Interstitial Lung Abnormalities: Unraveling the Journey from Incidental Discovery to Clinical Significance
Abstract
1. Introduction
2. What Are ILAs?
2.1. Definition
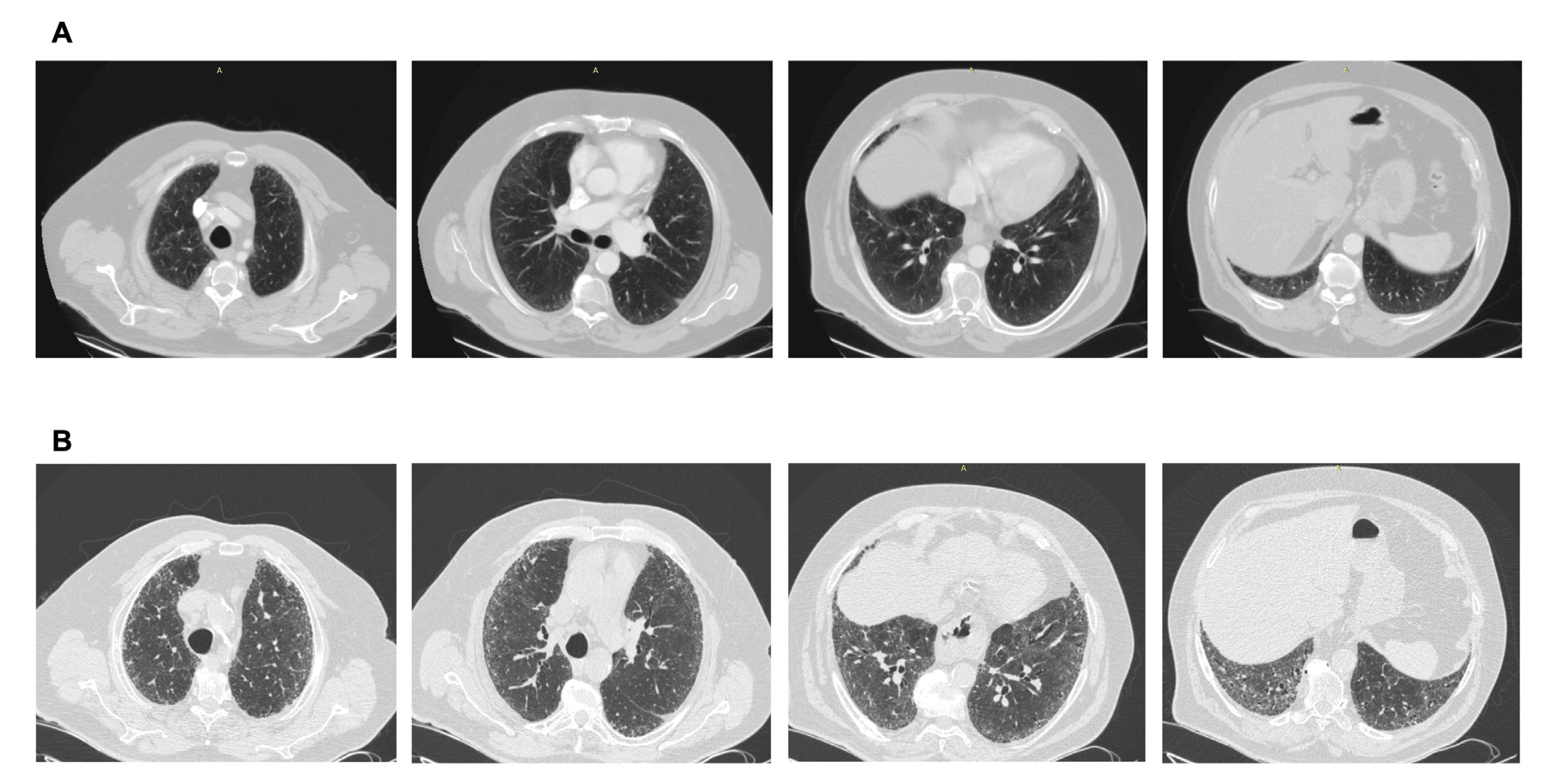
2.2. ILA Subcategorization
- Non-subpleural ILAs: ground-glass opacity and reticular opacities without a predominant subpleural localization.
- Subpleural nonfibrotic ILAs: ground glass opacity and reticular opacities with a predominant subpleural localization and without evidence of fibrosis.
- Subpleural fibrotic ILAs: with a predominant subpleural localization and with evidence of pulmonary fibrosis (traction bronchiectasis, architectural distortion, and honeycombing).
