The Importance of MRI in the Early Diagnosis of Acute Invasive Fungal Rhinosinusitis
Abstract
1. Introduction
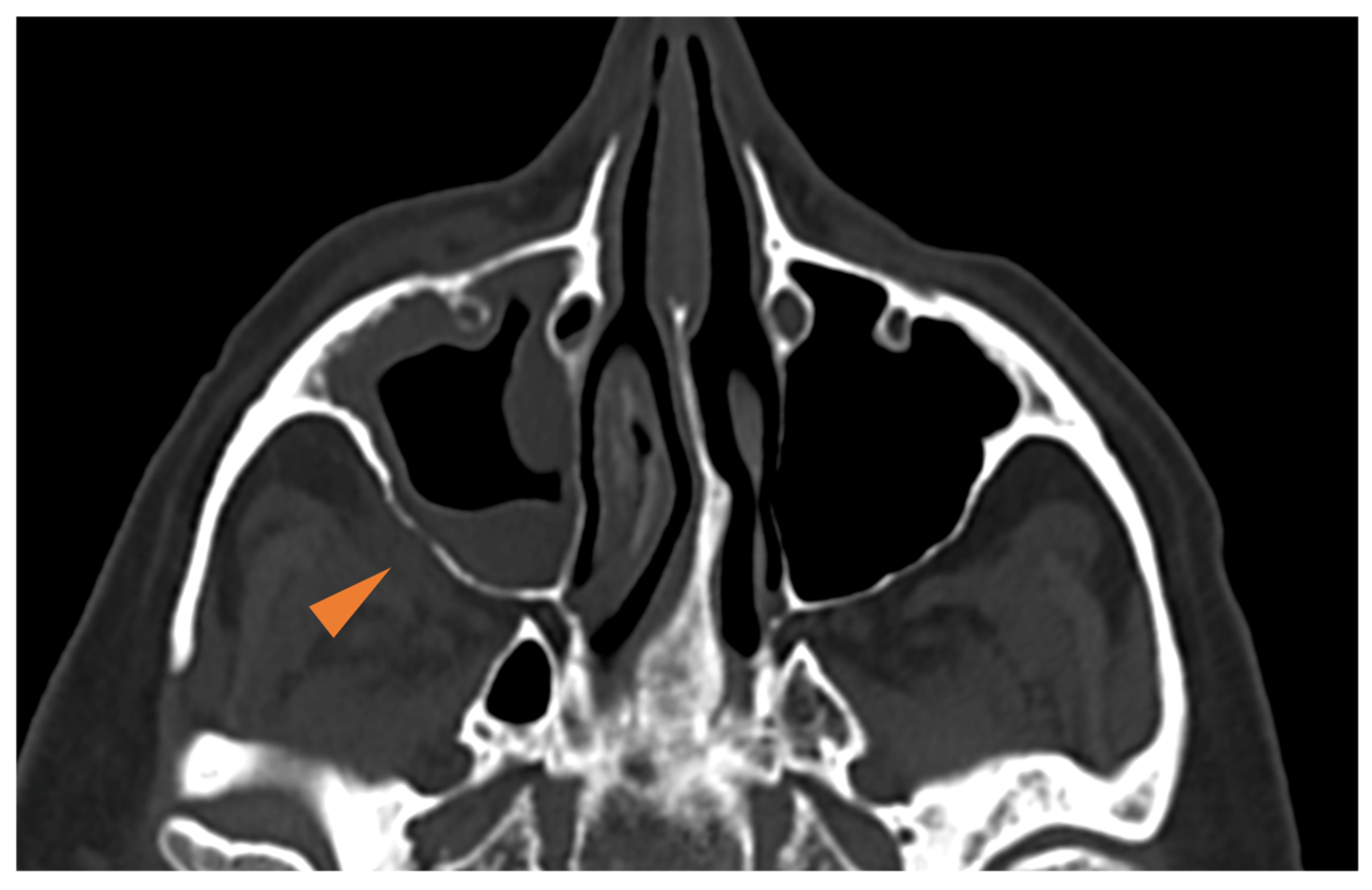
2. Diagnostic Challenges and Pitfalls
Several Pitfalls May Slow Down the Diagnosis at Each Step of the Process
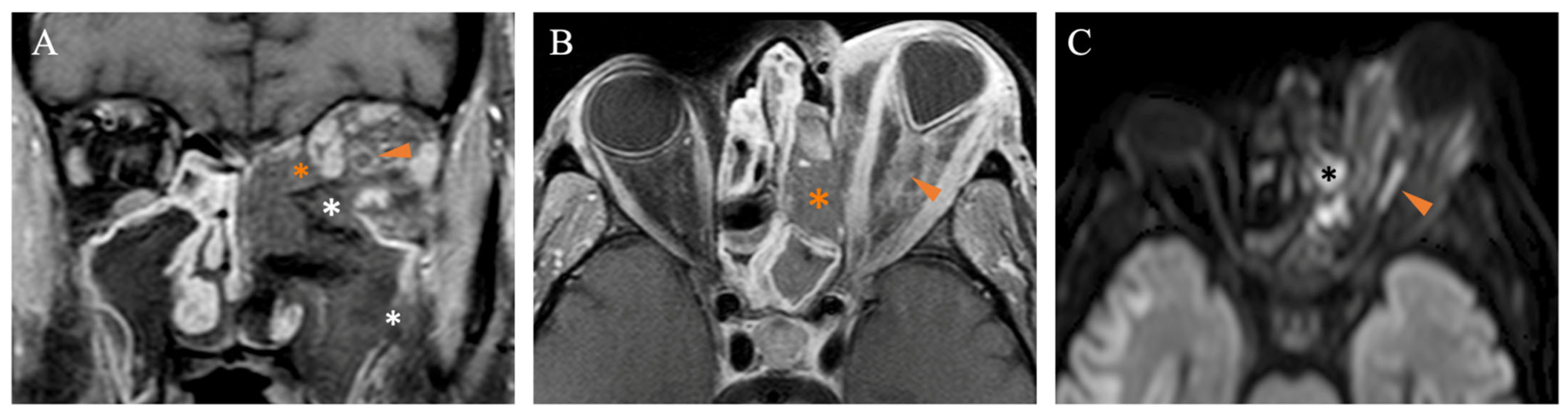
3. The Crucial Role of MRI
4. Future Directions
5. Conclusions
Author Contributions
Funding
Institutional Review Board Statement
Informed Consent Statement
Data Availability Statement
Acknowledgments
Conflicts of Interest
References
- Fokkens, W.J.; Lund, V.J.; Hopkins, C.; Hellings, P.W.; Kern, R.; Reitsma, S.; Toppila-Salmi, S.; Bernal-Sprekelsen, M.; Mullol, J.; Alobid, I.; et al. European Position Paper on Rhinosinusitis and Nasal Polyps 2020. Rhinology 2020, 58, 1–464. [Google Scholar] [CrossRef]
- Dacey, S.; Velu, P.S.; Wilson, N.; Levi, J.R.; Paz-Lansberg, M. Invasive fungal sinusitis: A comparison of pediatric versus adult cases. Am. J. Otolaryngol. 2024, 45, 104143. [Google Scholar] [CrossRef]
- John, D.S.; Shyam, K.; Andrew, D.; Cicilet, S.; Deepalam, S.R. Utilizing CT soft-tissue markers as a screening tool for acute invasive fungal sinusitis. Br. J. Radiol. 2022, 95, 20210749. [Google Scholar] [CrossRef]
- Mylonakis, E.; Rich, J.; Skolnik, P.R.; De Orchis, D.F.; Flanigan, T. Invasive Aspergillus sinusitis in patients with human immunodeficiency virus infection. Report of 2 cases and review. Medicine 1997, 76, 249–255. [Google Scholar] [CrossRef]
- Al-Rasheedi, A.; Alotaibi, A.; Alshalan, A.; Alshalan, K.M.; Muharib, R.A.K.; Hamdan, R.A.A.; Alruwaili, A.T.; Alanazi, A.A.; Alshalan, M.K.; Fahid, A.A. Epidemiological Characteristics, Pathogenesis and Clinical Implications of Sinusitis in the Era of COVID-19: A Narrative Review. J. Asthma Allergy. 2023, 16, 201–211. [Google Scholar] [CrossRef]
- Reddy, L.S. Post COVID-19 Mucormycosis-The Horizon. Indian. J. Otolaryngol. Head. Neck Surg. 2022, 75, 1–6. [Google Scholar] [CrossRef]
- Cherian, L.M.; Varghese, L.; Rupa, V.; Bright, R.R.; Abraham, L.; Panicker, R.; Peter, J.; Nayak, A.; Shyam, A.; Varghese, G.M.; et al. Rhino-orbito-cerebral mucormycosis: Patient characteristics in pre-COVID-19 and COVID-19 period. Rhinology 2022, 60, 427–434. [Google Scholar] [CrossRef]
- Kontoyiannis, D.P.; Lewis, R.E. How I treat mucormycosis. Blood 2011, 118, 1216–1224. [Google Scholar] [CrossRef]
