Cardiac Morpho-Functional Changes, Inflammation and Fibrosis in Systemic Sclerosis—A Pilot Study of a Tertiary Center Cohort
Abstract
1. Introduction
2. Patients and Methods
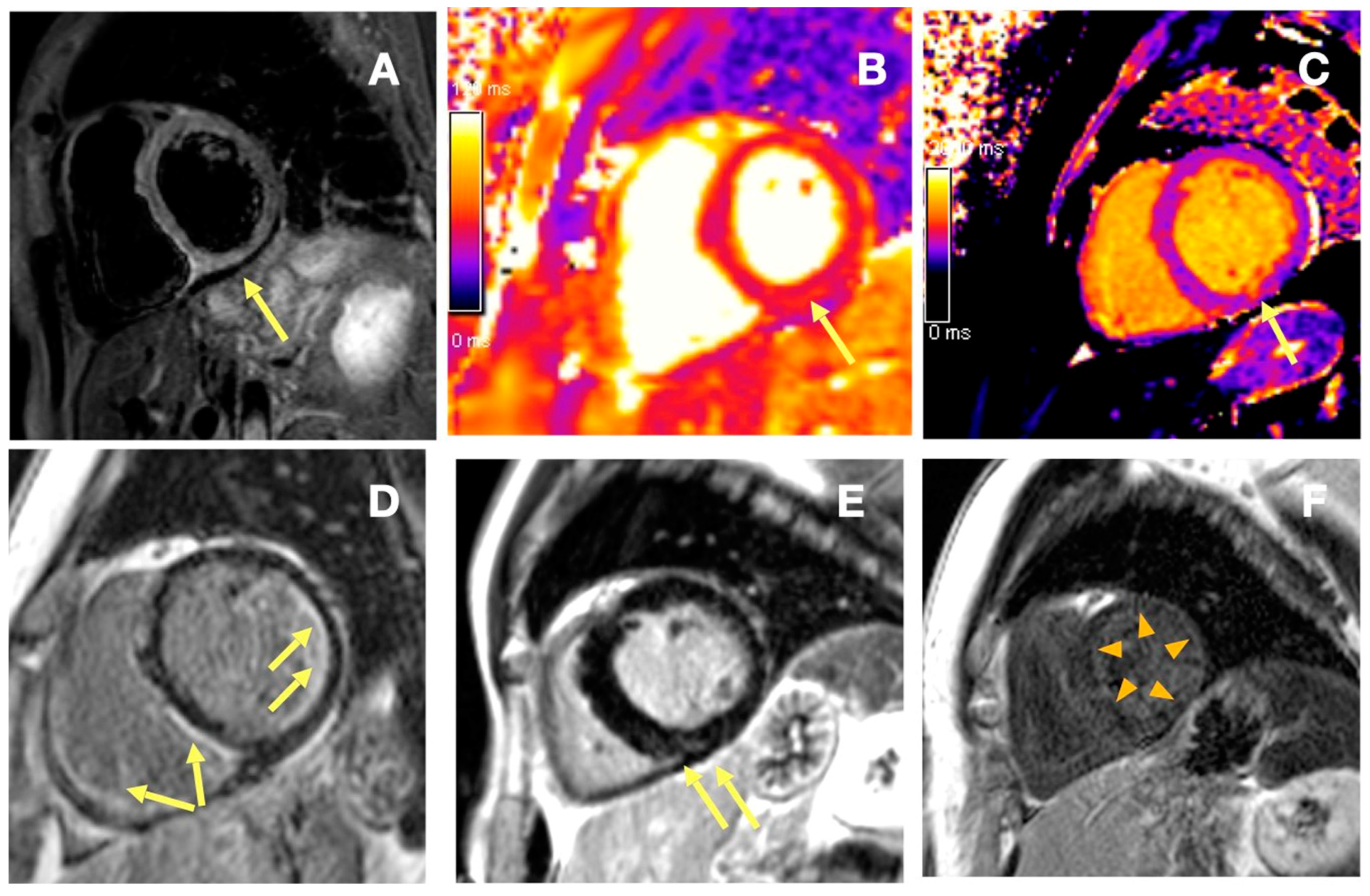
3. Results
4. Discussion
5. Conclusions
Author Contributions
Funding
Institutional Review Board Statement
Informed Consent Statement
Data Availability Statement
Conflicts of Interest
References
- Zanatta, E.; Colombo, C.; D’amico, G.; D’humières, T.; Lin, C.D.; Tona, F. Inflammation and Coronary Microvascular Dysfunction in Autoimmune Rheumatic Diseases. Int. J. Mol. Sci. 2019, 20, 5563. [Google Scholar] [CrossRef] [PubMed] [PubMed Central]
- Elhai, M.; Meune, C.; Boubaya, M.; Avouac, J.; Hachulla, E.; Balbir-Gurman, A.; Riemekasten, G.; Airò, P.; Joven, B.; Vettori, S.; et al. Mapping and predicting mortality from systemic sclerosis. Ann. Rheum. Dis. 2017, 76, 1897–1905. [Google Scholar] [CrossRef] [PubMed]
- Follansbee, W.P.; Marroquin, O.C. Cardiac involvement in systemic sclerosis. In Systemic Sclerosis; Clemens, P.J., Furst, D.E., Eds.; LWW: Philadelphia, PA, USA, 2004; pp. 195–220. [Google Scholar]
- De Luca, G.; Matucci-Cerinic, M.; Mavrogeni, S.I. Diagnosis and management of primary heart involvement in systemic sclerosis. Curr. Opin. Rheumatol. 2023, 36, 76–93. [Google Scholar] [CrossRef] [PubMed]
- Bruni, C.; Buch, M.H.; Furst, D.E.; De Luca, G.; Djokovic, A.; Dumitru, R.B.; Giollo, A.; Polovina, M.; Steelandt, A.; Bratis, K.; et al. Primary systemic sclerosis heart involvement: A systematic literature review and preliminary data-driven, consensus-based WSF/HFA definition. J. Scleroderma Relat. Disord. 2021, 7, 24–32. [Google Scholar] [CrossRef]
- Young, A.; Khanna, D. Systemic sclerosis: Commonly asked questions by rheumatologists. Am. J. Clin. Oncol. 2015, 21, 149–155. [Google Scholar] [CrossRef] [PubMed] [PubMed Central]
- Jaeger, V.K.; Tikly, M.; Xu, D.; Siegert, E.; Hachulla, E.; Airò, P.; Valentini, G.; Cerinic, M.M.; Distler, O.; Cozzi, F.; et al. Racial differences in systemic sclerosis disease presentation: A European Scleroderma Trials and Research group study. Rheumatology 2020, 59, 1684–1694. [Google Scholar] [CrossRef] [PubMed]
- Liem, S.I.; Boonstra, M.; le Cessie, S.; Riccardi, A.; Airo, P.; Distler, O.; Matucci-Cerinic, M.; Caimmi, C.; Siegert, E.; Allanore, Y.; et al. Sex-specific risk of anti-topoisomerase antibodies on mortality and disease severity in systemic sclerosis: 10-year analysis of the Leiden CCISS and EUSTAR cohorts. Lancet Rheumatol. 2022, 4, e699–e709. [Google Scholar] [CrossRef] [PubMed]