3. How Prevalent Are ILAs?
4. What Is the Histopathology Behind ILAs?
5. What Are the Risk Factors for ILAs?
5.1. Demographics
5.2. Exposures
5.3. Genetics
6. What Is the Clinical Importance of ILAs?
6.1. Presence of Respiratory Symptoms and Physiological Impairment
6.2. Progression to ILD and Respiratory Related Mortality
6.3. All-Cause Mortality
6.4. ILAs and COPD
6.5. ILAs and Lung Cancer Risk and Risk Related to Oncologic Treatment Complications
7. How Should ILAs Be Monitored?
8. Conclusions and Future Directions
Author Contributions
Funding
Conflicts of Interest
References
- Cottin, V.; Wollin, L.; Fischer, A.; Quaresma, M.; Stowasser, S.; Harari, S. Fibrosing Interstitial Lung Diseases: Knowns and Unknowns. Eur. Respir. Rev. 2019, 28, 180100. [Google Scholar] [CrossRef] [PubMed]
- Albera, C.; Costabel, U.; Fagan, E.A.; Glassberg, M.K.; Gorina, E.; Lancaster, L.; Lederer, D.J.; Nathan, S.D.; Spirig, D.; Swigris, J.J. Efficacy of Pirfenidone in Patients with Idiopathic Pulmonary Fibrosis with More Preserved Lung Function. Eur. Respir. J. 2016, 48, 843–851. [Google Scholar] [CrossRef] [PubMed]
- Kolb, M.; Richeldi, L.; Behr, J.; Maher, T.M.; Tang, W.; Stowasser, S.; Hallmann, C.; du Bois, R.M. Nintedanib in Patients with Idiopathic Pulmonary Fibrosis and Preserved Lung Volume. Thorax 2017, 72, 340–346. [Google Scholar] [CrossRef]
- Hewitt, R.J.; Bartlett, E.C.; Ganatra, R.; Butt, H.; Kouranos, V.; Chua, F.; Kokosi, M.; Molyneaux, P.L.; Desai, S.R.; Wells, A.U.; et al. Lung Cancer Screening Provides an Opportunity for Early Diagnosis and Treatment of Interstitial Lung Disease. Thorax 2022, 77, 1149–1151. [Google Scholar] [CrossRef]
- Doyle, T.J.; Washko, G.R.; Fernandez, I.E.; Nishino, M.; Okajima, Y.; Yamashiro, T.; Divo, M.J.; Celli, B.R.; Sciurba, F.C.; Silverman, E.K.; et al. Interstitial Lung Abnormalities and Reduced Exercise Capacity. Am. J. Respir. Crit. Care Med. 2012, 185, 756–762. [Google Scholar] [CrossRef]
- Araki, T.; Putman, R.K.; Hatabu, H.; Gao, W.; Dupuis, J.; Latourelle, J.C.; Nishino, M.; Zazueta, O.E.; Kurugol, S.; Ross, J.C.; et al. Development and Progression of Interstitial Lung Abnormalities in the Framingham Heart Study. Am. J. Respir. Crit. Care Med. 2016, 194, 1514–1522. [Google Scholar] [CrossRef]
- Putman, R.K.; Hatabu, H.; Araki, T.; Gudmundsson, G.; Gao, W.; Nishino, M.; Okajima, Y.; Dupuis, J.; Latourelle, J.C.; Cho, M.H.; et al. Association between Interstitial Lung Abnormalities and All-Cause Mortality. JAMA 2016, 315, 672–681. [Google Scholar] [CrossRef]
- Sverzellati, N.; Milanese, G.; Ryerson, C.J.; Hatabu, H.; Walsh, S.L.F.; Papapietro, V.R.; Gazzani, S.E.; Bacchini, E.; Specchia, F.; Marrocchio, C.; et al. Interstitial Lung Abnormalities on Unselected Abdominal and Thoracoabdominal CT Scans in 21,118 Patients. Radiology 2024, 313, e233374. [Google Scholar] [CrossRef]
- Zhang, Y.; Wan, H.; Richeldi, L.; Zhu, M.; Huang, Y.; Xiong, X.; Liao, J.; Zhu, W.; Mao, L.; Xu, L.; et al. Reticulation Is a Risk Factor of Progressive Subpleural Nonfibrotic Interstitial Lung Abnormalities. Am. J. Respir. Crit. Care Med. 2022, 206, 178–185. [Google Scholar] [CrossRef]
