Integrating Numerical Data with AI-Based Image Processing Techniques to Improve the Diagnostic Accuracy of Detecting Dental Caries in Panoramic Radiographs
Abstract
1. Introduction
2. Materials and Methods
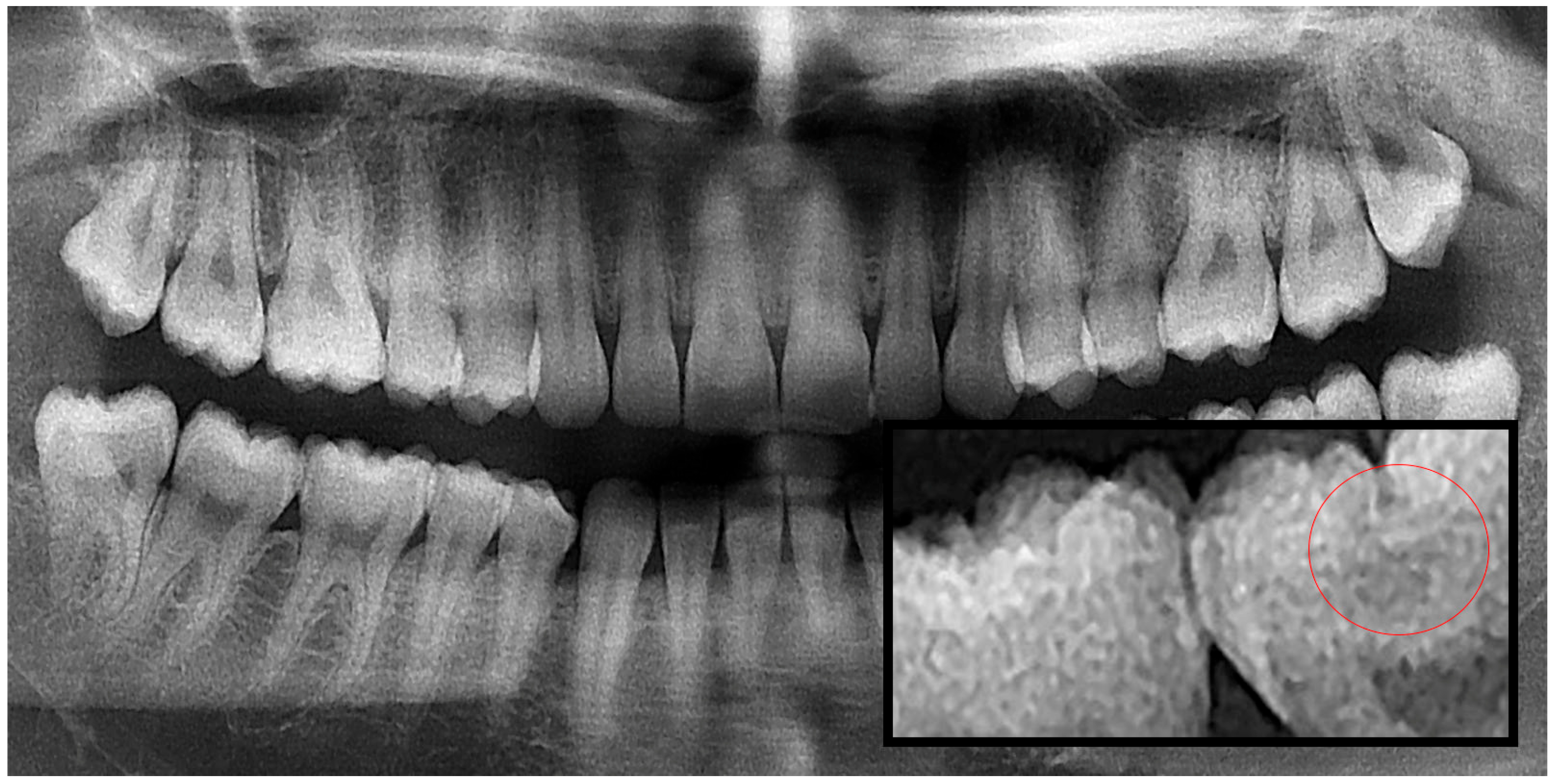
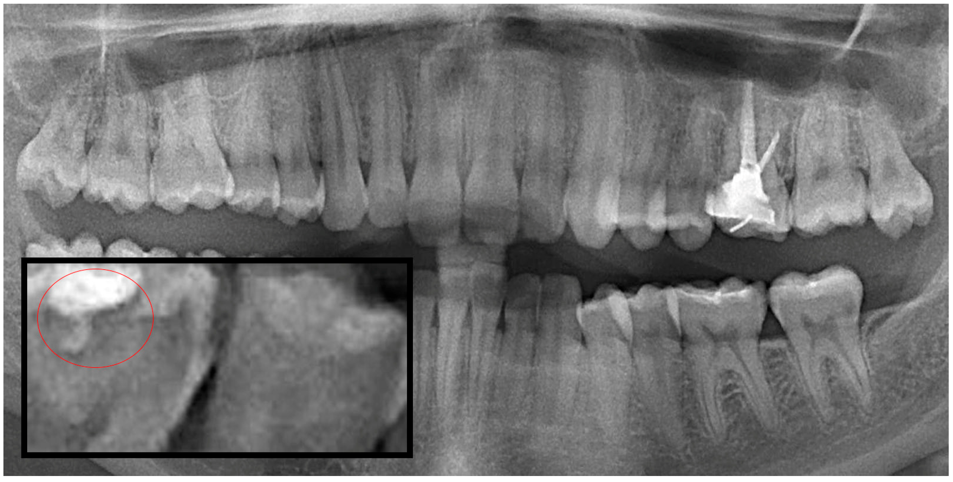
2.1. Evaluation and Categorization of Panoramic Radiographs
2.2. Image Processing and Segmentation
Image Data Representation Method
2.3. Machine Learning Algorithms
3. Results
- Group 1 (interproximal caries): All evaluation measures (Precision, Recall, F1-Score, Sensitivity, Specificity) reached 1.000, indicating perfect classification.
- Group 2 (occlusal caries): Precision = 1.000, Recall = 0.964, F1-Score = 0.982, Sensitivity = 0.964, Specificity = 1.000.
- Group 3 (secondary caries): Precision = 0.963, Recall = 1.000, F1-Score = 0.981, Sensitivity = 1.000, Specificity = 0.982.
Ratio-Based and Methodological Discussion
4. Discussion
5. Conclusions
Author Contributions
Funding
Institutional Review Board Statement
Informed Consent Statement
Data Availability Statement
Acknowledgments
Conflicts of Interest
Abbreviations
| AI | Artificial Intelligence |
| ML | Machine Learning |
| DL | Deep Learning |
| CNN | Convolutional Neural Network |
| BPNN | Backpropagation Neural Network |
| RBFNN | Radial Basis Function Neural Network |
| SVM | Support Vector Machine |
| KNN | K-Nearest Neighbors |
| NB/ GaussianNB | Naïve Bayes/ Gaussian Naïve Bayes |
| DT | Decision Tree |
| RC | Random Forest |
| AUC | Area Under the Curve |
| F1 | F1-Score (harmonic mean of precision and recall) |
| OPG | Orthopantomograph (Panoramic Radiograph) |
| ROI | Region of Interest |
References
- Rathee, M.; Sapra, A. Dental Caries. In StatPearls; StatPearls Publishing: Treasure Island, FL, USA, 2023. Available online: https://www.ncbi.nlm.nih.gov/books/NBK551699/ (accessed on 21 June 2023).
- Beedam, B. Investigations for the Early Detection of Dental Caries—A Review. IOSR J. Dent. Med. Sci. 2020, 19, 23–27. [Google Scholar]
- Izzetti, R.; Nisi, M.; Aringhieri, G.; Crocetti, L.; Graziani, F.; Nardi, C. Basic Knowledge and New Advances in Panoramic Radiography Imaging Techniques: A Narrative Review on What Dentists and Radiologists Should Know. Appl. Sci. 2021, 11, 7858. [Google Scholar] [CrossRef]
- Krupinski, E.A.; Berbaum, K.S.; Caldwell, R.T.; Schartz, K.M.; Kim, J. Long Radiology Workdays Reduce Detection and Accommodation Accuracy. J. Am. Coll. Radiol. 2010, 7, 698–704. [Google Scholar] [CrossRef]
- Dhillon, M.; Raju, S.M.; Verma, S.; Tomar, D.; Mohan, R.S.; Lakhanpal, M.; Krishnamoorthy, B. Positioning Errors and Quality Assessment in Panoramic Radiography. Imaging Sci. Dent. 2012, 42, 207–212. [Google Scholar] [CrossRef]
- Bala, O.; Kanlıdere, S. Diş Çürüğünün Teşhisi ve Bu Amaçla Kullanılan Güncel Yöntemler. J. Turk. Dent. Res. 2023, 2, 219–231. [Google Scholar] [CrossRef]
