A Forgotten Rare Cause of Unilateral Basal Ganglia Calcinosis Due to Venous Angioma and Complicating Acute Stroke Management: A Case Report
Abstract
1. Introduction
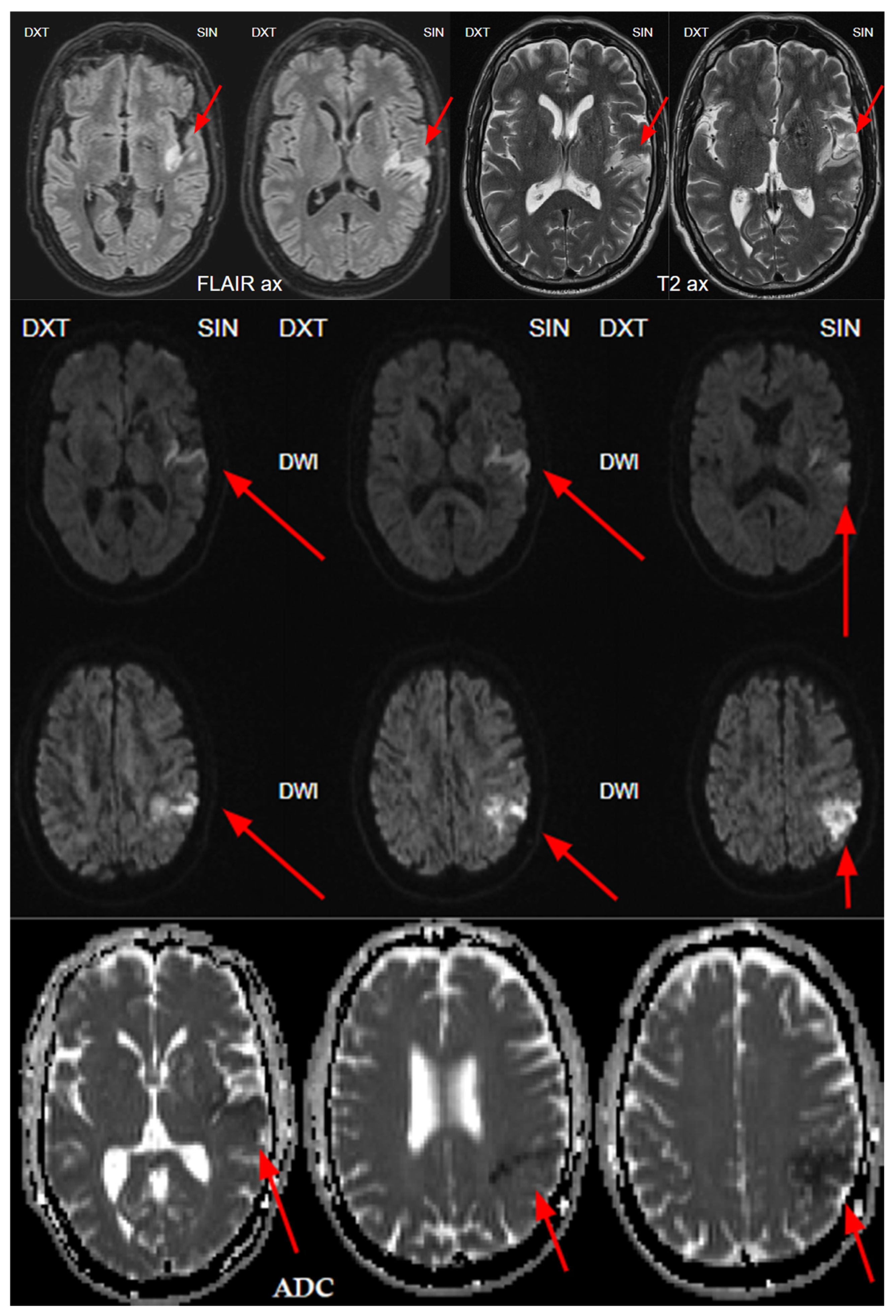
2. Case Presentation
3. Discussion
4. Conclusions
Author Contributions
Funding
Institutional Review Board Statement
Informed Consent Statement
Data Availability Statement
Acknowledgments
Conflicts of Interest
References
- Santucci, G.; Leach, J.; Ying, J.; Leach, S.; Tomsick, T. Brain parenchymal signal abnormalities associated with developmental venous anomalies: Detailed MR imaging assessment. Am. J. Neuroradiol. 2008, 29, 1317–1323. [Google Scholar] [CrossRef]
- Sarp, A.F.; Batki, O.; Gelal, M.F. Developmental Venous Anomaly with Asymmetrical Basal Ganglia Calcification: Two Case Reports and Review of the Literature. Iran. J. Radiol. 2015, 12, e16753. [Google Scholar] [CrossRef] [PubMed]
- Osborn, A.G.; William, H.; Patricia, W. Essentials of Osborn’s Brain: A Fundamental Guide for Residents and Fellows; Elsevier-Health Science: New York, NY, USA, 2019. [Google Scholar]
- Rammos, S.K.; Maina, R.; Lanzino, G. Developmental venous anomalies: Current concepts and implications for management. Neurosurgery 2009, 65, 20–29, discussion 29–30. [Google Scholar] [CrossRef] [PubMed]
- Idiculla, P.S.; Gurala, D.; Philipose, J.; Rajdev, K.; Patibandla, P. Cerebral Cavernous Malformations, Developmental Venous Anomaly, and Its Coexistence: A Review. Eur. Neurol. 2020, 83, 360–368. [Google Scholar] [CrossRef] [PubMed]
- Hsu, C.-T.; Krings, T. Symptomatic Developmental Venous Anomaly: State-of-the-Art Review on Genetics, Pathophysiology, and Imaging Approach to Diagnosis. Am. J. Neuroradiol. 2023, 44, 498–504. [Google Scholar] [CrossRef] [PubMed]
- Aoki, R.; Srivatanakul, K. Developmental Venous Anomaly: Benign or Not Benign. Neurol. Med. -Chir. 2016, 56, 534–543. [Google Scholar] [CrossRef] [PubMed]
- Althobaiti, E.; Felemban, B.; Abouissa, A.; Azmat, Z.; Bedair, M. Developmental venous anomaly (DVA) mimicking thrombosed cerebral vein. Radiol. Case Rep. 2019, 14, 778–781. [Google Scholar] [CrossRef]
- Li, M.; Fu, Q.; Xiang, L.; Zheng, Y.; Ping, W.; Cao, Y. SLC20A2-Associated Idiopathic basal ganglia calcification (Fahr disease): A case family report. BMC Neurol. 2022, 22, 438. [Google Scholar] [CrossRef] [PubMed]
- Chen, S.-Y.; Ho, C.-J.; Lu, Y.-T.; Lin, C.-H.; Lan, M.-Y.; Tsai, M.-H. The Genetics of Primary Familial Brain Calcification: A Literature Review. Int. J. Mol. Sci. 2023, 24, 10886. [Google Scholar] [CrossRef]
- Donzuso, G.; Mostile, G.; Nicoletti, A.; Zappia, M. Basal ganglia calcifications (Fahr’s syndrome): Related conditions and clinical features. Neurol. Sci. 2019, 40, 2251–2263. [Google Scholar] [CrossRef]
- Kao, Y.-C.; Lin, M.-I. Intramuscular Hemangioma of the Temporalis Muscle with Incidental Finding of Bilateral Symmetric Calcification of the Basal Ganglia: A Case Report. Pediatr. Neonatol. 2010, 51, 296–299. [Google Scholar] [CrossRef]
