Expression of MMP-14 and CD147 in Gingival Tissue of Patients With and Without Diabetes Mellitus Type II
Abstract
1. Introduction
2. Materials and Methods
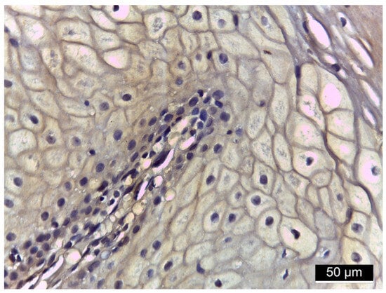
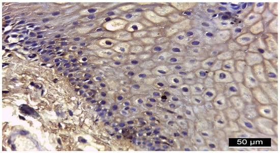
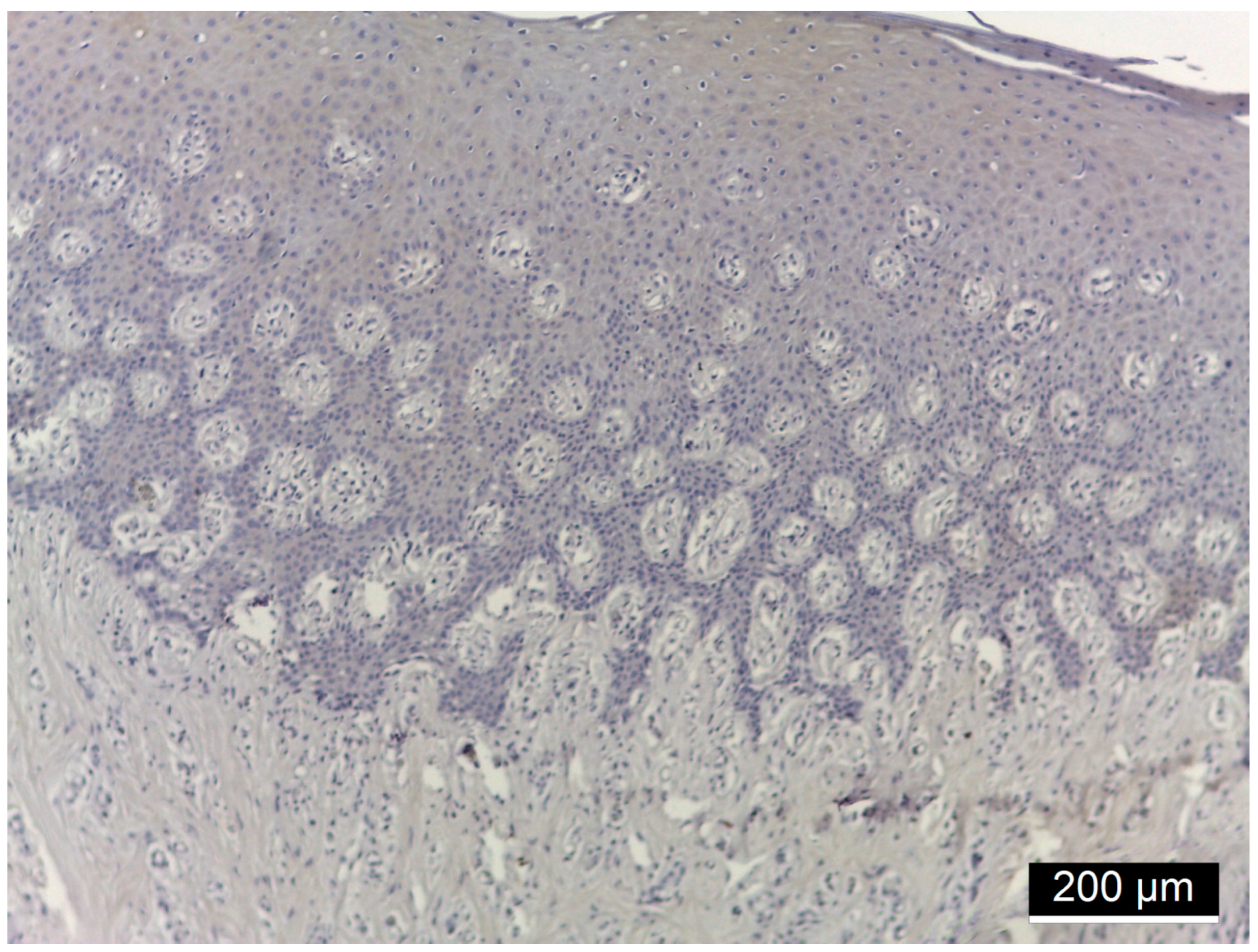
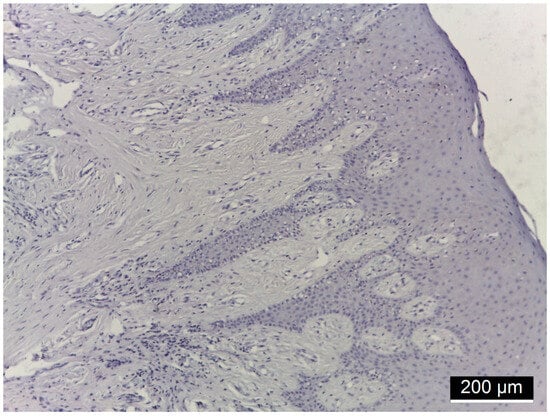
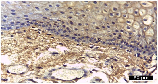
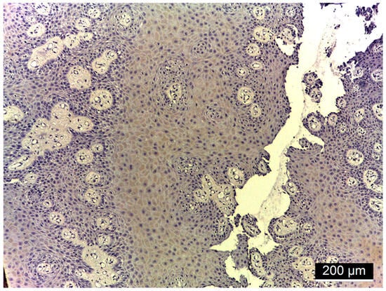
3. Results
4. Discussion
5. Conclusions
Author Contributions
Funding
Institutional Review Board Statement
Informed Consent Statement
Data Availability Statement
Conflicts of Interest
References
- Villoria, G.E.; Fischer, R.G.; Tinoco, E.M.; Meyle, J.; Loos, B.G. Periodontal disease: A systemic condition. Periodontol. 2000 2024, 96, 7–19. [Google Scholar] [CrossRef] [PubMed]
- Martu, M.-A.; Luchian, I.; Mares, M.; Solomon, S.; Ciurcanu, O.; Danila, V.; Rezus, E.; Foia, L. The Effectiveness of Laser Applications and Photodynamic Therapy on Relevant Periodontal Pathogens (Aggregatibacter actinomycetemcomitans) Associated with Immunomodulating Anti-rheumatic Drugs. Bioengineering 2023, 10, 61. [Google Scholar] [CrossRef] [PubMed]
- Păunică, I.; Giurgiu, M.; Dumitriu, A.S.; Păunică, S.; Pantea Stoian, A.M.; Martu, M.-A.; Serafinceanu, C. The Bidirectional Relationship between Periodontal Disease and Diabetes Mellitus—A Review. Diagnostics 2023, 13, 681. [Google Scholar] [CrossRef] [PubMed]
- Ramenzoni, L.L.; Lehner, M.P.; Kaufmann, M.E.; Wiedemeier, D.; Attin, T.; Schmidlin, P.R. Oral Diagnostic Methods for the Detection of Periodontal Disease. Diagnostics 2021, 11, 571. [Google Scholar] [CrossRef]
- Martu, M.-A.; Maftei, G.-A.; Luchian, I.; Stefanescu, O.M.; Scutariu, M.M.; Solomon, S.M. The Effect of Acknowledged and Novel Anti-Rheumatic Therapies on Periodontal Tissues—A Narrative Review. Pharmaceuticals 2021, 14, 1209. [Google Scholar] [CrossRef]
- Lee, H.S.; Kim, W.J. The Role of Matrix Metalloproteinase in Inflammation with a Focus on Infectious Diseases. Int. J. Mol. Sci. 2022, 23, 10546. [Google Scholar] [CrossRef]
- Kandhwal, M.; Behl, T.; Singh, S.; Sharma, N.; Arora, S.; Bhatia, S.; Al-Harrasi, A.; Sachdeva, M.; Bungau, S. Role of matrix metalloproteinase in wound healing. Am. J. Transl. Res. 2022, 14, 4391. [Google Scholar]
- Luchian, I.; Goriuc, A.; Sandu, D.; Covasa, M. The Role of Matrix Metalloproteinases (MMP-8, MMP-9, MMP-13) in Periodontal and Peri-Implant Pathological Processes. Int. J. Mol. Sci. 2022, 23, 1806. [Google Scholar] [CrossRef]
- Concepcion, B.d.l.C.; Bartolo-Garcia, L.D.; Tizapa-Mendez, M.D.; Martinez-Velez, M.; Valerio-Diego, J.J.; Illades-Aguiar, B.; Salmeron-Barcenas, E.G.; Ortiz-Ortiz, J.; Torres-Rojas, F.; Mendoza-Catalan, M.A.; et al. EMMPRIN is an emerging protein capable of regulating cancer hallmarks. Eur. Rev. Med. Pharmacol. Sci. 2022, 26, 6700–6724. [Google Scholar]
- Munteanu, C.; Galaction, A.I.; Poștaru, M.; Rotariu, M.; Turnea, M.; Blendea, C.D. Hydrogen Sulfide Modulation of Matrix Metalloproteinases and CD147/EMMPRIN: Mechanistic Pathways and Impact on Atherosclerosis Progression. Biomedicines 2024, 12, 1951. [Google Scholar] [CrossRef]
- Chuliá-Peris, L.; Carreres-Rey, C.; Gabasa, M.; Alcaraz, J.; Carretero, J.; Pereda, J. Matrix Metalloproteinases and Their Inhibitors in Pulmonary Fibrosis: EMMPRIN/CD147 Comes into Play. Int. J. Mol. Sci. 2022, 23, 6894. [Google Scholar] [CrossRef] [PubMed]
