Imaging Analysis for Metastatic Risk Assessment in Adamantinoma: The Aid of Radiology in the Absence of a Histological Grading—An MRI-Based Risk Model Proposal
Abstract
1. Introduction
2. Materials and Methods
2.1. Study Design
2.2. Clinical Data Collection
2.3. Imaging Acquisition Protocol
- •
- Conventional radiography (CR) studies were performed with different equipment, with two orthogonal projections.
- •
- CT studies were performed on different equipment and completed with bi-dimensional reconstruction (sagittal, coronal). Post-contrast scans were not consistently performed.
- •
- MRI studies were performed on different equipment with high magnetic fields (1.5 Tesla or 3.0 Tesla system), using a standardized protocol that always comprised one T1-weighted imaging (WI), T2-WI with and without fat suppression (using Fat Sat, Short tau inversion recovery [STIR] or DIXON) and possibly at least one sequence of fat-suppressed T1-WI after contrast administration. At least two orthogonal acquisition planes were available for each patient.
2.4. Imaging Studies Review and Analyses
- (1)
- Affected bone (e.g., tibia) and location (epiphysis, metaphysis, diaphysis, proximal, medial, distal).
- (2)
- Periosteal reaction (present/absent, aggressive or non-aggressive, and type); please see specific references for extensive explanations [11].
- (3)
- Skip lesions (present/absent, number, and site).
- (4)
- (5)
- Lesion main internal pattern (lytic, sclerotic, or mixed).
- (1)
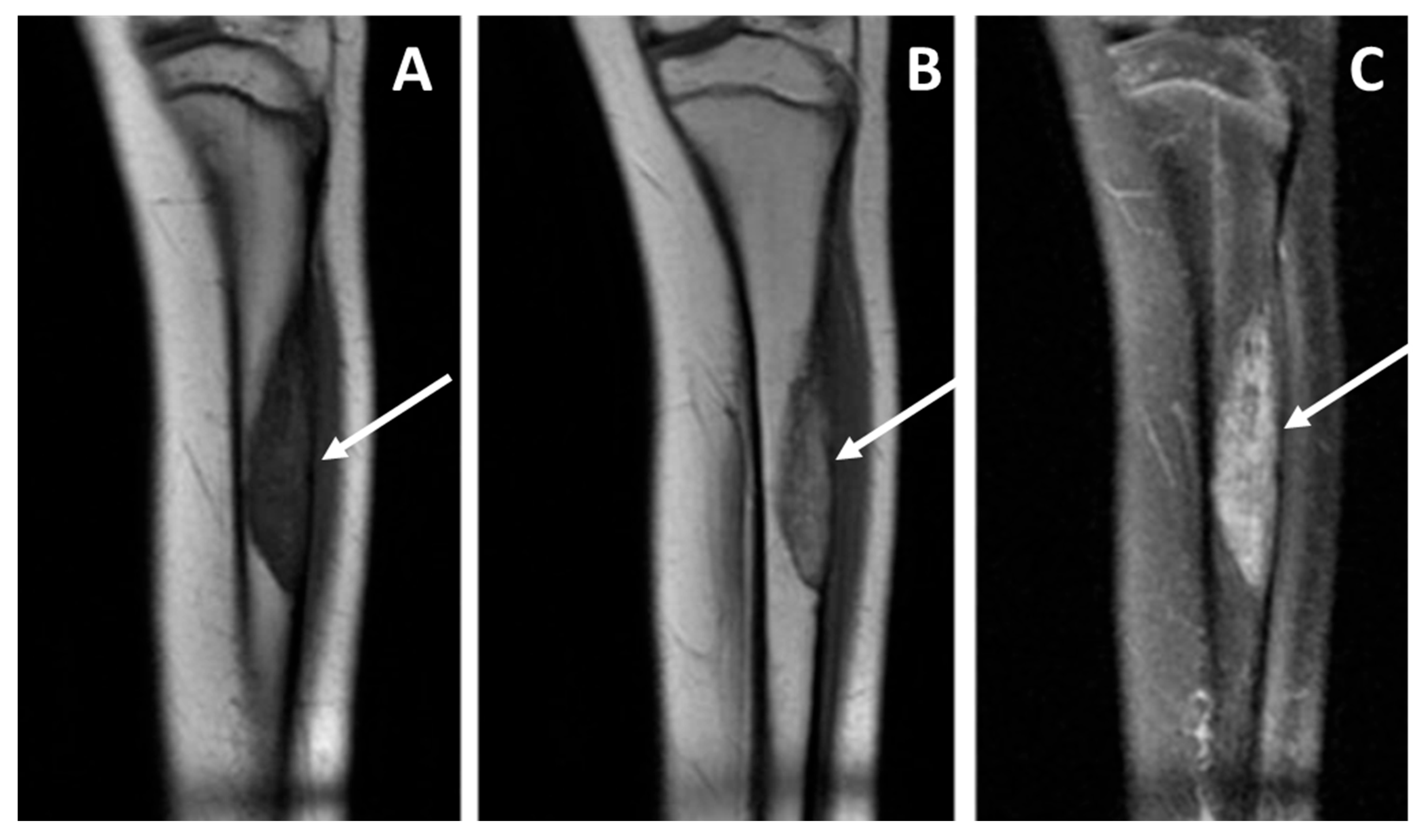
- Tumor extra-skeletal extension in the soft tissues (categorized as: absent, mild [i.e., smaller than the intra-osseous component], moderate [i.e., equal to the intra-osseous component], severe [i.e., larger than the intra-osseous component].
