Fever of Unknown Origin and Penetrating Aortic Ulcer Successfully Treated with Thoracic Endovascular Aortic Repair—A Case Report
Abstract
1. Introduction
2. Case Description
2.1. History
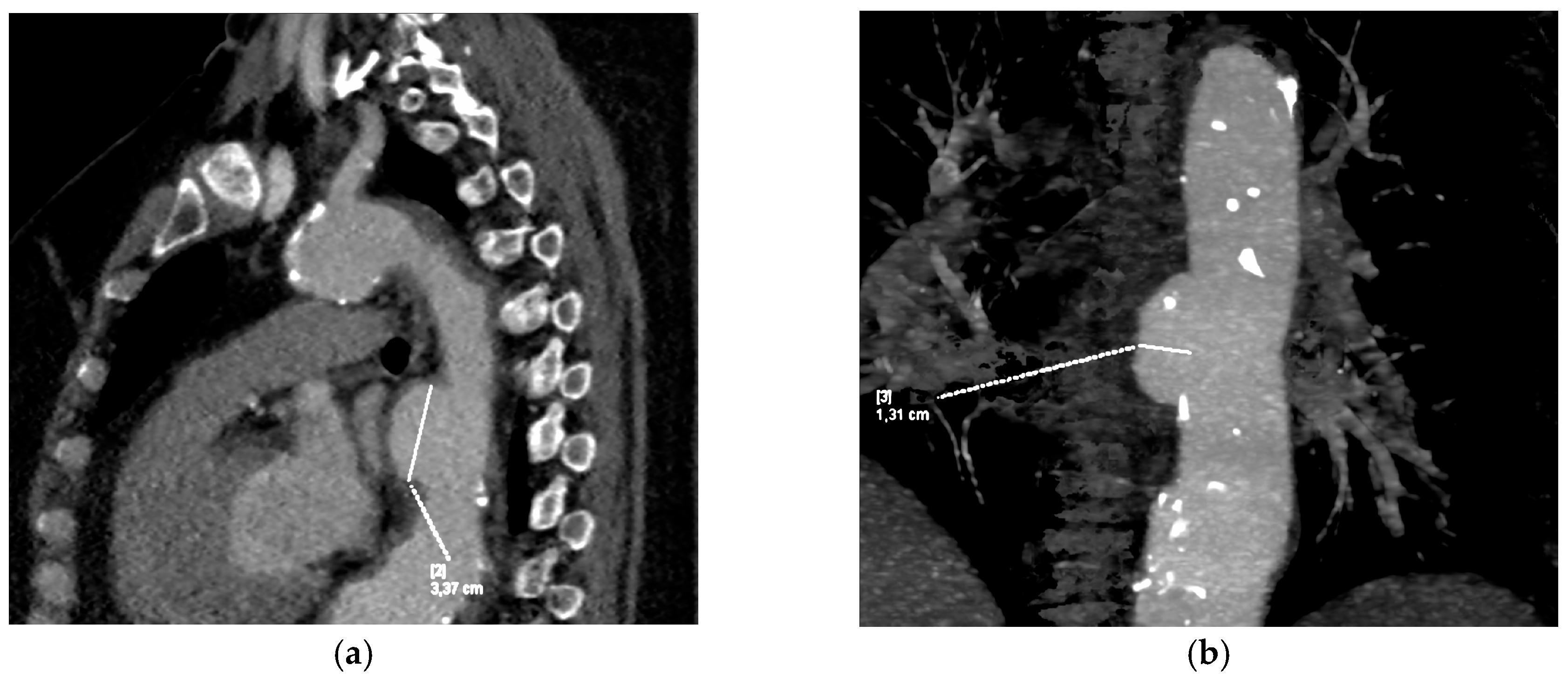
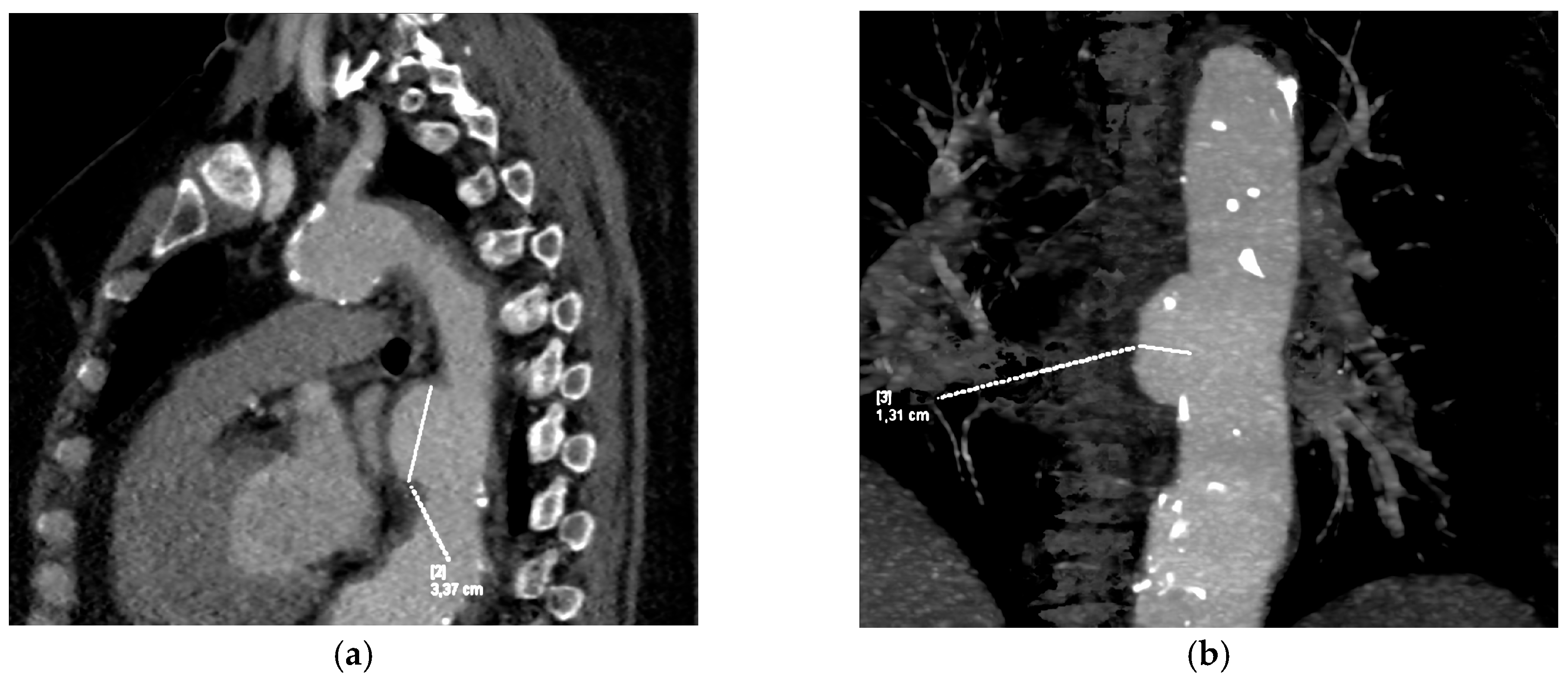
2.2. Imaging
2.3. Management
3. Discussion
3.1. Differences Between LVV-GCA and PAU
3.2. Treatment
3.3. Prognosis
4. Conclusions
Author Contributions
Funding
Institutional Review Board Statement
Informed Consent Statement
Data Availability Statement
Conflicts of Interest
Abbreviations
| LVV | Large vessel vasculitis |
| FUO | Fever of unknown origin |
| ESR | Eritrocyte sedimentation rate |
| CRP | C-reactive protein |
| RF | Reuma factor |
| ANA | Anti-nuclear antibody |
| ANCA | Anti-neutrophil cytoplasmic antibody |
| HBV | Hepatitis B virus |
| HCV | Hepatitis C virus |
| EBV | Ebstein–Barr virus |
| CVM | Cytomegalovirus |
| HRCT | High-resolution computed tomography scan |
| PAU | Penetrating aortic ulcer |
| PET CT | Positron emission tomography–-computed tomography |
| TEVAR | Thoracis endovascular aortic repair |
| GCA | Gigantocellular arteritis |
| BMI | Body mass index |
| ACE | Angiotensin-converting enzyme |
| IV | Intravenous |
| ACC | Arteria carotis communis |
| ACI | Arteria carotis interna |
| ACE | Arteria carotis externa |
| AV | Arteriovenous (malformation) |
| RA | Rheumatoid arthritis |
| SpA | Spondiloarthritis |
| SLE | Systemic lupus erythematosus |
| VEXAS | Vacuoles, E1 enzyme, X-linked, Autoinflammatory, Somatic syndrome |
| CTA | Computed tomography angiography |
| MR | Magnetic resonance |
| ULP | Ulcer-like projection |
| IMH | Intramural Hematoma |
References
- Li, K.J.; Semenov, D.; Turk, M.; Pope, J. A Meta-Analysis of the Epidemiology of Giant Cell Arteritis across Time and Space. Arthritis Res. Ther. 2021, 23, 82. [Google Scholar] [CrossRef] [PubMed]
- Rodrigues, F.; Abad, S.; Elourimi, G.; Le Jeune, S.; Mourad, J.-J.; Warzocha, U.; Larroche, C.; Boissier, M.C.; Bourgarit-Durand, A.; Brillet, P.Y.; et al. Thoracic Aorta Involvement in Giant Cell Arteritis: A Case-Control Analysis of Morphological Data at Diagnosis. Clin. Exp. Rheumatol. 2020, 38, 140–143. Available online: https://www.clinexprheumatol.org/abstract.asp?a=13032 (accessed on 27 November 2025). [PubMed]
