Incidence, Potential Mechanisms, and Clinical Significance of Cavernous Sinus Air Sign
Abstract
1. Introduction
2. Materials and Methods
2.1. Patient Selection
2.2. Imaging Protocol
2.3. Image Interpretation
2.4. Statistical Analysis
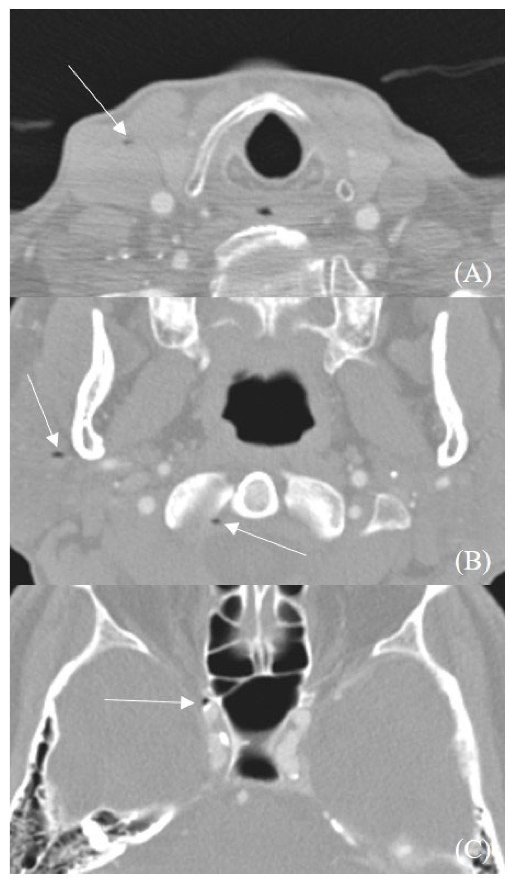
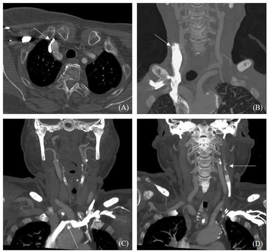
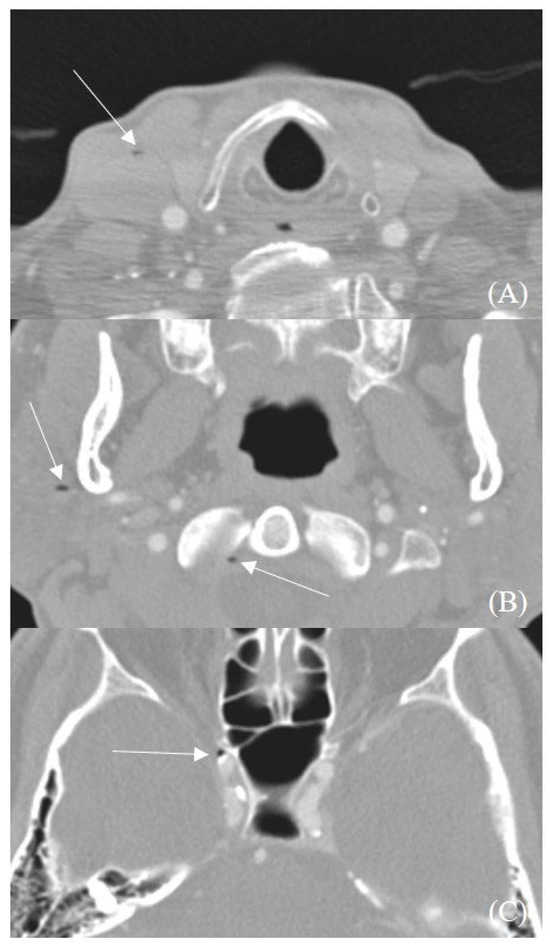
3. Results
4. Discussion
Author Contributions
Funding
Institutional Review Board Statement
Informed Consent Statement
Data Availability Statement
Conflicts of Interest
References
- Pavlovich, P.; Looi, A.; Rootman, J. Septic thrombosis of the cavernous sinus: Two different mechanisms. Orbit 2006, 25, 39–43. [Google Scholar] [CrossRef] [PubMed]
- Canavan, L.; Osborn, R. Dural sinus air without head trauma or surgery: CT demonstration. J. Comput. Assist. Tomogr. 1991, 15, 526–527. [Google Scholar] [PubMed]
- Delgado Almandoz, J.E.; Kelly, H.R.; Schaefer, P.W.; Lev, M.H.; Gonzalez, R.G.; Romero, J.M. Prevalence of traumatic dural venous sinus thrombosis in high-risk acute blunt head trauma patients evaluated with multidetector CT venography. Radiology 2010, 255, 570–577. [Google Scholar] [CrossRef] [PubMed]
- Rivkin, M.A.; Saraiya, P.V.; Woodrow, S.I. Sinovenous thrombosis associated with skull fracture in the setting of blunt head trauma. Acta Neurochir. 2014, 156, 999–1007. [Google Scholar] [CrossRef]
- So, T.Y.; Dixon, A.; Kavnoudias, H.; Paul, E.; Maclaurin, W. Traumatic dural venous sinus gas predicts a higher likelihood of dural venous sinus thrombosis following blunt head trauma. J. Med. Imaging Radiat. Oncol. 2019, 63, 311–317. [Google Scholar] [CrossRef]
- Wang, W.-H.; Lin, J.-M.; Luo, F.; Hu, L.-S.; Li, J.; Huang, W. Early Diagnosis and Management of Cerebral Venous Flow Obstruction Secondary to Transsinus Fracture after Traumatic Brain Injury. J. Clin. Neurol. 2013, 9, 259. [Google Scholar] [CrossRef]
- Al-Hathlol, K.; Al-Mane, K.; Al-Hathal, M.; Al-Tawil, K.; Abulaimoun, B. Air Emboli in the Intracranial Venous Sinuses of Neonates. Am. J. Perinatol. 2002, 19, 055–058. [Google Scholar] [CrossRef]
- Adams, M.; Quint, D.; Eldevik, O. Iatrogenic air in the cavernous sinus. AJR Am. J. Roentgenol. 1992, 159, 189–190. [Google Scholar] [CrossRef][Green Version]
- Alif, M.; Jalal, M.J.; Vijayakumar, N.; Chacko, J.; Kuruttukulam, G. Gas in the venous sinus: An incidental finding. Neurol. India 2017, 65, 878–880. [Google Scholar]
- Rubinstein, D.; Symonds, D. Gas in the cavernous sinus. Am. J. Neuroradiol. 1994, 15, 561–566. [Google Scholar]