- Hatabu, H.; Hunninghake, G.M.; Richeldi, L.; Brown, K.K.; Wells, A.U.; Remy-Jardin, M.; Verschakelen, J.; Nicholson, A.G.; Beasley, M.B.; Christiani, D.C.; et al. Interstitial Lung Abnormalities Detected Incidentally on CT: A Position Paper from the Fleischner Society. Lancet Respir. Med. 2020, 8, 726–737. [Google Scholar] [CrossRef]
- Putman, R.K.; Gudmundsson, G.; Axelsson, G.T.; Hida, T.; Honda, O.; Araki, T.; Yanagawa, M.; Nishino, M.; Miller, E.R.; Eiriksdottir, G.; et al. Imaging Patterns Are Associated with Interstitial Lung Abnormality Progression and Mortality. Am. J. Respir. Crit. Care Med. 2019, 200, 175–183. [Google Scholar] [CrossRef] [PubMed]
- Washko, G.R.; Hunninghake, G.M.; Fernandez, I.E.; Nishino, M.; Okajima, Y.; Yamashiro, T.; Ross, J.C.; Estépar, R.S.J.; Lynch, D.A.; Brehm, J.M.; et al. Lung Volumes and Emphysema in Smokers with Interstitial Lung Abnormalities. New Engl. J. Med. 2011, 364, 897–906. [Google Scholar] [CrossRef]
- Pesonen, I.; Johansson, F.; Johnsson, Å.; Blomberg, A.; Boijsen, M.; Brandberg, J.; Cederlund, K.; Egesten, A.; Emilsson, Ö.I.; Engvall, J.E.; et al. High Prevalence of Interstitial Lung Abnormalities in Middle-Aged Never-Smokers. ERJ Open Res. 2023, 9, 00035-2023. [Google Scholar] [CrossRef] [PubMed]
- Hunninghake, G.M.; Quesada-Arias, L.D.; Carmichael, N.E.; Martinez Manzano, J.M.; Poli De Frías, S.; Baumgartner, M.A.; DiGianni, L.; Gampala-Sagar, S.N.; Leone, D.A.; Gulati, S.; et al. Interstitial Lung Disease in Relatives of Patients with Pulmonary Fibrosis. Am. J. Respir. Crit. Care Med. 2020, 201, 1240–1248. [Google Scholar] [CrossRef]
- Kawano-Dourado, L.; Doyle, T.J.; Bonfiglioli, K.; Sawamura, M.V.; Nakagawa, R.H.; Arimura, F.E.; Lee, H.J.; de Souza Rangel, D.A.; Bueno, C.; Carvalho, C.R.; et al. Baseline Characteristics and Progression of a Spectrum of Interstitial Lung Abnormalities and Disease in Rheumatoid Arthritis. Chest 2020, 158, 1546–1554. [Google Scholar] [CrossRef]
- Katzenstein, A.-L.A.; Mukhopadhyay, S.; Zanardi, C.; Dexter, E. Clinically Occult Interstitial Fibrosis in Smokers: Classification and Significance of a Surprisingly Common Finding in Lobectomy Specimens. Hum. Pathol. 2010, 41, 316–325. [Google Scholar] [CrossRef]
- Miller, E.R.; Putman, R.K.; Vivero, M.; Hung, Y.; Araki, T.; Nishino, M.; Washko, G.R.; Rosas, I.O.; Hatabu, H.; Sholl, L.M.; et al. Histopathology of Interstitial Lung Abnormalities in the Context of Lung Nodule Resections. Am. J. Respir. Crit. Care Med. 2018, 197, 955–958. [Google Scholar] [CrossRef]
- Hung, Y.P.; Hunninghake, G.M.; Miller, E.R.; Putman, R.; Nishino, M.; Araki, T.; Hatabu, H.; Sholl, L.M.; Vivero, M. Incidental Nonneoplastic Parenchymal Findings in Patients Undergoing Lung Resection for Mass Lesions. Hum. Pathol. 2019, 86, 93–101. [Google Scholar] [CrossRef]
- Copley, S.J.; Wells, A.U.; Hawtin, K.E.; Gibson, D.J.; Hodson, J.M.; Jacques, A.E.T.; Hansell, D.M. Lung Morphology in the Elderly: Comparative CT Study of Subjects over 75 Years Old versus Those under 55 Years Old. Radiology 2009, 251, 566–573. [Google Scholar] [CrossRef]
- Sanders, J.L.; Putman, R.K.; Dupuis, J.; Xu, H.; Murabito, J.M.; Araki, T.; Nishino, M.; Benjamin, E.J.; Levy, D.; Ramachandran, V.S.; et al. The Association of Aging Biomarkers, Interstitial Lung Abnormalities, and Mortality. Am. J. Respir. Crit. Care Med. 2021, 203, 1149–1157. [Google Scholar] [CrossRef]