- Al-Khalifa, K.S.; Ahmed, W.M.; Azhari, A.A.; Qaw, M.; Alsheikh, R.; Alqudaihi, F.; Alfaraj, A. The Use of Artificial Intelligence in Caries Detection: A Review. Bioengineering 2024, 11, 936. [Google Scholar] [CrossRef]
- Bayati, M.; Alizadeh Savareh, B.; Ahmadinejad, H.; Mosavat, F. Advanced AI-Driven Detection of Interproximal Caries in Bitewing Radiographs Using YOLOv8. Sci. Rep. 2025, 15, 4641. [Google Scholar] [CrossRef]
- Majanga, V.; Viriri, S. A Survey of Dental Caries Segmentation and Detection Techniques. Sci. World J. 2022, 2022, 8415705. [Google Scholar] [CrossRef] [PubMed]
- Ayhan, B.; Ayan, E.; Atsü, S. Detection of Dental Caries under Fixed Dental Prostheses by Analyzing Digital Panoramic Radiographs with Artificial Intelligence Algorithms Based on Deep Learning Methods. BMC Oral Health 2025, 25, 216. [Google Scholar] [CrossRef] [PubMed]
- Rohrer, C.; Krois, J.; Patel, J.; Meyer-Lueckel, H.; Rodrigues, J.A.; Schwendicke, F. Segmentation of Dental Restorations on Panoramic Radiographs Using Deep Learning. Diagnostics 2022, 12, 1316. [Google Scholar] [CrossRef] [PubMed]
- Haghanifar, A.; Molahasani Majdabadi, M.; Ko, S.-B. PaXNet: Dental Caries Detection in Panoramic X-Ray Using Ensemble Transfer Learning and Capsule Classifier. arXiv 2020, arXiv:2012.13666. [Google Scholar]
- Gonzalez, R.C.; Woods, R.E. Digital Image Processing, 3rd ed.; Pearson: London, UK, 2008; Available online: https://sde.uoc.ac.in/sites/default/files/sde_videos/Digital%20Image%20Processing%203rd%20ed.%20-%20R.%20Gonzalez,%20R.%20Woods-ilovepdf-compressed.pdf (accessed on 10 November 2025).
- Bonny, T.; Al Nassan, W.; Obaideen, K.; Rabie, T.; AlMallahi, M.N.; Gupta, S. Primary Methods and Algorithms in Artificial-Intelligence-Based Dental Image Analysis: A Systematic Review. Algorithms 2024, 17, 567. [Google Scholar] [CrossRef]
- Mohammed, M.; Khan, M.B.; Bashier, M.B.E. Machine Learning: Algorithms and Applications; CRC Press: Boca Raton, FL, USA, 2016. [Google Scholar] [CrossRef]
- Han, J.; Kamber, M.; Pei, J. Data Mining: Concepts and Techniques, 3rd ed.; Morgan Kaufmann: San Francisco, CA, USA, 2011. [Google Scholar]
- Witten, I.H.; Frank, E. Data Mining: Practical Machine Learning Tools and Techniques, 2nd ed.; Morgan Kaufmann: San Francisco, CA, USA, 2005. [Google Scholar]
- Sarker, I.H. Deep Cybersecurity: A Comprehensive Overview from Neural Network and Deep Learning Perspective. SN Comput. Sci. 2021, 2, 154. [Google Scholar] [CrossRef]
- Borisov, V.; Leemann, T.; Sebler, K.; Haug, J.; Pawelczyk, M.; Kasneci, G. Deep Neural Networks and Tabular Data: A Survey. IEEE Trans. Neural Netw. Learn. Syst. 2024, 35, 7499–7519. [Google Scholar] [CrossRef]
- Gonzalez, R.C.; Woods, R.E. Digital Image Processing, 4th ed.; Pearson Education: London, UK, 2018. [Google Scholar]
- Dimililer, K. Backpropagation Neural Network Implementation for Medical Image Compression. J. Appl. Math. 2013, 2013, 453098. [Google Scholar] [CrossRef]
