini, J.M.; Kravitz, S.R.; Landsman, A.S.; Lavery, L.A.; Moore, J.C.; Schuberth, J.M.; et al. Diabetic Foot Disorders: A Clinical Practice Guideline (2006 Revision). J. Foot Ankle Surg. 2006, 45, S1–S66. [Google Scholar] [CrossRef]
- Armstrong, D.G.; Todd, W.F.; Lavery, L.A.; Harkless, L.B.; Bushman, T.R. The Natural History of Acute Charcot’s Arthropathy in a Diabetic Foot Specialty Clinic. Diabet. Med. 1997, 14, 357–363. [Google Scholar] [CrossRef]
- Marmolejo, V.S.; Arnold, J.F.; Ponticello, M.; Andersen, C.A. Charcot Foot: Clinical Clues, Diagnostic Strategies, and Treatment Principles. Am. Fam. Physician 2018, 97, 594–599. [Google Scholar]
- Edmonds, M.; Manu, C.; Vas, P. The Current Burden of Diabetic Foot Disease. J. Clin. Orthop. Trauma 2021, 17, 88–93. [Google Scholar] [CrossRef] [PubMed]
- Thiruvoipati, T.; Kielhorn, C.E.; Armstrong, E.J. Peripheral Artery Disease in Patients with Diabetes: Epidemiology, Mechanisms, and Outcomes. World J. Diabetes 2015, 6, 961–969. [Google Scholar] [CrossRef]
- Beckman, J.A.; Creager, M.A.; Libby, P. Diabetes and Atherosclerosis: Epidemiology, Pathophysiology, and Management. JAMA 2002, 287, 2570–2581. [Google Scholar] [CrossRef]
- Wukich, D.K.; Sung, W. Charcot Arthropathy of the Foot and Ankle: Modern Concepts and Management Review. J. Diabetes Complicat. 2009, 23, 409–426. [Google Scholar] [CrossRef]
- Persky, J.D.; Langan, T.; Smith, C.N.; Burns, P.R. Plantar Approach for Midfoot Wedge Resection to Reconstruct the Rocker Bottom Foot. J. Foot Ankle Surg. 2019, 58, 1030–1035. [Google Scholar] [CrossRef] [PubMed]
- Rogers, L.C.; Bevilacqua, N.J. The Diagnosis of Charcot Foot. Clin. Podiatr. Med. Surg. 2008, 25, 43–51. [Google Scholar] [CrossRef]
- Mascio, A.; Greco, T.; Maccauro, G.; Perisano, C. Lisfranc Complex Injuries Management and Treatment: Current Knowledge. Int. J. Physiol. Pathophysiol. Pharmacol. 2022, 14, 161–170. [Google Scholar]
- Greco, T.; Cianni, L.; De Mauro, D.; Dughiero, G.; Bocchi, M.B.; Cazzato, G.; Ragonesi, G.; Liuzza, F.; Maccauro, G.; Perisano, C. Foot Metastasis: Current Knowledge. Orthop. Rev. 2020, 12, 8671. [Google Scholar] [CrossRef]
- Perisano, C.; Greco, T.; Vitiello, R.; Maccauro, G.; Liuzza, F.; Tamburelli, F.C.; Forconi, F. Mueller-Weiss Disease: Review of the Literature. J. Biol. Regul. Homeost. Agents 2018, 32, 157–162. [Google Scholar]
- Leerling, A.T.; Clunie, G.; Koutrouba, E.; Dekkers, O.M.; Appelman-Dijkstra, N.M.; Winter, E.M. Diagnostic and Therapeutic Practices in Adult Chronic Nonbacterial Osteomyelitis (CNO). Orphanet J. Rare Dis. 2023, 18, 206. [Google Scholar] [CrossRef] [PubMed]
- Rogers, L.C.; Frykberg, R.G.; Armstrong, D.G.; Boulton, A.J.M.; Edmonds, M.; Van, G.H.; Hartemann, A.; Game, F.; Jeffcoate, W.; Jirkovska, A.; et al. The Charcot Foot in Diabetes. Diabetes Care 2011, 34, 2123–2129. [Google Scholar] [CrossRef] [PubMed]