- Grant-Orser, A.; Min, B.; Elmrayed, S.; Podolanczuk, A.J.; Johannson, K.A. Prevalence, Risk Factors, and Outcomes of Adult Interstitial Lung Abnormalities: A Systematic Review and Meta-Analysis. Am. J. Respir. Crit. Care Med. 2023, 208, 695–708. [Google Scholar] [CrossRef] [PubMed]
- Sack, C.S.; Doney, B.C.; Podolanczuk, A.J.; Hooper, L.G.; Seixas, N.S.; Hoffman, E.A.; Kawut, S.M.; Vedal, S.; Raghu, G.; Barr, R.G.; et al. Occupational Exposures and Subclinical Interstitial Lung Disease. The MESA (Multi-Ethnic Study of Atherosclerosis) Air and Lung Studies. Am. J. Respir. Crit. Care Med. 2017, 196, 1031–1039. [Google Scholar] [CrossRef] [PubMed]
- Lederer, D.J.; Enright, P.L.; Kawut, S.M.; Hoffman, E.A.; Hunninghake, G.; van Beek, E.J.R.; Austin, J.H.M.; Jiang, R.; Lovasi, G.S.; Barr, R.G. Cigarette Smoking Is Associated with Subclinical Parenchymal Lung Disease: The Multi-Ethnic Study of Atherosclerosis (MESA)-Lung Study: The Multi-Ethnic Study of Atherosclerosis (MESA)-Lung Study. Am. J. Respir. Crit. Care Med. 2009, 180, 407–414. [Google Scholar] [CrossRef]
- Sangani, R.G.; Deepak, V.; Ghio, A.J.; Forte, M.J.; Zulfikar, R.; Patel, Z.; King, A.; Alshaikhnassir, E.; Abbas, G.; Vos, J. Interstitial Lung Abnormalities and Interstitial Lung Diseases Associated with Cigarette Smoking in a Rural Cohort Undergoing Surgical Resection. BMC Pulm. Med. 2022, 22, 172. [Google Scholar] [CrossRef]
- Singh, N.; Singh, S. Interstitial Lung Diseases and Air Pollution: Narrative Review of Literature. Pulm. Ther. 2021, 7, 89–100. [Google Scholar] [CrossRef]
- Sack, C.; Vedal, S.; Sheppard, L.; Raghu, G.; Barr, R.G.; Podolanczuk, A.; Doney, B.; Hoffman, E.A.; Gassett, A.; Hinckley-Stukovsky, K.; et al. Air Pollution and Subclinical Interstitial Lung Disease: The Multi-Ethnic Study of Atherosclerosis (MESA) Air-Lung Study. Eur. Respir. J. 2017, 50, 1700559. [Google Scholar] [CrossRef]
- Rice, M.B.; Li, W.; Schwartz, J.; Di, Q.; Kloog, I.; Koutrakis, P.; Gold, D.R.; Hallowell, R.W.; Zhang, C.; O’Connor, G.; et al. Ambient Air Pollution Exposure and Risk and Progression of Interstitial Lung Abnormalities: The Framingham Heart Study. Thorax 2019, 74, 1063–1069. [Google Scholar] [CrossRef]
- Baddour, N.A.; Paulin, L.M.; Gassett, A.J.; Woo, H.; Hoffman, E.A.; Newell, J.D., Jr.; Woodruff, P.G.; Pirozzi, C.S.; Barjaktarevic, I.; Barr, R.G.; et al. Air Pollution Exposure and Interstitial Lung Features in SPIROMICS Participants with Chronic Obstructive Pulmonary Disease. Ann. Am. Thorac. Soc. 2024, 21, 1251–1260. [Google Scholar] [CrossRef]
- Hunninghake, G.M.; Hatabu, H.; Okajima, Y.; Gao, W.; Dupuis, J.; Latourelle, J.C.; Nishino, M.; Araki, T.; Zazueta, O.E.; Kurugol, S.; et al. MUC5B Promoter Polymorphism and Interstitial Lung Abnormalities. N. Engl. J. Med. 2013, 368, 2192–2200. [Google Scholar] [CrossRef]
- Ash, S.Y.; Harmouche, R.; Putman, R.K.; Ross, J.C.; Diaz, A.A.; Hunninghake, G.M.; Onieva Onieva, J.; Martinez, F.J.; Choi, A.M.; Lynch, D.A.; et al. Clinical and Genetic Associations of Objectively Identified Interstitial Changes in Smokers. Chest 2017, 152, 780–791. [Google Scholar] [CrossRef]
- Putman, R.K.; Gudmundsson, G.; Araki, T.; Nishino, M.; Sigurdsson, S.; Gudmundsson, E.F.; Eiríksdottír, G.; Aspelund, T.; Ross, J.C.; San José Estépar, R.; et al. The MUC5B Promoter Polymorphism Is Associated with Specific Interstitial Lung Abnormality Subtypes. Eur. Respir. J. 2017, 50, 1700537. [Google Scholar] [CrossRef] [PubMed]
