A Rare Encounter: Gastric Ulcer Penetration into the Splenic Hilum Presenting with Upper Gastrointestinal Bleeding and a Massive Splenic Haematoma—Case Report and Literature Review
Abstract
1. Introduction
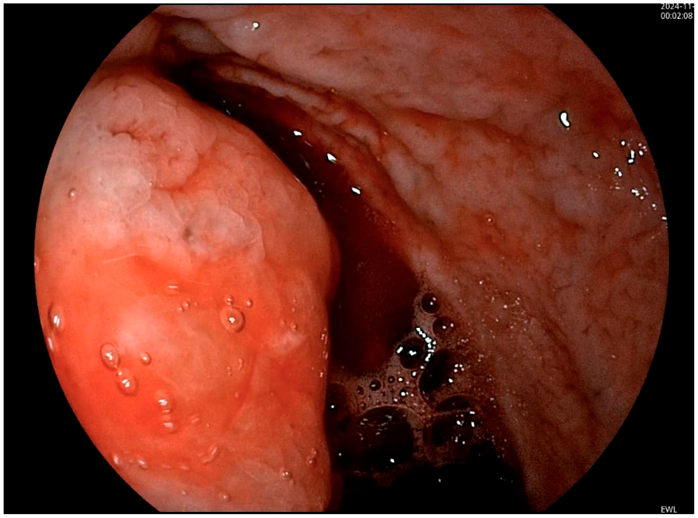
2. Case Presentation
3. Discussion
4. Conclusions
Author Contributions
Funding
Institutional Review Board Statement
Informed Consent Statement
Data Availability Statement
Acknowledgments
Conflicts of Interest
References
- Lanas, A.; Chan, F.K.L. Peptic Ulcer Disease. Lancet 2017, 390, 613–624. [Google Scholar] [CrossRef] [PubMed]
- Vakil, N. Peptic Ulcer Disease: A Review. JAMA 2024, 332, 1832–1842. [Google Scholar] [CrossRef] [PubMed]
- Lau, J.Y.; Sung, J.; Hill, C.; Henderson, C.; Howden, C.W.; Metz, D.C. Systematic Review of the Epidemiology of Complicated Peptic Ulcer Disease: Incidence, Recurrence, Risk Factors and Mortality. Digestion 2011, 84, 102–113. [Google Scholar] [CrossRef] [PubMed]
- Søreide, K.; Thorsen, K.; Harrison, E.M.; Bingener, J.; Møller, M.H.; Ohene-Yeboah, M.; Søreide, J.A. Perforated Peptic Ulcer. Lancet 2015, 386, 1288–1298. [Google Scholar] [CrossRef]
- Dadfar, A.; Edna, T.-H. Epidemiology of Perforating Peptic Ulcer: A Population-Based Retrospective Study over 40 Years. World J. Gastroenterol. 2020, 26, 5302–5313. [Google Scholar] [CrossRef]
- Tarasconi, A.; Coccolini, F.; Biffl, W.L.; Tomasoni, M.; Ansaloni, L.; Picetti, E.; Molfino, S.; Shelat, V.; Cimbanassi, S.; Weber, D.G.; et al. Perforated and Bleeding Peptic Ulcer: WSES Guidelines. World J. Emerg. Surg. 2020, 15, 3. [Google Scholar] [CrossRef]
- Cho, S.B.; Park, S.E.; Lee, C.M.; Park, J.-H.; Baek, H.J.; Ryu, K.H.; Moon, J.I.; Choi, B.H.; Ha, J.Y.; Lee, S. Splenic Artery Pseudoaneurysm with Splenic Infarction Induced by a Benign Gastric Ulcer: A Case Report. Medicine 2018, 97, e11589. [Google Scholar] [CrossRef]
- Garg, L.; Jain, M.; Taori, K.; Patil, A.; Hatgaonkar, A.; Rathod, J.; Shah, S.; Patwa, D.; Kasat, A. Large Gastric Perforation Sealed by Splenic Lysis: Emphasis on Indirect Signs—A Rare Case Report. Pol. J. Radiol. 2015, 80, 499–502. [Google Scholar] [CrossRef]
- Matei, O.-A.; Matei, L.; Lamade, W. Posterior Perforation by Peptic Ulcer. Our 12-Year Experience of 6 Cases. SGO 2022, 27, 53. [Google Scholar] [CrossRef]
- Wong, C.-H.; Chow, P.K.H.; Ong, H.-S.; Chan, W.-H.; Khin, L.-W.; Soo, K.-C. Posterior Perforation of Peptic Ulcers: Presentation and Outcome of an Uncommon Surgical Emergency. Surgery 2004, 135, 321–325. [Google Scholar] [CrossRef]
- Corvino, F.; Giurazza, F.; Ierardi, A.M.; Lucatelli, P.; Basile, A.; Corvino, A.; Niola, R. Splenic Artery Pseudoaneurysms: The Role of Ce-CT for Diagnosis and Treatment Planning. Diagnostics 2022, 12, 1012. [Google Scholar] [CrossRef] [PubMed]
- Varshney, P.; Songra, B.; Mathur, S.; Gothwal, S.; Malik, P.; Rathi, M.; Arya, R. Splenic Artery Pseudoaneurysm Presenting as Massive Hematemesis: A Diagnostic Dilemma. Case Rep. Surg. 2014, 2014, 501937. [Google Scholar] [CrossRef] [PubMed]
