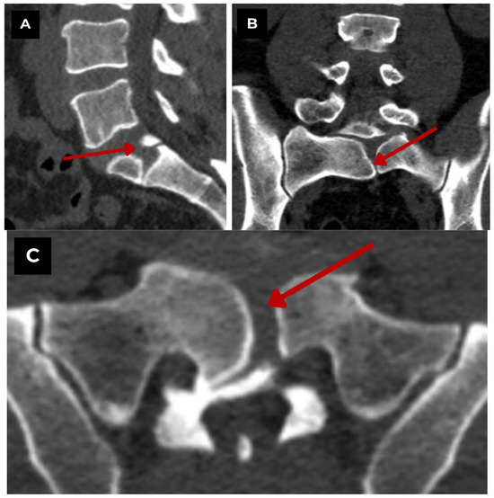
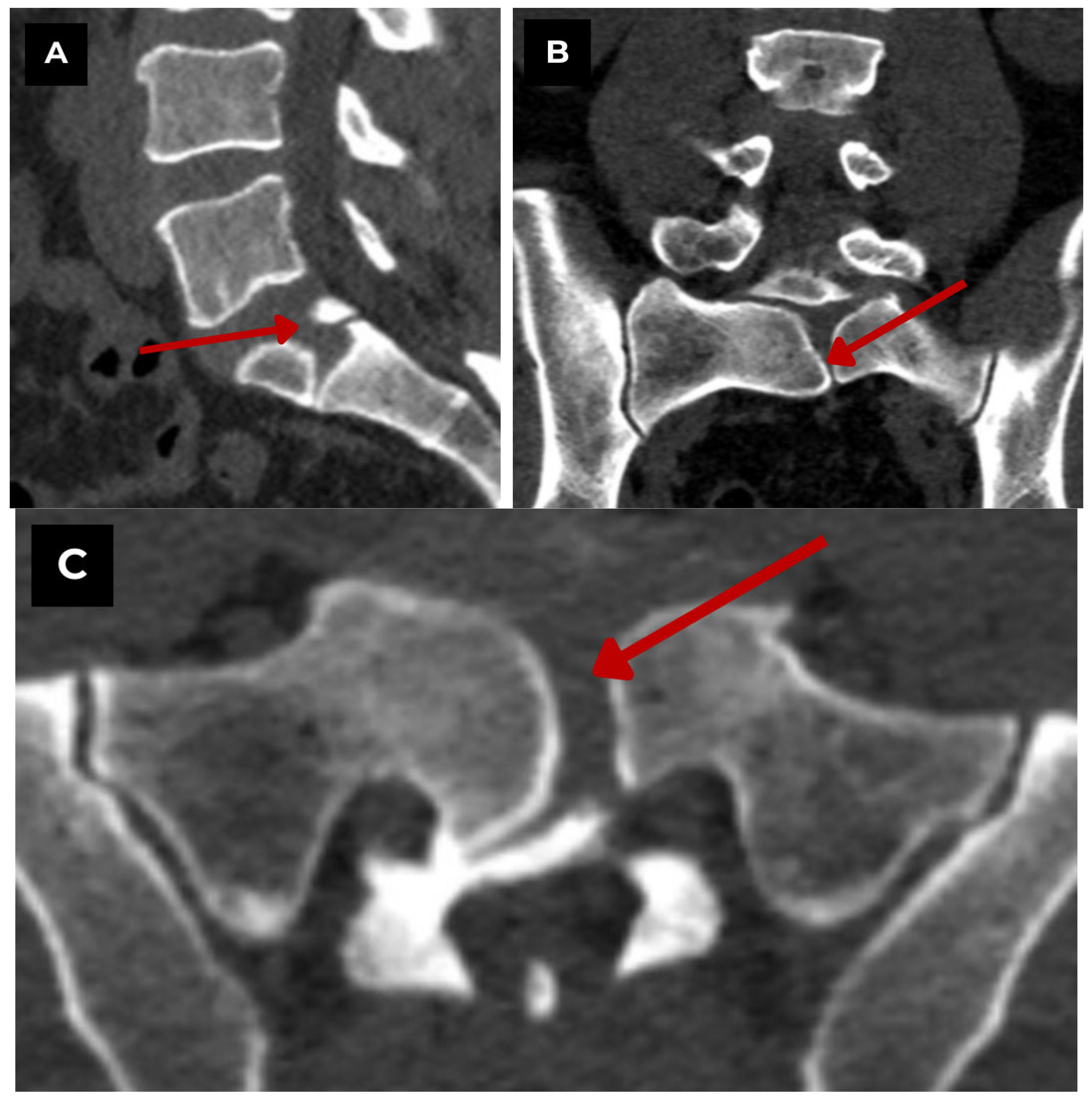
Two Cases of Singular Sacral S1 Butterfly Vertebra
Abstract







Author Contributions
Funding
Institutional Review Board Statement
Informed Consent Statement
Data Availability Statement
Acknowledgments
Conflicts of Interest
References
- Katsuura, Y.; Kim, H.J. Butterfly Vertebrae: A Systematic Review of the Literature and Analysis. Glob. Spine J. 2018, 9, 666. [Google Scholar] [CrossRef] [PubMed]
- Bhattarai, V.; Kharel, S.; Mahat, S.; Kuikel, S.; Joshi, A.; Sharma, A.; Acharya, S. A rare incidental finding of an isolated S1 butterfly vertebra: A case report. Radiol. Case Rep. 2022, 17, 4761–4765. [Google Scholar] [CrossRef] [PubMed]
- Karargyris, O.; Lampropoulou-Adamidou, K.; Morassi, L.G.; Stathopoulos, I.P.; Chatziioannou, S.N.; Pneumaticos, S.G. Differentiating between Traumatic Pathology and Congenital Variant: A Case Report of Butterfly Vertebra. Clin. Orthop. Surg. 2015, 7, 406. [Google Scholar] [CrossRef] [PubMed]
- Bulahs, I.; Teivāne, A.; Platkājis, A.; Balodis, A. Caudal Regression Syndrome First Diagnosed in Adulthood: A Case Report and a Review of the Literature. Diagnostics 2024, 14, 1000. [Google Scholar] [CrossRef] [PubMed]
- Ozaras, N.; Gumussu, K.; Demir, S.E.; Rezvani, A. Differential diagnosis of multiple vertebral compression: Butterfly vertebrae. J. Phys. Ther. Sci. 2015, 27, 3601. [Google Scholar] [CrossRef] [PubMed][Green Version]
- Kapetanakis, S.; Giovannopoulou, E.; Nastoulis, E.; Demetriou, T. Butterfly vertebra. A case report and a short review of the literature. Folia Morphol. 2016, 75, 117–121. [Google Scholar] [CrossRef] [PubMed]
- Xie, B.; Yan, T.; Ni, H.; Zhu, K.; Zhang, S.; Song, P.; Xu, P.; Shen, C.; Dong, F. Butterfly Vertebra: A Retrospective Study of 30 Patients. World Neurosurg. 2024, 185, e995–e1003. [Google Scholar] [CrossRef] [PubMed]