- Moll, M.; Peljto, A.L.; Kim, J.S.; Xu, H.; Debban, C.L.; Chen, X.; Menon, A.; Putman, R.K.; Ghosh, A.J.; Saferali, A.; et al. A Polygenic Risk Score for Idiopathic Pulmonary Fibrosis and Interstitial Lung Abnormalities. Am. J. Respir. Crit. Care Med. 2023, 208, 791–801. [Google Scholar] [CrossRef] [PubMed]
- Hobbs, B.D.; Putman, R.K.; Araki, T.; Nishino, M.; Gudmundsson, G.; Gudnason, V.; Eiriksdottir, G.; Zilhao Nogueira, N.R.; Dupuis, J.; Xu, H.; et al. Overlap of Genetic Risk between Interstitial Lung Abnormalities and Idiopathic Pulmonary Fibrosis. Am. J. Respir. Crit. Care Med. 2019, 200, 1402–1413. [Google Scholar] [CrossRef]
- Putman, R.K.; Axelsson, G.T.; Ash, S.Y.; Sanders, J.L.; Menon, A.A.; Araki, T.; Nishino, M.; Yanagawa, M.; Gudmundsson, E.F.; Qiao, D.; et al. Interstitial Lung Abnormalities Are Associated with Decreased Mean Telomere Length. Eur. Respir. J. 2022, 60, 2101814. [Google Scholar] [CrossRef]
- Menon, A.A.; Lee, M.; Ke, X.; Putman, R.K.; Hino, T.; Rose, J.A.; Duan, F.; Ash, S.Y.; Cho, M.H.; O’Connor, G.T.; et al. Bronchial Epithelial Gene Expression and Interstitial Lung Abnormalities. Respir. Res. 2023, 24, 245. [Google Scholar] [CrossRef]
- Axelsson, G.T.; Gudmundsson, G.; Pratte, K.A.; Aspelund, T.; Putman, R.K.; Sanders, J.L.; Gudmundsson, E.F.; Hatabu, H.; Gudmundsdottir, V.; Gudjonsson, A.; et al. The Proteomic Profile of Interstitial Lung Abnormalities. Am. J. Respir. Crit. Care Med. 2022, 206, 337–346. [Google Scholar] [CrossRef]
- Stanel, S.C.; Callum, J.; Rivera-Ortega, P. Genetic and Environmental Factors in Interstitial Lung Diseases: Current and Future Perspectives on Early Diagnosis of High-Risk Cohorts. Front. Med. 2023, 10, 1232655. [Google Scholar] [CrossRef]
- Buendía-Roldán, I.; Fernandez, R.; Mejía, M.; Juarez, F.; Ramirez-Martinez, G.; Montes, E.; Pruneda, A.K.S.; Martinez-Espinosa, K.; Alarcon-Dionet, A.; Herrera, I.; et al. Risk Factors Associated with the Development of Interstitial Lung Abnormalities. Eur. Respir. J. 2021, 58, 2003005. [Google Scholar] [CrossRef]
- Kim, J.S.; Axelsson, G.T.; Moll, M.; Anderson, M.R.; Bernstein, E.J.; Putman, R.K.; Hida, T.; Hatabu, H.; Hoffman, E.A.; Raghu, G.; et al. Associations of Monocyte Count and Other Immune Cell Types with Interstitial Lung Abnormalities. Am. J. Respir. Crit. Care Med. 2022, 205, 795–805. [Google Scholar] [CrossRef]
- Axelsson, G.T.; Putman, R.K.; Araki, T.; Sigurdsson, S.; Gudmundsson, E.F.; Eiriksdottir, G.; Aspelund, T.; Miller, E.R.; Launer, L.J.; Harris, T.B.; et al. Interstitial Lung Abnormalities and Self-Reported Health and Functional Status. Thorax 2018, 73, 884–886. [Google Scholar] [CrossRef]
- Choi, B.; Adan, N.; Doyle, T.J.; San José Estépar, R.; Harmouche, R.; Humphries, S.M.; Moll, M.; Cho, M.H.; Putman, R.K.; Hunninghake, G.M.; et al. Quantitative Interstitial Abnormality Progression and Outcomes in the Genetic Epidemiology of COPD and Pittsburgh Lung Screening Study Cohorts. Chest 2023, 163, 164–175. [Google Scholar] [CrossRef] [PubMed]