- Tessier, D.J.; Stone, W.M.; Fowl, R.J.; Abbas, M.A.; Andrews, J.C.; Bower, T.C.; Gloviczki, P. Clinical Features and Management of Splenic Artery Pseudoaneurysm: Case Series and Cumulative Review of Literature. J. Vasc. Surg. 2003, 38, 969–974. [Google Scholar] [CrossRef] [PubMed]
- Nakata, T.; Okishio, Y.; Ueda, K.; Nasu, T.; Kawashima, S.; Kunitatsu, K.; Kato, S. Life-Threatening Gastrointestinal Bleeding from Splenic Artery Pseudoaneurysm Due to Gastric Ulcer Penetration Treated by Surgical Hemostasis with Resuscitative Endovascular Balloon Occlusion of the Aorta: A Case Report. Clin. Case Rep. 2022, 10, e05561. [Google Scholar] [CrossRef]
- Sawicki, M.; Marlicz, W.; Czapla, N.; Łokaj, M.; Skoczylas, M.M.; Donotek, M.; Kołaczyk, K. Massive Upper Gastrointestinal Bleeding from a Splenic Artery Pseudoaneurysm Caused by a Penetrating Gastric Ulcer: Case Report and Review of Literature. Pol. J. Radiol. 2015, 80, 384–387. [Google Scholar] [CrossRef]
- Di Serafino, M.; Iacobellis, F.; Schillirò, M.L.; Dell’Aversano Orabona, G.; Martino, A.; Bennato, R.; Borzelli, A.; Oliva, G.; D’Errico, C.; Pezzullo, F.; et al. The Role of CT-Angiography in the Acute Gastrointestinal Bleeding: A Pictorial Essay of Active and Obscure Findings. Tomography 2022, 8, 2369–2402. [Google Scholar] [CrossRef]
- Maatman, T.K.; Heimberger, M.A.; Lewellen, K.A.; Roch, A.M.; Colgate, C.L.; House, M.G.; Nakeeb, A.; Ceppa, E.P.; Schmidt, C.M.; Zyromski, N.J. Visceral Artery Pseudoaneurysm in Necrotizing Pancreatitis: Incidence and Outcomes. Can. J. Surg. 2020, 63, E272–E277. [Google Scholar] [CrossRef]
- Malmi, H.; Kautiainen, H.; Virta, L.J.; Färkkilä, M.A. Outcomes of Patients Hospitalized with Peptic Ulcer Disease Diagnosed in Acute Upper Endoscopy. Eur. J. Gastroenterol. Hepatol. 2017, 29, 1251–1257. [Google Scholar] [CrossRef]
- Samrat, R.; Naimish, M.; Samiran, N. Post-Gastrectomy Complications—An Overview. Chirurgia 2020, 115, 423–431. [Google Scholar] [CrossRef]
- Savin, M.L.; Mihai, F.; Gheorghe, L.; Lupascu Ursulescu, C.; Negru, D.; Trofin, A.M.; Zabara, M.; Nutu, V.; Cadar, R.; Blaj, M.; et al. Proposal of a Preoperative CT-Based Score to Predict the Risk of Clinically Relevant Pancreatic Fistula after Cephalic Pancreatoduodenectomy. Medicina 2021, 57, 650. [Google Scholar] [CrossRef]
- Buzelé, R.; Barbier, L.; Sauvanet, A.; Fantin, B. Medical Complications Following Splenectomy. J. Visc. Surg. 2016, 153, 277–286. [Google Scholar] [CrossRef] [PubMed]
- Venturini, M.; Piacentino, F.; Coppola, A.; Bettoni, V.; Macchi, E.; De Marchi, G.; Curti, M.; Ossola, C.; Marra, P.; Palmisano, A.; et al. Visceral Artery Aneurysms Embolization and Other Interventional Options: State of the Art and New Perspectives. J. Clin. Med. 2021, 10, 2520. [Google Scholar] [CrossRef] [PubMed]
- Timpau, A.-S.; Miftode, R.-S.; Costache, I.-I.; Petris, A.O.; Miftode, I.-L.; Gheorghe, L.; Timpau, R.; Miftode, I.D.; Prepeliuc, C.S.; Coman, I.; et al. An Overview of the Impact of Bacterial Infections and the Associated Mortality Predictors in Patients with COVID-19 Admitted to a Tertiary Center from Eastern Europe. Antibiotics 2023, 12, 144. [Google Scholar] [CrossRef] [PubMed]
- Pasumarthy, L.; Kumar, R.R.; Srour, J.; Ahlbrandt, D. Penetration of Gastric Ulcer into the Splenic Artery: A Rare Complication. Gastroenterol. Res. 2009, 2, 350–352. [Google Scholar] [CrossRef] [PubMed][Green Version]