- Hasler, D.; Süsstrunk, S. Measuring Colorfulness in Natural Images. In Proc. SPIE Electron. Imaging: Human Vision and Electronic Imaging VIII; SPIE: Bellingham, WA, USA, 2003; Volume 5007, pp. 87–95. [Google Scholar] [CrossRef]
- Haralick, R.M.; Shanmugam, K.; Dinstein, I. Textural Features for Image Classification. IEEE Trans. Syst. Man Cybern. 1973, SMC-3, 610–621. [Google Scholar] [CrossRef]
- Sarker, I.H. Machine Learning: Algorithms, Real-World Applications and Research Directions. SN Comput. Sci. 2021, 2, 160. [Google Scholar] [CrossRef]
- Kern, C.; Klausch, T.; Kreuter, F. Tree-Based Machine Learning Methods for Survey Research. Surv. Res. Methods 2019, 13, 73–93. [Google Scholar]
- Dash, S.K.; Behera, A.; Dehuri, S. Radial Basis Function Neural Networks: A Topical State-of-the-Art Survey. Open Comput. Sci. 2016, 6, 33–63. [Google Scholar] [CrossRef]
- Oztekin, F.; Katar, O.; Sadak, F.; Yildirim, M.; Cakar, H.; Aydogan, M.; Ozpolat, Z.; Talo Yildirim, T.; Yildirim, O.; Faust, O.; et al. An Explainable Deep Learning Model to Predict Dental Caries Using Panoramic Radiograph Images. Diagnostics 2023, 13, 226. [Google Scholar] [CrossRef]
- Lin, S.; Hao, X.; Liu, Y.; Yan, D.; Liu, J.; Zhong, M. Lightweight Deep Learning Methods for Panoramic Dental X-Ray Image Segmentation. Neural Comput. Appl. 2023, 35, 8295–8306. [Google Scholar] [CrossRef]
- Alharbi, S.S.; AlRugaibah, A.A.; Alhasson, H.F.; Khan, R.U. Detection of Cavities from Dental Panoramic X-Ray Images Using Nested U-Net Models. Appl. Sci. 2023, 13, 12771. [Google Scholar] [CrossRef]
- Kwiatek, J.; Leśna, M.; Piskórz, W.; Kaczewiak, J. Comparison of the Diagnostic Accuracy of an AI-Based System for Dental Caries Detection and Clinical Evaluation Conducted by Dentists. J. Clin. Med. 2025, 14, 1566. [Google Scholar] [CrossRef] [PubMed]
- Lee, J.H.; Kim, D.H.; Jeong, S.N.; Choi, S.H. Detection and Diagnosis of Dental Caries Using a Deep Learning-Based Convolutional Neural Network Algorithm. J. Dent. 2018, 77, 106–111. [Google Scholar] [CrossRef] [PubMed]






| Feature Name | Description | Formula |
|---|---|---|
| Width | Horizontal dimension of an image in pixels (left to right). Used in resolution and aspect ratio calculations. | image.shape[1] |
| Height | Vertical dimension of an image in pixels (top to bottom). Defines resolution with width. | image.shape[0] |
| Aspect Ratio | Ratio between width and height (e.g., 16:9, 4:3, 1:1). Describes the overall shape of the image. | width ÷ height |
| Brightness | Average pixel intensity; low = dark image, high = overexposed. | (1/N) Σ Ii |
| Contrast | Variation between light and dark areas; affects detail clarity. | √(1/N Σ (Ii − μ)2) |
| Entropy | A measure of randomness or variability in the data; low values indicate homogeneity; high values indicate complexity. | −Σ pi log2(pi) |