- Jones, E.A.; Manaster, B.J.; May, D.A.; Disler, D.G. Neuropathic Osteoarthropathy: Diagnostic Dilemmas and Differential Diagnosis. Radiographics 2000, 20, S279–S293. [Google Scholar] [CrossRef]
- Regan, M.; Lloyd Jones, J.K.; Snape, J. Destructive Large Joint Arthritis. Ann. Rheum. Dis. 1995, 54, 626–627. [Google Scholar] [CrossRef] [PubMed]
- Wukich, D.K.; Schaper, N.C.; Gooday, C.; Bal, A.; Bem, R.; Chhabra, A.; Hastings, M.; Holmes, C.; Petrova, N.L.; Santini Araujo, M.G.; et al. Guidelines on the Diagnosis and Treatment of Active Charcot Neuro-Osteoarthropathy in Persons with Diabetes Mellitus (IWGDF 2023). Diabetes Metab. Res. Rev. 2024, 40, e3646. [Google Scholar] [CrossRef]
- Pakarinen, T.-K.; Laine, H.-J.; Honkonen, S.E.; Peltonen, J.; Oksala, H.; Lahtela, J. Charcot Arthropathy of the Diabetic Foot. Current Concepts and Review of 36 Cases. Scand. J. Surg. 2002, 91, 195–201. [Google Scholar] [CrossRef]
- Pinzur, M.S.; Lio, T.; Posner, M. Treatment of Eichenholtz Stage I Charcot Foot Arthropathy with a Weightbearing Total Contact Cast. Foot Ankle Int. 2006, 27, 324–329. [Google Scholar] [CrossRef]
- Andersen, L.B.; Dipreta, J. Charcot of the Calcaneus. Foot Ankle Clin. 2006, 11, 825–835. [Google Scholar] [CrossRef]
- Petrova, N.L.; Edmonds, M.E. Charcot Neuro-Osteoarthropathy-Current Standards. Diabetes Metab. Res. Rev. 2008, 24 (Suppl. S1), S58–S61. [Google Scholar] [CrossRef]
- Rogers, L.C.; Bevilacqua, N.J. Imaging of the Charcot Foot. Clin. Podiatr. Med. Surg. 2008, 25, 263–274. [Google Scholar] [CrossRef] [PubMed]
- Nubé, V.L.; McGill, M.; Molyneaux, L.; Yue, D.K. From Acute to Chronic: Monitoring the Progress of Charcot’s Arthropathy. J. Am. Podiatr. Med. Assoc. 2002, 92, 384–389. [Google Scholar] [CrossRef] [PubMed]
- Schmidt, B.M.; Wrobel, J.S.; Holmes, C.M. Physician Knowledge of a Rare Foot Condition—Influence of Diabetic Patient Population on Self-Described Knowledge and Treatment. Clin. Diabetes Endocrinol. 2017, 3, 2. [Google Scholar] [CrossRef]
- Hastings, M.K.; Sinacore, D.R.; Mercer-Bolton, N.; McCormick, J.J.; Hildebolt, C.F.; Prior, F.W.; Johnson, J.E. Precision of Foot Alignment Measures in Charcot Arthropathy. Foot Ankle Int. 2011, 32, 867–872. [Google Scholar] [CrossRef] [PubMed]
- Ledermann, H.P.; Morrison, W.B.; Schweitzer, M.E.; Raikin, S.M. Tendon Involvement in Pedal Infection: MR Analysis of Frequency, Distribution, and Spread of Infection. AJR Am. J. Roentgenol. 2002, 179, 939–947. [Google Scholar] [CrossRef]
- Hastings, M.K.; Johnson, J.E.; Strube, M.J.; Hildebolt, C.F.; Bohnert, K.L.; Prior, F.W.; Sinacore, D.R. Progression of Foot Deformity in Charcot Neuropathic Osteoarthropathy. J. Bone Jt. Surg. Am. 2013, 95, 1206–1213. [Google Scholar] [CrossRef]