- Rose, J.A.; Menon, A.A.; Hino, T.; Hata, A.; Nishino, M.; Lynch, D.A.; Rosas, I.O.; El-Chemaly, S.; Raby, B.A.; Ash, S.Y.; et al. Suspected Interstitial Lung Disease in COPDGene Study. Am. J. Respir. Crit. Care Med. 2023, 207, 60–68. [Google Scholar] [CrossRef] [PubMed]
- Podolanczuk, A.J.; Oelsner, E.C.; Barr, R.G.; Bernstein, E.J.; Hoffman, E.A.; Easthausen, I.J.; Stukovsky, K.H.; RoyChoudhury, A.; Michos, E.D.; Raghu, G.; et al. High-Attenuation Areas on Chest Computed Tomography and Clinical Respiratory Outcomes in Community-Dwelling Adults. Am. J. Respir. Crit. Care Med. 2017, 196, 1434–1442. [Google Scholar] [CrossRef]
- Hida, T.; Nishino, M.; Hino, T.; Lu, J.; Putman, R.K.; Gudmundsson, E.F.; Araki, T.; Valtchinov, V.I.; Honda, O.; Yanagawa, M.; et al. Traction Bronchiectasis/bronchiolectasis Is Associated with Interstitial Lung Abnormality Mortality. Eur. J. Radiol. 2020, 129, 109073. [Google Scholar] [CrossRef]
- Hata, A.; Hino, T.; Putman, R.K.; Yanagawa, M.; Hida, T.; Menon, A.A.; Honda, O.; Yamada, Y.; Nishino, M.; Araki, T.; et al. Traction Bronchiectasis/bronchiolectasis on CT Scans in Relationship to Clinical Outcomes and Mortality: The COPDGene Study. Radiology 2022, 304, 694–701. [Google Scholar] [CrossRef]
- Hwang, J.; You, S.; Lee, Y.J.; Sun, J.S. Prevalence and Progression Rate of Interstitial Lung Abnormalities Detected on Thoracic CT: A Systematic Review and Meta-Analysis. Eur. Radiol. 2024, 35, 276–288. [Google Scholar] [CrossRef]
- Balata, H.; Punjabi, A.; Chaudhuri, N.; Greaves, M.; Yorke, J.; Booton, R.; Crosbie, P.; Hayton, C. The Detection, Assessment and Clinical Evolution of Interstitial Lung Abnormalities Identified through Lung Cancer Screening. ERJ Open Res. 2023, 9, 00632–2022. [Google Scholar] [CrossRef]
- Seok, J.; Park, S.; Yoon, E.C.; Yoon, H.-Y. Clinical Outcomes of Interstitial Lung Abnormalities: A Systematic Review and Meta-Analysis. Sci. Rep. 2024, 14, 7330. [Google Scholar] [CrossRef]
- Sanders, J.L.; Axelsson, G.; Putman, R.; Menon, A.; Dupuis, J.; Xu, H.; Wang, S.; Murabito, J.; Vasan, R.; Araki, T.; et al. The Relationship between Interstitial Lung Abnormalities, Mortality, and Multimorbidity: A Cohort Study. Thorax 2023, 78, 559–565. [Google Scholar] [CrossRef]
- Lee, T.S.; Jin, K.N.; Lee, H.W.; Yoon, S.-Y.; Park, T.Y.; Heo, E.Y.; Kim, D.K.; Chung, H.S.; Lee, J.-K. Interstitial Lung Abnormalities and the Clinical Course in Patients with COPD. Chest 2021, 159, 128–137. [Google Scholar] [CrossRef]
- Liu, Y.; Tang, J.; Sun, Y. Impact of Interstitial Lung Abnormalities on Disease Expression and Outcomes in COPD or Emphysema: A Systematic Review. Int. J. Chronic Obstr. Pulm. Dis. 2023, 18, 189–206. [Google Scholar] [CrossRef] [PubMed]
- Liu, Y.; Jiang, Y.; Sun, Y. Interstitial Lung Abnormality in COPD Is Associated with Higher Prevalence of Antinuclear Antibody. Expert Rev. Respir. Med. 2023, 17, 735–742. [Google Scholar] [CrossRef] [PubMed]
- Zheng, J.; Guo, J.; Wang, G.; Zhang, L.; Yu, X.; Liu, D.; Lin, Y.; Zhang, R.; Ma, A.; Yu, X. Interstitial Lung Abnormality in COPD Is Inversely Associated with the Comorbidity of Lung Cancer. BMC Pulm. Med. 2024, 24, 506. [Google Scholar] [CrossRef]
- Axelsson, G.T.; Putman, R.K.; Aspelund, T.; Gudmundsson, E.F.; Hida, T.; Araki, T.; Nishino, M.; Hatabu, H.; Gudnason, V.; Hunninghake, G.M.; et al. The Associations of Interstitial Lung Abnormalities with Cancer Diagnoses and Mortality. Eur. Respir. J. 2020, 56, 1902154. [Google Scholar] [CrossRef]