- Fonseca-Camarillo, G.; Furuzawa-Carballeda, J.; Martínez-Benitez, B.; Barreto-Zuñiga, R.; Yamamoto-Furusho, J.K. Increased expression of extracellular matrix metalloproteinase inducer (EMMPRIN) and MMP10, MMP23 in inflammatory bowel disease: Cross-sectional study. Scand. J. Immunol. 2021, 93, e12962. [Google Scholar] [CrossRef] [PubMed]
- Möller, A.; Jauch-Speer, S.L.; Gandhi, S.; Vogl, T.; Roth, J.; Fehler, O. The roles of toll-like receptor 4, CD33, CD68, CD69, or CD147/EMMPRIN for monocyte activation by the DAMP S100A8/S100A9. Front. Immunol. 2023, 14, 1110185. [Google Scholar] [CrossRef] [PubMed]
- Li, P.; Li, S.; Zhao, X.; Dong, Y.; Song, H.; Ji, H.; He, P.; Hou, Z. Analysis of Expression and Prognosis Value for Matrix Metalloproteinases in Human Colorectal Carcinoma. Int. J. Clin. Exp. Med. Res. 2024, 8, 547–563. [Google Scholar] [CrossRef]
- Liu, H.; Hu, G.; Wang, Z.; Liu, Q.; Zhang, J.; Chen, Y.; Huang, Y.; Xue, W.; Xu, Y.; Zhai, W. circPTCH1 promotes invasion and metastasis in renal cell carcinoma via regulating miR-485-5p/MMP14 axis: Erratum. Theranostics 2022, 12, 1335. [Google Scholar] [CrossRef]
- Vos, M.C.; van der Wurff, A.A.; van Kuppevelt, T.H.; Massuger, L.F. The role of MMP-14 in ovarian cancer: A systematic review. J. Ovarian Res. 2021, 14, 101. [Google Scholar] [CrossRef]
- Peng, D.; Li, J.; Li, Y.; Bai, L.; Xiong, A.; He, X.; Li, X.; Ran, Q.; Zhang, L.; Jiang, M.; et al. MMP14high macrophages orchestrate progressive pulmonary fibrosis in SR-Ag-induced hypersensitivity pneumonitis. Pharmacol. Res. 2024, 200, 107070. [Google Scholar] [CrossRef]
- Li, M.; Li, S.; Zhou, L.; Yang, L.; Wu, X.; Tang, B.; Xie, S.; Fang, L.; Zheng, S.; Hong, T. Immune infiltration of MMP14 in pan cancer and its prognostic effect on tumors. Front. Oncol. 2021, 11, 717606. [Google Scholar] [CrossRef]
- Kümper, M.; Zamek, J.; Steinkamp, J.; Pach, E.; Mauch, C.; Zigrino, P. Role of MMP3 and fibroblast-MMP14 in skin homeostasis and repair. Eur. J. Cell Biol. 2022, 101, 151276. [Google Scholar] [CrossRef]
- Pietrzak, J.; Szmajda-Krygier, D.; Wosiak, A.; Świechowski, R.; Michalska, K.; Mirowski, M.; Żebrowska-Nawrocka, M.; Łochowski, M.; Balcerczak, E. Changes in the expression of membrane type-matrix metalloproteinases genes (MMP14, MMP15, MMP16, MMP24) during treatment and their potential impact on the survival of patients with non-small cell lung cancer (NSCLC). Biomed. Pharmacother. 2022, 146, 112559. [Google Scholar] [CrossRef]
- Maris, M.; Martu, M.-A.; Maris, M.; Martu, C.; Anton, D.M.; Pacurar, M.; Earar, K. Clinical and Microbiological Periodontal Biofilm Evaluation of Patients with Type I Diabetes. J. Clin. Med. 2024, 13, 6724. [Google Scholar] [CrossRef] [PubMed]
- Martu, M.A.; Maftei, G.A.; Sufaru, I.G.; Jelihovschi, I.; Luchian, I.; Hurjui, L.; Martu, I.; Pasarin, L. COVID-19 and periodontal disease—Ethiopathogenic and clinical implications. Rom. J. Oral Rehabil. 2020, 12, 116–124. [Google Scholar]
- Martu, M.A.; Solomon, S.M.; Toma, V.; Maftei, G.A.; Iovan, A.; Gamen, A.; Hurjui, L.; Rezus, E.; Foia, L.; Forna, N.C. The importance of cytokines in periodontal disease and rheumatoid arthritis. Review. Rom. J. Oral Rehabil. 2019, 11, 220–240. [Google Scholar]