- Dejaco, C.; Ramiro, S.; Bond, M.; Bosch, P.; Ponte, C.; Mackie, S.L.; Bley, T.A.; Blockmans, D.; Brolin, S.; Bolek, E.C.; et al. EULAR Recommendations for the Use of Imaging in Large Vessel Vasculitis in Clinical Practice: 2023 Update. Ann. Rheum. Dis. 2024, 83, 741–751. [Google Scholar] [CrossRef] [PubMed]
- DeCarlo, C.; Latz, C.A.; Boitano, L.T.; Kim, Y.; Tanious, A.; Schwartz, S.I.; Patell, R.; Mohebali, J.; Dua, A. Prognostication of Asymptomatic Penetrating Aortic Ulcers: A Modern Approach. Circulation 2021, 144, 1091–1101. [Google Scholar] [CrossRef] [PubMed]
- DeMartino, R.R.; Sen, I.; Huang, Y.; Bower, T.C.; Oderich, G.S.; Pochettino, A.; Greason, K.; Kalra, M.; Johnstone, J.; Shuja, F.; et al. Population-Based Assessment of the Incidence of Aortic Dissection, Intramural Hematoma, and Penetrating Ulcer, and Its Associated Mortality from 1995 to 2015. Circ. Cardiovasc. Qual. Outcomes 2018, 11, e004689. [Google Scholar] [CrossRef] [PubMed]
- Zhang, R.; Sun, L.; Li, Y.; Li, C.; Zheng, X.; Hao, Y. Risk Factors for Penetrating Aortic Ulcer Progression. Ann. Vasc. Surg. 2025, 110, 23–31. [Google Scholar] [CrossRef] [PubMed]
- Ramon, A.; Greigert, H.; Ornetti, P.; Bonnotte, B.; Samson, M. Mimickers of Large Vessel Giant Cell Arteritis. J. Clin. Med. 2022, 11, 495. [Google Scholar] [CrossRef] [PubMed]
- Gornik, H.L.; Creager, M.A. Aortitis. Circulation 2008, 117, 3039–3051. [Google Scholar] [CrossRef] [PubMed]
- Espitia, O.; Blonz, G.; Urbanski, G.; Landron, C.; Connault, J.; Lavigne, C.; Roblot, P.; Maillot, F.; Audemard-Verger, A.; Artifoni, M.; et al. Symptomatic Aortitis at Giant Cell Arteritis Diagnosis: A Prognostic Factor of Aortic Event. Arthritis Res. Ther. 2021, 23, 14. [Google Scholar] [CrossRef] [PubMed]
- Monti, S.; Schäfer, V.S.; Muratore, F.; Salvarani, C.; Montecucco, C.; Luqmani, R. Updates on the Diagnosis and Monitoring of Giant Cell Arteritis. Front. Med. 2023, 10, 1125141. [Google Scholar] [CrossRef] [PubMed]
- Murad, V.; Ortega, C.; Hanneman, K.; Chung, J.; Metser, U. Asymptomatic Penetrating Atherosclerotic Ulcer Findings on 18 F-FDG PET/CT. Clin. Nucl. Med. 2023, 48, e570–e571. [Google Scholar] [CrossRef] [PubMed]
