Regressed Papillary Thyroid Carcinoma with Anaplastic Transformation into Lymph Node Metastasis: Case Report with Review of the Literature
Abstract
1. Introduction
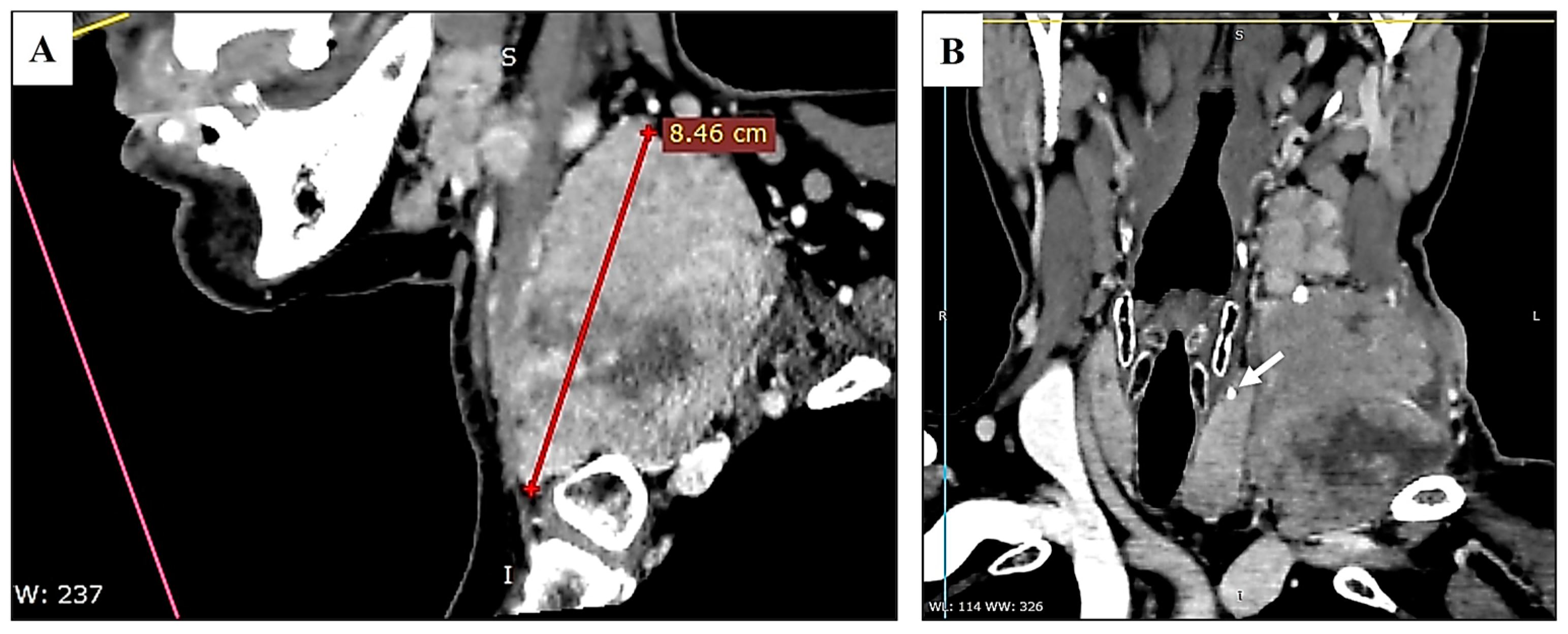
2. Case Presentation
3. Discussion with Review of the Literature
4. Conclusions
Author Contributions
Funding
Institutional Review Board Statement
Informed Consent Statement
Data Availability Statement
Conflicts of Interest
References
- Radha, G.; Lopus, M. The spontaneous remission of cancer: Current insights and therapeutic significance. Transl. Oncol. 2021, 14, 101166. [Google Scholar] [CrossRef] [PubMed]
- Salmat, T. Spontaneous tumor regression. J. Oncol. Sci. 2016, 2, 1–4. [Google Scholar] [CrossRef]
- Stanoszek, L.M.; Smith, L.B.; Grajewski, K.; Reneau, J.C.; Wilcox, R.; Perry, A.M. Spontaneous Regression of High-Grade B-Cell Lymphoma With MYC and BCL2 Rearrangements: Case Report and Literature Review. Clin. Lymphoma Myeloma Leuk. 2021, 21, e120–e125. [Google Scholar] [CrossRef] [PubMed]
- Simpson, K.W.; Albores-Saavedra, J. Unusual findings in papillary thyroid microcarcinoma suggesting partial regression: A study of two cases. Ann. Diagn. Pathol. 2007, 11, 97–102. [Google Scholar] [CrossRef] [PubMed]
- Lloyd, R.V.; Osamura, R.Y.; Klöppel, G.; Rosai, J. (Eds.) WHO Classification of Tumours of Endocrine Organs, 4th ed.; IARC: Lyon, France, 2017; pp. 91, 104–106. [Google Scholar]
- Baloch, Z.W.; Asa, S.L.; Barletta, J.A.; Ghossein, R.A.; Juhlin, C.C.; Jung, C.K.; LiVolsi, V.A.; Papotti, M.G.; Sobrinho-Simões, M.; Tallini, G.; et al. Overview of the 2022 WHO Classification of Thyroid Neoplasms. Endocr. Pathol. 2022, 33, 27–63. [Google Scholar] [CrossRef]
- Kakudo, K.; Takano, T. Clinically Insignificant Papillary Thyroid Carcinoma and Self-limiting Carcinoma that Do Not Harm Patients. In Thyroid FNA Cytology, 3rd ed.; Kakudo, K., Liu, Z., Jung, C.K., Hirokawa, M., Bychkov, A., Lai, C.R., Eds.; Springer: Singapore, 2023; pp. 103–106. [Google Scholar] [CrossRef]
- Abe, T.; Suzuki, M.; Shimizu, K.; Shinagawa, N.; Oizumi, S.; Matsuno, Y.; Miyazaki, M.; Tanino, M.; Tanaka, S.; Nishimura, M. Anaplastic transformation of papillary thyroid carcinoma in multiple lung metastases presenting with a malignant pleural effusion: A case report. J. Med. Case Rep. 2014, 8, 460. [Google Scholar] [CrossRef]
- Ito, Y.; Higashiyama, T.; Hirokawa, M.; Fukushima, M.; Inoue, H.; Yabuta, T.; Tomoda, C.; Uruno, T.; Kihara, M.; Takamura, Y.; et al. Prognosis of patients with papillary carcinoma showing anaplastic transformation in regional lymph nodes that were curatively resected. Endocr. J. 2008, 55, 985–989. [Google Scholar] [CrossRef]