- Shidahara, H.; Fujikuni, N.; Tanabe, K.; Abe, T.; Nishihara, K.; Noriyuki, T.; Nakahara, M. Massive Bleeding from Gastric Ulcer-Induced Splenic Artery Pseudoaneurysm Successfully Treated with Transcatheter Arterial Embolization and Surgery: A Case Report. Surg. Case Rep. 2022, 8, 196. [Google Scholar] [CrossRef]
- Syed, S.M.; Moradian, S.; Ahmed, M.; Ahmed, U.; Shaheen, S.; Stalin, V. A Benign Gastric Ulcer Eroding into a Splenic Artery Pseudoaneurysm Presenting as a Massive Upper Gastrointestinal Bleed. J. Surg. Case Rep. 2014, 2014, rju102. [Google Scholar] [CrossRef]



| Article | Patient | Symptoms | Imaging | Treatment | Outcome |
|---|---|---|---|---|---|
| Syed et al., 2014 [15] | 77 yo, female | Epigastric pain, haematemesis Haemodynamically stable | E: blood clots in the lumen of the stomach; A: 4 cm mid-SA pseudoaneurysm | TAE of the SA En bloc resection of SA pseudoaneurysm, distal pancreatectomy, partial gastrectomy, splenectomy | No complications Discharge fifth day |
| Cho et al., 2018 [16] | 61 yo, male | Melena, dizziness Haemodynamically stable | E: blood in the stomach, gastric ulcer + an exposed vessel in the posterior wall of the gastric high body; CT: haematoma-filled stomach, splenic infarction, and pseudoaneurysm of the SA; A: pseudoaneurysm of SA | TAE of the SA (sandwich method) Gastrectomy | No complications Discharge eighth day |
| Sawicki et al., 2015 [17] | 57 yo, male | Syncope preceded by severe abdominal pain Haemodynamically unstable | E: no source of bleeding; US: no abnormality; A: ruptured distal SA pseudoaneurysm on the posterior stomach wall | Bipolar ligation of the bleeding vessel, suture of gastric ulcer | Complications: ARDS, perigastric haematoma Discharge not mentioned |
| Garg et al., 2015 [18] | 25 yo, male | Upper abdominal pain radiating to the back, vomiting Haemodynamically stable | US: multiple coarse calcifications in the pancreatic head, fat stranding, mild collection in the left anterior para-renal space; CT: destruction of the splenic parenchyma with protrusion of the remaining tissue into the stomach lumen | Emergency surgery | Not mentioned |
| Shidahara et al., 2022 [19] | 33 yo, male | 2-week haematemesis, impaired consciousness Haemodynamically unstable | CT: massive, enhanced fluid collection in the stomach E: fresh blood in the stomach, gastric ulcer on the posterior wall of the gastric body A: extravasation from a splenic pseudoaneurysm | TAE Emergency laparotomy—SA ligation, proximal gastrectomy (the double-tract method) | Post-op day 7—partial splenic infarction Discharge 15th day |
| Pasumarthy et al., 2009 [20] | 55 yo, male | Abdominal pain, haematemesis, melena Haemodynamically unstable | CT: active contrast extravasation into the stomach from the SA A: area of active contrast extravasation from the mid portion of the SA beyond the dorsal pancreatic artery | TAE Total gastrectomy, splenectomy | No complications Discharge not mentioned |