- Vaughan, C.; Bartolo, A.; Vallabh, N.; Leong, S.C. A meta-analysis of survival factors in rhino-orbital-cerebral mucormycosis-has anything changed in the past 20 years? Clin. Otolaryngol. 2018, 43, 1454–1464. [Google Scholar] [CrossRef]
- Turner, J.H.; Soudry, E.; Nayak, J.V.; Hwang, P.H. Survival outcomes in acute invasive fungal sinusitis: A systematic review and quantitative synthesis of published evidence. Laryngoscope 2013, 123, 1112–1118. [Google Scholar] [CrossRef]
- Slonimsky, G.; Slonimsky, E.; Yakirevitch, A.; Sagiv, D.; Duvdevani, S.; Talmi, Y.P.; Wolf, M.; Alon, E.E. The significance of Computed Tomography in invasive paranasal mucormycosis. Rhinology 2018, 56, 54–58. [Google Scholar] [CrossRef]
- Aribandi, M.; McCoy, V.A.; Bazan, C., 3rd. Imaging features of invasive and noninvasive fungal sinusitis: A review. Radiographics 2007, 27, 1283–1296. [Google Scholar] [CrossRef]
- Cho, H.J.; Hong, S.D.; Kim, H.Y.; Chung, S.K.; Dhong, H.J. Clinical implications of serum galactomannan measurement in patients with acute invasive fungal rhinosinusitis. Rhinology 2016, 54, 336–341. [Google Scholar] [CrossRef]
- Humphreys, I.M.; Wandell, G.M.; Miller, C.; Rathor, A.; Schmidt, R.A.; Turner, J.H.; Hwang, P.H.; Davis, G.E. A multi-institutional review of outcomes in biopsy-proven chronic invasive fungal sinusitis. Int. Forum Allergy Rhinol. 2020, 10, 738–747. [Google Scholar] [CrossRef]
- Erami, M.; Aboutalebian, S.; Hezaveh, S.J.H.; Ghazvini, R.D.; Momen-Heravi, M.; Jafari, Y.; Ahsaniarani, A.H.; Basirpour, B.; Matini, A.H.; Mirhendi, H. Microbial and clinical epidemiology of invasive fungal rhinosinusitis in hospitalized COVID-19 patients, the divergent causative agents. Med. Mycol. 2023, 61, myad020. [Google Scholar] [CrossRef]
- Roden, M.M.; Zaoutis, T.E.; Buchanan, W.L.; Knudsen, T.A.; Sarkisova, T.A.; Schaufele, R.L.; Sein, M.; Sein, T.; CChiou, C.; Chu, J.H.; et al. Epidemiology and outcome of zygomycosis: A review of 929 reported cases. Clin. Infect. Dis. 2005, 41, 634–653. [Google Scholar] [CrossRef]
- Erami, M.; Aboutalebian, S.; Hezaveh, S.J.H.; Matini, A.H.; Momen-Heravi, M.; Ahsaniarani, A.H.; Arani, S.S.; Ganjizadeh, M.; Mirhendi, H. Invasive Fusarium rhinosinusitis in COVID-19 patients: Report of three cases with successful management. Front. Cell Infect. Microbiol. 2023, 13, 1247491. [Google Scholar] [CrossRef]