- Whittaker Brown, S.-A.; Padilla, M.; Mhango, G.; Powell, C.; Salvatore, M.; Henschke, C.; Yankelevitz, D.; Sigel, K.; de-Torres, J.P.; Wisnivesky, J. Interstitial Lung Abnormalities and Lung Cancer Risk in the National Lung Screening Trial. Chest 2019, 156, 1195–1203. [Google Scholar] [CrossRef]
- Tang, X.-L.; Sun, Y.-B.; Guo, X.-T.; Yang, S.-Z.; Zhang, W.-P. Prognostic Impact of Interstitial Lung Abnormalities in Lung Cancer: A Systematic Review and Meta-Analysis. Front. Oncol. 2024, 14, 1397246. [Google Scholar] [CrossRef]
- Im, Y.; Chung, M.P.; Lee, K.S.; Han, J.; Chung, M.J.; Kim, H.K.; Cho, J.H.; Choi, Y.S.; Park, S.; Kim, H.J.; et al. Impact of Interstitial Lung Abnormalities on Postoperative Pulmonary Complications and Survival of Lung Cancer. Thorax 2023, 78, 183–190. [Google Scholar] [CrossRef]
- Hida, T.; Hata, A.; Lu, J.; Valtchinov, V.I.; Hino, T.; Nishino, M.; Honda, H.; Tomiyama, N.; Christiani, D.C.; Hatabu, H. Interstitial Lung Abnormalities in Patients with Stage I Non-Small Cell Lung Cancer Are Associated with Shorter Overall Survival: The Boston Lung Cancer Study. Cancer Imaging 2021, 21, 14. [Google Scholar] [CrossRef]
- Araki, T.; Dahlberg, S.E.; Hida, T.; Lydon, C.A.; Rabin, M.S.; Hatabu, H.; Johnson, B.E.; Nishino, M. Interstitial Lung Abnormality in Stage IV Non-Small Cell Lung Cancer: A Validation Study for the Association with Poor Clinical Outcome. Eur. J. Radiol. Open 2019, 6, 128–131. [Google Scholar] [CrossRef]
- Nakanishi, Y.; Masuda, T.; Yamaguchi, K.; Sakamoto, S.; Horimasu, Y.; Nakashima, T.; Miyamoto, S.; Tsutani, Y.; Iwamoto, H.; Fujitaka, K.; et al. Pre-Existing Interstitial Lung Abnormalities Are Risk Factors for Immune Checkpoint Inhibitor-Induced Interstitial Lung Disease in Non-Small Cell Lung Cancer. Respir. Investig. 2019, 57, 451–459. [Google Scholar] [CrossRef]
- Shimoji, K.; Masuda, T.; Yamaguchi, K.; Sakamoto, S.; Horimasu, Y.; Nakashima, T.; Miyamoto, S.; Iwamoto, H.; Fujitaka, K.; Hamada, H.; et al. Association of Preexisting Interstitial Lung Abnormalities with Immune Checkpoint Inhibitor-Induced Interstitial Lung Disease among Patients with Nonlung Cancers. JAMA Netw. Open 2020, 3, e2022906. [Google Scholar] [CrossRef] [PubMed]
- Hunninghake, G.M.; Goldin, J.G.; Kadoch, M.A.; Kropski, J.A.; Rosas, I.O.; Wells, A.U.; Yadav, R.; Lazarus, H.M.; Abtin, F.G.; Corte, T.J.; et al. Detection and Early Referral of Patients with Interstitial Lung Abnormalities: An Expert Survey Initiative. Chest 2022, 161, 470–482. [Google Scholar] [CrossRef] [PubMed]
- Exarchos, K.P.; Gkrepi, G.; Kostikas, K.; Gogali, A. Recent Advances of Artificial Intelligence Applications in Interstitial Lung Diseases. Diagnostics 2023, 13, 2303. [Google Scholar] [CrossRef]
- Bermejo-Peláez, D.; Ash, S.Y.; Washko, G.R.; San José Estépar, R.; Ledesma-Carbayo, M.J. Classification of Interstitial Lung Abnormality Patterns with an Ensemble of Deep Convolutional Neural Networks. Sci. Rep. 2020, 10, 338. [Google Scholar] [CrossRef]
- Iwasawa, T.; Okudela, K.; Takemura, T.; Fukuda, T.; Matsushita, S.; Baba, T.; Ogura, T.; Tajiri, M.; Yoshizawa, A. Computer-Aided Quantification of Pulmonary Fibrosis in Patients with Lung Cancer: Relationship to Disease-Free Survival. Radiology 2019, 292, 489–498. [Google Scholar] [CrossRef]
