PR3-ANCA Positive Behçet’s Disease with Severe Multisystem Involvement: A Diagnostic Challenge
Abstract
1. Introduction
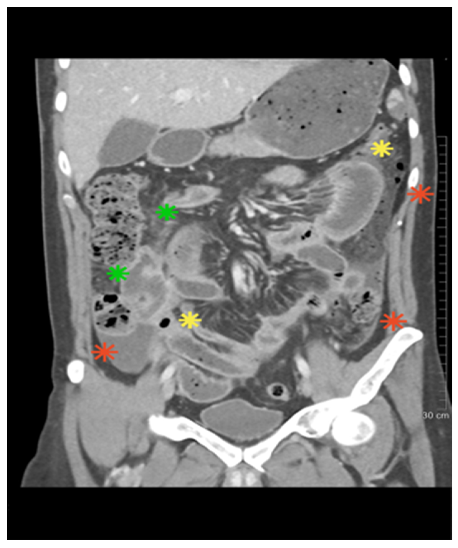
2. Case Report
3. Discussion
4. Conclusions
Author Contributions
Funding
Institutional Review Board Statement
Informed Consent Statement
Data Availability Statement
Conflicts of Interest
References
- Jennette, J.C.; Falk, R.J.; Bacon, P.A.; Basu, N.; Cid, C.; Ferrario, F.; Flores-Suarez, L.F.; Gross, W.L.; Guillevin, L.; Hagen, E.C.; et al. 2012 Revised International Chapel Hill Consensus Conference Nomenclature of Vasculitides. Arthritis Rheum. 2013, 65, 1–11. [Google Scholar] [CrossRef]
- Sakane, T.; Takeno, M.; Suzuki, N.; Inaba, G. Behçet’s disease. N. Engl. J. Med. 1999, 341, 1284–1291. [Google Scholar] [CrossRef]
- Kim, M.K.; Kwon, H.C.; Song, J.J.; Park, Y.B.; Lee, S.W. Antineutrophil cytoplasmic antibody positivity is associated with vascular involvement in Behçet’s disease. Yonsei Med. J. 2021, 62, 149–158. [Google Scholar] [CrossRef]
- Duzgun, N.; Sahin, M.; Ayaslioglu, E. Anti-neutrophil cytoplasmic antibody in Behçet’s disease. Int. J. Biomed. Sci. 2006, 2, 49–52. [Google Scholar] [CrossRef] [PubMed]
- International Team for the Revision of the International Criteria for Behçet’s Disease (ITR-ICBD). The International Criteria for Behçet’s Disease (ICBD): A collaborative study of 27 countries on the sensitivity and specificity of the new criteria. J. Eur. Acad. Dermatol. Venereol. 2014, 28, 338–347. [Google Scholar] [CrossRef]
- Robson, J.C.; Grayson, P.C.; Ponte, C.; Suppiah, R.; Craven, A.; Judge, A.; Khalid, S.; Hutchings, A.; Watts, R.A.; Merkel, P.A.; et al. 2022 American College of Rheumatology/European Alliance of Associations for Rheumatology classification criteria for granulomatosis with polyangiitis. Ann. Rheum. Dis. 2022, 81, 315–320. [Google Scholar] [CrossRef]
- Alesaeidi, S.; Shahidi, S.; Hosseini, S.S.; Tavakoli, A. Overlap syndrome between granulomatosis with polyangiitis and Behçet’s disease: A case report. Clin. Rheumatol. 2017, 36, 2167–2170. [Google Scholar]
- Sbroglio, L.L.; Milleni de Araújo, K.; Passos Leite dos Santos, B.; Gripp, A.C. Case for diagnosis. Ulcerated lesions: A diagnostic challenge in Behçet’s syndrome. An. Bras. De Dermatol. 2021, 96, 494–496. [Google Scholar] [CrossRef]
- Sakthivel S, Upreti S.When Vasculitides Collide: A Rare Case of Behçet’s Disease and Granulomatosis with Polyangiitis. In Biologic Therapies Summit XI & Vasculitis; Cleveland Clinic: Cleveland, OH, USA, 2025.