| Varshney et al., 2014 [21] | 38 yo, male | Abdominal pain, haematemesis, melena | E: large ulcer with the undermined edge along lesser curvature at the fundus, no active bleeding CT: SA pseudoaneurysm with multiple splenic infarcts | Primary ulcer repair, splenectomy | No complications Discharge eighth day |
| Nakata et al., 2022 [22] | 72 yo, female | Melena Haemodynamically unstable | E: profuse posterior stomach wall haemorrhage CT: free air in the abdomen, a large amount of fluid in the stomach | REBOA Distal gastrectomy with Roux-en-Y reconstruction | No complications Discharge 29th day |
| Tessier et al., 2003 [23] | mean age 51.2 yo, five male, five female | Haematemesis (7) Haemodynamically unstable (2) | CT (5), A (3), E (1)—diagnosis of SA pseudoaneurysm | Splenectomy + distal pancreatectomy (4), splenectomy only (2), TAE (2), simple ligation (1) | Preoperative death (1) Pneumonia (3) Pancreatic ductal leak (1) Acute renal failure (1) |
Disclaimer/Publisher’s Note: The statements, opinions and data contained in all publications are solely those of the individual author(s) and contributor(s) and not of MDPI and/or the editor(s). MDPI and/or the editor(s) disclaim responsibility for any injury to people or property resulting from any ideas, methods, instructions or products referred to in the content. |
© 2025 by the authors. Licensee MDPI, Basel, Switzerland. This article is an open access article distributed under the terms and conditions of the Creative Commons Attribution (CC BY) license (https://creativecommons.org/licenses/by/4.0/).
Share and Cite
Rezuș, I.-I.; Mihai, V.-C.; Floria, D.E.; Olteanu, A.; Vlasceanu, V.I.; Soroceanu, R.P.; Pinzariu, A.C.; Teutsch, B.; Tudose-Timofeiov, S. A Rare Encounter: Gastric Ulcer Penetration into the Splenic Hilum Presenting with Upper Gastrointestinal Bleeding and a Massive Splenic Haematoma—Case Report and Literature Review. Diagnostics 2025, 15, 617. https://doi.org/10.3390/diagnostics15050617
Rezuș I-I, Mihai V-C, Floria DE, Olteanu A, Vlasceanu VI, Soroceanu RP, Pinzariu AC, Teutsch B, Tudose-Timofeiov S. A Rare Encounter: Gastric Ulcer Penetration into the Splenic Hilum Presenting with Upper Gastrointestinal Bleeding and a Massive Splenic Haematoma—Case Report and Literature Review. Diagnostics. 2025; 15(5):617. https://doi.org/10.3390/diagnostics15050617
Chicago/Turabian StyleRezuș, Ioana-Irina, Vasile-Claudiu Mihai, Diana Elena Floria, Andrei Olteanu, Vlad Ionut Vlasceanu, Radu Petru Soroceanu, Alin Constantin Pinzariu, Brigitta Teutsch, and Sergiu Tudose-Timofeiov. 2025. "A Rare Encounter: Gastric Ulcer Penetration into the Splenic Hilum Presenting with Upper Gastrointestinal Bleeding and a Massive Splenic Haematoma—Case Report and Literature Review" Diagnostics 15, no. 5: 617. https://doi.org/10.3390/diagnostics15050617
APA StyleRezuș, I.-I., Mihai, V.-C., Floria, D. E., Olteanu, A., Vlasceanu, V. I., Soroceanu, R. P., Pinzariu, A. C., Teutsch, B., & Tudose-Timofeiov, S. (2025). A Rare Encounter: Gastric Ulcer Penetration into the Splenic Hilum Presenting with Upper Gastrointestinal Bleeding and a Massive Splenic Haematoma—Case Report and Literature Review. Diagnostics, 15(5), 617. https://doi.org/10.3390/diagnostics15050617