- Perera, A.; Fertig, N.; Lucas, M.; Rodriguez-Reyna, T.S.; Hu, P.; Steen, V.D.; Medsger, T.A., Jr. Clinical subsets, skin thickness progression rate, and serum antibody levels in systemic sclerosis patients with anti-topoisomerase I antibody. Arthritis Rheumatol. 2007, 56, 2740–2746. [Google Scholar] [CrossRef] [PubMed]
- Wang, F.; Li, C.; Li, X.; Li, S.; Jia, Y. Autoantibodies in systemic sclerosis overlap syndrome and their correlation with organ damage and survival. Ann. Med. 2024, 56, 2407526. [Google Scholar] [CrossRef]
- Caforio, A.L.P.; De Luca, G.; Baritussio, A.; Seguso, M.; Gallo, N.; Bison, E.; Cattini, M.G.; Pontara, E.; Gargani, L.; Pepe, A.; et al. Serum organ-specific anti-heart and anti-intercalated disk autoantibodies as new autoimmune markers of cardiac involvement in systemic sclerosis: Frequency, clinical and prognostic correlates. Diagnostics 2021, 11, 2165. [Google Scholar] [CrossRef] [PubMed]
- Meune, C.; Vignaux, O.; Kahan, A.; Allanore, Y. Heart involvement in systemic sclerosis: Evolving concept and diagnostic methodologies. Arch. Cardiovasc. Dis. 2010, 103, 46–52. [Google Scholar] [CrossRef]
- Ross, L.; Prior, D.; Proudman, S.; Vacca, A.; Baron, M.; Nikpour, M. Defining primary systemic sclerosis heart involvement: A scoping literature review. Semin. Arthritis Rheum. 2019, 48, 874–887. [Google Scholar] [CrossRef]
- D’Angelo, W.A.; Fries, J.F.; Masi, A.T.; Shulman, L.E. Pathologic observations in systemic sclerosis (scleroderma). A study of fifty-eight autopsy cases and fifty-eight matched controls. Am. J. Med. 1969, 46, 428–440. [Google Scholar] [CrossRef] [PubMed]
- Smolenska, Z.; Barraclough, R.; Dorniak, K.; Szarmach, A.; Zdrojewski, Z. Cardiac Involvement in Systemic Sclerosis. Cardiol. Rev. 2019, 27, 73–79. [Google Scholar] [CrossRef]
- Caforio, A.L.; Adler, Y.; Agostini, C.; Allanore, Y.; Anastasakis, A.; Arad, M.; Böhm, M.; Charron, P.; Elliott, P.M.; Eriksson, U.; et al. Diagnosis and management of myocardial involvement in systemic immune-mediated diseases: A position statement of the European Society of Cardiology Working Group on Myocardial and Pericardial Disease. Eur. Heart J. 2017, 38, 2649–2662. [Google Scholar] [CrossRef] [PubMed]
- Mavrogeni, S.; Pepe, A.; Nijveldt, R.; Ntusi, N.; Sierra-Galan, L.M.; Bratis, K.; Wei, J.; Mukherjee, M.; Markousis-Mavrogenis, G.; Gargani, L.; et al. Cardiovascular magnetic resonance in autoimmune rheumatic diseases: A clinical consensus document by the European Association of Cardiovascular Imaging. Eur. Heart J. Cardiovasc. Imaging 2022, 23, e308–e322. [Google Scholar] [CrossRef] [PubMed]