- Rosskopf, A.B.; Loupatatzis, C.; Pfirrmann, C.W.A.; Böni, T.; Berli, M.C. The Charcot Foot: A Pictorial Review. Insights Into Imaging 2019, 10, 77. [Google Scholar] [CrossRef]
- Gold, R.H.; Hawkins, R.A.; Katz, R.D. Bacterial Osteomyelitis: Findings on Plain Radiography, CT, MR, and Scintigraphy. AJR Am. J. Roentgenol. 1991, 157, 365–370. [Google Scholar] [CrossRef]
- Collins, M.S.; Schaar, M.M.; Wenger, D.E.; Mandrekar, J.N. T1-Weighted MRI Characteristics of Pedal Osteomyelitis. AJR Am. J. Roentgenol. 2005, 185, 386–393. [Google Scholar] [CrossRef]
- Alaia, E.F.; Chhabra, A.; Simpfendorfer, C.S.; Cohen, M.; Mintz, D.N.; Vossen, J.A.; Zoga, A.C.; Fritz, J.; Spritzer, C.E.; Armstrong, D.G.; et al. MRI Nomenclature for Musculoskeletal Infection. Skelet. Radiol. 2021, 50, 2319–2347. [Google Scholar] [CrossRef]
- Tan, P.L.; Teh, J. MRI of the Diabetic Foot: Differentiation of Infection from Neuropathic Change. Br. J. Radiol. 2007, 80, 939–948. [Google Scholar] [CrossRef] [PubMed]
- Chantelau, E.; Richter, A.; Schmidt-Grigoriadis, P.; Scherbaum, W.A. The Diabetic Charcot Foot: MRI Discloses Bone Stress Injury as Trigger Mechanism of Neuroarthropathy. Exp. Clin. Endocrinol. Diabetes 2006, 114, 118–123. [Google Scholar] [CrossRef] [PubMed]
- Morrison, W.B.; Schweitzer, M.E.; Bock, G.W.; Mitchell, D.G.; Hume, E.L.; Pathria, M.N.; Resnick, D. Diagnosis of Osteomyelitis: Utility of Fat-Suppressed Contrast-Enhanced MR Imaging. Radiology 1993, 189, 251–257. [Google Scholar] [CrossRef] [PubMed]
- Schoots, I.G.; Slim, F.J.; Busch-Westbroek, T.E.; Maas, M. Neuro-Osteoarthropathy of the Foot-Radiologist: Friend or Foe? Semin. Musculoskelet. Radiol. 2010, 14, 365–376. [Google Scholar] [CrossRef]
- Buhaescu, I.; Izzedine, H. Gadolinium-Induced Nephrotoxicity. Int. J. Clin. Pract. 2008, 62, 1113–1118. [Google Scholar] [CrossRef]
- Ledneva, E.; Karie, S.; Launay-Vacher, V.; Janus, N.; Deray, G. Renal Safety of Gadolinium-Based Contrast Media in Patients with Chronic Renal Insufficiency. Radiology 2009, 250, 618–628. [Google Scholar] [CrossRef]
- Martín Noguerol, T.; Luna Alcalá, A.; Beltrán, L.S.; Gómez Cabrera, M.; Broncano Cabrero, J.; Vilanova, J.C. Advanced MR Imaging Techniques for Differentiation of Neuropathic Arthropathy and Osteomyelitis in the Diabetic Foot. Radiographics 2017, 37, 1161–1180. [Google Scholar] [CrossRef]
- Marcus, C.D.; Ladam-Marcus, V.J.; Leone, J.; Malgrange, D.; Bonnet-Gausserand, F.M.; Menanteau, B.P. MR Imaging of Osteomyelitis and Neuropathic Osteoarthropathy in the Feet of Diabetics. Radiographics 1996, 16, 1337–1348. [Google Scholar] [CrossRef]
- Ledermann, H.P.; Morrison, W.B. Differential Diagnosis of Pedal Osteomyelitis and Diabetic Neuroarthropathy: MR Imaging. Semin. Musculoskelet. Radiol. 2005, 9, 272–283. [Google Scholar] [CrossRef]