- Bourghli, A.; Abduljawad, S.M.; Boissiere, L.; Obeid, I. Thoracolumbar kyphoscoliotic deformity with neurological impairment secondary to a butterfly vertebra in an adult. Spine Deform. 2020, 8, 819–827. [Google Scholar] [CrossRef] [PubMed]
- Sonel, B.; Yalçin, P.; Öztürk, E.A.; Bökesoy, I. Butterfly vertebra: A case report. Clin. Imaging 2001, 25, 206–208. [Google Scholar] [CrossRef] [PubMed]
Disclaimer/Publisher’s Note: The statements, opinions and data contained in all publications are solely those of the individual author(s) and contributor(s) and not of MDPI and/or the editor(s). MDPI and/or the editor(s) disclaim responsibility for any injury to people or property resulting from any ideas, methods, instructions or products referred to in the content. |
© 2025 by the authors. Licensee MDPI, Basel, Switzerland. This article is an open access article distributed under the terms and conditions of the Creative Commons Attribution (CC BY) license (https://creativecommons.org/licenses/by/4.0/).
Share and Cite
Balodis, A.; Tumelkans, R.; Eraslan, C. Two Cases of Singular Sacral S1 Butterfly Vertebra. Diagnostics 2025, 15, 2775. https://doi.org/10.3390/diagnostics15212775
Balodis A, Tumelkans R, Eraslan C. Two Cases of Singular Sacral S1 Butterfly Vertebra. Diagnostics. 2025; 15(21):2775. https://doi.org/10.3390/diagnostics15212775
Chicago/Turabian StyleBalodis, Arturs, Roberts Tumelkans, and Cenk Eraslan. 2025. "Two Cases of Singular Sacral S1 Butterfly Vertebra" Diagnostics 15, no. 21: 2775. https://doi.org/10.3390/diagnostics15212775
APA StyleBalodis, A., Tumelkans, R., & Eraslan, C. (2025). Two Cases of Singular Sacral S1 Butterfly Vertebra. Diagnostics, 15(21), 2775. https://doi.org/10.3390/diagnostics15212775