- Vasiliu, B.C.; Martu, M.A.; Sufaru, I.G.; Maftei, G.; Martu, I.; Scutariu, M.; Martu, S. Clinical study on the assessment of local status in patients with periodontal disease and depression. Rom. J. Oral Rehabil. 2024, 16, 618–627. [Google Scholar] [CrossRef]
- Laza, G.M.; Martu, M.A.; Sufaru, I.G.; Martu, S.; Pasarin, L.; Martu, I. Investigating the impact of systemic alendronate on periodontal parameters in osteoporosis and periodontitis patients. Interv. Prospect. Study. Rom. J. Oral Rehabil. 2024, 16, 650–672. [Google Scholar]
- Ghemiș, L.; Goriuc, A.; Minea, B.; Botnariu, G.E.; Mârțu, M.A.; Ențuc, M.; Cioloca, D.; Foia, L.G. Myeloid-Derived Suppressor Cells (MDSCs) and Obesity-Induced Inflammation in Type 2 Diabetes. Diagnostics 2024, 14, 2453. [Google Scholar] [CrossRef]
- Yu, M.G.; Gordin, D.; Fu, J.; Park, K.; Li, Q.; King, G.L. Protective factors and the pathogenesis of complications in diabetes. Endocr. Rev. 2024, 45, 227–252. [Google Scholar] [CrossRef]
- Tomic, D.; Shaw, J.E.; Magliano, D.J. The burden and risks of emerging complications of diabetes mellitus. Nat. Rev. Endocrinol. 2022, 18, 525–539. [Google Scholar] [CrossRef]
- Abel, E.D.; Gloyn, A.L.; Evans-Molina, C.; Joseph, J.J.; Misra, S.; Pajvani, U.B.; Simcox, J.; Susztak, K.; Drucker, D.J. Diabetes mellitus—Progress and opportunities in the evolving epidemic. Cell 2024, 187, 3789–3820. [Google Scholar] [CrossRef]
- Blonde, L.; Umpierrez, G.E.; Reddy, S.S.; McGill, J.B.; Berga, S.L.; Bush, M.; Chandrasekaran, S.; DeFronzo, R.A.; Einhorn, D.; Galindo, R.J.; et al. American Association of Clinical Endocrinology clinical practice guideline: Developing a diabetes mellitus comprehensive care plan—2022 update. Endocr. Pract. 2022, 28, 923–1049. [Google Scholar]
- Darenskaya, M.A.; Kolesnikova, L.A.; Kolesnikov, S.I. Oxidative stress: Pathogenetic role in diabetes mellitus and its complications and therapeutic approaches to correction. Bull. Exp. Biol. Med. 2021, 171, 179–189. [Google Scholar] [CrossRef] [PubMed]
- Dilmurodovna, T.D. Morphological Signs of the Inflammatory Process in the Pancreas in Type I and Ii Diabetes Mellitus. Eur. J. Innov. Nonform. Educ. 2023, 3, 24–27. [Google Scholar]
- Stanimirovic, J.; Radovanovic, J.; Banjac, K.; Obradovic, M.; Essack, M.; Zafirovic, S.; Gluvic, Z.; Gojobori, T.; Isenovic, E.R. Role of C-reactive protein in diabetic inflammation. Mediat. Inflamm. 2022, 2022, 3706508. [Google Scholar] [CrossRef] [PubMed]
- Grabež, M.; Škrbić, R.; Stojiljković, M.P.; Vučić, V.; Grujić, V.R.; Jakovljević, V.; Djuric, D.M.; Suručić, R.; Šavikin, K.; Bigović, D.; et al. A prospective, randomized, double-blind, placebo-controlled trial of polyphenols on the outcomes of inflammatory factors and oxidative stress in patients with type 2 diabetes mellitus. Rev. Cardiovasc. Med. 2022, 23, 57. [Google Scholar] [CrossRef]
- Pasarin, L.; Martu, M.-A.; Ciurcanu, O.E.; Luca, E.O.; Salceanu, M.; Anton, D.; Martu, C.; Martu, S.; Esanu, I.M. Influence of Diabetes Mellitus and Smoking on Pro- and Anti-Inflammatory Cytokine Profiles in Gingival Crevicular Fluid. Diagnostics 2023, 13, 3051. [Google Scholar] [CrossRef]