- Donovan, A.; Schweitzer, M.E. Use of MR Imaging in Diagnosing Diabetes-Related Pedal Osteomyelitis. Radiographics 2010, 30, 723–736. [Google Scholar] [CrossRef]
- Myerson, M.S.; Henderson, M.R.; Saxby, T.; Short, K.W. Management of Midfoot Diabetic Neuroarthropathy. Foot Ankle Int. 1994, 15, 233–241. [Google Scholar] [CrossRef] [PubMed]
- Berendt, A.R.; Peters, E.J.G.; Bakker, K.; Embil, J.M.; Eneroth, M.; Hinchliffe, R.J.; Jeffcoate, W.J.; Lipsky, B.A.; Senneville, E.; Teh, J.; et al. Specific Guidelines for Treatment of Diabetic Foot Osteomyelitis. Diabetes Metab. Res. Rev. 2008, 24 (Suppl. S1), S190–S191. [Google Scholar] [CrossRef]
- Mautone, M.; Naidoo, P. What the Radiologist Needs to Know about Charcot Foot. J. Med. Imaging Radiat. Oncol. 2015, 59, 395–402. [Google Scholar] [CrossRef]
- Morrison, W.B.; Schweitzer, M.E.; Wapner, K.L.; Hecht, P.J.; Gannon, F.H.; Behm, W.R. Osteomyelitis in Feet of Diabetics: Clinical Accuracy, Surgical Utility, and Cost-Effectiveness of MR Imaging. Radiology 1995, 196, 557–564. [Google Scholar] [CrossRef]
- Ledermann, H.P.; Morrison, W.B.; Schweitzer, M.E. MR Image Analysis of Pedal Osteomyelitis: Distribution, Patterns of Spread, and Frequency of Associated Ulceration and Septic Arthritis. Radiology 2002, 223, 747–755. [Google Scholar] [CrossRef] [PubMed]
- Croll, S.D.; Nicholas, G.G.; Osborne, M.A.; Wasser, T.E.; Jones, S. Role of Magnetic Resonance Imaging in the Diagnosis of Osteomyelitis in Diabetic Foot Infections. J. Vasc. Surg. 1996, 24, 266–270. [Google Scholar] [CrossRef] [PubMed]
- Kapoor, A.; Page, S.; Lavalley, M.; Gale, D.R.; Felson, D.T. Magnetic Resonance Imaging for Diagnosing Foot Osteomyelitis: A Meta-Analysis. Arch. Intern. Med. 2007, 167, 125–132. [Google Scholar] [CrossRef]
- Ahmadi, M.E.; Morrison, W.B.; Carrino, J.A.; Schweitzer, M.E.; Raikin, S.M.; Ledermann, H.P. Neuropathic Arthropathy of the Foot with and without Superimposed Osteomyelitis: MR Imaging Characteristics. Radiology 2006, 238, 622–631. [Google Scholar] [CrossRef]
- Moore, T.E.; Yuh, W.T.; Kathol, M.H.; el-Khoury, G.Y.; Corson, J.D. Abnormalities of the Foot in Patients with Diabetes Mellitus: Findings on MR Imaging. AJR Am. J. Roentgenol. 1991, 157, 813–816. [Google Scholar] [CrossRef]
- Yu, J.S. Diabetic Foot and Neuroarthropathy: Magnetic Resonance Imaging Evaluation. Top. Magn. Reson. Imaging 1998, 9, 295–310. [Google Scholar] [CrossRef]
- Morrison, W.B.; Ledermann, H.P.; Schweitzer, M.E. MR Imaging of the Diabetic Foot. Magn. Reson. Imaging Clin. N. Am. 2001, 9, 603–613, xi. [Google Scholar] [CrossRef]
- Ledermann, H.P.; Morrison, W.B.; Schweitzer, M.E. Pedal Abscesses in Patients Suspected of Having Pedal Osteomyelitis: Analysis with MR Imaging. Radiology 2002, 224, 649–655. [Google Scholar] [CrossRef]
- Morrison, W.B.; Schweitzer, M.E.; Batte, W.G.; Radack, D.P.; Russel, K.M. Osteomyelitis of the Foot: Relative Importance of Primary and Secondary MR Imaging Signs. Radiology 1998, 207, 625–632. [Google Scholar] [CrossRef] [PubMed]
