Genetic Heterogeneity Underlying Familial Short Stature
Abstract
1. Introduction
2. Materials and Methods
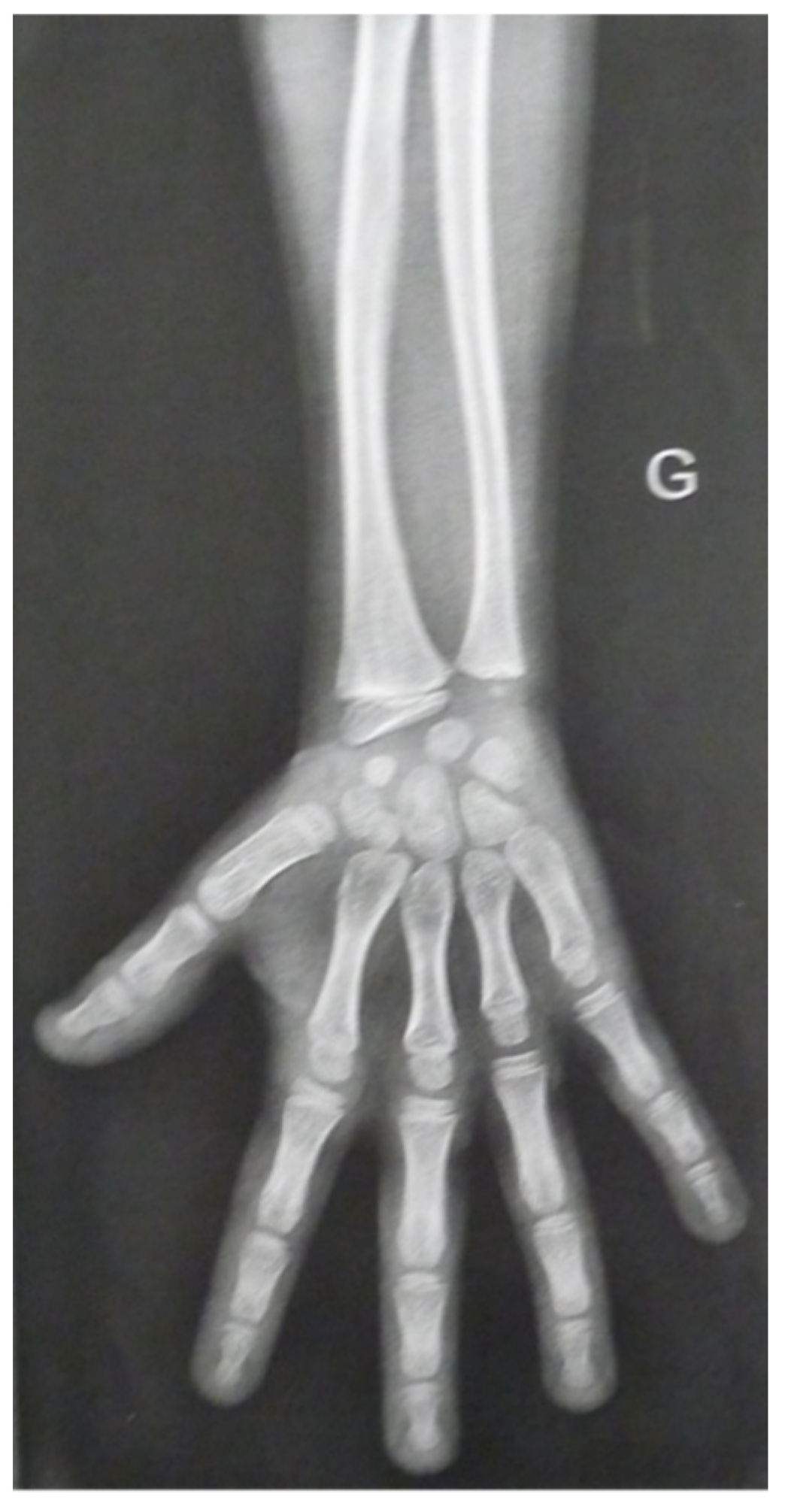
3. Results
4. Discussion
5. Conclusions
Author Contributions
Funding
Institutional Review Board Statement
Informed Consent Statement
Data Availability Statement
Acknowledgments
Conflicts of Interest
References
- Kim, S.J.; Joo, E.; Park, J.; Seol, C.A.; Lee, J.-E. Genetic evaluation using next-generation sequencing of children with short stature: A single tertiary-center experience. Ann. Pediatr. Endocrinol. Metab. 2024, 29, 38–45. [Google Scholar] [CrossRef] [PubMed]
- Zhou, E.; Hauser, B.; Jee, Y.H. Genetic evaluation in children with short stature. Curr. Opin. Pediatr. 2021, 33, 458–463. [Google Scholar] [CrossRef] [PubMed]
- Jurcă, M.C.; Jurcă, S.I.; Mirodot, F.; Bercea, B.; Severin, E.M.; Bembea, M.; Jurcă, A.D. Changes in skeletal dysplasia nosology. Romanian J. Morphol. Embryol. 2021, 62, 689–696. [Google Scholar] [CrossRef]
- Unger, S.; Ferreira, C.R.; Mortier, G.R.; Ali, H.; Bertola, D.R.; Calder, A.; Cohn, D.H.; Cormier-Daire, V.; Girisha, K.M.; Hall, C.; et al. Nosology of genetic skeletal disorders: 2023 revision. Am. J. Med. Genet. A 2023, 191, 1164–1209. [Google Scholar] [CrossRef]
- Posey, J.E.; Harel, T.; Liu, P.; Rosenfeld, J.A.; James, R.A.; Coban Akdemir, Z.H.; Walkiewicz, M.; Bi, W.; Xiao, R.; Ding, Y.; et al. Resolution of Disease Phenotypes Resulting from Multilocus Genomic Variation. N. Engl. J. Med. 2017, 376, 21–31. [Google Scholar] [CrossRef]
- Li, H.; Handsaker, B.; Wysoker, A.; Fennell, T.; Ruan, J.; Homer, N.; Marth, G.; Abecasis, G.; Durbin, R.; 1000 Genome Project Data Processing Subgroup. The Sequence Alignment/Map format and SAMtools. Bioinformatics 2009, 25, 2078–2079. [Google Scholar] [CrossRef] [PubMed]