- Arimitsu, H.; Nishijima, Y.; Higaki, N.; Noguchi, H.; Uchino, S.; Murakami, T. A case report of anaplastic thyroid carcinoma transformed from small papillary carcinoma successfully detected by ultrasonography in its early stage with a review of the literature. Endocr. J. 2023, 70, 1097–1101. [Google Scholar] [CrossRef]
- Deutschmann, M.; Khalil, M.; Bhayana, S.; Chandarana, S. Occult multifocal papillary thyroid microcarcinoma presenting as a supraclavicular mass containing anaplastic thyroid carcinoma. JAMA Otolaryngol. Head. Neck Surg. 2013, 139, 415–418. [Google Scholar] [CrossRef] [PubMed]
- Liu, Z.; Kakudo, K.; Bai, Y.; Li, Y.; Ozaki, T.; Miyauchi, A.; Taniguchi, E.; Mori, I. Loss of cellular polarity/cohesiveness in the invasive front of papillary thyroid carcinoma, a novel predictor for lymph node metastasis; possible morphological indicator of epithelial mesenchymal transition. J. Clin. Pathol. 2011, 64, 325–329. [Google Scholar] [CrossRef]
- Tondi Resta, I.; Gubbiotti, M.A.; Montone, K.T.; Livolsi, V.A.; Baloch, Z.W. Differentiated high grade thyroid carcinomas: Diagnostic consideration and clinical features. Hum. Pathol. 2024, 144, 53–60. [Google Scholar] [CrossRef] [PubMed]
- Ito, Y.; Miyauchi, A. Active surveillance of low-risk papillary thyroid microcarcinomas. Gland. Surg. 2020, 9, 1663–1673. [Google Scholar] [CrossRef] [PubMed]
- Miyauchi, A.; Ito, Y.; Oda, H. Insights into the Management of Papillary Microcarcinoma of the Thyroid. Thyroid 2018, 28, 23–31. [Google Scholar] [CrossRef] [PubMed]
- Kim, C.A.; Baek, S.H.; Yoo, J.; Chung, S.R.; Baek, J.H.; Chung, K.W.; Kim, W.B.; Jeon, M.J.; Kim, W.G. Tumor Growth Kinetics Based on Initial Tumor Volume Doubling Time in Active Surveillance of Low-Risk Papillary Thyroid Carcinoma. Thyroid 2024, 34, 846–855. [Google Scholar] [CrossRef] [PubMed]
- Miyauchi, A.; Kudo, T.; Ito, Y.; Oda, H.; Yamamoto, M.; Sasai, H.; Higashiyama, T.; Masuoka, H.; Fukushima, M.; Kihara, M.; et al. Natural history of papillary thyroid microcarcinoma: Kinetic analyses on tumor volume during active surveillance and before presentation. Surgery 2019, 165, 25–30. [Google Scholar] [CrossRef] [PubMed]
- Brown, R.B. Spontaneous Tumor Regression and Reversion: Insights and Associations with Reduced Dietary Phosphate. Cancers 2024, 16, 2126. [Google Scholar] [CrossRef] [PubMed]