- Schweitzer, M.E.; Morrison, W.B. MR Imaging of the Diabetic Foot. Radiol. Clin. N. Am. 2004, 42, 61–71, vi. [Google Scholar] [CrossRef] [PubMed]
- Walker, E.A.; Beaman, F.D.; Wessell, D.E.; Cassidy, R.C.; Czuczman, G.J.; Demertzis, J.L.; Lenchik, L.; Motamedi, K.; Pierce, J.L.; Sharma, A.; et al. ACR Appropriateness Criteria® Suspected Osteomyelitis of the Foot in Patients With Diabetes Mellitus. J. Am. Coll. Radiol. 2019, 16, S440–S450. [Google Scholar] [CrossRef]
- Lee, Y.J.; Sadigh, S.; Mankad, K.; Kapse, N.; Rajeswaran, G. The Imaging of Osteomyelitis. Quant. Imaging Med. Surg. 2016, 6, 184–198. [Google Scholar] [CrossRef] [PubMed]
- Boulton, A.J.M.; Whitehouse, R.W. The Diabetic Foot. In Endotext; Feingold, K.R., Anawalt, B., Blackman, M.R., Boyce, A., Chrousos, G., Corpas, E., de Herder, W.W., Dhatariya, K., Dungan, K., Hofland, J., et al., Eds.; MDText.com, Inc.: South Dartmouth, MA, USA, 2000. [Google Scholar]
- Loredo, R.; Rahal, A.; Garcia, G.; Metter, D. Imaging of the Diabetic Foot Diagnostic Dilemmas. Foot Ankle Spec. 2010, 3, 249–264. [Google Scholar] [CrossRef]
- Chantelau, E. The Perils of Procrastination: Effects of Early vs. Delayed Detection and Treatment of Incipient Charcot Fracture. Diabet. Med. 2005, 22, 1707–1712. [Google Scholar] [CrossRef]
- Amital, H.; Applbaum, Y.H.; Bar-On, H.; Rubinow, A. Inside a Charcot Joint. Isr. Med. Assoc. J. 2003, 5, 458–459. [Google Scholar]
- Boutin, R.D.; Brossmann, J.; Sartoris, D.J.; Reilly, D.; Resnick, D. Update on Imaging of Orthopedic Infections. Orthop. Clin. N. Am. 1998, 29, 41–66. [Google Scholar] [CrossRef]
- Sella, E.J. Current Concepts Review: Diagnostic Imaging of the Diabetic Foot. Foot Ankle Int. 2009, 30, 568–576. [Google Scholar] [CrossRef] [PubMed]
- Bouman, C.M.B.; Mens, M.A.; Wellenberg, R.H.H.; Streekstra, G.J.; Bus, S.A.; Busch-Westbroek, T.E.; Nieuwdorp, M.; Maas, M. Assessment of Bone Marrow Edema on Dual-Energy CT Scans in People with Diabetes Mellitus and Suspected Charcot Neuro-Osteoarthropathy. Skelet. Radiol. 2025, 54, 105–112. [Google Scholar] [CrossRef]
- Lauri, C.; Tamminga, M.; Glaudemans, A.W.J.M.; Juárez Orozco, L.E.; Erba, P.A.; Jutte, P.C.; Lipsky, B.A.; IJzerman, M.J.; Signore, A.; Slart, R.H.J.A. Detection of Osteomyelitis in the Diabetic Foot by Imaging Techniques: A Systematic Review and Meta-Analysis Comparing MRI, White Blood Cell Scintigraphy, and FDG-PET. Diabetes Care 2017, 40, 1111–1120. [Google Scholar] [CrossRef] [PubMed]
- Keenan, A.M.; Tindel, N.L.; Alavi, A. Diagnosis of Pedal Osteomyelitis in Diabetic Patients Using Current Scintigraphic Techniques. Arch. Intern. Med. 1989, 149, 2262–2266. [Google Scholar] [CrossRef] [PubMed]