- Zhou, M.; Hanschmann, E.M.; Römer, A.; Linn, T.; Petry, S.F. The significance of glutaredoxins for diabetes mellitus and its complications. Redox Biol. 2024, 71, 103043. [Google Scholar] [CrossRef]
- Obeagu, E.I. Red blood cells as biomarkers and mediators in complications of diabetes mellitus: A review. Medicine 2024, 103, e37265. [Google Scholar] [CrossRef]
- Alam, S.; Hasan, M.K.; Neaz, S.; Hussain, N.; Hossain, M.F.; Rahman, T. Diabetes Mellitus: Insights from epidemiology, biochemistry, risk factors, diagnosis, complications and comprehensive management. Diabetology 2021, 2, 36–50. [Google Scholar] [CrossRef]
- Dilworth, L.; Facey, A.; Omoruyi, F. Diabetes mellitus and its metabolic complications: The role of adipose tissues. Int. J. Mol. Sci. 2021, 22, 7644. [Google Scholar] [CrossRef]
- Entezari, M.; Hashemi, D.; Taheriazam, A.; Zabolian, A.; Mohammadi, S.; Fakhri, F.; Hashemi, M.; Hushmandi, K.; Ashrafizadeh, M.; Zarrabi, A.; et al. AMPK signaling in diabetes mellitus, insulin resistance and diabetic complications: A pre-clinical and clinical investigation. Biomed. Pharmacother. 2022, 146, 112563. [Google Scholar] [CrossRef]
- Sufaru, I.-G.; Martu, M.-A.; Luchian, I.; Stoleriu, S.; Diaconu-Popa, D.; Martu, C.; Teslaru, S.; Pasarin, L.; Solomon, S.M. The Effects of 810 nm Diode Laser and Indocyanine Green on Periodontal Parameters and HbA1c in Patients with Periodontitis and Type II Diabetes Mellitus: A Randomized Controlled Study. Diagnostics 2022, 12, 1614. [Google Scholar] [CrossRef] [PubMed]
- Qilichovna, A.M. To study the factors that cause periodontitis. J. New Century Innov. 2024, 49, 40–46. [Google Scholar]
- Wenjing, S.; Mengmeng, L.; Lingling, S.; Tian, D.; Wenyan, K.; Shaohua, G. Galectin-3 inhibition alleviated LPS-induced periodontal inflammation in gingival fibroblasts and experimental periodontitis mice. Clin. Sci. 2024, 138, 725–739. [Google Scholar] [CrossRef] [PubMed]
- Banavar, S.R.; Tan, E.L.; Davamani, F.; Khoo, S.P. Periodontitis and lipopolysaccharides: How far have we understood? Explor. Immunol. 2024, 4, 129–151. [Google Scholar] [CrossRef]
- Martu, M.A.; Maftei, G.A.; Luchian, I.; Popa, C.; Filioreanu, A.M.; Tatarciuc, D.; Nichitean, G.; Hurjui, L.L.; Foia, L.G. Wound healing of periodontal and oral tissues: Part II—Patho-phisiological conditions and metabolic diseases. Rom. J. Oral Rehabil. 2020, 12, 30–40. [Google Scholar]
- Martu, M.-A.; Surlin, P.; Lazar, L.; Maftei, G.A.; Luchian, I.; Gheorghe, D.-N.; Rezus, E.; Toma, V.; Foia, L.-G. Evaluation of Oxidative Stress before and after Using Laser and Photoactivation Therapy as Adjuvant of Non-Surgical Periodontal Treatment in Patients with Rheumatoid Arthritis. Antioxidants 2021, 10, 226. [Google Scholar] [CrossRef]
- Wang, W.; Liu, Y. Research Progress on the Immunomodulatory Effect of Mesenchymal Stem Cells on Chronic Periodontitis. Open J. Stomatol. 2024, 14, 64–71. [Google Scholar] [CrossRef]
- Mocanu, R.C.; Martu, M.-A.; Luchian, I.; Sufaru, I.G.; Maftei, G.A.; Ioanid, N.; Martu, S.; Tatarciuc, M. Microbiologic Profiles of Patients with Dental Prosthetic Treatment and Periodontitis before and after Photoactivation Therapy—Randomized Clinical Trial. Microorganisms 2021, 9, 713. [Google Scholar] [CrossRef]