- Matsuo, S.; Matsumoto, K. Free air in the cavernous sinus secondary to acute isolated sphenoid sinusitis. NMC Case Rep. J. 2016, 3, 49–51. [Google Scholar] [CrossRef] [PubMed]
- Bae, K.T. Intravenous contrast medium administration and scan timing at CT: Considerations and approaches. Radiology 2010, 256, 32–61. [Google Scholar] [CrossRef] [PubMed]
- Brook, J.; Moss, E. Air in the cavernous sinus following scalp vein cannulation. Anaesthesia 1994, 49, 219–220. [Google Scholar] [CrossRef] [PubMed]
- Petridis, A.K.; Maslehaty, H.; Doukas, A.; Mahvash, M.; Mehdorn, H.M. How did air get into the brain? A case of intracranial air in a patient without skull fracture. Acta Neurochir. 2011, 153, 1825–1826. [Google Scholar] [CrossRef]
- McCarthy, C.J.; Behravesh, S.; Naidu, S.G.; Oklu, R. Air embolism: Practical tips for prevention and treatment. J. Clin. Med. 2016, 5, 93. [Google Scholar] [CrossRef]
- Brull, S.J.; Prielipp, R.C. Vascular air embolism: A silent hazard to patient safety. J. Crit. Care 2017, 42, 255–263. [Google Scholar] [CrossRef]
- Wu, I.-H.; Sheng, W.-Y.; Hu, H.-H.; Chung, C.-P. Jugular venous reflux could influence cerebral blood flow: A transcranial Doppler study. Acta Neurol Taiwan 2011, 20, 15–21. [Google Scholar]
- Roh, J.; Baik, S.K.; Yeom, J.A.; Kim, Y.S.; Jeong, H.S.; Yoon, C.H.; Han, J. Physiologic Flow Related Signal Intensity in Dural Sinuses on Time of Flight Magnetic Resonance Angiography: Changes Caused by Head Elevation. J. Korean Soc. Radiol. 2017, 77, 396. [Google Scholar] [CrossRef]
- Paksoy, Y.; Genç, B.O.; Genç, E. Retrograde flow in the left inferior petrosal sinus and blood steal of the cavernous sinus associated with central vein stenosis: MR angiographic findings. Am. J. Neuroradiol. 2003, 24, 1364–1368. [Google Scholar]
- Hingwala, D.; Thomas, B.; Kesavadas, C.; Kapilamoorthy, T. Suboptimal contrast opacification of dynamic head and neck MR angiography due to venous stasis and reflux: Technical considerations for optimization. Am. J. Neuroradiol. 2011, 32, 310–314. [Google Scholar] [CrossRef]
- Rodrigues, J.C.L.; Strelko, G.; Warnert, E.A.H.; Burchell, A.E.; Neumann, S.; Ratcliffe, L.E.K.; Harris, A.D.; Chant, B.; Bowles, R.; Nightingale, A.K.; et al. Retrograde blood flow in the internal jugular veins of humans with hypertension may have implications for cerebral arterial blood flow. Eur. Radiol. 2020, 30, 3890–3899. [Google Scholar] [CrossRef] [PubMed]
- Jang, J.; Kim, B.-S.; Kim, B.-Y.; Choi, H.S.; Jung, S.-L.; Ahn, K.-J.; Byun, J.Y. Reflux venous flow in dural sinus and internal jugular vein on 3D time-of-flight MR angiography. Neuroradiology 2013, 55, 1205–1211. [Google Scholar] [CrossRef] [PubMed]