- Ahluwalia, R.; Bilal, A.; Petrova, N.; Boddhu, K.; Manu, C.; Vas, P.; Bates, M.; Corcoran, B.; Reichert, I.; Mulholland, N.; et al. The Role of Bone Scintigraphy with SPECT/CT in the Characterization and Early Diagnosis of Stage 0 Charcot Neuroarthropathy. J. Clin. Med. 2020, 9, 4123. [Google Scholar] [CrossRef]
- Capriotti, G.; Chianelli, M.; Signore, A. Nuclear Medicine Imaging of Diabetic Foot Infection: Results of Meta-Analysis. Nucl. Med. Commun. 2006, 27, 757–764. [Google Scholar] [CrossRef]
- Palestro, C.J.; Mehta, H.H.; Patel, M.; Freeman, S.J.; Harrington, W.N.; Tomas, M.B.; Marwin, S.E. Marrow versus Infection in the Charcot Joint: Indium-111 Leukocyte and Technetium-99m Sulfur Colloid Scintigraphy. J. Nucl. Med. 1998, 39, 346–350. [Google Scholar]
- Basu, S.; Chryssikos, T.; Houseni, M.; Scot Malay, D.; Shah, J.; Zhuang, H.; Alavi, A. Potential Role of FDG PET in the Setting of Diabetic Neuro-Osteoarthropathy: Can It Differentiate Uncomplicated Charcot’s Neuroarthropathy from Osteomyelitis and Soft-Tissue Infection? Nucl. Med. Commun. 2007, 28, 465–472. [Google Scholar] [CrossRef]
- Höpfner, S.; Krolak, C.; Kessler, S.; Tiling, R.; Brinkbäumer, K.; Hahn, K.; Dresel, S. Preoperative Imaging of Charcot Neuroarthropathy in Diabetic Patients: Comparison of Ring PET, Hybrid PET, and Magnetic Resonance Imaging. Foot Ankle Int. 2004, 25, 890–895. [Google Scholar] [CrossRef]
- Palestro, C.J. FDG-PET in Musculoskeletal Infections. Semin. Nucl. Med. 2013, 43, 367–376. [Google Scholar] [CrossRef]
- Kagna, O.; Srour, S.; Melamed, E.; Militianu, D.; Keidar, Z. FDG PET/CT Imaging in the Diagnosis of Osteomyelitis in the Diabetic Foot. Eur. J. Nucl. Med. Mol. Imaging 2012, 39, 1545–1550. [Google Scholar] [CrossRef] [PubMed]
- Keidar, Z.; Militianu, D.; Melamed, E.; Bar-Shalom, R.; Israel, O. The Diabetic Foot: Initial Experience with 18F-FDG PET/CT. J. Nucl. Med. 2005, 46, 444–449. [Google Scholar] [PubMed]
- Pickwell, K.M.; van Kroonenburgh, M.J.; Weijers, R.E.; van Hirtum, P.V.; Huijberts, M.S.; Schaper, N.C. F-18 FDG PET/CT Scanning in Charcot Disease: A Brief Report. Clin. Nucl. Med. 2011, 36, 8–10. [Google Scholar] [CrossRef] [PubMed]








| Characteristic | Osteomyelitis | Active CNO (Charcot Neuro-Osteoarthropathy) |
|---|---|---|
| Bone Edema | Typically in a single bone area | Periarticular, affecting multiple bones and joints |
| Localization | Often in pressure surfaces of the foot (metatarsal heads, heel), correlated with skin ulcers and sinus tracts | Periarticular, especially tarsometatarsal, metatarsophalangeal joints and tibio-tarsal joints |
| MRI Findings | Focally decreased marrow signal intensity on T1, increased signal on fat-suppressed T2 and STIR, focal marrow enhancement on gadolinium-enhanced T1-weighted images | Subchondral bone marrow edema, joint effusions, soft tissue inflammatory changes (high signal on T2, low on T1) |