- (2)
- Relationship/contact with the near major vascular bundles (categorized as absent, near <3 mm, in contact, and vascular encasement), as already performed in previous sarcoma studies [14].
- (3)
- Internal necrosis (categorized as absent or present [i.e., macroscopic non-enhancing areas after contrast media intravenous injection]).
- (4)
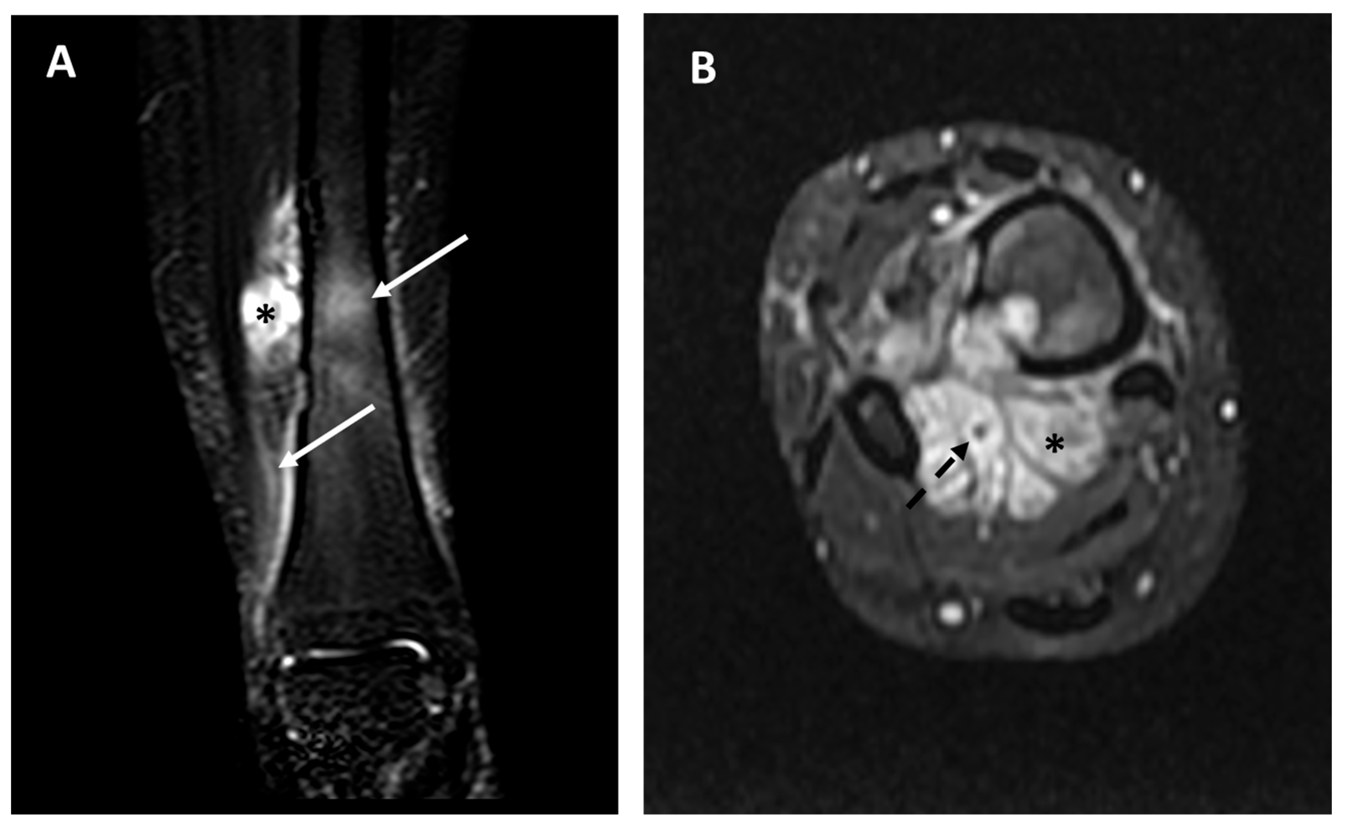
- Peritumoral edema (categorized as absent, focal [only intraosseous, or only extra-osseous], and diffuse [intra- and extra-osseous]).