- Zhao, J.; Zheng, Q.; Ying, Y.; Luo, S.; Liu, N.; Wang, L.; Xu, T.; Jiang, A.; Pan, Y.; Zhang, D. Association between high-density lipoprotein-related inflammation index and periodontitis: Insights from NHANES 2009–2014. Lipids Health Dis. 2024, 23, 321. [Google Scholar] [CrossRef]
- Anton, D.-M.; Martu, M.-A.; Maris, M.; Maftei, G.-A.; Sufaru, I.-G.; Tatarciuc, D.; Luchian, I.; Ioanid, N.; Martu, S. Study on the Effects of Melatonin on Glycemic Control and Periodontal Parameters in Patients with Type II Diabetes Mellitus and Periodontal Disease. Medicina 2021, 57, 140. [Google Scholar] [CrossRef]
- Li, S.; Li, S.; Meng, L.; Gao, R.; Liu, H.; Li, M. Immunopathogenesis and immunotherapy of diabetes-associated periodontitis. Clin. Oral Investig. 2025, 29, 44. [Google Scholar] [CrossRef]
- Zaharescu, A.; Mârțu, I.; Luchian, A.I.; Mârțu, M.A.; Șufaru, I.G.; Mârțu, C.; Solomon, S.M. Role of adjunctive therapy with subantimicrobial doses of doxycycline in glycemic control (HbA1c) in patients with diabetes and endo-periodontal lesions to prevent sinus complications. Exp. Ther. Medicine. 2021, 21, 277. [Google Scholar] [CrossRef] [PubMed]
- Shinjo, T.; Nishimura, F. The bidirectional association between diabetes and periodontitis, from basic to clinical. Jpn. Dent. Sci. Rev. 2024, 60, 15–21. [Google Scholar] [CrossRef] [PubMed]
- Maftei, G.-A.; Martu, M.-A.; Martu, M.-C.; Popescu, D.; Surlin, P.; Tatarciuc, D.; Popa, C.; Foia, L.-G. Correlations between Salivary Immuno-Biochemical Markers and HbA1c in Type 2 Diabetes Subjects before and after Dental Extraction. Antioxidants 2021, 10, 1741. [Google Scholar] [CrossRef] [PubMed]
- Renu, K.; Gopalakrishnan, A.V.; Madhyastha, H. Is periodontitis triggering an inflammatory response in the liver, and does this reaction entail oxidative stress? Odontology 2024, 1–14. [Google Scholar] [CrossRef]
- Yan, P.; Ke, B.; Fang, X. Bioinformatics reveals the pathophysiological relationship between diabetic nephropathy and periodontitis in the context of aging. Heliyon 2024, 10, e24872. [Google Scholar] [CrossRef]
- Wang, Z.; Pu, R.; Zhang, J.; Yang, G. The mediating role of sugar and lipid metabolism and systemic inflammation in the association between breakfast skipping and periodontitis: A population-based study. J. Periodontol. 2024, 95, 1210–1222. [Google Scholar] [CrossRef]
- da Silva Barbirato, D.; Nogueira, N.S.; Guimarães, T.C.; Zajdenverg, L.; Sansone, C. Improvement of post-periodontitis-therapy inflammatory state in diabetics: A meta-analysis of randomized controlled trials. Clin. Oral Investig. 2024, 28, 514. [Google Scholar] [CrossRef]
- Asrorovna, K.N.; Furkatovna, T.K. Periodontal Tissue Changes in Patients with Diabetes. Eur. J. Mod. Med. Pract. 2024, 4, 74–77. [Google Scholar]
- Mirnic, J.; Djuric, M.; Brkic, S.; Gusic, I.; Stojilkovic, M.; Tadic, A.; Veljovic, T. Pathogenic Mechanisms That May Link Periodontal Disease and Type 2 Diabetes Mellitus—The Role of Oxidative Stress. Int. J. Mol. Sci. 2024, 25, 9806. [Google Scholar] [CrossRef]
- Cai, Z.; Du, S.; Zhao, N.; Huang, N.; Yang, K.; Qi, L. Periodontitis promotes the progression of diabetes mellitus by enhancing autophagy. Heliyon 2024, 10, e24366. [Google Scholar] [CrossRef] [PubMed]