- Amisha, F.; Munakomi, S. Fahr Syndrome. In StatPearls; StatPearls Publishing LLC.: Treasure Island, FL, USA, 2024. [Google Scholar]
- Johari, B.; Hanafiah, M.; Shahizon, A.M.M.; Koshy, M. Unilateral striatal CT and MRI changes secondary to non-ketotic hyperglycaemia. BMJ Case Rep. 2014, 2014, bcr2014204053. [Google Scholar] [CrossRef] [PubMed]
- Smith, C.M.E.; Chaurasia, K.K.; Dekoski, D.C. Non-ketotic Hyperglycemic Hemichorea-Hemiballismus: A Case of a Male With Diabetes Mellitus and Speech Disturbances. Cureus 2022, 14, e25073. [Google Scholar] [CrossRef]
- Mubarak, F.; Khandwala, K.; Shamim, S.M.; Qureshi, M.B. Multifocal oligodendroglioma with callosal and brainstem involvement. Surg. Neurol. Int. 2022, 13, 442. [Google Scholar] [CrossRef] [PubMed]
- Differential Diagnosis of Intracranial Masses. In Diseases of the Brain, Head and Neck, Spine 2020–2023: Diagnostic Imaging; Hodler, J., Kubik-Huch, R.A., von Schulthess, G.K., Eds.; Springer: Cham, Switzerland, 2020; pp. 93–104. [Google Scholar]
- Tork, C.A.; Atkinson, C. Oligodendroglioma. In StatPearls; StatPearls Publishing LLC.: Treasure Island, FL, USA, 2024. [Google Scholar]
- Quinn, T.; Harrison, J.K.; Arthur, M. Assessment scales in stroke: Clinimetric and clinical considerations. Clin. Interv. Aging 2013, 8, 201–211. [Google Scholar] [CrossRef]
- Lees, K.R.; Emberson, J.; Blackwell, L.; Bluhmki, E.; Davis, S.M.; Donnan, G.A.; Grotta, J.C.; Kaste, M.; Von Kummer, R.; Lansberg, M.G.; et al. Effects of alteplase for acute stroke on the distribution of functional outcomes: A pooled analysis of 9 trials. Stroke 2016, 47, 2373–2379. [Google Scholar] [CrossRef]
- Ringleb, P.; Bendszus, M.; Bluhmki, E.; Donnan, G.; Eschenfelder, C.; Fatar, M.; Kessler, C.; Molina, C.; Leys, D.; Muddegowda, G.; et al. Extending the time window for intravenous thrombolysis in acute ischemic stroke using magnetic resonance imaging-based patient selection. Int. J. Stroke 2019, 14, 483–490. [Google Scholar] [CrossRef] [PubMed]
- Lin, L.; Wang, X.; Yu, Z. Ischemia-reperfusion Injury in the Brain: Mechanisms and Potential Therapeutic Strategies. Biochem. Pharmacol. 2016, 5, 213. [Google Scholar]
- Lasjaunias, P.; Burrows, P.; Planet, C. Developmental venous anomalies (DVA): The so-called venous angioma. Neurosurg. Rev. 1986, 9, 233–242. [Google Scholar] [CrossRef]
- Wilms, G.; Marchal, G.; Van Hecke, P.; Van Fraeyenhoven, L.; Decrop, E.; Baert, A.L. Cerebral venous angiomas. Neuroradiology 1990, 32, 81–85. [Google Scholar] [CrossRef]
- Dehkharghani, S.; Dillon, W.; Bryant, S.; Fischbein, N. Unilateral calcification of the caudate and putamen: Association with underlying developmental venous anomaly. Am. J. Neuroradiol. 2010, 31, 1848–1852. [Google Scholar] [CrossRef] [PubMed]
- Toader, C.; Brehar, F.-M.; Radoi, M.P.; Serban, M.; Covache-Busuioc, R.-A.; Glavan, L.-A.; Ciurea, A.V.; Dobrin, N. The Microsurgical Resection of an Arteriovenous Malformation in a Patient with Thrombophilia: A Case Report and Literature Review. Diagnostics 2024, 14, 2613. [Google Scholar] [CrossRef]