- (5)
- Peritumoral enhancement (categorized as absent, focal, or diffuse).
2.5. Statistical Analysis
3. Results
3.1. Clinical Data
3.2. Available Imaging Studies
3.3. Associations with Metastatic Occurrence
MRI-Based Risk Models
4. Discussion
5. Conclusions
Author Contributions
Funding
Institutional Review Board Statement
Informed Consent Statement
Data Availability Statement
Acknowledgments
Conflicts of Interest
References
- Jain, D.; Jain, V.K.; Vasishta, R.K.; Ranjan, P.; Kumar, Y. Adamantinoma: A clinicopathological review and update. Diagn. Pathol. 2008, 3, 8. [Google Scholar] [CrossRef] [PubMed] [PubMed Central]
- Mirra, J.M.; Picci, P.; Gold, R.H. Adamantinoma and fibrous dysplasia. In Bone Tumors, 1st ed.; Mirra, J.M., Ed.; Lea & Febiger: Philadelphia, PA, USA, 1989; pp. 1203–1231. [Google Scholar]
- Fisher, B. Primary adamantinoma of the tibia. Z. Pathol. 1913, 12, 422–441. [Google Scholar]
- Ryrie, B.J. Adamantinoma of the tibia: Aetiology and pathogenesis. BMJ 1932, 2, 1000–1003. [Google Scholar] [CrossRef] [PubMed]
- Dockerty, M.B.; Meyerding, H.W. Adamantinoma of the tibia. Report of 2 new cases. JAMA 1942, 119, 932–937. [Google Scholar] [CrossRef]
- Moon, N.F.; Mori, H. Adamantinoma of the appendicular skeleton—Updated. Clin. Orthop. 1986, 204, 215. [Google Scholar] [CrossRef]
- Varvarousis, D.N.; Skandalakis, G.P.; Barbouti, A.; Papathanakos, G.; Filis, P.; Tepelenis, K.; Kitsouli, A.; Kanavaros, P.; Kitsoulis, P. Adamantinoma: An Updated Review. In Vivo 2021, 35, 3045–3052. [Google Scholar] [CrossRef] [PubMed] [PubMed Central]
- Nielsen, G.P.; Hogendoorn, P.C.W. Adamantinoma. In World Health Organization Classification of Tumours of Soft Tissue and Bone, 5th ed.; Classification of Tumours Editorial Board, Ed.; IARC Press: Lyon, France, 2020; pp. 463–466. [Google Scholar]
- Patel, V.; Ortiz, S.; Ottley, A.; Kaspari, A.; Laird, P.; Schwartz, G. Meta-analysis of 65 Adamantinoma case reports: Unveiling symptomatology, demographics, and treatment outcomes in contrast to prior understandings. J. Orthop. 2024, 60, 78–82. [Google Scholar] [CrossRef] [PubMed] [PubMed Central]
- Caracciolo, J.T.; Temple, H.T.; Letson, G.D.; Kransdorf, M.J. A Modified Lodwick-Madewell Grading System for the Evaluation of Lytic Bone Lesions. AJR Am. J. Roentgenol. 2016, 207, 150–156. [Google Scholar] [CrossRef] [PubMed]
- Matcuk, G.R., Jr.; Waldman, L.E.; Fields, B.K.K.; Colangeli, M.; Palmas, M.; Righi, A.; Filonzi, G.; Crombé, A.; Spinnato, P. Conventional radiography for the assessment of focal bone lesions of the appendicular skeleton: Fundamental concepts in the modern imaging era. Skelet. Radiol. 2025, 54, 1391–1406. [Google Scholar] [CrossRef] [PubMed] [PubMed Central]
- Van der Woude, H.J.; Hazelbag, H.M.; Bloem, J.L.; Taminiau, A.H.; Hogendoorn, P.C. MRI of adamantinoma of long bones in correlation with histopathology. AJR Am. J. Roentgenol. 2004, 183, 1737–1744. [Google Scholar] [CrossRef] [PubMed]
- Spinnato, P.; Colangeli, M.; Crombé, A.; Scalas, G.; Palmas, M.; Frisoni, T.; Errani, C.; Mercatelli, D.; Saenz Mesen, L.; Campanacci, L.; et al. The role of conventional radiography to assess the outcome of oncologic skeletal reconstructions of lower limbs aided by vascularized fibular autograft. Surg. Oncol. 2022, 45, 101886. [Google Scholar] [CrossRef] [PubMed]