- Fukuoka, O.; Sugitani, I.; Ebina, A.; Toda, K.; Kawabata, K.; Yamada, K. Natural History of Asymptomatic Papillary Thyroid Microcarcinoma: Time-Dependent Changes in Calcification and Vascularity During Active Surveillance. World J. Surg. 2016, 40, 529–537. [Google Scholar] [CrossRef] [PubMed]
- Takano, T. Natural history of thyroid cancer. Endocr. J. 2017, 64, 237–244. [Google Scholar] [CrossRef]
- Nishikawa, M.; Toyoda, N.; Yonemoto, T.; Fujiyama, A.; Ogawa, Y.; Tokoro, T.; Sakaguchi, N.; Yoshimura, M.; Yoshikawa, N.; Tabata, S.; et al. Occult papillary thyroid carcinoma in Hashimoto’s thyroiditis presenting as a metastatic bone tumor. Endocr. J. 1998, 45, 111–116. [Google Scholar] [CrossRef] [PubMed][Green Version]
- Di Pasquale, M.; Rothstein, J.L.; Palazzo, J.P. Pathologic features of Hashimoto’s-associated papillary thyroid carcinomas. Hum. Pathol. 2001, 32, 24–30. [Google Scholar] [CrossRef] [PubMed]
- Osborne, D.; Choudhary, R.; Vyas, A.; Kampa, P.; Abbas, L.F.; Chigurupati, H.D.; Alfonso, M. Hashimoto’s Thyroiditis Effects on Papillary Thyroid Carcinoma Outcomes: A Systematic Review. Cureus 2022, 14, e28054. [Google Scholar] [CrossRef] [PubMed]
- Li, G.; He, L.; Huang, J.; Liu, J.; Chen, W.; Zhong, J.; Wei, T.; Li, Z.; Zhu, J.; Lei, J. miR-142-3p encapsulated in T lymphocyte-derived tissue small extracellular vesicles induces Treg function defect and thyrocyte destruction in Hashimoto’s thyroiditis. BMC Med. 2023, 21, 206. [Google Scholar] [CrossRef] [PubMed]
- Odate, T.; Oishi, N.; Kawai, M.; Tahara, I.; Mochizuki, K.; Akaishi, J.; Ito, K.; Katoh, R.; Kondo, T. Progression of Papillary Thyroid Carcinoma to Anaplastic Carcinoma in Metastatic Lymph Nodes: Solid/Insular Growth and Hobnail Cell Change in Lymph Nodes Are Predictors of Subsequent Anaplastic Transformation. Endocr. Pathol. 2021, 32, 347–356. [Google Scholar] [CrossRef] [PubMed]
- Xu, B.; Ibrahimpasic, T.; Wang, L.; Sabra, M.M.; Migliacci, J.C.; Tuttle, R.M.; Ganly, I.; Ghossein, R. Clinicopathologic Features of Fatal Non-Anaplastic Follicular Cell-Derived Thyroid Carcinomas. Thyroid 2016, 26, 1588–1597. [Google Scholar] [CrossRef] [PubMed]
- Sato, K.; Waseda, R.; Tatsuzawa, Y.; Soma, R.; Ueda, Y.; Katsuda, S. Papillary thyroid carcinoma with anaplastic transformation showing a rhabdoid phenotype solely in the cervical lymph node metastasis. Pathol. Res. Pract. 2006, 202, 55–59. [Google Scholar] [CrossRef] [PubMed]
- Awan, L.; Rosenthal, A.; Carrillo, E.; Lee, S.; Sanchez, R.; Kiffin, C. Recurrence of Thyroid Cancer: From Papillary to Anaplastic. J. Med. Cases 2013, 4, 533–534. [Google Scholar] [CrossRef][Green Version]