- Arunachalam, L.T.; Suresh, S.; Lavu, V.; Vedamanickam, S.; Viswanathan, S.; Thirumalai Nathan, R.D. Association of salivary levels of DNA sensing inflammasomes AIM2, IFI16, and cytokine IL18 with periodontitis and diabetes. J. Periodontol. 2024, 95, 114–124. [Google Scholar] [CrossRef] [PubMed]
- Luong, A.; Tawfik, A.N.; Islamoglu, H.; Gobriel, H.S.; Ali, N.; Ansari, P.; Shah, R.; Hung, T.; Patel, T.; Henson, B.; et al. Periodontitis and diabetes mellitus co-morbidity: A molecular dialogue. J. Oral Biosci. 2021, 63, 360–369. [Google Scholar] [CrossRef] [PubMed]
- Choubaya, C.; Chahine, N.; Aoun, G.; Anil, S.; Zalloua, P.; Salameh, Z. Expression of inflammatory mediators in periodontitis over established diabetes: An experimental study in rats. Med. Arch. 2021, 75, 436. [Google Scholar] [CrossRef]
- Ryu, S.H.; Lee, J.M. The Influence of Diabetes Mellitus on Expression of Stromelysins and Membrane type Matrix Metalloproteinases in Human Chronic Periodontitis. Kor J Dent Mater. 2014, 41, 263–272. [Google Scholar] [CrossRef]
- Kim, S.W.; Park, J.W.; Suh, J.Y.; Lee, J.M. The Influence of Diabetes on of PGE2, MMP-14 and TIMP Expressions in Human Chronic Periodontitis. J. Korean Acad. Periodontol. 2007, 37, 755–766. [Google Scholar] [CrossRef]
- Kim, J.B.; Jung, M.H.; Cho, J.Y.; Park, J.W.; Suh, J.Y.; Lee, J.M. The influence of type 2 diabetes mellitus on the expression of inflammatory mediators and tissue inhibitor of metalloproteinases-2 in human chronic periodontitis. J. Periodontal Implant Sci. 2011, 41, 109–116. [Google Scholar] [CrossRef]
- Zhang, Y.; Zhang, D.; Xie, Z.; Xia, T.; Zou, L.; Zeng, Z.; Wang, L.; Chen, G.; Liang, X. Integrated transcriptomic and metabolomic analysis reveals the effects of EMMPRIN on nucleotide metabolism and 1C metabolism in AS mouse BMDMs. Front. Mol. Biosci. 2024, 11, 1460186. [Google Scholar]
- Ghandour, F.; Kassem, S.; Simanovich, E.; Rahat, M.A. Glucose Promotes EMMPRIN/CD147 and the Secretion of Pro-Angiogenic Factors in a Co-Culture System of Endothelial Cells and Monocytes. Biomedicines 2024, 12, 706. [Google Scholar] [CrossRef]
- Li, S.; Lu, S.; Zhang, L.; Liu, S.; Wang, L.; Lin, K.; Du, J.; Song, M. Basic regulatory effects and clinical value of metalloproteinase-14 and extracellular matrix metalloproteinase inducer in diabetic retinopathy. Mater. Express. 2021, 11, 873–879. [Google Scholar] [CrossRef]
- Barillari, G.; Melaiu, O.; Gargari, M.; Pomella, S.; Bei, R.; Campanella, V. The Multiple Roles of CD147 in the Development and Progression of Oral Squamous Cell Carcinoma: An Overview. Int. J. Mol. Sci. 2022, 23, 8336. [Google Scholar] [CrossRef] [PubMed]
- Prabhu, D.M. Estimation of EMMPRIN and Caveolin-1 Levels in Gingival Crevicular Fluid of Subjects with Different Periodontal Status. A Clinico-Biochemical Study. Master’s Thesis, Rajiv Gandhi University of Health Sciences, Bengaluru, Karnataka, India, 2017. [Google Scholar]
- Zhang, Z.; Yang, X.; Zhang, H.; Liu, X.; Pan, S.; Li, C. The role of extracellular matrix metalloproteinase inducer glycosylation in regulating matrix metalloproteinases in periodontitis. J. Periodontal Res. 2018, 53, 391–402. [Google Scholar] [CrossRef] [PubMed]
- de Oliveira Nóbrega, F.J.; de Oliveira, D.H.I.P.; Vasconcelos, R.G.; Nonaka, C.F.W.; Queiroz, L.M.G. Study of the participation of MMP-7, EMMPRIN and cyclophilin A in the pathogenesis of periodontal disease. Arch. Oral Biol. 2016, 72, 172–178. [Google Scholar]