- Sambri, A.; Caldari, E.; Montanari, A.; Fiore, M.; Cevolani, L.; Ponti, F.; D’Agostino, V.; Bianchi, G.; Miceli, M.; Spinnato, P.; et al. Vascular Proximity Increases the Risk of Local Recurrence in Soft-Tissue Sarcomas of the Thigh-A Retrospective MRI Study. Cancers 2021, 13, 6325. [Google Scholar] [CrossRef] [PubMed] [PubMed Central]
- Jaffe, H.L. Tumors and Tumorous Conditions of the Bones and Joints; Lea and Febiger: Philadelphia, PA, USA, 1958. [Google Scholar]
- Khanna, M.; Delaney, D.; Tirabosco, R.; Saifuddin, A. Osteofibrous dysplasia, osteofibrous dysplasia-like adamantinoma and adamantinoma: Correlation of radiological imaging features with surgical histology and assessment of the use of radiology in contributing to needle biopsy diagnosis. Skelet. Radiol. 2008, 37, 1077–1084. [Google Scholar] [CrossRef] [PubMed]
- D’Agostino, V.; Ponti, F.; Martella, C.; Miceli, M.; Sambri, A.; De Paolis, M.; Donati, D.M.; Bianchi, G.; Longhi, A.; Crombé, A.; et al. Dimensional assessment on baseline MRI of soft-tissue sarcomas: Longest diameter, sum and product of diameters, and volume-which is the best measurement method to predict patients’ outcomes? Radiol. Med. 2024, 129, 1876–1889. [Google Scholar] [CrossRef] [PubMed]
- Xiu, X.; Li, J.; Duan, L.; Wang, X.; Guo, Z.; Xiao, X.; Han, Q.; Gao, F. Dedifferentiated adamantinoma of long bones: A case report and literature review. Front. Oncol. 2025, 15, 1559965. [Google Scholar] [CrossRef] [PubMed] [PubMed Central]
- Rekhi, B.; Sahay, A.; Puri, A. Clinicopathologic Features of Two Rare Cases of Dedifferentiated Adamantinomas, Including Diagnostic Implications. Int. J. Surg. Pathol. 2019, 27, 193–202. [Google Scholar] [CrossRef] [PubMed]
- Izquierdo, F.M.; Ramos, L.R.; Sánchez-Herráez, S.; Hernández, T.; de Alava, E.; Hazelbag, H.M. Dedifferentiated classic adamantinoma of the tibia: A report of a case with eventual complete revertant mesenchymal phenotype. Am. J. Surg. Pathol. 2010, 34, 1388–1392. [Google Scholar] [CrossRef] [PubMed]
- Liman, A.D.; Liman, A.K.; Shields, J.; Englert, B.; Shah, R. A Case of Metastatic Adamantinoma That Responded Well to Sunitinib. Case Rep. Oncol. Med. 2016, 2016, 5982313. [Google Scholar] [CrossRef] [PubMed] [PubMed Central]
- Spinnato, P.; Simonetti, M.; Di Masi, P.; Crombé, A.; Righi, A.; Bilancia, G.; Tuzzato, M.; Colangeli, M.; Campanacci, L.; Miceli, M. Imaging of Adamantinoma: Radiologic Features Related to Metastatic Risk Prediction. Semin. Musculoskelet. Radiol. 2025, 29, 1–20. [Google Scholar] [CrossRef]











| Age at Diagnosis (Sex) | Skeletal Location | Histological Dedifferentiation/ Dedifferentiated Adamantinoma | Metastasis at Diagnosis | Metastasis During Follow-Up | Radiotherapy (RT) and/or Chemotherapy (ChT) | Current Oncologic Status 1 |
|---|---|---|---|---|---|---|
| 26 (F) | Distal tibial diaphysis + Fibula | No | No | Yes (8 months after diagnosis)—Bones, lungs | RT + ChT | DOD |
| 42 (F) | Proximal tibial diaphysis | No | No | No | No | NED |
| 37 (F) | Proximal tibial diaphysis + Fibula | No | No | No | No | NED |