- Patel, J.; Khalil, M.; Zafar, S. Hyperkinetic Choreiform Movements Secondary to Basal Ganglia Calcification and Underlying Developmental Venous Anomaly. Cureus 2022, 14, e22752. [Google Scholar] [CrossRef] [PubMed]
- Bhidayasiri, R.; Truong, D.D. Chorea and related disorders. Postgrad. Med. J. 2004, 80, 527–534. [Google Scholar] [CrossRef]
- Falconer, R.A.; Shah, T.; Giles, A.; Shenai, M.; Rogers, S. Unilateral Hyperkinetic Choreiform Movements due to Calcification of the Putamen and Caudate from an Underlying Developmental Venous Anomaly. Cureus 2019, 11, e3990. [Google Scholar] [CrossRef] [PubMed]
- Chen, W.; Zhu, W.; Kovanlikaya, I.; Kovanlikaya, A.; Liu, T.; Wang, S.; Salustri, C.; Wang, Y. Intracranial calcifications and hemorrhages: Characterization with quantitative susceptibility mapping. Radiology 2014, 270, 496–505. [Google Scholar] [CrossRef]
- Berberat, J.; Grobholz, R.; Boxheimer, L.; Rogers, S.; Remonda, L.; Roelcke, U. Differentiation Between Calcification and Hemorrhage in Brain Tumors Using Susceptibility-Weighted Imaging: A Pilot Study. Am. J. Roentgenol. 2014, 202, 847–850. [Google Scholar] [CrossRef] [PubMed]
- Greenberg, S.M.; Ziai, W.C.; Cordonnier, C.; Dowlatshahi, D.; Francis, B.; Goldstein, J.N.; Hemphill, J.C.; Johnson, R.; Keigher, K.M.; Mack, W.J.; et al. 2022 Guideline for the Management of Patients With Spontaneous Intracerebral Hemorrhage: A Guideline From the American Heart Association/American Stroke Association. Stroke 2022, 53, E282–E361. [Google Scholar] [CrossRef] [PubMed]
- Schrag, M.; Kirshner, H. Management of Intracerebral Hemorrhage: JACC Focus Seminar. J. Am. Coll. Cardiol. 2020, 75, 1819–1831. [Google Scholar] [CrossRef]
- Magid-Bernstein, J.; Girard, R.; Polster, S.; Srinath, A.; Romanos, S.; Awad, I.A.; Sansing, L.H. Cerebral Hemorrhage: Pathophysiology, Treatment, and Future Directions. Circ. Res. 2022, 130, 1204–1229. [Google Scholar] [CrossRef] [PubMed]
- Tenny, S.; Thorell, W. Intracranial Hemorrhage. In StatPearls; StatPearls Publishing LLC.: Treasure Island, FL, USA, 2025. [Google Scholar]




| Idiopathic | Age, Fahr’s disease-primary familial brain calcification |
| Toxic | Carbon monoxide intoxication, lead intoxication, mineralizing microangiopathy (radiation/chemotherapy), nephrotic syndrome, vitamin D intoxication, excess calcium intake, methotrexate therapy |
| Infectious | TORCH infections (Toxoplasmosis, Syphilis, Varicella Zoster Virus, Parvovirus B19, Rubella Virus, Citomegalovirus, Human Simplex Virus), Epstein–Barr Virus, tuberculosis, human immune virus, parasitic invasion (Cysticercosis, Cystic Echinococcosis) |
| Inflammatory Diseases | Systemic lupus erythematosus |
| Endocrine Disorders | Hypoparathyroidism, pseudohypoparathyroidism, pseudopseudohypoparathyroidism, hyperparathyroidism, hypothyroidism, Addison’s disease |