- Park, S.; Choe, J.; Hwang, H.J.; Noh, H.N.; Jung, Y.J.; Lee, J.-B.; Do, K.-H.; Chae, E.J.; Seo, J.B. Long-Term Follow-up of Interstitial Lung Abnormality: Implication in Follow-up Strategy and Risk Thresholds. Am. J. Respir. Crit. Care Med. 2023, 208, 858–867. [Google Scholar] [CrossRef]




| ILA involving at least 5% of a lung zone, NOT suspected ILD | NOT ILA | |
| Subpleural distribution Likely to progress | Non-subpleural distribution Unlikely to progress | |
| Ground-glass Reticular abnormalities Non-emphysematous cysts Honeycombing Traction bronchiectasis/bronchiolectasis | Dependent lung atelectasis Focal paraspinal fibrosis Mild focal or unilateral abnormality Interstitial oedema Pleuropulmonary fibroelastosis Findings of aspiration Smoking-related centrilobular nodularity | |
| ILA Subtype | Risk of Progression | Risk of Mortality | Risk of Lung Cancer |
|---|---|---|---|
| Fibrotic ILAs | |||
| Fibrotic ILAs | OR 5.55 [46] | HR 3.8 [47] | HR 3.95 (incidence) [54] HR 5.98 (mortality) [54] |
| Definite fibrosis | OR 8.4 [11] | ||
| Subpleural fibrotic ILAs | OR 3.9 [9] | ||
| Traction bronchiectasis: scores 1, 2, and 3 | 57%, 90%, and 100% patients progressed, respectively [44] | HR 2.18, 2.65, and 6.8, respectively [44] | |
| Probable UIP | OR 1.9 [11] | ||
| Definite UIP | OR 4.5 [11] | ||
| Nonfibrotic ILAs | |||
| Nonfibrotic ILAs | HR 2.26 (incidence) [54] HR 1.68 (mortality) [54] | ||
| Subpleural reticulation | OR 6.6 [11] | OR 1.6 [11] | |
| Subpleural reticulation | OR 1.9 [9] | ||
| Extensive reticulation | OR 4.4 [9] | ||
| No traction bronchiectasis | 10% patients progressed [44] |
Disclaimer/Publisher’s Note: The statements, opinions and data contained in all publications are solely those of the individual author(s) and contributor(s) and not of MDPI and/or the editor(s). MDPI and/or the editor(s) disclaim responsibility for any injury to people or property resulting from any ideas, methods, instructions or products referred to in the content. |
© 2025 by the authors. Licensee MDPI, Basel, Switzerland. This article is an open access article distributed under the terms and conditions of the Creative Commons Attribution (CC BY) license (https://creativecommons.org/licenses/by/4.0/).
Share and Cite
Gogali, A.; Kyriakopoulos, C.; Kostikas, K. Interstitial Lung Abnormalities: Unraveling the Journey from Incidental Discovery to Clinical Significance. Diagnostics 2025, 15, 509. https://doi.org/10.3390/diagnostics15040509
Gogali A, Kyriakopoulos C, Kostikas K. Interstitial Lung Abnormalities: Unraveling the Journey from Incidental Discovery to Clinical Significance. Diagnostics. 2025; 15(4):509. https://doi.org/10.3390/diagnostics15040509
Chicago/Turabian StyleGogali, Athena, Christos Kyriakopoulos, and Konstantinos Kostikas. 2025. "Interstitial Lung Abnormalities: Unraveling the Journey from Incidental Discovery to Clinical Significance" Diagnostics 15, no. 4: 509. https://doi.org/10.3390/diagnostics15040509
APA StyleGogali, A., Kyriakopoulos, C., & Kostikas, K. (2025). Interstitial Lung Abnormalities: Unraveling the Journey from Incidental Discovery to Clinical Significance. Diagnostics, 15(4), 509. https://doi.org/10.3390/diagnostics15040509