- Park, J.H.; Kwon, H.J.; Park, C.S.; Hong, S. Anaplastic Transformation of Papillary Thyroid Carcinoma in a Young Man: A Case Study with Immunohistochemical and BRAF Analysis. Korean J. Pathol. 2014, 48, 234–240. [Google Scholar] [CrossRef]
- Gunnarsdottir, A.B.; Briem, B.A.; Jonasson, L.; Tryggvason, G. Anaplastic thyroid carcinoma transformation in a lateral neck node metastasis—A case report and a review of the literature. Acta Oto-Laryngol. Case Rep. 2018, 3, 43–46. [Google Scholar] [CrossRef]
- Cinamon, U.; Horev, Y.; Vaknine, H. Anaplastic Transformation of Metastatic Papillary Thyroid Carcinoma in a Cervical Lymph Node: A Timeline and Short Review. J. Endocr. Surg. 2020, 20, 3–11. [Google Scholar] [CrossRef]
- Song, S.; Lee, D.; Kim, H.; Jeong, W. Coexistent Papillary Thyroid Carcinoma and Its Anaplastic Transformation in Cervical Lymph Node Metastasis. Int. J. Thyroidol. 2020, 13, 55–59. [Google Scholar] [CrossRef]
- Tallab, R.; Alghamdi, D. Anaplastic Thyroid Carcinoma in Metastatic Lateral Cervical Neck Lymph Node. Case Report and Review literatures. GJPLM 2021, 1, 1–7. [Google Scholar] [CrossRef]
- Vishwanath, V.; Gaunt, N.; Rana, D.; St Leger, D.; Dykes, M.; Ma, W.; Garcez, K.; Mani, N. A case report of anaplastic thyroid cancer and papillary thyroid cancer lymph node metastasis: An unusual presentation as an invasive hypopharyngeal mass. BJR Case Rep. 2021, 8, 20210236. [Google Scholar] [CrossRef] [PubMed]
- Momin, Y.A.; Pol, J.N.; Gosavi, A.V.; Anvikar, A.R. Occult multifocal papillary thyroid carcinoma presenting as anaplastic carcinoma in the metastatic neck deposit—A rare case report along with review of literature. IP J. Diagn. Pathol. Oncol. 2021, 6, 216–222. [Google Scholar] [CrossRef]
- Fukuda, Y.; Fujita, N.; Hara, H. Anaplastic Transfomation of Papillary Thyroid Carcinoma in Metastatic Lymph Nodes: A case report. Authorea 2022. [Google Scholar] [CrossRef]
- Prabhu, S.A.C.; Sowmya, B.U.; Veena, R.; Tejaswini, B.N. Anaplastic transformation in a recurrent papillary thyroid carcinoma: A case report. Indian J. Pathol. Oncol. 2022, 9, 188–190. [Google Scholar] [CrossRef]
- Salh, A.M.; Kakamad, F.H.; Hassan, S.H.; Abdullah, A.M.; Hassan, M.A.; Abdulla, B.A. Hobnail variant of papillary thyroid carcinoma with anaplastic dedifferentiation co-existent with tuberculosis lymphadenitis. Int. J. Surg. Case Rep. 2022, 90, 106690. [Google Scholar] [CrossRef] [PubMed]