- Price, D.B.; Nardi, P.; Teitcher, J. Venous air embolization as a complication of pressure injection of contrast media: CT findings. J. Comput. Assist. Tomogr. 1987, 11, 294–295. [Google Scholar] [CrossRef] [PubMed]
- Shin, D.J.; Lee, E.J.; Bae, J.M. Venous Reflux on Contrast-Enhanced Head and Neck Magnetic Resonance Angiography: Analysis of Causative Factors. J. Korean Soc. Radiol. 2016, 75, 471. [Google Scholar] [CrossRef]
- Uchino, A.; Nomiyama, K.; Takase, Y.; Nakazono, T.; Tominaga, Y.; Imaizumi, T.; Kudo, S. Retrograde flow in the dural sinuses detected by three-dimensional time-of-flight MR angiography. Neuroradiology 2007, 49, 211–215. [Google Scholar] [CrossRef]
- Inano, S.; Itoh, D.; Takao, H.; Hayashi, N.; Mori, H.; Kunimatsu, A.; Abe, O.; Aoki, S.; Ohtomo, K. High signal intensity in the dural sinuses on 3D-TOF MR angiography at 3.0 T. Clin. Imaging 2010, 34, 332–336. [Google Scholar] [CrossRef]
- Bayaroğulları, H.; Burakgazi, G.; Duman, T. Evaluation of dural venous sinuses and confluence of sinuses via MRI venography: Anatomy, anatomic variations, and the classification of variations. Child’s Nerv. Syst. 2018, 34, 1183–1188. [Google Scholar] [CrossRef]
- Matsushima, T.; Rhoton, A.L.; de Oliveira, E.; Peace, D. Microsurgical anatomy of the veins of the posterior fossa. J. Neurosurg. 1983, 59, 63–105. [Google Scholar] [CrossRef]
- Tran, P.; Reed, E.J.; Hahn, F.; Lambrecht, J.E.; McClay, J.C.; Omojola, M.F. Incidence, radiographical features, and proposed mechanism for pneumocephalus from intravenous injection of air. West. J. Emerg. Med. 2010, 11, 180. [Google Scholar]
- Tanaka, T.; Uemura, K.; Takahashi, M.; Takehara, S.; Fukaya, T.; Tokuyama, T.; Satoh, A.; Ryu, H. Compression of the left brachiocephalic vein: Cause of high signal intensity of the left sigmoid sinus and internal jugular vein on MR images. Radiology 1993, 188, 355–361. [Google Scholar] [CrossRef]
- Mirski, M.A.; Lele, A.V.; Fitzsimmons, L.; Toung, T.J.; Warltier, D.C. Diagnosis and treatment of vascular air embolism. J. Am. Soc. Anesthesiol. 2007, 106, 164–177. [Google Scholar] [CrossRef]



| Indication | Number |
|---|---|
| Stroke evaluation | 686 (24.3%) |
| Trauma evaluation | 57 (2.0%) |
| Unruptured intracranial aneurysm | 340 (12.1%) |
| Postoperative follow up | 171 (6.1%) |
| Neurologic symptom (dizziness, headache, syncope, seizure, etc.) | 738 (26.1%) |
| Atherosclerotic vascular disease | 490 (17.4%) |
| Cerebral venous thrombosis | 4 (0.1%) |
| Moyamoya disease | 9 (0.3%) |