- McKenna, A.; Hanna, M.; Banks, E.; Sivachenko, A.; Cibulskis, K.; Kernytsky, A.; Garimella, K.; Altshuler, D.; Gabriel, S.; Daly, M.; et al. The Genome Analysis Toolkit: A MapReduce framework for analyzing next-generation DNA sequencing data. Genome Res. 2010, 20, 1297–1303. [Google Scholar] [CrossRef]
- Richards, S.; Aziz, N.; Bale, S.; Bick, D.; Das, S.; Gastier-Foster, J.; Grody, W.W.; Hegde, M.; Lyon, E.; Spector, E.; et al. Standards and guidelines for the interpretation of sequence variants: A joint consensus recommendation of the American College of Medical Genetics and Genomics and the Association for Molecular Pathology. Genet. Med. 2015, 17, 405–424. [Google Scholar] [CrossRef]
- El Chehadeh, S.; Heide, S.; Quélin, C.; Rio, M.; Margot, H.; Geneviève, D.; Isidor, B.; Goldenberg, A.; Guégan, C.; Lesca, G.; et al. Genome sequencing for the diagnosis of intellectual disability as a paradigm for rare diseases in the French healthcare setting: The prospective DEFIDIAG study. Genome Med. 2025, 17, 110. [Google Scholar] [CrossRef]
- Adzhubei, I.A.; Schmidt, S.; Peshkin, L.; Ramensky, V.E.; Gerasimova, A.; Bork, P.; Kondrashov, A.S.; Sunyaev, S.R. A method and server for predicting damaging missense mutations. Nat. Methods 2010, 7, 248–249. [Google Scholar] [CrossRef]
- Ng, P.C.; Henikoff, S. SIFT: Predicting amino acid changes that affect protein function. Nucleic Acids Res. 2003, 31, 3812–3814. [Google Scholar] [CrossRef]
- Chennen, K.; Weber, T.; Lornage, X.; Kress, A.; Böhm, J.; Thompson, J.; Laporte, J.; Poch, O. MISTIC: A prediction tool to reveal disease-relevant deleterious missense variants. PLoS ONE 2020, 15, e0236962. [Google Scholar] [CrossRef]
- ClinPred: Prediction Tool to Identify Disease-Relevant Nonsynonymous Single-Nucleotide Variants—PubMed. Available online: https://pubmed.ncbi.nlm.nih.gov/30220433/ (accessed on 26 April 2024).