- Nathan, D.P.; Boonn, W.; Lai, E.; Wang, G.J.; Desai, N.; Woo, E.Y.; Fairman, R.M.; Jackson, B.M. Presentation, Complications, and Natural History of Penetrating Atherosclerotic Ulcer Disease. J. Vasc. Surg. 2012, 55, 10–15. [Google Scholar] [CrossRef] [PubMed]
- Juraszek, A.; Bayer, G.; Dziodzio, T.; Kral, A.; Laufer, G.; Ehrlich, M. Evaluation of the Intraoperative Specimens of the Thoracic and Abdominal Aorta. J. Cardiothorac. Surg. 2013, 8, 110. [Google Scholar] [CrossRef] [PubMed]
- Otsuka, Y.; Oka, K.; Hanayama, Y.; Otsuka, F. Ulcer-like Projection Accompanied by Giant Cell Arteritis. Intern. Med. 2021, 60, 819–820. [Google Scholar] [CrossRef] [PubMed]
- Salim, S.; Locci, R.; Martin, G.; Gibbs, R.; Jenkins, M.; Hamady, M.; Riga, C.; Bicknell, C. Imperial Vascular Unit Collaborators Short- and Long-Term Outcomes in Isolated Penetrating Aortic Ulcer Disease. J. Vasc. Surg. 2020, 72, 84–91. [Google Scholar] [CrossRef] [PubMed]
- Murana, G.; Di Marco, L.; Fiorentino, M.; Buia, F.; Brillanti, G.; Lovato, L.; Pacini, D. Endovascular Treatment of Penetrating Atherosclerotic Ulcers of the Arch and Thoracic Aorta: In-Hospital and 5-Year Outcomes. JTCVS Open 2022, 10, 12–21. [Google Scholar] [CrossRef] [PubMed]
- Evangelista, A.; Rodríguez-Palomares, J. Penetrating Aortic Ulcer; Erbel, R., Ed.; Oxford University Press: Oxford, UK, 2018. [Google Scholar]
- Awiwi, M.; Kandemirli, V.B.; Kokash, D.; Hossain, F.; Gjoni, M.; Odisio, E.; Ocazionez, D.; Ferguson, E.; Hanna, M.; Duran, C. Complications of thoracic endovascular aneurysm repair (TEVAR): A pictorial review. Curr. Probl. Diagn. Radiol. 2024, 53, 648–661. [Google Scholar] [CrossRef] [PubMed]
- Isselbacher, E.M.; Preventza, O.; Hamilton Black, J., 3rd; Augoustides, J.G.; Beck, A.W.; Bolen, M.A.; Braverman, A.C.; Bray, B.E.; Brown-Zimmerman, M.M.; Chen, E.P.; et al. 2022 ACC/AHA Guideline for the Diagnosis and Management of Aortic Disease: A Report of the American Heart Association/American College of Cardiology Joint Committee on Clinical Practice Guidelines. Circulation 2022, 146, e334–e482. [Google Scholar] [CrossRef] [PubMed]