- Lyu, Y.S.; Hong, R.; Oh, J. Anaplastic Transformation in Papillary Thyroid Carcinoma: A Case Report. Ear Nose Throat J. 2024, 01455613231225872. [Google Scholar] [CrossRef] [PubMed]
- Piana, S.; Ragazzi, M.; Tallini, G.; de Biase, D.; Ciarrocchi, A.; Frasoldati, A.; Rosai, J. Papillary thyroid microcarcinoma associated with metastasis and fatal outcome: Is the microcarcinoma an incidental finding?—Reply. Hum. Pathol. 2013, 44, 1962–1963. [Google Scholar] [CrossRef]
- Cameselle-Teijeiro, J.M.; Rodríguez-Pérez, I.; Celestino, R.; Eloy, C.; Piso-Neira, M.; Abdulkader-Nallib, I.; Soares, P.; Sobrinho-Simões, M. Hobnail Variant of Papillary Thyroid Carcinoma: Clinicopathologic and Molecular Evidence of Progression to Undifferentiated Carcinoma in 2 Cases. Am. J. Surg. Pathol. 2017, 41, 854–860. [Google Scholar] [CrossRef] [PubMed]
- Shim, H.K.; Kim, M.R. Comparative Analysis of Metastatic Thyroid Carcinoma versus Ectopic Thyroid Carcinoma in Lateral Neck Masses without Identifiable Primary Thyroid Carcinoma. J. Clin. Med. 2024, 13, 5819. [Google Scholar] [CrossRef] [PubMed]
- Xu, B.; Scognamiglio, T.; Cohen, P.R.; Prasad, M.L.; Hasanovic, A.; Tuttle, R.M.; Katabi, N.; Ghossein, R.A. Metastatic thyroid carcinoma without identifiable primary tumor within the thyroid gland: A retrospective study of a rare phenomenon. Hum. Pathol. 2017, 65, 133–139. [Google Scholar] [CrossRef]





| No. | Study (Year) | Age (Years)/Gender | Size (mm) | PTC Subtype | Time to AT (Months) | Treatment | DOD (Months) |
|---|---|---|---|---|---|---|---|
| 1. | Sato K et al. (2006) [27] | 77/M | 20 | Classic | 0 | NA | 6 |
| 2. | Ito Y et al. (2008) [9] | 64/M | 35 | Classic | 46 | Ro | 5 |
| 3. | Ito Y et al. (2008) [9] | 80/F | 25 | Classic | 0 | NA | Alive 85 months after surgery |
| 4. | Ito Y et al. (2008) [9] | 51/F | 25 | Classic | 266 | Ch | 63 |
| 5. | Ito Y et al. (2008) [9] | 79/M | 13 | Classic | 74 | NA | 11 |
| 6. | Ito Y et al. (2008) [9] | 77/F | 4 | Classic | 0 | Ro | Alive 6 m after surgery |
| 7. | Awan L et al. (2013) [28] | 50/F | NA | NA | 48 | Ro+ Ch | NA |
| 8. | Deutschmann M et al. (2013) [11] | 60/M | 5 | NA | 0 | Rai+Ro | NA |
| 9. | Park JH et al. (2014) [29] | 31/M | 40 | DSS | 96 | NA | 4 |
| 10. | Gunnarsdottir AB et al. (2018) [30] | 79/M | NA | NA | 0 | Ro | 3 |
| 11. | Cinamon U et al. (2020) [31] | 68/M | 15 | Classic | 96 | Ch | 5 |
| 12. | Song S et al. (2020) [32] | 85/M | 18 | Classic | 0 | Not taken | 2.5 |
| 13. | Tallab R et al. (2020) [33] | 84/M | 5 | Classic | 0 | Not taken | 5 |
| 14. | Vishwanath V et al. (2021) [34] | 60/F | NA | Foll | 0 | TT | Alive |