- Liu, X.; Jian, X.; Boerwinkle, E. dbNSFP: A lightweight database of human nonsynonymous SNPs and their functional predictions. Hum. Mutat. 2011, 32, 894–899. [Google Scholar] [CrossRef] [PubMed]
- Ioannidis, N.M.; Rothstein, J.H.; Pejaver, V.; Middha, S.; McDonnell, S.K.; Baheti, S.; Musolf, A.; Li, Q.; Holzinger, E.; Karyadi, D.; et al. REVEL: An Ensemble Method for Predicting the Pathogenicity of Rare Missense Variants. Am. J. Hum. Genet. 2016, 99, 877–885. [Google Scholar] [CrossRef] [PubMed]
- Recommendations for Interpreting the Loss of Function PVS1 ACMG/AMP Variant Criterion—Abou Tayoun—2018—Human Mutation—Wiley Online Library. Available online: https://onlinelibrary.wiley.com/doi/full/10.1002/humu.23626 (accessed on 26 April 2024).
- ClinVar. Available online: https://www.ncbi.nlm.nih.gov/clinvar/ (accessed on 26 April 2024).
- Binder, G.; Rappold, G.A. SHOX Deficiency Disorders. In GeneReviews®; Adam, M.P., Bick, S., Mirzaa, G.M., Pagon, R.A., Wallace, S.E., Amemiya, A., Eds.; University of Washington: Seattle, WA, USA, 1993. [Google Scholar]
- Michot, C.; Le Goff, C.; Goldenberg, A.; Abhyankar, A.; Klein, C.; Kinning, E.; Guerrot, A.-M.; Flahaut, P.; Duncombe, A.; Baujat, G.; et al. Exome Sequencing Identifies PDE4D Mutations as Another Cause of Acrodysostosis. Am. J. Hum. Genet. 2012, 90, 740–745. [Google Scholar] [CrossRef]
- Gkourogianni, A.; Andrew, M.; Tyzinski, L.; Crocker, M.; Douglas, J.; Dunbar, N.; Fairchild, J.; Funari, M.F.A.; Heath, K.E.; Jorge, A.A.L.; et al. Clinical Characterization of Patients With Autosomal Dominant Short Stature due to Aggrecan Mutations. J. Clin. Endocrinol. Metab. 2016, 102, 460–469. [Google Scholar] [CrossRef] [PubMed]
- Sigrist, C.J.A.; de Castro, E.; Cerutti, L.; Cuche, B.A.; Hulo, N.; Bridge, A.; Bougueleret, L.; Xenarios, I. New and continuing developments at PROSITE. Nucleic Acids Res. 2013, 41, D344–D347. [Google Scholar] [CrossRef]
- Ellison, J.W.; Wardak, Z.; Young, M.F.; Gehron Robey, P.; Laig-Webster, M.; Chiong, W. PHOG, a candidate gene for involvement in the short stature of Turner syndrome. Hum. Mol. Genet. 1997, 6, 1341–1347. [Google Scholar] [CrossRef]
- Leka, S.K.; Kitsiou-Tzeli, S.; Kalpini-Mavrou, A.; Kanavakis, E. Short stature and dysmorphology associated with defects in the SHOX gene. Hormones 2006, 5, 107–118. [Google Scholar] [CrossRef][Green Version]
- Blum, W.F.; Crowe, B.J.; Quigley, C.A.; Jung, H.; Cao, D.; Ross, J.L.; Braun, L.; Rappold, G.; SHOX Study Group. Growth hormone is effective in treatment of short stature associated with short stature homeobox-containing gene deficiency: Two-year results of a randomized, controlled, multicenter trial. J. Clin. Endocrinol. Metab. 2007, 92, 219–228. [Google Scholar] [CrossRef]
- Schmidt-Rohlfing, B.; Schwöbel, B.; Pauschert, R.; Niethard, F.U. Madelung deformity: Clinical features, therapy and results. J. Pediatr. Orthop. B 2001, 10, 344–348. [Google Scholar]
- Michot, C.; Le Goff, C.; Blair, E.; Blanchet, P.; Capri, Y.; Gilbert-Dussardier, B.; Goldenberg, A.; Henderson, A.; Isidor, B.; Kayserili, H. Expanding the phenotypic spectrum of variants in PDE4D/PRKAR1A: From acrodysostosis to acroscyphodysplasia. Eur. J. Hum. Genet. 2018, 26, 1611–1622. [Google Scholar] [CrossRef]