| 14 (F) | Proximal tibial diaphysis | No | No | Yes (11 months after diagnosis)—Lungs | ChT | DOD |
| 28 (F) | Mid-tibial diaphysis | No | No | No | No | NED |
| 25 (M) | Proximal tibial diaphysis | No | No | No | No | NED |
| 10 (F) | Proximal tibial diaphysis | No | No | No | No | NED |
| 34 (M) | Mid-tibial diaphysis | No | No | No | No | NED |
| 45 (M) | Mid-tibial diaphysis | No | No | No | No | NED |
| 35 (F) | Proximal tibial diaphysis | No | No | No | No | NED |
| 12 (F) | Mid-tibial diaphyisis + Fibula | No | No | No | No | NED |
| 23 (M) | Distal tibial diaphysis | Yes | Yes—Lungs | Yes—Lungs | Cht | DOD |
| 14 (F) | Distal tibial diaphysis | No | No | Yes (18 months after diagnosis)—Lungs | RT | AWD |
| 7 (M) | Distal tibial diaphysis + Fibula | No | No | No | No | NED |
| 20 (M) | Mid- and distal tibial diaphysis | No | No | Yes (16 months after diagnosis)—Lungs | ChT | AWD |
| 22 (F) | Mid-tibial diaphysis | No | No | No | No | NED |
| 42 (F) | Mid-tibial diaphysis | No | No | No | No | NED |
| 28 (F) | Mid-tibial diaphysis + Fibula | No | No | No | No | NED |
| 51 (F) | Mid- and proximal tibial diaphysis | Yes | Yes—Bones, Lymph nodes | Yes—Bones, Lymph nodes, Lungs | ChT | DOD |
| 16 (M) | Mid-tibial diaphysis | No | No | No | No | NED |
| 58 (F) | Proximal tibial diaphysis | No | No | No | No | NED |
| 33 (F) | Distal tibial diaphysis | No | No | No | No | NED |
| Variable | Statistical Test Performed | p-Value | Odds Ratio (95% CI) |
|---|---|---|---|
| Sex (M or F) | Fisher’s exact test | 1.000 | 1.12 (0.11–8.5) |
| Histological dedifferentiation (Yes or No) * | Fisher’s exact test | 0.505 | 4.46 (0.27–174.68) |
| Age at diagnosis | Wilcoxon rank-sum test | 0.424 | N/A |
| Imaging Feature | Non-Metastatic | Metastatic | p-Value |
|---|---|---|---|
| Radiological Pattern: Lytic (0), Mixed (1), Sclerotic (2) | Mixed (9), lytic (6), sclerotic (1) | Mixed (3), lytic (3) | 0.69 |
| Periosteal reaction: absent (0), non-aggressive (1), aggressive (2) | Absent (13), Non-aggressive (2), aggressive (1) | Absent (2), Non-aggressive (2), aggressive (2) | 0.24 |
| Lodwick type (I, II, IIIA, IIIB) * | II (1), III A (11), III B (4) | III A (5), III B (1) | >0.99 |
| Extra-intra osseus extension: Intraosseous only (0), intra- and extra-osseous (1) | Intraosseous only (14), Extra-osseous (2) | Intraosseous only (0), extra-osseous (6) | 0.0004 * |
| Vascular invasion: No vascular contact (0), Vascular contact or encasement (1) | No vascular invasion (16), Vascular invasion (0) | No vascular invasion (1), Vascular invasion (5) | 0.0002 * |
| Unifocal (0), Multifocal (1) | Multifocal (6), Unifocal (10) | Multifocal (1), Unifocal (5) | 0.62 |
| Peritumoral edema: absent or focal (0), diffuse intra and extra-osseous (1) | Absent or focal (14), diffuse (2) | Absent or focal (0), diffuse (6) | 0.0004 * |
| Peritumoral enhancement: absent (0), present (1) | Absent (11), Present (1) | Absent (0), present (5) | 0.001 * |
| Longest diameter (cm)—cutoff 10 cm | >10 cm (7), <10 cm (11) | >10 cm (3), <10 cm (3) | 0.67 |
| Imaging Feature | Non-Metastatic | Metastatic | Odds Ratio (95% CI) | p-Value |
|---|---|---|---|---|