- Millet, A.; Pederzoli-Ribeil, M.; Guillevin, L.; Witko-Sarsat, V.; Mouthon, L. Antineutrophil cytoplasmic antibody-associated vasculitides: Is it time to split up the group? Ann. Rheum. Dis. 2013, 72, 1273–1279. [Google Scholar] [CrossRef] [PubMed]
- Nikolic, R.; Garner, S. Behçet’s Disease and PR3 ANCA-Associated Vasculitis Overlap Successfully Treated with Rituximab. In Proceedings of the 21st International Vasculitis Workshop, Barcelona, Spain, 7–10 April 2024. [Google Scholar]
- Oygar, D.D.; Morris, Y. Behçet’s Disease and Anti-neutrophil Cytoplasmic Antibody (ANCA)-Associated Vasculitis. Intern. Med. 2016, 55, 2225–2228. [Google Scholar] [CrossRef] [PubMed][Green Version]
- Burrows, N.P.; Zhao, M.H.; Norris, P.G.; Lockwood, C.M. ANCA associated with Behçet’s disease. J. R. Soc. Med. 1996, 89, 47P–48P. [Google Scholar] [CrossRef]
- Ohta, S.; Yokoyama, H.; Matsuda, I.; Sezawa, H.; Hisada, Y.; Wada, T.; Takaeda, M.; Ogi, M.; Naito, T.; Takasawa, K.; et al. A case of ANCA-associated rapidly progressive glomerulonephritis with oral aphtha and erythema nodosum. Nihon Jinzo Gakkai Shi 1994, 36, 1184–1190. [Google Scholar]
- Xiao, H.; Hu, P.; Falk, R.J.; Jennette, J.C. Overview of the pathogenesis of ANCA-associated vasculitis. Kidney Dis. 2016, 1, 205–215. [Google Scholar] [CrossRef] [PubMed]
- Kessenbrock, K.; Krumbholz, M.; Schönermarck, U.; Back, W.; Gross, W.L.; Werb, Z.; Gröne, H.-J.; Brinkmann, V.; Jenne, D.E. Netting neutrophils in autoimmune small-vessel vasculitis. Nat. Med. 2009, 15, 623–625. [Google Scholar] [CrossRef]
- Arneth, B.; Arneth, R. Neutrophil extracellular traps (NETs) and vasculitis. Int. J. Med. Sci. 2021, 18, 1532–1540. [Google Scholar] [CrossRef] [PubMed]
- Bacon, P.A. Endothelial cell dysfunction in systemic vasculitis: New development and therapeutic prospects. Curr. Opin. Rheumatol. 2005, 17, 49–55. [Google Scholar] [CrossRef]
- Wang, W.; Luo, W.; Shen, Y.; Zhou, Y.; Xu, J. Complement system in ANCA-associated vasculitis and Behçet’s disease. Front. Immunol. 2021, 12, 684013. [Google Scholar]
- Soowamber, M.; Weizman, A.V.; Pagnoux, C. Gastrointestinal aspects of vasculitides. Nat. Rev. Gastroenterol. Hepatol. 2017, 14, 185–194. [Google Scholar] [CrossRef]
- Hatemi, I.; Hatemi, G.; Çelik, A.F. Gastrointestinal involvement in Behçet’s disease. Rheum. Dis. Clin. N. Am. 2018, 44, 45–64. [Google Scholar] [CrossRef]
- Silveira, L.H. Cardiovascular manifestations of Systemic vasculitides. Curr. Rheumatol. Rep. 2020, 22, 72. [Google Scholar] [CrossRef]
- Bello, F.; Bagni, G.; Seyahi, E.; Chiara, E.; Olivotto, I.; Saadoun, D.; Emmi, G. Cardiac Manifestations in Behçet’s syndrome. Curr. Rheumatol. Rep. 2025, 27, 31. [Google Scholar] [CrossRef]
- Emmi, G.; Silvestri, E.; Squatrito, D.; Amedei, A.; Niccolai, E.; D’Elios, M.M.; Della Bella, C.; Grassi, A.; Becatti, M.; Fiorillo, C.; et al. Thromboembolism in vasculitis: From pathogenesis to treatment. Thromb. J. 2015, 13, 15. [Google Scholar] [CrossRef]
- Yates, M.; A Watts, R.; Bajema, I.M.; Cid, M.C.; Crestani, B.; Hauser, T.; Hellmich, B.; Holle, J.U.; Laudien, M.; A Little, M.; et al. EULAR recommendations for management of ANCA-associated vasculitis. Ann. Rheum. Dis. 2016, 75, 1583–1594. [Google Scholar] [CrossRef] [PubMed]
- Hatemi, G.; Seyahi, E.; Fresko, I.; Talarico, R.; Hamuryudan, V. Behçet’s syndrome:one year in Review 2024. Clin. Exp. Rheumatol. 2024, 42, 1999–2007. [Google Scholar]
- Alibaz-Oner, F.; Direskeneli, H. Advances in the treatment of Behçet’s disease. Curr. Rheumatol. Rep. 2021, 23, 47. [Google Scholar] [CrossRef]
- Sulu, B.; Hatemi, G. New and future perspectives in Behçet’s syndrome. Arch. Rheumatol. 2024, 39, 511–521. [Google Scholar] [CrossRef]
- Alibaz-Öner, F.; Direskeneli, H. Biologic treatmens in Behçet’s disease. Eur. J. Rheumatol. 2021, 8, 217–222. [Google Scholar] [CrossRef] [PubMed]