| 15. | Momin YA et al. (2021) [35] | 75/F | 5 | Classic | 0 | NA | NA |
| 16. | Odate T et al. (2021) [25] 10 cases | 2/M; 8/F | 33.4 ± 17.4 | 8 Classic; 1 Foll; 1 Tall | 106 [6, 437] * | 4 Rai; 6 NA | NA |
| 17. | Fukuda Y et al. (2022) [36] | 67/F | NA | Classic | 0 | Ro | 1.5 |
| 18. | Prabhu SAC et al. (2022) [37] | 72/M | NA | NA | 60 | Ro | NA |
| 19. | Salh AM et al. (2022) [38] | 91/F | NA | Hobnail | 132 | Ro | NA |
| 20. | Lyu YS et al. (2024) [39] | 63/M | NA | Classic | 2 | Ro | 2 |
Disclaimer/Publisher’s Note: The statements, opinions and data contained in all publications are solely those of the individual author(s) and contributor(s) and not of MDPI and/or the editor(s). MDPI and/or the editor(s) disclaim responsibility for any injury to people or property resulting from any ideas, methods, instructions or products referred to in the content. |
© 2025 by the authors. Licensee MDPI, Basel, Switzerland. This article is an open access article distributed under the terms and conditions of the Creative Commons Attribution (CC BY) license (https://creativecommons.org/licenses/by/4.0/).
Share and Cite
Kovacevic, B.; Rancic, B.; Jovic, S.; Cerovic, S.; Skuletic, V.; Karajovic, J.; Gardasevic, M.; Supic, G.; Kakudo, K. Regressed Papillary Thyroid Carcinoma with Anaplastic Transformation into Lymph Node Metastasis: Case Report with Review of the Literature. Diagnostics 2025, 15, 523. https://doi.org/10.3390/diagnostics15050523
Kovacevic B, Rancic B, Jovic S, Cerovic S, Skuletic V, Karajovic J, Gardasevic M, Supic G, Kakudo K. Regressed Papillary Thyroid Carcinoma with Anaplastic Transformation into Lymph Node Metastasis: Case Report with Review of the Literature. Diagnostics. 2025; 15(5):523. https://doi.org/10.3390/diagnostics15050523
Chicago/Turabian StyleKovacevic, Bozidar, Bojana Rancic, Sasa Jovic, Snezana Cerovic, Vesna Skuletic, Jelena Karajovic, Milka Gardasevic, Gordana Supic, and Kennichi Kakudo. 2025. "Regressed Papillary Thyroid Carcinoma with Anaplastic Transformation into Lymph Node Metastasis: Case Report with Review of the Literature" Diagnostics 15, no. 5: 523. https://doi.org/10.3390/diagnostics15050523
APA StyleKovacevic, B., Rancic, B., Jovic, S., Cerovic, S., Skuletic, V., Karajovic, J., Gardasevic, M., Supic, G., & Kakudo, K. (2025). Regressed Papillary Thyroid Carcinoma with Anaplastic Transformation into Lymph Node Metastasis: Case Report with Review of the Literature. Diagnostics, 15(5), 523. https://doi.org/10.3390/diagnostics15050523