- Rammaert, B.; Lanternier, F.; Zahar, J.R.; Dannaoui, E.; Bougnoux, M.E.; Lecuit, M.; Lortholary, O. Healthcare-associated mucormycosis. Clin. Infect. Dis. 2012, 54 (Suppl. S1), S44–S54. [Google Scholar] [CrossRef]
- Kurokawa, M.; Kurokawa, R.; Baba, A.; Kim, J.; Tournade, C.; McHugh, J.; Trobe, J.D.; Srinivasan, A.; Bapuraj, J.R.; Moritani, T. Deadly Fungi: Invasive Fungal Rhinosinusitis in the Head and Neck. Radiographics 2022, 42, 2075–2094. [Google Scholar] [CrossRef]
- Cornely, O.A.; Alastruey-Izquierdo, A.; Arenz, D.; Chen, S.C.A.; Dannaoui, E.; Hochhegger, B.; Hoenigl, M.; Jensen, H.E.; Lagrou, K.; Lewis, R.E.; et al. Global guideline for the diagnosis and management of mucormycosis: An initiative of the European Confederation of Medical Mycology in cooperation with the Mycoses Study Group Education and Research Consortium. Lancet Infect. Dis. 2019, 19, e405–e421. [Google Scholar] [CrossRef]
- Arreenich, P.; Saonanon, P.; Aeumjaturapat, S.; Snidvongs, K.; Chusakul, S.; Kanjanaumporn, J. Efficacy and safety of retrobulbar amphotericin B injection in invasive fungal rhinosinusitis with orbital invasion patients. Rhinology 2021, 59, 387–392. [Google Scholar] [CrossRef]
- Sharifi, A.; Akbari, Z.; Shafie’ei, M.; Nasiri, N.; Sharifi, M.; Shafiei, M.; Zand, A. Retrobulbar Injection of Amphotericin B in Patients With COVID-19 Associated Orbital Mucormycosis: A Systematic Review. Ophthalmic Plast. Reconstr. Surg. 2022, 38, 425–432. [Google Scholar] [CrossRef]
- Smith, C.; Lee, S.C. Current treatments against mucormycosis and future directions. PLoS Pathog. 2022, 18, e1010858. [Google Scholar] [CrossRef]
- Chamilos, G.; Lewis, R.E.; Kontoyiannis, D.P. Delaying amphotericin B-based frontline therapy significantly increases mortality among patients with hematologic malignancy who have zygomycosis. Clin. Infect. Dis. 2008, 47, 503–509. [Google Scholar] [CrossRef]
- Tessler, I.; Shemesh, R.; Sherman, G.; Soudry, E.; Chen, S.C.A.; Ziv, O.; Kordeluk, S.; Bar-On, D.; Novikov, I.; Yakirevitch, A. Impact of azole antifungal treatment on outcome in acute invasive fungal rhinosinusitis with orbitocranial involvement: A surgical perspective. Rhinology 2023, 61, 561–567. [Google Scholar] [CrossRef]
- Gnepp, D.R.; Bishop, J.A. Gnepp’s Diagnostic Surgical Pathology of the Head and Neck, 3rd ed.; Elsevier: Amsterdam, The Netherlands, 2020. [Google Scholar]
- Craig, J.R. Updates in management of acute invasive fungal rhinosinusitis. Curr. Opin. Otolaryngol. Head. Neck Surg. 2019, 27, 29–36. [Google Scholar] [CrossRef]