- Lee, T.G.; Ha, J.W.; Song, J.J.; Park, Y.B.; Lee, S.W. Reclassification of the overlap syndrome of Behçet’s disease and antineutrophil cytoplasmic antibody-associated vasculitis in patients with Behçet’s disease. Korean J. Intern. Med. 2025, 40, 135–147. [Google Scholar] [CrossRef] [PubMed]


| Manifestations/Criteria | Behçet’s Disease (ICBD 2014) | Granulomatosis with Polyangiitis (ACR/EULAR 2022) | Patient (Case Report) | Interpretation-Dominant Phenotype |
|---|---|---|---|---|
| Oral ulcers | Mandatory (recurrent, +2 points) | Not typical | Recurrent | Strongly supports BD |
| Genital ulcers | High specificity (+2) | Rare | Present | Strongly supports BD |
| Ocular involvement | Typical (uveitis, retinal vasculitis) | Possible but less common | Iridocyclitis | Supports BD |
| Skin lesions | Erythema nodosum, pustules (+1) | Nonspecific | Absent | Neutral |
| Vascular manifestations | Venous/arterial thrombosis, aneurysms | Necrotizing vasculitis also possible | Pulmonary embolism, MINOCA | More typical of BD |
| Gastrointestinal perforations | Characteristic, esp. ileocecal/jejunal | Exceedingly rare (<10%) | 4 jejunal perforations | Decisive for BD |
| ENT involvement | Rare | Very typical (sinusitis, granulomas, septal perforation) | Sinusitis, septal perforation | Supports GPA |
| Pulmonary lesions | Rare | Common (nodules, alveolar hemorrhage) | Absent | Against GPA |
| Renal involvement | Rare, mild | Frequent (GN, hematuria, proteinuria) | Microscopic hematuria, mild proteinuria | Mild GPA-like feature |
| HLA-B*51 positivity | Strong association | Not relevant | Positive | Supports BD |
| PR3-ANCA positivity | Rare (~2% of BD) | Hallmark of GPA | Strongly positive | Misleading, but not decisive |
| Overall phenotype | Fits BD criteria (≥4 points) | Partial GPA-like features | — | Severe BD with PR3-ANCA |
Disclaimer/Publisher’s Note: The statements, opinions and data contained in all publications are solely those of the individual author(s) and contributor(s) and not of MDPI and/or the editor(s). MDPI and/or the editor(s) disclaim responsibility for any injury to people or property resulting from any ideas, methods, instructions or products referred to in the content. |
© 2025 by the authors. Licensee MDPI, Basel, Switzerland. This article is an open access article distributed under the terms and conditions of the Creative Commons Attribution (CC BY) license (https://creativecommons.org/licenses/by/4.0/).
Share and Cite
Plavsic, A.; Arandjelovic, S.; Karic, U.; Ljubicic, J.; Stanisavljevic, J.; Hadzibegovic, A.; Vasin, D.; Marjanovic, S.; Miskovic, R. PR3-ANCA Positive Behçet’s Disease with Severe Multisystem Involvement: A Diagnostic Challenge. Diagnostics 2025, 15, 2897. https://doi.org/10.3390/diagnostics15222897
Plavsic A, Arandjelovic S, Karic U, Ljubicic J, Stanisavljevic J, Hadzibegovic A, Vasin D, Marjanovic S, Miskovic R. PR3-ANCA Positive Behçet’s Disease with Severe Multisystem Involvement: A Diagnostic Challenge. Diagnostics. 2025; 15(22):2897. https://doi.org/10.3390/diagnostics15222897
Chicago/Turabian StylePlavsic, Aleksandra, Snezana Arandjelovic, Uros Karic, Jelena Ljubicic, Jovana Stanisavljevic, Adi Hadzibegovic, Dragan Vasin, Sergej Marjanovic, and Rada Miskovic. 2025. "PR3-ANCA Positive Behçet’s Disease with Severe Multisystem Involvement: A Diagnostic Challenge" Diagnostics 15, no. 22: 2897. https://doi.org/10.3390/diagnostics15222897
APA StylePlavsic, A., Arandjelovic, S., Karic, U., Ljubicic, J., Stanisavljevic, J., Hadzibegovic, A., Vasin, D., Marjanovic, S., & Miskovic, R. (2025). PR3-ANCA Positive Behçet’s Disease with Severe Multisystem Involvement: A Diagnostic Challenge. Diagnostics, 15(22), 2897. https://doi.org/10.3390/diagnostics15222897