- Bellomo, T.R.; DeCarlo, C.; Khoury, M.K.; Lella, S.K.; Png, C.Y.M.; Kim, Y.; Pendleton, A.A.; Majumdar, M.; Zacharias, N.; Dua, A. Outcomes of Symptomatic Penetrating Aortic Ulcer and Intramural Hematoma in the Endovascular Era. J. Vasc. Surg. 2023, 78, 1180–1187. [Google Scholar] [CrossRef] [PubMed]
- Yang, L.; Zhang, Q.-Y.; Wang, X.-Z.; Zhao, X.; Liu, X.-Z.; Wang, P.; Jing, Q.-M.; Han, Y.-L. Long-Term Imaging Evolution and Clinical Prognosis among Patients with Acute Penetrating Aortic Ulcers: A Retrospective Observational Study. J. Am. Heart Assoc. 2020, 9, e014505. [Google Scholar] [CrossRef] [PubMed]


Disclaimer/Publisher’s Note: The statements, opinions and data contained in all publications are solely those of the individual author(s) and contributor(s) and not of MDPI and/or the editor(s). MDPI and/or the editor(s) disclaim responsibility for any injury to people or property resulting from any ideas, methods, instructions or products referred to in the content. |
© 2025 by the authors. Licensee MDPI, Basel, Switzerland. This article is an open access article distributed under the terms and conditions of the Creative Commons Attribution (CC BY) license (https://creativecommons.org/licenses/by/4.0/).
Share and Cite
Jakljević, T.; Kunovac, F.; Zekić, T.; Tomulić, V. Fever of Unknown Origin and Penetrating Aortic Ulcer Successfully Treated with Thoracic Endovascular Aortic Repair—A Case Report. Diagnostics 2025, 15, 3077. https://doi.org/10.3390/diagnostics15233077
Jakljević T, Kunovac F, Zekić T, Tomulić V. Fever of Unknown Origin and Penetrating Aortic Ulcer Successfully Treated with Thoracic Endovascular Aortic Repair—A Case Report. Diagnostics. 2025; 15(23):3077. https://doi.org/10.3390/diagnostics15233077
Chicago/Turabian StyleJakljević, Tomislav, Franka Kunovac, Tatjana Zekić, and Vjekoslav Tomulić. 2025. "Fever of Unknown Origin and Penetrating Aortic Ulcer Successfully Treated with Thoracic Endovascular Aortic Repair—A Case Report" Diagnostics 15, no. 23: 3077. https://doi.org/10.3390/diagnostics15233077
APA StyleJakljević, T., Kunovac, F., Zekić, T., & Tomulić, V. (2025). Fever of Unknown Origin and Penetrating Aortic Ulcer Successfully Treated with Thoracic Endovascular Aortic Repair—A Case Report. Diagnostics, 15(23), 3077. https://doi.org/10.3390/diagnostics15233077