- Wang, J.; Yang, D.; Li, C.; Shang, S.; Xiang, J. Expression of extracellular matrix metalloproteinase inducer glycosylation and c aveolin-1 in healthy and inflamed human gingiva. J. Periodontal Res. 2014, 49, 197–204. [Google Scholar] [CrossRef]
- Roi, C.; Gaje, P.N.; Ceaușu, R.A.; Roi, A.; Rusu, L.C.; Boia, E.R.; Boia, S.; Luca, R.E.; Riviș, M. Heterogeneity of Blood Vessels and Assessment of Microvessel Density-MVD in Gingivitis. J. Clin. Med. 2022, 11, 2758. [Google Scholar] [CrossRef]
- Abu El-Asrar, A.M.; Ahmad, A.; Alam, K.; Siddiquei, M.M.; Mohammad, G.; Hertogh, G.D.; .Mousa, A.; Opdenakker, G. Extracellular matrix metalloproteinase inducer (EMMPRIN) is a potential biomarker of angiogenesis in proliferative diabetic retinopathy. Acta Ophthalmol. 2017, 95, 697–704. [Google Scholar] [CrossRef]
- Zaidi, H.; Byrkjeland, R.; Njerve, I.U.; Åkra, S.; Solheim, S.; Arnesen, H.; Seljeflot, I.; Opstad, T.B. Effects of exercise training on markers of adipose tissue remodeling in patients with coronary artery disease and type 2 diabetes mellitus: Sub study of the randomized controlled EXCADI trial. Diabetol. Metab. Syndr. 2019, 11, 109. [Google Scholar] [CrossRef]
- Dai, R.; Wang, L.; Jim, H.; Sun, Z. Effects of advanced glycation end products on expression of EMMPRIN and MMP-2 in moue osteoblast. Afr. J. Pharmac. Pharmacol. 2010, 4, 453–464. [Google Scholar]
- Abu El-Asrar, A.M.; Ahmad, A.; Alam, K.; Siddiquei, M.M.; Mohammad, G.; De Hertogh, G.; Mousa, A.; Opdenakker, G. Extracellular matrix metalloproteinase inducer (EMMPRIN) is a potential biomarker. Membranes 2017, 91, 822–826. [Google Scholar]
- Pauna, A.-M.R.; Mititelu Tartau, L.; Bogdan, M.; Meca, A.-D.; Popa, G.E.; Pelin, A.M.; Drochioi, C.I.; Pricop, D.A.; Pavel, L.L. Synthesis, Characterization and Biocompatibility Evaluation of Novel Chitosan Lipid Micro-Systems for Modified Release of Diclofenac Sodium. Biomedicines 2023, 11, 453. [Google Scholar] [CrossRef]
- Buca, B.R.; Mititelu-Tartau, L.; Lupusoru, R.V.; Popa, G.E.; Rezus, C.; Lupusoru, C.E. New nitric oxide donors with therapeutic potential. Med. -Surg. J. 2016, 120, 942–946. [Google Scholar]
- Fan, Y.; Meng, S.; Wang, Y.; Cao, J.; Wang, C. Visfatin/PBEF/Nampt induces EMMPRIN and MMP-9 production in macrophages via the NAMPT-MAPK (p38, ERK1/2)-NF-κB signaling pathway. Int. J. Mol. Med. 2011, 27, 607–615. [Google Scholar]






| Parameters | All Cases (n = 33) | Control Group (n = 17) | Diabetes Mellitus Group (n = 16) |
|---|---|---|---|
| Age (years), mean | 55.4 | 52.5 | 57.8 |
| (min–max) | (28–75) | (28–72) | (29–75) |
| Gender | |||
| Male n (%) | 16 (44.4%) | 7 (41.18%) | 9 (56.2%) |
| Female n (%) | 17 (47.2%) | 10 (58.8%) | 7 (43.7%) |
| Area | |||
| Urban | 22 (61.1%) | 12 (70.5%) | 10 (62.5%) |
| Rural | 11 (33.3%) | 5 (29.4%) | 6 (37.5%) |
| HbA1c (%), mean | 4.2 | 5 | 7.9 |
| (min–max) | (4.2–9.3) | (4.3–5.7) | (6.8–9.3) |
| Periodontal disease stage | |||
| 2 | 13 (39.39%) | 7 (41.1%) | 6 (37.5%) |
| 3 | 20 (60.6%) | 10 (58.8%) | 10 (62.5%) |
| Patients Number | Diagnostic | Immunoreactivity Intensity MMP-14 | ||
|---|---|---|---|---|
| Membranous | Cytoplasmatic | Nuclear | ||
| 9 | Diabetes mellitus + Periodontitis | + | − | − |