- De Luca, G.; Bombace, S.; Monti, L. Heart involvement in systemic sclerosis: The role of magnetic resonance imaging. Clin. Rev. Allergy Immunol. 2022, 64, 343–357. [Google Scholar] [CrossRef]
- Van den Hoogen, F.; Khanna, D.; Fransen, J.; Johnson, S.R.; Baron, M.; Tyndall, A.; Matucci-Cerinic, M.; Naden, R.P.; Medsger, T.A., Jr.; Carreira, P.E.; et al. 2013 classification criteria for systemic sclerosis: An American college of rheumatology/European league against rheumatism collaborative initiative. Ann. Rheum. Dis. 2013, 72, 1747–1755. [Google Scholar] [CrossRef] [PubMed]
- Valentini, G.; Iudici, M.; Walker, U.A.; Jaeger, V.K.; Baron, M.; Carreira, P.; Czirják, L.; Denton, C.P.; Distler, O.; Hachulla, E.; et al. The European Scleroderma Trials and Research group (EUSTAR) task force for the development of revised activity criteria for systemic sclerosis: Derivation and validation of a preliminarily revised EUSTAR activity index. Ann. Rheum. Dis. 2017, 76, 270–276. [Google Scholar] [CrossRef] [PubMed]
- Gargani, L.; Todiere, G.; Guiducci, S.; Bruni, C.; Pingitore, A.; De Marchi, D.; Bellando Randone, S.; Aquaro, G.D.; Bazzichi, L.; Mosca, M.; et al. Early detection of cardiac involvement in systemic sclerosis: The added value of magnetic resonance imaging. JACC Cardiovasc. Imaging 2019, 12, 927–928. [Google Scholar] [CrossRef] [PubMed]
- Guerra, F.; Stronati, G.; Fischietti, C.; Ferrarini, A.; Zuliani, L.; Pomponio, G.; Capucci, A.; Danieli, M.G.; Gabrielli, A. Global longitudinal strain measured by speckle tracking identifies subclinical heart involvement in patients with systemic sclerosis. Eur. J. Prev. Cardiol. 2018, 25, 1598–1606. [Google Scholar] [CrossRef] [PubMed]
- Ferri, C.; Valentini, G.; Cozzi, F.; Sebastiani, M.; Michelassi, C.; LA Montagna, G.; Bullo, A.; Cazzato, M.; Tirri, E.; Storino, F.; et al. Systemic sclerosis: Demographic, clinical, and serologic features and survival in 1,012 Italian patients. Medicine 2002, 81, 139–153. [Google Scholar] [CrossRef]
- Ostojic, P.; Damjanov, N. Different clinical features in patients with limited and diffuse cutaneous systemic sclerosis. Clin. Rheumatol. 2006, 25, 453–457. [Google Scholar] [CrossRef]
- Bournia, V.K.; Tountas, C.; Protogerou, A.D.; Panopoulos, S.; Mavrogeni, S.; Sfikakis, P.P. Update on assessment and management of primary cardiac involvement in systemic sclerosis. J. Scleroderma Relat. Disord. 2018, 3, 53–65. [Google Scholar] [CrossRef] [PubMed]