| Extra-intra osseus extension: Intraosseous only (0), intra and extra-osseous (1) | Intraosseous only (14), Extra-osseous (2) | Intraosseous only (0), extra-osseous (6) | 75.40 (3.15 to 1802.71) | 0.01 * |
| Vascular invasion: No vascular contact (0), Vascular contact or encasement (1) | No vascular invasion (16), Vascular invasion (0) | Novascular invasion (5), Vascular invasion (1) | 121.00 (4.28 to 3424.73) | 0.01 * |
| Peritumoral edema: absent or focal (0), diffuse intra and extra-osseous (1) | Absent or focal (14), diffuse (2) | Absent or focal (0), diffuse (6) | 75.40 (3.15 to 1802.71) | 0.01 * |
| Peritumoral enhancement: absent (0), present (1) | Absent (11), Present (1) | Absent (0), present (5) | 84.33 (2.93 to 2423.26) | 0.01 * |
| N. of Variables | Sensitivity (95% CI) | Specificity (95% CI) | Accuracy |
|---|---|---|---|
| 2/3 | 100% (54.07% to 100%) | 93.75% (69.67% to 99.84%) | 95.45% (77.16% to 99.88%) |
| 3/3 | 83.33% (35.88% to 99.58%) | 100% (74.1% to 100%) | 95.45% (77.16% to 99.88%) |
Disclaimer/Publisher’s Note: The statements, opinions and data contained in all publications are solely those of the individual author(s) and contributor(s) and not of MDPI and/or the editor(s). MDPI and/or the editor(s) disclaim responsibility for any injury to people or property resulting from any ideas, methods, instructions or products referred to in the content. |
© 2025 by the authors. Licensee MDPI, Basel, Switzerland. This article is an open access article distributed under the terms and conditions of the Creative Commons Attribution (CC BY) license (https://creativecommons.org/licenses/by/4.0/).
Share and Cite
Simonetti, M.; Colangeli, M.; Di Masi, P.; Bilancia, G.; D’Agostino, V.; Palmerini, E.; Tuzzato, G.; Campanacci, L.; Righi, A.; Crombé, A.; et al. Imaging Analysis for Metastatic Risk Assessment in Adamantinoma: The Aid of Radiology in the Absence of a Histological Grading—An MRI-Based Risk Model Proposal. Diagnostics 2025, 15, 3124. https://doi.org/10.3390/diagnostics15243124
Simonetti M, Colangeli M, Di Masi P, Bilancia G, D’Agostino V, Palmerini E, Tuzzato G, Campanacci L, Righi A, Crombé A, et al. Imaging Analysis for Metastatic Risk Assessment in Adamantinoma: The Aid of Radiology in the Absence of a Histological Grading—An MRI-Based Risk Model Proposal. Diagnostics. 2025; 15(24):3124. https://doi.org/10.3390/diagnostics15243124
Chicago/Turabian StyleSimonetti, Mario, Marco Colangeli, Paola Di Masi, Gabriele Bilancia, Valerio D’Agostino, Emanuela Palmerini, Gianmarco Tuzzato, Laura Campanacci, Alberto Righi, Amandine Crombé, and et al. 2025. "Imaging Analysis for Metastatic Risk Assessment in Adamantinoma: The Aid of Radiology in the Absence of a Histological Grading—An MRI-Based Risk Model Proposal" Diagnostics 15, no. 24: 3124. https://doi.org/10.3390/diagnostics15243124
APA StyleSimonetti, M., Colangeli, M., Di Masi, P., Bilancia, G., D’Agostino, V., Palmerini, E., Tuzzato, G., Campanacci, L., Righi, A., Crombé, A., & Spinnato, P. (2025). Imaging Analysis for Metastatic Risk Assessment in Adamantinoma: The Aid of Radiology in the Absence of a Histological Grading—An MRI-Based Risk Model Proposal. Diagnostics, 15(24), 3124. https://doi.org/10.3390/diagnostics15243124