- Duggal, P.; Wise, S.K. Chapter 8: Invasive fungal rhinosinusitis. Am. J. Rhinol. Allergy 2013, 27 (Suppl. S1), S28–S30. [Google Scholar] [CrossRef]
- Fu, K.A.; Nguyen, P.L.; Sanossian, N. Basilar artery territory stroke secondary to invasive fungal sphenoid sinusitis: A case report and review of the literature. Case Rep. Neurol. 2015, 7, 51–58. [Google Scholar] [CrossRef]
- Thajeb, P.; Thajeb, T.; Dai, D. Fatal strokes in patients with rhino-orbito-cerebral mucormycosis and associated vasculopathy. Scand. J. Infect. Dis. 2004, 36, 643–648. [Google Scholar] [CrossRef]
- Gillespie, M.B.; O’Malley, B.W., Jr.; Francis, H.W. An approach to fulminant invasive fungal rhinosinusitis in the immunocompromised host. Arch. Otolaryngol. Head. Neck Surg. 1998, 124, 520–526. [Google Scholar] [CrossRef]
- Hassan, R.M.; Almalki, Y.E.; Basha, M.A.A.; Gobran, M.A.; Alqahtani, S.M.; Assiri, A.M.; Alqahtani, S.; Alduraibi, S.K.; Aboualkheir, M.; Almushayti, Z.A.; et al. Magnetic Resonance Imaging Features of Rhino-Orbito-Cerebral Mucormycosis in Post-COVID-19 Patients: Radio-Pathological Correlation. Diagnostics 2023, 13, 1546. [Google Scholar] [CrossRef] [PubMed]
- Middlebrooks, E.H.; Frost, C.J.; De Jesus, R.O.; Massini, T.C.; Schmalfuss, I.M.; Mancuso, A.A. Acute Invasive Fungal Rhinosinusitis: A Comprehensive Update of CT Findings and Design of an Effective Diagnostic Imaging Model. AJNR Am. J. Neuroradiol. 2015, 36, 1529–1535. [Google Scholar] [CrossRef] [PubMed]
- Silverman, C.S.; Mancuso, A.A. Periantral soft-tissue infiltration and its relevance to the early detection of invasive fungal sinusitis: CT and MR findings. AJNR Am. J. Neuroradiol. 1998, 19, 321–325. [Google Scholar] [PubMed]
- Kim, J.H.; Kang, B.C.; Lee, J.H.; Jang, Y.J.; Lee, B.J.; Chung, Y.S. The prognostic value of gadolinium-enhanced magnetic resonance imaging in acute invasive fungal rhinosinusitis. J. Infect. 2015, 70, 88–95. [Google Scholar] [CrossRef]
- Dixit, R.; Gupta, A.; Prakash, A.; Pradhan, G.S. Magnetic resonance imaging of rhino-orbito-cerebral mucormycosis: A pictorial review. Acta Radiol. 2023, 64, 1641–1649. [Google Scholar] [CrossRef]
- Safder, S.; Carpenter, J.S.; Roberts, T.D.; Bailey, N. The “Black Turbinate” sign: An early MR imaging finding of nasal mucormycosis. AJNR Am. J. Neuroradiol. 2010, 31, 771–774. [Google Scholar] [CrossRef]