- Ioannidis, J.P.; Vlachoyiannopoulos, P.G.; Haidich, A.B.; Medsger, T.A., Jr.; Lucas, M.; Michet, C.J.; Kuwana, M.; Yasuoka, H.; Van Den Hoogen, F.; Te Boome, L.; et al. Mortality in systemic sclerosis: An international meta-analysis of individual patient data. Am. J. Med. 2005, 118, 2–10. [Google Scholar] [CrossRef] [PubMed]
- Meune, C.; Allanore, Y.; Devaux, J.-Y.; Dessault, O.; Duboc, D.; Weber, S.; Kahan, A. High prevalence of right ventricular systolic dysfunction in early systemic sclerosis. J. Rheumatol. 2004, 31, 1941–1945. [Google Scholar]
- Költő, G.; Faludi, R.; Aradi, D.; Bartos, B.; Kumánovics, G.; Minier, T.; Czirják, L.; Komócsi, A. Impact of cardiac involvement on the risk of mortality among patients with systemic sclerosis: A 5-year follow-up of a single-center cohort. Clin. Rheumatol. 2014, 33, 197–205. [Google Scholar] [CrossRef]
- Tyndall, A.J.; Bannert, B.; Vonk, M.; Airò, P.; Cozzi, F.; Carreira, P.E.; Bancel, D.F.; Allanore, Y.; Müller-Ladner, U.; Distler, O.; et al. Causes and risk factors for death in systemic sclerosis: A study from the EULAR Scleroderma Trials and Research (EUSTAR) database. Ann. Rheum. Dis. 2010, 69, 1809–1815. [Google Scholar] [CrossRef] [PubMed]

| Study Group Characteristics at Inclusion | |||
|---|---|---|---|
| Patients (n = 20) | LSSC (n = 7) | DSSC (n = 13) | |
| Age [years] | 49.9 ± 14.73 | 43.57 ± 21.84 | 54.85 ± 12.12 |
| Sex (F) [n] | 14 | 5 | 9 |
| Symptoms at inclusion [y] | 5.80 ± 5.75 | 4.57 ± 1.72 | 6.46 ± 6.67 |
| Years from Raynaud’s onset to diagnosis [y] | 1.85 ± 4.19 | 3.0 ± 4.92 | 1.23 ± 2.45 |
| Disease activity index at inclusion (EUSTAR > 2.5 points) | 9 | 2 | 7 |
| ILD | 16 | 5 | 11 |
| Pulmonary hypertension | 2 | 0 | 2 |
| Heart failure | 4 | 0 | 4 |
| Chest Pain | 3 | 0 | 3 |
| Dyspnea | 9 | 3 | 6 |
| Arrhtyhmia | 8 | 2 | 6 |
| Musculoskeletal symptoms | 15 | 4 | 11 |
| CKD (eGFR < 60 mL/min/1.73 m2) | 2 | 0 | 2 |
| Gastrointestinal symptoms | 16 | 5 | 11 |
| Overlap syndrome * | 4 | 3 | 1 |
| Follow-Up Data | |||
| Death | 3 | 0 | 3 |
| DIsease progression/Treatment escalation | 5 | 2 | 3 |
| Treatment unchanged | 10 | 3 | 7 |
| Lost to follow-up | 2 | 1 | 1 |
| Patients n = 20 | Controls n = 37 | p-Value | |
|---|---|---|---|
| Age [years] | 49.9 ± 13.7 | 44.4 ± 15.4 | 0.215 |
| Sex (F) | 13 | 20 | 0.310 |
| LVEF | 56.6 ± 7.40 | 61.6 ± 4.99 | 0.002 |
| LVEDVI | 85.8 ± 13.9 | 81.1 ± 12.6 | 0.101 |
| LVESVI | 38.9 ± 10.6 | 31.6 ± 7.07 | 0.002 |