| Contrast-Weighted Entropy | It is an image-processing metric that combines image contrast and entropy to evaluate an images overall quality or information richness. | CWE = C × H |
| Sharpness | Edge clarity and detail; used for focus and blur assessment. | Var(Δ2I) |
| Colorfulness | How rich and vibrant the colors are; colorful images appear lively. | √(σrg2 + σγb2) + 0.3√(μrg2 + μγb2) |
| Edge Density | Ratio of edge pixels to total pixels; indicates visual complexity. | (# edge pixels)/(# total pixels) |
| Saturation | Average color intensity; higher = more vivid, lower = more faded. | (1/N) Σ Si |
| Hue Variance | Variation in color tones; low in uniform scenes, high in colorful scenes. | (1/N) Σ (Hi − Ĥ)2 |
| Texture Contrast | Gray-level variation within texture; used in material and surface analysis. | Σ (I − j)2 P(i,j) |
| Texture Homogeneity | Measures uniformity of texture; higher = smoother and less varied. | ∑(i = 0 to N − 1) ∑(j = 0 to N − 1) P(i,j)/(1 + |i − j|) |
| Histogram Skewness | Asymmetry of intensity histogram; positive = dark-dominant, negative = bright-dominant. | (1/N) Σ ((Ii − μ)3/σ3) |
| Histogram Kurtosis | Peakedness of intensity histogram; high = sharp peaks and heavy tails. | (1/N) Σ ((Ii − μ)4/σ4) |
| Histogram Peak | Most frequent brightness level in the histogram; shows dominant intensity. | Maximum frequency in histogram. |
| Dominant R/G/B | Mode values of red, green and blue channels; represent overall image color tone. | Mode of each color channel histogram |
| Feature Name | Description |
|---|---|
| Logistic Regression (LR) | Logistic Regression predicts categorical outcomes using a sigmoid transformation of input features. It is interpretable, efficient for linearly separable data and benefits from regularization to prevent overfitting. |
| Decision Tree (DT) | Decision Trees divide datasets into hierarchical branches based on information gain or Gini impurity. They provide transparent, rule-based decisions but tend to overfit on small or noisy datasets. |
| Support Vector Machine (SVM) | SVM constructs an optimal boundary that maximizes the margin between different classes. By applying kernel functions, it can efficiently handle nonlinear and high-dimensional data. |
| Gaussian Naïve Bayes (GNB) | Naïve Bayes uses probabilistic reasoning based on Bayes’ theorem, assuming independence among features. The Gaussian version is suitable for continuous data and performs well even with limited training samples. |
| K-Nearest Neighbors (KNN) | KNN classifies new samples according to the majority label among their nearest neighbors in the feature space. It is simple and effective but becomes computationally expensive for large datasets. |
| Random Forest (RF) | Random Forest combines multiple decision trees trained on random subsets of data and features. It enhances model robustness, reduces overfitting and delivers high classification accuracy. |