| SAH | 68 (2.4%) |
| Trauma | 34 (1.2%) |
| Nontraumatic ICH, IVH, SDH | 140 (5.0%) |
| Severe inflammatory condition | 5 (0.2%) |
| Preoperative evaluation | 79 (2.8%) |
| Number | p-Value | ||
|---|---|---|---|
| Cavernous Sinus Air Sign | Positive (n = 35) | Negative (n = 2786) | |
| Clinical indication | |||
| Stroke evaluation | 11 (31.4%) | 686 (24.6%) | 0.861 |
| Unruptured intracranial aneurysm | 8 (22.9%) | 340 (12.2%) | 0.057 |
| Neurologic symptom | 12 (34.3%) | 738 (26.5%) | 0.300 |
| Postoperative follow-up | 4 (11.4%) | 171 (6.1%) | 0.197 |
| Age | 64.8 ± 18.4 | 64.0 ± 14.8 | 0.783 |
| Female | 13 (37.1%) | 1503 (53.9%) | 0.060 |
| Hypertension | 15 (42.9%) | 1098 (39.4%) | 0.679 |
| Peripheral intravenous line | 0.001 | ||
| Right | 32 (91.4%) | 2744 (98.5%) | |
| Left | 3 (8.6%) | 42 (1.5%) | |
| Air in other than the cavernous sinus | 0.001 | ||
| Absent | 32 (91.4%) | 2776 (99.7%) | |
| Present | 3 (8.6%) | 10 (0.3%) | |
| Venous reflux | 0.001 | ||
| Absent | 23 (65.7%) | 2393 (85.9%) | |
| Present | 12 (34.3%) | 393 (14.1%) | |
| Brachiocephalic vein stenosis | 2 (5.7%) | 52 (1.9%) | 0.099 |
Disclaimer/Publisher’s Note: The statements, opinions and data contained in all publications are solely those of the individual author(s) and contributor(s) and not of MDPI and/or the editor(s). MDPI and/or the editor(s) disclaim responsibility for any injury to people or property resulting from any ideas, methods, instructions or products referred to in the content. |
© 2025 by the authors. Licensee MDPI, Basel, Switzerland. This article is an open access article distributed under the terms and conditions of the Creative Commons Attribution (CC BY) license (https://creativecommons.org/licenses/by/4.0/).
Share and Cite
Kim, B.K.; You, S.-H.; Kim, B. Incidence, Potential Mechanisms, and Clinical Significance of Cavernous Sinus Air Sign. Diagnostics 2025, 15, 344. https://doi.org/10.3390/diagnostics15030344
Kim BK, You S-H, Kim B. Incidence, Potential Mechanisms, and Clinical Significance of Cavernous Sinus Air Sign. Diagnostics. 2025; 15(3):344. https://doi.org/10.3390/diagnostics15030344
Chicago/Turabian StyleKim, Bo Kyu, Sung-Hye You, and Byungjun Kim. 2025. "Incidence, Potential Mechanisms, and Clinical Significance of Cavernous Sinus Air Sign" Diagnostics 15, no. 3: 344. https://doi.org/10.3390/diagnostics15030344
APA StyleKim, B. K., You, S.-H., & Kim, B. (2025). Incidence, Potential Mechanisms, and Clinical Significance of Cavernous Sinus Air Sign. Diagnostics, 15(3), 344. https://doi.org/10.3390/diagnostics15030344