| LVMI | 62.6 ± 12.4 | 61.7 ± 9.83 n = 17 | 0.409 |
| RVEF | 53.0 ± 8.55 | 53.7 ± 7.07 | 0.367 |
| RVEDVI | 85.5 ± 17.00 | 84.2 ± 13.8 | 0.376 |
| RVESVI | 40.4 ± 12.9 | 40.1 ± 11.7 | 0.457 |
| T1 relaxation time | 1029.31 ± 44.11 n = 16 | 993 ± 21 ms | 0.0002 |
| T2 relaxation time | 48.13 ± 2.90 n = 16 | 44 ± 2.4 ms | 0.0001 |
| ECV | 27.93 ± 2.60 n = 15 | 26 ± 3% | 0.0341 |
Disclaimer/Publisher’s Note: The statements, opinions and data contained in all publications are solely those of the individual author(s) and contributor(s) and not of MDPI and/or the editor(s). MDPI and/or the editor(s) disclaim responsibility for any injury to people or property resulting from any ideas, methods, instructions or products referred to in the content. |
© 2025 by the authors. Licensee MDPI, Basel, Switzerland. This article is an open access article distributed under the terms and conditions of the Creative Commons Attribution (CC BY) license (https://creativecommons.org/licenses/by/4.0/).
Share and Cite
Dorniak, K.; Gogulska, Z.; Viti, A.; Glińska, A.; Kulawiak-Gałąska, D.; Fijałkowska, J.; Wojteczek, A.; Wojtowicz, D.; Sienkiewicz, K.; Hellmann, M.; et al. Cardiac Morpho-Functional Changes, Inflammation and Fibrosis in Systemic Sclerosis—A Pilot Study of a Tertiary Center Cohort. Diagnostics 2025, 15, 393. https://doi.org/10.3390/diagnostics15030393
Dorniak K, Gogulska Z, Viti A, Glińska A, Kulawiak-Gałąska D, Fijałkowska J, Wojteczek A, Wojtowicz D, Sienkiewicz K, Hellmann M, et al. Cardiac Morpho-Functional Changes, Inflammation and Fibrosis in Systemic Sclerosis—A Pilot Study of a Tertiary Center Cohort. Diagnostics. 2025; 15(3):393. https://doi.org/10.3390/diagnostics15030393
Chicago/Turabian StyleDorniak, Karolina, Zuzanna Gogulska, Alessandro Viti, Anna Glińska, Dorota Kulawiak-Gałąska, Jadwiga Fijałkowska, Anna Wojteczek, Dagmara Wojtowicz, Katarzyna Sienkiewicz, Marcin Hellmann, and et al. 2025. "Cardiac Morpho-Functional Changes, Inflammation and Fibrosis in Systemic Sclerosis—A Pilot Study of a Tertiary Center Cohort" Diagnostics 15, no. 3: 393. https://doi.org/10.3390/diagnostics15030393
APA StyleDorniak, K., Gogulska, Z., Viti, A., Glińska, A., Kulawiak-Gałąska, D., Fijałkowska, J., Wojteczek, A., Wojtowicz, D., Sienkiewicz, K., Hellmann, M., & Smoleńska, Ż. (2025). Cardiac Morpho-Functional Changes, Inflammation and Fibrosis in Systemic Sclerosis—A Pilot Study of a Tertiary Center Cohort. Diagnostics, 15(3), 393. https://doi.org/10.3390/diagnostics15030393