| Signal Changes on Fluid-sensitive Imaging | Increased signal intensity on fluid-sensitive sequences with normal T1 signal | Increased signal intensity on fluid-sensitive sequences with normal T1 signal |
| Edema Signal Distribution | Localized to a single area with greater involvement | Periarticular, affecting multiple bones/joints |
| Contrast Enhancement | Enhancement in both bone and soft tissues after contrast administration | Enhancement in both bone and soft tissues after contrast administration |
| Presence of Skin Ulcers and Sinus Tracts | Skin ulcers and sinus tracts often present, along with large fluid collections | Absence of skin ulcers and sinus tracts, no significant fluid collections |
| Risk of Bacterial Superinfection | High, especially in patients with metabolic disorders or diabetes | More susceptible to bacterial superinfection in some cases, especially with neuropathy |
| Clinical Presentation | Signs of infection (fever, pain, redness) with abscesses and cellulitis | Signs of neuropathy with potential overlap in infected neuropathy |
Disclaimer/Publisher’s Note: The statements, opinions and data contained in all publications are solely those of the individual author(s) and contributor(s) and not of MDPI and/or the editor(s). MDPI and/or the editor(s) disclaim responsibility for any injury to people or property resulting from any ideas, methods, instructions or products referred to in the content. |
© 2025 by the authors. Licensee MDPI, Basel, Switzerland. This article is an open access article distributed under the terms and conditions of the Creative Commons Attribution (CC BY) license (https://creativecommons.org/licenses/by/4.0/).
Share and Cite
Mascio, A.; Comisi, C.; Cinelli, V.; Pitocco, D.; Greco, T.; Maccauro, G.; Perisano, C. Radiological Assessment of Charcot Neuro-Osteoarthropathy in Diabetic Foot: A Narrative Review. Diagnostics 2025, 15, 767. https://doi.org/10.3390/diagnostics15060767
Mascio A, Comisi C, Cinelli V, Pitocco D, Greco T, Maccauro G, Perisano C. Radiological Assessment of Charcot Neuro-Osteoarthropathy in Diabetic Foot: A Narrative Review. Diagnostics. 2025; 15(6):767. https://doi.org/10.3390/diagnostics15060767
Chicago/Turabian StyleMascio, Antonio, Chiara Comisi, Virginia Cinelli, Dario Pitocco, Tommaso Greco, Giulio Maccauro, and Carlo Perisano. 2025. "Radiological Assessment of Charcot Neuro-Osteoarthropathy in Diabetic Foot: A Narrative Review" Diagnostics 15, no. 6: 767. https://doi.org/10.3390/diagnostics15060767
APA StyleMascio, A., Comisi, C., Cinelli, V., Pitocco, D., Greco, T., Maccauro, G., & Perisano, C. (2025). Radiological Assessment of Charcot Neuro-Osteoarthropathy in Diabetic Foot: A Narrative Review. Diagnostics, 15(6), 767. https://doi.org/10.3390/diagnostics15060767