- Han, Q.; Escott, E.J. The Black Turbinate Sign, A Potential Diagnostic Pitfall: Evaluation of the Normal Enhancement Patterns of the Nasal Turbinates. AJNR Am. J. Neuroradiol. 2019, 40, 855–861. [Google Scholar] [CrossRef]
- Tashi, S.; Purohit, B.S.; Becker, M.; Mundada, P. The pterygopalatine fossa: Imaging anatomy, communications, and pathology revisited. Insights Imaging 2016, 7, 589–599. [Google Scholar] [CrossRef]
- Becker, M.; Masterson, K.; Delavelle, J.; Viallon, M.; Vargas, M.I.; Becker, C.D. Imaging of the optic nerve. Eur. J. Radiol. 2010, 74, 299–313. [Google Scholar] [CrossRef]










Disclaimer/Publisher’s Note: The statements, opinions and data contained in all publications are solely those of the individual author(s) and contributor(s) and not of MDPI and/or the editor(s). MDPI and/or the editor(s) disclaim responsibility for any injury to people or property resulting from any ideas, methods, instructions or products referred to in the content. |
© 2025 by the authors. Licensee MDPI, Basel, Switzerland. This article is an open access article distributed under the terms and conditions of the Creative Commons Attribution (CC BY) license (https://creativecommons.org/licenses/by/4.0/).
Share and Cite
Voruz, F.; Neofytos, D.; Van Delden, C.; Lobrinus, J.; De Vito, C.; Macario, S.; Daskalou, D.; Hsieh, J.W.; Becker, M.; Landis, B.N. The Importance of MRI in the Early Diagnosis of Acute Invasive Fungal Rhinosinusitis. Diagnostics 2025, 15, 311. https://doi.org/10.3390/diagnostics15030311
Voruz F, Neofytos D, Van Delden C, Lobrinus J, De Vito C, Macario S, Daskalou D, Hsieh JW, Becker M, Landis BN. The Importance of MRI in the Early Diagnosis of Acute Invasive Fungal Rhinosinusitis. Diagnostics. 2025; 15(3):311. https://doi.org/10.3390/diagnostics15030311
Chicago/Turabian StyleVoruz, François, Dionysios Neofytos, Christian Van Delden, Johannes Lobrinus, Claudio De Vito, Sonia Macario, Dimitrios Daskalou, Julien W. Hsieh, Minerva Becker, and Basile N. Landis. 2025. "The Importance of MRI in the Early Diagnosis of Acute Invasive Fungal Rhinosinusitis" Diagnostics 15, no. 3: 311. https://doi.org/10.3390/diagnostics15030311
APA StyleVoruz, F., Neofytos, D., Van Delden, C., Lobrinus, J., De Vito, C., Macario, S., Daskalou, D., Hsieh, J. W., Becker, M., & Landis, B. N. (2025). The Importance of MRI in the Early Diagnosis of Acute Invasive Fungal Rhinosinusitis. Diagnostics, 15(3), 311. https://doi.org/10.3390/diagnostics15030311