| Bagged Trees (Bagging) | Bagging creates multiple models from bootstrapped samples and aggregates their predictions to lower variance. This ensemble approach improves stability and reduces overfitting in decision-tree-based methods. |
| AdaBoost Classifier | AdaBoost builds an ensemble of weak classifiers, iteratively focusing on examples that were previously misclassified. It increases overall accuracy but can be sensitive to noise in the dataset. |
| K-Means Clustering | K-Means is an unsupervised algorithm that organizes data into a predefined number of clusters by minimizing within-cluster distances. It is computationally efficient but sensitive to initial centroid placement. |
| Backpropagation Neural Network (BPNN) | BPNN is a multilayer neural network that learns by propagating output errors backward to adjust connection weights. It is powerful for modeling nonlinear relationships but requires careful tuning and sufficient data. |
| Radial Basis Function Neural Network (RBFNN) | RBFNN uses radial basis functions (such as Gaussian) in its hidden layer to approximate nonlinear mappings. It trains faster than multilayer perceptrons and provides smooth function approximation. |
Disclaimer/Publisher’s Note: The statements, opinions and data contained in all publications are solely those of the individual author(s) and contributor(s) and not of MDPI and/or the editor(s). MDPI and/or the editor(s) disclaim responsibility for any injury to people or property resulting from any ideas, methods, instructions or products referred to in the content. |
© 2025 by the authors. Licensee MDPI, Basel, Switzerland. This article is an open access article distributed under the terms and conditions of the Creative Commons Attribution (CC BY) license (https://creativecommons.org/licenses/by/4.0/).
Share and Cite
Başarı, B.; Ulusoy, N.; Dimililer, K. Integrating Numerical Data with AI-Based Image Processing Techniques to Improve the Diagnostic Accuracy of Detecting Dental Caries in Panoramic Radiographs. Diagnostics 2025, 15, 3167. https://doi.org/10.3390/diagnostics15243167
Başarı B, Ulusoy N, Dimililer K. Integrating Numerical Data with AI-Based Image Processing Techniques to Improve the Diagnostic Accuracy of Detecting Dental Caries in Panoramic Radiographs. Diagnostics. 2025; 15(24):3167. https://doi.org/10.3390/diagnostics15243167
Chicago/Turabian StyleBaşarı, Bengü, Nuran Ulusoy, and Kamil Dimililer. 2025. "Integrating Numerical Data with AI-Based Image Processing Techniques to Improve the Diagnostic Accuracy of Detecting Dental Caries in Panoramic Radiographs" Diagnostics 15, no. 24: 3167. https://doi.org/10.3390/diagnostics15243167
APA StyleBaşarı, B., Ulusoy, N., & Dimililer, K. (2025). Integrating Numerical Data with AI-Based Image Processing Techniques to Improve the Diagnostic Accuracy of Detecting Dental Caries in Panoramic Radiographs. Diagnostics, 15(24), 3167. https://doi.org/10.3390/diagnostics15243167