| 7 | Diabetes mellitus + Periodontitis | +++ | − | − |
| 10 | Periodontitis (control) | + | − | − |
| 7 | Periodontitis (control) | − | − | − |
| Location | IR Intensity | DM + PD n = 16 | PD n = 17 | Chi Square Test p |
|---|---|---|---|---|
| MMP-14 | ||||
| Membranous | (−) (+) (++) (+++) | 9 (56.2%) 7 (43.8%) | 7 (41.2%) 10 (58.8%) | 0.004 0.883 nc 0.002 |
| Cytoplasmic | (−) (+) (++) (+++) | 16 (100%) | 17 (100%) | 1.000 nc nc nc |
| Nuclear | (−) (+) (++) (+++) | 16 (100%) | 17 (100%) | 1.000 nc nc nc |
| Patients Number | Diagnostic | Immunoreactivity Intensity CD147 | ||
|---|---|---|---|---|
| Membranous | Cytoplasmatic | Nuclear | ||
| 9 | Diabetes mellitus + Periodontitis | ++ | − | − |
| 7 | Diabetes mellitus + Periodontitis | +++ | − | − |
| 10 | Periodontitis (control) | + | − | − |
| 7 | Periodontitis (control) | − | − | − |
| Location | IR Intensity | DM + PD n = 16 | PD n = 17 | Chi Square Test p |
|---|---|---|---|---|
| CD 147 | ||||
| Membranous | (−) (+) (++) (+++) | 9 (56.2%) 7 (43.8%) | 7 (41.2%) 10 (58.8%) | 0.004 0.001 0.001 0.002 |
| Cytoplasmic | (−) (+) (++) (+++) | 16 (100%) | 17 (100%) | 1.000 nc nc nc |
| Nuclear | (−) (+) (++) (+++) | 16 (100%) | 17 (100%) | 1.000 nc nc nc |
Disclaimer/Publisher’s Note: The statements, opinions and data contained in all publications are solely those of the individual author(s) and contributor(s) and not of MDPI and/or the editor(s). MDPI and/or the editor(s) disclaim responsibility for any injury to people or property resulting from any ideas, methods, instructions or products referred to in the content. |
© 2025 by the authors. Licensee MDPI, Basel, Switzerland. This article is an open access article distributed under the terms and conditions of the Creative Commons Attribution (CC BY) license (https://creativecommons.org/licenses/by/4.0/).
Share and Cite
Botezatu, I.C.; Martu, M.-A.; Stoica, L.; Botez, A.E.; Onofrei, P.; Dimitriu, C.D.; Grecu, B.V.; Grigoriu, I.D.G.; Ciurcanu, O.; Solcan, C.; et al. Expression of MMP-14 and CD147 in Gingival Tissue of Patients With and Without Diabetes Mellitus Type II. Diagnostics 2025, 15, 609. https://doi.org/10.3390/diagnostics15050609
Botezatu IC, Martu M-A, Stoica L, Botez AE, Onofrei P, Dimitriu CD, Grecu BV, Grigoriu IDG, Ciurcanu O, Solcan C, et al. Expression of MMP-14 and CD147 in Gingival Tissue of Patients With and Without Diabetes Mellitus Type II. Diagnostics. 2025; 15(5):609. https://doi.org/10.3390/diagnostics15050609
Chicago/Turabian StyleBotezatu, Ionut Catalin, Maria-Alexandra Martu, Laura Stoica, Ana Emanuela Botez, Pavel Onofrei, Cristina Daniela Dimitriu, Bogdan Vasile Grecu, Ionut Daniel Gafincu Grigoriu, Oana Ciurcanu, Carmen Solcan, and et al. 2025. "Expression of MMP-14 and CD147 in Gingival Tissue of Patients With and Without Diabetes Mellitus Type II" Diagnostics 15, no. 5: 609. https://doi.org/10.3390/diagnostics15050609
APA StyleBotezatu, I. C., Martu, M.-A., Stoica, L., Botez, A. E., Onofrei, P., Dimitriu, C. D., Grecu, B. V., Grigoriu, I. D. G., Ciurcanu, O., Solcan, C., Sin, A. I., & Cotrutz, E.-C. (2025). Expression of MMP-14 and CD147 in Gingival Tissue of Patients With and Without Diabetes Mellitus Type II. Diagnostics, 15(5), 609. https://doi.org/10.3390/diagnostics15050609