- Thiele, S.; Mantovani, G.; Barlier, A.; Boldrin, V.; Bordogna, P.; De Sanctis, L.; Elli, F.M.; Freson, K.; Garin, I.; Grybek, V. From pseudohypoparathyroidism to inactivating PTH/PTHrP signalling disorder (iPPSD), a novel classification proposed by the EuroPHP network. Eur. J. Endocrinol. 2016, 175, P1–P17. [Google Scholar] [CrossRef]
- Robinow, M.; Pfeiffer, R.A.; Gorlin, R.J.; McKusick, V.A.; Renuart, A.W.; Johnson, G.F.; Summitt, R.L. Acrodysostosis. A syndrome of peripheral dysostosis, nasal hypoplasia, and mental retardation. Am. J. Dis. Child. 1971, 121, 195–203. [Google Scholar] [CrossRef]
- Das, S.; Roy, S.; Munshi, A. Association between PDE4D gene and ischemic stroke: Recent advancements. Int. J. Neurosci. 2016, 126, 577–583. [Google Scholar] [CrossRef] [PubMed]
- Jian, X.; Boerwinkle, E.; Liu, X. In silico prediction of splice-altering single nucleotide variants in the human genome. Nucleic Acids Res. 2014, 42, 13534–13544. [Google Scholar] [CrossRef] [PubMed]
- Day, J.M.; Olin, A.I.; Murdoch, A.D.; Canfield, A.; Sasaki, T.; Timpl, R.; Hardingham, T.E.; Aspberg, A. Alternative splicing in the aggrecan G3 domain influences binding interactions with tenascin-C and other extracellular matrix proteins. J. Biol. Chem. 2004, 279, 12511–12518. [Google Scholar] [CrossRef]
- Tang, W.; Wu, K.-M.; Zhou, Q.; Tang, Y.-F.; Fu, J.-F.; Dong, G.-P.; Zou, C.-C. Genotype and phenotype in patients with ACAN gene variants: Three cases and literature review. Mol. Genet. Genom. Med. 2024, 12, e2439. [Google Scholar] [CrossRef]
- Gleghorn, L.; Ramesar, R.; Beighton, P.; Wallis, G. A Mutation in the Variable Repeat Region of the Aggrecan Gene (AGC1) Causes a Form of Spondyloepiphyseal Dysplasia Associated with Severe, Premature Osteoarthritis. Am. J. Hum. Genet. 2005, 77, 484–490. [Google Scholar] [CrossRef]
- Stattin, E.-L.; Wiklund, F.; Lindblom, K.; Önnerfjord, P.; Jonsson, B.-A.; Tegner, Y.; Sasaki, T.; Struglics, A.; Lohmander, S.; Dahl, N.; et al. A Missense Mutation in the Aggrecan C-type Lectin Domain Disrupts Extracellular Matrix Interactions and Causes Dominant Familial Osteochondritis Dissecans. Am. J. Hum. Genet. 2010, 86, 126–137. [Google Scholar] [CrossRef] [PubMed]
- Mancioppi, V.; Prodam, F.; Mellone, S.; Ricotti, R.; Giglione, E.; Grasso, N.; Vurchio, D.; Petri, A.; Rabbone, I.; Giordano, M.; et al. Retrospective Diagnosis of a Novel ACAN Pathogenic Variant in a Family With Short Stature: A Case Report and Review of the Literature. Front. Genet. 2021, 12, 708864. [Google Scholar] [CrossRef]
- Trigui, M.; Pallares-Ruiz, N.; Geneviève, D.; Amouroux, C.; Edouard, T.; Sigaudy, S.; Willems, M.; Barat-Houari, M. Expanding the molecular spectrum of aggrecanopathies: Exploring 24 patients with ACAN significant variants. Eur. J. Hum. Genet. 2025, 33, 1647–1654. [Google Scholar] [CrossRef]