| Neoplastic Disorders | Ependymoma, oligodendroglioma, mucinous adenocarcinoma |
| Metabolic Disorders | Mitochondrial diseases, phenylketonuria Type 2, sulfocysteinuria, GM1 Gangliosidosis, dihydropteridine reductase deficiency |
| Congenital Disorders | Cockayne syndrome, Down syndrome, tuberous sclerosis, lipoid proteinosis (hyalinosis cutis), methemoglobinemia, Sanjad– Sakati syndrome, Aicardi–Goutières syndrome, oculodentodigital dysplasia, congenital dyskeratosis, cerebrooculo-facio-skeletal syndrome |
| Neurodegenerative Diseases | Hallervorden–Spatz syndrome, neuroferritinopathy, dentatorubral–pallidoluysian atrophy |
| Ischemia | Hypoxia, asphyxia, neonatal hypoxia, cardiovascular events |
| Vascular pathologies | Developmental venous anomalies, hematomas |
| Potential causes of unilateral basal ganglia calcification [3,14,15,16,17,18]. | |
| Metabolic Disorders | Non-ketotic hyperglycemia |
| Neoplastic Disorders | Oligodendroglioma |
| Vascular pathologies | Developmental venous anomalies |
Disclaimer/Publisher’s Note: The statements, opinions and data contained in all publications are solely those of the individual author(s) and contributor(s) and not of MDPI and/or the editor(s). MDPI and/or the editor(s) disclaim responsibility for any injury to people or property resulting from any ideas, methods, instructions or products referred to in the content. |
© 2025 by the authors. Licensee MDPI, Basel, Switzerland. This article is an open access article distributed under the terms and conditions of the Creative Commons Attribution (CC BY) license (https://creativecommons.org/licenses/by/4.0/).
Share and Cite
Balodis, A.; Strautmane, S.; Zariņš, O.; Verzemnieks, K.; Vētra, J.; Pavlovičs, S.; Naudiņš, E.; Kupčs, K. A Forgotten Rare Cause of Unilateral Basal Ganglia Calcinosis Due to Venous Angioma and Complicating Acute Stroke Management: A Case Report. Diagnostics 2025, 15, 291. https://doi.org/10.3390/diagnostics15030291
Balodis A, Strautmane S, Zariņš O, Verzemnieks K, Vētra J, Pavlovičs S, Naudiņš E, Kupčs K. A Forgotten Rare Cause of Unilateral Basal Ganglia Calcinosis Due to Venous Angioma and Complicating Acute Stroke Management: A Case Report. Diagnostics. 2025; 15(3):291. https://doi.org/10.3390/diagnostics15030291
Chicago/Turabian StyleBalodis, Arturs, Sintija Strautmane, Oskars Zariņš, Kalvis Verzemnieks, Jānis Vētra, Sergejs Pavlovičs, Edgars Naudiņš, and Kārlis Kupčs. 2025. "A Forgotten Rare Cause of Unilateral Basal Ganglia Calcinosis Due to Venous Angioma and Complicating Acute Stroke Management: A Case Report" Diagnostics 15, no. 3: 291. https://doi.org/10.3390/diagnostics15030291
APA StyleBalodis, A., Strautmane, S., Zariņš, O., Verzemnieks, K., Vētra, J., Pavlovičs, S., Naudiņš, E., & Kupčs, K. (2025). A Forgotten Rare Cause of Unilateral Basal Ganglia Calcinosis Due to Venous Angioma and Complicating Acute Stroke Management: A Case Report. Diagnostics, 15(3), 291. https://doi.org/10.3390/diagnostics15030291