- van der Steen, M.; Pfundt, R.; Maas, S.J.W.H.; Bakker-van Waarde, W.M.; Odink, R.J.; Hokken-Koelega, A.C.S. ACAN Gene Mutations in Short Children Born SGA and Response to Growth Hormone Treatment. J. Clin. Endocrinol. Metab. 2017, 102, 1458–1467. [Google Scholar] [CrossRef]
- Muthuvel, G.; Dauber, A.; Alexandrou, E.; Tyzinski, L.; Andrew, M.; Hwa, V.; Backeljauw, P. Treatment of Short Stature in Aggrecan-deficient Patients With Recombinant Human Growth Hormone: 1-Year Response. J. Clin. Endocrinol. Metab. 2022, 107, e2103–e2109. [Google Scholar] [CrossRef]
- Wu, H.; Wang, C.; Yu, S.; Ye, X.; Jiang, Y.; He, P.; Shan, X. Downregulation of ACAN is Associated with the Growth hormone pathway and Induces short stature. J. Clin. Lab. Anal. 2023, 37, e24830. [Google Scholar] [CrossRef] [PubMed]
- Renes, J.S.; Reedijk, A.M.J.; Losekoot, M.; Kant, S.G.; Van der Steen, M.; Van der Kaay, D.C.M.; Hokken-Koelega, A.C.S.; Van Duyvenvoorde, H.A.; de Bruin, C. Clinical Characteristics of Pathogenic ACAN Variants and 3-Year Response to Growth Hormone Treatment: Real-World Data. Horm. Res. Paediatr. 2024, 97, 456–469. [Google Scholar] [CrossRef] [PubMed]
- Bioéthique (no 3181) Amendement n°524. Available online: https://www.assemblee-nationale.fr/dyn/15/amendements/3181/AN/524 (accessed on 13 May 2024).
- Aza-Carmona, M.; Barca-Tierno, V.; Hisado-Oliva, A.; Belinchón, A.; Gorbenko-del Blanco, D.; Rodriguez, J.I.; Benito-Sanz, S.; Campos-Barros, A.; Heath, K.E. NPPB and ACAN, two novel SHOX2 transcription targets implicated in skeletal development. PLoS ONE 2014, 9, e83104. [Google Scholar] [CrossRef] [PubMed]
- Aza-Carmona, M.; Shears, D.J.; Yuste-Checa, P.; Barca-Tierno, V.; Hisado-Oliva, A.; Belinchón, A.; Benito-Sanz, S.; Rodríguez, J.I.; Argente, J.; Campos-Barros, Á.; et al. SHOX interacts with the chondrogenic transcription factors SOX5 and SOX6 to activate the aggrecan enhancer. Hum. Mol. Genet. 2011, 20, 1547–1559. [Google Scholar] [CrossRef] [PubMed]
- Hu, G.; Codina, M.; Fisher, S. Multiple enhancers associated with ACAN suggest highly redundant transcriptional regulation in cartilage. Matrix Biol. 2012, 31, 328–337. [Google Scholar] [CrossRef]




| Individual | Clinical Features | Height (SD) | Identified Variant(s) | Gene(s) Involved | Zygosity/Inheritance |
|---|---|---|---|---|---|
| IV.1 (proband) | Short stature, brachymesophalangia, dyschondrosteosis, myopia, astigmatism | −2.7 SD at age 11 | c.452G>A; p.Ser151Asn | SHOX | Heterozygous, maternal |
| III.2 | Short stature, mesomelia, scoliosis, genu varum, brachymesophalangia, dyschondrosteosis, Madelung deformity, psoriasis, hyperthyroidism, late puberty | −4.0 SD | c.452G>A; p.Ser151Asn c.6833-1G>A; p.? | SHOX, ACAN | Heterozygous for both |
| IV.5 | Short stature | −2.3 SD | c.6833-1G>A; p.? | ACAN | Heterozygous, maternal |
| V.1 | Short stature, developmental delay, acrodysostosis, cone-shaped epiphyses, acroscyphodysplasia, bone age advancement, asthma, OSA, Chiari anomaly, ENT infections, obesity, divergent strabismus, pyelonephritis, osteomyelitis | −1.9 SD at age 2 | c.671C>T; p.Thr224Ile | PDE4D | Heterozygous, de novo |
| IV.7 | Short stature, spinal/clavicle/patella anomalies, high palate | −2.2 SD | c.6833-1G>A; p.? | ACAN | Heterozygous, maternal |
| III.9 | Short stature, osteoarthritis, hypermobility, knee deformity, ligament issues | −3.4 SD | c.6833-1G>A; p.? | ACAN | Heterozygous |
| IV.3 | Short stature, ADHD, learning difficulties, IQ 61–73 | −3.4 SD at age 11 | c.6833-1G>A; p.? | ACAN | Heterozygous, paternal |
| III.5 | Not clinically described | −1.6 SD | c.6833-1G>A; p.? | ACAN | Heterozygous |
| Mutated Genes | SHOX c.452G>A; p.Ser151Asn | SHOX and ACAN | ACAN c.6833-1G>A; p.? | PDE4D c.671C>T; p.Thr224Ile |
|---|---|---|---|---|
| Number of carriers | 1 (IV.1) | 1 (III.2) | 5 (IV.3, IV.5, IV.7, III.5 and III.9) | 1 (V.1) |
| Mean height | −2.7 SD | −4.0 SD | −2.6 SD (−3.4 to −1.6) | −1.9 SD |
| Main skeletal features | Mesomelic shortening, brachymesophalangia, dyschondrosteosis | Mesomelic shortening, scoliosis; genu varum, brachymesophalangia, dyschondrosteosis, Madelung deformity | Mild rhizo-mesomelic shortening, joint anomalies, early-onset osteoarthritis | Acrodysostosis, cone-shaped epiphyses, acroscyphodysplasia, bone age advancement |
| Other clinical findings | Myopia, astigmatism | Psoriasis, hyperthyroidism, late puberty | High palate, hypermobility, ligament issues | Developmental delay, Chiari malformation, ENT infections, asthma, OSA, obesity, strabismus, pyelonephritis, osteomyelitis |
Disclaimer/Publisher’s Note: The statements, opinions and data contained in all publications are solely those of the individual author(s) and contributor(s) and not of MDPI and/or the editor(s). MDPI and/or the editor(s) disclaim responsibility for any injury to people or property resulting from any ideas, methods, instructions or products referred to in the content. |
© 2025 by the authors. Licensee MDPI, Basel, Switzerland. This article is an open access article distributed under the terms and conditions of the Creative Commons Attribution (CC BY) license (https://creativecommons.org/licenses/by/4.0/).
Share and Cite
Comel, M.; Barat-Houari, M.; Alkar, F.; Amouroux, C.; Prodhomme, O.; Ruiz, N.; Rondeau, S.; Wells, C.F.; Pers, Y.-M.; Geneviève, D.; et al. Genetic Heterogeneity Underlying Familial Short Stature. Diagnostics 2025, 15, 3127. https://doi.org/10.3390/diagnostics15243127
Comel M, Barat-Houari M, Alkar F, Amouroux C, Prodhomme O, Ruiz N, Rondeau S, Wells CF, Pers Y-M, Geneviève D, et al. Genetic Heterogeneity Underlying Familial Short Stature. Diagnostics. 2025; 15(24):3127. https://doi.org/10.3390/diagnostics15243127
Chicago/Turabian StyleComel, Margot, Mouna Barat-Houari, Fanny Alkar, Cyril Amouroux, Olivier Prodhomme, Nathalie Ruiz, Sophie Rondeau, Constance F. Wells, Yves-Marie Pers, David Geneviève, and et al. 2025. "Genetic Heterogeneity Underlying Familial Short Stature" Diagnostics 15, no. 24: 3127. https://doi.org/10.3390/diagnostics15243127
APA StyleComel, M., Barat-Houari, M., Alkar, F., Amouroux, C., Prodhomme, O., Ruiz, N., Rondeau, S., Wells, C. F., Pers, Y.-M., Geneviève, D., & Willems, M. (2025). Genetic Heterogeneity Underlying Familial Short Stature. Diagnostics, 15(24), 3127. https://doi.org/10.3390/diagnostics15243127

